cholecystitis
 Cholecystitis or inflammation of the gallbladder may be acute, chronic, or acute
superimposed on chronic.
 Chronic cholecystitis is more common
 Acute cholecystitis is a surgical emergency.
ACUTE CHOLECYSTITIS
ETIOPATHOGENESIS
Acute calculous cholecystitis In 90% of cases, it is caused by obstruction in the neck of the
gallbladder or in the cystic duct by a gallstone. The commonest location of impaction of a
gallstone is in Hartmann’s pouch. secondary bacterial infection by E. coli and Streptococcus
faecalis.
Acute acalculous cholecystitis The remaining 10% cases of acute cholecystitis do not
contain gallstones. previous nonbiliary surgery, multiple injuries, burns, recent childbirth,
severe sepsis, dehydration, torsion of the gallbladder and diabetes mellitus. Rare causes
include primary bacterial infection like salmonellosis and cholera and parasitic infestations.
MORPHOLOGIC FEATURES
Except for the presence or absence of calculi, the two forms of acute chole cystitis
are morphologically similar.
Grossly,
The gallbladder is distended and tense.
The serosal surface is coated with fibrinous exudate with congestion and
haemorrhages.
The mucosa is bright red.
The lumen is filled with pus mixed with green bile.
In calculous cholecystitis, a stone may get impacted in the neck or in the cystic
duct.
When obstruction of the cystic duct is complete, the lumen is filled with purulent
exudate and the condition is known as empyema of the gallbladder.
Microscopically,
 Wall of the gallbladder shows marked inflammatory oedema, congestion and
neutrophilic exudate.
 There may be frank abscesses in the wall and gangrenous necrosis with rupture
into the peritoneal cavity (gangrenous cholecystitis).
CHRONIC CHOLECYSTITIS
Chronic cholecystitis is the commonest type of clinical gallbladder disease.
There is almost constant association of chronic cholecystitis with cholelithiasis
ETIOPATHOGENESIS
The association of chronic cholecystitis with mixed and combined gallstones is
virtually always present.
MORPHOLOGIC FEATURES
Grossly,
The gallbladder is generally contracted but may be normal or enlarged.
The wall of the gallbladder is thickened which on cut section is grey-white due to
dense fibrosis or may be even calcified.
The mucosal folds may be intact, thickened, or flattened and atrophied.
The lumen commonly contains multiple mixed stones or a combined stone.
Histologically,
1. Thickened and congested mucosa but occasionally mucosa may be totally
destroyed.
2. Penetration of the mucosa deep into the wall of the gallbladder up to muscularis
layer to form Rokitansky-Aschoff ’sinuses.
3. Variable degree of chronic inflammatory reaction, consisting of lymphocytes,
plasma cells and macrophages, present in the lamina propria and subserosal layer.
4. Variable degree of fibrosis in the subserosal and subepithelial layers.
CLINICAL FEATURES
• Chronic cholecystitis has ill-defined and vague symptoms. Generally, the
patient—a fat, fertile, female of forty or fifty, presents with abdominal distension
or gastric discomfort, especially after a fatty meal.
• Acute cholecystitis severe pain in the upper abdomen with features of peritoneal
irritation such as guarding and hyperaesthesia. The gallbladder is tender and may
be palpable. Fever, leucocytosis with neutrophilia and slight jaundice are generally
present.
Chronic liver abscess
PYOGENIC LIVER ABSCESS
Most liver abscesses are of bacterial (pyogenic) origin
ETIOLOGY
1. Ascending cholangitis- gallstones, cancer, sclerosing cholangitis and biliary
strictures
2. Portal pyaemia- appendicitis, empyema of gallbladder, diverticulitis, regional
enteritis, pancreatitis,
3. Septicaemia through spread by hepatic artery.
4. Direct infection resulting in solitary liver abscess e.g. from adjacent perinephric
abscess, secondary infection in amoebic liver abscess
5. Iatrogenic causes include liver biopsy, percutaneous biliary drainage and
accidental surgical trauma.
6. Cryptogenic from unknown causes, especially in the elderly.
The commonest infecting organisms are gram-negative bacteria chiefly
E. coli; others are Pseudomonas, Klebsiella, Enterobacter and a number of
anaerobic organisms, bacteroides and actinomyces
MORPHOLOGIC FEATURES
Grossly,
Depending upon the cause for pyogenic liver abscess,
They occur as single or multiple yellow abscesses,
1 cm or more in diameter, in an enlarged liver.
