Benha university, Egypt
Aboubakr Elnashar
Contents
I. Cervical cancer
1. Magnitude of the Problem
2. Premalignant stages
3. Risk factors
4. Screening
II. Methods of screening
III. Screening in developing countries
Aboubakr Elnashar
I. Cervical cancer
1. Magnitude of the Problem
 World wide: 3rd most common female cancer
 Developing countries: 80 % of all cases
 Egypt: 2nd most common female cancer
 Developed countries: decrease since mid 1980 s
Aboubakr Elnashar
Incidence of Gynecologic Cancers in Egyptian
Women
00
55
1010
1515
2020
2525
BreastBreast
CancerCancer
CervicalCervical
CancerCancer
OvarianOvarian
CancerCancer
UterineUterine
CancerCancer
PercentPercent
Source: GLOBOCANSource: GLOBOCAN 20002000..
Aboubakr Elnashar
CIN
(%)
No
StudyUniversityYearAuthor
1.074458HospitalCairo1987Hammad et al
3.15453CommunitySuez canal2007Abd El All et al
3.125522HospitalAin Shams2004-
2010
Shalakany
(2012)
5.43600HospitalMinia2014Sanad et al
Prevalence of CIN in Egypt
(Elnashar, 2014)
invasive cx ca in Egypt:
0.04%
(AbdelAll et al, 2007)
Aboubakr Elnashar
CIN in Muslim women
El Dosoky et al(1995) Jeddah, S. Arabia (The lancet,345:650)
•Rate: 1.3%.
The assumption that CIN is rare in Muslim women is
doubtful.
•Risk factors:
1.Multiple marital events such as divorce & remarriage
2. Multiparity
3. Early age of first intercourse
4. Laxity in observing the Islamic moral codes.
Aboubakr Elnashar
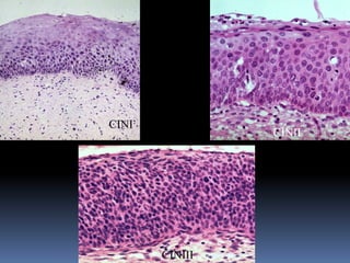
2. Premalignant stage
Cervical intraepithelial neoplasia (CIN): includes
Dysplasia & CIS
CIN 1 = Mild D.
CIN 2= Moderate D.
CIN 3= Severe D or CIS.
Aboubakr Elnashar
CINI
CINII
CINIII Aboubakr Elnashar
Squamous intraepithelial lesion (SIL): includes HPV
& CIN.
Low grade SIL= CIN 1 or HPV.
High grade SIL= CIN 2 or 3
Aboubakr Elnashar
3. Risk factors
1.HPV: 99% of cervical cancer & high grade CIN are associated with HPV
Types 16 and 18, are responsible for 70%of all cervical cancers.
2. Cigarette smoking
3. OCP
4. Immunosuppression
5. Dietary factors: Deficiency of folic ac, vit A
6. Sexual factors:
Multiple sexual partners, Early age of first SI, Male partner
7. Reproductive factors:
Multiparity, > 4 live births, early age of first birth, No of vag deliveries
8. Low socioeconomic status Aboubakr Elnashar
Aboubakr Elnashar
HPV types
Oncogenic potential HPV TYPES
LOW 6, 11,14,43,44
INTERMEDIATE 31,33,35,51,52,
HIGH 16,18, 45, 56
Aboubakr Elnashar
13 high-risk HPV
16, 18,
31, 33, 35, 39
45,
51, 52, 56, 58, 59,
68.
Aboubakr Elnashar
Cervical cancer is a preventable disease
1. Has a characteristic natural course with a slow
progression through a premalignant stage.
2. A premalignant stage can be detected by
noninvasive means (Pap smear, cervicography &
VIA).
3. An effective treatment for the premalignant lesions
Aboubakr Elnashar
4. Screening
Methods of Prevention
 Primary:
 Avoidance of the precipitating & risk factors
 Counseling
 Vaccination
 Secondary:
 Screening
 Early detection
 Tertiary:
 Treatment or mitigation of damage
Aboubakr Elnashar
 Secondary Prevention
Screening:
Systematic application of a test in
asymptomatic person
to identify pre clinical lesions.
Types of screening:
1. Selective: Screening high risk groups
2. Mass: Screening all population
Aboubakr Elnashar
WHO requirements for prospective screening
programs
 The condition should pose an important health
problem.
 The natural history of the disease should be well
understood
 There should be recognizable early stage
 Adequate facilities for the diagnosis and treatment of
the abnormalities detected.
 Suitable acceptable test.
 The cost of the screening program should be
balanced against the benefit it provides.
Aboubakr Elnashar
 Criteria for Screening Test
1. Simple
2. Sensitive
3. Specific
4. Capable of being performed by paramedics
5. Cheap
6. Acceptable to population
7. Accurate
8. Repeatable
 Sensitivity: Probability of test to be positive when the disease is
present
 Specificity: Probability of the test to be negative when the disease is
absent
Aboubakr Elnashar
 Benefits of early detection/screening
1. Improve prognosis:
Decrease mortality & morbidity
Increase survival
2. Less radical treatment:
Decrease expenses
3. Reassurance
Aboubakr Elnashar
II. Methods of cervical cancer
screening
A. Cytological
1. Conventional Pap. Smear
2. Liquid-based monolayers: LBC
3. Automated cytological screening
B. HPV testing
Aboubakr Elnashar
C. Visual
1. Visual inspection of the cervix
a. Unaided
b. Visual inspection with acetic acid (VIA)
c. Visual inspection with acetic acid and magnification (VIAM)
d. Visual inspection with Lugol’s Iodine (VILI)
2. Colposcopy.
3. Gynocular
4. Cervicography
5. Videocolpography
6. Speculoscopy
Aboubakr Elnashar
D. Physical
1. Truscan (Polarprobe)
2. Fluorescence spectroscopy
3. Autofluorescence Colpoprobe
Aboubakr Elnashar
A. Cytology
1. Conventional Pap test
used for ≥50 y all across the globe.
widely used for in most developed countries
Meets all the requirements for mass screening:.
 Fairly tolerated by patients
Easy to administer
 Reasonable sensitivity & specificity.
Detection of endocervical lesions.
