By
Khaled Saad ZaghloulKhaled Saad Zaghloul
Interstitial lung diseases (ILDs) in
childhood are a diverse group of
conditions that primarily involve
the alveoli and perialveolar
tissues, leading to derangement
of gas exchange, restrictive lung
physiology, and diffuse infiltrates
on radiographs.
Because ILDs can involve the distal
airspaces as well as the
interstitium, the term diffuse
infiltrative lung disease has been
suggested. This nomenclature may
be more accurate than ILD, but
children's interstitial lung disease
(chILD) has become the preferred
term.
Chronic interstitial lung disease (ILD)Chronic interstitial lung disease (ILD)
in children is defined as the presencein children is defined as the presence
of respiratory symptoms, diffuseof respiratory symptoms, diffuse
infiltrates on chest radiographs,infiltrates on chest radiographs,
abnormal pulmonary function testsabnormal pulmonary function tests
with evidence of restrictivewith evidence of restrictive
ventilatory defect and/or impaired gasventilatory defect and/or impaired gas
exchange, and persistence of theseexchange, and persistence of these
findings for >3 months withfindings for >3 months with
considerable mortality and morbidity.considerable mortality and morbidity.
The interstitium of the lung is not normally visible radiographic-
ally; it becomes visible only when disease (e.g., edema, fibrosis,
tumor) increases its volume and attenuation.
The interstitium of the lung is not normally visible radiographic-
ally; it becomes visible only when disease (e.g., edema, fibrosis,
tumor) increases its volume and attenuation.
The interstitial space is defined as continuum of loose connective
tissue throughout the lung composed of three subdivisions:
The interstitial space is defined as continuum of loose connective
tissue throughout the lung composed of three subdivisions:
(i) the bronchovascular, surrounding the bronchi, arteries, and
veins from the lung root to the level of the respiratory
bronchiole.
(i) the bronchovascular, surrounding the bronchi, arteries, and
veins from the lung root to the level of the respiratory
bronchiole.
(ii) the parenchymal (acinar), situated between the alveolar and
capillary basement membranes.
(ii) the parenchymal (acinar), situated between the alveolar and
capillary basement membranes.
(iii) the subpleural, situated beneath the pleura, as well as in the
interlobular septae.
(iii) the subpleural, situated beneath the pleura, as well as in the
interlobular septae.
The Lung Interstitium
Pathophysiology
The pathophysiologyThe pathophysiology
is more complexis more complex
than adult diseasethan adult disease
because the injurybecause the injury
occurs during theoccurs during the
process of lungprocess of lung
growth andgrowth and
differentiation.differentiation.
In ILD, the initial injury causes damageIn ILD, the initial injury causes damage
to the alveolar epithelium and capillaryto the alveolar epithelium and capillary
endothelium.endothelium.
Abnormal healing of injured tissue mayAbnormal healing of injured tissue may
be more prominent than inflammationbe more prominent than inflammation
in the initial steps of the developmentin the initial steps of the development
of chronic ILD.of chronic ILD.
The development of a chronic
inflammatory response was thought to
perpetuate the recruitment of
inflammatory and immunoregulatory
cells into the interstitium, alveolar
walls and perialveolar tissues,
progressively leading to a thickened
alveolar wall with extensive fibrosis
and loss of the alveolar gas exchange
function..
Schematic representation of the proposed mechanism
of diffuse alveolar damage and fibrosis in the
developing lung:
CLASSIFICATION
OF ILD
The classification of ILd in children isThe classification of ILd in children is
not characterized but it is helpful tonot characterized but it is helpful to
separate diseases into those of knownseparate diseases into those of known
and unknown etiology.and unknown etiology.
INTERSTIAL LUNG DISEASES OF
KNOWN ETIOLOGY
Aspiration syndromes
Chronic infection
Bronchopulmonary dysplasia
Hypersensitivity pneumonitis ( drugs,
environment or occupation associated )
Surfactant B or C deficiency
Drugs include: Antibiotics (penicillin,Antibiotics (penicillin,
nitofurantin, cephalosporines, isoniazid,nitofurantin, cephalosporines, isoniazid,
sulfonamides), anticancer therapies, drugssulfonamides), anticancer therapies, drugs
of abuse, radiation.of abuse, radiation.
Environment or occupation exposure
include: inorganic and organic dust, gases
(fumes, vapors ), hydrocarbons, resins and
nitrogen oxides.
