Cerebral Vascular Anatomy
Dr.Mohamed Ashraf Zaitoun, MD
Interventional Radiology Lecturer, Zagazig
University, Egypt
FINR-Switzerland
Knowing as much as possible about your
enemy precedes successful battle and
learning about the disease process
precedes successful management
Anterior Circulation
Internal Carotid Artery (ICA)
a) Origin
b) Portions :
Cervical Portion
Petrous Portion
Cavernous Portion
Intradural Portion
a) Origin :
-ICA originates in the neck as a terminal branch
of the common carotid artery (CCA) at the
level of the thyroid cartilage (i.e. C3 or C4
vertebrae)
-It terminates intracranially at the inferior
surface of the brain by dividing into anterior &
middle cerebral arteries
-Lateral 2D view
following left common
carotid artery injection ,
note the atherosclerotic
plaque involving the
proximal internal carotid
artery
1-Common carotid A.
2-Internal carotid A.
3-External carotid A.
5-Occipital artery
7-Superior thyroid A.
8-Lingual-facial artery
trunk
1-Common Carotid Artery
2-Internal Carotid Artery
3-Ascending pharyngeal Artery
4-Occipital Artery
5-Superficial Temporal Artery
6-Middle cerebral Artery
7-Anterior cerebral Artery
8-Middle meningeal Artery
9-Maxillary Artery
10-Facial Artery
11-Lingual Artery
12-External Carotid Artery
13-Superior Thyroid Artery
b) Portions :
1-Cervical Portion
-Extends from the bifurcation of the CCA to the
skull base
-In this section , the artery lies in the carotid
sheath with the internal jugular vein (IJV)
laterally , the vagus nerve & the cranial root of
the accessory nerve “XIth” (which travels with
Xth) run posteriorly & between these vessels
2-Petrous Portion
-The petrous segment of the internal carotid
artery consists of a vertical and a horizontal
portion
-It enters the skull base at the exocranial
opening of the carotid canal , ascends
approximately 1 cm (vertical portion) and then
turns anteromedially until it enters the
intracranial space at the foramen lacerum
(horizontal portion)
-Branches :
Angiographically , branches of the petrous
internal carotid artery are uncommon but at
least three possible branches are worth
remembering :
1-Caroticotympanic Branch
2-Mandibulovidian Trunk
3-Variant Stapedial Artery
3-Cavernous Segment
-Following its petrous passage , the ICA enters the
cavernous sinus and lies medial to the Gasserian
ganglion , the ophthalmic division of the
trigeminal nerve and the oculomotor , trochlear
and abducens cranial nerves
-It runs horizontally forwards and then turns
superiorly and medial to the anterior clinoid
process , passes through the dural ring and enters
its final intradural and supraclinoid course
-Branches : 3 Groups
1-The Meningohypophyseal Trunk (MHT)
2-The Inferolateral Trunk (ILT)
3-The Capsular Arteries of McConnell
4-Intradural Portion
-The supraclinoid portion of the ICA is intradural ,
the artery having entered the subarachnoid space
after crossing the dural ring medial to the
anterior clinoid process
-It turns posteriorly and runs lateral to the optic
nerve to terminate by dividing into anterior and
middle cerebral arteries
-From this portion originates successfully : the
ophthalmic artery , the superior hypophyseal
artery , the PCOM and the anterior choroidal
arteries
Intracranial superior view of the right sellar and parasellar region , AC: anterior clinoid
process , ICA: internal carotid artery , LT: lamina terminalis , ON: optic nerve , OlN:
olfatory nerve , SW: sphenoid wing , TS: tubercullum sellae
Anterior Cerebral Artery
a) Origin :
-The ACA originates below the anterior
perforating substance , lateral to the optic
chiasm as one of the terminal branches of ICA
-Frontal view of the anterior (carotid) intracranial
circulation
1 internal carotid artery - cervical segment
2 internal carotid artery - vertical petrous segment
3 internal carotid artery – horizontal petrous
segment
4 presellar segment (C5) internal carotid artery
9 ophthalmic artery
10 and 11 supraclinoid segment internal carotid
artery
13 anterior choroidal artery
14 internal carotid artery bifurcation
15 A1 segment of anterior cerebral artery
16 medial lenticulostriate arteries
17 recurrent artery of Heubner
18 A1-A2 junction anterior cerebral artery
19 anterior communicating artery
20 proximal A2 segment anterior cerebral artery
21 callosomarginal branch of anterior cerebral
artery
28 pericallosal branch of anterior cerebral artery
31 M1 segment of middle cerebral artery
32 lateral lenticulostriate arteries
33 bifurcation/trifurcation of middle cerebral
artery
34 anterior temporal lobe branches of middle
cerebral
43 sylvian point
44 opercular branches of middle cerebral artery
45 sylvian(insular) branches of middle cerebral
artery
-Top down view (superior to inferior) of the
skull base
BLACK KEY
5 meningohypophyseal trunk
6 horizontal (C4) intracavernous ICA
7 inferolateral trunk
9 ophthalmic artery
12 PCOM
13 anterior choroidal artery
14 ICA bifurcation
15 A1 segment of ACA
19 ACOM
20 proximal A2 segment ACA
21 callosomarginal branch of ACA
28 pericallosal branch of anterior cerebral
31 M1 segment of MCA
33 bifurcation/trifurcation of MCA
34 anterior temporal lobe branches of MCA
35 orbitofrontal branch of MCA
45 sylvian(insular) branches of MCA
RED KEY
1 vertebral artery
2 PICA
3 basilar artery
4 AICA
5 superior cerebellar artery
6.1 P1 segment PCA
6.2 P2 segment PCA
8 posterior temporal branch of PCA
9 parieto-occipital branch of PCA
10 calcarine branch of PCA
14 vertebral-basilar junction
16 pontine perforators
17 anterior spinal artery
b) Segmental Anatomy :
-A1 segment : from the ICA bifurcation to the ACOM
14mm in length
-A2 segment : from ACOM to the origin of the
callosomarginal artery (the junction of the rostrum and
genu of the corpus callosum)
-A3 segment : distal to the origin of the callosomarginal
artery “a.k.a. pericallosal artery “ (extends around the
genu until the artery turns sharply posteriorly)
-A4 and A5 segments : above the corpus callosum are
separated by the plane of the coronal fissure
1-ICA , 2-MCA , 3-ACA (A1) , 4-ACA (A2) , Arrow : ACOM
1-Straight sinus , 2-Internal cerebral vein , 3-ACA (A2) , 4-ACA (A3) , 5-
Callosomarginal artery , 6-Pericallosal artery , 7-Corpus callosum
c) Branches :
1-A1 Section
2-A2 Section
3-A3 Section
4-A4 & A5 Sections
1-A1 Section : Precommunicating Artery
a) Lenticulostriate Arteries
b) Recurrent Artery of Heubner
c) Anterior Communicating Artery
Anterior circle of Willis showing lenticulostriate arteries arising from the anterior
cerebral arteries (M medial group) and middle cerebral artery (L lateral group) , On
the left , the anterior choroidal (AChA) and on the right the recurrent artery of
Heubner (RaH) , note that anterior perforating arteries also arise from the anterior
communicating artery
2-A2 Section :
-The main branches arise from this section are :
1-Orbitofrontal artery of the ACA
2-Frontopolar Artery
1-Orbitofrontal
artery
2-Frontopolar
artery
3Callosomarginal
artery
4-Pericallosal
artery
3-A3 Section :
-Distal to the origin of the callosomarginal artery or
the genu , if the callosomarginal artery can’t be
identified
-It gives a group of four arterial branches :
1-Anterior internal frontal
2-Middle internal frontal
3-Posterior internal frontal
4-Paracentral artery
(1) Orbitofronal , (2) Frontopolar , (3) Anterior internal forntal , (4) Middle internal
frontal , (5) Posterior internal frontal , (6) paracentral , (7) Superior parietal ,
(8) Inferior parietal , (9) Callosomarginal , (10) Pericallosal
4-A4 & A5 Sections :
-In its A4 (or A5) final section , the pericallosal
artery runs posteriorly over the body of the
corpus callosum in the cistern of that name
-It terminates & anastomoses with the posterior
pericallosal artery that arises from the PCA
Middle Cerebral Artery
1-Origin :
-The MCA arises as the lateral terminal branch
of the ICA
2-Segmental Anatomy :
a) M1 :
-Horizontal , from the ICA to the lateral fissure
b) M2 :
-Insular , the upper & lower trunk arteries thus
formed
-Designates the branches located inside the Sylvian
fissure
c) M3 :
-Opercular , denominates the branches located
between the top of the Sylvian fissure and the
cerebral cortex
d) M4 :
-Cortical , refers to arterial branches on the surface
of the cerebral cortex
(1) MCA bifurcation (genu) , (2) MCA (M1) , (3) ICA (RT side) , (4) ACA (A1) , (5)
ICA (LT side) , (6) MCA (LT side)
(1) MCA , M4 , (2) MCA (M3) , (3) MCA (M2) , (4) MCA (M1) , (5)
ICA (LT side) , (6) MCA (LT side)
(1) MCA (M4) , (2) MCA (M3) , (3) MCA (M2) , (4) MCA (M1) , (5) LT ICA , (6) LT
MCA , (7) Basilar artery , (8) PCA
-2D frontal view following right ICA
injection , the appearance of the carotid
circulation is normal , Note the early
bifurcation of MCA (normal variant)
1 ICA – cervical segment
2 ICA – vertical petrous segment
3 ICA – horizontal petrous segment
4 presellar (Fischer C5) ICA
6 horizontal (Fischer C4) intracavernous
ICA
9 ophthalmic artery
10 & 11 proximal and distal supraclinoid
segment ICA
12 posterior communicating artery
13 anterior choroidal artery
14 internal carotid artery bifurcation
15 A1 segment of ACA
17 recurrent artery of Heubner
20 proximal A2 segment ACA
21 callosomarginal branch ACA
28 pericallosal branch of ACA
31 M1 segment of MCA
32 lateral lenticulostriate arteries
33 bifurcation/trifurcation of MCA
34 anterior temporal lobe branches of
MCA
35 orbitofrontal branch of MCA
43 sylvian point
44 opercular branches of MCA
45 sylvian (insular) branches of MCA
-Frontal 3D view following right internal
carotid artery injection , these views
show the normal appearance of the
intracranial internal carotid artery
circulation. The proximal A2 segments of
the anterior cerebral arteries have been
intentionally removed from the images
1 ICA – cervical segment
2 ICA – vertical petrous segment
3 ICA – horizontal petrous segment
4 presellar (Fischer C5) ICA
6 horizontal (Fischer C4) intracavernous
ICA
8 anterior genu (Fischer C3)
intracavernous IAC
9 ophthalmic artery
10 & 11 proximal and distal supraclinoid
segment ICA
13 anterior choroidal artery
14 ICA bifurcation
15 A1 segment of ACA
20 proximal A2 segment ACA
22 orbitofrontal branch of ACA
31 M1 segment of MCA
33 bifurcation/trifurcation of MCA
43 sylvian point
