VTE (DVT & PE)VTE (DVT & PE)
GENENAL MEDICINEGENENAL MEDICINE
DEPARTMENT RKCHDEPARTMENT RKCH
INTRODUCTIONINTRODUCTION
EPIDEMIOLOGYEPIDEMIOLOGY
VTE include DVT & PEVTE include DVT & PE
1,00,000 TO 1,80,000 People death annualy1,00,000 TO 1,80,000 People death annualy
It is mc preventable cause of death in hospitalized pt.It is mc preventable cause of death in hospitalized pt.
Seasonal Variability also present more in winter.(?)Seasonal Variability also present more in winter.(?)
It has Acute and chronic typeIt has Acute and chronic type
Chronic venous insufficiency is one of mc cause of venous thrombosisChronic venous insufficiency is one of mc cause of venous thrombosis
(a/k/a-post thrombotic syndrome as result of damage to venous valve(a/k/a-post thrombotic syndrome as result of damage to venous valve
due to recurrent thrombotic events specially due to prolonged standing).due to recurrent thrombotic events specially due to prolonged standing).
Meta-analysis of 63,552 patient (VTE & Control group) RR for VTEMeta-analysis of 63,552 patient (VTE & Control group) RR for VTE
waswas
condition obesity HTN DM Cigarette smoking hypercholestrol
emia
RR 2.3 1.5 1.4 1.2 1.2
ANATOMYANATOMY
Intracranial Dural SinusesIntracranial Dural Sinuses
Type Of Pulmonary EmbolismType Of Pulmonary Embolism
Nonthrombotic pulmonary embolism (NTPE) :-Nonthrombotic pulmonary embolism (NTPE) :- it isit is
embolisation to the pulmonary circulation of different cellembolisation to the pulmonary circulation of different cell
types (fat , bone marrow content , septic emboli,types (fat , bone marrow content , septic emboli,
amniotic, trophoblastic or tumour), foreign material,amniotic, trophoblastic or tumour), foreign material,
iodinated oil embolism following contrastiodinated oil embolism following contrast
lymphangiography ,Lipid contening suppliments (TPN)lymphangiography ,Lipid contening suppliments (TPN)
or gas, hydatid embolism.or gas, hydatid embolism.
Thrombotic pulmonary embolismThrombotic pulmonary embolism :-:-
Pathogenesis of NTPE AndPathogenesis of NTPE And
DiagnosisDiagnosis
Nonthrombotic emboli may lead to a severe inflammatoryNonthrombotic emboli may lead to a severe inflammatory
reaction both in the systemic and pulmonary circulation, as wellreaction both in the systemic and pulmonary circulation, as well
as in the lungas in the lung..
Pathological observations play a key role in the exact diagnosisPathological observations play a key role in the exact diagnosis
(aspirated blood from the pulmonary artery or specific staining(aspirated blood from the pulmonary artery or specific staining
of cells recovered from bronchoalveolar lavage fluid)of cells recovered from bronchoalveolar lavage fluid)
Thin-section CT of the lungs showing peculiar radiographicThin-section CT of the lungs showing peculiar radiographic
findings likefindings like tree-in-bud patterntree-in-bud pattern or the appearance ofor the appearance of
micronodules distributed at he termination of bronchovascularmicronodules distributed at he termination of bronchovascular
bundles, may be observed in some NTPE.bundles, may be observed in some NTPE.
Pathogenesis of VTPathogenesis of VT
Virchow TriadVirchow Triad
CardiopulmonaryCardiopulmonary
dynamicsdynamics
SourceSource
Most PE’s originate from thrombi in the deepMost PE’s originate from thrombi in the deep
venous system of the legs, although they mayvenous system of the legs, although they may
also originate in the pelvic, renal or upperalso originate in the pelvic, renal or upper
extremity veins.extremity veins.
HOWEVER, less than 30% of pts will haveHOWEVER, less than 30% of pts will have
symptoms in their legs at the time of diagnosissymptoms in their legs at the time of diagnosis
of PEof PE
20% of calf vein thrombi propagate above the20% of calf vein thrombi propagate above the
popliteal fossa.popliteal fossa.
20% of lower extremity venous emboli begin in20% of lower extremity venous emboli begin in
the proximal veins without prior calf involvement.the proximal veins without prior calf involvement.
Inherited & Some NonInherited & Some Non
Modifiable FactorsModifiable Factors
Factor V Leiden mutation(AD) - which resist toFactor V Leiden mutation(AD) - which resist to
endorenous anticoagulant,activated protein cendorenous anticoagulant,activated protein c
G20210A prothrombin gene mutation(AD)G20210A prothrombin gene mutation(AD)
which increase plasma prothrombin concentrationwhich increase plasma prothrombin concentration
Antithrombin III deficiencyAntithrombin III deficiency
Protein C or S deficiencyProtein C or S deficiency
DysfibrinogenemiaDysfibrinogenemia
HyperhomocysteinemiaHyperhomocysteinemia
 Advacing ageAdvacing age
Risk FactorsRisk Factors
PresentationPresentation
Dyspnea - unexplainedDyspnea - unexplained
Pleuritic or atypical chest painPleuritic or atypical chest pain
anxietyanxiety
CoughCough
On exam may haveOn exam may have
TachypneaTachypnea
Jugular venous distensionJugular venous distension
Left parastenal lift/ heaveLeft parastenal lift/ heave
TachycardiaTachycardia
Murmur of TRMurmur of TR
Right side s3 gallopRight side s3 gallop
Loud P2Loud P2
May have low grade feverMay have low grade fever
hemoptysishemoptysis
In massive PE can have hypotension and shockIn massive PE can have hypotension and shock
Leg edema ,Erythema, TendernessLeg edema ,Erythema, Tenderness
h/o- trauma/ immobilisation/surgery/or prolong standing workh/o- trauma/ immobilisation/surgery/or prolong standing work may +/-may +/-
Presentasion depends on sizePresentasion depends on size
of embolusof embolus
Massive PE (5-10%)- At least ½ of pulmonaryMassive PE (5-10%)- At least ½ of pulmonary
vasculature i.e – one of main pulmonary artery (Lt/Rt)-vasculature i.e – one of main pulmonary artery (Lt/Rt)-
dyspnea, syncop, hypotension and cynosis, may presentdyspnea, syncop, hypotension and cynosis, may present
in cardiogenic shock and die due to MODin cardiogenic shock and die due to MOD
Submassive PE (20-25%) – charecterised by RVSubmassive PE (20-25%) – charecterised by RV
dysfunction but normal Sys Arterial pressure- biomarkerdysfunction but normal Sys Arterial pressure- biomarker
relise indi. Clinical deterioration.relise indi. Clinical deterioration.
Low risk PE (70-75%) – exellent prognosisLow risk PE (70-75%) – exellent prognosis
DD OF PEDD OF PE
Acute Coronary SyndromeAcute Coronary Syndrome
PericarditisPericarditis
Congestive Heart FailureCongestive Heart Failure
Aortic DissectionAortic Dissection
Idiopathic Pulmonary HTNIdiopathic Pulmonary HTN
Pneumonia Or BronchitisPneumonia Or Bronchitis
Anxiety, Pleurisy CostocondritisAnxiety, Pleurisy Costocondritis
Homan’s SignHoman’s Sign
Passive dorsiflexion of the foot with the knee straight mayPassive dorsiflexion of the foot with the knee straight may
give pain in the calf and back of the knee when there is agive pain in the calf and back of the knee when there is a
deep venous thrombosis.deep venous thrombosis.
Some concern that vigorous dorsiflexion of the foot canSome concern that vigorous dorsiflexion of the foot can
expel clot from the veins and so this test may have itsexpel clot from the veins and so this test may have its
dangers.dangers.
The sign is not specific for DVT.The sign is not specific for DVT.
DDX swollen calfDDX swollen calf
DVTDVT
Bakers CystBakers Cyst
CellulitisCellulitis
GoutGout
If bilateral think about CHF, NephroticIf bilateral think about CHF, Nephrotic
syndrome, liver failure, venoussyndrome, liver failure, venous
insufficiency, pregnancy or pelvic mass,insufficiency, pregnancy or pelvic mass,
vasodilators like nifedipine.vasodilators like nifedipine.
