DR LAYLA S. ABDULLAH,MD,FRCPC
ASSOCIATE PROFESSOR/CONSULTANT
DEPARTMENT OF PATHOLOGY
FACULTY OF MEDICINE
KING ABDULAZIZ UNIVERSITY
 Preinvasive lesions ( definition)
 Historical review of terminologies
 The latest cytological terminology : The
2001 Bethesda System for reporting of PAP
smears .
 The LAST classification .
 Cervical cancer was the most frequent form
of cancer around the world.
 Impact of cervical cancer screening:
Decrease incidence of invasive tumors and
increase incidence in the detection of
cervical preinvasive lesions (dysplasia).
 Definition:
Derived from the Greek word DYS for ‘‘bad’’
and PLASIA for ‘‘molding’’
used in many areas of medicine to describe a
nonmalignant process.
 Dysplasia is an abnormal growth and
maturation of cervical squamous epithelium
 Cytological and architectural changes of
cervical cells/ loss of polarity
 limited by the basement membrane
 Pre-invasive, precancerous, Pre-malignant
lesions
 Graded mild, moderate, or severe
 HPV related ( Serotypes: High risk: 16,
18, 31, and 33)
 Integration of viral genes into host genome
inactivate p53 and retinoblastoma tumor
suppressor genes.
Historical Review Of
Terminologies For
Cervical Preinvasive
Lesions
 The earliest description of intraepithelial
pre-cancer was by Sir John Williams in 1888.
 carcinoma in situ (CIS) : cells that
morphologically looked like cancer but had
not invaded below the basement membrane
 2-tiered clinical approach :
- Hysterectomy for women with CIS and
- No treatment for women without it
 Surface lesions existed on the cervix that had
abnormal histological features that did not
fulfill the criteria for CIS.
 Lower risk for progressing to cancer than CIS
does.
 ( Koss and Durfee)
ballooned cytoplasm  koilocytes from the
Greek word for ‘‘empty space,’’
 similarity to descriptions of Reagan’s mild
dysplasia.
 In 1976, Meisels and Fortin linked
koilocytotic atypia with HPV.
proposed :
 cervical carcinogenesis was a continuum of
disease ranging from mild dysplasia to
cervical cancer
 He coined the term cervical intraepithelial
neoplasia (CIN) to emphasize its association
as a precursor to cancer
 CIN : spectrum of cytological and
histological changes that shared a common
etiology, biology and natural history
 All groups (CIN I ,II,III and ca insitu)
represented different stages of a single
biological continuum
CIN terminology was widely adopted for use
both in histology and cytology
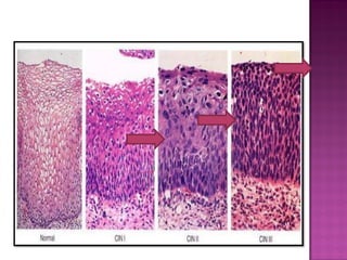
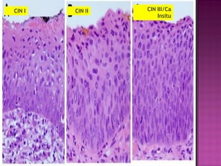
CIN I CIN II CIN III/Ca
Insitu
 As our understanding of pathogenesis of
cervical cancer and its precursors improved
and increased.
Ostor AG. Natural history of cervical intraepithelial neoplasia :a critical
review. Int J Gynecol Pathol 1993;12:186-92.
regress persist Progress
to CIS
Progress
to
invasion
CIN 1 57% 32% 11% 1%
CIN 2 43% 35% 22% 5%
CIN 3 32% 56% >12%
 CIN biological classification as a spectrum
was questioned ???????
 Late 1980s : the biology of HPV and cervical
oncogenesis was increasingly understood.
 Human papillomavirus interacts with
squamous epithelia in 2 basic ways.
 The productive viral infection caused by Low
& high risk HPV  (self limited
spontaneously resolve)
and
 The true neoplastic process confined to
epithelium but with the capacity to progress
to invasive cancer if not treated.
High grade, high risk HPV, desregulation of
E6&E7,monoclonal with chromosomal
alteration
 In 1989 , Bethesda system was introduced to
standardize the reporting of cervical cytology
results and to incorporate new insights
gained from the discovery of HPV.
