Gastritis
Mr. Shashi Prakash
M.Sc. Nursing II Year
What is gastritis?
 A symptom complex
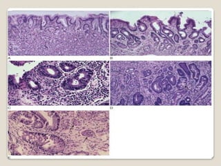
 Endoscopic appearance of the stomach
 Microscopic inflammation of the stomach
Plan
 What Is a Gastritis?
 What Causes Gastritis?
 Symptoms of Gastritis?
 Helping with diagnosis…
 Medical Management
 Prognosis of Gastritis
What is
gastritis???
Gastritis is an inflammation of the
lining of the stomach, which
ultimately interfere with acid and
pepsin secretion.
Gastritis: definitions
 Gastritis: inflammation associated with
epithelial cell damage and regeneration
 Gastropathy: mucosal injury without
inflammation
 Atrophy: loss of normal mucosal glands
 Metaplasia: change in epithelial cell types
Incidence:
 The incidence of gastritis is highest in the
fifth and sixth decades of life; men are
more frequently affected than women.
The incidence is greater in clients who
are heavy drinkers and smokers.
Factors that cause
temporary acute
gastritis
 Alcoholism
 Smoking
 Stressful physical
problems
-burns
-major surgery
-food allergens
 Presence of viral,
bacterial, or chemical
toxins.
 Radiation therapy
Due to any cause
↓
This barrier is penetrated
↓
Hydrochloric acid comes into contact with the mucosa
↓
Injury to small vessels
↓
Edema, hemorrhage, and possible ulcer formation
Pathophysiology
The mucosal lining of the stomach normally protects it from the
action of gastric acid. This mucosal barrier is composed of
prostaglandins.
Acute manifestations….
 Fever
 Epigastric pain
 Nausea
 Vomiting
 Headache
 Coating of the tongue
 Loss of appetite.
Helping with diagnosis..
 Diagnosis is based on a detailed history of food
intake, medications taken, and any disorder
related to gastritis.
 Test stool for occult blood
 WBC differential increase related to certain
bacteria.
 Evaluating serum electrolytes
 Elevated hematocrit related to dehydration
 The physician may also perform a gastroscopic
examination with endoscopy.
 Histological examination by biopsy of a sample.
Medical Management
 Antiemetics (prevent
vomiting and nausea)
such as
- prochlorperazine
(Compazine)
- trimethobenzamide
(Tigan)
 Antacids and cimetidine
(Tagamet) or ranitidine
(Zantac) may be given in
combination
 Antibiotics are given if
cause is a bacterial agent.
 IV for fluid and
electrolyte imbalance
 GI bleeding from
hemorrhagic gastritis
require fluid and blood
replacement and
nasogastric lavage
Diet Therapy
 Initially foods and fluids are withheld until
nausea and vomiting subside.
 Once the client tolerates food, the diet
includes decaffeinated tea, gelatin, toast,
and simple bland foods.
 The client should avoid spicy foods, caffeine
and large, heavy meals.
 In the continued absence of nausea,
vomiting and bloating, the client can slowly
return to a normal diet.
What’s a nurse to do??
 Keep pt. NPO or on
restricted food and
fluids as ordered, and
advance as tolerated
 Monitor electrolyte
imbalance
 Maintain IV
 Record I&O
 Because of the many classifications and causes,
prognosis is variable
 Generally prognosis is good if patient is willing to
change their lifestyles and follow a medical regimen.
prognosis
Chronic gastritis
 H. pylori has been found in 90% of
patients with chronic gastritis, 95% with
 duodenal ulcer disease, 70% with gastric
ulcer, and 50% with gastric carcinoma
Definition -Chronic gastritis is defined as the presence of chronic
inflammatory changes in the mucosa leading eventually to
mucosal atrophy & epithelial metaplasia.
The two main features of this disease are infiltration of the lamina
propria by inflammatory cells and atrophy of the glandular
epithelium.
Classification
 Chronic gastritis ABC
 A- Autoimmune (Less then 10%)
 B – Bacterial (Helicobacter 90%)
 C Chemical
Chronic gastritis also classified according to the predominat
site involvement
Type A – Body predominat (Autoimmune)
Type –B Antral Predominat ( h. pylori related// Non immune
gastritis)
1)Superficial gastritis, which causes a reddened, edematous
mucosa with small erosions and hemorrhages.
2)Atrophic gastritis, which occurs in all layers of the
stomach, develops frequently in association with gastric
ulcer and gastric cancer, and is invariably present in
pernicious anemia; it is characterized by a decreased
number of parietal and chief cells.
3)Hypertrophic gastritis, which produces a dull and nodular
mucosa with irregular, thickened, or nodular rugae;
hemorrhages occur frequently.
Chronicgastritis occurs in 3 different forms
 Peptic Ulcer Disease (PUD), infection with
Halicobacter pylori bacteria or gastric surgery
may lead to chronic gastritis.
 After gastric resection with a gastro-
jejunostomy, bile and bile acids may reflux into
the remaining stomach, causing gastritis.
 H.Pylori infection can lead to chronic atrophic
gastritis.
 Age is also a risk factor; chronic gastritis is more
common in older adults.
Etiological Factor
The stomach lining first becomes thickened and
erythematous and then becomes thin and atrophic.
↓
Continued deterioration and atrophy
↓
Loss of function of the parietal cells
↓
Acid secretion decreases
↓
Inability to absorb vitamin B12
↓
Development of pernicious anemia
Pathophysiology
Manifestations are vague and may be absent because
the problem does not cause an increase in hydrochloric
acid.
Assessment may reveal
 Anorexia
 Feeling of fullness
 Dyspepsia
 Belching
 Vague epigastric pain
 Nausea
 Vomiting
 Intolerance of spicy and fatty foods
Clinical Manifestation
Bleeding
Pernicious anemia
Gastriccancer
Complication
 Discomfort may lessen with a bland diet, small frequent
meals, antacids, H2 receptor antagonists, proton pump
inhibitors, and avoidance of food that cause
manifestations.
 If H.pylori bacteria are present, anti-biotics and other
medications are administered to eliminate the bacteria.
 If 1 week of this regimen does not succeed in eliminating
the bacteria, the regimen may be repeated for an
additional week.
 If pernicious anemia develops, intramuscular injections
of vitamin B12 may be administered monthly for the
remainder of the client’s life.
Medical Management
Nursing Diagnosis:
1)Acute pain related to irritated stomach mucosa.
2)Imbalanced nutrition, less than body requirement,
related to inadequate intake of nutrition.
3)Risk for imbalanced fluid volume related to
insufficient fluid intake and excessive fluid loss
subsequent to vomiting.
4)Anxiety related to treatment.
5)Deficient knowledge about dietary management
and disease process.
Nursing Management
Question 1:
The pt. with chronic gastritis is being put on a
combination of medications to eradicate H. Pylori.