Wells score for Clinical Prediction of DVTWells score for Clinical Prediction of DVT
Conditions Score points
Active cancer +1
Bedridden recently ≥3 days or major surgery
within 12 weeks
+1
Calf swelling >3 cm compared to the other
leg
+1
Collateral (nonvaricose) superficial veins
present
+1
Entire leg swollen +1
Localized tenderness along the deep
venous system
+1
Pitting edema, confined to symptomatic leg +1
Paralysis, paresis, or recent plaster
immobilization of the lower extremity
+1
Previously documented DVT +1
Alternative diagnosis to DVT at least as
likely
-2
HIGH
PROB
ABILIT
Y OF
DVT
3-8 POINTS
MODE
RATE
PROBA
BILITY
1-2 POINTS
LOW
PROBA
BILITY
-2 - 0 POINTS
DVT risk: -
High – 75%,
Moderate – 17%,
Low – 3%
Padua Prediction Score for Risk of VTE inPadua Prediction Score for Risk of VTE in
Hospitalized patientsHospitalized patients
Conditions Score
Active Cancer +3
Previous VTE (excluding
superficial vein thrombosis)
+3
Reduced Mobility +3
Already known thrombophilic
condition
+3
Recent (≤1 month) trauma and/or
surgery
+2
Elderly Age (≥70 years) +1
Heart and/or respiratory failure +1
Acute MI and/or Ischemic Stroke +1
Acute infection and/or
rheumatologic disorder
+1
Obesity (BMI ≥30) +1
Ongoing hormonal treatment +1
<4:
Low risk of VTE & case to case
consideration to be taken
>4:
High risk of VTE and warrants
Thrombotic prevention
High clinical likehood of PE if points >4High clinical likehood of PE if points >4
(modified wells criteria)(modified wells criteria)
Clinical variable PE score
Sign and symptomes of DVT 3.0
Altrenative diagnosis less like than PE 3.0
Heart rate >100beats /min 1.5
Immobilization >3 days ;surgery within 4 weeks 1.5
Prior PE or DVT 1.5
Hemoptysis 1.0
Cancer (t/t receved in last 6 months) 1.0
PE – Assigning PretestPE – Assigning Pretest
ProbabilityProbability
Single most important step in theSingle most important step in the
diagnosis of pulmonary embolismdiagnosis of pulmonary embolism
May be done based on clinical judgmentMay be done based on clinical judgment
or aided by a clinical scoring systemor aided by a clinical scoring system
Modified Wells Criteria is the most widelyModified Wells Criteria is the most widely
used and studiedused and studied
Reliably stratifies patients by likelihood ofReliably stratifies patients by likelihood of
PE to allow selection of safe (<2% VTEPE to allow selection of safe (<2% VTE
risk if no anticoagulation) managementrisk if no anticoagulation) management
strategystrategy
ECGECG
Sinus tachycardiaSinus tachycardia
Right ventricular strainRight ventricular strain
““Typical” SI, QIII, TIII – May +/ -.Typical” SI, QIII, TIII – May +/ -.
T wave inversions in right to mid chest leads(V1-T wave inversions in right to mid chest leads(V1-
V6)V6)
Poor R wave progression (acute RV dilation)Poor R wave progression (acute RV dilation)
RV conduction delaysRV conduction delays
Right axis shiftRight axis shift
Diagostic imagingDiagostic imaging
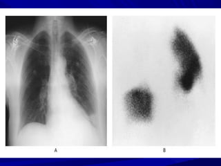
Chest x rayChest x ray
Venous ultasonographyVenous ultasonography
Multidetector row spiral CT scan (<1mm ofMultidetector row spiral CT scan (<1mm of
resolution can taken), CT pulmonary angiogramresolution can taken), CT pulmonary angiogram
(contrast)(contrast)
Lung scan – V/Q scanLung scan – V/Q scan
Magnetic resonance imaging (contrast induced)Magnetic resonance imaging (contrast induced)
EchocardiographyEchocardiography
Invasive diagnostic modalities – pulmonaryInvasive diagnostic modalities – pulmonary
angiography and contrastangiography and contrast
CXRCXR
May have area of atelectasisMay have area of atelectasis
May have wedge shaped infarctMay have wedge shaped infarct
peripherallyperipherally
Pleural effusion occurs in about 40%Pleural effusion occurs in about 40%
CHEST X-RAYCHEST X-RAY
ABGABG
ABGABG
Usually shows hypoxia, hypocapnia, respiratory alkalosisUsually shows hypoxia, hypocapnia, respiratory alkalosis
Hypercapnia in case massive PE with shockHypercapnia in case massive PE with shock
A-a gradient:A-a gradient:
Normal 7-14 depending on ageNormal 7-14 depending on age
Increases with age, FiO2 and supine postureIncreases with age, FiO2 and supine posture
Estimate of normal for age:Estimate of normal for age:
– Age/4 +4Age/4 +4
A-a gradient = (FiO2 x713 – pCO2/0.8) – PaO2A-a gradient = (FiO2 x713 – pCO2/0.8) – PaO2
If A-a gradient normal, PaO2 <80, Pa CO2 >45 thenIf A-a gradient normal, PaO2 <80, Pa CO2 >45 then
hypoventilation accounts for hypoxiahypoventilation accounts for hypoxia
Increased A-a gradient occurs in V/Q mismatch, shuntingIncreased A-a gradient occurs in V/Q mismatch, shunting
and any kind of barrier to diffusion (e.g. pulmonary edema)and any kind of barrier to diffusion (e.g. pulmonary edema)
BUT can be normal and still have PEBUT can be normal and still have PE!!
LAB REPORTSLAB REPORTS
Cardiac profile -Troponin I , BNP or NT proCardiac profile -Troponin I , BNP or NT pro
BNP may all be elevated – RV ischemiaBNP may all be elevated – RV ischemia
Check baseline CBC, PT/PTT/INR, CreatininCheck baseline CBC, PT/PTT/INR, Creatinin
LDH and ASTLDH and AST
D-dimerD-dimer
Normal D-dimer excludes PE, but positive D-Dimer isNormal D-dimer excludes PE, but positive D-Dimer is
not helpful (as it can be positive in many conditionsnot helpful (as it can be positive in many conditions
including sepsis, immobility & post Sx )including sepsis, immobility & post Sx )
DVT – D-DimerDVT – D-Dimer
Fibrin degradation product elevated in activeFibrin degradation product elevated in active
thrombosisthrombosis
Negative test can help exclude VTENegative test can help exclude VTE
Preferred testPreferred test
– Quantitative Rapid ELISA – sensitivity 96/95% forQuantitative Rapid ELISA – sensitivity 96/95% for
DVT/PE respectivlyDVT/PE respectivly
– Other methods include latex agglutination and RBCOther methods include latex agglutination and RBC
agglutination.agglutination.
End-tidal COEnd-tidal CO22 for exclusion PEfor exclusion PE
End-tidal COEnd-tidal CO22 for exclusion of suspected pulmonary embolism.for exclusion of suspected pulmonary embolism.
Simple capnographic assessment of alveolar end-tidal COSimple capnographic assessment of alveolar end-tidal CO22 tensiontension
has a diagnostic accuracy similar to D-dimer.has a diagnostic accuracy similar to D-dimer.
disadvantages of D-dimer testing are mostly of a practical naturedisadvantages of D-dimer testing are mostly of a practical nature
and include the requirement for venepuncture, as well as time andand include the requirement for venepuncture, as well as time and
cost for transportation, storage, measurement and reporting of bloodcost for transportation, storage, measurement and reporting of blood
samples.samples.
Its limited applicability in patients with underlying chronic lungIts limited applicability in patients with underlying chronic lung
disease who are prone to PE and the potential that small PE maydisease who are prone to PE and the potential that small PE may
be missedbe missed
Doppler US of lower extremitiesDoppler US of lower extremities
If high clinical suspicion should beIf high clinical suspicion should be
undergone US Doppler study and thoseundergone US Doppler study and those
allredy + ,allredy + , repeated 7-10 daysrepeated 7-10 days after initialafter initial
scan as below knee DVT extension.scan as below knee DVT extension.
Also remember that some pt developAlso remember that some pt develop
DVT’s Maybe elsewhereDVT’s Maybe elsewhere – so you may not– so you may not
find a DVT in their legs if the source wasfind a DVT in their legs if the source was
their arm!their arm!
DOPPLER FINDINGDOPPLER FINDING
V/Q scanningV/Q scanning
Look for evidence of ventilation perfusionLook for evidence of ventilation perfusion
mismatchmismatch
Can only really be done if pt has normal CXRCan only really be done if pt has normal CXR
Normal scan virtually excludes PE even ifNormal scan virtually excludes PE even if
pretest clinical probability was felt to be high.pretest clinical probability was felt to be high.
If a patient with intermediate clinical probabilityIf a patient with intermediate clinical probability
of PE has an intermediate scan then needof PE has an intermediate scan then need
further testingfurther testing
Spiral CT/CT angiogramSpiral CT/CT angiogram
Used if CXR not normalUsed if CXR not normal
Picks up large central emboli but is lessPicks up large central emboli but is less
sensitive for the smaller peripheral emboli.sensitive for the smaller peripheral emboli.