Aboubakr Elnashar
Precautions:
No sexual intercourse,vaginal douche, medication
No lubrication, powder, pelvic examination , acetic
acid
Instruments & materials:
Speculum,
Spatula:
cytobrush or cotton tipped swab for the endocervical
canal
Ayre s spatula for the ectocervix
fixative, jar, slide
Aboubakr Elnashar
Steps:
Taking the sample: from the ectocervix and
endocervix, either with a spatula or brush
Smearing: circular motion
Fixation: Ethyl alcohol, Coating spray
Staining:
Examination under a microscope by specially trained
technologists and
doctors.
Aboubakr Elnashar
Aboubakr Elnashar
Aboubakr Elnashar
Aboubakr Elnashar
Aboubakr Elnashar
CINIII
CINIII
Aboubakr Elnashar
Aboubakr Elnashar
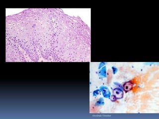
Normal ASCUS LSIL HSIL
Aboubakr Elnashar
Performance
Overall low sensitivity: 37.8 to 81.3% at ASCUS
threshold with an average of 64.5%
High specificity: 85.7 to 98.5% with a mean of
92.3%.[Sankaranarayanan et al, 2004]
False-negative rates: high wherein premalignant
or malignant cells have been misdiagnosed as
normal.
The wide variability in the performance: test
needs to be repeated at frequent intervals to
achieve programmatic effectiveness.
Aboubakr Elnashar
Strengths
 Historical success in developed countries:
reduction in the cervical cancer incidence and
mortality
 High specificity: women with no cervical
abnormalities are correctly identified by the test
with normal test results.
 A well characterized screening approach.
 May have the potential to be cost-effective in
middle-income countries.
Aboubakr Elnashar
Limitations
 Moderate to low sensitivity:
 High rate of false-negative test results 20-40%
 Women must be screened frequently
 Rater dependent
 Requires complex infrastructure: Complex laboratory test
 Require trained cytologist
 Requires multiple visits
 Results are not immediately available
 Less accurate among post-menopausal women
 Impossible to locate the lesion.
 Continuous monitoring needed to maintain high-quality
results
 Usually available only in large cities in many countries
Aboubakr Elnashar
 Conclusions:
 Continue to be the mainstay of cervical cancer in
developed countries
organized program settings
good-quality screening,
adequate coverage
optimal frequency.
infrastructure and laboratory quality assurance
 impractical approach for many low-resource
settings.
Aboubakr Elnashar
Aboubakr Elnashar
2. Liquid-based monolayers
(ThinPrep, CytoRich)
Steps:
•Cells are collected using a brush instead of a
spatula.
•Head of the brush is vigorously shaken or broken off
into a small pot of liquid containing preservative
solution.
•The sample is filtered or centrifuged to remove
excess blood and debris.
•The cells are then transferred to the slide in a
“mono” layer.
•Staining.
Aboubakr Elnashar
Advantages:
•It removes most mucus, protein& fresh blood cells,
•distributes the cells uniformly
•improves fixation
•maintains diagnostic clusters
Aboubakr Elnashar
LBC Vs Conventional Pap
More expensive
Repeat smear rates: 1 to 2% Vs 9%
Less false negative rate
No difference in the relative sensitivity.
No difference in the relative specificity, when H
and L- GSIL were considered as cutoff.
better in predicting CIN
It is the preferred tool for cervical cytology
screening
Aboubakr Elnashar
Aboubakr Elnashar
3. Automated Pap smears
To reduce errors by using computerized analysis to
evaluate Pap smear slides.
1. Autocyte
•Composed of an algorithmic & neural network
scanner
•Scans the slides & records images of 128 of the
most abnormal fields found on the slide, with the
most significant abnormality found in the center.
•It reduces costs & shortens screening time.
•Detects 97.2% of the abnormal tests (Koss et al,1994).
Aboubakr Elnashar
Various cell images are presented to a human
reviewer, who then determines whether a manual
review is required.
The reviewer first needs to enter an opinion, after
which the device reveals its determination based on
a ranking as to whether manual review is warranted
When the findings of both the reviewer and the
computer match and no review is needed, then, a
diagnosis of “within normal limits” is given.
Manual review is undertaken for cases which are
designated by either the cytologist or the computer
ranking as abnormal.
Aboubakr Elnashar
Aboubakr Elnashar
2. AutoPap.
The material on the slide is reviewed and scored
based on an algorithm, as to the likelihood of an
abnormality being present.
Typically, it does not show the cytotechnologist
which of the cells are likely to be abnormal.
Variety of visual characteristics, such as shape and
optical density of the cells, are included in the
algorithm.
•It reviews all normal & satisfactory smears
•As a primary screener, it removes 30 % of slides
from the workload
•97% sensitivity (Lee et al, 1997)
Aboubakr Elnashar
B. HPV testing
Role of HPV as a causative agent of cervical
cancer has been well established.
However, most HPV infections in young women
regress rapidly, without causing clinically significant
disease.
infection is a marker of sexual activity than of
cervical cancer risk.
Aboubakr Elnashar
 Hybrid Capture II kit (HC II, Qiagen Inc., USA)
Approved by FDA : frequently used.
The sample is collected similar to Pap, with a
cervical swab from TZ and placed into transport
medium.
 Detects whether a person is infected with one or
more of the 13 high-risk HPV viral types (types16,
18, 31, 33, 35, 39, 45, 51, 52, 56, 58, 59, and 68).
It is used as
Routine screening test above 30 to 35 y
To evaluate equivocal Pap test. ASCUS or LGSIL:
Oncogenic HPV: Colposcopy.
35 years: HPV testing/5 years & if +ve: Pap smear
Aboubakr Elnashar
•Negative predictive value: very high
•HPV testing could augment but not replace
cytological screening
Sensitivity for detecting CIN 2–3 lesions: 45.7 to
80.9%
Specificity: 91.7 to 94.6%.
HPV testing (Qiagen HCII)
most objective and reproducible of all cervical
screening tests
less demanding in terms of training and quality
assurance.
Aboubakr Elnashar
Not suitable as a primary screening test, because
of two problems:
1- Detect large number of low risk cases (13 types
of HPV).
2- Detection of transient HPV infections (it is
asymptomatic and of little clinical consequence).
