COLD ABSCESS
-DR. PRAPULLA CHANDRA
• INTRODUCTION
• PATHOGENESIS
•SITES
• CLINICAL FEATURES
•DIFFERENTIAL DIAGNOSIS
• INVESTIGATIONS
• TREATMENT
• CASE REPORTS
Introduction
• An Abscess is a collection of liquefied tissue(pus) in the
body, which is body’s defense reaction to foreign
material.
• Cold abscess comes from the Gothic word "kalds"
meaning "cold" and the Latin word “abscessus” meaning
“ going away.”
• together means “ going away cold.”
• It is called cold abscess because it is not accompanied by
the classical signs of inflammation- heat, redness, fever,
pain etc., which are usually found with pyogenic abscess.
• More commonly, a sequelae of tubercular infection
elsewhere in the body commonly in the lymph nodes &
bone.
OTHER CAUSES
• Actinomycosis
• Leprosy
• Fungal infections like Blastomycosis
• Hyperimmunoglobulin E syndrome (job’s syndrome)
-recurrent staphylococcal cold abscess
-eczema
-increased Ig E
Pathogenesis
• Any osteoarticular tubercular lesion is result of a
hematogenous dissemination from a primarily infected
visceral focus
• Primary focus may be in Lungs, lymph nodes of cervical
region/mediastinum/mesentery, kidneys or other viscera.
• Phagocytosis of tubercle bacilli by RES
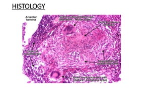
• The characteristic microscopic lesion is the tuberculous
granuloma– a collection of epithelioid and multinucleated
giant cells in the periphery.
• Within the tubercle, small patches of caseous necrosis
appear. These may coalesce into a larger yellowish mass and
the centre may break down to form an Abscess.
Pathogenesis
Polymorpho
nuclear cells
Macrophages
& monocytes
Epitheliod cells
Langhans
giant cells
Central
caseation
necrosis
Cold
abscess
HISTOLOGY
FROM VERTEBRAL TB
• It develops as an exudative lesion due to hypersensitivity
reaction to mycobacterium tuberculosis.
• It is formed by collection of products of liquefaction & the
reactive exudation
• It penetrates the ligaments in articular disease, bone &
periosteum in osseous disease
• Migrates in various directions following the path of least
resistance along fascial planes, blood vessels and nerves to
appear superficially at distant sites away from the site of
lesion.
• Spinal TB presents more commonly as
- clinical kyphosis 95%
- palpable cold abscess 20%
- radiological paravertebral abscess 21%
- tubercular sinuses (active/healed) 13%
FROM TB LYMPHADENITIS
• In the initial stages, the nodes may be discrete.
• Periadenitis results in matting and fixity of lymph nodes.
• The lymph nodes coalesce and breakdown to form caseous
pus which may perforate the deep fascia and present as
fluctuant swelling on the surface.
• The overlying skin becomes indurated, breaks down and
leads to the formation of a sinus.
• Healing occurs with calcification and scarring.
• Without treatment, it may remain unhealed for years.
LYMPH NODE ABSCESS
Composition
• Mostly composed of
• -serum
• -leucocytes
• -caseous material
• -bone debris
• -tubercle bacilli
Sites
• Commonly at Neck & Axilla
• Also at loin, back, side of chest
wall
• These are sequelae of tubercular
infection of spine,ribs &
posterior medistinal group of
lymph nodes.
REGIONAL DISTRIBUTION
• CERVICAL 12%
• CERVICODORSAL 5%
• DORSAL 42%(THORACIC)
• LUMBAR 26%
• DORSOLUMBAR 12%
• LUMBOSACRAL 3%
19
CLINICAL FEATURES
• Painless Swelling
-insidious onset
-soft & smooth mass
-cystic consistency
-fluctuation present
-slip sign negative
-No transillumination
Clinical features…
• Sinus or ulcer
• superadded infection with pyogenic organisms
• Constitutional symptoms like low grade fever,
cough , loss of weight & loss of appetite
• Symptoms of primary tuberculosis
Local Pressure effects due to swelling
c-spine:
the exudate collects behind prevertebral fascia &
protrude forward as retropharyngeal abscess causing
-dysphagia,
-dysphonea,
-dyspnoea,
-hoarseness of voice
•The abscess may track down in mediastinum to
enter trachea, esophagus or pleural cavity. It may
spread laterally into the sternomastoid muscle &
forms an abscess in the neck.
T-spine:
• The exudate may be confined locally as paravertebral
abscess
• it may enter into spinal canal & compress spinal cord
leading to Early onset pott’s paraplegia
• it can penetrate anterior longitudinal ligament to
form mediastinal abscess .