True pulmonary angiography rarely usedTrue pulmonary angiography rarely used
now, though can do direct thrombolysis innow, though can do direct thrombolysis in
massive PE.massive PE.
A- THROMBUS IN LEFT MAIN PULMONARY ARTERY , B- NORMAL CT Pul. angioA- THROMBUS IN LEFT MAIN PULMONARY ARTERY , B- NORMAL CT Pul. angio
Pulmonary InfractionPulmonary Infraction
Occures 3-7 days after Acute PEOccures 3-7 days after Acute PE
EchoEcho
More than 80% of pts with PE will haveMore than 80% of pts with PE will have
abnormalities of RV size or function, or TR.abnormalities of RV size or function, or TR.
McConnells signMcConnells sign – regional wall motion– regional wall motion
abnormalities that spare the R ventricular apexabnormalities that spare the R ventricular apex
are very suggestive of PEare very suggestive of PE
BUT echo is only really used for Dx of massiveBUT echo is only really used for Dx of massive
lifethreatening PE’s when rapid diagnosis islifethreatening PE’s when rapid diagnosis is
needed to determine whether thrombolysisneeded to determine whether thrombolysis
should be given.should be given.
Acute PE 2D ECHO findingAcute PE 2D ECHO finding
Most common echocar- diographic findings in acuteMost common echocar- diographic findings in acute
pulmonary embolism are:pulmonary embolism are:
Dilatation of the right ventricle & RA , right ventricularDilatation of the right ventricle & RA , right ventricular
dysfunction in some cases with preservation of thedysfunction in some cases with preservation of the
motility of the apexmotility of the apex
Dilatation of the inferior vena cava with lack ofDilatation of the inferior vena cava with lack of
collapse during inspiration.collapse during inspiration.
Flattening of the interventricular septum suggestingFlattening of the interventricular septum suggesting
right ventricular pressure overload and pulmonaryright ventricular pressure overload and pulmonary
hypertension & tricuspid regurgitationhypertension & tricuspid regurgitation
NORMAL 4 CHAMBER VIEWNORMAL 4 CHAMBER VIEW
IN PEIN PE
A: Apical four-chamber view. Normal right-sided chambers: the right ventricle is less than oneA: Apical four-chamber view. Normal right-sided chambers: the right ventricle is less than one
third of the size of the left ventricle. B: Apical four-chamber view. Dilatation of the rightthird of the size of the left ventricle. B: Apical four-chamber view. Dilatation of the right
ventricleventricle
McConnell’s signMcConnell’s sign
DILATED RA & RVDILATED RA & RV
ComplicationsComplications
TreatmentTreatment
Identify any contraindications to anticoagulations – if yes then IVCIdentify any contraindications to anticoagulations – if yes then IVC
filterfilter
INDICATION OF IVC FILTERINDICATION OF IVC FILTER
1) Active bleeding ,1) Active bleeding ,
2) Recurrent VTE despite intensive anticoagulation.2) Recurrent VTE despite intensive anticoagulation.
3) Also used with or without anticoagulation in patients with high3) Also used with or without anticoagulation in patients with high
risk of death should further PE occurrisk of death should further PE occur
Adverce effect-Adverce effect- Reduce risk of PEReduce risk of PE butbut carry increased risk of DVTcarry increased risk of DVT..
Inquire about h/o HITInquire about h/o HIT
If yes, then use direct thrombin inhibitor (DABIGATRAN)If yes, then use direct thrombin inhibitor (DABIGATRAN)
TreatmentTreatment
Administer LMW heparin or unfractionated heparin( it accelerate activityAdminister LMW heparin or unfractionated heparin( it accelerate activity
of antithrombin prevent aditional thrombus formation )of antithrombin prevent aditional thrombus formation )
Dose- initial bolus doseDose- initial bolus dose 80 unit/ kg then initial infusion 18unit/ kg80 unit/ kg then initial infusion 18unit/ kg (ACT(ACT
Between 180- 220 seconds or Goal 1.5-2.5 x PTT in first 24 hours i.eBetween 180- 220 seconds or Goal 1.5-2.5 x PTT in first 24 hours i.e
betweenbetween 60-80 seconds60-80 seconds))
Check platelet count on day 3-5Check platelet count on day 3-5
Treat at least five days and until patient’s INR is >2 on warfarin for twoTreat at least five days and until patient’s INR is >2 on warfarin for two
consecutive daysconsecutive days
Start warfarin on day 1Start warfarin on day 1
Warfarin dose often initiated with 5 mg od target INR 2.5 (2-3)Warfarin dose often initiated with 5 mg od target INR 2.5 (2-3)
InIn CYP2C9CYP2C9 varient alleles impaired hydroxalation od s-warfarin low dosevarient alleles impaired hydroxalation od s-warfarin low dose
req. (VKORC-1 predict dose req. for ptreq. (VKORC-1 predict dose req. for pt. ?. ?))
LMWH weight base low affinity for plasma protein and endothelial cell-LMWH weight base low affinity for plasma protein and endothelial cell-
increase bioavaibility / not produce HIT SYNDROME (as not cross reactincrease bioavaibility / not produce HIT SYNDROME (as not cross react
with heparin induced antibodywith heparin induced antibody
HIT SYNDROMEHIT SYNDROME
10 times more with UFH than LMWH10 times more with UFH than LMWH
Ig G anti. Activate heparin-platelete factor 4 complexIg G anti. Activate heparin-platelete factor 4 complex
Presentasion MI ,arterial thrombus stroke , b/l DVT occure 5- 10 days ofPresentasion MI ,arterial thrombus stroke , b/l DVT occure 5- 10 days of
heparin exposureheparin exposure
44TT POINTS SCOREPOINTS SCORE
1.1.TThrombocytopeniahrombocytopenia
2.2.TTime of decrease in platelet countime of decrease in platelet count
3.3.TThrombosis other sequelae such as skin necrosishrombosis other sequelae such as skin necrosis
4.Absence of o4.Absence of oTTher explanationher explanation
Diagnosis ELISA testing quantifies anti-platelet factor 4/ heparin antibody levelDiagnosis ELISA testing quantifies anti-platelet factor 4/ heparin antibody level
-obtaine in otical density unit. Seratonin realese assay gold standerd for HIT-obtaine in otical density unit. Seratonin realese assay gold standerd for HIT
syndrome diagnosis.syndrome diagnosis.
T/t- discontinue heparin, if thrombosis + then parentral DTI such asT/t- discontinue heparin, if thrombosis + then parentral DTI such as
argatroban,bivarirudin or lepirudinargatroban,bivarirudin or lepirudin
if asyptomatic and without thrombus – fondaparinux should be given.if asyptomatic and without thrombus – fondaparinux should be given.
No patelet transfusionNo patelet transfusion
Treatment DurationTreatment Duration
3-6 months in most patients3-6 months in most patients
Indefinite treatment:Indefinite treatment:
– >1 spontaneous event>1 spontaneous event
– One spontaneous life threatening eventOne spontaneous life threatening event
– Antiphospholipid syndromeAntiphospholipid syndrome
– Antithrombin deficiencyAntithrombin deficiency
– >1 genetic allelic abnormality>1 genetic allelic abnormality
– Homozygote for Factor V Leiden or prothrombin gene mutationHomozygote for Factor V Leiden or prothrombin gene mutation
– Heterozygote for bothHeterozygote for both
– Protein C/S deficiencyProtein C/S deficiency
MANAGEMENT OF MASSIVE PEMANAGEMENT OF MASSIVE PE
 11stst
manage A/B/Cmanage A/B/C
 IV fluid 500 ml of NS additional should be given carefully. (as it canIV fluid 500 ml of NS additional should be given carefully. (as it can
worsen RV ischemia and LV compliance )worsen RV ischemia and LV compliance )
 Dopamine and dobutamine are first line of inotrop in PE related shock.Dopamine and dobutamine are first line of inotrop in PE related shock.
Other agent NE,VASO, phenylephrine .Other agent NE,VASO, phenylephrine .
 ADVANTAGE- 1)Dissolve anatomical obstruction,2)prevent continuesADVANTAGE- 1)Dissolve anatomical obstruction,2)prevent continues
realese of seratonin and other neurhaemoral agent decrease pulmonaryrealese of seratonin and other neurhaemoral agent decrease pulmonary
HTN.3) lysis much of sorce of emboli prevent recurrence.HTN.3) lysis much of sorce of emboli prevent recurrence.