Which drugs dose the nurse know will probably be
used for this pt.?
I. Antibiotic, antacid, and corticosteroid
II. Antibiotic, aspirin, and antiulcer/protectant
III. Antibiotic, proton pump inhibitor, and bismuth
IV. Antibiotic, and NSAIDs
To eradicate H. Pylori, a combination of
the above will be used.
The pt. with chronic gastritis is being put on a
combination of medications to eradicate H. Pylori.
Which drugs dose the nurse know will probably be
used for this pt.?
I. Antibiotic, antacid, and corticosteroid
II. Antibiotic, aspirin, and antiulcer/protectant
III. Antibiotic, proton pump inhibitor, and bismuth
IV. Antibiotic, and NSAIDs
Question 2:
The nurse is caring for a pt w/ a dx of chronic
gastritis. The nurse monitors the client, knowing
that this pt. is at risk for which vitamin deficiency?
I. A
II. B12
III. C
IV. E
Vitamin B12
Chronic gastritis causes deterioration and atrophy
of the lining of the stomach, leading to the loss of
function of the parietal cells. The source of intrinsic
factor is lost, which results in an inability to absorb
vit B12. This leads to the development of pernicious
anemia.
Question 3:
The pernicious anemia that may accompany
gastritis is due to which of the following?
a) chronic autoimmune destruction of cobalamin
stores in the body
b) progressive gastric atrophy from chronic
breakage in the mucosal barrier and blood loss
c) a lack of intrinsic factor normally produced by
acid-secreting cells of the gastric mucosa
d) hyperchlorhydria resulting from an increase in
acid-secreting parietal cells and degradation of
RBCs
c) a lack of intrinsic factor normally produced
by acid-secreting cells of the gastric mucosa
Gastritis may cause a loss of parietal cells as a
result of atrophy. The source of intrinsic factor is
also lost; intrinsic factor is essential for the
absorption of cobalamin in the terminal ileum
which can result in cobalamin deficiency when
lost. With time, the body's storage of cobalamin is
depleted, and a deficiency state exists. Because it
is essential for the growth and maturation of red
blood cells, the lack of cobalamin results in
pernicious anemia and neurologic complications.
Gastritis
• There is not a close relationship between
clinical symptoms and histologic gastritis
• Although gastritis may not produce
symptoms, its complications do.
Gastritis: correlation of
endoscopic and histologic
findings
 98 patients with endoscopic mucosal
changes attributed to gastritis: 27 had
normal biopsy
 69 patients with normal endoscopic
appearance: 63% had histologic evidence
of gastritis
 Interobserver variability for some features
of
gastritis(Gastrointest Endosc 1995;42:420)
Chronic nonspecific Gastritis
classification
• Nonatrophic- type B
• atrophic - type A
 H. pylori
 Antrum > corpus
 Diffuse antral predominant
gastritis
 AUTOIMMUNE (body, fundus)
– Diffuse corporal atrophic gastritis
– Autoimmune metaplastic atrophic
gastritis
 MULTIFOCAL (H. pylori, antrum
 = corpus)
– Multifocal atrophic gastritis
Chronic nonspecific gastritis
Natural history of H pylori
H. Pylori gastritis
• Acute
• Chronic
– Antral predominant gastritis, also called
type B, nonatrophic, diffuse antral
predominant gastritis
– Atrophic gastritis, also called type A,
multifocal atrophic gastritis, metaplastic
atrophic gastritis
Clinical significance of H pylori
gastritis
• Acute
– May be symptomatic with epigastric pain, nausea and
vomiting
• Antral predominant gastritis
– Duodenal ulcer
• Atrophic gastritis
– Intestinal metaplasia
– Gastric ulcer
– Gastric adenocarcinoma
Where to biopsy for H.
pylori
• 2 from antrum
• 2 from gastric body
• 1 from incisura: site most likely to show
atrophic gastritis and premalignant
dysplasia
Where to biopsy for H. pylori
Endoscopic findings of H.
pylori
• No distinct endoscopic
pattern
• Normal
• Red streaks in antrum
• Erosions and ulcerations
• Hypertrophy, atrophy
Autoimmune metaplastic
atrophic gastritis
• Immune response directed against parietal
cells and intrinsic factor
• 3x more common in women
• Autosomal dominant disorder
• Northern European
• Associated with other autoimmune
disorders: Hashimotos thyroiditis and
vitiligo
Autoimmune metaplastic atrophic
gastritis: endoscopic findings
• Appearance of multiple polyps
• Absent or inconspicous rugae in
body and fundus
• Submucosal blood vessels visible
through thin atrophic overlying
mucosa
• Usually no antral involvement
Chronic atrophic gastritis associated with
pernicious anemia, fundus
Intestinal metaplasia
• Eventually atrophic glands are replaced
by metaplastic epithelium
• H. pylori: Intestinal metaplasia develops
at a rate of 1-2% per annum to yield a
lifetime risk of 50-75%
Patchy intestinal metaplasia, paler than surrounding
mucosa, in the antrum of 52 year old woman with
dyspepsia. Test for H. pylori was positive
Intestinal metaplasia of the gastric
antrum
H. Pylori and peptic ulcer
disease
• Gastritis is found in virtually all patients
infected with H. pylori
• In the United States, 80% of pts with DU and
60% with GU are associated with H. pylori
• Fewer than 20% of people with H. p ever
develop PUD
• H. p. Rx with antibiotics dramatically
decreases ulcer recurrance rate
Gastric adenocarcinoma
Gastritis and gastric
cancer
• Adenocarcinoma
– H pylori
– autoimmune
• MALT: H. pylori
• Carcinoid: autoimmune
Gastritis and gastric cancer: H
pylori and adenocarcinoma
• 2nd most common cancer worldwide
• in US: 8th cancer related mortality in men and 10th in
women
• Decreased incidence of gastric adenocarcinoma in western
populations parallels decrease in prevalence of H pylori
• H pylori infected individuals have 2-10x increased incidence
of gastric cancer
• 36 and 47% of all gastric cancers in developed and
developing countries respectively are attributable to H pylori
• Multifactorial
H. Pylori and Gastric
adenocarcinoma
Chronic gastritis and gastric
adenocarcinoma
• Increased risk with intestinal
metaplasia; not known if cancer arises
from intestinal metaplasia or whether it
represents a marker of increased risk
• Autoimmune gastritis: 3-18x increased
risk of gastric adenocarcinoma
Gastritis and gastric cancer
MALToma
• Low grade B cell lymphoma
• Mucosal associated lymphoid tissue
MALToma
• associated with chronic H. pylori infection in more
than 90% of cases
• Primary gastric lymphoma accounts for 3% of
gastric neoplasms and 10% of lymphomas
• 50% of gastric lymphomas are MALT
• H. pylori induces mucosal inflammatory reaction,
lymphoid follicles -> B cell monoclonal cells ->
autonomous uncontrolled growth
• Gastric MALToma: dense monotonous
lymphoid infiltrate in the lamina propria
Autoimmune gastritis and
carcinoid tumors
• Loss of parietal cell mass - >
hypochlorhydria -> G cell hyperplasia
and hypergastrinemia -> chronic
stimulation of enterochromaffin like cells
by gastrin
Gastric carcinoid
What to do about gastric cancer
and gastritis: look for H
pylori ?