A single abscess generally has a thick fibrous capsule.
The abscesses are particularly common in right lobe of the liver
Microscopically,
Typical features of abscess are seen.
There are multiple small neutrophilic abscesses with areas of extensive necrosis of
the affected liver parenchyma.
The adjacent viable area shows pus and blood clots in the portal vein,
inflammation, congestion and proliferating fibroblasts.
Direct extension from the liver may lead to subphrenic or pleuro-pulmonary
suppuration or peritonitis.
AMOEBIC LIVER ABSCESS
• Amoebic liver abscesses are less common
• They are caused by the spread of Entamoeba histolytica from intestinal lesions.
• Intermittent low-grade fever, pain and tenderness in the liver area.
• A positive haemagglutination test.
MORPHOLOGIC FEATURES
Grossly,
Amoebic liver abscesses are usually solitary and
More often located in the right lobe in the posterosuperior portion.
Amoebic liver abscess may vary greatly in size but is generally of the size of an
orange.
The centre of the abscess contains large necrotic area having reddish-brown, thick
pus resembling anchovy or chocolate sauce.
The abscess wall consists of irregular shreds of necrotic liver tissue
Histologically,
• The necrotic area consists of degenerated liver cells, leucocytes, red blood cells,
strands of connective tissue and debris.
• Amoebae are most easily found in the liver tissue at the margin of abscess.
• Pas-staining is employed to confirm the trophozoites of E. histolytica.
Cirrhosis of liver
Cirrhosis of the liver is one of the ten leading causes of death in the
Western world. It represents the irreversible end-stage of several diffuse diseases
causing hepatocellular injury and is characterised by the following 4 features:
1. It involves the entire liver.
2. The normal lobular architecture of hepatic parenchyma is disorganised.
3. There is formation of nodules separated from one another by irregular bands of
fibrosis.
4. It occurs following hepatocellular necrosis of varying etiology so that there are
alternate areas of necrosis and regenerative nodules
PATHOGENESIS
FIBROGENESIS Continued destruction of hepatocytes causes collapse of normal
lobular hepatic parenchyma followed by fibrosis around necrotic liver cells. Fibrosis
in the liver lobules may be portal-central, portal-portal, or both.
REGENERATIVE NODULES The surviving hepatocytes act as stimulants for
growth and proliferation of more hepatocytes under influence of growth factors
VASCULAR REORGANISATION Due to damaged hepatic parenchyma and
formation of fibrous nodules, the new vessels formed in the fibrous septa are
connected to the vessels in the portal triad (i.e. branches of hepatic artery and portal
vein) and then the blood is drained into hepatic vein.
ALCOHOLIC LIVER DISEASE AND CIRRHOSIS
There are three sequential stages in alcoholic liver disease: alcoholic steatosis (fatty liver),
alcoholic hepatitis and alcoholic cirrhosis
RISK FACTORS
1. Drinking patterns
2. Gender
3. Malnutrition
4. Infections
5. Genetic factors
6. Hepatitis B and C infection
MORPHOLOGIC FEATURES
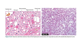
1. ALCOHOLIC STEATOSIS (FATTY LIVER)
Grossly, the liver is enlarged, yellow, greasy and firm with a smooth and glistening capsule.
Microscopically,
• The features consist of initial microvesicular droplets of fat in the hepatocyte cytoplasm
followed by more common and pronounced feature of macrovesicular large droplets of
fat displacing the nucleus to the periphery.
• Fat cysts may develop due to coalescence and rupture of fat-containing hepatocytes.
• Less often, lipogranulomas consisting of collection of lymphocytes, macrophages and
some multinucleate giant cells may be found.
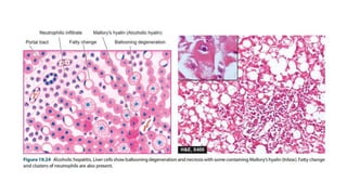
2. ALCOHOLIC HEPATITIS Alcoholic hepatitis develops acutely, usually following a
bout of heavy drinking. Repeated episodes of alcoholic hepatitis super imposed on pre-
existing fatty liver are almost certainly a forerunner of alcoholic cirrhosis.
