infection
1
Introduction
• Definition: invasion of a living tissue by
harmful organisms.
• Routes:
–Exogenous:inhalation, injestion, contact.
–Endogenous: as bacteria normally present
in the body, the infection occurs with low
immunity.
2
Bacterial infection
• Pathogenesis of tissue injury with bact inf:
– Adhesion To cells causing death.
– Production of toxins.
– Hypersensitivity reaction.
• Effects :
– Cell injury: necrosis & degeneration.
– Inflammation.
– Immunity or hypersensitivity.
– Blood invasion.
3
Bacteraemia
• Definition: transient invasion of blood with bateria
without significant toxemia.
• Pathogenesis:
– After tooth extraction.
– Dlood spread from septic focus.
– During incubation period (typhoid).
• Effects:
– Rapidly eliminated by immune mechanism (in most)
– Localize in tissues causing lesions (uncommon &
preceded by predisposing factor).
4
Toxemia
• Definition: circulating bacterial toxins (endo or
exotoxins) in blood causing harmful effect.
• Types:
• Pathological & clinical manifestations:
– Signs & symptoms: fever, rigors, headache, pallor,
weakness.
– Degeneration , necrosis, acute adrenal insufficiency , ARDS
(due to DAD), septic shock & DIC, amyloidosis (chronic),
According to onset According to type of toxin Saparaemia
•Acute toxemia: as acute
abscess, pneumonia & with
septicemia & pyemia.
•Chronic: chronic lung
abscess & TB.
•Endotoxic: as E coli, typhoid.
•Exotoxic: cholera &
diphtheria.
•Special type occurs in
gangrene due to action of
saprophytes on dead tissues.
5
Septicaemia
• Definition: large number of virulent bacteria circulate &
multiply in blood+ sever toxemia.
• Aetiology:
– Causative organism: cocci, bacilli
– Predesposing factor: low immunity
– Source of infection: septicaemia complicate severe infections or
ordinary infection in low resistant patients.
• Pathological features: (of strept. Haemolyticus)
– Effects of acute toxemia (except amyloidosis & exotoxin effect).
– Vascular & hematological disorder: hemolysis, petechial hrge
– Serous memb.: serofibrinous or suppurative.
– Heart (3 layers), toxic injury of liver & kidney & acute splenic
swelling. 6
Pyaemia
• Defintion: development of multible small abscesses within 1 or
> organs caused by circulation of septic emboli derived from
septic thrombi. Fatal.
• mechanism (pathogenesis): start in veins or heart septic
thrombi septic emboli impacted multiple pyemic
abscesses in periphery of the organ
• Types: Pulmonary (lung), systemic, portal (liver abscesses).
• pathological features:
– Distribution.
– Gross:
• multiple, small, most superficially located in the organ, hyperemic walls,
some pus in the centre.
• Surrounding tissue:degeneration (parynchemal organ).
– M/P:PMN, pus cells, debris, macrophages, congested capillaries.
– Manifestations of toxemia.
7
8
Chronic bacterial infections
• Non specific
• specific granulomatous (TB,
leprosy, syphilis &
actinomycosis).
9
Tuberculosis (TB)
• Definition: ch. Infectious granulomatous ds.
• Aetiology:
– Causative organism:
• Caused by Mycobacterium tuberculosis (tubercle bacilli) which
are gram +ve acid fast bacilli, best stained with Ziehl-Neelsen
stain.
• 2 types can cause ds in man: human tubercle bacilli & bovine
tubercle bacilli.
• Have outer lipid capsule covering a body composed of
polysaccharides & proteins (tuberculoprotein).
• Pathogenesis: hypersensitivity reaction to tuberculoprotein
(which is highly antigenic), but no toxin production. The
common toxemia with TB due to 2ry bacterial infection. 10
Aetiology of TB (cont.):
–Predesposing factor: low natural resistance
due to low standards of nutrition & housing
(low socioeconomic).
–Mode of infection:
• Human TB bacilli:Inhalation, swallowing or skin
contact to contaminated dust from infected
sputum.
• Bovine TB bacilli: Swallowing of infected milk.