Unknown if treatment for H pylori decreases
risk of gastric cancer
•Studies are difficult because of long cancer
development process that may take several
decades
What to do about gastritis and
gastric cancer: look for H
pylori ?
• some studies show improvement in inflammation and intestinal
metaplasia
• 2 studies show improvement in gastritis and superficial
epithelial damage but no improvement in intestinal metaplasia
or atrophy
• 1 study from China: healthy H. pylori carriers, treated and
followed for 7.5 years. No overall decrease in gastric cancer.
Subgroup of patients with no precancerous lesions on
presentation did have decreased gastric cancer risk. (JAMA
2004;291:187)
What to do about gastritis and
cancer risk: look for
H. pylori
• If you find H. pylori: eradication should be
considered because it is a carcinogen
(ASGE)
• Insufficient evidence to recommend
screening asymptomatic patients for H.
pylori to prevent gastric cancer (up to date)
• Consider testing first degree relatives of
patients with noncardia gastric cancer (Mayo)
What to do about gastritis and cancer
risk: surveillance scope for dysplasia or
cancer?
ASGE guidelines
• Pernicious anemia: Single endoscopy should be
performed to identify carcinoid and gastric cancer
• Endoscopic surveillance of gastric intestinal
metaplasia has not been extensively studied in the
United states and therefore cannot be uniformly
recommended
• Patients at increased risk for gastric cancer due to
ethnic background or family history may benefit
from surveillance
What to do about gastritis and
cancer risk:
dysplasia
• Low grade dysplasia: surveillance EGD
every 3 months for at least 1 year with
topographic mapping biopsy strategy
• High grade dysplasia: consider
endoscopic resection or gastrectomy
MALToma
• H. pylori therapy is useful in patients
with localized, mucosal or submucosal,
nonbulky, flat disease (without
metastasis, LN, or diffuse large B cell
lymphoma)
• Only 10% of lymphoma patients
• 50-90% complete remission
Infectious gastritis:CMV
• Immunocompromised patient
• Epigastric pain, fever, atypical
lymphocytosis
• Endoscopic findings: congested,
edematous mucosa, erosions,
ulcerations, nodular mucosa
CMV gastritis
• Cytomegalic cells
with intranuclear
and intracytoplasmic
inclusions of
cytomegalovirus
CMV gastritis: pathology
Granulomatous gastritis: Crohn’s
disease
• Crohns disease of the stomach is uncommon
• Almost always associated with intestinal
disease
• Nausea, vomiting, epigastric pain, anorexia
and weight loss
• Endoscopy: reddened mucosa, irregularly
shaped ulcers, erosions, nodular lesions and
cobblestone pattern
Crohn’s gastritis
• Severe nodular
gastritis in 18 year
old male with crohns
disease
Gastropathy
• Hemorrhagic or erosive lesions
• Caused by irritants such as medications
or reduction in mucosal blood flow
• NSAIDs, alcohol, trauma, sepsis
• Disruption of normal protective barrier:
mucin, bicarbonate, epithelium, PG
Gastropathy
• Endoscopic findings
– Acute: may be diffuse (NSAIDs and
alcohol) or confined to body and fundus
(stress)
– Chronic: usually antrum
NSAID gastropathy
NSAID gastropathy
Gastropathy
• Pathology:
– Acute: subtle changes
– Chronic: foveolar hyperplasia, edema,
increased smooth muscle fibers, vascular
dilatation and congestion
– Few inflammatory cells
Foveolar hyperplasia
• Tortuous, corkscrew
appearance
• Marker of increased
epithelial cell
turnover
• Chemical injury and
H pylori gastritis
Bile reflux gastropathy
• Often occurs after gastric
surgery
• Asymptomatic or
abdominal pain, emesis
and weight loss
• Erosions, redness, bile
staining of gastric
mucosa
• Treatment: sulcralfate,
ursodeoxycholic acid,
surgery
Thank you for attention
Quiz
Question 1:
1. "Which of the following types of gastritis
is associated with Helicobacter pylori and
duodenal ulcers?
 A. Erosive (hemorrhagic) gastritis
 B. Fundic gland gastritis (type A)
 C. Antral gland gastritis (type B)
 D. Aspiring-induced gastric ulcer
C. Antral gland gastritis (type B)
Erosive (hemorrhagic) gastritis can be caused by
ingestion of substances that irritate the gastric
mucosa. Fundic gland gastritis (type A) is
associated with diffuse severe mucosal atrophy
and the presence of pernicious anemia. Antral
gland gastritis (type B) is the most common form
of gastritis, and is associated with Helicobacter
pylori and duodenal ulcers
Question 2:
 2. The nurse is assessing the client
diagnosed with chronic gastritis. Which
symptom(s) support this diagnosis?
A. Rapid onset of midsternal discomfort
B. Epigastric pain relieved by eating food
C. Dyspepsia and hematemesis
D. Nausea and projectile vomiting
B. Epigastric pain relieved by
eating food
 Chronic pain in the epigastric area
relieved by ingesting food is a sign of
chronic gastritis
Question 3:
3. "The nurse is caring for the client
diagnosed with chronic gastritis. Which
symptom(s) would support this diagnosis?
 A. Rapid onset of mid-sternal discomfort.
 B. Epigastric pain relieved by eating food
 C. Dyspepsia and hematemesis.
 D. Nausea and projectile vomiting
 A. Acute gastritis is characterized by
sudden epigastric pain or discomfort, not
mid-sternal chest pain.
 B. Chronic pain in the epigastric area that
is relieved by ingesting food is a sign of
chronic gastritis (CORRECT).
 C. Dyspepsia (heartburn) and
hematemesis (vomiting blood) are
frequent symptoms of acute gastritis.
 D. Projective vomiting is not a sign of
chronic gastritis
Question 4:
4. A male client is diagnosed with acute
gastritis secondary to alcoholism and
cirrhosis. When obtaining the client's
history, the nurse gives priority to the
client's statement that:
A. His pain increases after meals.
B. He experiences nausea frequently.
C. His stools have a black appearance.
D. He recently joined Alcoholics Anonymous
A. Investigation of bleeding takes priority
later the nurse should help to identify
irritating foods that are to be avoided.
B. Nausea is a common symptom of
gastritis, but it is not life threatening.
C. Black (tarry) stools indicate upper GI
bleeding digestive enzymes act on the
blood resulting in tarry stools. Hemorrhage
can occur if erosion extends to blood
vessels.