• pass downwards through medial arcute ligament to
form a lumbar abscess.
•Rarely, the thoracic cold abscess may follow the
intercostal nerve to appear anywhere along the
course of nerve.
Granuloma formation
Tissue necrosis &
inflammatory response
Paraspinal Abscess
LocalizedTrack along tissue
planes
Progressive necrosis of
vertebral body-Kyphotic
deformity
Adjacent vertebral
bodies under the
longitudinal ligaments
Along the fascial planes Ex:
Psoas abscess
PARAVERTEBRAL ABSCESS
Lumbar spine:
• abscess can have pus track along the psoas muscle towards
the groin & presents as psoas abscess
• Flexion deformity of hip can develop due to the
abscess(pseudo flexion deformity of hip)
• Can gravitate beneath the inguinal ligament to appear on the
medial aspect of thigh
• It can spread laterally beneath iliac fossa to emerge at the
iliac crest near the anterior superior iliac spine.
• The exudate can follow vessels to form an abscess in scarpa’s
triangle or gluteal region.
Differential diagnosis
• Pyogenic abscess
• Lipoma
• cyst
• Soft tumors
Investigations
• Lab studies
• Microbiology studies to confirm diagnosis
• Radiological diagnosis
Lab studies
• Mantoux / Tuberculin skin test
• ESR may be markedly elevated (neither specific nor
reliable).
• ELISA : for antibody to mycobacterial antigen.
sensitivity of 60% – 80%.
• PCR assays
FNAC & BIOPSY
• Percutaneous CT ̶ guided needle biopsy of bone lesions is a
safe procedure that also allows therapeutic drainage of large
paraspinal abscesses
• Biopsy is confirmative
Microbiology studies to confirm
diagnosis
• Ziehl-Neelsen staining: Quick and inexpensive method.
• Bone tissue or abscess samples stain for acid-fast
bacilli (AFB), & isolate organisms for culture & drug
susceptibility.
• Culture results - few weeks.
• Positive only in 60% of cases.
Radiological diagnosis
1. PLAIN RADIOGRAPH
2.ULTRASOUND
3. CT SCAN
4. MRI SPINE
5.BONE SCAN
PLAIN RADIOGRAPH
• Cervical region
- retropharyngeal abscess
may be seen on lateral x-ray.
-soft tissue shadow thickness
in front of C3 vertebra >4mm
indicates retropharyngeal
abscess.
•Thoracic region
- A paravertebral shadow on AP view indicates paravertebral
abscess.
it may be of
-fusiform shape (bird nest abscess) – length > width
-globular or tense abscess – width > length
FUSIFORM ABSCESS TENSE ABSCESS
ULTRASOUND
Detect cold abscess
A HYPO ECHOEIC LESION
Internal echoes represent debris within.
Guided aspiration
CT IMAGE
Patterns of bony destruction.
Calcifications in abscess (pathognomic for Tb)
PARAVERTEBRAL ABSCESS
PSOAS ABSCESS
MRI
•Assessment of extradural abscesses / subligamentous spread.
•Skip lesions
•Spinal cord involvement.
Radionucleotide Scan Tc 99m
• Increased uptake in upto 60 percent patients with active bone
tuberculosis.
• Avascular segments and abscesses show a cold spot due to
decreased uptake.
• Highly sensitive but nonspecific.
• Aid to localise the site of active disease and to detect multilevel
involvement
TREATMENT
• Anti tubercular drugs
• Aspiration
• Ultrasound guided Pigtail catheter drainage
• Surgical management
ANTI TUBERCULAR DRUGS
-Treatment is same as TB elsewhere in the body.
-With anti tubercular drug therapy, small cold abscesses
heal along with bone/lymphnode tb.
Aspiration
•Palpable Cold abscess must be drained as early as
possible & instil 1gm Streptomycin +/- INH in solution
•Technique: Zig-Zag aspiration using Wide bore needle
from non-dependent area to prevent sinus formation
Ultrasound guided Pigtail catheter drainage
Surgical
• Open drainage may be performed if aspiration failed to clear
it.
• Drainage using non-dependent incision,later closure of
wound without placing a drain to prevent sinus formation.
• Correcting underlying bony lesion/defect.
• Cold abscess of chest wall sometimes may
require rib resection, clavicle and sternum
resection along with abscess excision.
CASE REPORTS
NEXT SEMINAR ON WEDNESDAY
16-09-2015
MONTOUX TEST
BY DR.KALYAN

Cold abscess

  • 1.
  • 2.
    • INTRODUCTION • PATHOGENESIS •SITES •CLINICAL FEATURES •DIFFERENTIAL DIAGNOSIS • INVESTIGATIONS • TREATMENT • CASE REPORTS
  • 3.