11
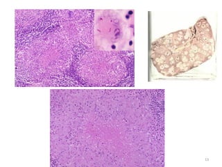
Tissue reaction in TB
• Proliferative (the tubercle): basic lesion of TB
– Mode of formation: nutrophils, macrophages that become
epithelioid cells that fuse (Langhan’s giant cells), sensitize T
lymphocytes (aquired imm. In 10-14d) that produce lymphokines
causing macrophage stimulation & promote caseation.
– Gross: tubrcles are microscopic, when fuse give grossly small
yellow grey, soft, cheesy (caseation) nodules.
– M/P: each tubercle: caseation necrosis in the centre surrounded
by epithelioid cells, Langhan’s giant cells & lymphocytes (form a
peripheral zone).
– Michanism of caseation: cytotoxic lymphokines & ischemic
necrosis (no angiogenesis + endarteritis).
– Fate of tubercle:
• localization [(fibrosis+/- dystrophic calcifications) of small or large
(encapsulation, dormant bacilli, reactivation)] or spread acc. To immunity.12
13
Tissue reaction in TB (cont.)
• Exudative:
– In serous membranes.
– In lungs: proliferative or exudative or both.
– Typical exudative reaction in sensitized persons.
– Charecterized by:
• Fluid exudate containing fibrinogen.
• Many lymphocytes & nutrophils (few EC & GC).
• Marked caseation with rapid liqufaction by nutrophils
enzymes.
14
Spread of TB
• Mechanism: the non motile bacilli carried by
macrophages, tissue fluid, lymph, blood.
• Routes:
– Direct.
– Lymphatic.
– Blood: depends on bacterial number.
• No effects: small number.
• Isolated organ TB: settle in one or few organs.
• Miliary TB: in immunocompromised persons large number in
the blood, so many organs show huge number of small (1-
2mm), adjacent TB lesions.it is rapidly fata.
– intracanalicular: coughed sputum spread it to larynx, tonsils &
tongue. 15
Factors influencing the course of
TB
• Dose & virulence of organism.
• Immunity & hypersensitivity:
– Innate immunity is of great importance.
– Degree of acquired immunity & delayed
hypersensitivity mediated by T lymphocytes.
16
Types of TB
1ry
• Infection for the 1st
time.
• Mainly affect children.
• Spread of infection is common.
• Less marked tissue destruction
• Slow tissue reaction.
• Coarse of infection affected by
innate immunity.
2ry (reinfection or reactivation)
• Infection of sensitized individual.
(previously infected with TB).
• Mainly affects adults.
• Less common (aquired immunity).
• > tissue destruction (hypersensit).
• Accelerated tissue reaction.
• Course is determined by innate,
acquired imm. & hypersensitivity.
17
Complications of TB
• Spread.
• Hemorrhage.
• Organ destruction & sever fibrosis.
• Amyloidosis (chronic cases).
• Recurrence (reactivation).
18
syphilis
• Infective disease caused by Treponema pallidum
spirochaetes.
• Aetiology & mode of infection:
– Acquried :
• venereal(most common): by sexual contact.
• Non venereal: touching lesion or blood transfusion.
– Congenital: transplacental transmission.
• Syphilitic tissue reaction (M/P):
– Progressive endarteritis obliterans.
– Chronic proleferative inflammatory reaction (rich in plasma cells & poor in fluid
exudate).
– Granulation tissue & fibrosis.
– Necrosis (mainly gamma of 3ry stage) 19
Viral infections
• viruses: smallest organisms, obligate IC agent, with
core & capsid, classified to DNA & RNA viruses.
• Mode of infection: according to type of virus
(inhalation, ingestion, injection, sexual, inoculation,
bites of vectors.
• Clinical forms: asymptomatic, acute, chronic (=/- acute
phase)carrier, oncogenic.
• Michanism of virus-induced cell injury:
– Interference with cellular synthesis of DNA or RNA.
– Cell membrane injury (HIV).
– Cell lysis (influenza).
– Hypersensitivity host reaction (hepatitis). 20
• Tissue reaction to viruses:
– Cell changes:
• Viruses infect the cell & form IC inclusion
bodies (cytoplasmic or nuclear).
• Some May infect specific cells or many cell
types.
• Variable tissue reaction:
–No (latent viral infections).
– cell degeneration & necrosis.
–Cell proliferation (papilloma virus).
– Inflammation: lymphocytes & macrophages.
