Santral Sinir Sistemi  Patoloji Pratiği Prof Dr Taner Akalın
Beyin Ödemi
Beyin ödemi ve herniasyon
Hidrosefali (Ventriküllerde dilatasyon)
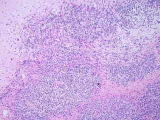
Pürülan Menenjit
Sınır zonu infarktüsü  
Serebral  Hemorajik İnfarktüs (emboli)
Kortikal atrofi   ( A lzheimer  H astalığı)
Kontüzyon ve Laserasyon
Epidural Kanama
Subdural Kanama
Subaraknoidal Kanama
Berry Anevrizma
Schwannom (Akustik nörinom)
Serebellumda Kistik Tümör(Pilositik astrositom) Kist sıvısı Tümör(mural nodül)
4. Ventrikülü doldurmuş düzgün sınırlı glial tümör (Ependimom)
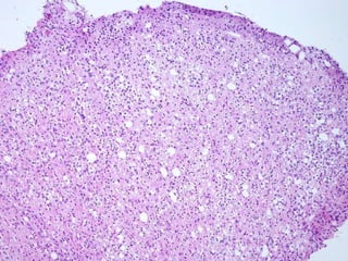
Nekrotik glial tümör (Glioblastom)
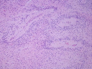
Düzgün sınırlı dural tm (Meningiom)
Düzgün sınırlı dural tm (Meningiom)
Anaplastik astrositom mitoz
Glioblastom Palizatik dizilimli nekroz
Glioblastom Mikrodamar proliferasyonu
Glioblastomda nekroz ve mikrodamar proliferasyonu nekroz
Pilositik astrositom Rozental fibrilleri
Ependimom Ependimal rozet Perivasküler pseudorozet
Ependimom Ependimal rozet Perivasküler pseudorozet
Ependimom Ependimal rozet
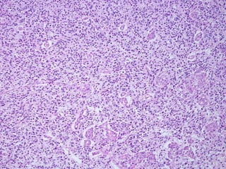
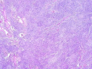
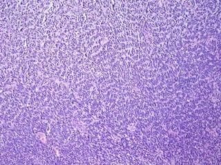
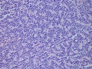
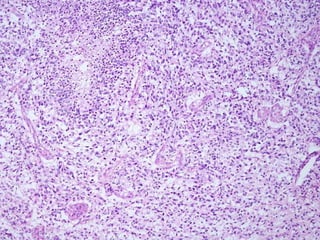
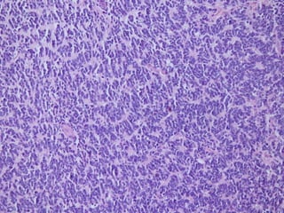
Medulloblastom
Medulloblastomda Homer-Wright rozetleri
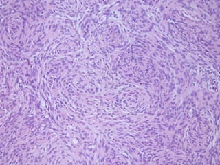
Meningiom Girdap yapıları
Meningiom Girdap yapıları
 
Santral Sinir Sistemi Patoloji Pratik 2  ( Mikroskobi Salonu)
Ependimom Fibriler zeminde (pembe glial zemin)  Düzgün oval-yuvarlak nukleuslu hücreler Damarlar etrafında hücresiz fibriler bir zon çevreleyen hücreler (pseudorozet)
 
 
 
 
 
Oligodendrogliom Fibriler zeminde (hastanın beyin dokusu) değişken hücresel alanlar ( hücrelerin az olduğu alanlar beyin dokusu invazyonunun daha belirgin olduğu infltratif odaklar) Düzgün oval-yuvarlak nukleuslu hücreler Hücreler arasında ince kapiller damar yapısı Tümör hücreleri etrafında şeffaf halo
 
 
 
 
 
Glioblastom Atipik, pleomorfik hücrelerin yer yer oldukça yoğunlaşan hücresel görünümü Hücresel atipi ve yüksek mitotik aktivite Mikrodamar proliferasyonu Etrafında tümör hücrelerinin palizatik dizilim gösterdiği (pseudopalizatik) nekroz alanları
 
 
 
 
 
 
 
 
Medulloblastom Serebellum dokusu içinde dar sitoplazmalı koyu hiperkromatik nukleuslu (primitif) hücrelerin yoğun görüntüsü Hücrelerin küçük fibriler zemin etrafında veya damar etrafında belirsiz dizilimi (Homer-Wright rozet, Pseudorozet) Atipik primitif hücrelerde yüksek proliferatif aktivite
 
 
 
 
 
 
Meningiom Tamamı tümör dokusundan oluşmakta, arada kalın duvarlı damar yapıları var Tümör hücreleri hemen her alanda değişik boyutlarda girdap benzeri yapılar oluşturmakta Oval-yuvarlak nukleuslu hücrelerde sitolojik atipi ve proliferatif aktivite (mitoz) belirsiz
 
 
 
 
 
 
 