INTERSTIAL LUNG DISEASES OF
UNKNOWN ETIOLOGY
 Usual Interstial pneumonitisUsual Interstial pneumonitis (UIP)(UIP)
 Desquamative pneumonitis ( DIP )Desquamative pneumonitis ( DIP )
 Lymphocytic Interstial pneumonitis (LIP ) andLymphocytic Interstial pneumonitis (LIP ) and
related disordersrelated disorders
 Nonspecific Interstial pneumonitisNonspecific Interstial pneumonitis
 Pulmonary hemosiderosisPulmonary hemosiderosis
 Goodpasture diseaseGoodpasture disease
 Pulmonary infiltrates with eosinophiliaPulmonary infiltrates with eosinophilia
 Pulmonary Interstial glycogenosis (PIG )Pulmonary Interstial glycogenosis (PIG )
INTERSTIAL LUNG DISEASES OF
UNKNOWN ETIOLOGY
 Neuroendocrine cell hyperplasia in infancyNeuroendocrine cell hyperplasia in infancy
(NEHI)(NEHI)
 Bronchiolitis obliteransBronchiolitis obliterans
 Bronchiolitis obliterans with organizingBronchiolitis obliterans with organizing
pneumonia (BOOP )pneumonia (BOOP )
 Alveolar proteinosisAlveolar proteinosis
 Pulmonary vascular disordersPulmonary vascular disorders
 Pulmonary lymphatic disordresPulmonary lymphatic disordres
 Pulmonary microlithiasisPulmonary microlithiasis
OTHER DISORDERS WITH
PULMONARY INVOLVMENT
 Connective tissue disorders ( RheumatoidConnective tissue disorders ( Rheumatoid
arthritis, SLE, Dermatomyositis )arthritis, SLE, Dermatomyositis )
 MalignanciesMalignancies
 Langerhans cell histocytosisLangerhans cell histocytosis
 SarcoidosisSarcoidosis
 Wegener granulomatosisWegener granulomatosis
 Neurocutaneous syndromes:Neurocutaneous syndromes:
(neurofibromatosis, tuberous sclerosis)(neurofibromatosis, tuberous sclerosis)
OTHER DISORDERS WITH
PULMONARY INVOLVMENT
Storage diseases Gaucher disease, Niemann-Storage diseases Gaucher disease, Niemann-
Pick disease )Pick disease )
Hemansky-Pudlak syndromeHemansky-Pudlak syndrome
Clinico-pathologic
classification of interstitial
and diffuse lung disease in
childhood
I. Disorders more prevalent in infancy
Diffuse developmental disorders Acinar/alveolar dysgenesis;
alveolar capillary dysplasia with
misalignment of pulmonary
veins (ACD-MPV)
Lung growth abnormalities Pulmonary hypoplasia, chronic
neonatal lung disease (BPD)
Specific conditions of unknown or poorly
understood etiology
Neuroendocrine cell hyperplasia
of infancy (NEHI), pulmonary
interstitial glycogenosis (P.I.G.)
Surfactant dysfunction disorders SFTPB, SFTPC, ABCA3, NKX2
.1/TTF1, other genetic mutations
II. Disorders not specific to infancy
Disorders of the normal host
("immune intact")
Infectious/post-infectious processes,
aspiration, related to environmental agents
(hypersensitivity pneumonitis),
eosinophilic pneumonia
Disorders of the
immunocompromised host
Opportunistic infections, related to
therapeutic intervention, related to
transplantation or rejection syndromes
Disorders related to systemic
disease processes
Immune-mediated disorders (eg,
connective tissue disorders such as SLE,
polymyositis/dermatomyositis, and
systemic sclerosis), storage disease,
sarcoidosis, Langerhans cell histiocytosis,
malignant infiltrates
Disorders masquerading as ILD Arterial, venous, lymphatic disorders
Unclassified Captures cases of ILD that cannot be
classified for any reason. Common reasons
include end-stage disease, nondiagnostic
biopsies, or inadequate biopsy material.
Epidemiology
ILD is rare in children. Cases tend to cluster
in infancy, and 10-16% appear to be
familial. A national survey of cases of
chronic ILD in immunocompetent children
aged 0-16 years in the United Kingdom and
Ireland over a three year period (1995-
1998) yielded an estimated prevalence of 3.6
per million.
Clinical Manifestations
History: Diagnosing children's interstitialHistory: Diagnosing children's interstitial
lung disease (chILD) requires a high indexlung disease (chILD) requires a high index
of suspicion on the part of the physician.of suspicion on the part of the physician.
The delay between the onset of symptomsThe delay between the onset of symptoms
and ultimate diagnosis is often months toand ultimate diagnosis is often months to
years. Respiratory symptoms can be subtleyears. Respiratory symptoms can be subtle
in infants and children, and clinicians oftenin infants and children, and clinicians often
treat ILD as asthma. A delay in referral cantreat ILD as asthma. A delay in referral can
lead to clinically significant remodeling oflead to clinically significant remodeling of
the lung before diagnosis.the lung before diagnosis.