• E.g: hepatitis (A,B,C,D,E), EBV, HIV,HPV, CMV. 21

19 bact.inf

  • 1.
  • 2.
    Introduction • Definition: invasionof a living tissue by harmful organisms. • Routes: –Exogenous:inhalation, injestion, contact. –Endogenous: as bacteria normally present in the body, the infection occurs with low immunity. 2
  • 3.
    Bacterial infection • Pathogenesisof tissue injury with bact inf: – Adhesion To cells causing death. – Production of toxins. – Hypersensitivity reaction. • Effects : – Cell injury: necrosis & degeneration. – Inflammation. – Immunity or hypersensitivity. – Blood invasion. 3
  • 4.
    Bacteraemia • Definition: transientinvasion of blood with bateria without significant toxemia. • Pathogenesis: – After tooth extraction. – Dlood spread from septic focus. – During incubation period (typhoid). • Effects: – Rapidly eliminated by immune mechanism (in most) – Localize in tissues causing lesions (uncommon & preceded by predisposing factor). 4
  • 5.
    Toxemia • Definition: circulatingbacterial toxins (endo or exotoxins) in blood causing harmful effect. • Types: • Pathological & clinical manifestations: – Signs & symptoms: fever, rigors, headache, pallor, weakness. – Degeneration , necrosis, acute adrenal insufficiency , ARDS (due to DAD), septic shock & DIC, amyloidosis (chronic), According to onset According to type of toxin Saparaemia •Acute toxemia: as acute abscess, pneumonia & with septicemia & pyemia. •Chronic: chronic lung abscess & TB. •Endotoxic: as E coli, typhoid. •Exotoxic: cholera & diphtheria. •Special type occurs in gangrene due to action of saprophytes on dead tissues. 5
  • 6.
    Septicaemia • Definition: largenumber of virulent bacteria circulate & multiply in blood+ sever toxemia. • Aetiology: – Causative organism: cocci, bacilli – Predesposing factor: low immunity – Source of infection: septicaemia complicate severe infections or ordinary infection in low resistant patients. • Pathological features: (of strept. Haemolyticus) – Effects of acute toxemia (except amyloidosis & exotoxin effect). – Vascular & hematological disorder: hemolysis, petechial hrge – Serous memb.: serofibrinous or suppurative. – Heart (3 layers), toxic injury of liver & kidney & acute splenic swelling. 6
  • 7.
    Pyaemia • Defintion: developmentof multible small abscesses within 1 or > organs caused by circulation of septic emboli derived from septic thrombi. Fatal. • mechanism (pathogenesis): start in veins or heart septic thrombi septic emboli impacted multiple pyemic abscesses in periphery of the organ • Types: Pulmonary (lung), systemic, portal (liver abscesses). • pathological features: – Distribution. – Gross: • multiple, small, most superficially located in the organ, hyperemic walls, some pus in the centre. • Surrounding tissue:degeneration (parynchemal organ). – M/P:PMN, pus cells, debris, macrophages, congested capillaries. – Manifestations of toxemia. 7
  • 8.
  • 9.
    Chronic bacterial infections •Non specific • specific granulomatous (TB, leprosy, syphilis & actinomycosis). 9
  • 10.
    Tuberculosis (TB) • Definition:ch. Infectious granulomatous ds. • Aetiology: – Causative organism: • Caused by Mycobacterium tuberculosis (tubercle bacilli) which are gram +ve acid fast bacilli, best stained with Ziehl-Neelsen stain. • 2 types can cause ds in man: human tubercle bacilli & bovine tubercle bacilli. • Have outer lipid capsule covering a body composed of polysaccharides & proteins (tuberculoprotein). • Pathogenesis: hypersensitivity reaction to tuberculoprotein (which is highly antigenic), but no toxin production. The common toxemia with TB due to 2ry bacterial infection. 10
  • 11.
    Aetiology of TB(cont.): –Predesposing factor: low natural resistance due to low standards of nutrition & housing (low socioeconomic). –Mode of infection: • Human TB bacilli:Inhalation, swallowing or skin contact to contaminated dust from infected sputum. • Bovine TB bacilli: Swallowing of infected milk. 11
  • 12.