Histologically
i) Hepatocellular necrosis
ii) Mallory bodies or alcoholic hyalin: These are eosinophilic, intracytoplasmic inclusions
seen in perinuclear location within swollen and ballooned hepatocytes.
iii) Inflammatory response
iv) Fibrosis: pericellular and perivenular fibrosis, producing a web-like or chickenwire-like
appearance. This is also termed as creeping collagenosis.
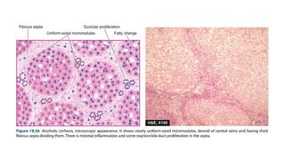
3. ALCOHOLIC CIRRHOSIS Alcoholic cirrhosis is the most common form of
lesion, constituting 60-70% of all cases of cirrhosis.
Grossly,
• Begins as micronodular cirrhosis (nodules less than 3 mm diameter), the liver
being large, fatty and weighing usually above 2 kg .
• Eventually over a span of years, the liver shrinks to less than 1 kg in weight,
becomes non-fatty, having macronodular cirrhosis (nodules larger than 3 mm in
diameter), resembling post-necrotic cirrhosis.
• The nodules of the liver due to their fat content are tawny-yellow.
• The surface of liver in alcoholic cirrhosis is studded with diffuse nodules which
vary little in size, producing hobnail liver.
• On cut section, spheroidal or angular nodules of fibrous septa are seen.
Microscopically,
i) Nodular pattern: nodule formation occurs
ii) Fibrous septa become dense.
iii) Hepatic parenchyma: The hepatocytes in the islands of surviving parenchyma
undergo slow proliferation forming regenerative nodules having disorganised
masses of hepatocytes. The hepatic parenchyma within the nodules shows extensive
fatty change early in the disease
iv) Necrosis, inflammation and bile duct proliferation:
LABORATORY DIAGNOSIS
1. Elevated transaminases; increase in SGOT (AST) is more than that of SGPT (ALT).
2. Rise in serum Gamma-glutamyl transpeptidase (Gamma-GT).
3. Elevation in serum alkaline phosphatase.
4. Hyperbilirubinaemia.
5. Hypoproteinaemia with reversal of albumin-globulin ratio.
6. Prolonged prothrombin time and partial thromboplastin time.
7. Anaemia.
8. Neutrophilic leucocytosis in alcoholic hepatitis and in secondary infections
Thank you

Cholecytitis pathology gall bladder.pptx

  • 1.
  • 2.
     Cholecystitis orinflammation of the gallbladder may be acute, chronic, or acute superimposed on chronic.  Chronic cholecystitis is more common  Acute cholecystitis is a surgical emergency.
  • 3.
    ACUTE CHOLECYSTITIS ETIOPATHOGENESIS Acute calculouscholecystitis In 90% of cases, it is caused by obstruction in the neck of the gallbladder or in the cystic duct by a gallstone. The commonest location of impaction of a gallstone is in Hartmann’s pouch. secondary bacterial infection by E. coli and Streptococcus faecalis. Acute acalculous cholecystitis The remaining 10% cases of acute cholecystitis do not contain gallstones. previous nonbiliary surgery, multiple injuries, burns, recent childbirth, severe sepsis, dehydration, torsion of the gallbladder and diabetes mellitus. Rare causes include primary bacterial infection like salmonellosis and cholera and parasitic infestations.
  • 4.
    MORPHOLOGIC FEATURES Except forthe presence or absence of calculi, the two forms of acute chole cystitis are morphologically similar. Grossly, The gallbladder is distended and tense. The serosal surface is coated with fibrinous exudate with congestion and haemorrhages. The mucosa is bright red. The lumen is filled with pus mixed with green bile.
  • 5.
    In calculous cholecystitis,a stone may get impacted in the neck or in the cystic duct. When obstruction of the cystic duct is complete, the lumen is filled with purulent exudate and the condition is known as empyema of the gallbladder. Microscopically,  Wall of the gallbladder shows marked inflammatory oedema, congestion and neutrophilic exudate.  There may be frank abscesses in the wall and gangrenous necrosis with rupture into the peritoneal cavity (gangrenous cholecystitis).
  • 6.
    CHRONIC CHOLECYSTITIS Chronic cholecystitisis the commonest type of clinical gallbladder disease. There is almost constant association of chronic cholecystitis with cholelithiasis ETIOPATHOGENESIS The association of chronic cholecystitis with mixed and combined gallstones is virtually always present.