 Drug use is 1) alteplase ( 100mg over 2 hr infision) andDrug use is 1) alteplase ( 100mg over 2 hr infision) and
2)tenecteplase (30 mg or 40 mg bolus only) ,2)tenecteplase (30 mg or 40 mg bolus only) ,
3) streptokinese (1.5 mu over 2 hr)3) streptokinese (1.5 mu over 2 hr)
4)urokinese(initial dose 4400iu/kg iv @90 ml /hr over 10 min then maintenace4)urokinese(initial dose 4400iu/kg iv @90 ml /hr over 10 min then maintenace
dose of 4400iu/kg/hr over next 12 hr)dose of 4400iu/kg/hr over next 12 hr)
 Pharmacological catheter directed therapy – physical fragmentasion andPharmacological catheter directed therapy – physical fragmentasion and
low dose thrombolysis (20-25 mg tPA instead of 100mg).low dose thrombolysis (20-25 mg tPA instead of 100mg).
 Other surgical pulmonary embolectomy , Psychological support to pt. andOther surgical pulmonary embolectomy , Psychological support to pt. and
scrrening of family member for any genetic defect if any.scrrening of family member for any genetic defect if any.
AbsoluteAbsolute
contraindicationscontraindications includeinclude
• Any prior intracranial hemorrhage, known structuralAny prior intracranial hemorrhage, known structural
intracranial cerebrovascular disease (AVM)intracranial cerebrovascular disease (AVM)
• Known malignant intracranial neoplasm,Known malignant intracranial neoplasm,
• Ischemic stroke within 3 months,Ischemic stroke within 3 months,
• Suspected aortic dissection,Suspected aortic dissection,
• Active bleeding or bleeding diathesis,Active bleeding or bleeding diathesis,
• Recent surgery encroaching on the spinal canal or brain, andRecent surgery encroaching on the spinal canal or brain, and
• Recent significant closed-head or facial trauma withRecent significant closed-head or facial trauma with
radiographic evidence of bony fracture or brain injury.radiographic evidence of bony fracture or brain injury.
RELATIVE CONTRAINDICATIONRELATIVE CONTRAINDICATION
•
FOR MAINTENACEFOR MAINTENACE
Warfarin – INR Monitoring (2-3)Warfarin – INR Monitoring (2-3)
Novel Oral Anticoagulant-Novel Oral Anticoagulant-
Rivaroxaban Xa inhibitor – brigingRivaroxaban Xa inhibitor – briging
anticoagulantanticoagulant
Direct thrombin inhibitor – DabigatranDirect thrombin inhibitor – Dabigatran
Apixaban oral monotherapyApixaban oral monotherapy
New – edoxaban Xa inhibitorNew – edoxaban Xa inhibitor
MAMA
REVISED GENEVA SCOREREVISED GENEVA SCORE
PE SVERITY INDEX (PESI)PE SVERITY INDEX (PESI)
PESI CRITERIA 230
points
AGE >80 YR AGE IN
YEARS
MALE SEX +10
HISTORY OF CANCER +30
HISTORY OF HEART
FAILURE
+10
HEART RATE > OR
EQUAL 110/MIN
+20
SBP <100 mmHg +30
RR> OR EQUAL 30/ MIN +20
TEMP <36 ‘C +20
ALTERED MENTAL
STAUS
+60
ABG, PaO2 <90% +20
HISTORY OF CHRONIC
LUNG DISEASE
+10
SIMLIFIED PESI CRITERIA 5
point
s
AGE >80YR +1
HISTORY OF CANCER +1
H/O- HF or Chronic lung disease +1
HR > OR Equal 110 +1
SBP<100 mmHg +1
ABG , PaO2 <90% +1
High risk Low risk
Class 3(86-
105);
class 4(106-
125);
class 5 >
125
Class1
(<65);
class2 (66-
85)
>1 or 1 0
Risk-Adjusted Management in the Acute Phase and
Over the Long Term In DVT & PE
Mortality riskMortality risk
PREVENSIONPREVENSION
Postoperative prophylaxis with LMWHPostoperative prophylaxis with LMWH
(e.g., enoxaparin 30 mg sc q 12 h for up to(e.g., enoxaparin 30 mg sc q 12 h for up to
14 days) also dramatically reduces the14 days) also dramatically reduces the
incidence of venous thrombosis after kneeincidence of venous thrombosis after knee
hip replacement.hip replacement.
For total hip replacement, someFor total hip replacement, some
investigators find that 4 to 6 weeks ofinvestigators find that 4 to 6 weeks of
LMWH postoperatively may be moreLMWH postoperatively may be more
effectiveeffective
Hypercoagulation WorkupHypercoagulation Workup
Test all patients for unprovoked VT forTest all patients for unprovoked VT for
antiphospholipid ab syndrome andantiphospholipid ab syndrome and
hyperhomocysteinemiahyperhomocysteinemia
Wait to check for deficiency inWait to check for deficiency in
antithrombin III, protein C or S until 2antithrombin III, protein C or S until 2
weeks after anticoagulation rx isweeks after anticoagulation rx is
completedcompleted
Hypercoagulation WorkupHypercoagulation Workup
 Test for Factor V Leiden, prothrombin geneTest for Factor V Leiden, prothrombin gene
mutation and deficiencies of antithrombin,mutation and deficiencies of antithrombin,
protein C/S in the following patients:protein C/S in the following patients:
Family h/o VTFamily h/o VT
VT before the age of 50VT before the age of 50
Recurrent VTRecurrent VT
Thrombosis in an unusual site (mesenteric, renal, cerebral,Thrombosis in an unusual site (mesenteric, renal, cerebral,
hepatic)hepatic)
Heparin resistance (antithrombin deficiency)Heparin resistance (antithrombin deficiency)
Neonatal purpura fulminansNeonatal purpura fulminans
VTE – Prophylaxis in MedicalVTE – Prophylaxis in Medical
PatientsPatients
COMMON REGIMEN FOR VTECOMMON REGIMEN FOR VTE
PREVENSIONPREVENSION
CONDITION PROPHYLAXIS
HOSPITALIZATION WITH MEDICAL ILLNESS UH 5000 UNIT BD OR TID, ENOXAPARIN 40
MG QDOR DELTAPARIN 2500 UNIT OR 5000
UNIT s/c once a day
FONDAPARINAX 2.5 MG S/C
CONDI
Cancer surgery (include OBGY) Enoxaparin 40 mg od x 1 month prophylaxis
High risk non orthopedic surgery UH 5000 UNIT BID / TID ENOXAPARIN 40 MG
QDOR DELTAPARIN 2500 UNIT OR 5000 UNIT
s/c once a day
FONDAPARINAX 2.5 MG S/C
MAJOR
ORTHOPEDIC
SURGERY
WARFARIN TARGET INR (2-3)
ENOXAPARIN 40 MG ,DELTAPARIN 5200/5000UNIT /
DAY
FONDAPARINUX 2.5 MG /DAY
RIVAROXABAN 10 MG OD
ASPIRI N 81- 325 MG / DAY
DABIGATRAN 220MG / DAY
ABCIXIMAB 2.5 MG BID
AND THOSE C/I FOR ANTI COAGULATION
INTERMITANT PNEUMATIC COMPRESION SHOULD
DONE
SOME STUDY ABOUT DVTSOME STUDY ABOUT DVT
PROPHYLAXISPROPHYLAXIS
EXCLAM (Extended Clinical Prophylaxis in Actualy lll Medical Patient) TrialEXCLAM (Extended Clinical Prophylaxis in Actualy lll Medical Patient) Trial
– enoxaparin 40 mg s/c od for 28 days Vs placebo VTE Decrease from– enoxaparin 40 mg s/c od for 28 days Vs placebo VTE Decrease from
4.0% to 2.5 % but bleeding risk increase from 0.3 to 0.8 %.4.0% to 2.5 % but bleeding risk increase from 0.3 to 0.8 %.
MAGELLAN study –Extended duration rivaroxban 10 mg daily for 31-39MAGELLAN study –Extended duration rivaroxban 10 mg daily for 31-39
days vs enoxaparin 40 mg od for 6 to 14 days , death in enoxaparin group isdays vs enoxaparin 40 mg od for 6 to 14 days , death in enoxaparin group is
4 times due to VTE.4 times due to VTE.
ADOPT Study –Apixaban vs enoxaparin 40 mgADOPT Study –Apixaban vs enoxaparin 40 mg
APEX Study- anti Xa agent BETRIXABAN with ENOXAPARINAPEX Study- anti Xa agent BETRIXABAN with ENOXAPARIN
JUPITAR Study-justification For Use Of Statin In Prevention ;AnJUPITAR Study-justification For Use Of Statin In Prevention ;An
Intervesional Trial Evaluating Rosuvastatin(cohort study)-43 % reduction inIntervesional Trial Evaluating Rosuvastatin(cohort study)-43 % reduction in
symptomatic VTE bye reduction of hsCRP, 20 mg rosurvastatin od.symptomatic VTE bye reduction of hsCRP, 20 mg rosurvastatin od.
Take home messageTake home message
PE is mc preventable cause of death inPE is mc preventable cause of death in
hospitalised patient.hospitalised patient.
