GI ESOPHAGUS STOMACH SMALL/LARGE BOWEL APPENDIX, PERITONEUM www.freelivedoctor.com
ESOPHAGUS Congenital Anomalies Achalasia Hiatal Hernia Diverticula Laceration Varices Reflux Barretts Esophagitis Neoplasm: Benign, Sq. Cell Ca., Adenoca. www.freelivedoctor.com
ANATOMY 25 cm. UES/LES Mucosa/Submucosa/Muscularis/Adventitia www.freelivedoctor.com
Inf. Thyroid Arts. R. Bronch. Art. Thoracic. Aor. Left Gastric Art. Variations: Inf, Phrenic Celiac Splenic Short Gast. www.freelivedoctor.com
www.freelivedoctor.com
DEFINITIONS Heartburn  (GERD/Reflux) ‏ Dysphagia Hematemesis Esophagospasm (Achalasia) ‏ www.freelivedoctor.com
CONGENITAL ANOMALIES ECTOPIC TISSUE (gastric, sebaceous, pancreatic) ‏ Atresia/Fistula/Stenosis/”Webs” Schiatzki “Ring” MOST COMMON www.freelivedoctor.com
MOTOR DISORDERS Achalasia Hiatal Hernia (sliding [95%], paraesophageal) ‏ “ ZENKER” diverticulum Esophagophrenic diverticulum Mallory-Weiss tear www.freelivedoctor.com
www.freelivedoctor.com
ACHALASIA “ Failure to relax” Aperistalsis Incomplete relaxation of the LES Increased LES tone INCREASE: Gastrin, serotonin, acetylcholine, Prostaglandin F2α, motulin, Substance P, histamine, pancreatic polypeptide DECREASE:  NO, VIP Progressive dysphagia starting in teens Mostly UNCERTAIN etiology www.freelivedoctor.com
HIATAL HERNIA Diaphragmatic muscular defect WIDENING of the space which the lower esophagus passes through IN ALL cases, STOMACH above diaphragm Usually associated with reflux Very common   Increases with age Ulceration, bleeding, perforation, strangulation www.freelivedoctor.com
www.freelivedoctor.com
www.freelivedoctor.com
DIVERTICULA ZENKER (HIGH) ‏ TRACTION (MID) ‏ EPIPHRENIC (LOW) ‏ TRUE vs. FALSE? www.freelivedoctor.com
DIVERTICULUM www.freelivedoctor.com
LACERATION Tears are  LONGITUDINAL Usually secondary to severe  VOMITING Usually in  ALCOHOLICS Usually  MUCOSAL  tears By convention, they are all called: MALLORY-WEISS www.freelivedoctor.com
www.freelivedoctor.com
VARICES THREE common areas of portal/caval anastomoses Esophageal Umbilical Hemorrhoidal 100% related to portal hypertension Found in 90% of cirrhotics MASSIVE, SUDDEN, FATAL hemorrhage is the most feared consequence www.freelivedoctor.com
VARICES www.freelivedoctor.com
VARICES www.freelivedoctor.com
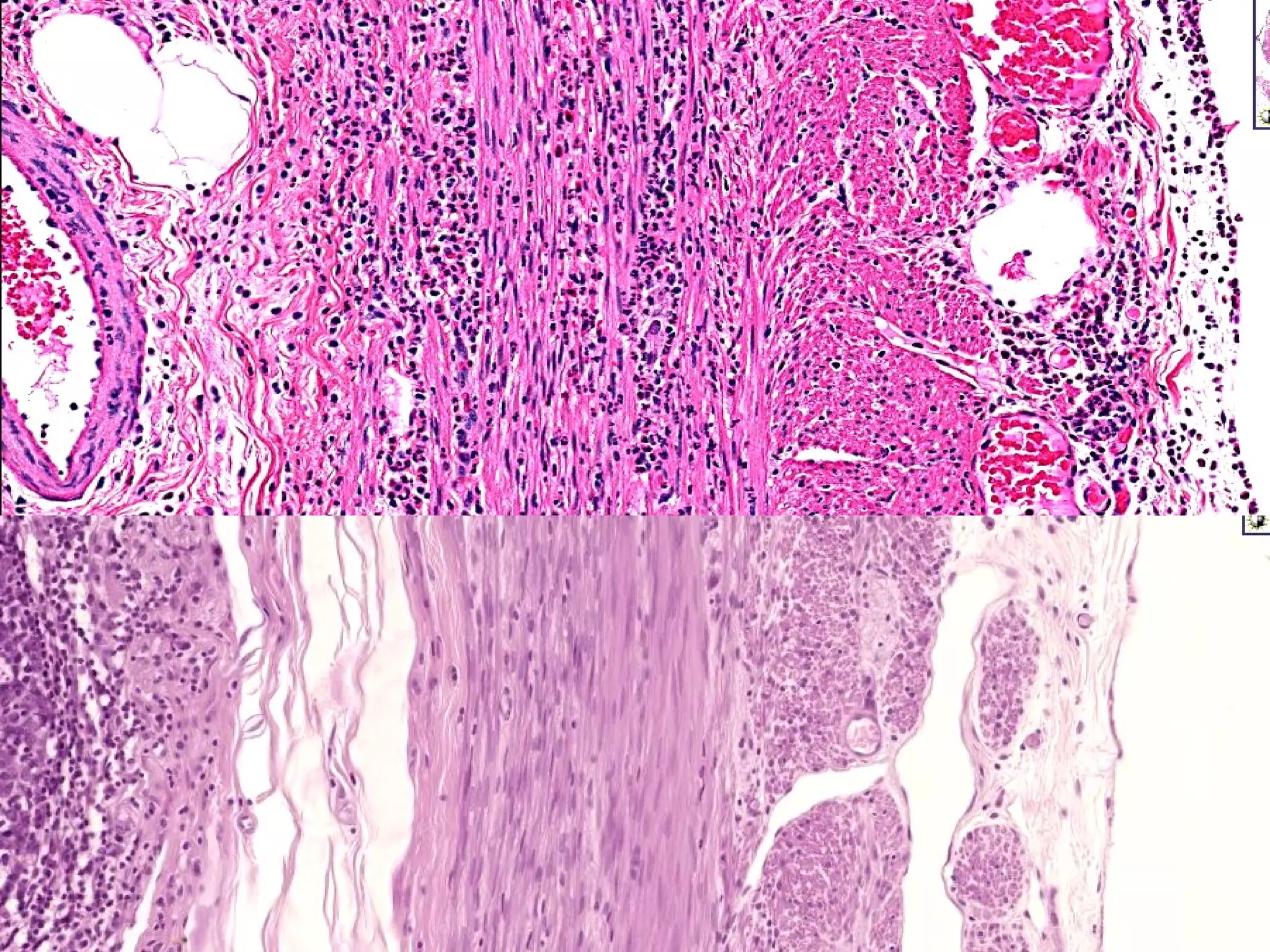
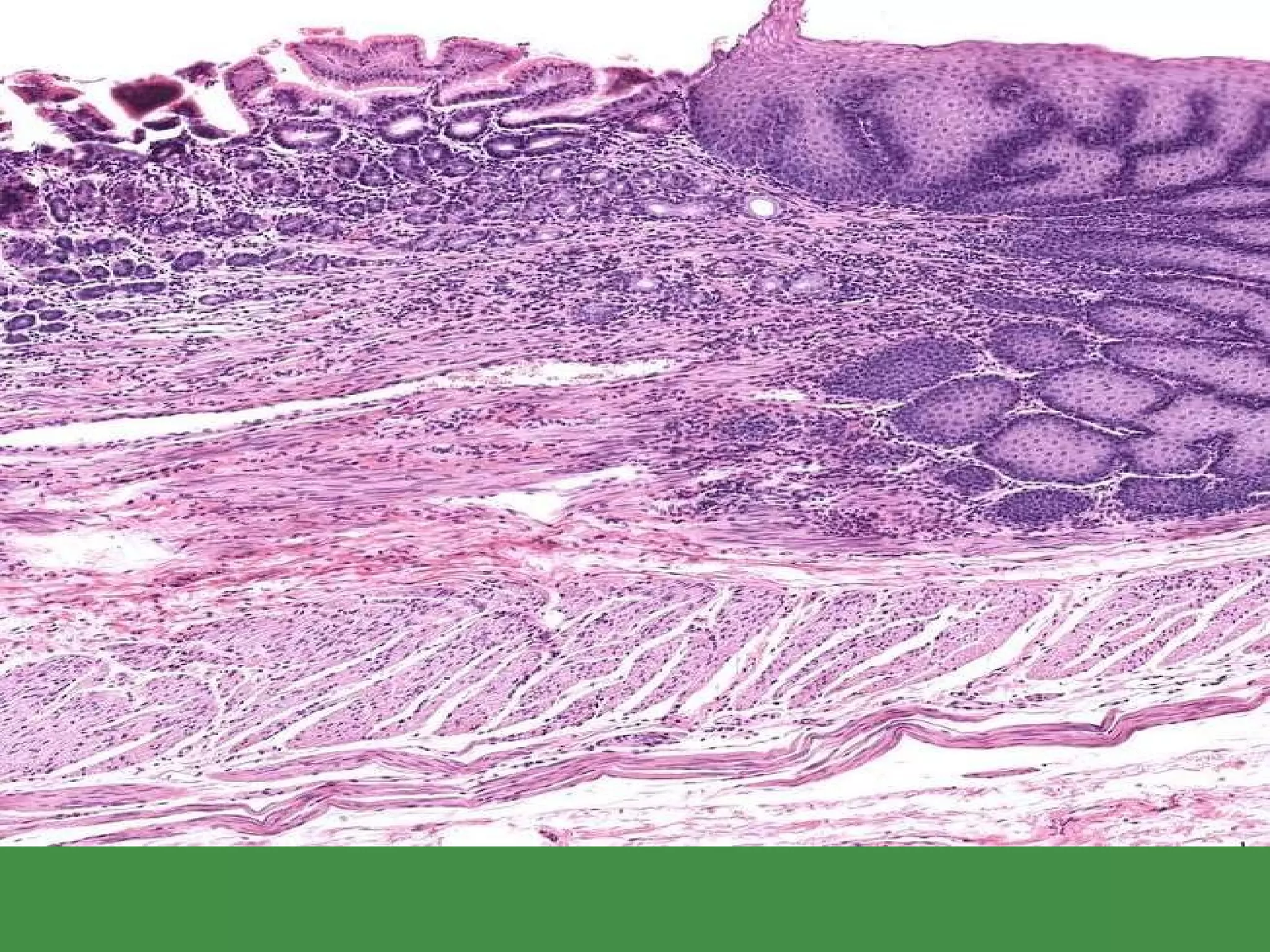
ESOPHAGITIS GERD/Reflux   Barrett’s Barrett’s Chemical Infectious www.freelivedoctor.com
REFLUX/GERD DECREASED LES tone Hiatal Hernia Slowed reflux clearing Delayed gastric emptying REDUCED reparative ability of gastric mucosa www.freelivedoctor.com
REFLUX/GERD Inflammatory Cells Eosinophils Neutrophils Lymphocytes Basal zone hyperplasia Lamina Propria papillae elongated and congested www.freelivedoctor.com
REFLUX/GERD
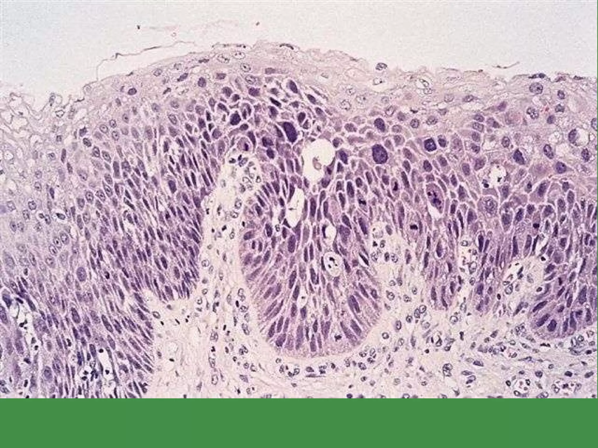
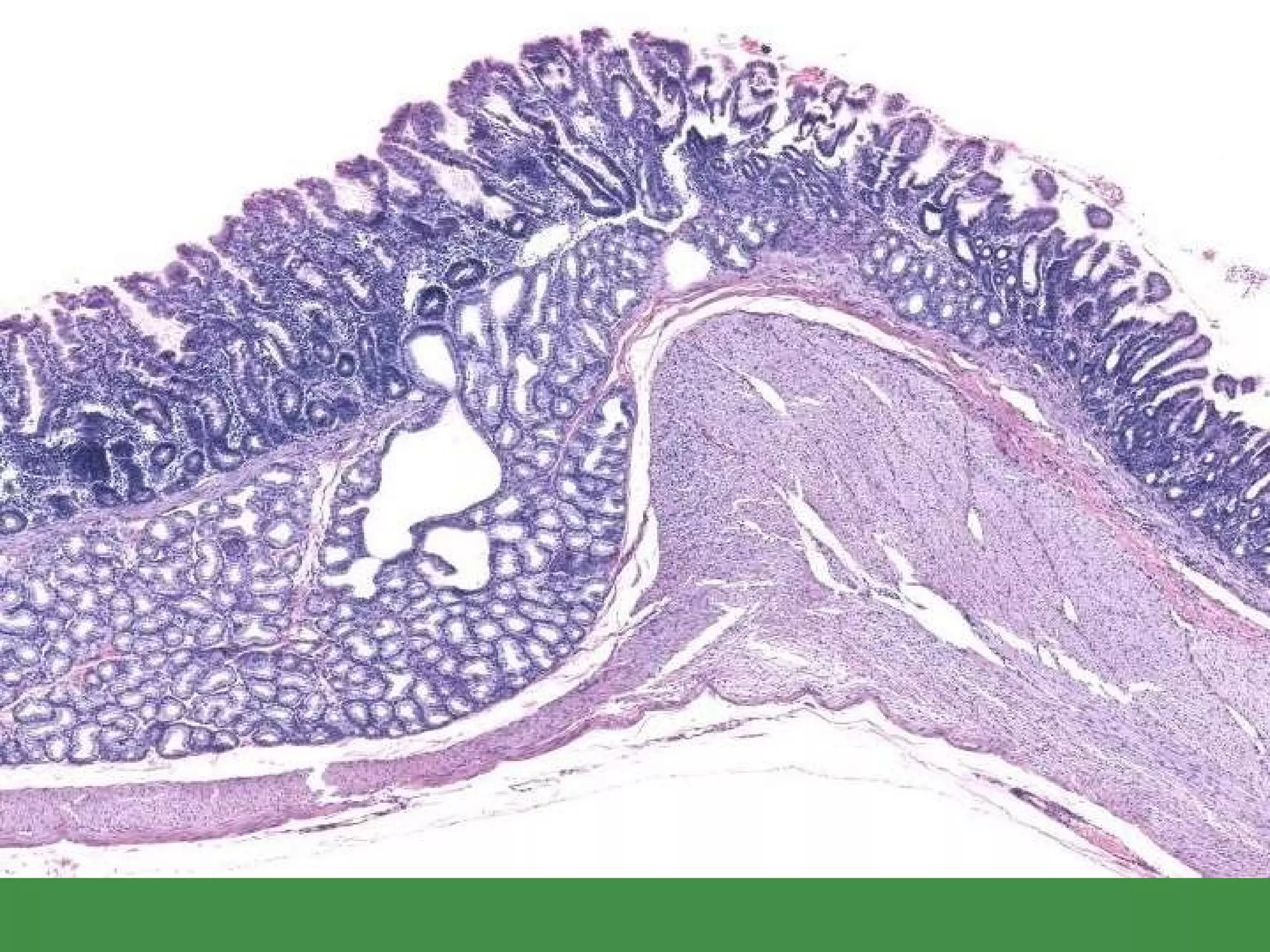
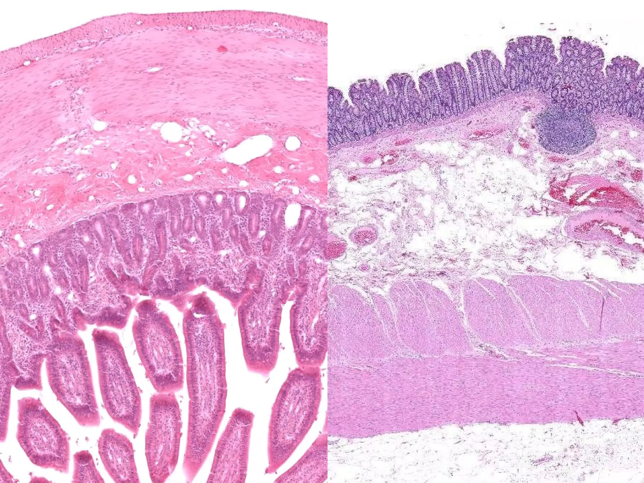
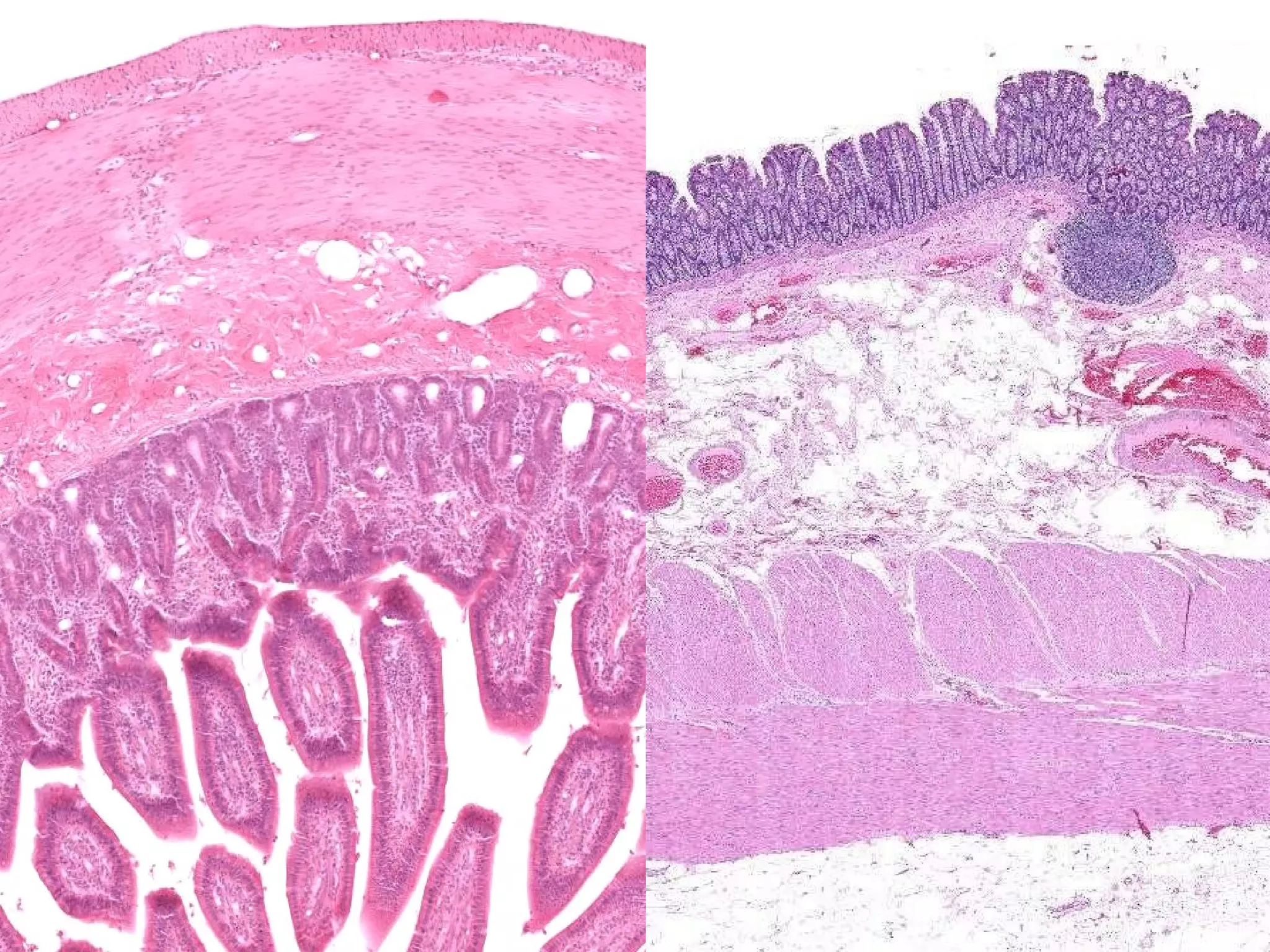
BARRETT’S ESOPHAGUS Can be defined as intestinal metaplasia of a normally SQUAMOUS esophageal mucosa.  The presence of GOBLET CELLS in the esophageal mucosa is DIAGNOSTIC. SINGLE most common RISK FACTOR for esophageal adenocarcinoma 10% of GERD patients get it “ BREACHED” G-E junction
BARRETT’S ESOPHAGUS
 