D. Attempts to control alcoholism should be
supported but this is a long-term goal
assessment of bleeding takes priority
Question 5:
5. The nurse is reviewing the medication
record of a female client with acute
gastritis. Which medication, if noted on the
client's record, would the nurse question?
 A. Digoxin (Lanoxin)
 B. Furosemide (Lasix)
 C. Indomethacin (Indocin)
 D. Propranolol hydrochloride (Inderal)
Indomethacin (Indocin) is a nonsteroidal
anti-inflammatory drug and can cause
ulceration of the esophagus, stomach, or
small intestine. Indomethacin is
contraindicated in a client with
gastrointestinal disorders.
Furosemide (Lasix) is a loop diuretic.
Digoxin is a cardiac medication. Propranolol
(Inderal) is a β-adrenergic blocker.
Furosemide, digoxin, and propranolol are
not contraindicated in clients with gastric
disorders
Question 6:
6. Which of the following definitions best
describes gastritis?
A. Erosion of the gastric mucosa
B. Inflammation of a diverticulum
C. Inflammation of the gastric mucosa
D. Reflux of stomach acid into the
esophagus
 Gastritis is an inflammation of the gastric
mucosa that may be acute (often
resulting from exposure to local irritants)
or chronic (associated with autoimmune
infections or atrophic disorders of the
stomach).
 Erosion of the mucosa results in
ulceration. Inflammation of a diverticulum
is called diverticulitis; reflux of stomach
acid is known as gastroesophageal
disease.
Question 7:
7. Which of the following substances is
most likely to cause gastritis?
 A. Milk
 B. Bicarbonate of soda, or baking soda
 C. Enteric coated aspirin
 D. Nonsteriodal anti-inflammatory drugs
 NSAIDS are a common cause of gastritis
because they inhibit prostaglandin synthesis.
 Milk, once thought to help gastritis, has little
effect on the stomach mucosa. Bicarbonate of
soda, or baking soda, may be used to neutralize
stomach acid, but it should be used cautiously
because it may lead to metabolic acidosis.
 ASA with enteric coating shouldn't contribute
significantly to gastritis because the coating
limits the aspirin's effect on the gastric mucosa.
Revision of topic
 Inflammation of the stomach lining is
known as... Gastritis
 Gastritis can be either
Scattered or Localized
 Gastritis can be erosive meaning...
Causes ulcers or nonerosive.
 Name the two types of Gastritis
Acute and Chronic
 Describe acute gastritis...
Inflammation occurs after exposure to local
irritants. Patho manifestations include thick,
reddened mucous membrane with
prominent rugae, folds.
Complete regeneration and healing take
place within a few days. If the muscle is
affected hemorrhage may occur during an
episode
 Describe chronic gastritis...
Appears as patchy, spread out inflammation
of the stomach lining. Gastric atrophy
occurs with progression and the source of
intrinsic factor is lost. (critical for Vitamin
B12 production) Leads to Pernicious anemia
(depletion of vit B12)
 Chronic gastritis is associated with an
increased risk for...
Gastric cancer
 Chronic gastritis is characterized by 3
types...
Type A (nonerosive), Type B, and Atrophic
gastritis
 Define type A chronic gastritis...
Inflammation of the glands, fundus, and
body of the stomach.
 Define type B chronic gastritis...
Affects the glands of the antrum, but may
involve the entire stomach.
 Define Atrophic chronic gastritis...
Diffuse inflammation and destruction of
deeply located glands accompany this
condition. Affects all layers of the stomach
and decreases the # of cells. Can lead to
PUD and gastric cancer.
 People are at risk for developing acute
gastritis if
They become infected with H. pylori or
another type of infectious agent. If they
suffer from immunosuppressive disorder
(AIDS). Long term NSAID use, alcohol,
caffeine, corticosteroids, local irritation
from radiation therapy, ingestion of
corrosive substances, emotional stress, and
acute anxiety.
 Type A chronic gastritis is caused by...
An autoimmune disorder r/t pernicious
anemia
 Type B chronic gastritis is caused by...
H. pylori infection, Crohn's disease, Graft vs
Host disease, and uremia.
 Atrophic gastritis is caused by...
Being exposed to toxic substances
(benzene, lead, nickel) or H pylori infection,
also r/t autoimmune factors. (Seen in older
adults).
 To prevent gastritis eat a...
Well-balanced diet.
 To prevent gastritis avoid...
Coffee, tea, caffeine, chocolate, mustard,
pepper, hot spices, alcohol and tobacco.
Contaminated food/water.
 To prevent gastritis use caution when...
Taking large doses of NSAIDS (ibuprofen),
aspirin, corticosteroids.
 Regular exercise maintains...
peristalsis which helps prevent gastric
content from irritating the gastric mucosa.
 Stress reduction techniques include...
aerobic exercise, meditation, reading, yoga,
psychotherapy
 Aspirin/NSAID related gastritis may result
in
Dyspepsia (Heartburn)
 S/S of acute gastritis...
Range from mild to severe with a rapid
onset. Epigastric pain, anorexia, N/V,
cramping... Only last a few hours or days
and vary with cause. Assess for abdominal
tenderness, bloating, hematemesis, or
melena.
 Food poisoning caused by endotoxins has
an...
Abrupt onset, severe N/V occurs within 5
hours of ingestion... Can lead to gastric
hemorrhage (Life-Threatening)
 S/S of chronic gastritis...
Few unless ulcerations occur. N/V, upper
abdominal discomfort, Periodic epigastric
pain after meals (pain relieved with food),
intolerance of fatty/spicy foods, pernicious
anemia.
 Lab test that detect gastritis are
Blood test that detects for H. pylori
antibodies and breath (C13 Urea Breath
test) and stool analyses.
 Diagnostic tests to detect gastritis are
Esophagogastroduodenoscopy (EGD) GOLD
STANDARD for diagnosing gastritis.
 Medications used to treat gastritis are
H2 receptors, antacids, PPIs...
 List some examples of H2 receptor
antagonist medications and how they help
to treat gastritis...
 ranitidine (Zantac) famotidine (Pepcid)
nizatidine (Axid) are used to block gastric
secretions.
 What is Sucralfate (Carafate)
It is a mucosal barrier fortifier.
 What are antacids used for and name
some types...
 Are used as buffering agents and include
maalox and mylanta.
 Antisecretory agents (PPIs) are used for
what and give some examples
May be used to suppress gastric acid
secretion. Examples include omeprazole
(Prilosec) and esomeprazole
 Chronic gastritis may require...
Vitamin B12 for prevention/treatment of
pernicious anemia
 Nonsurgical interventions for gastritis
include: Decrease stress and discomfort
with progressive relaxation, cutaneous
stimulation, guided imagery, and
distraction.
 Commonly used CAM therapies for
gastritis involve the...Use of herbs and
vitamins as well as homeopathy cures.