Clinical Manifestations
The clinical history varies by age. The onsetThe clinical history varies by age. The onset
of disease is often insidious, with caregiversof disease is often insidious, with caregivers
or patients unsure when the illness actuallyor patients unsure when the illness actually
began. Occasionally, patients present withbegan. Occasionally, patients present with
relatively few symptoms but with abnormalrelatively few symptoms but with abnormal
findings on chest radiographs or pulmonaryfindings on chest radiographs or pulmonary
function tests (PFTs). Some patients,function tests (PFTs). Some patients,
especially newborns with surfactant-especially newborns with surfactant-
dysfunction mutations (SDMs), may presentdysfunction mutations (SDMs), may present
with respiratory failure.with respiratory failure.
Tachypnea and/or dyspneaTachypnea and/or dyspnea
Tachypnea is present in most patientsTachypnea is present in most patients
(75%), particularly in infants.(75%), particularly in infants.
Younger infants manifest retractions,Younger infants manifest retractions,
difficulty in feeding, and diaphoresisdifficulty in feeding, and diaphoresis
with feeding. Cyanosis may be evidentwith feeding. Cyanosis may be evident
during feeding or at rest.during feeding or at rest.
Exercise intolerance is often noted inExercise intolerance is often noted in
older childrenolder children
AA coughcough that is described as dry andthat is described as dry and
nonproductive is commonly presentnonproductive is commonly present
(75%) and can be the only symptom of(75%) and can be the only symptom of
ILD, even in the newborn.ILD, even in the newborn.
Failure to thriveFailure to thrive and weight loss areand weight loss are
common symptoms that may resultcommon symptoms that may result
from anorexia, difficulty in feeding,from anorexia, difficulty in feeding,
and increased energy expenditure fromand increased energy expenditure from
increased work of breathing.increased work of breathing.
HemoptysisHemoptysis may indicate the presencemay indicate the presence
of a vasculitic process or a pulmonaryof a vasculitic process or a pulmonary
hemorrhage syndrome.hemorrhage syndrome.
Older children may reportOlder children may report chest painchest pain..
FeverFever may be present, suggestingmay be present, suggesting
infectious or inflammatory causes.infectious or inflammatory causes.
WheezingWheezing occurs in 40% of patients,occurs in 40% of patients,
according to the history, and is presentaccording to the history, and is present
upon examination in as many as 20%.upon examination in as many as 20%.
A careful family history is criticalA careful family history is critical
because some forms of ChILD maybecause some forms of ChILD may
have a genetic basis, which may behave a genetic basis, which may be
associated with neonatal deaths,associated with neonatal deaths,
unexplained childhood respiratoryunexplained childhood respiratory
disease, or ILD in adultsdisease, or ILD in adults
Central Cyanosis
Blue discoloration of
lips and mucosa
Indicates insufficient
oxygen carriage.
General physical findingsGeneral physical findings
 Growth retardation, signs of weight loss,Growth retardation, signs of weight loss,
and/or failure to thrive may be evident.and/or failure to thrive may be evident.
 Hypoxemia on room air is common (87% ofHypoxemia on room air is common (87% of
patients with saturation below 90% in onepatients with saturation below 90% in one
series).series).
 Desaturation may occur during sleep,Desaturation may occur during sleep,
during feeding (infants), or with exercise.during feeding (infants), or with exercise.
 Auscultation may reveal normal findings orAuscultation may reveal normal findings or
dry crackles.dry crackles.
 Signs of hyperinflation, such as increasedSigns of hyperinflation, such as increased
chest diameter or palpable liver and spleenchest diameter or palpable liver and spleen
may be evident.may be evident.
 Signs consistent with pulmonarySigns consistent with pulmonary
hypertension may be present.hypertension may be present.
 Cyanosis and clubbing are lateCyanosis and clubbing are late
manifestations of ILD.manifestations of ILD.
 Stigmata of collagen vascular diseases,Stigmata of collagen vascular diseases,
vasculitides, and other systemic disordersvasculitides, and other systemic disorders
should be carefully sought.should be carefully sought.
Clubbing of fingers
Diagnoses in patients included in the European
Respiratory Society Task Force study.
Diagnosis was made in 177 of 185 patients, and in 56 of
58 cases in the subgroup of children aged <2 yrs.
DIAGNOSIS OF
ILD
Systematic Approach toSystematic Approach to
DiagnosisDiagnosis
Infant PFTs BAL
HRCT
Evaluation of ILDs in children HRCT, hig-resolution thin out computed tomography
ACE, angiotensin-converting enzyme; ANCA ant neutrophil cytoplasmic antibody
pHT (idiopathic) pulmonary haemosiderosis V/Q ventilation/perfusion, EPA erect
posterior anterior DLCO diffusion capacity of lung for curbon monoxid
Radiography
Patterns of Interstitial Lung DiseasePatterns of Interstitial Lung Disease
High-resolution CT ( HRCT)
Better defines the extent and distribution of
disease.
