Porokeratosisfb.com/groups/dermatologycourseonline
Porokeratosis
Hereditary disorder of
keratinization characterized by
expanding atrophic anular patch(es)
surrounded by prominent keratotic
ridge called the cornoid lamella
Porokeratosis
AD
Clinical Variants of
Porokeratosis
“6” CLINICAL VARIANTS
1. Porokeratosis of Mibelli (PM)
2. Disseminated superficial actinic
Porokeratosis (DSAP)
3. Disseminated superficial
Porokeratosis (DSP)
4. Linear Porokeratosis (LP)
5. Porokeratosis palmaris et plantaris
disseminata (PPPD)
6. Punctate porokeratosis
POROKERATOSIS OF MIBELLI
Porokeratosis of Mibelli:
A classical lesion
showing an annular
plaque with normal or
atrophic centers
surrounded by a
keratotic ridge
hyperkeratotic border
(arrows) delimits the
lesion and accounts for
the roughness slightly
hypopigmented and
atrophic center
DSAP
LINEAR POROKERATOSIS
PPPD
PUNCTATE POROKERATOSIS
Triggering factors
of Porokeratosis
I. UV irradiation
II. Immunosuppression “6”
1. Transplantation
2. Diabetes mellitus
3. Leukemia
4. Lymphoma
5. HIV
6. Drugs
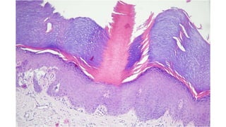
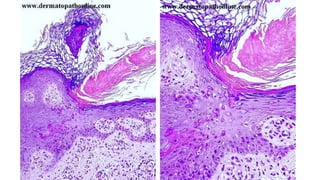
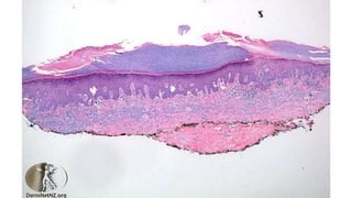
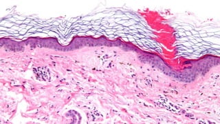
Histopathology of
Porokeratosis
Treatment of
Porokeratosis
I. TOPICAL
II. SURGICAL
III.SYSTEMIC
Topical “6”
1. Sun screens (as well as other sun
protection measures)
2. 5 fluorouracil
3. Imiquimod
4. Calcipotriol
5. Tretinoin cream
6. Salicylic acid
Complete resolution of porokeratosis of
Mibelli following Rx with topical 5-FU. twice
daily for 2 months (There are erythematous excoriation
sites of recent arthropod assaults)
Surgical “6”
1. Cryotherapy
2. Electrodesiccation
3. Dermablation
4. Laser: CO2 laser - Pulsed dye laser
5. PDT
6. Excision and grafting
Systemic
Retinoids may inhibit carcinogenesis;
1. Acitretin
2. Isotretinoin
Prognosis of
Porokeratosis
Prognosis
Malignant transformation (7% -
11.6%) Large, longstanding lesions &
linear –more likely to occur in older
adults.
1. SCC
2. Bowen’s disease
3. Basal cell carcinoma
REFERENCES
Dermatology Illustrated Study Guide &
Comprehensive Board Review 2012
Google images
emedicine.medscape.com
Presentation by Ahmed Essop Registrar
Department of Dermatology University of
the Pretoria Steve Biko Academic Hospital
dermnetnz.org
en.wikipedia.org
youThank

Porokeratosis