 Surgical management associated with
gastritis are Partial gastrectomy,
pyloroplasty, vagotomy, total gastrectomy.

Topic: Gastritis Nursing Lecture ppt.ppt

  • 1.
  • 2.
    What is gastritis? A symptom complex  Endoscopic appearance of the stomach  Microscopic inflammation of the stomach
  • 3.
    Plan  What Isa Gastritis?  What Causes Gastritis?  Symptoms of Gastritis?  Helping with diagnosis…  Medical Management  Prognosis of Gastritis
  • 4.
    What is gastritis??? Gastritis isan inflammation of the lining of the stomach, which ultimately interfere with acid and pepsin secretion.
  • 5.
    Gastritis: definitions  Gastritis:inflammation associated with epithelial cell damage and regeneration  Gastropathy: mucosal injury without inflammation  Atrophy: loss of normal mucosal glands  Metaplasia: change in epithelial cell types
  • 6.
    Incidence:  The incidenceof gastritis is highest in the fifth and sixth decades of life; men are more frequently affected than women. The incidence is greater in clients who are heavy drinkers and smokers.
  • 7.
    Factors that cause temporaryacute gastritis  Alcoholism  Smoking  Stressful physical problems -burns -major surgery -food allergens  Presence of viral, bacterial, or chemical toxins.  Radiation therapy
  • 8.
    Due to anycause ↓ This barrier is penetrated ↓ Hydrochloric acid comes into contact with the mucosa ↓ Injury to small vessels ↓ Edema, hemorrhage, and possible ulcer formation Pathophysiology The mucosal lining of the stomach normally protects it from the action of gastric acid. This mucosal barrier is composed of prostaglandins.
  • 9.
    Acute manifestations….  Fever Epigastric pain  Nausea  Vomiting  Headache  Coating of the tongue  Loss of appetite.
  • 10.
    Helping with diagnosis.. Diagnosis is based on a detailed history of food intake, medications taken, and any disorder related to gastritis.  Test stool for occult blood  WBC differential increase related to certain bacteria.  Evaluating serum electrolytes  Elevated hematocrit related to dehydration  The physician may also perform a gastroscopic examination with endoscopy.  Histological examination by biopsy of a sample.
  • 11.
    Medical Management  Antiemetics(prevent vomiting and nausea) such as - prochlorperazine (Compazine) - trimethobenzamide (Tigan)  Antacids and cimetidine (Tagamet) or ranitidine (Zantac) may be given in combination  Antibiotics are given if cause is a bacterial agent.  IV for fluid and electrolyte imbalance  GI bleeding from hemorrhagic gastritis require fluid and blood replacement and nasogastric lavage
  • 12.
    Diet Therapy  Initiallyfoods and fluids are withheld until nausea and vomiting subside.  Once the client tolerates food, the diet includes decaffeinated tea, gelatin, toast, and simple bland foods.  The client should avoid spicy foods, caffeine and large, heavy meals.  In the continued absence of nausea, vomiting and bloating, the client can slowly return to a normal diet.
  • 13.
    What’s a nurseto do??  Keep pt. NPO or on restricted food and fluids as ordered, and advance as tolerated  Monitor electrolyte imbalance  Maintain IV  Record I&O
  • 14.
     Because ofthe many classifications and causes, prognosis is variable  Generally prognosis is good if patient is willing to change their lifestyles and follow a medical regimen. prognosis
  • 15.
    Chronic gastritis  H.pylori has been found in 90% of patients with chronic gastritis, 95% with  duodenal ulcer disease, 70% with gastric ulcer, and 50% with gastric carcinoma Definition -Chronic gastritis is defined as the presence of chronic inflammatory changes in the mucosa leading eventually to mucosal atrophy & epithelial metaplasia. The two main features of this disease are infiltration of the lamina propria by inflammatory cells and atrophy of the glandular epithelium.
  • 16.
    Classification  Chronic gastritisABC  A- Autoimmune (Less then 10%)  B – Bacterial (Helicobacter 90%)  C Chemical Chronic gastritis also classified according to the predominat site involvement Type A – Body predominat (Autoimmune) Type –B Antral Predominat ( h. pylori related// Non immune gastritis)
  • 17.
    1)Superficial gastritis, whichcauses a reddened, edematous mucosa with small erosions and hemorrhages. 2)Atrophic gastritis, which occurs in all layers of the stomach, develops frequently in association with gastric ulcer and gastric cancer, and is invariably present in pernicious anemia; it is characterized by a decreased number of parietal and chief cells. 3)Hypertrophic gastritis, which produces a dull and nodular mucosa with irregular, thickened, or nodular rugae; hemorrhages occur frequently. Chronicgastritis occurs in 3 different forms
  • 18.
     Peptic UlcerDisease (PUD), infection with Halicobacter pylori bacteria or gastric surgery may lead to chronic gastritis.  After gastric resection with a gastro- jejunostomy, bile and bile acids may reflux into the remaining stomach, causing gastritis.  H.Pylori infection can lead to chronic atrophic gastritis.  Age is also a risk factor; chronic gastritis is more common in older adults. Etiological Factor
  • 19.
    The stomach liningfirst becomes thickened and erythematous and then becomes thin and atrophic. ↓ Continued deterioration and atrophy ↓ Loss of function of the parietal cells ↓ Acid secretion decreases ↓ Inability to absorb vitamin B12 ↓ Development of pernicious anemia Pathophysiology
  • 20.
    Manifestations are vagueand may be absent because the problem does not cause an increase in hydrochloric acid. Assessment may reveal  Anorexia  Feeling of fullness  Dyspepsia  Belching  Vague epigastric pain  Nausea  Vomiting  Intolerance of spicy and fatty foods Clinical Manifestation
  • 21.
  • 22.
     Discomfort maylessen with a bland diet, small frequent meals, antacids, H2 receptor antagonists, proton pump inhibitors, and avoidance of food that cause manifestations.  If H.pylori bacteria are present, anti-biotics and other medications are administered to eliminate the bacteria.  If 1 week of this regimen does not succeed in eliminating the bacteria, the regimen may be repeated for an additional week.  If pernicious anemia develops, intramuscular injections of vitamin B12 may be administered monthly for the remainder of the client’s life. Medical Management
  • 23.
    Nursing Diagnosis: 1)Acute painrelated to irritated stomach mucosa. 2)Imbalanced nutrition, less than body requirement, related to inadequate intake of nutrition. 3)Risk for imbalanced fluid volume related to insufficient fluid intake and excessive fluid loss subsequent to vomiting. 4)Anxiety related to treatment. 5)Deficient knowledge about dietary management and disease process. Nursing Management
  • 24.