Provides specific information for selection
of a biopsy site.
Serial HRCT may be benefit in monitoring
disease progression and severity.
Severe honeycombing and permanent loss of
functioning lung tissue
Severe honeycombing and permanent loss of
functioning lung tissue
Dinwiddie R. ( 2004 ) Ped. Resp Rev (2004) 5, 108–115Dinwiddie R. ( 2004 ) Ped. Resp Rev (2004) 5, 108–115
Typical pulmonary alveolar proteinosis in 10-month-old boy. High-resolution
areas of lung. diffuse ground-glass attenuation with superimposed reticular
pattern and typical airspace consolidation in posterior and peripheral zones.
Important thickening of fissure is seen.
Typical idiopathic pulmonary fibrosis in 14-year-old boy. Note
diffuse ground-glass attenuation and honeycomb patterns
(combination of subpleural cyst and thickened interlobular septa),
fissural thickening, and cystic area on left...
9-year-old boy with Langerhans histiocytosis of lung. HRCT scan through
lower lungs shows multiple, thin-walled, bizarrely shaped cysts of varying
sizes, with scattered small nodules in anterior lungs.
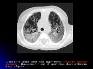
10-month-old female infant with biopsy-proven nonspecific interstitial
pneumonitis. Thin-section CT scan of upper zones shows predominant
honeycomb pattern.
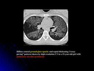
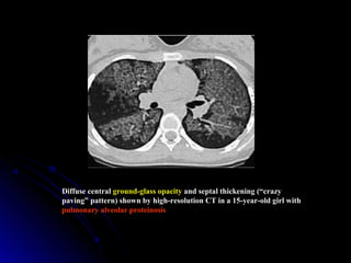
Diffuse central ground-glass opacity and septal thickening (“crazy
paving” pattern) shown by high-resolution CT in a 15-year-old girl with
pulmonary alveolar proteinosis
13-year-old girl with biopsy-proven desquamative interstitial pneumonitis.
Thin-section CT scan of upper zones shows predominant honeycomb pattern.
Diffuse central ground-glass opacity and septal thickening (“crazy
paving” pattern) shown by high-resolution CT in a 15-year-old girl with
pulmonary alveolar proteinosis
Pulmonary function tests
Important in defining the degree of
restrictive lung disease.
Follow up : the response to treatment
In ILD, pulmonary function abnormalities
demonstrate a restrictive ventilatory deficit
with decreased lung volume.
Bronchoalveolar lavage
BAL
 Provide helpful information regarding
secondary infection, bleeding, or
aspiration but will not usually determine
the exact diagnosis.
 BAL is diagnostic for pulmonary alveolar
proteinosis.
Transthoracic Lung Biopsy
It is usually the final step and is necessary
For a conclusive diagnosis.
Video-Assisted Thoracoscopic SurgeryVideo-Assisted Thoracoscopic Surgery
(VATS(VATS((
www.mayoclinic.org/video-assisted-thoracic-surgery/
Conventional thoracotomy or video-assisted
thoracoscopy is used to obtain tissue from
children with suspected ILD.
Evaluation for possible systemic disease
may also be necessary.
Mortality
The overall mortality of ILD is dependent on
specific diagnosis : high - 20% in infants and
children.
Prognosis is variable and poor in children with :
- pulmonary hypertension
- failure to thrive
- sever fibrosis
Mortality
Children Adults
DIP 39% 5%
UIP 4% 50-80%
King. AJRCCM 2005;172:268
TREATMENT OF
ILD
Treatment
Supportive care is essential and includes :Supportive care is essential and includes :
supplemental oxygen for hypoxia and
nutrition for growth failure..
 Antimicrobial treatment may be necessary
for recurrent infections..
 Some patients may be responsive toSome patients may be responsive to
bronchodilators.bronchodilators.
Corticosteroids
Anti-inflammatory treatment with
corticosteroids remains the initial treatment
of choice.
Controlled trials are lacking.
The usual dose of prednisone 1-2 mg /kg/24
for 6 -8 wk with tapering directed by
clinical response
Alternative, but not adequately evaluated
therapy includes:
Hydroxychloroquine
Azathioprine
Cyclophosamide
Cyclosporine
Methotrexate
I V immunoglobulin
Pulsed high-dose steroids
Lung transplantation for progressive or
end-stage ILD is successful in some infants
and children.
Appropriate treatment for underlying
systemic disease is indicated.
Hydroxychloroquine treatment is successful
in some children with classic ILD ,
particulary those with histopathologic
changes of DIP.
Key MessagesKey Messages
Diagnosis of ILD requires a high index of
suspicion, as the clinical presentation is
subtle, variable, nonspecific and is likely to
be confused with other pneumonias.
