MULTI NODULAR
GOITRE
L A Y A K P I L L A I
CONTENTS
• ANATOMY AND PHYSIOLOGY OF THYROID
• GOITRE
• CLASSIFICATION OF GOITRE
• MULTI NODULAR GOITRE
• AETIOPATHOGENESIS
• CLINICAL FEATURES
• INVESTIGATIONS
• TREATMENT
• EXAMINATION OF THYROID SWELLING
GOITRE ??
Goitre from latin word ‘guttur’ meaning the throat
Goitre is generalised enlargement of thyroid gland
ANATOMY
PHYSIOLOGY
CLASSIFICATION OF THYROID SWELLING
SIMPLE GOITRE DIFFUSE HYPERPLASTIC PHYSIOLOGICAL
PUBERTAL
PREGNANCY
MULTINODULAR GOITRE
TOXIC DIFFUSE(GRAVES DISEASE)
MULTINODULAR
TOXIC ADENOMA
NEOPLASTIC BENIGN
MALIGNANT
INFLAMMATORY AUTOIMMUNE CHRONIC LYMPHOCYTIC THYROIDITIS
HASHIMOTO’S DISEASE
GRANULOMATOUS De QUERVAIN’S THYROIDITIS
FIBROSING REIDEL’S THYROIDITIS
INFECTIVE ACUTE
CHRONIC
DIFFUSE HYPERPLASTIC GOITRE
MULTI NODULAR GOITRE
MNG
• There are multiple nodules in thyroid
• Progression from diffuse hyperplastic goiter
• Can weigh upto 2kg
• Mostly euthyroid
• More common in FEMALES
• They can be : NonToxic & Toxic
• Toxic MNG : a hyperfuntioning nodule may develop within a long
standing goiter resulting in hyperthyroidism . The condition called
PLUMMER SYNDROME
AETIOPATHOGENESIS
• Puberty , pregnancy : demand feedback in TSH level hypertrophy of gland
( physiological goiter)
• Endemic : iodine deficiency.
daily requirement : 0.1-0.15 mg
• Dyshormonogenesis: familial ; autosomal recessive condition with deficiency of
peroxidase or dehalogenase resulting in sporadic goiters.
• Goitrogens : such as cabbage, drugs like sulfonamides , iodides
• Previous irradiation to neck
GOITROGENS
• Environmental
– Cassava root (contains thiocyanate)
– Vegetables cruciferae family (cabbage, cauliflower, brussel sprouts)
– Milk from regions where goitrogens are present in grass
– Others
• Drugs
– Iodides
– Amiodarone, aminoglutethemide, Lithium
– Cobalt
– Diiodoquinone
– Ethionamide
– PAS
ENDEMIC GOITRE AREAS
STAGES IN GOITER FORMATION
STIMULATION DIFFUSE HYPERPLASTIC GOITRE
(reversible if stimulation ceases)
MIXED PATTERN with areas of active &
inactive lobules
(as a result of fluctuating stimulation)
Active lobules bcom more vascular &
hyperplastic until hemorrhage occurs,
causing central necrosis .
Necrotic lobules coalesce to
form nodules filled either
wih iodine free colloid or a
mass of new but inactive
follicles
Continual repetition of this
process results in a nodular
goitre
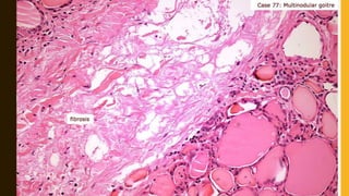
PATHOLOGY
• GROSS : multilobulated ; cut section has irregular nodule containing
amts of gelatinous colloid.
Regressive changes occur frequently in older lesion which
include areas of hemorrhage, fibrosis, calcification, and cyst changes
• MICROSCOPY : follicles of varying size.
area of hemorrhage, hemosiderin-laden macrophages
calcification
CLINICAL FEATURES
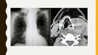
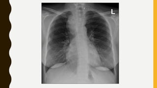
• Mass effects like dyspnea , dysphagia, hoarseness ,compression to
the great vessels (superior vene cava syndrome).
• Cosmetic effects
• Mostly euthyroid , may present with hyperthyroidism (toxic MNG)
• Hypothyroidic presentations in specific clinical settings.
INVESTIGATIONS
• Thyroid function tests
• Ultrasonography (USG)
• Fine needle aspiration cytology (FNAC)
• Complete blood picture (CBP)
• X-ray neck :AP & Lateral view
• CT scan : to look for retrosternal extension
• Thyroid scan-contains radioactive I
• Indirect laryngoscopy : to see vocal cord mobility
COMPLICATIONS
• Dyspnoea / dysphagia
• Secondary thyrotoxicosis
• Calcification of nodules
• Degeneration of nodules
• Hemorrhage into nodules
• Malignant transformation (follicular/papillary)- 5%
• Cosmetic disfigurement
TREATMENT
• In the early stages a hyperplastic goiter may regress if thyroxine is given in
a dose of 0.15-0.2 mg daily for few months.