In Post operative period early ambulationIn Post operative period early ambulation
minimise risk of PE.minimise risk of PE.
THANK YOUTHANK YOU

DVT & PTE

  • 1.
    VTE (DVT &PE)VTE (DVT & PE) GENENAL MEDICINEGENENAL MEDICINE DEPARTMENT RKCHDEPARTMENT RKCH
  • 2.
    INTRODUCTIONINTRODUCTION EPIDEMIOLOGYEPIDEMIOLOGY VTE include DVT& PEVTE include DVT & PE 1,00,000 TO 1,80,000 People death annualy1,00,000 TO 1,80,000 People death annualy It is mc preventable cause of death in hospitalized pt.It is mc preventable cause of death in hospitalized pt. Seasonal Variability also present more in winter.(?)Seasonal Variability also present more in winter.(?) It has Acute and chronic typeIt has Acute and chronic type Chronic venous insufficiency is one of mc cause of venous thrombosisChronic venous insufficiency is one of mc cause of venous thrombosis (a/k/a-post thrombotic syndrome as result of damage to venous valve(a/k/a-post thrombotic syndrome as result of damage to venous valve due to recurrent thrombotic events specially due to prolonged standing).due to recurrent thrombotic events specially due to prolonged standing). Meta-analysis of 63,552 patient (VTE & Control group) RR for VTEMeta-analysis of 63,552 patient (VTE & Control group) RR for VTE waswas condition obesity HTN DM Cigarette smoking hypercholestrol emia RR 2.3 1.5 1.4 1.2 1.2
  • 3.
  • 5.
  • 8.
    Type Of PulmonaryEmbolismType Of Pulmonary Embolism Nonthrombotic pulmonary embolism (NTPE) :-Nonthrombotic pulmonary embolism (NTPE) :- it isit is embolisation to the pulmonary circulation of different cellembolisation to the pulmonary circulation of different cell types (fat , bone marrow content , septic emboli,types (fat , bone marrow content , septic emboli, amniotic, trophoblastic or tumour), foreign material,amniotic, trophoblastic or tumour), foreign material, iodinated oil embolism following contrastiodinated oil embolism following contrast lymphangiography ,Lipid contening suppliments (TPN)lymphangiography ,Lipid contening suppliments (TPN) or gas, hydatid embolism.or gas, hydatid embolism. Thrombotic pulmonary embolismThrombotic pulmonary embolism :-:-
  • 9.
    Pathogenesis of NTPEAndPathogenesis of NTPE And DiagnosisDiagnosis Nonthrombotic emboli may lead to a severe inflammatoryNonthrombotic emboli may lead to a severe inflammatory reaction both in the systemic and pulmonary circulation, as wellreaction both in the systemic and pulmonary circulation, as well as in the lungas in the lung.. Pathological observations play a key role in the exact diagnosisPathological observations play a key role in the exact diagnosis (aspirated blood from the pulmonary artery or specific staining(aspirated blood from the pulmonary artery or specific staining of cells recovered from bronchoalveolar lavage fluid)of cells recovered from bronchoalveolar lavage fluid) Thin-section CT of the lungs showing peculiar radiographicThin-section CT of the lungs showing peculiar radiographic findings likefindings like tree-in-bud patterntree-in-bud pattern or the appearance ofor the appearance of micronodules distributed at he termination of bronchovascularmicronodules distributed at he termination of bronchovascular bundles, may be observed in some NTPE.bundles, may be observed in some NTPE.
  • 10.
    Pathogenesis of VTPathogenesisof VT Virchow TriadVirchow Triad
  • 11.
  • 12.
    SourceSource Most PE’s originatefrom thrombi in the deepMost PE’s originate from thrombi in the deep venous system of the legs, although they mayvenous system of the legs, although they may also originate in the pelvic, renal or upperalso originate in the pelvic, renal or upper extremity veins.extremity veins. HOWEVER, less than 30% of pts will haveHOWEVER, less than 30% of pts will have symptoms in their legs at the time of diagnosissymptoms in their legs at the time of diagnosis of PEof PE 20% of calf vein thrombi propagate above the20% of calf vein thrombi propagate above the popliteal fossa.popliteal fossa. 20% of lower extremity venous emboli begin in20% of lower extremity venous emboli begin in the proximal veins without prior calf involvement.the proximal veins without prior calf involvement.
  • 13.
    Inherited & SomeNonInherited & Some Non Modifiable FactorsModifiable Factors Factor V Leiden mutation(AD) - which resist toFactor V Leiden mutation(AD) - which resist to endorenous anticoagulant,activated protein cendorenous anticoagulant,activated protein c G20210A prothrombin gene mutation(AD)G20210A prothrombin gene mutation(AD) which increase plasma prothrombin concentrationwhich increase plasma prothrombin concentration Antithrombin III deficiencyAntithrombin III deficiency Protein C or S deficiencyProtein C or S deficiency DysfibrinogenemiaDysfibrinogenemia HyperhomocysteinemiaHyperhomocysteinemia  Advacing ageAdvacing age
  • 14.
  • 15.
    PresentationPresentation Dyspnea - unexplainedDyspnea- unexplained Pleuritic or atypical chest painPleuritic or atypical chest pain anxietyanxiety CoughCough On exam may haveOn exam may have TachypneaTachypnea Jugular venous distensionJugular venous distension Left parastenal lift/ heaveLeft parastenal lift/ heave TachycardiaTachycardia Murmur of TRMurmur of TR Right side s3 gallopRight side s3 gallop Loud P2Loud P2 May have low grade feverMay have low grade fever hemoptysishemoptysis In massive PE can have hypotension and shockIn massive PE can have hypotension and shock Leg edema ,Erythema, TendernessLeg edema ,Erythema, Tenderness h/o- trauma/ immobilisation/surgery/or prolong standing workh/o- trauma/ immobilisation/surgery/or prolong standing work may +/-may +/-
  • 16.
    Presentasion depends onsizePresentasion depends on size of embolusof embolus Massive PE (5-10%)- At least ½ of pulmonaryMassive PE (5-10%)- At least ½ of pulmonary vasculature i.e – one of main pulmonary artery (Lt/Rt)-vasculature i.e – one of main pulmonary artery (Lt/Rt)- dyspnea, syncop, hypotension and cynosis, may presentdyspnea, syncop, hypotension and cynosis, may present in cardiogenic shock and die due to MODin cardiogenic shock and die due to MOD Submassive PE (20-25%) – charecterised by RVSubmassive PE (20-25%) – charecterised by RV dysfunction but normal Sys Arterial pressure- biomarkerdysfunction but normal Sys Arterial pressure- biomarker relise indi. Clinical deterioration.relise indi. Clinical deterioration. Low risk PE (70-75%) – exellent prognosisLow risk PE (70-75%) – exellent prognosis
  • 17.
    DD OF PEDDOF PE Acute Coronary SyndromeAcute Coronary Syndrome PericarditisPericarditis Congestive Heart FailureCongestive Heart Failure Aortic DissectionAortic Dissection Idiopathic Pulmonary HTNIdiopathic Pulmonary HTN Pneumonia Or BronchitisPneumonia Or Bronchitis Anxiety, Pleurisy CostocondritisAnxiety, Pleurisy Costocondritis
  • 18.
    Homan’s SignHoman’s Sign Passivedorsiflexion of the foot with the knee straight mayPassive dorsiflexion of the foot with the knee straight may give pain in the calf and back of the knee when there is agive pain in the calf and back of the knee when there is a deep venous thrombosis.deep venous thrombosis. Some concern that vigorous dorsiflexion of the foot canSome concern that vigorous dorsiflexion of the foot can expel clot from the veins and so this test may have itsexpel clot from the veins and so this test may have its dangers.dangers. The sign is not specific for DVT.The sign is not specific for DVT.
  • 20.
    DDX swollen calfDDXswollen calf DVTDVT Bakers CystBakers Cyst CellulitisCellulitis GoutGout If bilateral think about CHF, NephroticIf bilateral think about CHF, Nephrotic syndrome, liver failure, venoussyndrome, liver failure, venous insufficiency, pregnancy or pelvic mass,insufficiency, pregnancy or pelvic mass, vasodilators like nifedipine.vasodilators like nifedipine.
  • 21.
    Wells score forClinical Prediction of DVTWells score for Clinical Prediction of DVT Conditions Score points Active cancer +1 Bedridden recently ≥3 days or major surgery within 12 weeks +1 Calf swelling >3 cm compared to the other leg +1 Collateral (nonvaricose) superficial veins present +1 Entire leg swollen +1 Localized tenderness along the deep venous system +1 Pitting edema, confined to symptomatic leg +1 Paralysis, paresis, or recent plaster immobilization of the lower extremity +1 Previously documented DVT +1 Alternative diagnosis to DVT at least as likely -2 HIGH PROB ABILIT Y OF DVT 3-8 POINTS MODE RATE PROBA BILITY 1-2 POINTS LOW PROBA BILITY -2 - 0 POINTS DVT risk: - High – 75%, Moderate – 17%, Low – 3%
  • 22.