Progressive nature of the illness, clinical
findings, serial chest xrays, HRCT and BAL
will be helpful in the diagnosis of ILD, in
the absence of lung biopsy.
Childhood interstitial lung disease

Childhood interstitial lung disease

  • 2.
  • 4.
    Interstitial lung diseases(ILDs) in childhood are a diverse group of conditions that primarily involve the alveoli and perialveolar tissues, leading to derangement of gas exchange, restrictive lung physiology, and diffuse infiltrates on radiographs.
  • 5.
    Because ILDs caninvolve the distal airspaces as well as the interstitium, the term diffuse infiltrative lung disease has been suggested. This nomenclature may be more accurate than ILD, but children's interstitial lung disease (chILD) has become the preferred term.
  • 6.
    Chronic interstitial lungdisease (ILD)Chronic interstitial lung disease (ILD) in children is defined as the presencein children is defined as the presence of respiratory symptoms, diffuseof respiratory symptoms, diffuse infiltrates on chest radiographs,infiltrates on chest radiographs, abnormal pulmonary function testsabnormal pulmonary function tests with evidence of restrictivewith evidence of restrictive ventilatory defect and/or impaired gasventilatory defect and/or impaired gas exchange, and persistence of theseexchange, and persistence of these findings for >3 months withfindings for >3 months with considerable mortality and morbidity.considerable mortality and morbidity.
  • 7.
    The interstitium ofthe lung is not normally visible radiographic- ally; it becomes visible only when disease (e.g., edema, fibrosis, tumor) increases its volume and attenuation. The interstitium of the lung is not normally visible radiographic- ally; it becomes visible only when disease (e.g., edema, fibrosis, tumor) increases its volume and attenuation. The interstitial space is defined as continuum of loose connective tissue throughout the lung composed of three subdivisions: The interstitial space is defined as continuum of loose connective tissue throughout the lung composed of three subdivisions: (i) the bronchovascular, surrounding the bronchi, arteries, and veins from the lung root to the level of the respiratory bronchiole. (i) the bronchovascular, surrounding the bronchi, arteries, and veins from the lung root to the level of the respiratory bronchiole. (ii) the parenchymal (acinar), situated between the alveolar and capillary basement membranes. (ii) the parenchymal (acinar), situated between the alveolar and capillary basement membranes. (iii) the subpleural, situated beneath the pleura, as well as in the interlobular septae. (iii) the subpleural, situated beneath the pleura, as well as in the interlobular septae. The Lung Interstitium
  • 9.
    Pathophysiology The pathophysiologyThe pathophysiology ismore complexis more complex than adult diseasethan adult disease because the injurybecause the injury occurs during theoccurs during the process of lungprocess of lung growth andgrowth and differentiation.differentiation.
  • 10.
    In ILD, theinitial injury causes damageIn ILD, the initial injury causes damage to the alveolar epithelium and capillaryto the alveolar epithelium and capillary endothelium.endothelium. Abnormal healing of injured tissue mayAbnormal healing of injured tissue may be more prominent than inflammationbe more prominent than inflammation in the initial steps of the developmentin the initial steps of the development of chronic ILD.of chronic ILD.
  • 11.
    The development ofa chronic inflammatory response was thought to perpetuate the recruitment of inflammatory and immunoregulatory cells into the interstitium, alveolar walls and perialveolar tissues, progressively leading to a thickened alveolar wall with extensive fibrosis and loss of the alveolar gas exchange function..
  • 13.
    Schematic representation ofthe proposed mechanism of diffuse alveolar damage and fibrosis in the developing lung:
  • 14.
  • 15.
    The classification ofILd in children isThe classification of ILd in children is not characterized but it is helpful tonot characterized but it is helpful to separate diseases into those of knownseparate diseases into those of known and unknown etiology.and unknown etiology.
  • 16.
    INTERSTIAL LUNG DISEASESOF KNOWN ETIOLOGY Aspiration syndromes Chronic infection Bronchopulmonary dysplasia Hypersensitivity pneumonitis ( drugs, environment or occupation associated ) Surfactant B or C deficiency
  • 17.
    Drugs include: Antibiotics(penicillin,Antibiotics (penicillin, nitofurantin, cephalosporines, isoniazid,nitofurantin, cephalosporines, isoniazid, sulfonamides), anticancer therapies, drugssulfonamides), anticancer therapies, drugs of abuse, radiation.of abuse, radiation. Environment or occupation exposure include: inorganic and organic dust, gases (fumes, vapors ), hydrocarbons, resins and nitrogen oxides.
  • 18.