44 opercular branches of MCA
45 sylvian (insular) branches of MCA
-Lateral 2D view following
CA injection in the late arterial phase
-The triangle placed on the image is
called the sylvian triangle , this represents
the geometric representation of the MCA
overlying the insular cortex
-Alteration in the shape of this triangle
can indicate mass displacements of the
(MCA) branches
1 ICA – cervical segment
2 ICA – vertical petrous segment
3 ICA – horizontal petrous segment
4 presellar (Fischer C5) segment ICA
6 horizontal (Fischer C4) intracavernous
ICA
8 anterior genu (Fischer C3)
intracavernous ICA
9 ophthalmic artery
35 orbitofrontal branch of MCA
36 operculofrontal branches of MCA
37 pre-central branch(es) of MCA
38 central rolandic branches of MCA
39a anterior parietal branch of MCA
39p posterior parietal branch of MCA
40 angular artery
42m middle temporal branches of MCA
42p posterior temporal branches of MCA
43 sylvian point
44 opercular branches of MCA
3-Branches :
-Can be classified into two groups :
a) Deep (perforator)
b) Superficial (cortical)
a) Deep (Perforating) Branches :
-Arise from the superior surface of the M1
segment
-They are grouped as the medial & lateral
lenticulostriate arteries
-2D frontal view following left ICA injections ,
these images show an aneurysm in the region
of the left MCA bifurcation/trifurcation
2 ICA – vertical petrous segment
3 ICA – horizontal petrous segment
4 presellar (Fischer C5) ICA
6 horizontal (Fischer C4) intracavernous ICA
8 anterior genu (Fischer C3) intracavernous
ICA
9 ophthalmic artery
10 & 11 proximal and distal supraclinoid
segments ICA
12 PCOM
13 anterior choroidal artery
14 ICA bifurcation
15 A1 segment of ACA
18 A1-A2 junction ACA
20 proximal A2 segment ACA
21 callosomarginal branch of ACA
22 orbitofrontal branch of ACA
28 pericallosal branch of ACA
31 M1 segment of MCA
32 lateral lenticulostriate arteries
33 bifurcation/trifurcation MCA
34 anterior temporal lobe branches MCA
35 orbitofrontal branch MCA
43 sylvian point
44 opercular branches MCA
45 sylvian (insular) branches MCA
-2D frontal view following right ICA
injection , these views show a small
aneurysm projecting inferiorly in the
region of the right MCA bifurcation
1 ICA – cervical segment
2 ICA – vertical petrous segment
3 ICA – horizontal petrous segment
4 presellar (Fischer C5) segment ICA
8 anterior genu (Fischer C3)
intracavernous ICA
9 ophthalmic artery
10 & 11 proximal and distal supraclinoid
segments ICA
13 anterior choroidal artery
14 ICA bifurcation
15 A1 segment of ACA
18 A1-A2 junction ACA
20 proximal A2 segment ACA
21 callosomarginal branch of ACA
22 orbitofrontal branch of ACA
23 frontopolar branch of ACA
28 pericallosal branch of ACA
31 M1 segment of MCA
32 lateral lenticulostriate arteries
33 bifurcation/trifurcation of MCA
35 orbitofrontal branch of MCA
43 sylvian point
44 opercular branches MCA
45 sylvian (insular) branches of MCA
An aneurysm
b) Superficial (Cortical) branches :
-Supply a considerable proportion of the superficial
hemispheric cortex
*Arteries to the Frontal lobe :
-These run superiorly after leaving the fissure , from
anterior to posterior :
1-Orbitofrontal artery of the MCA
2-Prefrontal artery (supplies Broca’s area)
3-Precentral artery (or Pre-Rolandic artery of Sillon)
4-Central artery (or artery of the Rolandic fissure)
- Lateral 2D view following
internal carotid artery injection mid
arterial phase , non-filling of the anterior
cerebral artery allows for an unobtrusive
view of the more distal (mca) branches. A
template type
labeling of the distal middle cerebral
artery branches allows for greater
variability in the proximal branching
pattern of the mca vessels. Note the
choroidal blush along the posterior
margin of the globe (eye)
1 internal carotid artery – cervical
segment
2 internal carotid artery – vertical
petrous segment
3 internal carotid artery – horizontal
petrous segment
4 presellar (Fischer C5) segment
internal carotid artery
6 horizontal (Fischer C4)
intracavernous
segment internal carotid artery
8 anterior genu (Fischer C3)
intracavernous segment ICA
10 & 11 proximal and distal
supraclinoid segments internal carotid
artery
*Arteries to the Parietal & Occipital lobes:
-These run posterior to the sylvian fissure , from
superior to inferior :
1-Anterior parietal
2-Posterior parietal
3-Angular
4-Occipito-temporal
1-Orbitofrontal , 2-Prefrontal , 3-Precentral , 4-Central , 5-Anterior parietal , 6-Post
parietal , 7-Angular , 8-Occipito-temporal , 9-Posterior temporal , 10-Middle
temporal , 11-Anterior temporal , 12-Tempero-polar
*Arteries to the Temporal lobe :
-These run inferiorly after leaving the lateral
sulcus of the sylvian fissure and are arranged
from anterior to posterior :
1-Temporo-polar
2-Anterior temporal
3-Middle temporal
4-Posterior temporal
1-Orbitofrontal
2-Pre-rolandic
3-Rolandic branches
4-Anterior and
posterior parietal
branches
5-Anterior temporal
6-Middle temporal
7-Posterior temporal
8-Occipito-temporal
-Anterior temporal branch (best seen in AP view) , a typical
appearance of an anterior temporal branch of the MCA
proximal to the main bifurcation is indicated with the arrow
Posterior Circulation
Vertebral Artery
1-Origin :
-They are the first branch of the subclavian
arteries , arise from its superior aspect
2-Course :
-Arise from the superior aspect of the subclavian
artery and run vertically and posteriorly to the
level of the sixth cervical vertebra (C6) (V1)
where they enter the foramen in the
transverse process
-The VA then runs superiorly in the vertebral
canal passing through foramina in the
transverse processes of all the upper cervical
vertebrae (V2)
-After leaving the superior border of the foramen of the
atlas (C2) , it runs horizontally and posteriorly to pass
through the more laterally positioned foramen of the
axis (C1) and then turns medially to the foramen
magnum (V3)
-There , it penetrates the atlantooccipital membrane
and dura to enter the cranial cavity through the
foramen magnum and then runs upwards and
medially to terminate as the basilar artery , formed
by joining its contralateral counterpart anterior to
the upper border of the medulla oblongata (V4)
3D volume-rendered (a) and curved reformatted (b) images from contrast-enhanced CT
angiography show the segments of the vertebral artery. V1 = between its origin and its entry
into the transverse foramen of the C6 vertebra, V2 = midcervical course between the
processes of C6 to C2, V3 = atlas loop region, V4 = intracranial segment. Note the asymmetric
venous plexus enhancement around the V3 segment (arrow in a)
-Frontal 2D view following
right vertebral artery
injection , there is a
normal appearance of the
cervical vertebral artery
extending approximately
to the vertebral-basilar
junction
1 vertebral artery
2 muscular branches
3 radiculomedullary
feeder to anterior spinal
artery
4 PICA
C1 first cervical vertebrae
C2 second cervical
vertebrae
-3D frontal view
following right
vertebral artery
injection , there is a
normal appearance of
the cervical vertebral
artery extending
approximately to the
skull base
1 vertebral artery
2 muscular branches
C1 first cervical
vertebrae
C2 second cervical
vertebrae
-3D posterior view
following right
vertebral artery
injection , there is a
normal appearance of
the cervical vertebral
artery extending
approximately to the
skull base
1 vertebral artery
2 muscular branches
C1 first cervical
vertebrae
C2 second cervical
vertebrae
3-Branches :
a) Extracranial Branches
b) Intracranial Branches
a) Extracranial Branches :
-In its extracranial course , the VA gives branches which
supply the spinal cord and its dura , cervical
vertebrae and muscles as well as the dura of the
inferior posterior fossa
-These include (from proximal to distal) :
1-Branches to the stellate ganglion
2-Spinal branches from C6 to C1
3-Arteries of the cervical expansion
4-Muscular branches
5-Anterior meningeal artery
b) Intracranial Branches :
-In its intracranial portion , the VA gives branches that
supply dura and the medulla oblongata , upper
cervical cord and cerebellum , these are :
1-Posterior meningeal artery and artery of the falx
cerebelli
2-Medial Group of Perforator Branches
3-Anterior Spinal Artery
4-Lateral Spinal Artery
5-Posterior Inferior Cerebellar Artery
Anterior spinal artery and artery of the falx cerebelli , a lateral projection of the LT VA shows a
well-visualized anterior spinal artery (a.sp.a.) directed inferiorly along the anterior surface of
the medulla and spine , the LT PICA has a relatively high origin off the intradural left vertebral
artery , the artery of the falx cerebelli (f.cb.) arises from the extracranial vertebral artery , it
courses diagonally toward the torcular deviating away from the inner table of the skull
(1) PCA , (2) SCA , (3) Pontine branches of the BA , (4) AICA , (5) Internal
auditory artery , (6) VA , (7) PICA , (8) Anterior spinal artery , (9) BA
Basilar Artery
1-Origin :
-BA is formed by joining of both VAs anterior to
the upper border of the medulla oblongata
-3D frontal view following left
vertebral artery injection , shows
the intracranial vertebral basilar
circulation in a patient with
severe atherosclerotic vascular
disease , note the moderately
severe stenosis of the midbasilar
artery in addition to a generalized
vessel irregularity
1 vertebral artery
2 (PICA)
3 basilar artery
4 (AICA)
5 (SCA)
5v vermian branch of SCA
5h hemispheric branch of SCA
6.1 P1 segment of (PCA)
6.2 P2 segment of (PCA)
8 posterior temporal branch of
PCA
9 parieto-occipital branch of PCA
10 calcarine branch of PCA
-3D frontal view shows
lobulated aneurysm arising
from the tip of the basilar
artery projecting posteriorly
into the interpeduncular
cistern
1 vertebral artery
2 PICA
3 basilar artery
4 AICA
5 SCA
6.1 P1 segment of (PCA)
6.2 P2 segment of (PCA)
7 PCOM
9 parieto-occipital branch of
PCA
10 calcarine branch of PCA
14 vertebral basilar junction
-2D frontal view following vertebral
artery injection , shows normal
intracranial vertebral basilar
circulation , note the blush (*) of the
choroid plexus
1 vertebral artery
2 posterior inferior cerebellar artery
(PICA)
2v vermian branch of PICA
2h hemispheric branch of PICA