That would increase unnecessarily the number of
follow-up diagnostic workups.
3- Viral load has low predictive value.
Low level HPV positivity is not correlated with
significant disease.
Aboubakr Elnashar
HPV testing requires sophisticated laboratories
and is currently unaffordable ($20 to $30 per test) in
less-developed countries.
HPV DNA- PCR testing (HPV typing): [Current
technique (HC2) Hybrid Capture 2]
Isolated HPV types could be detected.
Aboubakr Elnashar
Care HPV test (Qiagen Inc. USA) low cost
detect several types of HPV rapidly, within three
hours
without the requirement of specially trained
personnel or sophisticated laboratory.
Because of its simplicity and rapid completion:
allow screening and clinical follow-up to be
completed on the same day.
$8 per test
Aboubakr Elnashar
Aboubakr Elnashar
Aboubakr Elnashar
Aboubakr Elnashar
C. Visual
1. Visual examination of cervix
a. Unaided visual inspection
b. Visual inspection after application of acetic acid
(VIA)
c. VIA with magnification (VIAM)
d. Visual inspection after application of Lugol’s iodine
Aboubakr Elnashar
1. Unaided visual inspection
Good for Clinical Down staging
Misses Precancerous lesions
Dx at stage III & IV: ↓from 85% to 55%
Dx at stage I & II: ↑ from 15% to 45%
60% of early disease could be identified
11% were false positive
Only 15 of pre-cancerous lesions could be detected
(Singh et al 1992)
Aboubakr Elnashar
Effects of acetic acid:
.It coagulates the proteins of the nucleus &
cytoplasm & makes the protein opaque & white.
.It dehydrates the cells, the cytoplasmic volume is
reduced & the reflection is increased.
Duration:
appears after 20 seconds
disappears after 2 minutes.
Aboubakr Elnashar
Category Clinical Findings
Negative No acetowhite lesions or
faint acetowhite lesions;
polyp,
cervicitis, inflammation,
Nabothian cysts.
Positive Sharp, distinct, well-defined,
dense (opaque/dull or oyster white) acetowhite with
or without raised margins touching SCJ;
leukoplakia and
warts.
Suspicious
for cancer
ulcerative, cauliflower-like growth or
ulcer; oozing and/or bleeding on touch.Aboubakr Elnashar
2 . Visual inspection with acetic acid (VIA)
Aboubakr Elnashar
Normal NAAT
Positive
Suspicious for cancer
Aboubakr Elnashar
VIA Performance:
Source: Adapted from Gaffikin, 2003
Sensitivity Specificity
Pap 47-62 60-95
VIA 76-84 79-83
Aboubakr Elnashar
Aboubakr Elnashar
Strengths of VIA:
 Simple, easy-to-learn, minimally dependent upon
infrastructure.
 Low costs. Requires only acetic acid, a speculum, and
a light source (flashlight).
 Can be performed by nurses and midwives.
 Results are available immediately: allowing use of
“screen and treat” protocols.
 Requires only one visit.
 Accuracy is comparable to Pap smear.
 Can be followed by VILI.
Aboubakr Elnashar
Limitations:
 False-positives may overload the referral system:
unnecessary tt of women who are free of
precancerous lesions in a single-visit approach.
 Standard training and quality assurance measures
are required
 Less accurate among post-menopausal women.
 Rater dependent.
Aboubakr Elnashar
3. Visual Inspection with Acetic Acid Using
Magnification (VIAM) Gynoscopy = Aided VIA
 visualization of cervix after application of aa using low power magnification
(2.5x to 4x)
 Inexpensive, easy to use portable system, which can be used to screen
cervical cancer in developing countries.
 Sensitivity: 80%
 Specificity: 95% compared to Pap smear
Magnascope (4X)
Aboubakr Elnashar
4. Visual inspection after application of Lugol’s
iodine
Test performance:
(Sankaranarayanan et al., 2008).
SpecificitySensitivity
85.576.8VIA
85.491.7VILI
Aboubakr Elnashar
 Strengths of VILI:
 Simple, easy-to-learn that is minimally dependent
upon infrastructure.
 Low start-up and sustaining costs. Requires only
Lugol’s iodine in addition to the equipment for VIA.
 Can be performed by nurses and midwives.
 Test results are available immediately: Decreased
loss to follow-up.
 High sensitivity results in a low proportion of
false negatives.
 VILI appears to offer improved accuracy and
reproducibility over use of VIA alone.
Aboubakr Elnashar
Limitations of VILI:
 Moderate specificity may result in over-referral and
over-treatment in a single-visit approach.
 Less accurate when used in post-menopausal
 standard training and quality assurance measures
are required
 Rater dependent.
 Lugol’s solution stains underwear and other objects
but is washable..
 Lugol’s iodine is more expensive than acetic acid,
but less is needed for the test.
Aboubakr Elnashar
Categories for VILI test results:
Category Clinical Findings
Negative Squamous epithelium turns brown
columnar epithelium does not change
color; or
irregular, partial or non-iodine uptake
areas.
Positive Well-defined, bright yellow iodine non-
uptake areas touching SCJ or close to the
os if SCJ is not seen.
Suspicious
for cancer
ulcerative, cauliflower- like growth or
ulcer; oozing and/or bleeding on touch.
Aboubakr Elnashar
 VILI: test-positive
 Well-defined, bright yellow
iodine non-uptake areas
touching the SCJ
2. Screening colposcopy
In U.K. colposcopy is not screening tool:
expensive, time consuming, not portable,
experience & Lower specificity & increased false +ve
rate (Pete,1998)
In S.America & some European countries
colposcopy has a role in primary screening:
immediate diagnosis, determine site & extent, avoid
unnecessary smears& higher sensitivity (Elnashar et al
1997; Pete,1998).
Aboubakr Elnashar
It is more sensitive & more cost effective than
cytology screening (Cecchini,1997).
At least where access to cytopathology is difficult,
screening by colposcopy should be considered
Portable colposcopy is cost effective in rural
areas (Martin et al, 1998)
Aboubakr Elnashar
Colposcope :
low-power, stereoscopic, binocular field
microscope containing a powerful light source
The most common indication:
positive screening tests (e.g., positive cytology,
positive on VIA, etc.).
biopsies from suspicious areas
Endocervical curettage : obtained when the
colposcopy is unsatisfactory, i.e. scj cannot be
visualized.