• Although the nodular stage is irreversible , more than half of benign
nodules will regress in size over years.
• Most of the MNG are asymptomatic and do not require operation.
• Operation may be indicated on cosmetic grounds, for pressure symptoms,
or in response to patient anxiety.
• Retrosternal extension is an indication for thyroidectomy.
• When entire gland Is involved – total thyroidectomy is better
• Subtotal thyroidectomy is done depending on the amt of gland involved, location
8gms of thyroid tissue is retained in each lateral lobe
• often partial thyroidectomy or Harley dunhill operation (one lateral lobe + isthmus+ opp
side subtotal or partial)
• Reoperation for recurrent nodular goiter is more difficult and hazardous and for this
reason, total thyroidectomy is favoured in younger patients.
• Total lobectomy and total thyroidectomy have additional advantage of being therapeutic
for incidental carcinomas.
• There is some evidence that radioactive iodine may reduce size of recurrent nodular
goiter after previous subtotal resection and in some circumstances it is safer alternative
than reoperation.
• Incision : a gently curved skin crease incision made between the notch of thyroid
cartilage and suprasternal notch- KOCHERS
• Superior thyroid artery ligated
Inferior thyroid artery are not routinely ligated to
preserve Parathyroid blood supply.
POST OP COMPLICATIONS
• Bleeding
• infection
• Temporary permanent loss of voice
• Temppermanent hypocalcemia
• Vocal cord paralysis
• Need for life long thyroid supplements like L-thyroxine
PREVENTION
• Use of iodised salt
• At puberty : 0.1 mg or 0.2 mg thyroxine
• Reduce the use of goitrogens
EXAMINATION OF A THYROID SWELLING
• INSPECTION : by Pizillo’s method
size, shape and location and borders, surface
look for redness, scar, dialated vein pulsation, sinuses.
• Palpation : Lahey’s method for palpation of deep surface
Crile’s method for small nodules
measure size, shape, consistency, mobility
kochers test for stridor
berry’s sign for carotid pulse
• Percussion : Dull note if retrosternal extension
• Auscultation: bruit
Pizillo’s method
Crile’s method
Lahey’s method
Kocher’s test
PEMBERTON’S SIGN
THANK YOU

Multi nodular goitre (MNG)

  • 1.
    MULTI NODULAR GOITRE L AY A K P I L L A I
  • 2.
    CONTENTS • ANATOMY ANDPHYSIOLOGY OF THYROID • GOITRE • CLASSIFICATION OF GOITRE • MULTI NODULAR GOITRE • AETIOPATHOGENESIS • CLINICAL FEATURES • INVESTIGATIONS • TREATMENT • EXAMINATION OF THYROID SWELLING
  • 3.
  • 4.
    Goitre from latinword ‘guttur’ meaning the throat Goitre is generalised enlargement of thyroid gland
  • 5.
  • 8.
  • 9.
    CLASSIFICATION OF THYROIDSWELLING SIMPLE GOITRE DIFFUSE HYPERPLASTIC PHYSIOLOGICAL PUBERTAL PREGNANCY MULTINODULAR GOITRE TOXIC DIFFUSE(GRAVES DISEASE) MULTINODULAR TOXIC ADENOMA NEOPLASTIC BENIGN MALIGNANT INFLAMMATORY AUTOIMMUNE CHRONIC LYMPHOCYTIC THYROIDITIS HASHIMOTO’S DISEASE GRANULOMATOUS De QUERVAIN’S THYROIDITIS FIBROSING REIDEL’S THYROIDITIS INFECTIVE ACUTE CHRONIC
  • 10.
  • 11.
  • 12.
    MNG • There aremultiple nodules in thyroid • Progression from diffuse hyperplastic goiter • Can weigh upto 2kg • Mostly euthyroid • More common in FEMALES • They can be : NonToxic & Toxic • Toxic MNG : a hyperfuntioning nodule may develop within a long standing goiter resulting in hyperthyroidism . The condition called PLUMMER SYNDROME
  • 13.
    AETIOPATHOGENESIS • Puberty ,pregnancy : demand feedback in TSH level hypertrophy of gland ( physiological goiter) • Endemic : iodine deficiency. daily requirement : 0.1-0.15 mg • Dyshormonogenesis: familial ; autosomal recessive condition with deficiency of peroxidase or dehalogenase resulting in sporadic goiters. • Goitrogens : such as cabbage, drugs like sulfonamides , iodides • Previous irradiation to neck
  • 14.
