Cesarean scar endometriosis: Clinical presentation
      and imaging features with a focus on MRI

Educational Exhibit at the European Congress of Radiology, Vienna, 2012
Authors: A. S. Dumitrescu, T. Herold; DOI: 10.1594/ecr2012/C-0505

Learning objectives

Endometriosis is a common and important clinical problem of women, predominantly
those in the reproductive age group. Endometriosis of the abdominal wall is less frequent
and is mostly associated with cesarean section scars. It can pose diagnostic difficulties
and should be in the differential diagnosis of abdominal wall lumps in females.

The purpose of this exhibit is:

1. to review the clinical presentation and imaging findings of abdominal wall
endometriosis with intramuscular as well as subcutaneous lesions following caesarian
section;

2. to discuss diagnostic strategies with a focus on MRI imaging;

3. to briefly review this condition's incidence, pathology and treatment.
Background
Endometriosis was first described by Rokitansky in 1860 and is defined as the presence
of endometrial glandular tissue outside of the uterus.

Clinical presentation
The most common symptoms are dysmenorrhea, dyspareunia, pelvic pain, and infertility,
although only a minority of patients present with all the symptoms and many patients are
Asymptomatic.

Localization
Frequent localizations in the pelvis include the ovaries, uterine ligaments, serosal
surfaces, cul-de-sac, fallopian tubes, rectosigmoid, and urinary bladder (Fig. 1). [3]
Extrapelvic endometriosis are bladder, kidney, bowel, omentum, lymph nodes,
lungs, pleura, extremities, umbilicus, hernial sacs, and the abdominal wall. [4]

Pathology
The foci of endometrial tissue are generally small (Fig. 2 on page 4). Typical
histopathologic features are endometrial glands, endometrial stroma and hemosiderin-
laden macrophages (Fig. 3).
Ectopic endometrial glandular
tissue is influenced by ovarian
hormones and undergoes cyclic
bleeding. Over time, the repeated
hemorrhaging can produce
extensive fibrosis surrounding the
endometrial tissue, which can
result in adhesions to neighboring
structures, e.g. adnexal structures,
peritoneum, bowel, depending on
the localization. [12]
Epidemiology

The prevalence of endometriosis is difficult to determine accurately; however, it has been estimated to
   affect 5–10% of both symptomatic and asymptomatic women, the frequency being higher in women
   with infertility and pelvic pain. [1]

    Localization in the abdominal wall (Fig. 4) is comparatively rare and most frequently follows obstetrical
    and gynecological surgeries. The actual incidence of abdominal wall endometriosis is unknown but
    one series reported that only 6% of these were unrelated to scars. [6] In another series the prevalence
    of surgically proven endometriosis in scars was 1.6%. [5]



Therapy

Treatment of endometriomas is most often surgical. Wide
excision of abdominal wall lesions may sometimes require
mesh placement. [21]

Medical treatment involves use of progestogens, oral
contraceptive pills, danazol, and gonadotrophin agonists.
[22] It provides only partial relief in symptoms with no
change in the lesion size and involves numerous side
effects such as amenorrhea, weight gain, hirsutism, and
acne.

Surgically treated patients need to be followed up because
of the chances of recurrence, which require re-excision. In
cases of continual recurrence the possibility of malignancy
needs to be ruled out.
Imaging considerations


Endometriosis, in patients with scars, is more common in the abdominal skin and subcutaneous tissue
   compared to muscle and fascia. Endometriosis involving only the rectus muscle and sheath is very
   rare. [7]

In this unusual localization, clinical as well as initial imaging findings are likely to be misinterpreted by
     physicians and radiologists (e.g., as abscesses or malignant tumors). Along with the comparative rarity
     of the disease this leads to frequent overlooking of the correct diagnosis. [8,9,10]

Usually, the initial imaging examination for suspected endometriosis is pelvic ultrasound. Magnetic
   resonance imaging (MRI) provides superior anatomic detail and better defines abnormalities found
   using ultrasonography. The multiplanar capability, high sensitivity for detection of blood products, and
   ability to identify sites of disease hidden by dense adhesions have made MRI the noninvasive imaging
   technique of choice for more accurate disease detection and staging. [13,14] It has been shown that
   MRI has high accuracy in assessing the extension of the disease and assisting surgical treatment
   planning. [15]