    INTERSTIAL LUNG DISEASESOF UNKNOWN ETIOLOGY  Usual Interstial pneumonitisUsual Interstial pneumonitis (UIP)(UIP)  Desquamative pneumonitis ( DIP )Desquamative pneumonitis ( DIP )  Lymphocytic Interstial pneumonitis (LIP ) andLymphocytic Interstial pneumonitis (LIP ) and related disordersrelated disorders  Nonspecific Interstial pneumonitisNonspecific Interstial pneumonitis  Pulmonary hemosiderosisPulmonary hemosiderosis  Goodpasture diseaseGoodpasture disease  Pulmonary infiltrates with eosinophiliaPulmonary infiltrates with eosinophilia  Pulmonary Interstial glycogenosis (PIG )Pulmonary Interstial glycogenosis (PIG )
  • 19.
    INTERSTIAL LUNG DISEASESOF UNKNOWN ETIOLOGY  Neuroendocrine cell hyperplasia in infancyNeuroendocrine cell hyperplasia in infancy (NEHI)(NEHI)  Bronchiolitis obliteransBronchiolitis obliterans  Bronchiolitis obliterans with organizingBronchiolitis obliterans with organizing pneumonia (BOOP )pneumonia (BOOP )  Alveolar proteinosisAlveolar proteinosis  Pulmonary vascular disordersPulmonary vascular disorders  Pulmonary lymphatic disordresPulmonary lymphatic disordres  Pulmonary microlithiasisPulmonary microlithiasis
  • 20.
    OTHER DISORDERS WITH PULMONARYINVOLVMENT  Connective tissue disorders ( RheumatoidConnective tissue disorders ( Rheumatoid arthritis, SLE, Dermatomyositis )arthritis, SLE, Dermatomyositis )  MalignanciesMalignancies  Langerhans cell histocytosisLangerhans cell histocytosis  SarcoidosisSarcoidosis  Wegener granulomatosisWegener granulomatosis  Neurocutaneous syndromes:Neurocutaneous syndromes: (neurofibromatosis, tuberous sclerosis)(neurofibromatosis, tuberous sclerosis)
  • 21.
    OTHER DISORDERS WITH PULMONARYINVOLVMENT Storage diseases Gaucher disease, Niemann-Storage diseases Gaucher disease, Niemann- Pick disease )Pick disease ) Hemansky-Pudlak syndromeHemansky-Pudlak syndrome
  • 22.
  • 23.
    I. Disorders moreprevalent in infancy Diffuse developmental disorders Acinar/alveolar dysgenesis; alveolar capillary dysplasia with misalignment of pulmonary veins (ACD-MPV) Lung growth abnormalities Pulmonary hypoplasia, chronic neonatal lung disease (BPD) Specific conditions of unknown or poorly understood etiology Neuroendocrine cell hyperplasia of infancy (NEHI), pulmonary interstitial glycogenosis (P.I.G.) Surfactant dysfunction disorders SFTPB, SFTPC, ABCA3, NKX2 .1/TTF1, other genetic mutations
  • 24.
    II. Disorders notspecific to infancy Disorders of the normal host ("immune intact") Infectious/post-infectious processes, aspiration, related to environmental agents (hypersensitivity pneumonitis), eosinophilic pneumonia Disorders of the immunocompromised host Opportunistic infections, related to therapeutic intervention, related to transplantation or rejection syndromes Disorders related to systemic disease processes Immune-mediated disorders (eg, connective tissue disorders such as SLE, polymyositis/dermatomyositis, and systemic sclerosis), storage disease, sarcoidosis, Langerhans cell histiocytosis, malignant infiltrates Disorders masquerading as ILD Arterial, venous, lymphatic disorders Unclassified Captures cases of ILD that cannot be classified for any reason. Common reasons include end-stage disease, nondiagnostic biopsies, or inadequate biopsy material.
  • 25.
    Epidemiology ILD is rarein children. Cases tend to cluster in infancy, and 10-16% appear to be familial. A national survey of cases of chronic ILD in immunocompetent children aged 0-16 years in the United Kingdom and Ireland over a three year period (1995- 1998) yielded an estimated prevalence of 3.6 per million.
  • 26.
    Clinical Manifestations History: Diagnosingchildren's interstitialHistory: Diagnosing children's interstitial lung disease (chILD) requires a high indexlung disease (chILD) requires a high index of suspicion on the part of the physician.of suspicion on the part of the physician. The delay between the onset of symptomsThe delay between the onset of symptoms and ultimate diagnosis is often months toand ultimate diagnosis is often months to years. Respiratory symptoms can be subtleyears. Respiratory symptoms can be subtle in infants and children, and clinicians oftenin infants and children, and clinicians often treat ILD as asthma. A delay in referral cantreat ILD as asthma. A delay in referral can lead to clinically significant remodeling oflead to clinically significant remodeling of the lung before diagnosis.the lung before diagnosis.
  • 27.