    Padua Prediction Scorefor Risk of VTE inPadua Prediction Score for Risk of VTE in Hospitalized patientsHospitalized patients Conditions Score Active Cancer +3 Previous VTE (excluding superficial vein thrombosis) +3 Reduced Mobility +3 Already known thrombophilic condition +3 Recent (≤1 month) trauma and/or surgery +2 Elderly Age (≥70 years) +1 Heart and/or respiratory failure +1 Acute MI and/or Ischemic Stroke +1 Acute infection and/or rheumatologic disorder +1 Obesity (BMI ≥30) +1 Ongoing hormonal treatment +1 <4: Low risk of VTE & case to case consideration to be taken >4: High risk of VTE and warrants Thrombotic prevention
  • 23.
    High clinical likehoodof PE if points >4High clinical likehood of PE if points >4 (modified wells criteria)(modified wells criteria) Clinical variable PE score Sign and symptomes of DVT 3.0 Altrenative diagnosis less like than PE 3.0 Heart rate >100beats /min 1.5 Immobilization >3 days ;surgery within 4 weeks 1.5 Prior PE or DVT 1.5 Hemoptysis 1.0 Cancer (t/t receved in last 6 months) 1.0
  • 24.
    PE – AssigningPretestPE – Assigning Pretest ProbabilityProbability Single most important step in theSingle most important step in the diagnosis of pulmonary embolismdiagnosis of pulmonary embolism May be done based on clinical judgmentMay be done based on clinical judgment or aided by a clinical scoring systemor aided by a clinical scoring system Modified Wells Criteria is the most widelyModified Wells Criteria is the most widely used and studiedused and studied Reliably stratifies patients by likelihood ofReliably stratifies patients by likelihood of PE to allow selection of safe (<2% VTEPE to allow selection of safe (<2% VTE risk if no anticoagulation) managementrisk if no anticoagulation) management strategystrategy
  • 25.
    ECGECG Sinus tachycardiaSinus tachycardia Rightventricular strainRight ventricular strain ““Typical” SI, QIII, TIII – May +/ -.Typical” SI, QIII, TIII – May +/ -. T wave inversions in right to mid chest leads(V1-T wave inversions in right to mid chest leads(V1- V6)V6) Poor R wave progression (acute RV dilation)Poor R wave progression (acute RV dilation) RV conduction delaysRV conduction delays Right axis shiftRight axis shift
  • 28.
    Diagostic imagingDiagostic imaging Chestx rayChest x ray Venous ultasonographyVenous ultasonography Multidetector row spiral CT scan (<1mm ofMultidetector row spiral CT scan (<1mm of resolution can taken), CT pulmonary angiogramresolution can taken), CT pulmonary angiogram (contrast)(contrast) Lung scan – V/Q scanLung scan – V/Q scan Magnetic resonance imaging (contrast induced)Magnetic resonance imaging (contrast induced) EchocardiographyEchocardiography Invasive diagnostic modalities – pulmonaryInvasive diagnostic modalities – pulmonary angiography and contrastangiography and contrast
  • 29.
    CXRCXR May have areaof atelectasisMay have area of atelectasis May have wedge shaped infarctMay have wedge shaped infarct peripherallyperipherally Pleural effusion occurs in about 40%Pleural effusion occurs in about 40%
  • 30.
  • 32.
    ABGABG ABGABG Usually shows hypoxia,hypocapnia, respiratory alkalosisUsually shows hypoxia, hypocapnia, respiratory alkalosis Hypercapnia in case massive PE with shockHypercapnia in case massive PE with shock A-a gradient:A-a gradient: Normal 7-14 depending on ageNormal 7-14 depending on age Increases with age, FiO2 and supine postureIncreases with age, FiO2 and supine posture Estimate of normal for age:Estimate of normal for age: – Age/4 +4Age/4 +4 A-a gradient = (FiO2 x713 – pCO2/0.8) – PaO2A-a gradient = (FiO2 x713 – pCO2/0.8) – PaO2 If A-a gradient normal, PaO2 <80, Pa CO2 >45 thenIf A-a gradient normal, PaO2 <80, Pa CO2 >45 then hypoventilation accounts for hypoxiahypoventilation accounts for hypoxia Increased A-a gradient occurs in V/Q mismatch, shuntingIncreased A-a gradient occurs in V/Q mismatch, shunting and any kind of barrier to diffusion (e.g. pulmonary edema)and any kind of barrier to diffusion (e.g. pulmonary edema) BUT can be normal and still have PEBUT can be normal and still have PE!!
  • 33.
    LAB REPORTSLAB REPORTS Cardiacprofile -Troponin I , BNP or NT proCardiac profile -Troponin I , BNP or NT pro BNP may all be elevated – RV ischemiaBNP may all be elevated – RV ischemia Check baseline CBC, PT/PTT/INR, CreatininCheck baseline CBC, PT/PTT/INR, Creatinin LDH and ASTLDH and AST D-dimerD-dimer Normal D-dimer excludes PE, but positive D-Dimer isNormal D-dimer excludes PE, but positive D-Dimer is not helpful (as it can be positive in many conditionsnot helpful (as it can be positive in many conditions including sepsis, immobility & post Sx )including sepsis, immobility & post Sx )
  • 34.
    DVT – D-DimerDVT– D-Dimer Fibrin degradation product elevated in activeFibrin degradation product elevated in active thrombosisthrombosis Negative test can help exclude VTENegative test can help exclude VTE Preferred testPreferred test – Quantitative Rapid ELISA – sensitivity 96/95% forQuantitative Rapid ELISA – sensitivity 96/95% for DVT/PE respectivlyDVT/PE respectivly – Other methods include latex agglutination and RBCOther methods include latex agglutination and RBC agglutination.agglutination.
  • 36.
    End-tidal COEnd-tidal CO22for exclusion PEfor exclusion PE End-tidal COEnd-tidal CO22 for exclusion of suspected pulmonary embolism.for exclusion of suspected pulmonary embolism. Simple capnographic assessment of alveolar end-tidal COSimple capnographic assessment of alveolar end-tidal CO22 tensiontension has a diagnostic accuracy similar to D-dimer.has a diagnostic accuracy similar to D-dimer. disadvantages of D-dimer testing are mostly of a practical naturedisadvantages of D-dimer testing are mostly of a practical nature and include the requirement for venepuncture, as well as time andand include the requirement for venepuncture, as well as time and cost for transportation, storage, measurement and reporting of bloodcost for transportation, storage, measurement and reporting of blood samples.samples. Its limited applicability in patients with underlying chronic lungIts limited applicability in patients with underlying chronic lung disease who are prone to PE and the potential that small PE maydisease who are prone to PE and the potential that small PE may be missedbe missed
  • 37.
    Doppler US oflower extremitiesDoppler US of lower extremities If high clinical suspicion should beIf high clinical suspicion should be undergone US Doppler study and thoseundergone US Doppler study and those allredy + ,allredy + , repeated 7-10 daysrepeated 7-10 days after initialafter initial scan as below knee DVT extension.scan as below knee DVT extension. Also remember that some pt developAlso remember that some pt develop DVT’s Maybe elsewhereDVT’s Maybe elsewhere – so you may not– so you may not find a DVT in their legs if the source wasfind a DVT in their legs if the source was their arm!their arm!
  • 38.
  • 39.
    V/Q scanningV/Q scanning Lookfor evidence of ventilation perfusionLook for evidence of ventilation perfusion mismatchmismatch Can only really be done if pt has normal CXRCan only really be done if pt has normal CXR Normal scan virtually excludes PE even ifNormal scan virtually excludes PE even if pretest clinical probability was felt to be high.pretest clinical probability was felt to be high. If a patient with intermediate clinical probabilityIf a patient with intermediate clinical probability of PE has an intermediate scan then needof PE has an intermediate scan then need further testingfurther testing
  • 41.
    Spiral CT/CT angiogramSpiralCT/CT angiogram Used if CXR not normalUsed if CXR not normal Picks up large central emboli but is lessPicks up large central emboli but is less sensitive for the smaller peripheral emboli.sensitive for the smaller peripheral emboli. True pulmonary angiography rarely usedTrue pulmonary angiography rarely used now, though can do direct thrombolysis innow, though can do direct thrombolysis in massive PE.massive PE.
  • 42.
    A- THROMBUS INLEFT MAIN PULMONARY ARTERY , B- NORMAL CT Pul. angioA- THROMBUS IN LEFT MAIN PULMONARY ARTERY , B- NORMAL CT Pul. angio
  • 43.