3 basilar artery
4 anterior inferior cerebellar artery
(AICA)
5 superior cerebellar artery (SCA)
5h hemispheric branch of SCA
5v vermian branch of SCA
6 posterior cerebral artery (PCA)
6.2 P2 segment of PCA
8 posterior temporal branch of PCA
9 parieto-occipital branch of PCA
10 calcarine branch of PCA
12 posterior thalamoperforating arteries
13L lateral posterior choroidal artery
16 pontine perforating artery
* blush of choroids plexus
-3D frontal view following vertebral
artery injection , shows normal
intracranial vertebral basilar
circulation
1 vertebral artery
2 posterior inferior cerebellar artery
(PICA)
2v vermian branch of PICA
2h hemispheric branch of PICA
3 basilar artery
4 anterior inferior cerebellar artery
(AICA)
5 superior cerebellar artery (SCA)
5h hemispheric branch of SCA
5v vermian branch of SCA
6 posterior cerebral artery (PCA)
6.2 P2 segment of PCA
8 posterior temporal branch of PCA
9 parieto-occipital branch of PCA
10 calcarine branch of PCA
12 posterior thalamoperforating arteries
13L lateral posterior choroidal artery
16 pontine perforating artery
2-Branches :
-Its branches can be divided into two groups ,
the perforating arteries and the long
circumferential arteries
a) The Perforating Arteries :
-Are paramedian and circumferential in
distribution
-They supply the corticospinal tracts , other
connecting white matter tracts and the vital
deep nuclei of the pons and midbrain
-In the physiological state , they are rarely visible
on angiography and do not cross the midline
-2D frontal view following left vertebral
artery injection , the intracranial view of
the vertebral basilar circulation is of a
patient with vasculitis , the vasculitis is
illustrated by the multifocal areas of
stenosis (narrowing) , the vascular
branching pattern shows a typical
appearance of vertebral basilar circulation
1 vertebral artery
2 (PICA)
2v vermian branch of PICA
2h hemispheric branch of PICA
3 basilar artery
4 (AICA)
5 (SCA)
5v vermian branch of SCA
5h hemispheric branch of SCA
6.1 P1 segment of (PCA)
6.2 P2 segment of (PCA)
7 PCOM
8 posterior temporal branch of PCA
9 parieto-occipital branch of PCA
10 calcarine branch of PCA
11 anterior thalamoperforating arteries
12 posterior thalamoperforating arteries
13m medial posterior choroidal artery
13L lateral posterior choroidal artery
14 vertebral basilar junction
15 splenial branch (posterior pericallosal
artery) of PCA
** region of quadrigeminal plate cistern
17 anterior spinal artery
-2D lateral early arteiral view following left
vertebral artery injection , the intracranial
view of the vertebral basilar circulation is of a
patient with vasculitis , the vasculitis is
illustrated by the multifocal areas of stenosis
(narrowing) , the vascular branching pattern
shows a typical
appearance of vertebral basilar circulation
1 vertebral artery
2 (PICA)
2v vermian branch of PICA
2h hemispheric branch of PICA
3 basilar artery
4 (AICA)
5 (SCA)
5v vermian branch of SCA
5h hemispheric branch of SCA
6.1 P1 segment of (PCA)
6.2 P2 segment of (PCA)
7 PCOM
8 posterior temporal branch of PCA
9 parieto-occipital branch of PCA
10 calcarine branch of PCA
11 anterior thalamoperforating arteries
12 posterior thalamoperforating arteries
13m medial posterior choroidal artery
13L lateral posterior choroidal artery
14 vertebral basilar junction
15 splenial branch (posterior pericallosal
artery) of PCA
** region of quadrigeminal plate cistern
17 anterior spinal artery
-2D lateral late arterial phase view following
left vertebral artery injection , the intracranial
view of the vertebral basilar circulation is of a
patient with vasculitis , the vasculitis is
illustrated by the multifocal areas of stenosis
(narrowing) , the vascular branching pattern
shows a typical
appearance of vertebral basilar circulation
1 vertebral artery
2 (PICA)
2v vermian branch of PICA
2h hemispheric branch of PICA
3 basilar artery
4 (AICA)
5 (SCA)
5v vermian branch of SCA
5h hemispheric branch of SCA
6.1 P1 segment of (PCA)
6.2 P2 segment of (PCA)
7 PCOM
8 posterior temporal branch of PCA
9 parieto-occipital branch of PCA
10 calcarine branch of PCA
11 anterior thalamoperforating arteries
12 posterior thalamoperforating arteries
13m medial posterior choroidal artery
13L lateral posterior choroidal artery
14 vertebral basilar junction
15 splenial branch (posterior pericallosal
artery) of PCA
** region of quadrigeminal plate cistern
17 anterior spinal artery
b) The Long Circumferential Arteries :
1-Internal Auditory Artery (Labyrinthine Artery)
2-The Anterior Inferior Cerebellar Artery (AICA)
3-The Superior Cerebellar Artery (SCA)
4-Posterior Cerebral Artery (PCA)
-2D frontal view following vertebral
artery injection , shows normal
intracranial vertebral basilar
circulation , note the blush (*) of the
choroid plexus
1 vertebral artery
2 posterior inferior cerebellar artery
(PICA)
2v vermian branch of PICA
2h hemispheric branch of PICA
3 basilar artery
4 anterior inferior cerebellar artery
(AICA)
5 superior cerebellar artery (SCA)
5h hemispheric branch of SCA
5v vermian branch of SCA
6 posterior cerebral artery (PCA)
6.2 P2 segment of PCA
8 posterior temporal branch of PCA
9 parieto-occipital branch of PCA
10 calcarine branch of PCA
12 posterior thalamoperforating arteries
13L lateral posterior choroidal artery
16 pontine perforating artery
* blush of choroids plexus
-3D frontal ) view following left
vertebral artery injection , this view
show intracranial vertebral basilar
circulation in a patient with severe
atherosclerotic vascular disease , note
the multifocal areas of vessel irregularity
and narrowing (stenoses) and the
severe narrowing of the distal right
vertebral artery (*) , this is a good
demonstration of a right AICA-PICA
where a medial branch of AICA supplies
all or a portion of the PICA territory
1 vertebral artery
2 (PICA)
3 basilar artery
4 (AICA)
4 – PICA AICA-PICA
5 (SCA)
5h hemispheric branch of SCA
5v vermian branch of SCA
6.1 P1 segment of (PCA)
6.2 P2 segment of (PCA)
8 posterior temporal branch of PCA
* severe stenosis (narrowing) distal right
vertebral artery
-2D lateral view following vertebral
artery injection , intracranial vertebral
basilar circulation is seen with a
moderate-size aneurysm arising from
the distal vertebral artery near the
origin of the PICA
vertebral artery
2 (PICA)
2v vermian branch of PICA
2h hemispheric branch of PICA
3 basilar artery
4 (AICA)
5 (SCA)
5h hemispheric branch of SCA
6 (PCA)
6.1 P1 segment of PCA
6.2 P2 segment of PCA
8 posterior temporal branch of PCA
9 parieto-occipital branch of PCA
10 calcarine branch of PCA
12 posterior thalamoperforating arteries
13m medial posterior choroidal arteries
13L lateral posterior choroidal arteries
15 splenial branch (posterior pericallosal
artery) branch of PCA
-3D frontal view following right
vertebral artery injection , this
view shows normal intracranial
vertebral basilar circulation ,
note the duplication of the right
SCA , this is a normal variant
1 vertebral artery
2 (PICA)
3 basilar artery
4 (AICA)
5 (SCA)
5h hemispheric branch of SCA
5v vermian branch of SCA
6 (PCA)
6.1 P1 segment of PCA
6.2 P2 segment of PCA
8 posterior temporal branch of
PCA
9 parieto-occipital branch of PCA
10 calcarine branch of PCA
14 vertebral basilar junction
External Carotid Artery
a) Origin :
-Bifurcation of the common carotid artery
b) Supply :
-The ECA supplies the tissues of the scalp , face
and neck
-Lateral 2D view following
selective external carotid
artery injection , there is a
hypervascular mass adjacent
to the proximal ECA, this is
the typical appearance of a
carotid body tumor (glomus
or paraganglioma)
6 occipital artery
9 lingual artery
10 facial artery
11 superficial temporal
artery
12 internal maxillary artery
13 middle meningeal
artery
15 deep temporal artery
-Lateral 3D view following left
common carotid artery injection ,
note the hypervascular mass
typical of a carotid body tumor
(glomus or paraganglioma)
situated between the proximal
internal and external carotid
arteries
1 common carotid artery
2 internal carotid artery
3 external carotid artery
4 ascending pharyngeal artery
7 superior thyroid artery
9 lingual artery
10 facial artery
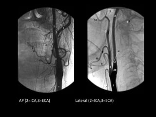
c) Course :
-It arises at the level of the superior border of the
thyroid cartilage and terminates beneath the neck of
the mandible by dividing into superficial temporal
and internal maxillary arteries
-At its origin , it is situated Anterior to the ICA but as it
ascends , it lies more Posteriorly and finally Lateral to
ICA (APL)
-Thus , on frontal angiography its origin is medial to the
ICA origin and the vessels reverse their relative
positions as they run superiorly but on the lateral
view the ICA is always posterior
AP (2=ICA,3=ECA) Lateral (2=ICA,3=ECA)
d) Branches :
-It has eight branches which will be described in their
usual sequence from proximal to distal
-These are :
1-Superior Thyroid artery
2-Lingual artery
3-Ascending Pharyngeal artery (APA)
4-Facial artery (FA)
5-Occipital artery (OA)
6-Posterior Auricular artery (PA)
7-Superficial Temporal artery (STA) (terminal)
8-Internal Maxillary artery (IMA) (terminal)
Black key
1 ascending thoracic aorta
2 descending thoracic aorta
3 innominate artery
4 right subclavian artery
5 stump of right common carotid artery
6 right vertebral artery
7 right thyrocervical trunk
8 right costocervical trunk
9 right internal mammary artery
10 left subclavian artery
11 left vertebral artery
12 left thyrocervical trunk
13 left costocervical trunk
14 left internal mammary artery
15 left common carotid artery
Red key
2 internal carotid artery
3 external carotid artery
4 ascending pharyngeal
5 occipital artery
6 posterior auricular artery
7 superior thyroid artery
9 lingual artery
10 facial artery
11 superficial temporal
12 internal maxillary artery
24 transverse facial artery
-Frontal left common carotid
artery injection , normal 2D
appearance of the left
common carotid artery
bifurcation region
1 common carotid artery
2 internal carotid artery
2b carotid bulb
3 external carotid artery
4 ascending pharyngeal
5 occipital artery
6 posterior auricular artery
7 superior thyroid artery
9 lingual artery
10 facial artery