    Clinical Manifestations The clinicalhistory varies by age. The onsetThe clinical history varies by age. The onset of disease is often insidious, with caregiversof disease is often insidious, with caregivers or patients unsure when the illness actuallyor patients unsure when the illness actually began. Occasionally, patients present withbegan. Occasionally, patients present with relatively few symptoms but with abnormalrelatively few symptoms but with abnormal findings on chest radiographs or pulmonaryfindings on chest radiographs or pulmonary function tests (PFTs). Some patients,function tests (PFTs). Some patients, especially newborns with surfactant-especially newborns with surfactant- dysfunction mutations (SDMs), may presentdysfunction mutations (SDMs), may present with respiratory failure.with respiratory failure.
  • 28.
    Tachypnea and/or dyspneaTachypneaand/or dyspnea Tachypnea is present in most patientsTachypnea is present in most patients (75%), particularly in infants.(75%), particularly in infants. Younger infants manifest retractions,Younger infants manifest retractions, difficulty in feeding, and diaphoresisdifficulty in feeding, and diaphoresis with feeding. Cyanosis may be evidentwith feeding. Cyanosis may be evident during feeding or at rest.during feeding or at rest. Exercise intolerance is often noted inExercise intolerance is often noted in older childrenolder children
  • 29.
    AA coughcough thatis described as dry andthat is described as dry and nonproductive is commonly presentnonproductive is commonly present (75%) and can be the only symptom of(75%) and can be the only symptom of ILD, even in the newborn.ILD, even in the newborn. Failure to thriveFailure to thrive and weight loss areand weight loss are common symptoms that may resultcommon symptoms that may result from anorexia, difficulty in feeding,from anorexia, difficulty in feeding, and increased energy expenditure fromand increased energy expenditure from increased work of breathing.increased work of breathing.
  • 30.
    HemoptysisHemoptysis may indicatethe presencemay indicate the presence of a vasculitic process or a pulmonaryof a vasculitic process or a pulmonary hemorrhage syndrome.hemorrhage syndrome. Older children may reportOlder children may report chest painchest pain.. FeverFever may be present, suggestingmay be present, suggesting infectious or inflammatory causes.infectious or inflammatory causes. WheezingWheezing occurs in 40% of patients,occurs in 40% of patients, according to the history, and is presentaccording to the history, and is present upon examination in as many as 20%.upon examination in as many as 20%.
  • 31.
    A careful familyhistory is criticalA careful family history is critical because some forms of ChILD maybecause some forms of ChILD may have a genetic basis, which may behave a genetic basis, which may be associated with neonatal deaths,associated with neonatal deaths, unexplained childhood respiratoryunexplained childhood respiratory disease, or ILD in adultsdisease, or ILD in adults
  • 32.
    Central Cyanosis Blue discolorationof lips and mucosa Indicates insufficient oxygen carriage.
  • 33.
    General physical findingsGeneralphysical findings  Growth retardation, signs of weight loss,Growth retardation, signs of weight loss, and/or failure to thrive may be evident.and/or failure to thrive may be evident.  Hypoxemia on room air is common (87% ofHypoxemia on room air is common (87% of patients with saturation below 90% in onepatients with saturation below 90% in one series).series).  Desaturation may occur during sleep,Desaturation may occur during sleep, during feeding (infants), or with exercise.during feeding (infants), or with exercise.  Auscultation may reveal normal findings orAuscultation may reveal normal findings or dry crackles.dry crackles.
  • 34.
     Signs ofhyperinflation, such as increasedSigns of hyperinflation, such as increased chest diameter or palpable liver and spleenchest diameter or palpable liver and spleen may be evident.may be evident.  Signs consistent with pulmonarySigns consistent with pulmonary hypertension may be present.hypertension may be present.  Cyanosis and clubbing are lateCyanosis and clubbing are late manifestations of ILD.manifestations of ILD.  Stigmata of collagen vascular diseases,Stigmata of collagen vascular diseases, vasculitides, and other systemic disordersvasculitides, and other systemic disorders should be carefully sought.should be carefully sought.
  • 35.
  • 36.
    Diagnoses in patientsincluded in the European Respiratory Society Task Force study. Diagnosis was made in 177 of 185 patients, and in 56 of 58 cases in the subgroup of children aged <2 yrs.
  • 37.
  • 38.
    Systematic Approach toSystematicApproach to DiagnosisDiagnosis Infant PFTs BAL HRCT
  • 39.
    Evaluation of ILDsin children HRCT, hig-resolution thin out computed tomography ACE, angiotensin-converting enzyme; ANCA ant neutrophil cytoplasmic antibody pHT (idiopathic) pulmonary haemosiderosis V/Q ventilation/perfusion, EPA erect posterior anterior DLCO diffusion capacity of lung for curbon monoxid
  • 40.
  • 41.