BARRETT’S ESOPHAGUS INTESTINALIZED (GASTRICIZED) mucosa is AT RISK for glandular dysplasia. Searching for dysplasia when BARRETT’s is present is of utmost importance MOST/ALL adenocarcinomas arising in the esophagus arise from previously existing BARRETT’s
Glandular “dysplasia”
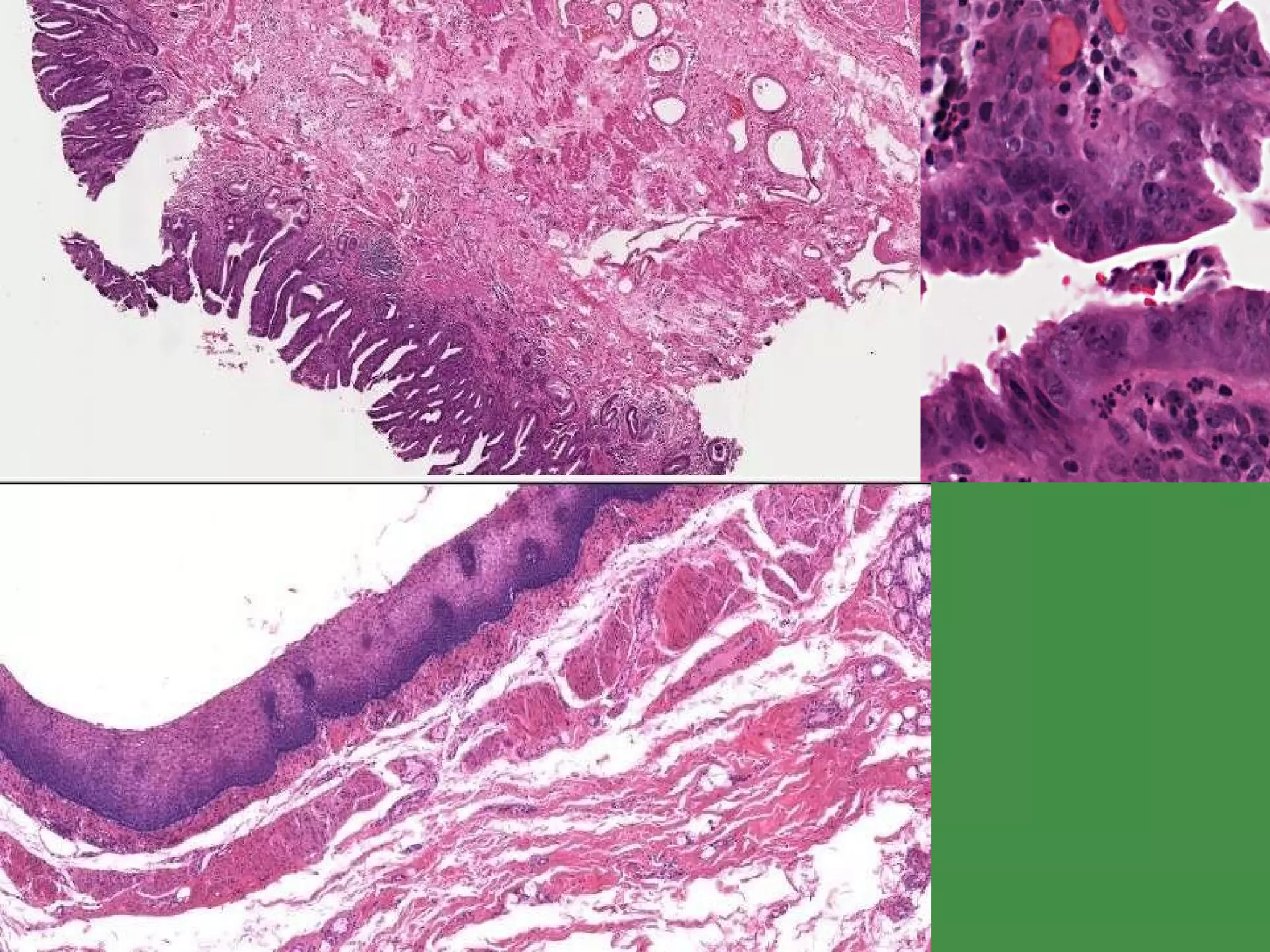
ESOPHAGITIS CHEMICAL LYE (suicide attempts) with strictures Alcohol Extremely HOT drinks CHEMO INFECTIOUS HSV, CMV, Fungal (especially CANDIDA) ‏
ESOPHAGITIS
ESOPHAGITIS
TUMORS BENIGN MALIGNANT Squamous cell carcinoma Adenocarcinoma
BENIGN TUMORS LEIOMYOMAS FIBROVASCULAR POLYPS CONDYLOMAS (HPV) ‏ LIPOMAS “ GRANULATION” TISSUE (PSEUDOTUMOR ) ‏
SQUAMOUS CARCINOMA Nitrites/Nitrosamines Betel Fungi in food Tobacco Alcohol Esophagitis?
SQUAMOUS CARCINOMA DYSPLASIA  IN-SITU  INFILTRATION
 