11 superficial temporal
12 internal maxillary artery
-Lateral left common carotid
artery injection , normal 2D
appearance of the left
common carotid artery
bifurcation region
1 common carotid artery
2 internal carotid artery
2b carotid bulb
3 external carotid artery
4 ascending pharyngeal
5 occipital artery
6 posterior auricular artery
7 superior thyroid artery
9 lingual artery
10 facial artery
11 superficial temporal
12 internal maxillary artery
-Frontal following left common
carotid artery injection , there is
a normal 3D appearance of the
left common carotid artery
bifurcation region
1 common carotid artery
2 internal carotid artery
2b carotid bulb
3 external carotid artery
5 occipital artery
6 posterior auricular artery
7 superior thyroid artery
9 lingual artery
10 facial artery
-lateral following left
common carotid artery
injection , there is a normal
3D appearance of the left
common carotid artery
bifurcation region
1 common carotid artery
2 internal carotid artery
2b carotid bulb
3 external carotid artery
5 occipital artery
6 posterior auricular artery
7 superior thyroid artery
9 lingual artery
10 facial artery
-Posterior following left
common carotid artery
injection , there is a normal
3D appearance of the left
common carotid artery
bifurcation region
1 common carotid artery
2 internal carotid artery
2b carotid bulb
3 external carotid artery
5 occipital artery
6 posterior auricular artery
7 superior thyroid artery
9 lingual artery
10 facial artery
-Right anterior oblique view
following left common carotid
artery injection , there is a
normal 3D appearance of the
left common carotid artery
bifurcation region
1 common carotid artery
2 internal carotid artery
2b carotid bulb
3 external carotid artery
5 occipital artery
6 posterior auricular artery
7 superior thyroid artery
9 lingual artery
10 facial artery
1-Common Carotid Artery
2-Internal Carotid Artery
3-Ascending pharyngeal Artery
4-Occipital Artery
5-Superficial Temporal Artery
6-Middle cerebral Artery
7-Anterior cerebral Artery
8-Middle meningeal Artery
9-Maxillary artery
10-Facial artery
11-Lingual artery
12-External carotid artery
13-Superior thyroid artery
Venous Drainage
Intracranial Veins
There are five types of intracranial veins :
1-Diploic Veins
2-Emissary Veins
3-Meningeal Veins
4-Dural Venous Sinuses
5-Cerebral Veins
1-Diploic Veins :
-These are relatively large thin-walled
endothelial lined channels which run between
the inner and outer table of the skull , i.e. in
the diploe
-Communicate with the overlying scalp veins
and with the underlying meningeal veins and
dural sinuses
2-Emissary Veins :
-These are connecting veins between
extracranial veins , diploic veins and the
intracranial meningeal veins and sinuses
-They are concentrated around the major dural
sinuses , particularly parasagittal to the
superior sagittal sinus and around the sigmoid
sinus
3-Meningeal Veins :
-The meningeal veins form a plexus in the outer
layer of dura and between it and the
periosteum of the inner table of the skull
4-Dural Venous Sinuses :
-Sinuses are formed within two layers of dura
and drain the veins of the brain , the meninges
and the cranium principally into the internal
jugular vein
-They comprise the following :
1-Superior Sagittal Sinus
2-Inferior Sagittal Sinus
3-Straight Sinus
4-Transverse Sinus
5-Superior Petrosal Sinus
6-Sigmoid Sinus
7-Occipital Sinus and Marginal Sinuses
8-Inferior Petrosal Sinus
9-Sphenoparietal Sinus
10-Cavernous Sinuses
T1+C shows a large CSF-isointense filling defect , consistent with an arachnoid
granulation (black arrows) , at the junction point of the vein of Galen and straight
sinus , note also the presence of smaller arachnoid granulations within the
superior sagittal sinus (white arrowheads)
Technique
Aneurysm
Endovascular Treatments of Intracranial
Aneurysms
1-Aim of Treatment
2-Parent Artery Occlusion
3-Endosaccular Embolization
4-Adjuvant Endovascular Treatments
1-Aim of Treatment :
-The reason to treat is the risk of rebleeding and the
aim is to exclude the aneurysm from the arterial
circulation without compromising any perfusion
territory
-Endovascular treatments to occlude aneurysms
can be divided into those than involve occlusion
of the parent artery and those that preserve it ,
we are rapidly progressing to the point when the
former is largely obsolete , but it is likely to retain
a limited role for some time yet
2-Parent Artery Occlusion :
a) Technique
b) Indications
c) Complications
a) Technique :
-Occlusion of the aneurysm parent artery is an
effective method of inducing thrombosis and
preventing aneurysm growth and rupture
-Endovascular arterial occlusion has replaced
surgical ligation because prior temporary
balloon occlusion allows assessment of
collateral blood flow and is safer
-Occlusion is generally performed at the level of
the aneurysm neck or immediately proximal
to the neck
b) Indications :
1-Giant secular aneurysms with wide necks and
heavily calcified walls
2-Wide-necked & fusiform aneurysms
3-Distal aneurysms above the level of the circle
of Willis on small arteries
4-Posttraumatic pseudoaneurysms & infectious
aneurysms
5-Failed endosaccular embolization
c) Complications :
-Complications are :
1-Transient neurological deficit (7.25-10.3 %)
2-Permanent deficits (1.5-4.4 %)
3-Endosaccular Embolization :
a) Technique
b) Complications
a) Technique :
-Coil embolization is performed under general
anaesthesia so the patients can be adequately
monitored and immobilized
-Selective catheterization of the aneurysm sac is
performed after systemic anticoagulation (by bolus
injection or infusion of heparin) and packing is
usually performed by placing large initial coils into
which smaller coils are packed
b) Complications :
1-Periprocedural Complications
2-Delayed Complications
1-Periprocedural Complications :
a) Aneurysm Rupture
b) Thromboembolic Events
2-Delayed Complications :
a) Aneurysm Rebleeding
b) Rupture of Previously Unruptured Aneurysms
c) Exacerbation of compression syndromes
d) Hydrocephalus
e) Sterile meningitic reaction adjacent to the thrombosed
aneurysm
f) Transient ischemic episodes
g) Radiation induced alopecia
h) Seizures
i) Coil compaction causing aneurysms recurrence
5-Adjuvant Endovascular Treatments :
-Coil embolization for a minority of aneurysms isn’t
possible because of their anatomy
-The features that make a particular aneurysm
uncoilable are :
a) Wide neck
b) Extreme size
c) Branch arteries arising from within the sac
d) Fusiform shape
-Stent & Coils and Flow Diverters
a) Stent & Coil :
-Placing a stent in the parent artery is a logical solution
to the problem of retaining coils in sessile very wide-
necked aneurysms
-Initially , the combined use of coils and stents was
confined to treatments of unruptured aneurysms
because of the need to place patients on antiplatelet
drugs (in addition to periprocedural heparin) as
prophylaxis against thrombosis within the stent
b) Balloon-Assisted Coiling :
-Balloon-assisted coiling (BAC) which is also known
as (the remodelling technique) involves
placement of a suitably sized compliant balloon
across the aneurysm neck during coil deployment
, the balloon is used to retain coils within the
aneurysm to compress their profile at the neck
(i.e. remodelling) and to be available to arrest
blood flow should rupture occur during
embolization
c) Flow Diverters :
-Flow diverters have been developed to treat
intracranial aneurysms
-These endovascular devices are placed within
the parent artery rather than the aneurysm
sac
-They take advantage of altering hemodynamics
at the aneurysm / parent vessel interface
resulting in gradual thrombosis of the
aneurysm occurring over time
Arterio-Venous Malformation
(AVM)
Treatment of Brain AVM
-The principle aim of treatment is to eliminate the
lifelong risk of hemorrhage
-The assumption underlying any form of
intervention is that complete obliteration /
removal of the BAVM means that the patient is
no longer at risk of future hemorrhage
-Incomplete treatment risks recurrence and future
bleeding
-The effects of anatomical cure on other symptoms
are less certain
1-Medical Management
2-Surgical Resection
3-Radiotherapy
4-Embolisation
Embolisation
-Embolisation is used alone or as an adjuvant
treatment combined with surgery or
radiotherapy
-The goals of treatment are different if it is
attempted for complete cure , to facilitate
surgery or radiotherapy or used as palliative
treatment
-We use :
1-Cyanoacrylate agents , i.e. N-butyl-2-
cyanoacrylate (n-BCA)
2-Onyx
Stroke
Treatment of Acute Stroke
1-Intravenous Thrombolysis for Acute Stroke
2-Intra-arterial Thrombolysis for Acute Stroke
3-Combined Intravenous and Intra-arterial
Thrombolysis
4-Stent Retrieval Devices
1-Intravenous Thrombolysis for Acute Stroke :
-More recent trials of intravenous (IV)
thrombolysis have used rtPA
-They suggest that the treatment is effective if
instigated in the first few hours after the
stroke
2-Intra-arterial Thrombolysis for Acute Stroke :
-The rationale of intra-arterial (IA) thrombolysis
is to target the drug to the site of thrombosis
-Its goal is the same as intravenous treatment ,
i.e. to limit the area of infarcted parenchyma
and to enhance the survival of any
functionally disabled cerebral tissue in the
surrounding ischaemic penumbra
3-Combined Intravenous and Intra-arterial
Thrombolysis :
-Combination treatment or ‘bridging’ therapy in
which IV rtPA is given during investigations
and triage for possible IA treatment , is widely
practised
4-Stent Retrieval Devices :
-The technique involves passing a microcatheter
(over a standard guidewire) through the
thrombus and then delivering the retrievable
stent device across the occluded segment
-The stent device is deployed by retrieving the
microcatheter, and then a period of 3-5 min
should be allowed for the clot to become
entrapped within the frame of the device
-The device (and contained thrombus) is then
retrieved during the arrest of blood flow in the
proximal artery
Cerebral Vascular Anatomy and Technique
Cerebral Vascular Anatomy and Technique
Cerebral Vascular Anatomy and Technique
Cerebral Vascular Anatomy and Technique

Cerebral Vascular Anatomy and Technique

  • 1.