  • 8.
    MORPHOLOGIC FEATURES Grossly, The gallbladderis generally contracted but may be normal or enlarged. The wall of the gallbladder is thickened which on cut section is grey-white due to dense fibrosis or may be even calcified. The mucosal folds may be intact, thickened, or flattened and atrophied. The lumen commonly contains multiple mixed stones or a combined stone.
  • 9.
    Histologically, 1. Thickened andcongested mucosa but occasionally mucosa may be totally destroyed. 2. Penetration of the mucosa deep into the wall of the gallbladder up to muscularis layer to form Rokitansky-Aschoff ’sinuses. 3. Variable degree of chronic inflammatory reaction, consisting of lymphocytes, plasma cells and macrophages, present in the lamina propria and subserosal layer. 4. Variable degree of fibrosis in the subserosal and subepithelial layers.
  • 11.
    CLINICAL FEATURES • Chroniccholecystitis has ill-defined and vague symptoms. Generally, the patient—a fat, fertile, female of forty or fifty, presents with abdominal distension or gastric discomfort, especially after a fatty meal. • Acute cholecystitis severe pain in the upper abdomen with features of peritoneal irritation such as guarding and hyperaesthesia. The gallbladder is tender and may be palpable. Fever, leucocytosis with neutrophilia and slight jaundice are generally present.
  • 12.
  • 13.
    PYOGENIC LIVER ABSCESS Mostliver abscesses are of bacterial (pyogenic) origin ETIOLOGY 1. Ascending cholangitis- gallstones, cancer, sclerosing cholangitis and biliary strictures 2. Portal pyaemia- appendicitis, empyema of gallbladder, diverticulitis, regional enteritis, pancreatitis, 3. Septicaemia through spread by hepatic artery. 4. Direct infection resulting in solitary liver abscess e.g. from adjacent perinephric abscess, secondary infection in amoebic liver abscess
  • 14.
    5. Iatrogenic causesinclude liver biopsy, percutaneous biliary drainage and accidental surgical trauma. 6. Cryptogenic from unknown causes, especially in the elderly. The commonest infecting organisms are gram-negative bacteria chiefly E. coli; others are Pseudomonas, Klebsiella, Enterobacter and a number of anaerobic organisms, bacteroides and actinomyces
  • 15.
    MORPHOLOGIC FEATURES Grossly, Depending uponthe cause for pyogenic liver abscess, They occur as single or multiple yellow abscesses, 1 cm or more in diameter, in an enlarged liver. A single abscess generally has a thick fibrous capsule. The abscesses are particularly common in right lobe of the liver
  • 16.
    Microscopically, Typical features ofabscess are seen. There are multiple small neutrophilic abscesses with areas of extensive necrosis of the affected liver parenchyma. The adjacent viable area shows pus and blood clots in the portal vein, inflammation, congestion and proliferating fibroblasts. Direct extension from the liver may lead to subphrenic or pleuro-pulmonary suppuration or peritonitis.
  • 18.
    AMOEBIC LIVER ABSCESS •Amoebic liver abscesses are less common • They are caused by the spread of Entamoeba histolytica from intestinal lesions. • Intermittent low-grade fever, pain and tenderness in the liver area. • A positive haemagglutination test.
  • 19.
    MORPHOLOGIC FEATURES Grossly, Amoebic liverabscesses are usually solitary and More often located in the right lobe in the posterosuperior portion. Amoebic liver abscess may vary greatly in size but is generally of the size of an orange. The centre of the abscess contains large necrotic area having reddish-brown, thick pus resembling anchovy or chocolate sauce. The abscess wall consists of irregular shreds of necrotic liver tissue
  • 20.
    Histologically, • The necroticarea consists of degenerated liver cells, leucocytes, red blood cells, strands of connective tissue and debris. • Amoebae are most easily found in the liver tissue at the margin of abscess. • Pas-staining is employed to confirm the trophozoites of E. histolytica.
  • 22.
  • 23.
    Cirrhosis of theliver is one of the ten leading causes of death in the Western world. It represents the irreversible end-stage of several diffuse diseases causing hepatocellular injury and is characterised by the following 4 features: 1. It involves the entire liver. 2. The normal lobular architecture of hepatic parenchyma is disorganised. 3. There is formation of nodules separated from one another by irregular bands of fibrosis. 4. It occurs following hepatocellular necrosis of varying etiology so that there are alternate areas of necrosis and regenerative nodules
  • 24.