 
 
ADENOCARCINOMA
 
STOMACH NORMAL: Anat., Histo, Physio. PATHOLOGY CONGENITAL GASTRITIS PEPTIC ULCER “ HYPERTROPHIC” GASTRITIS VARICES TUMORS BENIGN ADENOCARCINOMA OTHERS
ANATOMY Cardia (esoph), Fundus (diaph), Body (acid), Antrum, Pylorus Greater/Lesser Curvatures 1500-3000 ml Rugae INNERVATION: VAGUS, Sympathetic VEINS: Portal Blood Supply:   RG, LG, RGE(O), LGE(O), SG,  ALL  3 branches of the celiac
 
 
 
 
 
CELLS MUCOUS: MUCUS, PEPSINOGEN II CHIEF: PEPSINOGEN I, II PARIETAL: ACID ENTEROENDOCRINE: HISTAMINE, SOMATOSTATIN, ENDOTHELIN
PHYSIOLOGY PHASES (HCl Secretion) CEPHALIC  (VAGAL) ‏ GASTRIC  (STRETCH) ‏ INTESTINAL  (DUOD) ‏
ACID PROTECTION MUCUS HCO3- EPITHELIAL BARRIERS BLOOD FLOW PROSTAGLANDIN E, I
CONGENITAL ECTOPIC PANCREAS (ectopic pancreas tissue    stomach), very common ECTOPIC GASTRIC (ectopic gastric tissue    pancreas), not rare Diaphragmatic HERNIA   Failure of diaphragm to close, not rare PULMONARY SEQUESTER (rare) (foregut anomaly) … ..and the #1 congenital gastric disease 
PYLORIC STENOSIS CONGENITAL:  (1/500), Neonatal obstruction symptoms, pyloric splitting curative ACQUIRED: Secondary to extensive scarring such as advanced peptic ulcer disease
GASTRITIS ACUTE CHRONIC AUTOIMMUNE OTHER EOSINOPHILIC ALLERGIC LYMPHOCYTIC GRANULOMATOUS GVH
GASTRITIS ACUTE , HEMORRHAGIC (NSAIDs), particularly aspirin  Excessive alcohol consumption  Heavy smoking  CHEMO Uremia  Salmonella, CMV Severe stress (e.g., trauma, burns, surgery)  Ischemia and shock  Suicidal attempts, as with acids and alkali  Gastric irradiation or freezing  Mechanical (e.g., nasogastric intubation)  Distal gastrectomy
GASTRITIS ACUTE , HEMORRHAGIC HISTOLOGY: Erosion, Hemorrage,  NEUTROPHILS
GASTRITIS CHRONIC , NO EROSIONS, NO HEMORRHAGE Chronic infection by  H. pylori   Immunologic  (autoimmune),  e.g., PA Toxic, as with alcohol and cigarette smoking  Postsurgical,  reflux of bile Motor and mechanical, including obstruction, bezoars (luminal concretions), and gastric atony  Radiation  Granulomatous conditions (e.g., Crohn disease)  GVH, uremia
GASTRITIS CHRONIC, NO EROSIONS, NO HEMORRHAGE Perhaps some neutrophils Lymphocytes, lymphoid follicles REGENERATIVE CHANGES METAPLASIA, intestinal ATROPHY, mucosal hypoplasia, “thinning” DYS-PLASIA
 
GASTRITIS AUTOIMMUNE (10%) ANTIBODIES AGAINST  acid producing enzyme H +   K +  -ATPase gastrin receptor and intrinsic factor
GASTRITIS OTHER EOSINOPHILIC, middle aged women ALLERGIC, children (also eosinophils) LYMPHOCYTIC, T-Cells, body, DIFFUSE GRANULOMATOUS, Crohn’s, other granulomas GVH, in bone marrow transplants
 
“ PEPTIC” ULCERS “ P EPTIC” implies acid cause/aggravation ULCER vs. EROSION (muscularis mucosa intact) MUC  SUBMUC  MUSCULARIS  SEROSA Chronic, solitary (usually), adults 80% caused by H. pylori 100% caused by H. pylori in duodenum NSAIDS “ STRESS”
Helicobacter pylori Causes 80% of gastric peptic ulcers Causes 100% of duodenal peptic ulcers Causes chronic gastritis Causes gastric carcinomas Causes MALT lymphomas
“ PEPTIC” ULCERS Gnawing, burning, aching pain Fe deficiency anemia Acute hemorrhage Penetration, perforation: Pain in BACK Pain in CHEST Pain in LUQ NOT  felt to develop into malignancy
“ PEPTIC” ULCERS Bleeding Occurs in 15% to 20% of patients Most frequent complication May be life-threatening Accounts for 25% of ulcer deaths May be the first indication of an ulcer Perforation Occurs in about 5% of patients Accounts for two thirds of ulcer deaths Rarely, is the first indication of an ulcer Obstruction from edema or scarring Occurs in about 2% of patients Most often due to pyloric channel ulcers May also occur with duodenal ulcers Causes incapacitating, crampy abdominal pain Rarely, may lead to total obstruction with intractable vomiting
“ ACUTE” ULCERS NSAIDS “ STRESS” ULCERS ENDOGENOUS STEROIDS SHOCK BURNS MASSIVE TRAUMA Intracranial trauma, Intracranial surgery SEPSIS EXOGENOUS STEROIDS CUSHING ULCER
“ ACUTE” ULCERS Usually small (<1cm), superficial, MULTIPLE
GASTRIC DILATATION PYLORIC STENOSIS PERITONITIS (   pyloric stenosis) 1.5-3.0 liters NORMAL 10 liters can be present ACUTE RUPTURE is associated with an immediate HIGH mortality rate
BEZOARS PHYTO-bezoar (plant material) TRICHO-bezoar (hairball) NON-food material in PSYCH patients pins nails razor blades coins gloves leather wallets
 
“ HYPERTROPHIC” GASTROPATHY RUGAL PROMINENCE (cerebriform) NO INFLAMMATION HYPERPLASIA of MUCOSA
“ HYPERTROPHIC” GASTROPATHY Inaccurate name “hypertrophic gastritis” •  Ménétrier disease,  resulting from profound hyperplasia of the surface mucous cells with accompanying glandular atrophy  •  Hypertrophic-hypersecretory gastropathy,  associated with hyperplasia of the parietal and chief cells within gastric glands  •  Gastric gland hyperplasia secondary to excessive gastrin secretion,  in the setting of a gastrinoma  (Zollinger-Ellison syndrome)
 
GASTRIC “VARICES” SAME SETTING AND ETIOLOGY AS ESOPHAGEAL VARICES, i.e., PORTAL HYPERTENSION NOT AS COMMON AS ESOPHAGEAL VARICES MAY LOOK LIKE RUGAE IF A PATIENT HAS GASTRIC VARICES, HE ALSO PROBABLY HAS ESOPHAGEAL
GASTRIC TUMORS BENIGN: POLYPS (HYPERPLASTIC  vs. ADENOMATOUS) LEIOMYOMAS (Same gross and micro as sm. muscle) LIPOMAS (Same gross and micro as adipose tissue) MALIGNANT (ADENO)Carcinoma LYMPHOMA POTENTIALLY MALIGNANT G.I.S.T. ( G astro- I ntestinal “ S tromal”  T umor) CARCINOID (NEUROENDOCRINE)
BEBNIBGNB .BENIGN TUMORS .MUCOSA (POLYPS) --- HYPERPLASTIC ---Fundic ---Peutz-Jaeger ---Juvenile ---ADENOMATOUS MUSCLE FAT
WHO GASTRIC NEOPLASMS Epithelial Tumors: Adenomatous polyps, Adenocarcinoma (papillary, tubular, mucinous, signet ring, adenosquamous, unclassified), Small cell, Carcinoid (neuroendocrine) Nonepithelial Tumors:  Leiomyo(sarc)oma, Schwannoma, GIST, Granular Cell Tumor, Kaposi sarcoma Malignant Lymphomas:
ADENOCARCINOMA H. pylori associated, MASSIVELY!!! Japan, Chile, Costa Rica, Colombia, China, Portugal, Russia, and Bulgaria M>>F Socioeconomically related
ADENOCARCINOMA RISK FACTORS H. pylori H. pylori H. Pylori Nitrites, smoked meats, pickled, salted, chili peppers, socioeconomic, tobacco Chronic gastritis, Barrett’s, adenomas Family history
ADENOCARCINOMA GROWTH PATTERNS
ADENOCARCINOMA GROWTH PATTERNS
PAPILLARY
TUBULAR
MUCINOUS
SIGNET RING
ADENOSQUAMOUS
G.I.S.T. TUMORS Can behave and/or look benign or malignant Usually look like smooth muscle, i.e., “stroma” Are usually POSITIVE for  c-KIT (CD117) ,  i.e., express this antigen on immunochemical staining, the tumor cells are derived from the interstitial cells, of Cajal, a “neural” type of cell.
SMALL/LARGE INTESTINE NORMAL: Anat., Vasc., Mucosa, Endocr., Immune, Neuromuscular. PATHOLOGY: CONGENITAL ENTEROCOLITIS: DIARRHEA, INFECTIOUS, OTHER MALABSORPTION: INTRALUMINAL, CELL SURFACE, INTRACELL. (I)IBD: CROHN DISEASE and ULCERATIVE COLITIS VASCULAR: ISCHEMIC, ANGIODYSPLASIA, HEMORRHAGIC DIVERTICULOSIS/-IT IS OBSTRUCTION: MECHANICAL, PARALYTIC (ILEUS) (PSEUDO) TUMORS: BENIGN, MALIGNANT, EPITHELIAL,  STROMAL
ANATOMY SI = 6 meters, LI = 1.5 meters Mucosa, submucosa, muscularis, serosa/adv .
BLOOD SUPPLY SI: SMA   Jejunal, Ileal LI: SMA, IMA   Ileocolic, R, M, L, colic, Sup. Rect RECTUM: Superior, Middle, Inferior SMA has anastomoses with CELIAC (pancreatoduodenal), IMA (marginal )
MUCOSA SI: ABSORPTIVE, MUCUS, PANETH (apical granules) VILLI LI: MUCUS, ABSORPTIVE, ENTEROENDOCRINE (basal granules) CRYPTS
 