    Cerebral Vascular Anatomy Dr.MohamedAshraf Zaitoun, MD Interventional Radiology Lecturer, Zagazig University, Egypt FINR-Switzerland
  • 4.
    Knowing as muchas possible about your enemy precedes successful battle and learning about the disease process precedes successful management
  • 5.
  • 6.
    Internal Carotid Artery(ICA) a) Origin b) Portions : Cervical Portion Petrous Portion Cavernous Portion Intradural Portion
  • 7.
    a) Origin : -ICAoriginates in the neck as a terminal branch of the common carotid artery (CCA) at the level of the thyroid cartilage (i.e. C3 or C4 vertebrae) -It terminates intracranially at the inferior surface of the brain by dividing into anterior & middle cerebral arteries
  • 9.
    -Lateral 2D view followingleft common carotid artery injection , note the atherosclerotic plaque involving the proximal internal carotid artery 1-Common carotid A. 2-Internal carotid A. 3-External carotid A. 5-Occipital artery 7-Superior thyroid A. 8-Lingual-facial artery trunk
  • 11.
    1-Common Carotid Artery 2-InternalCarotid Artery 3-Ascending pharyngeal Artery 4-Occipital Artery 5-Superficial Temporal Artery 6-Middle cerebral Artery 7-Anterior cerebral Artery 8-Middle meningeal Artery 9-Maxillary Artery 10-Facial Artery 11-Lingual Artery 12-External Carotid Artery 13-Superior Thyroid Artery
  • 12.
    b) Portions : 1-CervicalPortion -Extends from the bifurcation of the CCA to the skull base -In this section , the artery lies in the carotid sheath with the internal jugular vein (IJV) laterally , the vagus nerve & the cranial root of the accessory nerve “XIth” (which travels with Xth) run posteriorly & between these vessels
  • 16.
    2-Petrous Portion -The petroussegment of the internal carotid artery consists of a vertical and a horizontal portion -It enters the skull base at the exocranial opening of the carotid canal , ascends approximately 1 cm (vertical portion) and then turns anteromedially until it enters the intracranial space at the foramen lacerum (horizontal portion)
  • 17.
    -Branches : Angiographically ,branches of the petrous internal carotid artery are uncommon but at least three possible branches are worth remembering : 1-Caroticotympanic Branch 2-Mandibulovidian Trunk 3-Variant Stapedial Artery
  • 21.
    3-Cavernous Segment -Following itspetrous passage , the ICA enters the cavernous sinus and lies medial to the Gasserian ganglion , the ophthalmic division of the trigeminal nerve and the oculomotor , trochlear and abducens cranial nerves -It runs horizontally forwards and then turns superiorly and medial to the anterior clinoid process , passes through the dural ring and enters its final intradural and supraclinoid course
  • 25.
    -Branches : 3Groups 1-The Meningohypophyseal Trunk (MHT) 2-The Inferolateral Trunk (ILT) 3-The Capsular Arteries of McConnell
  • 27.
    4-Intradural Portion -The supraclinoidportion of the ICA is intradural , the artery having entered the subarachnoid space after crossing the dural ring medial to the anterior clinoid process -It turns posteriorly and runs lateral to the optic nerve to terminate by dividing into anterior and middle cerebral arteries -From this portion originates successfully : the ophthalmic artery , the superior hypophyseal artery , the PCOM and the anterior choroidal arteries
  • 29.
    Intracranial superior viewof the right sellar and parasellar region , AC: anterior clinoid process , ICA: internal carotid artery , LT: lamina terminalis , ON: optic nerve , OlN: olfatory nerve , SW: sphenoid wing , TS: tubercullum sellae
  • 30.
  • 31.
    a) Origin : -TheACA originates below the anterior perforating substance , lateral to the optic chiasm as one of the terminal branches of ICA
  • 32.
    -Frontal view ofthe anterior (carotid) intracranial circulation 1 internal carotid artery - cervical segment 2 internal carotid artery - vertical petrous segment 3 internal carotid artery – horizontal petrous segment 4 presellar segment (C5) internal carotid artery 9 ophthalmic artery 10 and 11 supraclinoid segment internal carotid artery 13 anterior choroidal artery 14 internal carotid artery bifurcation 15 A1 segment of anterior cerebral artery 16 medial lenticulostriate arteries 17 recurrent artery of Heubner 18 A1-A2 junction anterior cerebral artery 19 anterior communicating artery 20 proximal A2 segment anterior cerebral artery 21 callosomarginal branch of anterior cerebral artery 28 pericallosal branch of anterior cerebral artery 31 M1 segment of middle cerebral artery 32 lateral lenticulostriate arteries 33 bifurcation/trifurcation of middle cerebral artery 34 anterior temporal lobe branches of middle cerebral 43 sylvian point 44 opercular branches of middle cerebral artery 45 sylvian(insular) branches of middle cerebral artery
  • 33.
    -Top down view(superior to inferior) of the skull base BLACK KEY 5 meningohypophyseal trunk 6 horizontal (C4) intracavernous ICA 7 inferolateral trunk 9 ophthalmic artery 12 PCOM 13 anterior choroidal artery 14 ICA bifurcation 15 A1 segment of ACA 19 ACOM 20 proximal A2 segment ACA 21 callosomarginal branch of ACA 28 pericallosal branch of anterior cerebral 31 M1 segment of MCA 33 bifurcation/trifurcation of MCA 34 anterior temporal lobe branches of MCA 35 orbitofrontal branch of MCA 45 sylvian(insular) branches of MCA RED KEY 1 vertebral artery 2 PICA 3 basilar artery 4 AICA 5 superior cerebellar artery 6.1 P1 segment PCA 6.2 P2 segment PCA 8 posterior temporal branch of PCA 9 parieto-occipital branch of PCA 10 calcarine branch of PCA 14 vertebral-basilar junction 16 pontine perforators 17 anterior spinal artery
  • 34.
    b) Segmental Anatomy: -A1 segment : from the ICA bifurcation to the ACOM 14mm in length -A2 segment : from ACOM to the origin of the callosomarginal artery (the junction of the rostrum and genu of the corpus callosum) -A3 segment : distal to the origin of the callosomarginal artery “a.k.a. pericallosal artery “ (extends around the genu until the artery turns sharply posteriorly) -A4 and A5 segments : above the corpus callosum are separated by the plane of the coronal fissure
  • 36.
    1-ICA , 2-MCA, 3-ACA (A1) , 4-ACA (A2) , Arrow : ACOM
  • 37.
    1-Straight sinus ,2-Internal cerebral vein , 3-ACA (A2) , 4-ACA (A3) , 5- Callosomarginal artery , 6-Pericallosal artery , 7-Corpus callosum
  • 38.
    c) Branches : 1-A1Section 2-A2 Section 3-A3 Section 4-A4 & A5 Sections
  • 39.
    1-A1 Section :Precommunicating Artery a) Lenticulostriate Arteries b) Recurrent Artery of Heubner c) Anterior Communicating Artery
  • 40.
    Anterior circle ofWillis showing lenticulostriate arteries arising from the anterior cerebral arteries (M medial group) and middle cerebral artery (L lateral group) , On the left , the anterior choroidal (AChA) and on the right the recurrent artery of Heubner (RaH) , note that anterior perforating arteries also arise from the anterior communicating artery
  • 44.
    2-A2 Section : -Themain branches arise from this section are : 1-Orbitofrontal artery of the ACA 2-Frontopolar Artery
  • 48.
  • 49.
    3-A3 Section : -Distalto the origin of the callosomarginal artery or the genu , if the callosomarginal artery can’t be identified -It gives a group of four arterial branches : 1-Anterior internal frontal 2-Middle internal frontal 3-Posterior internal frontal 4-Paracentral artery
  • 50.
    (1) Orbitofronal ,(2) Frontopolar , (3) Anterior internal forntal , (4) Middle internal frontal , (5) Posterior internal frontal , (6) paracentral , (7) Superior parietal , (8) Inferior parietal , (9) Callosomarginal , (10) Pericallosal
  • 51.
    4-A4 & A5Sections : -In its A4 (or A5) final section , the pericallosal artery runs posteriorly over the body of the corpus callosum in the cistern of that name -It terminates & anastomoses with the posterior pericallosal artery that arises from the PCA
  • 52.
  • 53.
    1-Origin : -The MCAarises as the lateral terminal branch of the ICA 2-Segmental Anatomy : a) M1 : -Horizontal , from the ICA to the lateral fissure
  • 54.
    b) M2 : -Insular, the upper & lower trunk arteries thus formed -Designates the branches located inside the Sylvian fissure c) M3 : -Opercular , denominates the branches located between the top of the Sylvian fissure and the cerebral cortex d) M4 : -Cortical , refers to arterial branches on the surface of the cerebral cortex
  • 58.
    (1) MCA bifurcation(genu) , (2) MCA (M1) , (3) ICA (RT side) , (4) ACA (A1) , (5) ICA (LT side) , (6) MCA (LT side)
  • 59.
    (1) MCA ,M4 , (2) MCA (M3) , (3) MCA (M2) , (4) MCA (M1) , (5) ICA (LT side) , (6) MCA (LT side)
  • 60.
    (1) MCA (M4), (2) MCA (M3) , (3) MCA (M2) , (4) MCA (M1) , (5) LT ICA , (6) LT MCA , (7) Basilar artery , (8) PCA
  • 61.
    -2D frontal viewfollowing right ICA injection , the appearance of the carotid circulation is normal , Note the early bifurcation of MCA (normal variant) 1 ICA – cervical segment 2 ICA – vertical petrous segment 3 ICA – horizontal petrous segment 4 presellar (Fischer C5) ICA 6 horizontal (Fischer C4) intracavernous ICA 9 ophthalmic artery 10 & 11 proximal and distal supraclinoid segment ICA 12 posterior communicating artery 13 anterior choroidal artery 14 internal carotid artery bifurcation 15 A1 segment of ACA 17 recurrent artery of Heubner 20 proximal A2 segment ACA 21 callosomarginal branch ACA 28 pericallosal branch of ACA 31 M1 segment of MCA 32 lateral lenticulostriate arteries 33 bifurcation/trifurcation of MCA 34 anterior temporal lobe branches of MCA 35 orbitofrontal branch of MCA 43 sylvian point 44 opercular branches of MCA 45 sylvian (insular) branches of MCA
  • 62.