Yumuşak Doku Tümörleri Patoloji Pratik Prof Dr Taner Akalın
Bilgisayar Laboratuvarı Olguları Liposarkom, iyi diferansiye Liposarkom, miksoid Liposarkom, pleomorfik Rabdomyosarkom, embriyoner
İyi diferansiye liposarkom
İyi diferansiye liposarkom Lipoblast Lipoblast
Miksoid Liposarkom
Miksoid Liposarkom Lipoblast Miksoid gölcük Lipoblast
Pleomorfik Liposarkom
Pleomorfik Liposarkom Lipoblast
Embriyonal Rabdomyosarkom
Embriyonal Rabdomyosarkom Rabdomyoblast Rabdomyoblast
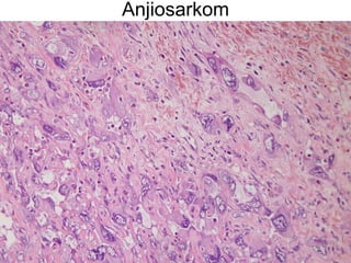
Mikroskobi Salonu Olguları Fibrosarkom Miksoid Liposarkom Anjiosarkom
Fibrosarkom
Fibrosarkom
Fibrosarkom
Fibrosarkom
Miksoid liposarkom
Miksoid liposarkom
Miksoid liposarkom
Miksoid liposarkom
Anjiosarkom
Anjiosarkom
Anjiosarkom
Anjiosarkom
 
KEMİK-EKLEM PATOLOJİSİ  PRATİK-I BİLGİSAYAR LABORATUVARI
ÜRAT KRİSTALLERİ Polarize IM
DEJENERATİF EKLEM HASTALIĞI-Eburnasyon
DEJENERATİF EKLEM HASTALIĞI 1-Eburnasyon 2-Subkondral kist 3-Normal eklem kıkırdağı
KIRIK İYİLEŞMESİ-SORUNLAR Psödoartroz
OSTEOİD OSTEOMA Nidus
* ANEVRİZMAL KEMİK KİSTİ
KONDROSARKOM
OSTEOSARKOM
DEJENERATİF EKLEM HASTALIĞI Fibrilasyon Eburnasyon
FİBRÖZ DİSPLAZİ
Derece I Kondrosarkom Derece II KS Derece III KS Enkondrom
 
 
Deri pratik 2011 Bölüm Yangısal hastalıklar Prof. Dr. Gülşen Kandiloğlu
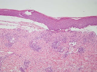
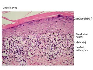
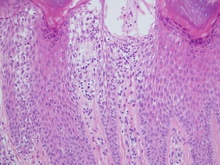
Liken Planus
Liken Planus Granüler tabaka Bazal hücre hasarı Kolloid cisimler Lenfositler
Bazal hücre  hasarı Lenfosit  infiltrasyonu Liken planus Melanofaj Granüler tabaka
Hiperkeratoz Hipergranüloz Testere dişi görünümü Melanofajlar LİKEN  PLANUS
Likenoid dermatit
 
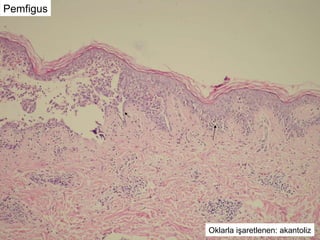
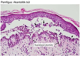
Büllöz Hastalıklar Pemfigus Büllöz pemfigoid Dermatitis herpetiformis
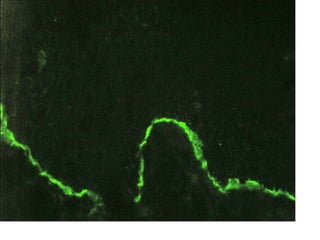
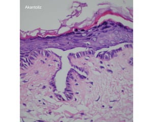
Pemfigus Oklarla işaretlenen: akantoliz
Pemfigus: Akantolitik bül Suprabazal akantoliz
Akantoliz
 
 
 
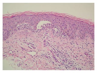
Subepidermal bül
 
 
 
Dermatitis herpetiformis
 
 
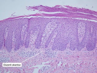
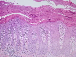
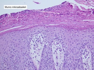
Psoriazis Parakeratoz Munro mikroabseleri Spongiform püstül Düzenli akantoz Papillomatoz Mitoz artışı
 
Düzenli akantoz
Munro mikroabseleri
 
 
 
Spogiform püstül
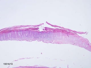
Mikroskopi Laboratuvarı 2 olgu
19516/10
 
 
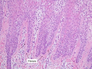
Spongiotik dermatit Hiperkeratoz-parakeratoz Spongioz Vezikül Ekzositoz Fibrozis
 
 
 
 
Fibrozis
 
 
 
 
 