 The name of pre-invasive lesions were
changed to squamous intraepithelial lesions
(SIL)
 Subdivided only to 2 grades (Low & High).
Cervical
Cytology
 First Bethesda workshop in 1988
 Followed by another in 1991
 Latest was in 2001
 9 forums
 Internet based bulletin
 1000 comments regarding draft
recommendations
 Countries all over the world participated
 Clinicians, pathologists, cytopathologists,
cytotechnologists, patient’s advocates,
public organizations
 The Bethesda system recommends a specific
format for cytology report including
comments on :
specimen adequacy
general categorization
interpretation/results
 Within the two tiered terminology system
Controversy :
 Northern America  SIL/ASC
 BSCC system in UK Dyskaryosis/Borderline
 Modified Bethesda in Australia
 Europe and some other countries CIN
terminology
Satisfactory for evaluation
 A satisfactory squamous component must be
present
 Note the presence/absence of endocervical/
transformation zone component
 Obscuring elements (inflammation, blood,
drying artifact, other) may be mentioned if
50–75% of epithelial cells are obscured
 Specimen rejected/not processed because (specify
reason). Reasons may include:
• lack of patient identification
• unacceptable specimen (e.g. slide broken beyond
repair)
 Specimen processed and examined, but
unsatisfactory for evaluation of an epithelial
abnormality because (specify reason). Reasons may
include:
• insufficient squamous component.
• obscuring elements cover more than 75% of
epithelial cells.
LOW GRADE SQUAMOUS
INTRAEPITHELIAL LESION
(CIN I & HPV)
Moderate Dysplasia (CIN II)
Human Papilloma
Virus (HPV)
Ancillary
Tests
 Ancillary tests such as HPV testing
HPV Digene (+ or -)
Molecular PCR testing : Sub-typing
 P16 immunohistochemistry
 Automated screening
 recommendations
Histology
reporting of
preinvasive
lesions
 Renewed debate about adopting a 2-tiered
low-grade and high-grade terminology for all
LAT HPV-associated intraepithelial lesions.
 Better reflects the known biology of HPV-
associated disease, diagnostic variability
is reduced, management & patient outcome
improved.
The Lower Anogenital Squamous Terminology
-Recommend terminology that is unified
across lower anogenital sites. (All sites,
both sex)
-Create a histopathological nomenclature
system that reflects current knowledge of
HPV biology
-Optimally uses available biomarkers
-Facilitates clear communication across
different medical specialties
The Lower Anogenital Squamous Terminology
(LAST) Project was cosponsored by
 the College of American Pathologists (CAP)
and
 the American Society for Colposcopy and
Cervical Pathology (ASCCP)
5 working groups;
 WG 1 provided the historical background
 WG 2,3,4 performed comprehensive
literature reviews and developed draft
recommendations for SIL, SISCCA&
biomarkers .
 WG 5 will continue to foster implementation
of the LAST recommendations.
 Literature review(> 1000 articles)
 Inclusion & exclusion criteria.
 Data extraction.
 Member’s expert opinions
 Draft recommendations
 Open comment period (15 Jan-15 Feb 2012)
 Recommendations were finalized and voted
on at the consensus meeting (March 2012).
 A unified histopathological nomenclature for
all HPV-associated of all LAT sites.
 A 2-tiered nomenclature is recommended :
squamous intraepithelial lesion (SIL)
 (LSIL) and (HSIL), which may be further
classified by the applicable IN
sub categorization.
 IN refers to intraepithelial neoplasia.
For a specific location : cervix = CIN 3,
vagina = VaIN 3, vulva = VIN 3, anus = AIN
3,perianus = PAIN 3, and penis = PeIN 3
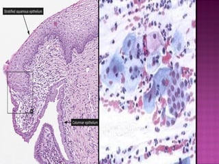
HSIL vs. Immature
inflamed squamous
metaplasia
HSIL vs. Reparative atypia
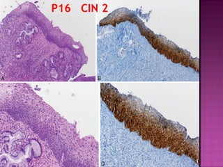
P16 CIN 2
 Initiate action plans for implementation
of the recommendations.
 Disseminate, Implement & Monitor .
 Effective communication
 educational programs detailing the
recommendations and their appropriate
incorporation into practice
 The LAST Project recommendations reflect
the participants’ consensus judgment for
best evidence-based pathology practice and
nomenclature for HPV-associated squamous
lesions of the LAT.