Aboubakr Elnashar
Aboubakr Elnashar
Aboubakr Elnashar
Aboubakr Elnashar
Aboubakr Elnashar
Swede score
Aboubakr Elnashar
Swede score of 4 and above: Punch biopsies of
the cervix
Swede score 6 and above:
immediate treatment
with cold coagulation under visualisation with the
Gynocular and local anaesthesia.
patients not suitable for cold coagulation or with
biopsies revealing microinvasive cervical disease or
worse: appropriate diagnostic workup and
management protocol.
Aboubakr Elnashar
Aboubakr Elnashar
Advantages of colposcopy
1.Can be applied at each gynecologic examination with
ease & produce immediate results.
2. Determine the site & the extent of the lesion.
3. Not very expensive
4. Can be learned by every physician
5. Can differentiate between inflammatory atypia &
neoplasia, between invasive & non-invasive lesions.
6. HPV are best detected by colposcopy.
7. Avoid unnecessary smear, biopsy, conization &
hysterectomy.
8. Good for follow-up
9.Cytologic smears may be obtained under colposcopic
direction
Aboubakr Elnashar
Disadvantage of colposcopy
Inability for detection of endocervical lesions
Aboubakr Elnashar
3. Gynocular
Mini colposcope, portable colposcope
•Easy to use: Handheld or used with a tripod
•pocket-size battery: Battery operated (2 hrs of working
time/charge)
•Provide gold-standard examination:
Red-free/green filter mode
Capture digital images
Take videos
low-resource countries.
Aboubakr Elnashar
Aboubakr Elnashar
charger and mounting clip for
camera tripod.
lens, green filter,and warm
white LED illumination.
Aboubakr Elnashar
Aboubakr Elnashar
Aboubakr Elnashar
Aboubakr Elnashar
4. Cervicography
•History: Stafl (1981)
•Instrument: Macrolens camera,Illumination
•Technique:
5% acetic acid is applied to the cervix & after 1 min 2
photographs are taken.
The film is developed as 35 mm slides & these are
projected & interpreted by an experienced doctor at a
central laboratory, classifying them as negative, atypical,
or positive.
Aboubakr Elnashar
Aboubakr Elnashar
•Advantages:
•Cerv Ca Prevention in Low- and Middle-Income
Countries
- Cost effective in screening for HGSIL & follow up
ASCUS & LGSIL
- Permanent documentation
- Performed by paraprofessional personnel
-higher sensitivity than cytology
- superior to cytology but inferior to colposcopy
Aboubakr Elnashar
Disadvantages:
- Lower specificity ---- high false +ve rate especially
LGSIL
- Unable to evaluate the endocervical canal
- Images cannot be viewed immediately or
manipulated.
•New evaluation criteria to decrease the false +ve rate.
Uses:
-Primary screening method when cytology is not
available.
-cannot be recommended for universal screening,
though it may have a role in the follow-up of patients
with a mildly abnormal cervical smear.
-Secondary screening method
Aboubakr Elnashar
5. Videocolpography
(Etherington et al,1997)
5% acetic acid is applied to the cervix,
vidorecording using a videocamera (with
macrolens , an autofocus, narrow beam
lightening system & mounted on a pan/tilt
device attached toa portable stand allowing
hand-free operation).
Advantages:
- Accurate, quick & portable
- relatively inexpensive
- performed by paraprofessional personnel
Aboubakr Elnashar
6. Speculoscopy
(Lonky et al,1995)
5% acetic acid is applied to the cervix & vagina,
an activated blue-white chemiluminescent light is
attached to the inner aspect of the upper
speculum blade, the room lights are dimmed, the
cervix & vagina are inspected with magnifying
loupes (5 X).
Aboubakr Elnashar
Aboubakr Elnashar
•Any acetowhite area is considered +ve.
•Speculoscopy is more specific but less sensitive
than colposcopy.
•The cost is comparable to that of cytology &
significantly less than that of colposcopy.
•It lacks variable magnification & colposcopic
discrimination.
•It relies on acetowhite epi. without looking for
atypical vessels.
Aboubakr Elnashar
Truscan (Polarprobe)
(Coppleson,1995)
•A portable optoelectric instrument that measures 2 sets
of physical parameters: voltage decay & the
wavelengths of light.
•It uses a computer algorithm to combine both the
electrical & the optical information & draws a statistical
inference about the likelihood of malignancy.
Aboubakr Elnashar
Aboubakr Elnashar
•The Truscan tip is 5 m m diameter & 15 cm long.The
probe reads the reflected light on a photoelectrode. The
information received by the probe is then analyzed by an
attached computer.
•Concordance was found between polarprobe &
histology in 91%.
•Advantages:
immediate diagnosis, objectivity, low cost, detect
malignancy in other body sites, suitable for developing
countries.
Aboubakr Elnashar
III. Screening in developing
countries
Difference between developing & developed
countries
I. Higher incidence: 80%
II. Higher mortality: 90%
III. Different risk factors
IV. Poor financial, human & technical resources
V. Inadequate follow up
Screening as used in the developed world is
inappropriate in developing countries (Singer,1995)
Aboubakr Elnashar
Alliance for Cervical Cancer Prevention
2009
ACCP partners have summarized and shared key
findings and recommendations for effective cervical
cancer screening and treatment programs in low-
resource settings:
1. In low-resource settings, the optimal age-group
for cervical cancer screening to achieve the
greatest public health impact is 30–39-year-olds.
Aboubakr Elnashar
2. Although cytology-based screening programs
using Pap smears have been shown to be effective
in developed countries, sustaining high-quality
cytology- based programs is difficult in low-resource
settings.
Therefore, in settings where health care resources
are scarce, they should be directed toward cost-
effective strategies that are more affordable and for
which quality can be assured.
Aboubakr Elnashar
3. The most efficient and effective strategy for
detecting and treating cervical cancer precursors in
low-resource settings is to screen using either VIA or
HPVDNA testing and then to treat using cryotherapy.
This strategy is optimally achieved in a single visit
and can be carried out by competent physicians and
nonphysicians, including nurses and midwives.