    -Frontal 3D viewfollowing right internal carotid artery injection , these views show the normal appearance of the intracranial internal carotid artery circulation. The proximal A2 segments of the anterior cerebral arteries have been intentionally removed from the images 1 ICA – cervical segment 2 ICA – vertical petrous segment 3 ICA – horizontal petrous segment 4 presellar (Fischer C5) ICA 6 horizontal (Fischer C4) intracavernous ICA 8 anterior genu (Fischer C3) intracavernous IAC 9 ophthalmic artery 10 & 11 proximal and distal supraclinoid segment ICA 13 anterior choroidal artery 14 ICA bifurcation 15 A1 segment of ACA 20 proximal A2 segment ACA 22 orbitofrontal branch of ACA 31 M1 segment of MCA 33 bifurcation/trifurcation of MCA 43 sylvian point 44 opercular branches of MCA 45 sylvian (insular) branches of MCA
  • 63.
    -Lateral 2D viewfollowing CA injection in the late arterial phase -The triangle placed on the image is called the sylvian triangle , this represents the geometric representation of the MCA overlying the insular cortex -Alteration in the shape of this triangle can indicate mass displacements of the (MCA) branches 1 ICA – cervical segment 2 ICA – vertical petrous segment 3 ICA – horizontal petrous segment 4 presellar (Fischer C5) segment ICA 6 horizontal (Fischer C4) intracavernous ICA 8 anterior genu (Fischer C3) intracavernous ICA 9 ophthalmic artery 35 orbitofrontal branch of MCA 36 operculofrontal branches of MCA 37 pre-central branch(es) of MCA 38 central rolandic branches of MCA 39a anterior parietal branch of MCA 39p posterior parietal branch of MCA 40 angular artery 42m middle temporal branches of MCA 42p posterior temporal branches of MCA 43 sylvian point 44 opercular branches of MCA
  • 64.
    3-Branches : -Can beclassified into two groups : a) Deep (perforator) b) Superficial (cortical)
  • 65.
    a) Deep (Perforating)Branches : -Arise from the superior surface of the M1 segment -They are grouped as the medial & lateral lenticulostriate arteries
  • 67.
    -2D frontal viewfollowing left ICA injections , these images show an aneurysm in the region of the left MCA bifurcation/trifurcation 2 ICA – vertical petrous segment 3 ICA – horizontal petrous segment 4 presellar (Fischer C5) ICA 6 horizontal (Fischer C4) intracavernous ICA 8 anterior genu (Fischer C3) intracavernous ICA 9 ophthalmic artery 10 & 11 proximal and distal supraclinoid segments ICA 12 PCOM 13 anterior choroidal artery 14 ICA bifurcation 15 A1 segment of ACA 18 A1-A2 junction ACA 20 proximal A2 segment ACA 21 callosomarginal branch of ACA 22 orbitofrontal branch of ACA 28 pericallosal branch of ACA 31 M1 segment of MCA 32 lateral lenticulostriate arteries 33 bifurcation/trifurcation MCA 34 anterior temporal lobe branches MCA 35 orbitofrontal branch MCA 43 sylvian point 44 opercular branches MCA 45 sylvian (insular) branches MCA
  • 68.
    -2D frontal viewfollowing right ICA injection , these views show a small aneurysm projecting inferiorly in the region of the right MCA bifurcation 1 ICA – cervical segment 2 ICA – vertical petrous segment 3 ICA – horizontal petrous segment 4 presellar (Fischer C5) segment ICA 8 anterior genu (Fischer C3) intracavernous ICA 9 ophthalmic artery 10 & 11 proximal and distal supraclinoid segments ICA 13 anterior choroidal artery 14 ICA bifurcation 15 A1 segment of ACA 18 A1-A2 junction ACA 20 proximal A2 segment ACA 21 callosomarginal branch of ACA 22 orbitofrontal branch of ACA 23 frontopolar branch of ACA 28 pericallosal branch of ACA 31 M1 segment of MCA 32 lateral lenticulostriate arteries 33 bifurcation/trifurcation of MCA 35 orbitofrontal branch of MCA 43 sylvian point 44 opercular branches MCA 45 sylvian (insular) branches of MCA An aneurysm
  • 69.
    b) Superficial (Cortical)branches : -Supply a considerable proportion of the superficial hemispheric cortex *Arteries to the Frontal lobe : -These run superiorly after leaving the fissure , from anterior to posterior : 1-Orbitofrontal artery of the MCA 2-Prefrontal artery (supplies Broca’s area) 3-Precentral artery (or Pre-Rolandic artery of Sillon) 4-Central artery (or artery of the Rolandic fissure)
  • 71.
    - Lateral 2Dview following internal carotid artery injection mid arterial phase , non-filling of the anterior cerebral artery allows for an unobtrusive view of the more distal (mca) branches. A template type labeling of the distal middle cerebral artery branches allows for greater variability in the proximal branching pattern of the mca vessels. Note the choroidal blush along the posterior margin of the globe (eye) 1 internal carotid artery – cervical segment 2 internal carotid artery – vertical petrous segment 3 internal carotid artery – horizontal petrous segment 4 presellar (Fischer C5) segment internal carotid artery 6 horizontal (Fischer C4) intracavernous segment internal carotid artery 8 anterior genu (Fischer C3) intracavernous segment ICA 10 & 11 proximal and distal supraclinoid segments internal carotid artery
  • 72.
    *Arteries to theParietal & Occipital lobes: -These run posterior to the sylvian fissure , from superior to inferior : 1-Anterior parietal 2-Posterior parietal 3-Angular 4-Occipito-temporal
  • 73.
    1-Orbitofrontal , 2-Prefrontal, 3-Precentral , 4-Central , 5-Anterior parietal , 6-Post parietal , 7-Angular , 8-Occipito-temporal , 9-Posterior temporal , 10-Middle temporal , 11-Anterior temporal , 12-Tempero-polar
  • 74.
    *Arteries to theTemporal lobe : -These run inferiorly after leaving the lateral sulcus of the sylvian fissure and are arranged from anterior to posterior : 1-Temporo-polar 2-Anterior temporal 3-Middle temporal 4-Posterior temporal
  • 75.
    1-Orbitofrontal 2-Pre-rolandic 3-Rolandic branches 4-Anterior and posteriorparietal branches 5-Anterior temporal 6-Middle temporal 7-Posterior temporal 8-Occipito-temporal
  • 76.
    -Anterior temporal branch(best seen in AP view) , a typical appearance of an anterior temporal branch of the MCA proximal to the main bifurcation is indicated with the arrow
  • 78.
  • 79.
    Vertebral Artery 1-Origin : -Theyare the first branch of the subclavian arteries , arise from its superior aspect
  • 80.
    2-Course : -Arise fromthe superior aspect of the subclavian artery and run vertically and posteriorly to the level of the sixth cervical vertebra (C6) (V1) where they enter the foramen in the transverse process -The VA then runs superiorly in the vertebral canal passing through foramina in the transverse processes of all the upper cervical vertebrae (V2)
  • 81.
    -After leaving thesuperior border of the foramen of the atlas (C2) , it runs horizontally and posteriorly to pass through the more laterally positioned foramen of the axis (C1) and then turns medially to the foramen magnum (V3) -There , it penetrates the atlantooccipital membrane and dura to enter the cranial cavity through the foramen magnum and then runs upwards and medially to terminate as the basilar artery , formed by joining its contralateral counterpart anterior to the upper border of the medulla oblongata (V4)
  • 83.
    3D volume-rendered (a)and curved reformatted (b) images from contrast-enhanced CT angiography show the segments of the vertebral artery. V1 = between its origin and its entry into the transverse foramen of the C6 vertebra, V2 = midcervical course between the processes of C6 to C2, V3 = atlas loop region, V4 = intracranial segment. Note the asymmetric venous plexus enhancement around the V3 segment (arrow in a)
  • 84.
    -Frontal 2D viewfollowing right vertebral artery injection , there is a normal appearance of the cervical vertebral artery extending approximately to the vertebral-basilar junction 1 vertebral artery 2 muscular branches 3 radiculomedullary feeder to anterior spinal artery 4 PICA C1 first cervical vertebrae C2 second cervical vertebrae
  • 85.
    -3D frontal view followingright vertebral artery injection , there is a normal appearance of the cervical vertebral artery extending approximately to the skull base 1 vertebral artery 2 muscular branches C1 first cervical vertebrae C2 second cervical vertebrae
  • 86.
    -3D posterior view followingright vertebral artery injection , there is a normal appearance of the cervical vertebral artery extending approximately to the skull base 1 vertebral artery 2 muscular branches C1 first cervical vertebrae C2 second cervical vertebrae
  • 87.
    3-Branches : a) ExtracranialBranches b) Intracranial Branches
  • 88.
    a) Extracranial Branches: -In its extracranial course , the VA gives branches which supply the spinal cord and its dura , cervical vertebrae and muscles as well as the dura of the inferior posterior fossa -These include (from proximal to distal) : 1-Branches to the stellate ganglion 2-Spinal branches from C6 to C1 3-Arteries of the cervical expansion 4-Muscular branches 5-Anterior meningeal artery
  • 89.
    b) Intracranial Branches: -In its intracranial portion , the VA gives branches that supply dura and the medulla oblongata , upper cervical cord and cerebellum , these are : 1-Posterior meningeal artery and artery of the falx cerebelli 2-Medial Group of Perforator Branches 3-Anterior Spinal Artery 4-Lateral Spinal Artery 5-Posterior Inferior Cerebellar Artery
  • 90.
    Anterior spinal arteryand artery of the falx cerebelli , a lateral projection of the LT VA shows a well-visualized anterior spinal artery (a.sp.a.) directed inferiorly along the anterior surface of the medulla and spine , the LT PICA has a relatively high origin off the intradural left vertebral artery , the artery of the falx cerebelli (f.cb.) arises from the extracranial vertebral artery , it courses diagonally toward the torcular deviating away from the inner table of the skull
  • 91.
    (1) PCA ,(2) SCA , (3) Pontine branches of the BA , (4) AICA , (5) Internal auditory artery , (6) VA , (7) PICA , (8) Anterior spinal artery , (9) BA
  • 92.
    Basilar Artery 1-Origin : -BAis formed by joining of both VAs anterior to the upper border of the medulla oblongata
  • 93.
    -3D frontal viewfollowing left vertebral artery injection , shows the intracranial vertebral basilar circulation in a patient with severe atherosclerotic vascular disease , note the moderately severe stenosis of the midbasilar artery in addition to a generalized vessel irregularity 1 vertebral artery 2 (PICA) 3 basilar artery 4 (AICA) 5 (SCA) 5v vermian branch of SCA 5h hemispheric branch of SCA 6.1 P1 segment of (PCA) 6.2 P2 segment of (PCA) 8 posterior temporal branch of PCA 9 parieto-occipital branch of PCA 10 calcarine branch of PCA
  • 94.