    Introduction • An Abscessis a collection of liquefied tissue(pus) in the body, which is body’s defense reaction to foreign material. • Cold abscess comes from the Gothic word "kalds" meaning "cold" and the Latin word “abscessus” meaning “ going away.” • together means “ going away cold.”
  • 4.
    • It iscalled cold abscess because it is not accompanied by the classical signs of inflammation- heat, redness, fever, pain etc., which are usually found with pyogenic abscess. • More commonly, a sequelae of tubercular infection elsewhere in the body commonly in the lymph nodes & bone.
  • 5.
    OTHER CAUSES • Actinomycosis •Leprosy • Fungal infections like Blastomycosis • Hyperimmunoglobulin E syndrome (job’s syndrome) -recurrent staphylococcal cold abscess -eczema -increased Ig E
  • 6.
    Pathogenesis • Any osteoarticulartubercular lesion is result of a hematogenous dissemination from a primarily infected visceral focus • Primary focus may be in Lungs, lymph nodes of cervical region/mediastinum/mesentery, kidneys or other viscera. • Phagocytosis of tubercle bacilli by RES
  • 7.
    • The characteristicmicroscopic lesion is the tuberculous granuloma– a collection of epithelioid and multinucleated giant cells in the periphery. • Within the tubercle, small patches of caseous necrosis appear. These may coalesce into a larger yellowish mass and the centre may break down to form an Abscess.
  • 8.
    Pathogenesis Polymorpho nuclear cells Macrophages & monocytes Epitheliodcells Langhans giant cells Central caseation necrosis Cold abscess
  • 9.
  • 10.
    FROM VERTEBRAL TB •It develops as an exudative lesion due to hypersensitivity reaction to mycobacterium tuberculosis. • It is formed by collection of products of liquefaction & the reactive exudation • It penetrates the ligaments in articular disease, bone & periosteum in osseous disease
  • 11.
    • Migrates invarious directions following the path of least resistance along fascial planes, blood vessels and nerves to appear superficially at distant sites away from the site of lesion. • Spinal TB presents more commonly as - clinical kyphosis 95% - palpable cold abscess 20% - radiological paravertebral abscess 21% - tubercular sinuses (active/healed) 13%
  • 13.
    FROM TB LYMPHADENITIS •In the initial stages, the nodes may be discrete. • Periadenitis results in matting and fixity of lymph nodes. • The lymph nodes coalesce and breakdown to form caseous pus which may perforate the deep fascia and present as fluctuant swelling on the surface.
  • 14.
    • The overlyingskin becomes indurated, breaks down and leads to the formation of a sinus. • Healing occurs with calcification and scarring. • Without treatment, it may remain unhealed for years.
  • 15.
  • 17.
    Composition • Mostly composedof • -serum • -leucocytes • -caseous material • -bone debris • -tubercle bacilli
  • 18.
    Sites • Commonly atNeck & Axilla • Also at loin, back, side of chest wall • These are sequelae of tubercular infection of spine,ribs & posterior medistinal group of lymph nodes.
  • 19.
    REGIONAL DISTRIBUTION • CERVICAL12% • CERVICODORSAL 5% • DORSAL 42%(THORACIC) • LUMBAR 26% • DORSOLUMBAR 12% • LUMBOSACRAL 3% 19
  • 20.
    CLINICAL FEATURES • PainlessSwelling -insidious onset -soft & smooth mass -cystic consistency -fluctuation present -slip sign negative -No transillumination
  • 21.
    Clinical features… • Sinusor ulcer • superadded infection with pyogenic organisms • Constitutional symptoms like low grade fever, cough , loss of weight & loss of appetite • Symptoms of primary tuberculosis
  • 22.
    Local Pressure effectsdue to swelling c-spine: the exudate collects behind prevertebral fascia & protrude forward as retropharyngeal abscess causing -dysphagia, -dysphonea, -dyspnoea, -hoarseness of voice
  • 23.
    •The abscess maytrack down in mediastinum to enter trachea, esophagus or pleural cavity. It may spread laterally into the sternomastoid muscle & forms an abscess in the neck.
  • 24.
    T-spine: • The exudatemay be confined locally as paravertebral abscess • it may enter into spinal canal & compress spinal cord leading to Early onset pott’s paraplegia • it can penetrate anterior longitudinal ligament to form mediastinal abscess . • pass downwards through medial arcute ligament to form a lumbar abscess.
  • 25.
    •Rarely, the thoraciccold abscess may follow the intercostal nerve to appear anywhere along the course of nerve.
  • 26.