ENTEROENDOCRINE SECRETORY PEPTIDES Endocrine, Paracrine, Neurocrine Chemical messengers Regulate digestive functions Serotonin, somatostatin, motilin, cholecystokinin, gastric inhibitory peptide, neurotensin, vasoactive inhibitory peptide (VIP), neuropeptide, enteroglucagon
IMMUNE SYSTEM MALT PEYER PATCHES, mucosa, submucosa, 1˚, 2 ˚ IgGAMDE
NEUROMUSCULAR AUTONOMIC ( VAGUS,  Symp.)----- extrinsic INTRINSIC Meissner (submucosa) Auerbach  (between circular and longitudinal)
CONGENITAL DUPLICATION MALROTATION OMPHALOCELE GASTROSCHISIS ATRESIA/STENOSIS SPECTRUM MECKEL (terminal ileum, “vitelline” duct) AGANGLIONIC MEGACOLON (HIRSCHSPRUNG DISEASE)
 
ENTEROCOLITIS DEFINITION of diarrhea: INCREASE in MASS, FLUIDITY, FREQUENCY DIARRHEA: SECRETORY, OSMOTIC, EXUDATIVE, MALABSORPTION, MOTILITY INFECTIOUS (Viral, Bacterial, Parasitic) NECROTIZING COLLAGENOUS LYMPHOCYTIC AIDS After BMT DRUG INDUCED RADIATION “ SOLITARY” RECTAL ULCER
SECRETORY DIARRHEA Viral damage to mucosal epithelium Entero toxins, bacterial Tumors secreting GI hormones Excessive laxatives
OSMOTIC DIARRHEA Disaccharidase deficiencies Bowel preps Antacids, e.g., MgSO4
EXUDATIVE DIARRHEA BACTERIAL DAMAGE to GI MUCOSA IBD TYPHLITIS (immunosuppression colitis)
MALABSORPTION DIARRHEA INTRALUMINAL MUCOSAL CELL SURFACE MUCOSAL CELL FUNCTION LYMPHATIC OBSTRUCTION REDUCED FUNCTIONING BOWEL SURFACE AREA
MOTILITY DIARRHEA DECREASED TRANSIT TIME Reduced gut length Neural, hyperthyroid, diabetic Carcinoid syndrome INCREASED TRANSIT TIME Diverticula Blind loops Bacterial overgrowth
INFECTIOUS enterocolitis VIRAL Rotavirus (69%), Calciviruses, Norwalk-like, Sapporo-like, Enteric adenoviruses, Astroviruses BACTERIAL E. coli, Salmonella, Shigella, Campylobacter, Yersinia, Vibrio, Clostridium difficile, Clostridium perfringens, TB Bacterial “overgrowth” PARASITIC Ascaris, Strongyloides, Necator, Enterobius, Tricuris Diphyllobothrium, Taenia, Hymenolepsis Amebiasis (Entamoeba histolytica) Giardia
VIRAL enterocolitis Rotavirus most common, by far Selectively infects and destroys mature enterocytes in the small intestine Crypts spared Most have a 3-5 day course Person to person, food, water
BACTERIAL enterocolitis Ingestion of bacterial toxins Staph Vibrio Clostridium Ingestion of bacteria which produce toxins Montezuma’s revenge (traveller’s diarrhea), E.coli Infection by enteroinvasive bacteria Enteroinvasive E. coli (EIEC) Shigella Clostridium difficile
E. coli Toxin, invasion, many subtypes Food, water, person-to-person Usually watery, some hemorrhagic INFANTS often
SALMONELLA Food, not hemorrhagic SHIGELLA (person-to-person, invasive, i.e., often hemorrhagic)
CAMPLYOBACTER Toxins, Invasion Food spread
YERSINIA (enterocolitica) Food Invasion LYMPHOID REACTION
VIBRIO cholerae Water, fish, person-to-person Cholera epidemics NO invasion (watery) ENTEROTOXIN
CLOSTRIDIUM DIFFICILE CYTOTOXIN (lab test readily available) NOSOCOMIAL PSEUDOMEMBRANOUS (ANTIBIOTIC ASSOCIATED) COLITIS
BACTERIAL OVERGROWTH SYNDROME One of the main reasons why “normal” gut flora is NOT usually pathogenic, is because, they are constantly cleared by a NORMAL transit time BLIND LOOPS DIVERTICULA OBSTRUCTION Bowel PARALYSIS
PARASITES NEMATODES (ROUNDWORMS) Ascaris, Strongyloides, Hookworms (Necator & Anklyostoma), Enterobius, Trichuris CESTODES (TAPEWORMS) FISH (DIPHYLLOBOTHRIUM latum) PORK (TAENIA solium) DWARF (HYMENOLEPSIS nana) AMOEBA (ENTAMOEBA histolytica), Giardia lamblia
ENTAMOEBA HISTOLYTICA
GIARDIA LAMBLIA
MISC. COLITIS (OTHER) NECROTIZING ENTEROCOLITIS  (neonate) (Cause unclear) COLLAGENOUS (Cause unclear) LYMPHOCYTIC (Cause unclear) AIDS GVHD after BMT, as in stomach DRUGS (NSAIDS, etc., etc., etc.) RADIATION NEUTROPENIC (TYPHLITIS), (cecal) DIVERSION (like overgrowth) “ SOLITARY” RECTAL ULCER (anterior, motor dysfunction)
MALABSORPTION INTRALUMINAL BRUSH BORDER (TRANS)EPITHELIAL OTHER REDUCED MUCOSAL AREA:  Celiac, CD LYMPHATIC OBSTRUCTION: Lymphoma, TB INFECTION IATROGENIC: Surgical
INTRALUMINAL PANCREATIC DEFECTIVE/REDUCED BILE BACTERIAL OVERGROWTH
BRUSH BORDER DISACCHARIDASE DEFICIENCY BRUSH BORDER DAMAGE, e.g., by bacteria
(Trans)EPITHELIAL ABETALIPOPROTEINEMIA BILE ACID TRANSPORTATION DEFECTS
CELIAC DISEASE Also called SPRUE Also called NON-tropical SPRUE Also called GLUTEN-SENSITIVE ENTEROPATHY Sensitivity to GLUTEN, a wheat protein, gliadin Immobilizes T-cells Also in oat, barley, rye Progressive mucosal “atrophy”, i.e. villous flattening Relieved by gluten withdrawal
CELIAC DISEASE
“ TROPICAL” SPRUE Epidemic forms NOT related to gluten RECOVERY with antibiotics
WHIPPLE’s DISEASE DISTENDED MACROPHAGES in the LAMINA PROPRIA PAS positive ROD SHAPED BACILLI
WHIPPLE’s DISEASE
DISACCHARIDASE DEFICIENCY LACTASE by far MOST COMMON ACQUIRED, NOT CONGENITAL LACTOSE   GLUCOSE + GALACTOSE  LACTOSE (fermented)  XXXXXXXXX OSMOTIC DIARRHEA
ABETALIPOPROTEINEMIA Autosomal recessive Rare Inability to make chylomicrons from FFAs and MONOGLYCERIDES Infant failure to thrive, diarrhea, steatorrhea
(I) IBD CROHN DISEASE  (granulomatous colitis) ULCERATIVE COLITIS
(I) IBD COMMON FEATURES IDIOPATHIC DEVELOPED COUNTRIES COLONIC INFLAMMATION SIMILAR Rx BOTH have CANCER RISK
(I) IBD  DIFFERENCES CROHN (CD) TRANSMURAL, THICK WALL NOT LIMITED to COLON GRANULOMAS FISTULAE COMMON TERMINAL ILEUM OFTEN SKIP AREAS “ CRYPT” ABSCESSES NOT COMMON NO PSEUDOPOLYPS MALABSORPTION ULCERATIVE   (UC) MUCOSAL, THICK MUCOSA LIMITED to COLON NO GRANULOMAS FISTULAE RARE TERMINAL ILEUM NEVER NO SKIP AREAS “ CRYPT” ABSCESSES COMMON PSEUDOPOLYPS NO MALABSORPTION
CROHN vs. UC
UC or CD?
VASCULAR DISEASES ISCHEMIA/INFARCTION ANGIO-”DYSPLASIA”* HEMORRHOIDS
ISCHEMIA/INFARCTION HEMORRHAGE  is the main HALLMARK of ischemic bowel disease ARTERIAL THROMBUS ARTERIAL EMBOLISM VENOUS THROMBUS CHF, SHOCK INFILTRATIVE, MECHANICAL MUCOSAL   TRANSMURAL
 
ANGIODYSPLASIA NOT really “dysplasia” NOT neoplastic TWISTED, DILATED SUBMUCOSAL VESSELS, can rupture! Common X-ray finding
HEMORRHOIDS INCREASED INTRABDOMINAL PRESSURE i.e., VALSALVA INTERNAL vs. EXTERNAL
DIVERTICULOSIS/-ITIS FULL THICKNESS BOWEL OUTPOCKETING Assoc. w.: INCREASED LUMINAL PRESSURE AGE L  R FIBER Weakening of wall
DIVERTICULOSIS/-IT IS (CLINICAL) IMPACT INFLAME (“appendicitis” syndrome) PERFORATE   Peritonitis, local, diffuse BLEED, silently, even fatally OBSTRUCT EXTREMELY EXTREMELY  COMMON NOT  assoc w. neoplasm
Formation of colonic diverticuli The most commonly known colonic diverticuli are pseudo diverticuli – composed of only mucosa on the luminal side and serosa externally. Why are these called “pseudo” or false? Diverticuli resemble hernias of the colonic wall in that they occur @ sites of entry of mucosal arteries as they pass through the muscularis – this represents a weak spot that leads to a diverticulum if the individual generates high colonic intraluminal pressure (low fiber diet)
DIVERTICULOSIS
DIVERTICULITIS
DIVERTICULITIS
OBSTRUCTION ANATOMY ADHESIONS (post-surgical) IMPACTION HERNIAS VOLVULUS INTUSSUSCEPTION TUMORS INFLAMMATION, such as IBD (Crohn) or divertics STRICTURES/ATRESIAS STONES, FECALITHS, FOREIGN BODIES CONGENITAL BANDS, MECOMIUM, INPERF. ANUS
OBSTRUCTION
OBSTRUCTION PHYSIOLOGY ILEUS, esp. postsurgical INFARCTION MOTILITY DISEASES, esp., HIRSCHSPRUNG DISEASE
TUMORS NON-NEOPLASTIC (POLYPS) EPITHELIAL MESENCHYMAL (STROMAL) LYMPHOID BENIGN MALIGNANT
 