    Pulmonary InfractionPulmonary Infraction Occures3-7 days after Acute PEOccures 3-7 days after Acute PE
  • 44.
    EchoEcho More than 80%of pts with PE will haveMore than 80% of pts with PE will have abnormalities of RV size or function, or TR.abnormalities of RV size or function, or TR. McConnells signMcConnells sign – regional wall motion– regional wall motion abnormalities that spare the R ventricular apexabnormalities that spare the R ventricular apex are very suggestive of PEare very suggestive of PE BUT echo is only really used for Dx of massiveBUT echo is only really used for Dx of massive lifethreatening PE’s when rapid diagnosis islifethreatening PE’s when rapid diagnosis is needed to determine whether thrombolysisneeded to determine whether thrombolysis should be given.should be given.
  • 45.
    Acute PE 2DECHO findingAcute PE 2D ECHO finding Most common echocar- diographic findings in acuteMost common echocar- diographic findings in acute pulmonary embolism are:pulmonary embolism are: Dilatation of the right ventricle & RA , right ventricularDilatation of the right ventricle & RA , right ventricular dysfunction in some cases with preservation of thedysfunction in some cases with preservation of the motility of the apexmotility of the apex Dilatation of the inferior vena cava with lack ofDilatation of the inferior vena cava with lack of collapse during inspiration.collapse during inspiration. Flattening of the interventricular septum suggestingFlattening of the interventricular septum suggesting right ventricular pressure overload and pulmonaryright ventricular pressure overload and pulmonary hypertension & tricuspid regurgitationhypertension & tricuspid regurgitation
  • 46.
    NORMAL 4 CHAMBERVIEWNORMAL 4 CHAMBER VIEW
  • 47.
  • 48.
    A: Apical four-chamberview. Normal right-sided chambers: the right ventricle is less than oneA: Apical four-chamber view. Normal right-sided chambers: the right ventricle is less than one third of the size of the left ventricle. B: Apical four-chamber view. Dilatation of the rightthird of the size of the left ventricle. B: Apical four-chamber view. Dilatation of the right ventricleventricle
  • 49.
  • 50.
    DILATED RA &RVDILATED RA & RV
  • 51.
  • 52.
    TreatmentTreatment Identify any contraindicationsto anticoagulations – if yes then IVCIdentify any contraindications to anticoagulations – if yes then IVC filterfilter INDICATION OF IVC FILTERINDICATION OF IVC FILTER 1) Active bleeding ,1) Active bleeding , 2) Recurrent VTE despite intensive anticoagulation.2) Recurrent VTE despite intensive anticoagulation. 3) Also used with or without anticoagulation in patients with high3) Also used with or without anticoagulation in patients with high risk of death should further PE occurrisk of death should further PE occur Adverce effect-Adverce effect- Reduce risk of PEReduce risk of PE butbut carry increased risk of DVTcarry increased risk of DVT.. Inquire about h/o HITInquire about h/o HIT If yes, then use direct thrombin inhibitor (DABIGATRAN)If yes, then use direct thrombin inhibitor (DABIGATRAN)
  • 53.
    TreatmentTreatment Administer LMW heparinor unfractionated heparin( it accelerate activityAdminister LMW heparin or unfractionated heparin( it accelerate activity of antithrombin prevent aditional thrombus formation )of antithrombin prevent aditional thrombus formation ) Dose- initial bolus doseDose- initial bolus dose 80 unit/ kg then initial infusion 18unit/ kg80 unit/ kg then initial infusion 18unit/ kg (ACT(ACT Between 180- 220 seconds or Goal 1.5-2.5 x PTT in first 24 hours i.eBetween 180- 220 seconds or Goal 1.5-2.5 x PTT in first 24 hours i.e betweenbetween 60-80 seconds60-80 seconds)) Check platelet count on day 3-5Check platelet count on day 3-5 Treat at least five days and until patient’s INR is >2 on warfarin for twoTreat at least five days and until patient’s INR is >2 on warfarin for two consecutive daysconsecutive days Start warfarin on day 1Start warfarin on day 1 Warfarin dose often initiated with 5 mg od target INR 2.5 (2-3)Warfarin dose often initiated with 5 mg od target INR 2.5 (2-3) InIn CYP2C9CYP2C9 varient alleles impaired hydroxalation od s-warfarin low dosevarient alleles impaired hydroxalation od s-warfarin low dose req. (VKORC-1 predict dose req. for ptreq. (VKORC-1 predict dose req. for pt. ?. ?)) LMWH weight base low affinity for plasma protein and endothelial cell-LMWH weight base low affinity for plasma protein and endothelial cell- increase bioavaibility / not produce HIT SYNDROME (as not cross reactincrease bioavaibility / not produce HIT SYNDROME (as not cross react with heparin induced antibodywith heparin induced antibody
  • 54.
    HIT SYNDROMEHIT SYNDROME 10times more with UFH than LMWH10 times more with UFH than LMWH Ig G anti. Activate heparin-platelete factor 4 complexIg G anti. Activate heparin-platelete factor 4 complex Presentasion MI ,arterial thrombus stroke , b/l DVT occure 5- 10 days ofPresentasion MI ,arterial thrombus stroke , b/l DVT occure 5- 10 days of heparin exposureheparin exposure 44TT POINTS SCOREPOINTS SCORE 1.1.TThrombocytopeniahrombocytopenia 2.2.TTime of decrease in platelet countime of decrease in platelet count 3.3.TThrombosis other sequelae such as skin necrosishrombosis other sequelae such as skin necrosis 4.Absence of o4.Absence of oTTher explanationher explanation Diagnosis ELISA testing quantifies anti-platelet factor 4/ heparin antibody levelDiagnosis ELISA testing quantifies anti-platelet factor 4/ heparin antibody level -obtaine in otical density unit. Seratonin realese assay gold standerd for HIT-obtaine in otical density unit. Seratonin realese assay gold standerd for HIT syndrome diagnosis.syndrome diagnosis. T/t- discontinue heparin, if thrombosis + then parentral DTI such asT/t- discontinue heparin, if thrombosis + then parentral DTI such as argatroban,bivarirudin or lepirudinargatroban,bivarirudin or lepirudin if asyptomatic and without thrombus – fondaparinux should be given.if asyptomatic and without thrombus – fondaparinux should be given. No patelet transfusionNo patelet transfusion
  • 55.
    Treatment DurationTreatment Duration 3-6months in most patients3-6 months in most patients Indefinite treatment:Indefinite treatment: – >1 spontaneous event>1 spontaneous event – One spontaneous life threatening eventOne spontaneous life threatening event – Antiphospholipid syndromeAntiphospholipid syndrome – Antithrombin deficiencyAntithrombin deficiency – >1 genetic allelic abnormality>1 genetic allelic abnormality – Homozygote for Factor V Leiden or prothrombin gene mutationHomozygote for Factor V Leiden or prothrombin gene mutation – Heterozygote for bothHeterozygote for both – Protein C/S deficiencyProtein C/S deficiency
  • 56.
    MANAGEMENT OF MASSIVEPEMANAGEMENT OF MASSIVE PE  11stst manage A/B/Cmanage A/B/C  IV fluid 500 ml of NS additional should be given carefully. (as it canIV fluid 500 ml of NS additional should be given carefully. (as it can worsen RV ischemia and LV compliance )worsen RV ischemia and LV compliance )  Dopamine and dobutamine are first line of inotrop in PE related shock.Dopamine and dobutamine are first line of inotrop in PE related shock. Other agent NE,VASO, phenylephrine .Other agent NE,VASO, phenylephrine .  ADVANTAGE- 1)Dissolve anatomical obstruction,2)prevent continuesADVANTAGE- 1)Dissolve anatomical obstruction,2)prevent continues realese of seratonin and other neurhaemoral agent decrease pulmonaryrealese of seratonin and other neurhaemoral agent decrease pulmonary HTN.3) lysis much of sorce of emboli prevent recurrence.HTN.3) lysis much of sorce of emboli prevent recurrence.  Drug use is 1) alteplase ( 100mg over 2 hr infision) andDrug use is 1) alteplase ( 100mg over 2 hr infision) and 2)tenecteplase (30 mg or 40 mg bolus only) ,2)tenecteplase (30 mg or 40 mg bolus only) , 3) streptokinese (1.5 mu over 2 hr)3) streptokinese (1.5 mu over 2 hr) 4)urokinese(initial dose 4400iu/kg iv @90 ml /hr over 10 min then maintenace4)urokinese(initial dose 4400iu/kg iv @90 ml /hr over 10 min then maintenace dose of 4400iu/kg/hr over next 12 hr)dose of 4400iu/kg/hr over next 12 hr)  Pharmacological catheter directed therapy – physical fragmentasion andPharmacological catheter directed therapy – physical fragmentasion and low dose thrombolysis (20-25 mg tPA instead of 100mg).low dose thrombolysis (20-25 mg tPA instead of 100mg).  Other surgical pulmonary embolectomy , Psychological support to pt. andOther surgical pulmonary embolectomy , Psychological support to pt. and scrrening of family member for any genetic defect if any.scrrening of family member for any genetic defect if any.