    Question 1: The pt.with chronic gastritis is being put on a combination of medications to eradicate H. Pylori. Which drugs dose the nurse know will probably be used for this pt.? I. Antibiotic, antacid, and corticosteroid II. Antibiotic, aspirin, and antiulcer/protectant III. Antibiotic, proton pump inhibitor, and bismuth IV. Antibiotic, and NSAIDs
  • 25.
    To eradicate H.Pylori, a combination of the above will be used. The pt. with chronic gastritis is being put on a combination of medications to eradicate H. Pylori. Which drugs dose the nurse know will probably be used for this pt.? I. Antibiotic, antacid, and corticosteroid II. Antibiotic, aspirin, and antiulcer/protectant III. Antibiotic, proton pump inhibitor, and bismuth IV. Antibiotic, and NSAIDs
  • 26.
    Question 2: The nurseis caring for a pt w/ a dx of chronic gastritis. The nurse monitors the client, knowing that this pt. is at risk for which vitamin deficiency? I. A II. B12 III. C IV. E
  • 27.
    Vitamin B12 Chronic gastritiscauses deterioration and atrophy of the lining of the stomach, leading to the loss of function of the parietal cells. The source of intrinsic factor is lost, which results in an inability to absorb vit B12. This leads to the development of pernicious anemia.
  • 28.
    Question 3: The perniciousanemia that may accompany gastritis is due to which of the following? a) chronic autoimmune destruction of cobalamin stores in the body b) progressive gastric atrophy from chronic breakage in the mucosal barrier and blood loss c) a lack of intrinsic factor normally produced by acid-secreting cells of the gastric mucosa d) hyperchlorhydria resulting from an increase in acid-secreting parietal cells and degradation of RBCs
  • 29.
    c) a lackof intrinsic factor normally produced by acid-secreting cells of the gastric mucosa Gastritis may cause a loss of parietal cells as a result of atrophy. The source of intrinsic factor is also lost; intrinsic factor is essential for the absorption of cobalamin in the terminal ileum which can result in cobalamin deficiency when lost. With time, the body's storage of cobalamin is depleted, and a deficiency state exists. Because it is essential for the growth and maturation of red blood cells, the lack of cobalamin results in pernicious anemia and neurologic complications.
  • 30.
    Gastritis • There isnot a close relationship between clinical symptoms and histologic gastritis • Although gastritis may not produce symptoms, its complications do.
  • 31.
    Gastritis: correlation of endoscopicand histologic findings  98 patients with endoscopic mucosal changes attributed to gastritis: 27 had normal biopsy  69 patients with normal endoscopic appearance: 63% had histologic evidence of gastritis  Interobserver variability for some features of gastritis(Gastrointest Endosc 1995;42:420)
  • 33.
    Chronic nonspecific Gastritis classification •Nonatrophic- type B • atrophic - type A  H. pylori  Antrum > corpus  Diffuse antral predominant gastritis  AUTOIMMUNE (body, fundus) – Diffuse corporal atrophic gastritis – Autoimmune metaplastic atrophic gastritis  MULTIFOCAL (H. pylori, antrum  = corpus) – Multifocal atrophic gastritis
  • 34.
  • 35.
  • 36.
    H. Pylori gastritis •Acute • Chronic – Antral predominant gastritis, also called type B, nonatrophic, diffuse antral predominant gastritis – Atrophic gastritis, also called type A, multifocal atrophic gastritis, metaplastic atrophic gastritis
  • 37.
    Clinical significance ofH pylori gastritis • Acute – May be symptomatic with epigastric pain, nausea and vomiting • Antral predominant gastritis – Duodenal ulcer • Atrophic gastritis – Intestinal metaplasia – Gastric ulcer – Gastric adenocarcinoma
  • 38.
    Where to biopsyfor H. pylori • 2 from antrum • 2 from gastric body • 1 from incisura: site most likely to show atrophic gastritis and premalignant dysplasia
  • 39.
    Where to biopsyfor H. pylori
  • 40.
    Endoscopic findings ofH. pylori • No distinct endoscopic pattern • Normal • Red streaks in antrum • Erosions and ulcerations • Hypertrophy, atrophy
  • 41.
    Autoimmune metaplastic atrophic gastritis •Immune response directed against parietal cells and intrinsic factor • 3x more common in women • Autosomal dominant disorder • Northern European • Associated with other autoimmune disorders: Hashimotos thyroiditis and vitiligo
  • 42.
    Autoimmune metaplastic atrophic gastritis:endoscopic findings • Appearance of multiple polyps • Absent or inconspicous rugae in body and fundus • Submucosal blood vessels visible through thin atrophic overlying mucosa • Usually no antral involvement
  • 43.
    Chronic atrophic gastritisassociated with pernicious anemia, fundus
  • 44.
    Intestinal metaplasia • Eventuallyatrophic glands are replaced by metaplastic epithelium • H. pylori: Intestinal metaplasia develops at a rate of 1-2% per annum to yield a lifetime risk of 50-75%
  • 45.
    Patchy intestinal metaplasia,paler than surrounding mucosa, in the antrum of 52 year old woman with dyspepsia. Test for H. pylori was positive
  • 46.
    Intestinal metaplasia ofthe gastric antrum
  • 48.
    H. Pylori andpeptic ulcer disease • Gastritis is found in virtually all patients infected with H. pylori • In the United States, 80% of pts with DU and 60% with GU are associated with H. pylori • Fewer than 20% of people with H. p ever develop PUD • H. p. Rx with antibiotics dramatically decreases ulcer recurrance rate
  • 49.
  • 50.
    Gastritis and gastric cancer •Adenocarcinoma – H pylori – autoimmune • MALT: H. pylori • Carcinoid: autoimmune
  • 51.
    Gastritis and gastriccancer: H pylori and adenocarcinoma • 2nd most common cancer worldwide • in US: 8th cancer related mortality in men and 10th in women • Decreased incidence of gastric adenocarcinoma in western populations parallels decrease in prevalence of H pylori • H pylori infected individuals have 2-10x increased incidence of gastric cancer • 36 and 47% of all gastric cancers in developed and developing countries respectively are attributable to H pylori • Multifactorial
  • 52.
    H. Pylori andGastric adenocarcinoma
  • 53.
    Chronic gastritis andgastric adenocarcinoma • Increased risk with intestinal metaplasia; not known if cancer arises from intestinal metaplasia or whether it represents a marker of increased risk • Autoimmune gastritis: 3-18x increased risk of gastric adenocarcinoma
  • 54.
    Gastritis and gastriccancer MALToma • Low grade B cell lymphoma • Mucosal associated lymphoid tissue
  • 55.
    MALToma • associated withchronic H. pylori infection in more than 90% of cases • Primary gastric lymphoma accounts for 3% of gastric neoplasms and 10% of lymphomas • 50% of gastric lymphomas are MALT • H. pylori induces mucosal inflammatory reaction, lymphoid follicles -> B cell monoclonal cells -> autonomous uncontrolled growth
  • 56.