4. The use of HPV DNA testing followed by
cryotherapy results in a greater reduction in the
incidence of cervical cancer precursors than the use
of other screen-and-treat approaches.
Aboubakr Elnashar
5. When conducted by competent providers,
cryotherapy is a safe way of treating precancerous
cervical lesions and results in cure rates of at least
85%.
6. Unless cervical cancer is suspected, the routine
use of an intermediate diagnostic step (such as
colposcopy) between screening and treatment is
generally not efficient and may result in reduced
programmatic success and increased cost.
Aboubakr Elnashar
Thank you
Aboubakr Elnashar

Screening for cervical cancer

  • 1.
  • 2.
    Contents I. Cervical cancer 1.Magnitude of the Problem 2. Premalignant stages 3. Risk factors 4. Screening II. Methods of screening III. Screening in developing countries Aboubakr Elnashar
  • 3.
    I. Cervical cancer 1.Magnitude of the Problem  World wide: 3rd most common female cancer  Developing countries: 80 % of all cases  Egypt: 2nd most common female cancer  Developed countries: decrease since mid 1980 s Aboubakr Elnashar
  • 4.
    Incidence of GynecologicCancers in Egyptian Women 00 55 1010 1515 2020 2525 BreastBreast CancerCancer CervicalCervical CancerCancer OvarianOvarian CancerCancer UterineUterine CancerCancer PercentPercent Source: GLOBOCANSource: GLOBOCAN 20002000.. Aboubakr Elnashar
  • 5.
    CIN (%) No StudyUniversityYearAuthor 1.074458HospitalCairo1987Hammad et al 3.15453CommunitySuezcanal2007Abd El All et al 3.125522HospitalAin Shams2004- 2010 Shalakany (2012) 5.43600HospitalMinia2014Sanad et al Prevalence of CIN in Egypt (Elnashar, 2014) invasive cx ca in Egypt: 0.04% (AbdelAll et al, 2007) Aboubakr Elnashar
  • 6.
    CIN in Muslimwomen El Dosoky et al(1995) Jeddah, S. Arabia (The lancet,345:650) •Rate: 1.3%. The assumption that CIN is rare in Muslim women is doubtful. •Risk factors: 1.Multiple marital events such as divorce & remarriage 2. Multiparity 3. Early age of first intercourse 4. Laxity in observing the Islamic moral codes. Aboubakr Elnashar
  • 7.
    2. Premalignant stage Cervicalintraepithelial neoplasia (CIN): includes Dysplasia & CIS CIN 1 = Mild D. CIN 2= Moderate D. CIN 3= Severe D or CIS. Aboubakr Elnashar
  • 8.
  • 9.
    Squamous intraepithelial lesion(SIL): includes HPV & CIN. Low grade SIL= CIN 1 or HPV. High grade SIL= CIN 2 or 3 Aboubakr Elnashar
  • 10.
    3. Risk factors 1.HPV:99% of cervical cancer & high grade CIN are associated with HPV Types 16 and 18, are responsible for 70%of all cervical cancers. 2. Cigarette smoking 3. OCP 4. Immunosuppression 5. Dietary factors: Deficiency of folic ac, vit A 6. Sexual factors: Multiple sexual partners, Early age of first SI, Male partner 7. Reproductive factors: Multiparity, > 4 live births, early age of first birth, No of vag deliveries 8. Low socioeconomic status Aboubakr Elnashar
  • 11.
  • 12.
    HPV types Oncogenic potentialHPV TYPES LOW 6, 11,14,43,44 INTERMEDIATE 31,33,35,51,52, HIGH 16,18, 45, 56 Aboubakr Elnashar
  • 13.
    13 high-risk HPV 16,18, 31, 33, 35, 39 45, 51, 52, 56, 58, 59, 68. Aboubakr Elnashar
  • 14.
    Cervical cancer isa preventable disease 1. Has a characteristic natural course with a slow progression through a premalignant stage. 2. A premalignant stage can be detected by noninvasive means (Pap smear, cervicography & VIA). 3. An effective treatment for the premalignant lesions Aboubakr Elnashar
  • 15.
    4. Screening Methods ofPrevention  Primary:  Avoidance of the precipitating & risk factors  Counseling  Vaccination  Secondary:  Screening  Early detection  Tertiary:  Treatment or mitigation of damage Aboubakr Elnashar
  • 16.
     Secondary Prevention Screening: Systematicapplication of a test in asymptomatic person to identify pre clinical lesions. Types of screening: 1. Selective: Screening high risk groups 2. Mass: Screening all population Aboubakr Elnashar
  • 17.
    WHO requirements forprospective screening programs  The condition should pose an important health problem.  The natural history of the disease should be well understood  There should be recognizable early stage  Adequate facilities for the diagnosis and treatment of the abnormalities detected.  Suitable acceptable test.  The cost of the screening program should be balanced against the benefit it provides. Aboubakr Elnashar
  • 18.
     Criteria forScreening Test 1. Simple 2. Sensitive 3. Specific 4. Capable of being performed by paramedics 5. Cheap 6. Acceptable to population 7. Accurate 8. Repeatable  Sensitivity: Probability of test to be positive when the disease is present  Specificity: Probability of the test to be negative when the disease is absent Aboubakr Elnashar
  • 19.
     Benefits ofearly detection/screening 1. Improve prognosis: Decrease mortality & morbidity Increase survival 2. Less radical treatment: Decrease expenses 3. Reassurance Aboubakr Elnashar
  • 20.
    II. Methods ofcervical cancer screening A. Cytological 1. Conventional Pap. Smear 2. Liquid-based monolayers: LBC 3. Automated cytological screening B. HPV testing Aboubakr Elnashar
  • 21.
    C. Visual 1. Visualinspection of the cervix a. Unaided b. Visual inspection with acetic acid (VIA) c. Visual inspection with acetic acid and magnification (VIAM) d. Visual inspection with Lugol’s Iodine (VILI) 2. Colposcopy. 3. Gynocular 4. Cervicography 5. Videocolpography 6. Speculoscopy Aboubakr Elnashar
  • 22.
    D. Physical 1. Truscan(Polarprobe) 2. Fluorescence spectroscopy 3. Autofluorescence Colpoprobe Aboubakr Elnashar
  • 23.