  • 57.
    AbsoluteAbsolute contraindicationscontraindications includeinclude • Anyprior intracranial hemorrhage, known structuralAny prior intracranial hemorrhage, known structural intracranial cerebrovascular disease (AVM)intracranial cerebrovascular disease (AVM) • Known malignant intracranial neoplasm,Known malignant intracranial neoplasm, • Ischemic stroke within 3 months,Ischemic stroke within 3 months, • Suspected aortic dissection,Suspected aortic dissection, • Active bleeding or bleeding diathesis,Active bleeding or bleeding diathesis, • Recent surgery encroaching on the spinal canal or brain, andRecent surgery encroaching on the spinal canal or brain, and • Recent significant closed-head or facial trauma withRecent significant closed-head or facial trauma with radiographic evidence of bony fracture or brain injury.radiographic evidence of bony fracture or brain injury. RELATIVE CONTRAINDICATIONRELATIVE CONTRAINDICATION
  • 58.
  • 59.
    FOR MAINTENACEFOR MAINTENACE Warfarin– INR Monitoring (2-3)Warfarin – INR Monitoring (2-3) Novel Oral Anticoagulant-Novel Oral Anticoagulant- Rivaroxaban Xa inhibitor – brigingRivaroxaban Xa inhibitor – briging anticoagulantanticoagulant Direct thrombin inhibitor – DabigatranDirect thrombin inhibitor – Dabigatran Apixaban oral monotherapyApixaban oral monotherapy New – edoxaban Xa inhibitorNew – edoxaban Xa inhibitor
  • 60.
  • 61.
  • 62.
    PE SVERITY INDEX(PESI)PE SVERITY INDEX (PESI) PESI CRITERIA 230 points AGE >80 YR AGE IN YEARS MALE SEX +10 HISTORY OF CANCER +30 HISTORY OF HEART FAILURE +10 HEART RATE > OR EQUAL 110/MIN +20 SBP <100 mmHg +30 RR> OR EQUAL 30/ MIN +20 TEMP <36 ‘C +20 ALTERED MENTAL STAUS +60 ABG, PaO2 <90% +20 HISTORY OF CHRONIC LUNG DISEASE +10 SIMLIFIED PESI CRITERIA 5 point s AGE >80YR +1 HISTORY OF CANCER +1 H/O- HF or Chronic lung disease +1 HR > OR Equal 110 +1 SBP<100 mmHg +1 ABG , PaO2 <90% +1 High risk Low risk Class 3(86- 105); class 4(106- 125); class 5 > 125 Class1 (<65); class2 (66- 85) >1 or 1 0
  • 63.
    Risk-Adjusted Management inthe Acute Phase and Over the Long Term In DVT & PE
  • 64.
  • 65.
    PREVENSIONPREVENSION Postoperative prophylaxis withLMWHPostoperative prophylaxis with LMWH (e.g., enoxaparin 30 mg sc q 12 h for up to(e.g., enoxaparin 30 mg sc q 12 h for up to 14 days) also dramatically reduces the14 days) also dramatically reduces the incidence of venous thrombosis after kneeincidence of venous thrombosis after knee hip replacement.hip replacement. For total hip replacement, someFor total hip replacement, some investigators find that 4 to 6 weeks ofinvestigators find that 4 to 6 weeks of LMWH postoperatively may be moreLMWH postoperatively may be more effectiveeffective
  • 66.
    Hypercoagulation WorkupHypercoagulation Workup Testall patients for unprovoked VT forTest all patients for unprovoked VT for antiphospholipid ab syndrome andantiphospholipid ab syndrome and hyperhomocysteinemiahyperhomocysteinemia Wait to check for deficiency inWait to check for deficiency in antithrombin III, protein C or S until 2antithrombin III, protein C or S until 2 weeks after anticoagulation rx isweeks after anticoagulation rx is completedcompleted
  • 67.
    Hypercoagulation WorkupHypercoagulation Workup Test for Factor V Leiden, prothrombin geneTest for Factor V Leiden, prothrombin gene mutation and deficiencies of antithrombin,mutation and deficiencies of antithrombin, protein C/S in the following patients:protein C/S in the following patients: Family h/o VTFamily h/o VT VT before the age of 50VT before the age of 50 Recurrent VTRecurrent VT Thrombosis in an unusual site (mesenteric, renal, cerebral,Thrombosis in an unusual site (mesenteric, renal, cerebral, hepatic)hepatic) Heparin resistance (antithrombin deficiency)Heparin resistance (antithrombin deficiency) Neonatal purpura fulminansNeonatal purpura fulminans
  • 68.
    VTE – Prophylaxisin MedicalVTE – Prophylaxis in Medical PatientsPatients
  • 69.
    COMMON REGIMEN FORVTECOMMON REGIMEN FOR VTE PREVENSIONPREVENSION CONDITION PROPHYLAXIS HOSPITALIZATION WITH MEDICAL ILLNESS UH 5000 UNIT BD OR TID, ENOXAPARIN 40 MG QDOR DELTAPARIN 2500 UNIT OR 5000 UNIT s/c once a day FONDAPARINAX 2.5 MG S/C CONDI Cancer surgery (include OBGY) Enoxaparin 40 mg od x 1 month prophylaxis High risk non orthopedic surgery UH 5000 UNIT BID / TID ENOXAPARIN 40 MG QDOR DELTAPARIN 2500 UNIT OR 5000 UNIT s/c once a day FONDAPARINAX 2.5 MG S/C MAJOR ORTHOPEDIC SURGERY WARFARIN TARGET INR (2-3) ENOXAPARIN 40 MG ,DELTAPARIN 5200/5000UNIT / DAY FONDAPARINUX 2.5 MG /DAY RIVAROXABAN 10 MG OD ASPIRI N 81- 325 MG / DAY DABIGATRAN 220MG / DAY ABCIXIMAB 2.5 MG BID AND THOSE C/I FOR ANTI COAGULATION INTERMITANT PNEUMATIC COMPRESION SHOULD DONE
  • 70.
    SOME STUDY ABOUTDVTSOME STUDY ABOUT DVT PROPHYLAXISPROPHYLAXIS EXCLAM (Extended Clinical Prophylaxis in Actualy lll Medical Patient) TrialEXCLAM (Extended Clinical Prophylaxis in Actualy lll Medical Patient) Trial – enoxaparin 40 mg s/c od for 28 days Vs placebo VTE Decrease from– enoxaparin 40 mg s/c od for 28 days Vs placebo VTE Decrease from 4.0% to 2.5 % but bleeding risk increase from 0.3 to 0.8 %.4.0% to 2.5 % but bleeding risk increase from 0.3 to 0.8 %. MAGELLAN study –Extended duration rivaroxban 10 mg daily for 31-39MAGELLAN study –Extended duration rivaroxban 10 mg daily for 31-39 days vs enoxaparin 40 mg od for 6 to 14 days , death in enoxaparin group isdays vs enoxaparin 40 mg od for 6 to 14 days , death in enoxaparin group is 4 times due to VTE.4 times due to VTE. ADOPT Study –Apixaban vs enoxaparin 40 mgADOPT Study –Apixaban vs enoxaparin 40 mg APEX Study- anti Xa agent BETRIXABAN with ENOXAPARINAPEX Study- anti Xa agent BETRIXABAN with ENOXAPARIN JUPITAR Study-justification For Use Of Statin In Prevention ;AnJUPITAR Study-justification For Use Of Statin In Prevention ;An Intervesional Trial Evaluating Rosuvastatin(cohort study)-43 % reduction inIntervesional Trial Evaluating Rosuvastatin(cohort study)-43 % reduction in symptomatic VTE bye reduction of hsCRP, 20 mg rosurvastatin od.symptomatic VTE bye reduction of hsCRP, 20 mg rosurvastatin od.
  • 71.
    Take home messageTakehome message PE is mc preventable cause of death inPE is mc preventable cause of death in hospitalised patient.hospitalised patient. In Post operative period early ambulationIn Post operative period early ambulation minimise risk of PE.minimise risk of PE.
  • 72.

Editor's Notes

  • #12 CARDIOPULMONARY DYNAMICS
  • #35 Less helpful in malignancy and recent surgery. Rapid RBC agglutination (SimpliRED) – sensitivity 87/78% for DVT/PE 1st generation ELISA accurate but slow Latex agglutination only useful if quantitative