POLYPS ANY mucosal bulging, blebbing, or bump HYPERPLASTIC  (NON-NEOPLASTIC) HAMARTOMATOUS  (NON-NEOPLASTIC) ADENOMATOUS  (TRUE NEOPLASM, and regarded by many as PRE-MALIGNANT as well) SESSILE vs. PEDUNCULATED TUBULAR vs. VILLOUS
POLYPS
PEDUNCULATED vs VILLOUS vs SESSILE
BENIGN vs. MALIGNANT Usual, atypia, pleo-, hyper-, mitoses, etc. Stalk Invasion
HPERPLASTIC POLYP
ADENOMATOUS POLYP (TUBULAR)
ADENOMATOUS POLYP (VILLOUS)
“ FAMILIAL” NEOPLASMS POLYPOSIS (NON-NEOPLASTIC, hamartomatous) POLYPOSIS (NEOPLASTIC, i.e., cancer risk) HNPCC:  (Hereditary Non Polyposis Colorectal Cancer)
CANCER GENETICS Loss of APC gene Mutation of K-RAS Loss of SMADs  (regulate  transcription) Loss of p53 Activation of TELOMERASE
CANCER RISK FACTORS Family history Age (rare <50) LOW fiber, HIGH meat, LOW transit time, refined carbs
PATHOGENESIS From existing ADENOMATOUS POLYPS DE-NOVO DYSPLASIA  INFILTRATION  METASTASIS
GROWTH PATTERNS POLYPOID ANNULAR, CONSTRICTING DIFFUSE
 
PAPILLARY
TUBULAR
MUCINOUS
SIGNET RING
ADENOSQUAMOUS
Tumor Stage Histologic Features of the Neoplasm Tis Carcinoma in situ (high-grade dysplasia) or intramucosal carcinoma (lamina propria invasion) T1 Tumor invades submucosa T2 Extending into the muscularis propria but not penetrating through it T3 Penetrating through the muscularis propria into subserosa T4 Tumor directly invades other organs or structures Nx Regional lymph nodes cannot be assessed N0 No regional lymph node metastasis N1 Metastasis in 1 to 3 lymph nodes N2 Metastasis in 4 or more lymph nodes Mx Distant metastasis cannot be assessed M0 No distant metastasis M1 Distant metastasis
OTHER TUMORS CARCINOID, with or without syndrome LYMPHOMA (MALTOMAS, B-Cell) LEIOMYOMA/-SARCOMA LIPOMA/-SARCOMA
ANAL CANAL CARCINOMAS MORE LIKELY TO BE SQUAMOUS, or “basaloid” WORSE IN PROGNOSIS HPV RELATED
A P P E N D I X
ANATOMY Junction of 3 tenia coli, variable in location All 4 layers, true serosa Thickest layer is submucosal lymphoid tissue APPENDICITIS (ACUTE) MUCOCELE MUCUS CYSTADENOMA MUCUS CYSTADENOCARCINOMA
ACUTE APPENDICITIS GENERALLY, a disease of YOUNGER people OBSTRUCTION by FECALITH the classic cause but fecaliths present only about half the time EARLY APPENDICITIS: NEUTROPHILS  Mucosa, submucosa NEED NEUTROPHILS in the MUSCULARIS to confirm the DIAGNOSIS 25% normal rate, usually Perforation  peritonitis the rule, if no surgery
ACUTE APPENDICITIS
 
Mucus “TUMORS” Mucocele (common) Mucinous Cystadenoma (rather rare) Mucinous Cystadenocarcinoma (rare)
MUCOCELE COMMON CYST on APPENDIX filled with MUCIN Can RUPTURE to become: PSEUDOMYXOMA PERITONEII
 
MUCINOUS CYSTADENO(CARCINO)MA ADENOMA CARCINOMA
PERITONEUM Visceral, Parietal: all lined by mesothelium Peritonitis, acute: Appendicitis, local or with rupture Peptic ulcer, local or ruptured Cholecystitis, local or ruptured Diverticulitis, local or with rupture Salpingitis   gonococcal or chlamydial Ruptured bowel due to any reason Perforating abdominal wall injuries
PERITONITIS E. coli STREP S. aureus ENTEROCOCCUS
PERITONITIS, outcomes: Complete RESOLUTION Walled off ABSCESS ADHESIONS
SCLEROSING RETROPERITONITIS Unknown cause (autoimmune?) Generalized retroperitoneal fibrosis, progressive   hydronephrosis
TUMORS MESOTHELIOMAS  (solitary nodules or diffuse constricting growth pattern, also asbestos caused) METASTATIC , usually diffuse, often looking very much like pseudomyxoma peritoneii, but containing tumor cells, usually adenocarcinoma