Most endometriomas have a relatively homogeneous high signal intensity on native T1-weighted images.
   On T2-weighted scans, endometriomas often exhibit a phenomenon known as T2-shading, i.e. T2
   shortening often associated with a dependent layering on T2-weighted scans reflecting the chronic
   accumulation of blood degradation products resulting from repeated hemorrhaging over months and
   years. [16,17]

    Fat suppression narrows the dynamic signal range, thereby accentuating differences in tissue signal.
    Thus, lesion conspicuity is improved. Furthermore, differentiation between hemorrhagic and fat
    components is also facilitated. This has been shown to improve the sensitivity of MR imaging in the
    detection of small lesions and to increase its specificity, since fat-containing lesions such as dermoids
    are eliminated from the differential diagnosis. [18, 19, 20] Contrast-enhanced sequences are useful for
    detection of very small endometrial implants associated with inflammatory reaction, as well as
    assessing for malignant change. [23]
Sample case

A 33 years old female Caucasian patient was referred
    to our department for imaging of a painful,
    subcutaneous nodular lesion in the left lower
    quadrant of the anterior abdominal wall situated at
    the site of the cesarean section she had
    undergone 2 years before.


    Clinical examination at admission revealed a
    palpable, hard nodule, sensitive to pressure. The
    patient reported having noticed this some 18
    months before, the nodule becoming
    progressively painful over time.


    Initial imaging involved ultrasound examination at
    admission as well as contrast-enhanced CT of the
    abdomen and pelvis in our department. The CT
    scans revealed two adjacent solid nodular lesions,
    each some 2 cm in size, one in the left rectus
    abdominis muscle (Fig. 5) and another in the
    corresponding subcutaneous fat (Fig. 6), along
    with signs of a localized inflammatory reaction in
    the surrounding fat tissue (Fig. 7).
The lesion's solid density and the absence of discernible gas inclusions virtually ruled out an abscess of the
    abdominal wall. Rather, the findings were interpreted as pointing primarily towards a chronic inflammatory,
    i.e. granulomatous lesion of as yet unclear aetiology, with a soft tissue tumor as a possible differential
    diagnosis, possibly associated with a secondary hematoma of the abdominal wall.


    Subsequently the patient was referred to MRI for further, more differentiated imaging. Here, renewed
    questioning of the patient revealed that pain and swelling associated with the lesion showed a certain
    periodicity and peaked at the time of menstruation.
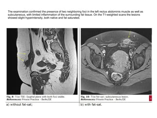
The examination confirmed the presence of two neighboring foci in the left rectus abdominis muscle as well as
subcutaneous, with limited inflammation of the surrounding fat tissue. On the T1-weighted scans the lesions
showed slight hyperintensity, both native and fat saturated.
The T2-weighted scans showed low lesion signal, a phenomenon known as T2 shading [24]:
Furthermore, in all performed scans but especially in the inversion recovery scans (TIRM) the lesion showed small
signal-free dots characteristic of small hemosiderin inclusions.
After contrast injection the lesions showed marked enhancement:
The MRI appearance of the lesions ruled out an abscess
and confirmed the similarity of the intramuscular and
subcutaneous foci. It further suggested subacute and
chronic micro-hemorrhaging within the lesions, possibly
consistent with hypervascularized tumors such as
melanoma or soft tissue sarcoma but also with ectopic
endometrial tissue islands, i.e. endometriosis.

At this stage correlation with anamnestic data (especially
the fluctuation of symptoms with the menstrual cycle)
proved crucial, ultimately tipping the balance of evidence in
favor of endometriosis. This diagnosis was confirmed by
subsequent biopsy and surgical therapy was succesfully
performed.
Conclusion


Endometriosis is a common and important clinical problem of women, predominantly those in the
reproductive age group. The condition is associated with islands of ectopic endometrial tissue.
Localization in the abdominal wall as presented above is rare and mostly associated with a
cesarean section. Such lesions can mimic tumors of the soft tissue or hematomas of other origin.
It is important to keep this rare differential diagnosis in mind and to inquire about any association
of the clinical symptoms with the menstrual cycle, since the presence of cyclic pain in a cesarean
associated incisional mass is almost pathognomonic for the condition.