    A. Cytology 1. ConventionalPap test used for ≥50 y all across the globe. widely used for in most developed countries Meets all the requirements for mass screening:.  Fairly tolerated by patients Easy to administer  Reasonable sensitivity & specificity. Detection of endocervical lesions. Aboubakr Elnashar
  • 24.
    Precautions: No sexual intercourse,vaginaldouche, medication No lubrication, powder, pelvic examination , acetic acid Instruments & materials: Speculum, Spatula: cytobrush or cotton tipped swab for the endocervical canal Ayre s spatula for the ectocervix fixative, jar, slide Aboubakr Elnashar
  • 25.
    Steps: Taking the sample:from the ectocervix and endocervix, either with a spatula or brush Smearing: circular motion Fixation: Ethyl alcohol, Coating spray Staining: Examination under a microscope by specially trained technologists and doctors. Aboubakr Elnashar
  • 26.
  • 27.
  • 28.
  • 29.
  • 30.
  • 31.
  • 32.
    Normal ASCUS LSILHSIL Aboubakr Elnashar
  • 33.
    Performance Overall low sensitivity:37.8 to 81.3% at ASCUS threshold with an average of 64.5% High specificity: 85.7 to 98.5% with a mean of 92.3%.[Sankaranarayanan et al, 2004] False-negative rates: high wherein premalignant or malignant cells have been misdiagnosed as normal. The wide variability in the performance: test needs to be repeated at frequent intervals to achieve programmatic effectiveness. Aboubakr Elnashar
  • 34.
    Strengths  Historical successin developed countries: reduction in the cervical cancer incidence and mortality  High specificity: women with no cervical abnormalities are correctly identified by the test with normal test results.  A well characterized screening approach.  May have the potential to be cost-effective in middle-income countries. Aboubakr Elnashar
  • 35.
    Limitations  Moderate tolow sensitivity:  High rate of false-negative test results 20-40%  Women must be screened frequently  Rater dependent  Requires complex infrastructure: Complex laboratory test  Require trained cytologist  Requires multiple visits  Results are not immediately available  Less accurate among post-menopausal women  Impossible to locate the lesion.  Continuous monitoring needed to maintain high-quality results  Usually available only in large cities in many countries Aboubakr Elnashar
  • 36.
     Conclusions:  Continueto be the mainstay of cervical cancer in developed countries organized program settings good-quality screening, adequate coverage optimal frequency. infrastructure and laboratory quality assurance  impractical approach for many low-resource settings. Aboubakr Elnashar
  • 37.
  • 38.
    2. Liquid-based monolayers (ThinPrep,CytoRich) Steps: •Cells are collected using a brush instead of a spatula. •Head of the brush is vigorously shaken or broken off into a small pot of liquid containing preservative solution. •The sample is filtered or centrifuged to remove excess blood and debris. •The cells are then transferred to the slide in a “mono” layer. •Staining. Aboubakr Elnashar
  • 39.
    Advantages: •It removes mostmucus, protein& fresh blood cells, •distributes the cells uniformly •improves fixation •maintains diagnostic clusters Aboubakr Elnashar
  • 40.
    LBC Vs ConventionalPap More expensive Repeat smear rates: 1 to 2% Vs 9% Less false negative rate No difference in the relative sensitivity. No difference in the relative specificity, when H and L- GSIL were considered as cutoff. better in predicting CIN It is the preferred tool for cervical cytology screening Aboubakr Elnashar
  • 41.
  • 42.
    3. Automated Papsmears To reduce errors by using computerized analysis to evaluate Pap smear slides. 1. Autocyte •Composed of an algorithmic & neural network scanner •Scans the slides & records images of 128 of the most abnormal fields found on the slide, with the most significant abnormality found in the center. •It reduces costs & shortens screening time. •Detects 97.2% of the abnormal tests (Koss et al,1994). Aboubakr Elnashar
  • 43.
    Various cell imagesare presented to a human reviewer, who then determines whether a manual review is required. The reviewer first needs to enter an opinion, after which the device reveals its determination based on a ranking as to whether manual review is warranted When the findings of both the reviewer and the computer match and no review is needed, then, a diagnosis of “within normal limits” is given. Manual review is undertaken for cases which are designated by either the cytologist or the computer ranking as abnormal. Aboubakr Elnashar
  • 44.
  • 45.
    2. AutoPap. The materialon the slide is reviewed and scored based on an algorithm, as to the likelihood of an abnormality being present. Typically, it does not show the cytotechnologist which of the cells are likely to be abnormal. Variety of visual characteristics, such as shape and optical density of the cells, are included in the algorithm. •It reviews all normal & satisfactory smears •As a primary screener, it removes 30 % of slides from the workload •97% sensitivity (Lee et al, 1997) Aboubakr Elnashar
  • 46.
    B. HPV testing Roleof HPV as a causative agent of cervical cancer has been well established. However, most HPV infections in young women regress rapidly, without causing clinically significant disease. infection is a marker of sexual activity than of cervical cancer risk. Aboubakr Elnashar
  • 47.
     Hybrid CaptureII kit (HC II, Qiagen Inc., USA) Approved by FDA : frequently used. The sample is collected similar to Pap, with a cervical swab from TZ and placed into transport medium.  Detects whether a person is infected with one or more of the 13 high-risk HPV viral types (types16, 18, 31, 33, 35, 39, 45, 51, 52, 56, 58, 59, and 68). It is used as Routine screening test above 30 to 35 y To evaluate equivocal Pap test. ASCUS or LGSIL: Oncogenic HPV: Colposcopy. 35 years: HPV testing/5 years & if +ve: Pap smear Aboubakr Elnashar
  • 48.
    •Negative predictive value:very high •HPV testing could augment but not replace cytological screening Sensitivity for detecting CIN 2–3 lesions: 45.7 to 80.9% Specificity: 91.7 to 94.6%. HPV testing (Qiagen HCII) most objective and reproducible of all cervical screening tests less demanding in terms of training and quality assurance. Aboubakr Elnashar
  • 49.
    Not suitable asa primary screening test, because of two problems: 1- Detect large number of low risk cases (13 types of HPV). 2- Detection of transient HPV infections (it is asymptomatic and of little clinical consequence). That would increase unnecessarily the number of follow-up diagnostic workups. 3- Viral load has low predictive value. Low level HPV positivity is not correlated with significant disease. Aboubakr Elnashar
  • 50.