    • Gastric MALToma:dense monotonous lymphoid infiltrate in the lamina propria
  • 57.
    Autoimmune gastritis and carcinoidtumors • Loss of parietal cell mass - > hypochlorhydria -> G cell hyperplasia and hypergastrinemia -> chronic stimulation of enterochromaffin like cells by gastrin
  • 58.
  • 59.
    What to doabout gastric cancer and gastritis: look for H pylori ? Unknown if treatment for H pylori decreases risk of gastric cancer •Studies are difficult because of long cancer development process that may take several decades
  • 60.
    What to doabout gastritis and gastric cancer: look for H pylori ? • some studies show improvement in inflammation and intestinal metaplasia • 2 studies show improvement in gastritis and superficial epithelial damage but no improvement in intestinal metaplasia or atrophy • 1 study from China: healthy H. pylori carriers, treated and followed for 7.5 years. No overall decrease in gastric cancer. Subgroup of patients with no precancerous lesions on presentation did have decreased gastric cancer risk. (JAMA 2004;291:187)
  • 61.
    What to doabout gastritis and cancer risk: look for H. pylori • If you find H. pylori: eradication should be considered because it is a carcinogen (ASGE) • Insufficient evidence to recommend screening asymptomatic patients for H. pylori to prevent gastric cancer (up to date) • Consider testing first degree relatives of patients with noncardia gastric cancer (Mayo)
  • 62.
    What to doabout gastritis and cancer risk: surveillance scope for dysplasia or cancer? ASGE guidelines • Pernicious anemia: Single endoscopy should be performed to identify carcinoid and gastric cancer • Endoscopic surveillance of gastric intestinal metaplasia has not been extensively studied in the United states and therefore cannot be uniformly recommended • Patients at increased risk for gastric cancer due to ethnic background or family history may benefit from surveillance
  • 63.
    What to doabout gastritis and cancer risk: dysplasia • Low grade dysplasia: surveillance EGD every 3 months for at least 1 year with topographic mapping biopsy strategy • High grade dysplasia: consider endoscopic resection or gastrectomy
  • 64.
    MALToma • H. pyloritherapy is useful in patients with localized, mucosal or submucosal, nonbulky, flat disease (without metastasis, LN, or diffuse large B cell lymphoma) • Only 10% of lymphoma patients • 50-90% complete remission
  • 65.
    Infectious gastritis:CMV • Immunocompromisedpatient • Epigastric pain, fever, atypical lymphocytosis • Endoscopic findings: congested, edematous mucosa, erosions, ulcerations, nodular mucosa
  • 66.
  • 67.
    • Cytomegalic cells withintranuclear and intracytoplasmic inclusions of cytomegalovirus CMV gastritis: pathology
  • 68.
    Granulomatous gastritis: Crohn’s disease •Crohns disease of the stomach is uncommon • Almost always associated with intestinal disease • Nausea, vomiting, epigastric pain, anorexia and weight loss • Endoscopy: reddened mucosa, irregularly shaped ulcers, erosions, nodular lesions and cobblestone pattern
  • 69.
    Crohn’s gastritis • Severenodular gastritis in 18 year old male with crohns disease
  • 70.
    Gastropathy • Hemorrhagic orerosive lesions • Caused by irritants such as medications or reduction in mucosal blood flow • NSAIDs, alcohol, trauma, sepsis • Disruption of normal protective barrier: mucin, bicarbonate, epithelium, PG
  • 71.
    Gastropathy • Endoscopic findings –Acute: may be diffuse (NSAIDs and alcohol) or confined to body and fundus (stress) – Chronic: usually antrum
  • 72.
  • 73.
  • 74.
    Gastropathy • Pathology: – Acute:subtle changes – Chronic: foveolar hyperplasia, edema, increased smooth muscle fibers, vascular dilatation and congestion – Few inflammatory cells
  • 75.
    Foveolar hyperplasia • Tortuous,corkscrew appearance • Marker of increased epithelial cell turnover • Chemical injury and H pylori gastritis
  • 76.
    Bile reflux gastropathy •Often occurs after gastric surgery • Asymptomatic or abdominal pain, emesis and weight loss • Erosions, redness, bile staining of gastric mucosa • Treatment: sulcralfate, ursodeoxycholic acid, surgery
  • 77.
    Thank you forattention
  • 78.
  • 79.
    Question 1: 1. "Whichof the following types of gastritis is associated with Helicobacter pylori and duodenal ulcers?  A. Erosive (hemorrhagic) gastritis  B. Fundic gland gastritis (type A)  C. Antral gland gastritis (type B)  D. Aspiring-induced gastric ulcer
  • 80.
    C. Antral glandgastritis (type B) Erosive (hemorrhagic) gastritis can be caused by ingestion of substances that irritate the gastric mucosa. Fundic gland gastritis (type A) is associated with diffuse severe mucosal atrophy and the presence of pernicious anemia. Antral gland gastritis (type B) is the most common form of gastritis, and is associated with Helicobacter pylori and duodenal ulcers
  • 81.
    Question 2:  2.The nurse is assessing the client diagnosed with chronic gastritis. Which symptom(s) support this diagnosis? A. Rapid onset of midsternal discomfort B. Epigastric pain relieved by eating food C. Dyspepsia and hematemesis D. Nausea and projectile vomiting
  • 82.
    B. Epigastric painrelieved by eating food  Chronic pain in the epigastric area relieved by ingesting food is a sign of chronic gastritis
  • 83.
    Question 3: 3. "Thenurse is caring for the client diagnosed with chronic gastritis. Which symptom(s) would support this diagnosis?  A. Rapid onset of mid-sternal discomfort.  B. Epigastric pain relieved by eating food  C. Dyspepsia and hematemesis.  D. Nausea and projectile vomiting
  • 84.
     A. Acutegastritis is characterized by sudden epigastric pain or discomfort, not mid-sternal chest pain.  B. Chronic pain in the epigastric area that is relieved by ingesting food is a sign of chronic gastritis (CORRECT).  C. Dyspepsia (heartburn) and hematemesis (vomiting blood) are frequent symptoms of acute gastritis.  D. Projective vomiting is not a sign of chronic gastritis
  • 85.
    Question 4: 4. Amale client is diagnosed with acute gastritis secondary to alcoholism and cirrhosis. When obtaining the client's history, the nurse gives priority to the client's statement that: A. His pain increases after meals. B. He experiences nausea frequently. C. His stools have a black appearance. D. He recently joined Alcoholics Anonymous
  • 86.
    A. Investigation ofbleeding takes priority later the nurse should help to identify irritating foods that are to be avoided. B. Nausea is a common symptom of gastritis, but it is not life threatening. C. Black (tarry) stools indicate upper GI bleeding digestive enzymes act on the blood resulting in tarry stools. Hemorrhage can occur if erosion extends to blood vessels. D. Attempts to control alcoholism should be supported but this is a long-term goal assessment of bleeding takes priority
  • 87.