    Granuloma formation Tissue necrosis& inflammatory response Paraspinal Abscess LocalizedTrack along tissue planes Progressive necrosis of vertebral body-Kyphotic deformity Adjacent vertebral bodies under the longitudinal ligaments Along the fascial planes Ex: Psoas abscess PARAVERTEBRAL ABSCESS
  • 27.
    Lumbar spine: • abscesscan have pus track along the psoas muscle towards the groin & presents as psoas abscess • Flexion deformity of hip can develop due to the abscess(pseudo flexion deformity of hip) • Can gravitate beneath the inguinal ligament to appear on the medial aspect of thigh
  • 28.
    • It canspread laterally beneath iliac fossa to emerge at the iliac crest near the anterior superior iliac spine. • The exudate can follow vessels to form an abscess in scarpa’s triangle or gluteal region.
  • 30.
    Differential diagnosis • Pyogenicabscess • Lipoma • cyst • Soft tumors
  • 31.
    Investigations • Lab studies •Microbiology studies to confirm diagnosis • Radiological diagnosis
  • 32.
    Lab studies • Mantoux/ Tuberculin skin test • ESR may be markedly elevated (neither specific nor reliable). • ELISA : for antibody to mycobacterial antigen. sensitivity of 60% – 80%. • PCR assays
  • 33.
    FNAC & BIOPSY •Percutaneous CT ̶ guided needle biopsy of bone lesions is a safe procedure that also allows therapeutic drainage of large paraspinal abscesses • Biopsy is confirmative
  • 34.
    Microbiology studies toconfirm diagnosis • Ziehl-Neelsen staining: Quick and inexpensive method. • Bone tissue or abscess samples stain for acid-fast bacilli (AFB), & isolate organisms for culture & drug susceptibility. • Culture results - few weeks. • Positive only in 60% of cases.
  • 35.
    Radiological diagnosis 1. PLAINRADIOGRAPH 2.ULTRASOUND 3. CT SCAN 4. MRI SPINE 5.BONE SCAN
  • 36.
    PLAIN RADIOGRAPH • Cervicalregion - retropharyngeal abscess may be seen on lateral x-ray. -soft tissue shadow thickness in front of C3 vertebra >4mm indicates retropharyngeal abscess.
  • 37.
    •Thoracic region - Aparavertebral shadow on AP view indicates paravertebral abscess. it may be of -fusiform shape (bird nest abscess) – length > width -globular or tense abscess – width > length
  • 38.
  • 39.
    ULTRASOUND Detect cold abscess AHYPO ECHOEIC LESION Internal echoes represent debris within. Guided aspiration
  • 40.
    CT IMAGE Patterns ofbony destruction. Calcifications in abscess (pathognomic for Tb)
  • 41.
  • 42.
  • 43.
    MRI •Assessment of extraduralabscesses / subligamentous spread. •Skip lesions •Spinal cord involvement.
  • 46.
    Radionucleotide Scan Tc99m • Increased uptake in upto 60 percent patients with active bone tuberculosis. • Avascular segments and abscesses show a cold spot due to decreased uptake. • Highly sensitive but nonspecific. • Aid to localise the site of active disease and to detect multilevel involvement
  • 47.
    TREATMENT • Anti tuberculardrugs • Aspiration • Ultrasound guided Pigtail catheter drainage • Surgical management
  • 48.
    ANTI TUBERCULAR DRUGS -Treatmentis same as TB elsewhere in the body. -With anti tubercular drug therapy, small cold abscesses heal along with bone/lymphnode tb.
  • 49.
    Aspiration •Palpable Cold abscessmust be drained as early as possible & instil 1gm Streptomycin +/- INH in solution •Technique: Zig-Zag aspiration using Wide bore needle from non-dependent area to prevent sinus formation
  • 50.
    Ultrasound guided Pigtailcatheter drainage
  • 51.
    Surgical • Open drainagemay be performed if aspiration failed to clear it. • Drainage using non-dependent incision,later closure of wound without placing a drain to prevent sinus formation. • Correcting underlying bony lesion/defect.
  • 52.
    • Cold abscessof chest wall sometimes may require rib resection, clavicle and sternum resection along with abscess excision.
  • 53.
  • 66.
    NEXT SEMINAR ONWEDNESDAY 16-09-2015 MONTOUX TEST BY DR.KALYAN

Editor's Notes

  • #20 1.Commonest site for tuberculosis 2. Thoracic kyphosis helps in squeezing the products into the canal 3. Cord : canal ratio is smaller 4. Spinal cord terminates below L1 5. Ant. Lon. Lig. Is loose in thoracic spine whereas in lumbar pus enters the psoas
  • #51 hiiiiiiiiiii