The work is not yet done.
 Definition of dysplasia
 Bethesda 2001 for PAP smear reporting
 Pathological reporting of preinvasive cervical
lesions.
 The LAST terminology
THANK YOU

Dr layla abdullah cytology & patholog

  • 1.
    DR LAYLA S.ABDULLAH,MD,FRCPC ASSOCIATE PROFESSOR/CONSULTANT DEPARTMENT OF PATHOLOGY FACULTY OF MEDICINE KING ABDULAZIZ UNIVERSITY
  • 2.
     Preinvasive lesions( definition)  Historical review of terminologies  The latest cytological terminology : The 2001 Bethesda System for reporting of PAP smears .  The LAST classification .
  • 3.
     Cervical cancerwas the most frequent form of cancer around the world.  Impact of cervical cancer screening: Decrease incidence of invasive tumors and increase incidence in the detection of cervical preinvasive lesions (dysplasia).
  • 4.
     Definition: Derived fromthe Greek word DYS for ‘‘bad’’ and PLASIA for ‘‘molding’’ used in many areas of medicine to describe a nonmalignant process.
  • 5.
     Dysplasia isan abnormal growth and maturation of cervical squamous epithelium  Cytological and architectural changes of cervical cells/ loss of polarity  limited by the basement membrane  Pre-invasive, precancerous, Pre-malignant lesions  Graded mild, moderate, or severe
  • 9.
     HPV related( Serotypes: High risk: 16, 18, 31, and 33)  Integration of viral genes into host genome inactivate p53 and retinoblastoma tumor suppressor genes.
  • 10.
    Historical Review Of TerminologiesFor Cervical Preinvasive Lesions
  • 11.
     The earliestdescription of intraepithelial pre-cancer was by Sir John Williams in 1888.  carcinoma in situ (CIS) : cells that morphologically looked like cancer but had not invaded below the basement membrane  2-tiered clinical approach : - Hysterectomy for women with CIS and - No treatment for women without it
  • 12.
     Surface lesionsexisted on the cervix that had abnormal histological features that did not fulfill the criteria for CIS.  Lower risk for progressing to cancer than CIS does.
  • 13.
     ( Kossand Durfee) ballooned cytoplasm  koilocytes from the Greek word for ‘‘empty space,’’  similarity to descriptions of Reagan’s mild dysplasia.  In 1976, Meisels and Fortin linked koilocytotic atypia with HPV.
  • 15.
    proposed :  cervicalcarcinogenesis was a continuum of disease ranging from mild dysplasia to cervical cancer  He coined the term cervical intraepithelial neoplasia (CIN) to emphasize its association as a precursor to cancer
  • 16.
     CIN :spectrum of cytological and histological changes that shared a common etiology, biology and natural history  All groups (CIN I ,II,III and ca insitu) represented different stages of a single biological continuum
  • 17.
    CIN terminology waswidely adopted for use both in histology and cytology
  • 19.
    CIN I CINII CIN III/Ca Insitu
  • 20.
     As ourunderstanding of pathogenesis of cervical cancer and its precursors improved and increased.
  • 21.
    Ostor AG. Naturalhistory of cervical intraepithelial neoplasia :a critical review. Int J Gynecol Pathol 1993;12:186-92. regress persist Progress to CIS Progress to invasion CIN 1 57% 32% 11% 1% CIN 2 43% 35% 22% 5% CIN 3 32% 56% >12%
  • 22.
     CIN biologicalclassification as a spectrum was questioned ???????
  • 24.
     Late 1980s: the biology of HPV and cervical oncogenesis was increasingly understood.
  • 25.
     Human papillomavirusinteracts with squamous epithelia in 2 basic ways.
  • 26.
     The productiveviral infection caused by Low & high risk HPV  (self limited spontaneously resolve) and  The true neoplastic process confined to epithelium but with the capacity to progress to invasive cancer if not treated. High grade, high risk HPV, desregulation of E6&E7,monoclonal with chromosomal alteration
  • 27.