 
Dermatopatoloji pratik
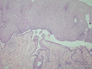
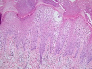
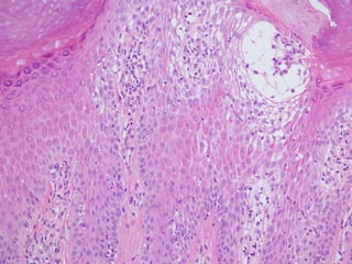
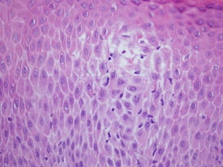
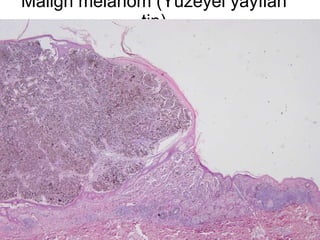
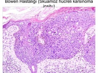
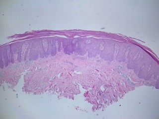
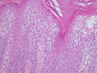
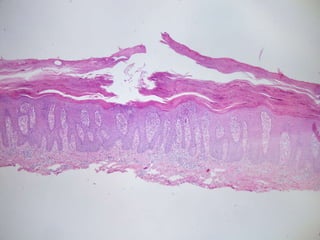
Dermatopatoloji pratik olguları 2 Epidermis Tümörleri * Skuamöz hücreli karsinoma insitu (Bowen hastalığı) * Skuamoz hücreli karsinom * Bazal hücreli karsinom Melanositik tümörler Junctional (bileşke) nevus Kompound (bileşik) nevus İntradermal nevus Yüzeyel yayılan malign melanom Akral lentijinöz malign melanom Nodüler malign melanom Lentigo malign melanom
Bowen Hastalığı (Skuamöz hücreli karsinoma insitu)
Bowen Hastalığı (Skuamöz hücreli karsinoma insitu)
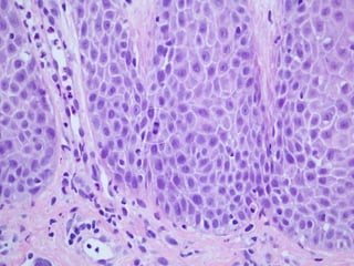
Skuamöz hücreli karsinom
Skuamöz hücreli karsinom
Skuamöz hücreli karsinom
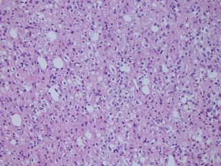
Bazal hücreli karsinom
Bazal hücreli karsinom
Bazal hücreli karsinom
Bazal hücreli karsinom
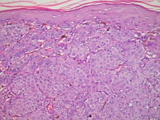
Junctional (bileşke) nevus
Kompound (bileşik) nevus
İntradermal nevus
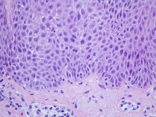
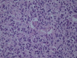
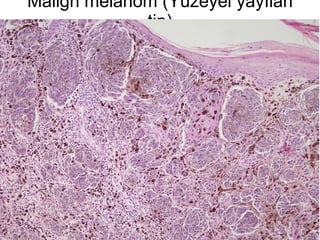
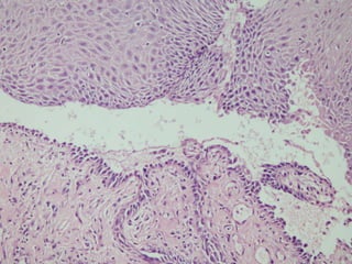
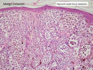
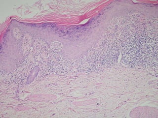
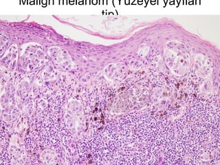
Yüzeyel yayılan malign melanoma insitu
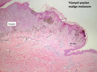
Yüzeyel yayılan malign melanom İn-situ İnvaziv
Pigmentli atipik hücre tabakaları Malign melanom
Akral lentijinöz malign melanoma in-situ
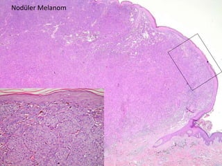
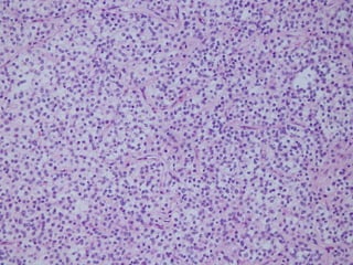
Nodüler Melanom
 
Lentigo malign melanom
Dermatopatoloji Pratik Mikroskobi 2
Bazal hücreli karsinom
Bazal hücreli karsinom
Bazal hücreli karsinom
Bazal hücreli karsinom
Bazal hücreli karsinom
Skuamöz hücreli karsinom
Skuamöz hücreli karsinom
Skuamöz hücreli karsinom
Skuamöz hücreli karsinom
Kompound (Bileşik ) nevus
Kompound (Bileşik ) nevus
Kompound (Bileşik ) nevus
Kompound (Bileşik ) nevus
Kompound (Bileşik ) nevus
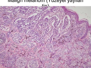
Malign melanom (Yüzeyel yayılan tip)
Malign melanom (Yüzeyel yayılan tip)
Malign melanom (Yüzeyel yayılan tip)
Malign melanom (Yüzeyel yayılan tip)

tüm pato mix quiz http://www.tipciyiz.biz