    Tissue reaction inTB • Proliferative (the tubercle): basic lesion of TB – Mode of formation: nutrophils, macrophages that become epithelioid cells that fuse (Langhan’s giant cells), sensitize T lymphocytes (aquired imm. In 10-14d) that produce lymphokines causing macrophage stimulation & promote caseation. – Gross: tubrcles are microscopic, when fuse give grossly small yellow grey, soft, cheesy (caseation) nodules. – M/P: each tubercle: caseation necrosis in the centre surrounded by epithelioid cells, Langhan’s giant cells & lymphocytes (form a peripheral zone). – Michanism of caseation: cytotoxic lymphokines & ischemic necrosis (no angiogenesis + endarteritis). – Fate of tubercle: • localization [(fibrosis+/- dystrophic calcifications) of small or large (encapsulation, dormant bacilli, reactivation)] or spread acc. To immunity.12
  • 13.
  • 14.
    Tissue reaction inTB (cont.) • Exudative: – In serous membranes. – In lungs: proliferative or exudative or both. – Typical exudative reaction in sensitized persons. – Charecterized by: • Fluid exudate containing fibrinogen. • Many lymphocytes & nutrophils (few EC & GC). • Marked caseation with rapid liqufaction by nutrophils enzymes. 14
  • 15.
    Spread of TB •Mechanism: the non motile bacilli carried by macrophages, tissue fluid, lymph, blood. • Routes: – Direct. – Lymphatic. – Blood: depends on bacterial number. • No effects: small number. • Isolated organ TB: settle in one or few organs. • Miliary TB: in immunocompromised persons large number in the blood, so many organs show huge number of small (1- 2mm), adjacent TB lesions.it is rapidly fata. – intracanalicular: coughed sputum spread it to larynx, tonsils & tongue. 15
  • 16.
    Factors influencing thecourse of TB • Dose & virulence of organism. • Immunity & hypersensitivity: – Innate immunity is of great importance. – Degree of acquired immunity & delayed hypersensitivity mediated by T lymphocytes. 16
  • 17.
    Types of TB 1ry •Infection for the 1st time. • Mainly affect children. • Spread of infection is common. • Less marked tissue destruction • Slow tissue reaction. • Coarse of infection affected by innate immunity. 2ry (reinfection or reactivation) • Infection of sensitized individual. (previously infected with TB). • Mainly affects adults. • Less common (aquired immunity). • > tissue destruction (hypersensit). • Accelerated tissue reaction. • Course is determined by innate, acquired imm. & hypersensitivity. 17
  • 18.
    Complications of TB •Spread. • Hemorrhage. • Organ destruction & sever fibrosis. • Amyloidosis (chronic cases). • Recurrence (reactivation). 18
  • 19.
    syphilis • Infective diseasecaused by Treponema pallidum spirochaetes. • Aetiology & mode of infection: – Acquried : • venereal(most common): by sexual contact. • Non venereal: touching lesion or blood transfusion. – Congenital: transplacental transmission. • Syphilitic tissue reaction (M/P): – Progressive endarteritis obliterans. – Chronic proleferative inflammatory reaction (rich in plasma cells & poor in fluid exudate). – Granulation tissue & fibrosis. – Necrosis (mainly gamma of 3ry stage) 19
  • 20.
    Viral infections • viruses:smallest organisms, obligate IC agent, with core & capsid, classified to DNA & RNA viruses. • Mode of infection: according to type of virus (inhalation, ingestion, injection, sexual, inoculation, bites of vectors. • Clinical forms: asymptomatic, acute, chronic (=/- acute phase)carrier, oncogenic. • Michanism of virus-induced cell injury: – Interference with cellular synthesis of DNA or RNA. – Cell membrane injury (HIV). – Cell lysis (influenza). – Hypersensitivity host reaction (hepatitis). 20
  • 21.
    • Tissue reactionto viruses: – Cell changes: • Viruses infect the cell & form IC inclusion bodies (cytoplasmic or nuclear). • Some May infect specific cells or many cell types. • Variable tissue reaction: –No (latent viral infections). – cell degeneration & necrosis. –Cell proliferation (papilloma virus). – Inflammation: lymphocytes & macrophages. • E.g: hepatitis (A,B,C,D,E), EBV, HIV,HPV, CMV. 21