    HPV testing requiressophisticated laboratories and is currently unaffordable ($20 to $30 per test) in less-developed countries. HPV DNA- PCR testing (HPV typing): [Current technique (HC2) Hybrid Capture 2] Isolated HPV types could be detected. Aboubakr Elnashar
  • 51.
    Care HPV test(Qiagen Inc. USA) low cost detect several types of HPV rapidly, within three hours without the requirement of specially trained personnel or sophisticated laboratory. Because of its simplicity and rapid completion: allow screening and clinical follow-up to be completed on the same day. $8 per test Aboubakr Elnashar
  • 52.
  • 53.
  • 54.
  • 55.
    C. Visual 1. Visualexamination of cervix a. Unaided visual inspection b. Visual inspection after application of acetic acid (VIA) c. VIA with magnification (VIAM) d. Visual inspection after application of Lugol’s iodine Aboubakr Elnashar
  • 56.
    1. Unaided visualinspection Good for Clinical Down staging Misses Precancerous lesions Dx at stage III & IV: ↓from 85% to 55% Dx at stage I & II: ↑ from 15% to 45% 60% of early disease could be identified 11% were false positive Only 15 of pre-cancerous lesions could be detected (Singh et al 1992) Aboubakr Elnashar
  • 57.
    Effects of aceticacid: .It coagulates the proteins of the nucleus & cytoplasm & makes the protein opaque & white. .It dehydrates the cells, the cytoplasmic volume is reduced & the reflection is increased. Duration: appears after 20 seconds disappears after 2 minutes. Aboubakr Elnashar
  • 58.
    Category Clinical Findings NegativeNo acetowhite lesions or faint acetowhite lesions; polyp, cervicitis, inflammation, Nabothian cysts. Positive Sharp, distinct, well-defined, dense (opaque/dull or oyster white) acetowhite with or without raised margins touching SCJ; leukoplakia and warts. Suspicious for cancer ulcerative, cauliflower-like growth or ulcer; oozing and/or bleeding on touch.Aboubakr Elnashar 2 . Visual inspection with acetic acid (VIA)
  • 59.
  • 60.
    Normal NAAT Positive Suspicious forcancer Aboubakr Elnashar
  • 61.
    VIA Performance: Source: Adaptedfrom Gaffikin, 2003 Sensitivity Specificity Pap 47-62 60-95 VIA 76-84 79-83 Aboubakr Elnashar
  • 62.
    Aboubakr Elnashar Strengths ofVIA:  Simple, easy-to-learn, minimally dependent upon infrastructure.  Low costs. Requires only acetic acid, a speculum, and a light source (flashlight).  Can be performed by nurses and midwives.  Results are available immediately: allowing use of “screen and treat” protocols.  Requires only one visit.  Accuracy is comparable to Pap smear.  Can be followed by VILI.
  • 63.
    Aboubakr Elnashar Limitations:  False-positivesmay overload the referral system: unnecessary tt of women who are free of precancerous lesions in a single-visit approach.  Standard training and quality assurance measures are required  Less accurate among post-menopausal women.  Rater dependent.
  • 64.
    Aboubakr Elnashar 3. VisualInspection with Acetic Acid Using Magnification (VIAM) Gynoscopy = Aided VIA  visualization of cervix after application of aa using low power magnification (2.5x to 4x)  Inexpensive, easy to use portable system, which can be used to screen cervical cancer in developing countries.  Sensitivity: 80%  Specificity: 95% compared to Pap smear Magnascope (4X)
  • 65.
    Aboubakr Elnashar 4. Visualinspection after application of Lugol’s iodine Test performance: (Sankaranarayanan et al., 2008). SpecificitySensitivity 85.576.8VIA 85.491.7VILI
  • 66.
    Aboubakr Elnashar  Strengthsof VILI:  Simple, easy-to-learn that is minimally dependent upon infrastructure.  Low start-up and sustaining costs. Requires only Lugol’s iodine in addition to the equipment for VIA.  Can be performed by nurses and midwives.  Test results are available immediately: Decreased loss to follow-up.  High sensitivity results in a low proportion of false negatives.  VILI appears to offer improved accuracy and reproducibility over use of VIA alone.
  • 67.
    Aboubakr Elnashar Limitations ofVILI:  Moderate specificity may result in over-referral and over-treatment in a single-visit approach.  Less accurate when used in post-menopausal  standard training and quality assurance measures are required  Rater dependent.  Lugol’s solution stains underwear and other objects but is washable..  Lugol’s iodine is more expensive than acetic acid, but less is needed for the test.
  • 68.
    Aboubakr Elnashar Categories forVILI test results: Category Clinical Findings Negative Squamous epithelium turns brown columnar epithelium does not change color; or irregular, partial or non-iodine uptake areas. Positive Well-defined, bright yellow iodine non- uptake areas touching SCJ or close to the os if SCJ is not seen. Suspicious for cancer ulcerative, cauliflower- like growth or ulcer; oozing and/or bleeding on touch.
  • 69.
    Aboubakr Elnashar  VILI:test-positive  Well-defined, bright yellow iodine non-uptake areas touching the SCJ
  • 70.
    2. Screening colposcopy InU.K. colposcopy is not screening tool: expensive, time consuming, not portable, experience & Lower specificity & increased false +ve rate (Pete,1998) In S.America & some European countries colposcopy has a role in primary screening: immediate diagnosis, determine site & extent, avoid unnecessary smears& higher sensitivity (Elnashar et al 1997; Pete,1998). Aboubakr Elnashar
  • 71.
    It is moresensitive & more cost effective than cytology screening (Cecchini,1997). At least where access to cytopathology is difficult, screening by colposcopy should be considered Portable colposcopy is cost effective in rural areas (Martin et al, 1998) Aboubakr Elnashar
  • 72.
    Colposcope : low-power, stereoscopic,binocular field microscope containing a powerful light source The most common indication: positive screening tests (e.g., positive cytology, positive on VIA, etc.). biopsies from suspicious areas Endocervical curettage : obtained when the colposcopy is unsatisfactory, i.e. scj cannot be visualized. Aboubakr Elnashar
  • 73.
  • 74.
  • 75.
  • 76.
  • 77.
  • 78.