Diseases of git

  • 1.
    GI ESOPHAGUS STOMACHSMALL/LARGE BOWEL APPENDIX, PERITONEUM www.freelivedoctor.com
  • 2.
    ESOPHAGUS Congenital AnomaliesAchalasia Hiatal Hernia Diverticula Laceration Varices Reflux Barretts Esophagitis Neoplasm: Benign, Sq. Cell Ca., Adenoca. www.freelivedoctor.com
  • 3.
    ANATOMY 25 cm.UES/LES Mucosa/Submucosa/Muscularis/Adventitia www.freelivedoctor.com
  • 4.
    Inf. Thyroid Arts.R. Bronch. Art. Thoracic. Aor. Left Gastric Art. Variations: Inf, Phrenic Celiac Splenic Short Gast. www.freelivedoctor.com
  • 5.
  • 6.
    DEFINITIONS Heartburn (GERD/Reflux) ‏ Dysphagia Hematemesis Esophagospasm (Achalasia) ‏ www.freelivedoctor.com
  • 7.
    CONGENITAL ANOMALIES ECTOPICTISSUE (gastric, sebaceous, pancreatic) ‏ Atresia/Fistula/Stenosis/”Webs” Schiatzki “Ring” MOST COMMON www.freelivedoctor.com
  • 8.
    MOTOR DISORDERS AchalasiaHiatal Hernia (sliding [95%], paraesophageal) ‏ “ ZENKER” diverticulum Esophagophrenic diverticulum Mallory-Weiss tear www.freelivedoctor.com
  • 9.
  • 10.
    ACHALASIA “ Failureto relax” Aperistalsis Incomplete relaxation of the LES Increased LES tone INCREASE: Gastrin, serotonin, acetylcholine, Prostaglandin F2α, motulin, Substance P, histamine, pancreatic polypeptide DECREASE: NO, VIP Progressive dysphagia starting in teens Mostly UNCERTAIN etiology www.freelivedoctor.com
  • 11.
    HIATAL HERNIA Diaphragmaticmuscular defect WIDENING of the space which the lower esophagus passes through IN ALL cases, STOMACH above diaphragm Usually associated with reflux Very common  Increases with age Ulceration, bleeding, perforation, strangulation www.freelivedoctor.com
  • 12.
  • 13.
  • 14.
    DIVERTICULA ZENKER (HIGH)‏ TRACTION (MID) ‏ EPIPHRENIC (LOW) ‏ TRUE vs. FALSE? www.freelivedoctor.com
  • 15.
  • 16.
    LACERATION Tears are LONGITUDINAL Usually secondary to severe VOMITING Usually in ALCOHOLICS Usually MUCOSAL tears By convention, they are all called: MALLORY-WEISS www.freelivedoctor.com
  • 17.
  • 18.
    VARICES THREE commonareas of portal/caval anastomoses Esophageal Umbilical Hemorrhoidal 100% related to portal hypertension Found in 90% of cirrhotics MASSIVE, SUDDEN, FATAL hemorrhage is the most feared consequence www.freelivedoctor.com
  • 19.
  • 20.
  • 21.
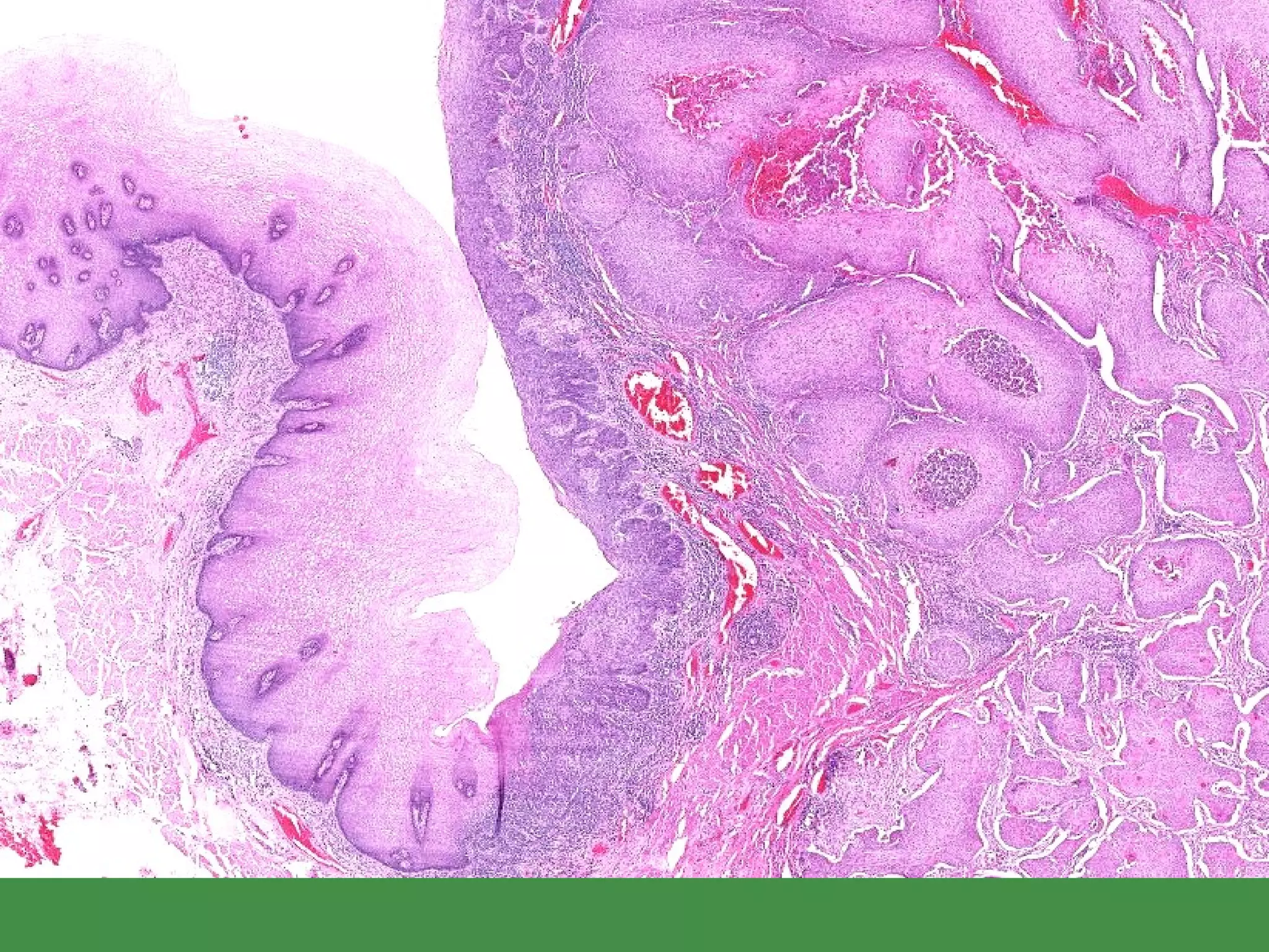
    ESOPHAGITIS GERD/Reflux  Barrett’s Barrett’s Chemical Infectious www.freelivedoctor.com
  • 22.
    REFLUX/GERD DECREASED LEStone Hiatal Hernia Slowed reflux clearing Delayed gastric emptying REDUCED reparative ability of gastric mucosa www.freelivedoctor.com
  • 23.
    REFLUX/GERD Inflammatory CellsEosinophils Neutrophils Lymphocytes Basal zone hyperplasia Lamina Propria papillae elongated and congested www.freelivedoctor.com
  • 24.
  • 25.
    BARRETT’S ESOPHAGUS Canbe defined as intestinal metaplasia of a normally SQUAMOUS esophageal mucosa. The presence of GOBLET CELLS in the esophageal mucosa is DIAGNOSTIC. SINGLE most common RISK FACTOR for esophageal adenocarcinoma 10% of GERD patients get it “ BREACHED” G-E junction
  • 26.
  • 27.
  • 28.
    BARRETT’S ESOPHAGUS INTESTINALIZED(GASTRICIZED) mucosa is AT RISK for glandular dysplasia. Searching for dysplasia when BARRETT’s is present is of utmost importance MOST/ALL adenocarcinomas arising in the esophagus arise from previously existing BARRETT’s
  • 29.
  • 30.
    ESOPHAGITIS CHEMICAL LYE(suicide attempts) with strictures Alcohol Extremely HOT drinks CHEMO INFECTIOUS HSV, CMV, Fungal (especially CANDIDA) ‏
  • 31.
  • 32.
  • 33.
    TUMORS BENIGN MALIGNANTSquamous cell carcinoma Adenocarcinoma
  • 34.
    BENIGN TUMORS LEIOMYOMASFIBROVASCULAR POLYPS CONDYLOMAS (HPV) ‏ LIPOMAS “ GRANULATION” TISSUE (PSEUDOTUMOR ) ‏
  • 35.
    SQUAMOUS CARCINOMA Nitrites/NitrosaminesBetel Fungi in food Tobacco Alcohol Esophagitis?
  • 36.
    SQUAMOUS CARCINOMA DYSPLASIA IN-SITU  INFILTRATION
  • 37.
  • 38.
  • 39.
  • 40.
  • 41.
  • 42.
    STOMACH NORMAL: Anat.,Histo, Physio. PATHOLOGY CONGENITAL GASTRITIS PEPTIC ULCER “ HYPERTROPHIC” GASTRITIS VARICES TUMORS BENIGN ADENOCARCINOMA OTHERS
  • 43.
    ANATOMY Cardia (esoph),Fundus (diaph), Body (acid), Antrum, Pylorus Greater/Lesser Curvatures 1500-3000 ml Rugae INNERVATION: VAGUS, Sympathetic VEINS: Portal Blood Supply: RG, LG, RGE(O), LGE(O), SG, ALL 3 branches of the celiac
  • 44.
  • 45.
  • 46.
  • 47.
  • 48.
  • 49.
    CELLS MUCOUS: MUCUS,PEPSINOGEN II CHIEF: PEPSINOGEN I, II PARIETAL: ACID ENTEROENDOCRINE: HISTAMINE, SOMATOSTATIN, ENDOTHELIN
  • 50.
    PHYSIOLOGY PHASES (HClSecretion) CEPHALIC (VAGAL) ‏ GASTRIC (STRETCH) ‏ INTESTINAL (DUOD) ‏
  • 51.
    ACID PROTECTION MUCUSHCO3- EPITHELIAL BARRIERS BLOOD FLOW PROSTAGLANDIN E, I
  • 52.
    CONGENITAL ECTOPIC PANCREAS(ectopic pancreas tissue  stomach), very common ECTOPIC GASTRIC (ectopic gastric tissue  pancreas), not rare Diaphragmatic HERNIA  Failure of diaphragm to close, not rare PULMONARY SEQUESTER (rare) (foregut anomaly) … ..and the #1 congenital gastric disease 
  • 53.
    PYLORIC STENOSIS CONGENITAL: (1/500), Neonatal obstruction symptoms, pyloric splitting curative ACQUIRED: Secondary to extensive scarring such as advanced peptic ulcer disease
  • 54.
    GASTRITIS ACUTE CHRONICAUTOIMMUNE OTHER EOSINOPHILIC ALLERGIC LYMPHOCYTIC GRANULOMATOUS GVH
  • 55.
    GASTRITIS ACUTE ,HEMORRHAGIC (NSAIDs), particularly aspirin Excessive alcohol consumption Heavy smoking CHEMO Uremia Salmonella, CMV Severe stress (e.g., trauma, burns, surgery) Ischemia and shock Suicidal attempts, as with acids and alkali Gastric irradiation or freezing Mechanical (e.g., nasogastric intubation) Distal gastrectomy
  • 56.
    GASTRITIS ACUTE ,HEMORRHAGIC HISTOLOGY: Erosion, Hemorrage, NEUTROPHILS
  • 57.
    GASTRITIS CHRONIC ,NO EROSIONS, NO HEMORRHAGE Chronic infection by H. pylori Immunologic (autoimmune), e.g., PA Toxic, as with alcohol and cigarette smoking Postsurgical, reflux of bile Motor and mechanical, including obstruction, bezoars (luminal concretions), and gastric atony Radiation Granulomatous conditions (e.g., Crohn disease) GVH, uremia
  • 58.
    GASTRITIS CHRONIC, NOEROSIONS, NO HEMORRHAGE Perhaps some neutrophils Lymphocytes, lymphoid follicles REGENERATIVE CHANGES METAPLASIA, intestinal ATROPHY, mucosal hypoplasia, “thinning” DYS-PLASIA
  • 59.
  • 60.
    GASTRITIS AUTOIMMUNE (10%)ANTIBODIES AGAINST  acid producing enzyme H + K + -ATPase gastrin receptor and intrinsic factor
  • 61.
    GASTRITIS OTHER EOSINOPHILIC,middle aged women ALLERGIC, children (also eosinophils) LYMPHOCYTIC, T-Cells, body, DIFFUSE GRANULOMATOUS, Crohn’s, other granulomas GVH, in bone marrow transplants
  • 62.
  • 63.
    “ PEPTIC” ULCERS“ P EPTIC” implies acid cause/aggravation ULCER vs. EROSION (muscularis mucosa intact) MUC  SUBMUC  MUSCULARIS  SEROSA Chronic, solitary (usually), adults 80% caused by H. pylori 100% caused by H. pylori in duodenum NSAIDS “ STRESS”
  • 64.
    Helicobacter pylori Causes80% of gastric peptic ulcers Causes 100% of duodenal peptic ulcers Causes chronic gastritis Causes gastric carcinomas Causes MALT lymphomas
  • 65.
    “ PEPTIC” ULCERSGnawing, burning, aching pain Fe deficiency anemia Acute hemorrhage Penetration, perforation: Pain in BACK Pain in CHEST Pain in LUQ NOT felt to develop into malignancy
  • 66.
    “ PEPTIC” ULCERSBleeding Occurs in 15% to 20% of patients Most frequent complication May be life-threatening Accounts for 25% of ulcer deaths May be the first indication of an ulcer Perforation Occurs in about 5% of patients Accounts for two thirds of ulcer deaths Rarely, is the first indication of an ulcer Obstruction from edema or scarring Occurs in about 2% of patients Most often due to pyloric channel ulcers May also occur with duodenal ulcers Causes incapacitating, crampy abdominal pain Rarely, may lead to total obstruction with intractable vomiting
  • 67.
    “ ACUTE” ULCERSNSAIDS “ STRESS” ULCERS ENDOGENOUS STEROIDS SHOCK BURNS MASSIVE TRAUMA Intracranial trauma, Intracranial surgery SEPSIS EXOGENOUS STEROIDS CUSHING ULCER
  • 68.
    “ ACUTE” ULCERSUsually small (<1cm), superficial, MULTIPLE
  • 69.
    GASTRIC DILATATION PYLORICSTENOSIS PERITONITIS (  pyloric stenosis) 1.5-3.0 liters NORMAL 10 liters can be present ACUTE RUPTURE is associated with an immediate HIGH mortality rate
  • 70.
    BEZOARS PHYTO-bezoar (plantmaterial) TRICHO-bezoar (hairball) NON-food material in PSYCH patients pins nails razor blades coins gloves leather wallets
  • 71.
  • 72.
    “ HYPERTROPHIC” GASTROPATHYRUGAL PROMINENCE (cerebriform) NO INFLAMMATION HYPERPLASIA of MUCOSA
  • 73.
    “ HYPERTROPHIC” GASTROPATHYInaccurate name “hypertrophic gastritis” • Ménétrier disease, resulting from profound hyperplasia of the surface mucous cells with accompanying glandular atrophy • Hypertrophic-hypersecretory gastropathy, associated with hyperplasia of the parietal and chief cells within gastric glands • Gastric gland hyperplasia secondary to excessive gastrin secretion, in the setting of a gastrinoma (Zollinger-Ellison syndrome)
  • 74.
  • 75.
    GASTRIC “VARICES” SAMESETTING AND ETIOLOGY AS ESOPHAGEAL VARICES, i.e., PORTAL HYPERTENSION NOT AS COMMON AS ESOPHAGEAL VARICES MAY LOOK LIKE RUGAE IF A PATIENT HAS GASTRIC VARICES, HE ALSO PROBABLY HAS ESOPHAGEAL
  • 76.
    GASTRIC TUMORS BENIGN:POLYPS (HYPERPLASTIC vs. ADENOMATOUS) LEIOMYOMAS (Same gross and micro as sm. muscle) LIPOMAS (Same gross and micro as adipose tissue) MALIGNANT (ADENO)Carcinoma LYMPHOMA POTENTIALLY MALIGNANT G.I.S.T. ( G astro- I ntestinal “ S tromal” T umor) CARCINOID (NEUROENDOCRINE)
  • 77.
    BEBNIBGNB .BENIGN TUMORS.MUCOSA (POLYPS) --- HYPERPLASTIC ---Fundic ---Peutz-Jaeger ---Juvenile ---ADENOMATOUS MUSCLE FAT
  • 78.
    WHO GASTRIC NEOPLASMSEpithelial Tumors: Adenomatous polyps, Adenocarcinoma (papillary, tubular, mucinous, signet ring, adenosquamous, unclassified), Small cell, Carcinoid (neuroendocrine) Nonepithelial Tumors: Leiomyo(sarc)oma, Schwannoma, GIST, Granular Cell Tumor, Kaposi sarcoma Malignant Lymphomas:
  • 79.
    ADENOCARCINOMA H. pyloriassociated, MASSIVELY!!! Japan, Chile, Costa Rica, Colombia, China, Portugal, Russia, and Bulgaria M>>F Socioeconomically related
  • 80.
    ADENOCARCINOMA RISK FACTORSH. pylori H. pylori H. Pylori Nitrites, smoked meats, pickled, salted, chili peppers, socioeconomic, tobacco Chronic gastritis, Barrett’s, adenomas Family history
  • 81.
  • 82.
  • 83.
  • 84.
  • 85.
  • 86.
  • 87.
  • 88.
    G.I.S.T. TUMORS Canbehave and/or look benign or malignant Usually look like smooth muscle, i.e., “stroma” Are usually POSITIVE for c-KIT (CD117) , i.e., express this antigen on immunochemical staining, the tumor cells are derived from the interstitial cells, of Cajal, a “neural” type of cell.
  • 89.
    SMALL/LARGE INTESTINE NORMAL:Anat., Vasc., Mucosa, Endocr., Immune, Neuromuscular. PATHOLOGY: CONGENITAL ENTEROCOLITIS: DIARRHEA, INFECTIOUS, OTHER MALABSORPTION: INTRALUMINAL, CELL SURFACE, INTRACELL. (I)IBD: CROHN DISEASE and ULCERATIVE COLITIS VASCULAR: ISCHEMIC, ANGIODYSPLASIA, HEMORRHAGIC DIVERTICULOSIS/-IT IS OBSTRUCTION: MECHANICAL, PARALYTIC (ILEUS) (PSEUDO) TUMORS: BENIGN, MALIGNANT, EPITHELIAL, STROMAL
  • 90.
    ANATOMY SI =6 meters, LI = 1.5 meters Mucosa, submucosa, muscularis, serosa/adv .
  • 91.
    BLOOD SUPPLY SI:SMA  Jejunal, Ileal LI: SMA, IMA  Ileocolic, R, M, L, colic, Sup. Rect RECTUM: Superior, Middle, Inferior SMA has anastomoses with CELIAC (pancreatoduodenal), IMA (marginal )