    GOITROGENS • Environmental – Cassavaroot (contains thiocyanate) – Vegetables cruciferae family (cabbage, cauliflower, brussel sprouts) – Milk from regions where goitrogens are present in grass – Others • Drugs – Iodides – Amiodarone, aminoglutethemide, Lithium – Cobalt – Diiodoquinone – Ethionamide – PAS
  • 15.
  • 17.
    STAGES IN GOITERFORMATION STIMULATION DIFFUSE HYPERPLASTIC GOITRE (reversible if stimulation ceases) MIXED PATTERN with areas of active & inactive lobules (as a result of fluctuating stimulation) Active lobules bcom more vascular & hyperplastic until hemorrhage occurs, causing central necrosis . Necrotic lobules coalesce to form nodules filled either wih iodine free colloid or a mass of new but inactive follicles Continual repetition of this process results in a nodular goitre
  • 19.
    PATHOLOGY • GROSS :multilobulated ; cut section has irregular nodule containing amts of gelatinous colloid. Regressive changes occur frequently in older lesion which include areas of hemorrhage, fibrosis, calcification, and cyst changes • MICROSCOPY : follicles of varying size. area of hemorrhage, hemosiderin-laden macrophages calcification
  • 25.
    CLINICAL FEATURES • Masseffects like dyspnea , dysphagia, hoarseness ,compression to the great vessels (superior vene cava syndrome). • Cosmetic effects • Mostly euthyroid , may present with hyperthyroidism (toxic MNG) • Hypothyroidic presentations in specific clinical settings.
  • 34.
    INVESTIGATIONS • Thyroid functiontests • Ultrasonography (USG) • Fine needle aspiration cytology (FNAC) • Complete blood picture (CBP) • X-ray neck :AP & Lateral view • CT scan : to look for retrosternal extension • Thyroid scan-contains radioactive I • Indirect laryngoscopy : to see vocal cord mobility
  • 36.
    COMPLICATIONS • Dyspnoea /dysphagia • Secondary thyrotoxicosis • Calcification of nodules • Degeneration of nodules • Hemorrhage into nodules • Malignant transformation (follicular/papillary)- 5% • Cosmetic disfigurement
  • 37.
    TREATMENT • In theearly stages a hyperplastic goiter may regress if thyroxine is given in a dose of 0.15-0.2 mg daily for few months. • Although the nodular stage is irreversible , more than half of benign nodules will regress in size over years. • Most of the MNG are asymptomatic and do not require operation. • Operation may be indicated on cosmetic grounds, for pressure symptoms, or in response to patient anxiety. • Retrosternal extension is an indication for thyroidectomy.
  • 38.
    • When entiregland Is involved – total thyroidectomy is better • Subtotal thyroidectomy is done depending on the amt of gland involved, location 8gms of thyroid tissue is retained in each lateral lobe • often partial thyroidectomy or Harley dunhill operation (one lateral lobe + isthmus+ opp side subtotal or partial) • Reoperation for recurrent nodular goiter is more difficult and hazardous and for this reason, total thyroidectomy is favoured in younger patients. • Total lobectomy and total thyroidectomy have additional advantage of being therapeutic for incidental carcinomas. • There is some evidence that radioactive iodine may reduce size of recurrent nodular goiter after previous subtotal resection and in some circumstances it is safer alternative than reoperation.
  • 39.
    • Incision :a gently curved skin crease incision made between the notch of thyroid cartilage and suprasternal notch- KOCHERS • Superior thyroid artery ligated Inferior thyroid artery are not routinely ligated to preserve Parathyroid blood supply.
  • 40.
    POST OP COMPLICATIONS •Bleeding • infection • Temporary permanent loss of voice • Temppermanent hypocalcemia • Vocal cord paralysis • Need for life long thyroid supplements like L-thyroxine
  • 41.
    PREVENTION • Use ofiodised salt • At puberty : 0.1 mg or 0.2 mg thyroxine • Reduce the use of goitrogens
  • 43.
    EXAMINATION OF ATHYROID SWELLING • INSPECTION : by Pizillo’s method size, shape and location and borders, surface look for redness, scar, dialated vein pulsation, sinuses. • Palpation : Lahey’s method for palpation of deep surface Crile’s method for small nodules measure size, shape, consistency, mobility kochers test for stridor berry’s sign for carotid pulse • Percussion : Dull note if retrosternal extension • Auscultation: bruit
  • 44.
  • 45.
  • 46.