    PATHOGENESIS FIBROGENESIS Continued destructionof hepatocytes causes collapse of normal lobular hepatic parenchyma followed by fibrosis around necrotic liver cells. Fibrosis in the liver lobules may be portal-central, portal-portal, or both. REGENERATIVE NODULES The surviving hepatocytes act as stimulants for growth and proliferation of more hepatocytes under influence of growth factors VASCULAR REORGANISATION Due to damaged hepatic parenchyma and formation of fibrous nodules, the new vessels formed in the fibrous septa are connected to the vessels in the portal triad (i.e. branches of hepatic artery and portal vein) and then the blood is drained into hepatic vein.
  • 26.
    ALCOHOLIC LIVER DISEASEAND CIRRHOSIS There are three sequential stages in alcoholic liver disease: alcoholic steatosis (fatty liver), alcoholic hepatitis and alcoholic cirrhosis RISK FACTORS 1. Drinking patterns 2. Gender 3. Malnutrition 4. Infections 5. Genetic factors 6. Hepatitis B and C infection
  • 28.
    MORPHOLOGIC FEATURES 1. ALCOHOLICSTEATOSIS (FATTY LIVER) Grossly, the liver is enlarged, yellow, greasy and firm with a smooth and glistening capsule. Microscopically, • The features consist of initial microvesicular droplets of fat in the hepatocyte cytoplasm followed by more common and pronounced feature of macrovesicular large droplets of fat displacing the nucleus to the periphery. • Fat cysts may develop due to coalescence and rupture of fat-containing hepatocytes. • Less often, lipogranulomas consisting of collection of lymphocytes, macrophages and some multinucleate giant cells may be found.
  • 30.
    2. ALCOHOLIC HEPATITISAlcoholic hepatitis develops acutely, usually following a bout of heavy drinking. Repeated episodes of alcoholic hepatitis super imposed on pre- existing fatty liver are almost certainly a forerunner of alcoholic cirrhosis. Histologically i) Hepatocellular necrosis ii) Mallory bodies or alcoholic hyalin: These are eosinophilic, intracytoplasmic inclusions seen in perinuclear location within swollen and ballooned hepatocytes. iii) Inflammatory response iv) Fibrosis: pericellular and perivenular fibrosis, producing a web-like or chickenwire-like appearance. This is also termed as creeping collagenosis.
  • 32.
    3. ALCOHOLIC CIRRHOSISAlcoholic cirrhosis is the most common form of lesion, constituting 60-70% of all cases of cirrhosis. Grossly, • Begins as micronodular cirrhosis (nodules less than 3 mm diameter), the liver being large, fatty and weighing usually above 2 kg . • Eventually over a span of years, the liver shrinks to less than 1 kg in weight, becomes non-fatty, having macronodular cirrhosis (nodules larger than 3 mm in diameter), resembling post-necrotic cirrhosis.
  • 33.
    • The nodulesof the liver due to their fat content are tawny-yellow. • The surface of liver in alcoholic cirrhosis is studded with diffuse nodules which vary little in size, producing hobnail liver. • On cut section, spheroidal or angular nodules of fibrous septa are seen.
  • 34.
    Microscopically, i) Nodular pattern:nodule formation occurs ii) Fibrous septa become dense. iii) Hepatic parenchyma: The hepatocytes in the islands of surviving parenchyma undergo slow proliferation forming regenerative nodules having disorganised masses of hepatocytes. The hepatic parenchyma within the nodules shows extensive fatty change early in the disease iv) Necrosis, inflammation and bile duct proliferation:
  • 36.
    LABORATORY DIAGNOSIS 1. Elevatedtransaminases; increase in SGOT (AST) is more than that of SGPT (ALT). 2. Rise in serum Gamma-glutamyl transpeptidase (Gamma-GT). 3. Elevation in serum alkaline phosphatase. 4. Hyperbilirubinaemia. 5. Hypoproteinaemia with reversal of albumin-globulin ratio. 6. Prolonged prothrombin time and partial thromboplastin time. 7. Anaemia. 8. Neutrophilic leucocytosis in alcoholic hepatitis and in secondary infections
  • 37.