    -3D frontal viewshows lobulated aneurysm arising from the tip of the basilar artery projecting posteriorly into the interpeduncular cistern 1 vertebral artery 2 PICA 3 basilar artery 4 AICA 5 SCA 6.1 P1 segment of (PCA) 6.2 P2 segment of (PCA) 7 PCOM 9 parieto-occipital branch of PCA 10 calcarine branch of PCA 14 vertebral basilar junction
  • 95.
    -2D frontal viewfollowing vertebral artery injection , shows normal intracranial vertebral basilar circulation , note the blush (*) of the choroid plexus 1 vertebral artery 2 posterior inferior cerebellar artery (PICA) 2v vermian branch of PICA 2h hemispheric branch of PICA 3 basilar artery 4 anterior inferior cerebellar artery (AICA) 5 superior cerebellar artery (SCA) 5h hemispheric branch of SCA 5v vermian branch of SCA 6 posterior cerebral artery (PCA) 6.2 P2 segment of PCA 8 posterior temporal branch of PCA 9 parieto-occipital branch of PCA 10 calcarine branch of PCA 12 posterior thalamoperforating arteries 13L lateral posterior choroidal artery 16 pontine perforating artery * blush of choroids plexus
  • 96.
    -3D frontal viewfollowing vertebral artery injection , shows normal intracranial vertebral basilar circulation 1 vertebral artery 2 posterior inferior cerebellar artery (PICA) 2v vermian branch of PICA 2h hemispheric branch of PICA 3 basilar artery 4 anterior inferior cerebellar artery (AICA) 5 superior cerebellar artery (SCA) 5h hemispheric branch of SCA 5v vermian branch of SCA 6 posterior cerebral artery (PCA) 6.2 P2 segment of PCA 8 posterior temporal branch of PCA 9 parieto-occipital branch of PCA 10 calcarine branch of PCA 12 posterior thalamoperforating arteries 13L lateral posterior choroidal artery 16 pontine perforating artery
  • 97.
    2-Branches : -Its branchescan be divided into two groups , the perforating arteries and the long circumferential arteries
  • 98.
    a) The PerforatingArteries : -Are paramedian and circumferential in distribution -They supply the corticospinal tracts , other connecting white matter tracts and the vital deep nuclei of the pons and midbrain -In the physiological state , they are rarely visible on angiography and do not cross the midline
  • 99.
    -2D frontal viewfollowing left vertebral artery injection , the intracranial view of the vertebral basilar circulation is of a patient with vasculitis , the vasculitis is illustrated by the multifocal areas of stenosis (narrowing) , the vascular branching pattern shows a typical appearance of vertebral basilar circulation 1 vertebral artery 2 (PICA) 2v vermian branch of PICA 2h hemispheric branch of PICA 3 basilar artery 4 (AICA) 5 (SCA) 5v vermian branch of SCA 5h hemispheric branch of SCA 6.1 P1 segment of (PCA) 6.2 P2 segment of (PCA) 7 PCOM 8 posterior temporal branch of PCA 9 parieto-occipital branch of PCA 10 calcarine branch of PCA 11 anterior thalamoperforating arteries 12 posterior thalamoperforating arteries 13m medial posterior choroidal artery 13L lateral posterior choroidal artery 14 vertebral basilar junction 15 splenial branch (posterior pericallosal artery) of PCA ** region of quadrigeminal plate cistern 17 anterior spinal artery
  • 100.
    -2D lateral earlyarteiral view following left vertebral artery injection , the intracranial view of the vertebral basilar circulation is of a patient with vasculitis , the vasculitis is illustrated by the multifocal areas of stenosis (narrowing) , the vascular branching pattern shows a typical appearance of vertebral basilar circulation 1 vertebral artery 2 (PICA) 2v vermian branch of PICA 2h hemispheric branch of PICA 3 basilar artery 4 (AICA) 5 (SCA) 5v vermian branch of SCA 5h hemispheric branch of SCA 6.1 P1 segment of (PCA) 6.2 P2 segment of (PCA) 7 PCOM 8 posterior temporal branch of PCA 9 parieto-occipital branch of PCA 10 calcarine branch of PCA 11 anterior thalamoperforating arteries 12 posterior thalamoperforating arteries 13m medial posterior choroidal artery 13L lateral posterior choroidal artery 14 vertebral basilar junction 15 splenial branch (posterior pericallosal artery) of PCA ** region of quadrigeminal plate cistern 17 anterior spinal artery
  • 101.
    -2D lateral latearterial phase view following left vertebral artery injection , the intracranial view of the vertebral basilar circulation is of a patient with vasculitis , the vasculitis is illustrated by the multifocal areas of stenosis (narrowing) , the vascular branching pattern shows a typical appearance of vertebral basilar circulation 1 vertebral artery 2 (PICA) 2v vermian branch of PICA 2h hemispheric branch of PICA 3 basilar artery 4 (AICA) 5 (SCA) 5v vermian branch of SCA 5h hemispheric branch of SCA 6.1 P1 segment of (PCA) 6.2 P2 segment of (PCA) 7 PCOM 8 posterior temporal branch of PCA 9 parieto-occipital branch of PCA 10 calcarine branch of PCA 11 anterior thalamoperforating arteries 12 posterior thalamoperforating arteries 13m medial posterior choroidal artery 13L lateral posterior choroidal artery 14 vertebral basilar junction 15 splenial branch (posterior pericallosal artery) of PCA ** region of quadrigeminal plate cistern 17 anterior spinal artery
  • 102.
    b) The LongCircumferential Arteries : 1-Internal Auditory Artery (Labyrinthine Artery) 2-The Anterior Inferior Cerebellar Artery (AICA) 3-The Superior Cerebellar Artery (SCA) 4-Posterior Cerebral Artery (PCA)
  • 105.
    -2D frontal viewfollowing vertebral artery injection , shows normal intracranial vertebral basilar circulation , note the blush (*) of the choroid plexus 1 vertebral artery 2 posterior inferior cerebellar artery (PICA) 2v vermian branch of PICA 2h hemispheric branch of PICA 3 basilar artery 4 anterior inferior cerebellar artery (AICA) 5 superior cerebellar artery (SCA) 5h hemispheric branch of SCA 5v vermian branch of SCA 6 posterior cerebral artery (PCA) 6.2 P2 segment of PCA 8 posterior temporal branch of PCA 9 parieto-occipital branch of PCA 10 calcarine branch of PCA 12 posterior thalamoperforating arteries 13L lateral posterior choroidal artery 16 pontine perforating artery * blush of choroids plexus
  • 106.
    -3D frontal )view following left vertebral artery injection , this view show intracranial vertebral basilar circulation in a patient with severe atherosclerotic vascular disease , note the multifocal areas of vessel irregularity and narrowing (stenoses) and the severe narrowing of the distal right vertebral artery (*) , this is a good demonstration of a right AICA-PICA where a medial branch of AICA supplies all or a portion of the PICA territory 1 vertebral artery 2 (PICA) 3 basilar artery 4 (AICA) 4 – PICA AICA-PICA 5 (SCA) 5h hemispheric branch of SCA 5v vermian branch of SCA 6.1 P1 segment of (PCA) 6.2 P2 segment of (PCA) 8 posterior temporal branch of PCA * severe stenosis (narrowing) distal right vertebral artery
  • 107.
    -2D lateral viewfollowing vertebral artery injection , intracranial vertebral basilar circulation is seen with a moderate-size aneurysm arising from the distal vertebral artery near the origin of the PICA vertebral artery 2 (PICA) 2v vermian branch of PICA 2h hemispheric branch of PICA 3 basilar artery 4 (AICA) 5 (SCA) 5h hemispheric branch of SCA 6 (PCA) 6.1 P1 segment of PCA 6.2 P2 segment of PCA 8 posterior temporal branch of PCA 9 parieto-occipital branch of PCA 10 calcarine branch of PCA 12 posterior thalamoperforating arteries 13m medial posterior choroidal arteries 13L lateral posterior choroidal arteries 15 splenial branch (posterior pericallosal artery) branch of PCA
  • 109.
    -3D frontal viewfollowing right vertebral artery injection , this view shows normal intracranial vertebral basilar circulation , note the duplication of the right SCA , this is a normal variant 1 vertebral artery 2 (PICA) 3 basilar artery 4 (AICA) 5 (SCA) 5h hemispheric branch of SCA 5v vermian branch of SCA 6 (PCA) 6.1 P1 segment of PCA 6.2 P2 segment of PCA 8 posterior temporal branch of PCA 9 parieto-occipital branch of PCA 10 calcarine branch of PCA 14 vertebral basilar junction
  • 110.
  • 111.
    a) Origin : -Bifurcationof the common carotid artery b) Supply : -The ECA supplies the tissues of the scalp , face and neck
  • 112.
    -Lateral 2D viewfollowing selective external carotid artery injection , there is a hypervascular mass adjacent to the proximal ECA, this is the typical appearance of a carotid body tumor (glomus or paraganglioma) 6 occipital artery 9 lingual artery 10 facial artery 11 superficial temporal artery 12 internal maxillary artery 13 middle meningeal artery 15 deep temporal artery
  • 113.
    -Lateral 3D viewfollowing left common carotid artery injection , note the hypervascular mass typical of a carotid body tumor (glomus or paraganglioma) situated between the proximal internal and external carotid arteries 1 common carotid artery 2 internal carotid artery 3 external carotid artery 4 ascending pharyngeal artery 7 superior thyroid artery 9 lingual artery 10 facial artery
  • 114.
    c) Course : -Itarises at the level of the superior border of the thyroid cartilage and terminates beneath the neck of the mandible by dividing into superficial temporal and internal maxillary arteries -At its origin , it is situated Anterior to the ICA but as it ascends , it lies more Posteriorly and finally Lateral to ICA (APL) -Thus , on frontal angiography its origin is medial to the ICA origin and the vessels reverse their relative positions as they run superiorly but on the lateral view the ICA is always posterior
  • 115.
  • 116.
    d) Branches : -Ithas eight branches which will be described in their usual sequence from proximal to distal -These are : 1-Superior Thyroid artery 2-Lingual artery 3-Ascending Pharyngeal artery (APA) 4-Facial artery (FA) 5-Occipital artery (OA) 6-Posterior Auricular artery (PA) 7-Superficial Temporal artery (STA) (terminal) 8-Internal Maxillary artery (IMA) (terminal)
  • 119.
    Black key 1 ascendingthoracic aorta 2 descending thoracic aorta 3 innominate artery 4 right subclavian artery 5 stump of right common carotid artery 6 right vertebral artery 7 right thyrocervical trunk 8 right costocervical trunk 9 right internal mammary artery 10 left subclavian artery 11 left vertebral artery 12 left thyrocervical trunk 13 left costocervical trunk 14 left internal mammary artery 15 left common carotid artery
  • 120.