    Swede score of4 and above: Punch biopsies of the cervix Swede score 6 and above: immediate treatment with cold coagulation under visualisation with the Gynocular and local anaesthesia. patients not suitable for cold coagulation or with biopsies revealing microinvasive cervical disease or worse: appropriate diagnostic workup and management protocol. Aboubakr Elnashar
  • 79.
  • 80.
    Advantages of colposcopy 1.Canbe applied at each gynecologic examination with ease & produce immediate results. 2. Determine the site & the extent of the lesion. 3. Not very expensive 4. Can be learned by every physician 5. Can differentiate between inflammatory atypia & neoplasia, between invasive & non-invasive lesions. 6. HPV are best detected by colposcopy. 7. Avoid unnecessary smear, biopsy, conization & hysterectomy. 8. Good for follow-up 9.Cytologic smears may be obtained under colposcopic direction Aboubakr Elnashar
  • 81.
    Disadvantage of colposcopy Inabilityfor detection of endocervical lesions Aboubakr Elnashar
  • 82.
    3. Gynocular Mini colposcope,portable colposcope •Easy to use: Handheld or used with a tripod •pocket-size battery: Battery operated (2 hrs of working time/charge) •Provide gold-standard examination: Red-free/green filter mode Capture digital images Take videos low-resource countries. Aboubakr Elnashar
  • 83.
  • 84.
    charger and mountingclip for camera tripod. lens, green filter,and warm white LED illumination. Aboubakr Elnashar
  • 85.
  • 86.
  • 87.
  • 88.
    4. Cervicography •History: Stafl(1981) •Instrument: Macrolens camera,Illumination •Technique: 5% acetic acid is applied to the cervix & after 1 min 2 photographs are taken. The film is developed as 35 mm slides & these are projected & interpreted by an experienced doctor at a central laboratory, classifying them as negative, atypical, or positive. Aboubakr Elnashar
  • 89.
  • 90.
    •Advantages: •Cerv Ca Preventionin Low- and Middle-Income Countries - Cost effective in screening for HGSIL & follow up ASCUS & LGSIL - Permanent documentation - Performed by paraprofessional personnel -higher sensitivity than cytology - superior to cytology but inferior to colposcopy Aboubakr Elnashar
  • 91.
    Disadvantages: - Lower specificity---- high false +ve rate especially LGSIL - Unable to evaluate the endocervical canal - Images cannot be viewed immediately or manipulated. •New evaluation criteria to decrease the false +ve rate. Uses: -Primary screening method when cytology is not available. -cannot be recommended for universal screening, though it may have a role in the follow-up of patients with a mildly abnormal cervical smear. -Secondary screening method Aboubakr Elnashar
  • 92.
    5. Videocolpography (Etherington etal,1997) 5% acetic acid is applied to the cervix, vidorecording using a videocamera (with macrolens , an autofocus, narrow beam lightening system & mounted on a pan/tilt device attached toa portable stand allowing hand-free operation). Advantages: - Accurate, quick & portable - relatively inexpensive - performed by paraprofessional personnel Aboubakr Elnashar
  • 93.
    6. Speculoscopy (Lonky etal,1995) 5% acetic acid is applied to the cervix & vagina, an activated blue-white chemiluminescent light is attached to the inner aspect of the upper speculum blade, the room lights are dimmed, the cervix & vagina are inspected with magnifying loupes (5 X). Aboubakr Elnashar
  • 94.
  • 95.
    •Any acetowhite areais considered +ve. •Speculoscopy is more specific but less sensitive than colposcopy. •The cost is comparable to that of cytology & significantly less than that of colposcopy. •It lacks variable magnification & colposcopic discrimination. •It relies on acetowhite epi. without looking for atypical vessels. Aboubakr Elnashar
  • 96.
    Truscan (Polarprobe) (Coppleson,1995) •A portableoptoelectric instrument that measures 2 sets of physical parameters: voltage decay & the wavelengths of light. •It uses a computer algorithm to combine both the electrical & the optical information & draws a statistical inference about the likelihood of malignancy. Aboubakr Elnashar
  • 97.
  • 98.
    •The Truscan tipis 5 m m diameter & 15 cm long.The probe reads the reflected light on a photoelectrode. The information received by the probe is then analyzed by an attached computer. •Concordance was found between polarprobe & histology in 91%. •Advantages: immediate diagnosis, objectivity, low cost, detect malignancy in other body sites, suitable for developing countries. Aboubakr Elnashar
  • 99.
    III. Screening indeveloping countries Difference between developing & developed countries I. Higher incidence: 80% II. Higher mortality: 90% III. Different risk factors IV. Poor financial, human & technical resources V. Inadequate follow up Screening as used in the developed world is inappropriate in developing countries (Singer,1995) Aboubakr Elnashar
  • 100.
    Alliance for CervicalCancer Prevention 2009 ACCP partners have summarized and shared key findings and recommendations for effective cervical cancer screening and treatment programs in low- resource settings: 1. In low-resource settings, the optimal age-group for cervical cancer screening to achieve the greatest public health impact is 30–39-year-olds. Aboubakr Elnashar
  • 101.
    2. Although cytology-basedscreening programs using Pap smears have been shown to be effective in developed countries, sustaining high-quality cytology- based programs is difficult in low-resource settings. Therefore, in settings where health care resources are scarce, they should be directed toward cost- effective strategies that are more affordable and for which quality can be assured. Aboubakr Elnashar
  • 102.
    3. The mostefficient and effective strategy for detecting and treating cervical cancer precursors in low-resource settings is to screen using either VIA or HPVDNA testing and then to treat using cryotherapy. This strategy is optimally achieved in a single visit and can be carried out by competent physicians and nonphysicians, including nurses and midwives. 4. The use of HPV DNA testing followed by cryotherapy results in a greater reduction in the incidence of cervical cancer precursors than the use of other screen-and-treat approaches. Aboubakr Elnashar
  • 103.
    5. When conductedby competent providers, cryotherapy is a safe way of treating precancerous cervical lesions and results in cure rates of at least 85%. 6. Unless cervical cancer is suspected, the routine use of an intermediate diagnostic step (such as colposcopy) between screening and treatment is generally not efficient and may result in reduced programmatic success and increased cost. Aboubakr Elnashar
  • 104.