    Question 5: 5. Thenurse is reviewing the medication record of a female client with acute gastritis. Which medication, if noted on the client's record, would the nurse question?  A. Digoxin (Lanoxin)  B. Furosemide (Lasix)  C. Indomethacin (Indocin)  D. Propranolol hydrochloride (Inderal)
  • 88.
    Indomethacin (Indocin) isa nonsteroidal anti-inflammatory drug and can cause ulceration of the esophagus, stomach, or small intestine. Indomethacin is contraindicated in a client with gastrointestinal disorders. Furosemide (Lasix) is a loop diuretic. Digoxin is a cardiac medication. Propranolol (Inderal) is a β-adrenergic blocker. Furosemide, digoxin, and propranolol are not contraindicated in clients with gastric disorders
  • 89.
    Question 6: 6. Whichof the following definitions best describes gastritis? A. Erosion of the gastric mucosa B. Inflammation of a diverticulum C. Inflammation of the gastric mucosa D. Reflux of stomach acid into the esophagus
  • 90.
     Gastritis isan inflammation of the gastric mucosa that may be acute (often resulting from exposure to local irritants) or chronic (associated with autoimmune infections or atrophic disorders of the stomach).  Erosion of the mucosa results in ulceration. Inflammation of a diverticulum is called diverticulitis; reflux of stomach acid is known as gastroesophageal disease.
  • 91.
    Question 7: 7. Whichof the following substances is most likely to cause gastritis?  A. Milk  B. Bicarbonate of soda, or baking soda  C. Enteric coated aspirin  D. Nonsteriodal anti-inflammatory drugs
  • 92.
     NSAIDS area common cause of gastritis because they inhibit prostaglandin synthesis.  Milk, once thought to help gastritis, has little effect on the stomach mucosa. Bicarbonate of soda, or baking soda, may be used to neutralize stomach acid, but it should be used cautiously because it may lead to metabolic acidosis.  ASA with enteric coating shouldn't contribute significantly to gastritis because the coating limits the aspirin's effect on the gastric mucosa.
  • 93.
  • 94.
     Inflammation ofthe stomach lining is known as... Gastritis  Gastritis can be either Scattered or Localized  Gastritis can be erosive meaning... Causes ulcers or nonerosive.  Name the two types of Gastritis Acute and Chronic
  • 95.
     Describe acutegastritis... Inflammation occurs after exposure to local irritants. Patho manifestations include thick, reddened mucous membrane with prominent rugae, folds. Complete regeneration and healing take place within a few days. If the muscle is affected hemorrhage may occur during an episode
  • 96.
     Describe chronicgastritis... Appears as patchy, spread out inflammation of the stomach lining. Gastric atrophy occurs with progression and the source of intrinsic factor is lost. (critical for Vitamin B12 production) Leads to Pernicious anemia (depletion of vit B12)
  • 97.
     Chronic gastritisis associated with an increased risk for... Gastric cancer  Chronic gastritis is characterized by 3 types... Type A (nonerosive), Type B, and Atrophic gastritis  Define type A chronic gastritis... Inflammation of the glands, fundus, and body of the stomach.
  • 98.
     Define typeB chronic gastritis... Affects the glands of the antrum, but may involve the entire stomach.  Define Atrophic chronic gastritis... Diffuse inflammation and destruction of deeply located glands accompany this condition. Affects all layers of the stomach and decreases the # of cells. Can lead to PUD and gastric cancer.
  • 99.
     People areat risk for developing acute gastritis if They become infected with H. pylori or another type of infectious agent. If they suffer from immunosuppressive disorder (AIDS). Long term NSAID use, alcohol, caffeine, corticosteroids, local irritation from radiation therapy, ingestion of corrosive substances, emotional stress, and acute anxiety.
  • 100.
     Type Achronic gastritis is caused by... An autoimmune disorder r/t pernicious anemia  Type B chronic gastritis is caused by... H. pylori infection, Crohn's disease, Graft vs Host disease, and uremia.  Atrophic gastritis is caused by... Being exposed to toxic substances (benzene, lead, nickel) or H pylori infection, also r/t autoimmune factors. (Seen in older adults).
  • 101.
     To preventgastritis eat a... Well-balanced diet.  To prevent gastritis avoid... Coffee, tea, caffeine, chocolate, mustard, pepper, hot spices, alcohol and tobacco. Contaminated food/water.  To prevent gastritis use caution when... Taking large doses of NSAIDS (ibuprofen), aspirin, corticosteroids.
  • 102.
     Regular exercisemaintains... peristalsis which helps prevent gastric content from irritating the gastric mucosa.  Stress reduction techniques include... aerobic exercise, meditation, reading, yoga, psychotherapy  Aspirin/NSAID related gastritis may result in Dyspepsia (Heartburn)
  • 103.
     S/S ofacute gastritis... Range from mild to severe with a rapid onset. Epigastric pain, anorexia, N/V, cramping... Only last a few hours or days and vary with cause. Assess for abdominal tenderness, bloating, hematemesis, or melena.
  • 104.
     Food poisoningcaused by endotoxins has an... Abrupt onset, severe N/V occurs within 5 hours of ingestion... Can lead to gastric hemorrhage (Life-Threatening)  S/S of chronic gastritis... Few unless ulcerations occur. N/V, upper abdominal discomfort, Periodic epigastric pain after meals (pain relieved with food), intolerance of fatty/spicy foods, pernicious anemia.
  • 105.
     Lab testthat detect gastritis are Blood test that detects for H. pylori antibodies and breath (C13 Urea Breath test) and stool analyses.  Diagnostic tests to detect gastritis are Esophagogastroduodenoscopy (EGD) GOLD STANDARD for diagnosing gastritis.  Medications used to treat gastritis are H2 receptors, antacids, PPIs...
  • 106.
     List someexamples of H2 receptor antagonist medications and how they help to treat gastritis...  ranitidine (Zantac) famotidine (Pepcid) nizatidine (Axid) are used to block gastric secretions.  What is Sucralfate (Carafate) It is a mucosal barrier fortifier.  What are antacids used for and name some types...  Are used as buffering agents and include maalox and mylanta.
  • 107.
     Antisecretory agents(PPIs) are used for what and give some examples May be used to suppress gastric acid secretion. Examples include omeprazole (Prilosec) and esomeprazole  Chronic gastritis may require... Vitamin B12 for prevention/treatment of pernicious anemia
  • 108.
     Nonsurgical interventionsfor gastritis include: Decrease stress and discomfort with progressive relaxation, cutaneous stimulation, guided imagery, and distraction.  Commonly used CAM therapies for gastritis involve the...Use of herbs and vitamins as well as homeopathy cures.  Surgical management associated with gastritis are Partial gastrectomy, pyloroplasty, vagotomy, total gastrectomy.