    Red key 2 internalcarotid artery 3 external carotid artery 4 ascending pharyngeal 5 occipital artery 6 posterior auricular artery 7 superior thyroid artery 9 lingual artery 10 facial artery 11 superficial temporal 12 internal maxillary artery 24 transverse facial artery
  • 122.
    -Frontal left commoncarotid artery injection , normal 2D appearance of the left common carotid artery bifurcation region 1 common carotid artery 2 internal carotid artery 2b carotid bulb 3 external carotid artery 4 ascending pharyngeal 5 occipital artery 6 posterior auricular artery 7 superior thyroid artery 9 lingual artery 10 facial artery 11 superficial temporal 12 internal maxillary artery
  • 123.
    -Lateral left commoncarotid artery injection , normal 2D appearance of the left common carotid artery bifurcation region 1 common carotid artery 2 internal carotid artery 2b carotid bulb 3 external carotid artery 4 ascending pharyngeal 5 occipital artery 6 posterior auricular artery 7 superior thyroid artery 9 lingual artery 10 facial artery 11 superficial temporal 12 internal maxillary artery
  • 124.
    -Frontal following leftcommon carotid artery injection , there is a normal 3D appearance of the left common carotid artery bifurcation region 1 common carotid artery 2 internal carotid artery 2b carotid bulb 3 external carotid artery 5 occipital artery 6 posterior auricular artery 7 superior thyroid artery 9 lingual artery 10 facial artery
  • 125.
    -lateral following left commoncarotid artery injection , there is a normal 3D appearance of the left common carotid artery bifurcation region 1 common carotid artery 2 internal carotid artery 2b carotid bulb 3 external carotid artery 5 occipital artery 6 posterior auricular artery 7 superior thyroid artery 9 lingual artery 10 facial artery
  • 126.
    -Posterior following left commoncarotid artery injection , there is a normal 3D appearance of the left common carotid artery bifurcation region 1 common carotid artery 2 internal carotid artery 2b carotid bulb 3 external carotid artery 5 occipital artery 6 posterior auricular artery 7 superior thyroid artery 9 lingual artery 10 facial artery
  • 127.
    -Right anterior obliqueview following left common carotid artery injection , there is a normal 3D appearance of the left common carotid artery bifurcation region 1 common carotid artery 2 internal carotid artery 2b carotid bulb 3 external carotid artery 5 occipital artery 6 posterior auricular artery 7 superior thyroid artery 9 lingual artery 10 facial artery
  • 128.
    1-Common Carotid Artery 2-InternalCarotid Artery 3-Ascending pharyngeal Artery 4-Occipital Artery 5-Superficial Temporal Artery 6-Middle cerebral Artery 7-Anterior cerebral Artery 8-Middle meningeal Artery 9-Maxillary artery 10-Facial artery 11-Lingual artery 12-External carotid artery 13-Superior thyroid artery
  • 129.
  • 130.
    Intracranial Veins There arefive types of intracranial veins : 1-Diploic Veins 2-Emissary Veins 3-Meningeal Veins 4-Dural Venous Sinuses 5-Cerebral Veins
  • 131.
    1-Diploic Veins : -Theseare relatively large thin-walled endothelial lined channels which run between the inner and outer table of the skull , i.e. in the diploe -Communicate with the overlying scalp veins and with the underlying meningeal veins and dural sinuses
  • 135.
    2-Emissary Veins : -Theseare connecting veins between extracranial veins , diploic veins and the intracranial meningeal veins and sinuses -They are concentrated around the major dural sinuses , particularly parasagittal to the superior sagittal sinus and around the sigmoid sinus
  • 137.
    3-Meningeal Veins : -Themeningeal veins form a plexus in the outer layer of dura and between it and the periosteum of the inner table of the skull
  • 139.
    4-Dural Venous Sinuses: -Sinuses are formed within two layers of dura and drain the veins of the brain , the meninges and the cranium principally into the internal jugular vein
  • 140.
    -They comprise thefollowing : 1-Superior Sagittal Sinus 2-Inferior Sagittal Sinus 3-Straight Sinus 4-Transverse Sinus 5-Superior Petrosal Sinus 6-Sigmoid Sinus 7-Occipital Sinus and Marginal Sinuses 8-Inferior Petrosal Sinus 9-Sphenoparietal Sinus 10-Cavernous Sinuses
  • 143.
    T1+C shows alarge CSF-isointense filling defect , consistent with an arachnoid granulation (black arrows) , at the junction point of the vein of Galen and straight sinus , note also the presence of smaller arachnoid granulations within the superior sagittal sinus (white arrowheads)
  • 145.
  • 146.
  • 147.
    Endovascular Treatments ofIntracranial Aneurysms 1-Aim of Treatment 2-Parent Artery Occlusion 3-Endosaccular Embolization 4-Adjuvant Endovascular Treatments
  • 148.
    1-Aim of Treatment: -The reason to treat is the risk of rebleeding and the aim is to exclude the aneurysm from the arterial circulation without compromising any perfusion territory -Endovascular treatments to occlude aneurysms can be divided into those than involve occlusion of the parent artery and those that preserve it , we are rapidly progressing to the point when the former is largely obsolete , but it is likely to retain a limited role for some time yet
  • 149.
    2-Parent Artery Occlusion: a) Technique b) Indications c) Complications
  • 150.
    a) Technique : -Occlusionof the aneurysm parent artery is an effective method of inducing thrombosis and preventing aneurysm growth and rupture -Endovascular arterial occlusion has replaced surgical ligation because prior temporary balloon occlusion allows assessment of collateral blood flow and is safer -Occlusion is generally performed at the level of the aneurysm neck or immediately proximal to the neck
  • 151.
    b) Indications : 1-Giantsecular aneurysms with wide necks and heavily calcified walls 2-Wide-necked & fusiform aneurysms 3-Distal aneurysms above the level of the circle of Willis on small arteries 4-Posttraumatic pseudoaneurysms & infectious aneurysms 5-Failed endosaccular embolization
  • 153.
    c) Complications : -Complicationsare : 1-Transient neurological deficit (7.25-10.3 %) 2-Permanent deficits (1.5-4.4 %)
  • 154.
    3-Endosaccular Embolization : a)Technique b) Complications
  • 155.
    a) Technique : -Coilembolization is performed under general anaesthesia so the patients can be adequately monitored and immobilized -Selective catheterization of the aneurysm sac is performed after systemic anticoagulation (by bolus injection or infusion of heparin) and packing is usually performed by placing large initial coils into which smaller coils are packed
  • 159.
    b) Complications : 1-PeriproceduralComplications 2-Delayed Complications
  • 160.
    1-Periprocedural Complications : a)Aneurysm Rupture b) Thromboembolic Events
  • 162.
    2-Delayed Complications : a)Aneurysm Rebleeding b) Rupture of Previously Unruptured Aneurysms c) Exacerbation of compression syndromes d) Hydrocephalus e) Sterile meningitic reaction adjacent to the thrombosed aneurysm f) Transient ischemic episodes g) Radiation induced alopecia h) Seizures i) Coil compaction causing aneurysms recurrence
  • 163.
    5-Adjuvant Endovascular Treatments: -Coil embolization for a minority of aneurysms isn’t possible because of their anatomy -The features that make a particular aneurysm uncoilable are : a) Wide neck b) Extreme size c) Branch arteries arising from within the sac d) Fusiform shape -Stent & Coils and Flow Diverters
  • 164.
    a) Stent &Coil : -Placing a stent in the parent artery is a logical solution to the problem of retaining coils in sessile very wide- necked aneurysms -Initially , the combined use of coils and stents was confined to treatments of unruptured aneurysms because of the need to place patients on antiplatelet drugs (in addition to periprocedural heparin) as prophylaxis against thrombosis within the stent
  • 168.
    b) Balloon-Assisted Coiling: -Balloon-assisted coiling (BAC) which is also known as (the remodelling technique) involves placement of a suitably sized compliant balloon across the aneurysm neck during coil deployment , the balloon is used to retain coils within the aneurysm to compress their profile at the neck (i.e. remodelling) and to be available to arrest blood flow should rupture occur during embolization
  • 171.
    c) Flow Diverters: -Flow diverters have been developed to treat intracranial aneurysms -These endovascular devices are placed within the parent artery rather than the aneurysm sac -They take advantage of altering hemodynamics at the aneurysm / parent vessel interface resulting in gradual thrombosis of the aneurysm occurring over time
  • 174.
  • 175.
    Treatment of BrainAVM -The principle aim of treatment is to eliminate the lifelong risk of hemorrhage -The assumption underlying any form of intervention is that complete obliteration / removal of the BAVM means that the patient is no longer at risk of future hemorrhage -Incomplete treatment risks recurrence and future bleeding -The effects of anatomical cure on other symptoms are less certain
  • 176.
  • 177.
    Embolisation -Embolisation is usedalone or as an adjuvant treatment combined with surgery or radiotherapy -The goals of treatment are different if it is attempted for complete cure , to facilitate surgery or radiotherapy or used as palliative treatment
  • 178.
    -We use : 1-Cyanoacrylateagents , i.e. N-butyl-2- cyanoacrylate (n-BCA) 2-Onyx
  • 179.
  • 180.
    Treatment of AcuteStroke 1-Intravenous Thrombolysis for Acute Stroke 2-Intra-arterial Thrombolysis for Acute Stroke 3-Combined Intravenous and Intra-arterial Thrombolysis 4-Stent Retrieval Devices
  • 181.
    1-Intravenous Thrombolysis forAcute Stroke : -More recent trials of intravenous (IV) thrombolysis have used rtPA -They suggest that the treatment is effective if instigated in the first few hours after the stroke
  • 182.
    2-Intra-arterial Thrombolysis forAcute Stroke : -The rationale of intra-arterial (IA) thrombolysis is to target the drug to the site of thrombosis -Its goal is the same as intravenous treatment , i.e. to limit the area of infarcted parenchyma and to enhance the survival of any functionally disabled cerebral tissue in the surrounding ischaemic penumbra
  • 183.
    3-Combined Intravenous andIntra-arterial Thrombolysis : -Combination treatment or ‘bridging’ therapy in which IV rtPA is given during investigations and triage for possible IA treatment , is widely practised
  • 184.
    4-Stent Retrieval Devices: -The technique involves passing a microcatheter (over a standard guidewire) through the thrombus and then delivering the retrievable stent device across the occluded segment -The stent device is deployed by retrieving the microcatheter, and then a period of 3-5 min should be allowed for the clot to become entrapped within the frame of the device -The device (and contained thrombus) is then retrieved during the arrest of blood flow in the proximal artery