  • 92.
    MUCOSA SI: ABSORPTIVE,MUCUS, PANETH (apical granules) VILLI LI: MUCUS, ABSORPTIVE, ENTEROENDOCRINE (basal granules) CRYPTS
  • 93.
  • 94.
    ENTEROENDOCRINE SECRETORY PEPTIDESEndocrine, Paracrine, Neurocrine Chemical messengers Regulate digestive functions Serotonin, somatostatin, motilin, cholecystokinin, gastric inhibitory peptide, neurotensin, vasoactive inhibitory peptide (VIP), neuropeptide, enteroglucagon
  • 95.
    IMMUNE SYSTEM MALTPEYER PATCHES, mucosa, submucosa, 1˚, 2 ˚ IgGAMDE
  • 96.
    NEUROMUSCULAR AUTONOMIC (VAGUS, Symp.)----- extrinsic INTRINSIC Meissner (submucosa) Auerbach (between circular and longitudinal)
  • 97.
    CONGENITAL DUPLICATION MALROTATIONOMPHALOCELE GASTROSCHISIS ATRESIA/STENOSIS SPECTRUM MECKEL (terminal ileum, “vitelline” duct) AGANGLIONIC MEGACOLON (HIRSCHSPRUNG DISEASE)
  • 98.
  • 99.
    ENTEROCOLITIS DEFINITION ofdiarrhea: INCREASE in MASS, FLUIDITY, FREQUENCY DIARRHEA: SECRETORY, OSMOTIC, EXUDATIVE, MALABSORPTION, MOTILITY INFECTIOUS (Viral, Bacterial, Parasitic) NECROTIZING COLLAGENOUS LYMPHOCYTIC AIDS After BMT DRUG INDUCED RADIATION “ SOLITARY” RECTAL ULCER
  • 100.
    SECRETORY DIARRHEA Viraldamage to mucosal epithelium Entero toxins, bacterial Tumors secreting GI hormones Excessive laxatives
  • 101.
    OSMOTIC DIARRHEA Disaccharidasedeficiencies Bowel preps Antacids, e.g., MgSO4
  • 102.
    EXUDATIVE DIARRHEA BACTERIALDAMAGE to GI MUCOSA IBD TYPHLITIS (immunosuppression colitis)
  • 103.
    MALABSORPTION DIARRHEA INTRALUMINALMUCOSAL CELL SURFACE MUCOSAL CELL FUNCTION LYMPHATIC OBSTRUCTION REDUCED FUNCTIONING BOWEL SURFACE AREA
  • 104.
    MOTILITY DIARRHEA DECREASEDTRANSIT TIME Reduced gut length Neural, hyperthyroid, diabetic Carcinoid syndrome INCREASED TRANSIT TIME Diverticula Blind loops Bacterial overgrowth
  • 105.
    INFECTIOUS enterocolitis VIRALRotavirus (69%), Calciviruses, Norwalk-like, Sapporo-like, Enteric adenoviruses, Astroviruses BACTERIAL E. coli, Salmonella, Shigella, Campylobacter, Yersinia, Vibrio, Clostridium difficile, Clostridium perfringens, TB Bacterial “overgrowth” PARASITIC Ascaris, Strongyloides, Necator, Enterobius, Tricuris Diphyllobothrium, Taenia, Hymenolepsis Amebiasis (Entamoeba histolytica) Giardia
  • 106.
    VIRAL enterocolitis Rotavirusmost common, by far Selectively infects and destroys mature enterocytes in the small intestine Crypts spared Most have a 3-5 day course Person to person, food, water
  • 107.
    BACTERIAL enterocolitis Ingestionof bacterial toxins Staph Vibrio Clostridium Ingestion of bacteria which produce toxins Montezuma’s revenge (traveller’s diarrhea), E.coli Infection by enteroinvasive bacteria Enteroinvasive E. coli (EIEC) Shigella Clostridium difficile
  • 108.
    E. coli Toxin,invasion, many subtypes Food, water, person-to-person Usually watery, some hemorrhagic INFANTS often
  • 109.
    SALMONELLA Food, nothemorrhagic SHIGELLA (person-to-person, invasive, i.e., often hemorrhagic)
  • 110.
  • 111.
    YERSINIA (enterocolitica) FoodInvasion LYMPHOID REACTION
  • 112.
    VIBRIO cholerae Water,fish, person-to-person Cholera epidemics NO invasion (watery) ENTEROTOXIN
  • 113.
    CLOSTRIDIUM DIFFICILE CYTOTOXIN(lab test readily available) NOSOCOMIAL PSEUDOMEMBRANOUS (ANTIBIOTIC ASSOCIATED) COLITIS
  • 114.
    BACTERIAL OVERGROWTH SYNDROMEOne of the main reasons why “normal” gut flora is NOT usually pathogenic, is because, they are constantly cleared by a NORMAL transit time BLIND LOOPS DIVERTICULA OBSTRUCTION Bowel PARALYSIS
  • 115.
    PARASITES NEMATODES (ROUNDWORMS)Ascaris, Strongyloides, Hookworms (Necator & Anklyostoma), Enterobius, Trichuris CESTODES (TAPEWORMS) FISH (DIPHYLLOBOTHRIUM latum) PORK (TAENIA solium) DWARF (HYMENOLEPSIS nana) AMOEBA (ENTAMOEBA histolytica), Giardia lamblia
  • 116.
  • 117.
  • 118.
    MISC. COLITIS (OTHER)NECROTIZING ENTEROCOLITIS (neonate) (Cause unclear) COLLAGENOUS (Cause unclear) LYMPHOCYTIC (Cause unclear) AIDS GVHD after BMT, as in stomach DRUGS (NSAIDS, etc., etc., etc.) RADIATION NEUTROPENIC (TYPHLITIS), (cecal) DIVERSION (like overgrowth) “ SOLITARY” RECTAL ULCER (anterior, motor dysfunction)
  • 119.
    MALABSORPTION INTRALUMINAL BRUSHBORDER (TRANS)EPITHELIAL OTHER REDUCED MUCOSAL AREA: Celiac, CD LYMPHATIC OBSTRUCTION: Lymphoma, TB INFECTION IATROGENIC: Surgical
  • 120.
  • 121.
    BRUSH BORDER DISACCHARIDASEDEFICIENCY BRUSH BORDER DAMAGE, e.g., by bacteria
  • 122.
  • 123.
    CELIAC DISEASE Alsocalled SPRUE Also called NON-tropical SPRUE Also called GLUTEN-SENSITIVE ENTEROPATHY Sensitivity to GLUTEN, a wheat protein, gliadin Immobilizes T-cells Also in oat, barley, rye Progressive mucosal “atrophy”, i.e. villous flattening Relieved by gluten withdrawal
  • 124.
  • 125.
    “ TROPICAL” SPRUEEpidemic forms NOT related to gluten RECOVERY with antibiotics
  • 126.
    WHIPPLE’s DISEASE DISTENDEDMACROPHAGES in the LAMINA PROPRIA PAS positive ROD SHAPED BACILLI
  • 127.
  • 128.
    DISACCHARIDASE DEFICIENCY LACTASEby far MOST COMMON ACQUIRED, NOT CONGENITAL LACTOSE  GLUCOSE + GALACTOSE LACTOSE (fermented)  XXXXXXXXX OSMOTIC DIARRHEA
  • 129.
    ABETALIPOPROTEINEMIA Autosomal recessiveRare Inability to make chylomicrons from FFAs and MONOGLYCERIDES Infant failure to thrive, diarrhea, steatorrhea
  • 130.
    (I) IBD CROHNDISEASE (granulomatous colitis) ULCERATIVE COLITIS
  • 131.
    (I) IBD COMMONFEATURES IDIOPATHIC DEVELOPED COUNTRIES COLONIC INFLAMMATION SIMILAR Rx BOTH have CANCER RISK
  • 132.
    (I) IBD DIFFERENCES CROHN (CD) TRANSMURAL, THICK WALL NOT LIMITED to COLON GRANULOMAS FISTULAE COMMON TERMINAL ILEUM OFTEN SKIP AREAS “ CRYPT” ABSCESSES NOT COMMON NO PSEUDOPOLYPS MALABSORPTION ULCERATIVE (UC) MUCOSAL, THICK MUCOSA LIMITED to COLON NO GRANULOMAS FISTULAE RARE TERMINAL ILEUM NEVER NO SKIP AREAS “ CRYPT” ABSCESSES COMMON PSEUDOPOLYPS NO MALABSORPTION
  • 133.
  • 134.
  • 135.
    VASCULAR DISEASES ISCHEMIA/INFARCTIONANGIO-”DYSPLASIA”* HEMORRHOIDS
  • 136.
    ISCHEMIA/INFARCTION HEMORRHAGE is the main HALLMARK of ischemic bowel disease ARTERIAL THROMBUS ARTERIAL EMBOLISM VENOUS THROMBUS CHF, SHOCK INFILTRATIVE, MECHANICAL MUCOSAL  TRANSMURAL
  • 137.
  • 138.
    ANGIODYSPLASIA NOT really“dysplasia” NOT neoplastic TWISTED, DILATED SUBMUCOSAL VESSELS, can rupture! Common X-ray finding
  • 139.
    HEMORRHOIDS INCREASED INTRABDOMINALPRESSURE i.e., VALSALVA INTERNAL vs. EXTERNAL
  • 140.
    DIVERTICULOSIS/-ITIS FULL THICKNESSBOWEL OUTPOCKETING Assoc. w.: INCREASED LUMINAL PRESSURE AGE L  R FIBER Weakening of wall
  • 141.
    DIVERTICULOSIS/-IT IS (CLINICAL)IMPACT INFLAME (“appendicitis” syndrome) PERFORATE  Peritonitis, local, diffuse BLEED, silently, even fatally OBSTRUCT EXTREMELY EXTREMELY COMMON NOT assoc w. neoplasm
  • 142.
    Formation of colonicdiverticuli The most commonly known colonic diverticuli are pseudo diverticuli – composed of only mucosa on the luminal side and serosa externally. Why are these called “pseudo” or false? Diverticuli resemble hernias of the colonic wall in that they occur @ sites of entry of mucosal arteries as they pass through the muscularis – this represents a weak spot that leads to a diverticulum if the individual generates high colonic intraluminal pressure (low fiber diet)
  • 143.
  • 144.
  • 145.
  • 146.
    OBSTRUCTION ANATOMY ADHESIONS(post-surgical) IMPACTION HERNIAS VOLVULUS INTUSSUSCEPTION TUMORS INFLAMMATION, such as IBD (Crohn) or divertics STRICTURES/ATRESIAS STONES, FECALITHS, FOREIGN BODIES CONGENITAL BANDS, MECOMIUM, INPERF. ANUS
  • 147.
  • 148.
    OBSTRUCTION PHYSIOLOGY ILEUS,esp. postsurgical INFARCTION MOTILITY DISEASES, esp., HIRSCHSPRUNG DISEASE
  • 149.
    TUMORS NON-NEOPLASTIC (POLYPS)EPITHELIAL MESENCHYMAL (STROMAL) LYMPHOID BENIGN MALIGNANT
  • 150.
  • 151.
    POLYPS ANY mucosalbulging, blebbing, or bump HYPERPLASTIC (NON-NEOPLASTIC) HAMARTOMATOUS (NON-NEOPLASTIC) ADENOMATOUS (TRUE NEOPLASM, and regarded by many as PRE-MALIGNANT as well) SESSILE vs. PEDUNCULATED TUBULAR vs. VILLOUS
  • 152.
  • 153.
  • 154.
    BENIGN vs. MALIGNANTUsual, atypia, pleo-, hyper-, mitoses, etc. Stalk Invasion
  • 155.
  • 156.
  • 157.
  • 158.
    “ FAMILIAL” NEOPLASMSPOLYPOSIS (NON-NEOPLASTIC, hamartomatous) POLYPOSIS (NEOPLASTIC, i.e., cancer risk) HNPCC: (Hereditary Non Polyposis Colorectal Cancer)
  • 159.
    CANCER GENETICS Lossof APC gene Mutation of K-RAS Loss of SMADs (regulate transcription) Loss of p53 Activation of TELOMERASE
  • 160.
    CANCER RISK FACTORSFamily history Age (rare <50) LOW fiber, HIGH meat, LOW transit time, refined carbs
  • 161.
    PATHOGENESIS From existingADENOMATOUS POLYPS DE-NOVO DYSPLASIA  INFILTRATION  METASTASIS
  • 162.
    GROWTH PATTERNS POLYPOIDANNULAR, CONSTRICTING DIFFUSE
  • 163.
  • 164.
  • 165.
  • 166.
  • 167.
  • 168.
  • 169.
    Tumor Stage HistologicFeatures of the Neoplasm Tis Carcinoma in situ (high-grade dysplasia) or intramucosal carcinoma (lamina propria invasion) T1 Tumor invades submucosa T2 Extending into the muscularis propria but not penetrating through it T3 Penetrating through the muscularis propria into subserosa T4 Tumor directly invades other organs or structures Nx Regional lymph nodes cannot be assessed N0 No regional lymph node metastasis N1 Metastasis in 1 to 3 lymph nodes N2 Metastasis in 4 or more lymph nodes Mx Distant metastasis cannot be assessed M0 No distant metastasis M1 Distant metastasis
  • 170.
    OTHER TUMORS CARCINOID,with or without syndrome LYMPHOMA (MALTOMAS, B-Cell) LEIOMYOMA/-SARCOMA LIPOMA/-SARCOMA
  • 171.
    ANAL CANAL CARCINOMASMORE LIKELY TO BE SQUAMOUS, or “basaloid” WORSE IN PROGNOSIS HPV RELATED
  • 172.
    A P PE N D I X
  • 173.
    ANATOMY Junction of3 tenia coli, variable in location All 4 layers, true serosa Thickest layer is submucosal lymphoid tissue APPENDICITIS (ACUTE) MUCOCELE MUCUS CYSTADENOMA MUCUS CYSTADENOCARCINOMA
  • 174.
    ACUTE APPENDICITIS GENERALLY,a disease of YOUNGER people OBSTRUCTION by FECALITH the classic cause but fecaliths present only about half the time EARLY APPENDICITIS: NEUTROPHILS  Mucosa, submucosa NEED NEUTROPHILS in the MUSCULARIS to confirm the DIAGNOSIS 25% normal rate, usually Perforation  peritonitis the rule, if no surgery
  • 175.
  • 176.
  • 177.
    Mucus “TUMORS” Mucocele(common) Mucinous Cystadenoma (rather rare) Mucinous Cystadenocarcinoma (rare)
  • 178.
    MUCOCELE COMMON CYSTon APPENDIX filled with MUCIN Can RUPTURE to become: PSEUDOMYXOMA PERITONEII
  • 179.
  • 180.
  • 181.
    PERITONEUM Visceral, Parietal:all lined by mesothelium Peritonitis, acute: Appendicitis, local or with rupture Peptic ulcer, local or ruptured Cholecystitis, local or ruptured Diverticulitis, local or with rupture Salpingitis  gonococcal or chlamydial Ruptured bowel due to any reason Perforating abdominal wall injuries
  • 182.
    PERITONITIS E. coliSTREP S. aureus ENTEROCOCCUS
  • 183.
    PERITONITIS, outcomes: CompleteRESOLUTION Walled off ABSCESS ADHESIONS
  • 184.
    SCLEROSING RETROPERITONITIS Unknowncause (autoimmune?) Generalized retroperitoneal fibrosis, progressive  hydronephrosis
  • 185.
    TUMORS MESOTHELIOMAS (solitary nodules or diffuse constricting growth pattern, also asbestos caused) METASTATIC , usually diffuse, often looking very much like pseudomyxoma peritoneii, but containing tumor cells, usually adenocarcinoma