     In 1989, Bethesda system was introduced to standardize the reporting of cervical cytology results and to incorporate new insights gained from the discovery of HPV.  The name of pre-invasive lesions were changed to squamous intraepithelial lesions (SIL)  Subdivided only to 2 grades (Low & High).
  • 29.
  • 30.
     First Bethesdaworkshop in 1988  Followed by another in 1991  Latest was in 2001
  • 31.
     9 forums Internet based bulletin  1000 comments regarding draft recommendations  Countries all over the world participated  Clinicians, pathologists, cytopathologists, cytotechnologists, patient’s advocates, public organizations
  • 32.
     The Bethesdasystem recommends a specific format for cytology report including comments on : specimen adequacy general categorization interpretation/results
  • 34.
     Within thetwo tiered terminology system Controversy :  Northern America  SIL/ASC  BSCC system in UK Dyskaryosis/Borderline  Modified Bethesda in Australia  Europe and some other countries CIN terminology
  • 41.
    Satisfactory for evaluation A satisfactory squamous component must be present  Note the presence/absence of endocervical/ transformation zone component  Obscuring elements (inflammation, blood, drying artifact, other) may be mentioned if 50–75% of epithelial cells are obscured
  • 42.
     Specimen rejected/notprocessed because (specify reason). Reasons may include: • lack of patient identification • unacceptable specimen (e.g. slide broken beyond repair)  Specimen processed and examined, but unsatisfactory for evaluation of an epithelial abnormality because (specify reason). Reasons may include: • insufficient squamous component. • obscuring elements cover more than 75% of epithelial cells.
  • 50.
  • 53.
  • 58.
  • 59.
     Ancillary testssuch as HPV testing HPV Digene (+ or -) Molecular PCR testing : Sub-typing  P16 immunohistochemistry  Automated screening  recommendations
  • 60.
  • 61.
     Renewed debateabout adopting a 2-tiered low-grade and high-grade terminology for all LAT HPV-associated intraepithelial lesions.  Better reflects the known biology of HPV- associated disease, diagnostic variability is reduced, management & patient outcome improved.
  • 62.
    The Lower AnogenitalSquamous Terminology
  • 63.
    -Recommend terminology thatis unified across lower anogenital sites. (All sites, both sex) -Create a histopathological nomenclature system that reflects current knowledge of HPV biology -Optimally uses available biomarkers -Facilitates clear communication across different medical specialties
  • 65.
    The Lower AnogenitalSquamous Terminology (LAST) Project was cosponsored by  the College of American Pathologists (CAP) and  the American Society for Colposcopy and Cervical Pathology (ASCCP)
  • 66.
    5 working groups; WG 1 provided the historical background  WG 2,3,4 performed comprehensive literature reviews and developed draft recommendations for SIL, SISCCA& biomarkers .  WG 5 will continue to foster implementation of the LAST recommendations.
  • 67.
     Literature review(>1000 articles)  Inclusion & exclusion criteria.  Data extraction.  Member’s expert opinions  Draft recommendations  Open comment period (15 Jan-15 Feb 2012)
  • 68.
     Recommendations werefinalized and voted on at the consensus meeting (March 2012).
  • 69.
     A unifiedhistopathological nomenclature for all HPV-associated of all LAT sites.  A 2-tiered nomenclature is recommended : squamous intraepithelial lesion (SIL)  (LSIL) and (HSIL), which may be further classified by the applicable IN sub categorization.  IN refers to intraepithelial neoplasia. For a specific location : cervix = CIN 3, vagina = VaIN 3, vulva = VIN 3, anus = AIN 3,perianus = PAIN 3, and penis = PeIN 3
  • 71.
    HSIL vs. Immature inflamedsquamous metaplasia
  • 72.
  • 73.
  • 74.
     Initiate actionplans for implementation of the recommendations.  Disseminate, Implement & Monitor .  Effective communication  educational programs detailing the recommendations and their appropriate incorporation into practice
  • 75.
     The LASTProject recommendations reflect the participants’ consensus judgment for best evidence-based pathology practice and nomenclature for HPV-associated squamous lesions of the LAT.
  • 76.
    The work isnot yet done.
  • 77.
     Definition ofdysplasia  Bethesda 2001 for PAP smear reporting  Pathological reporting of preinvasive cervical lesions.  The LAST terminology
  • 78.