    Patterns of InterstitialLung DiseasePatterns of Interstitial Lung Disease
  • 50.
    High-resolution CT (HRCT) Better defines the extent and distribution of disease. Provides specific information for selection of a biopsy site. Serial HRCT may be benefit in monitoring disease progression and severity.
  • 51.
    Severe honeycombing andpermanent loss of functioning lung tissue
  • 52.
    Severe honeycombing andpermanent loss of functioning lung tissue Dinwiddie R. ( 2004 ) Ped. Resp Rev (2004) 5, 108–115Dinwiddie R. ( 2004 ) Ped. Resp Rev (2004) 5, 108–115
  • 53.
    Typical pulmonary alveolarproteinosis in 10-month-old boy. High-resolution areas of lung. diffuse ground-glass attenuation with superimposed reticular pattern and typical airspace consolidation in posterior and peripheral zones. Important thickening of fissure is seen.
  • 54.
    Typical idiopathic pulmonaryfibrosis in 14-year-old boy. Note diffuse ground-glass attenuation and honeycomb patterns (combination of subpleural cyst and thickened interlobular septa), fissural thickening, and cystic area on left...
  • 55.
    9-year-old boy withLangerhans histiocytosis of lung. HRCT scan through lower lungs shows multiple, thin-walled, bizarrely shaped cysts of varying sizes, with scattered small nodules in anterior lungs.
  • 56.
    10-month-old female infantwith biopsy-proven nonspecific interstitial pneumonitis. Thin-section CT scan of upper zones shows predominant honeycomb pattern.
  • 57.
    Diffuse central ground-glassopacity and septal thickening (“crazy paving” pattern) shown by high-resolution CT in a 15-year-old girl with pulmonary alveolar proteinosis
  • 58.
    13-year-old girl withbiopsy-proven desquamative interstitial pneumonitis. Thin-section CT scan of upper zones shows predominant honeycomb pattern.
  • 59.
    Diffuse central ground-glassopacity and septal thickening (“crazy paving” pattern) shown by high-resolution CT in a 15-year-old girl with pulmonary alveolar proteinosis
  • 60.
    Pulmonary function tests Importantin defining the degree of restrictive lung disease. Follow up : the response to treatment In ILD, pulmonary function abnormalities demonstrate a restrictive ventilatory deficit with decreased lung volume.
  • 61.
    Bronchoalveolar lavage BAL  Providehelpful information regarding secondary infection, bleeding, or aspiration but will not usually determine the exact diagnosis.  BAL is diagnostic for pulmonary alveolar proteinosis.
  • 62.
    Transthoracic Lung Biopsy Itis usually the final step and is necessary For a conclusive diagnosis.
  • 63.
    Video-Assisted Thoracoscopic SurgeryVideo-AssistedThoracoscopic Surgery (VATS(VATS(( www.mayoclinic.org/video-assisted-thoracic-surgery/
  • 64.
    Conventional thoracotomy orvideo-assisted thoracoscopy is used to obtain tissue from children with suspected ILD. Evaluation for possible systemic disease may also be necessary.
  • 65.
    Mortality The overall mortalityof ILD is dependent on specific diagnosis : high - 20% in infants and children. Prognosis is variable and poor in children with : - pulmonary hypertension - failure to thrive - sever fibrosis
  • 66.
    Mortality Children Adults DIP 39%5% UIP 4% 50-80% King. AJRCCM 2005;172:268
  • 67.
  • 68.
    Treatment Supportive care isessential and includes :Supportive care is essential and includes : supplemental oxygen for hypoxia and nutrition for growth failure..  Antimicrobial treatment may be necessary for recurrent infections..  Some patients may be responsive toSome patients may be responsive to bronchodilators.bronchodilators.
  • 69.
    Corticosteroids Anti-inflammatory treatment with corticosteroidsremains the initial treatment of choice. Controlled trials are lacking. The usual dose of prednisone 1-2 mg /kg/24 for 6 -8 wk with tapering directed by clinical response
  • 71.
    Alternative, but notadequately evaluated therapy includes: Hydroxychloroquine Azathioprine Cyclophosamide Cyclosporine Methotrexate I V immunoglobulin Pulsed high-dose steroids
  • 72.
    Lung transplantation forprogressive or end-stage ILD is successful in some infants and children. Appropriate treatment for underlying systemic disease is indicated.
  • 73.
    Hydroxychloroquine treatment issuccessful in some children with classic ILD , particulary those with histopathologic changes of DIP.
  • 74.
    Key MessagesKey Messages Diagnosisof ILD requires a high index of suspicion, as the clinical presentation is subtle, variable, nonspecific and is likely to be confused with other pneumonias. Progressive nature of the illness, clinical findings, serial chest xrays, HRCT and BAL will be helpful in the diagnosis of ILD, in the absence of lung biopsy.