Editor's Notes

  • #11 Generally synonymous with the word “esophagospasm”
  • #14 Hiatal hernia with SHATZKI ring.
  • #15 “ TRUE” diverticula usually have all 4 layers in its wall: Muc/Submuc/Musc/Adventitia. Which one of these might result in dysphagia? Ans: Zenkers
  • #18 Note that the image on the right is the NON-microscopic demonstration of a squamo-columnar junction.
  • #21 Endoscopist’s point of view (left), and one of the treatment options (right). “Banding”, i.e., putting rubber bands on the varices, is also common.
  • #23 GERD is as MASSIVELY common as heartburn itself, because it IS heartburn!!!
  • #26 You can think of Barrett’s as REVERSE squamous metaplasia.
  • #28 Barrett’s on top, goblet cell on right, normal esophagus on bottom.
  • #30 Glandular “dysplasia”
  • #32 Candida, candida esophagitis in a HIV positive patient often is indicative of “full blown” AIDS.
  • #33 Herpes, from the points of view of the endoscopist and the pathologist. Might these large nucleolated cells be exfoliated as “Tzanck” cells?
  • #35 The very BEST way to classify ALL tumors of a major organ is to remember its basic HISTOLOGY
  • #38 Would you call this squamous “dysplasia”? Answer: YES Would your fear it would develop into squamous cell carcinoma? Answer: YES Does it always? Answer: NO Does it usually? Answer: With time, YES
  • #45 ALL 3 classic branches of the celiac axis supply the stomach: Common hepatic, left gastric, and splenic
  • #47 GE Junction is a squamo-columnar junction
  • #48 Body
  • #49 Pyloric sphincter
  • #50 Somatostatin  (also known as  growth hormone-inhibiting hormone  ( GHIH ) or  somatotropin release-inhibiting factor  ( SRIF )) is a polypeptide that regulates the endocrine system and affects neurotransmission and cell proliferation via interaction with G-protein coupled somatostatin receptors and inhibition of the release of numerous secondary hormones. Endothelins  are proteins that constrict blood vessels and raise blood pressure
  • #51 • The cephalic phase, initiated by the sight, taste, smell, chewing, and swallowing of palatable food, is mediated by vagal activity. • The gastric phase involves stimulation of stretch receptors by gastric distention and is mediated by vagal impulses; it also involves gastrin release from endocrine cells, the G cells, in the antral glands. Gastrin release is promoted by luminal amino acids and peptides and possibly by vagal stimulation. • The intestinal phase, initiated when food containing digested protein enters the proximal small intestine, involves a number of polypeptides besides gastrin.
  • #52 Prostaglandin E both DECREASES acid and INCREASES mucous.
  • #55 The acute/chronic patterns of gastritis generally conform to the poly/mono principles we so often have referred to. The “other” category of gastritis are also histologically based.
  • #60 Helicobacter pylori, gastric biopsy, silver stain on left, giemsa stain on right.
  • #61 Would an autoimmune gastritis be associated with megaloblastic anemia? Why? Answer: DECREASED intrinsic factor
  • #63 Eosinophilic gastritis
  • #67 Would this slide be seen in a REAL classroom to those sitting in the back row?
  • #72 A large obstructive bezoar usually takes on the shape and contour of the stomach
  • #74 Note that the “hypertrophy” is really various types of “hyperplasia”.
  • #75 Note prominence or “cerebrated” appearance of rugae.
  • #77 HYPERPLASTIC POLYPS are considered to be NON-neoplastic, and therefore NEVER turn into cancers. ADENOMATOUS polyps are true benign neoplasms and MAY turn into carcinomas, particularly if the exhibit DYSPLASIA on biopsy.
  • #82 I hope these are logical anatomic or “geometric” descriptions
  • #83 The LINITIS PLASTICA is the most SPECTACULAR, and most FEARED, of all gastric adenocarcinomas. It grows DIFFUSELY through all layers of the stomach, greatly thickening its wall, and giving the stomach a classic LEATHER BOTTLE appearance. It has a horrible prognosis.
  • #86 If you thought this yucky whitish stuff was mucin, what stain would you order to prove it? Answer: Mucicarmine stain. Is a positive muci-CARMINE stain RED (i.e., “carmine” colored)? Answer: YES
  • #87 Signet ring cells are POORLY differentiated adenocarcinoma cells, and are OFTEN seen with linitis plastica. Could those large “holes” in the cytoplasm possibly be mucicarmine positive” Answer: YES
  • #89 For as notoriously complex as all this sounds, they look like boring leiomyomas, and in the days PRE-immunochemistry, they probably WERE called smooth muscle tumors.
  • #98 Gastroschisis is also called paraomphalocele , laparoschisis , or abdominoschisis
  • #101 If the purpose of a bowel mucosal epithelial cell is to absorb fluid, it dpes NOT absorb fluid when it is damaged.
  • #103 Increased damage to an intestinal mucosal epithelial cell can result in EXUDATE from the mucosa TO the lumen
  • #125 Mucosal (villous) flattening and chronic mucosal inflammation
  • #131 Idiopathic Inflammatory Bowel Disease
  • #132 Idiopathic Inflammatory Bowel Disease
  • #133 Idiopathic Inflammatory Bowel Disease
  • #134 Granulomas are NOT found in UC, distinct mucosal pseudopolyps are not found in CD
  • #135 Pseudopolyp or fissure?
  • #136 * NOT “dysplastic” in the classic sense of the word
  • #138 Infarcted bowel is usually purple and paper thin
  • #149 Ileus is a disruption of the normal propulsive gastrointestinal motor activity from NON-mechanical mechanisms. Motility disorders that result from structural abnormalities are termed mechanical bowel obstruction.
  • #156 NOTE the various types of epithelial cells….this is the reason it is benign, i.e., NON monoclonal.
  • #157 TUBULAR adenoma, note how all the epithelial (glandular) cells look the same.
  • #158 Villous adenomas behave more aggressively than tubular adenomas
  • #168 Signet ring cells are POORLY differentiated adenocarcinoma cells, and are OFTEN seen with linitis plastica
  • #177 The presence of neutrophils invading the muscularis is the diagnostic criteria needed to diagnosis or confirm, acute appendicitis!
  • #181 A RUPTURED MUCINOUS CYSTADENOCARCINOMA can look exactly like benign pseudomyxoma peritoneii, but with tumor cells present