The noninvasive imaging method of choice is contrast-enhanced MRI. Biopsy is necessary to
confirm the diagnosis. Upon confirmation the lesions must be surgically removed, lest they lead
to significant reduction in quality of life and fertility. Here, MRI imaging is also important in surgical
treatment planning, especially in finding additional lesions that need to be treated.
References
1. Olive, D.L., Schwartz, L.B. Endometriosis. N Engl J Med 1993 328: 1759-1769.

2. Khetan N, Torkington J, Watkin A, Jamison MH, Humphreys WV. Endometriosis: presentation to general surgeons. Ann R Coll Surg Engl 1999; 81: 255-259.

3. Kinkel K., Frei K.A., Balleyguier C., Chapron C. Diagnosis of endometriosis with imaging: a review. Eur Radiol 2006;16(2):285–298.

4. Markham SM, Carpenter SE, Rock JA. Extra pelvic endometriosis. Obstet Gynecol Clin North Am 1989; 16:193-219.

5. Roberge RJ, Kantor WJ, Scorza L. Rectus abdominis endometrioma. Am J Emerg Med 1999; 17: 675-7.

6. Ideyi SC, Schein M, Niazi M, Gerst PH. Spontaneous endometriosis of the abdominal wall. Dig Surg 2003; 20: 246-8.

7. Celik M., Bülbüloglu E., Büyükbese M. A., Cetinkaya A. Abdominal Wall Endometrioma: Localizing in Rectus Abdominus Sheath. Turk J Med Sci. 2004; 34: 341-343.

8. Hensen J, Van Breda A, Puylaert J. Abdominal Wall Endometriosis: Clinical Presentation and Imaging Features with Emphasis on Sonography. AJR 2006; 186: 616-
620.

9. Choudhary S, Fasih N, Papadatos D, Surabhi VR. Unusual imaging appearances of endometriosis. AJR 2009; 192: 1632 –1644.

10. Francica G. Scar Endometrioma: Too Unusual to Be Remembered? Am. J. Roentgenol., January 1, 2010; 194: W119 - W119.

11. Thapa, A. Kumar & S. Gupta : Abdominal Wall Endometriosis: Report Of A Case And How Much We Know About It? The Internet Journal of Surgery. 2007; 9(2).

12. Cornillie FJ, Oosterlynck D, Lauweryns JM, et al. Deeply infiltrating pelvic endometriosis: histology and clinical significance. Fertil Steril 1990; 53: 978-983.

13. Zawin M, McCarthy S, Scoutt L, et al. Endometriosis: appearance and detection at MR imaging. Radiology 1989; 171:693-696.

14. Pedrosa, E. A. Zeikus, D. Levine, N. M. Rofsky. MR Imaging of Acute Right Lower Quadrant Pain in Pregnant and Nonpregnant Patients
    RadioGraphics May 1, 2007 27:721-743.

15. Bazot et al. Deep Pelvic Endometriosis: MR Imaging for Diagnosis and Prediction of Extension of Disease. Radiology 2004; 232: 379-389.

16. Togashi K, Nishimura K, Kimura I, et al. Endometrial cysts: diagnosis with MR imaging. Radiology 1991; 180:73-78.

17. Kinkel K, Chapron C, Balleyguier C, et al. Magnetic resonance imaging characteristics of deep endometriosis. Hum Reprod 1999; 14:1080-1086.

18. Siegelman ES, Outwater EK. Tissue characterization in the female pelvis by means of MR imaging. Radiology 1999; 212:5-18.

19. Ha HK, Lim YT, Kim HS, Suh TS, Song HH, Kim SJ. Diagnosis of pelvic endometriosis: fat-suppressed T1-weighted vs conventional MR images.
    AJR Am J Roentgenol 1994; 163:127-131.

20. Sugimura K, Okizuka H, Imaoka I, et al. Pelvic endometriosis: detection and diagnosis with chemical shift MR imaging. Radiology 1993;188 : 435–438.

21. Seydel AS, Sickel JZ, Warner ED, Sax HC. Extrapelvic endometriosis: Diagnosis and treatment. Am J Surg 1996; 171 (2): 239 - 241.

22. Rivlin ME, Das SK, Patel RB, Meeks GR. Leuprolide acetate in the management of cesarean scar endometriosis. Obstet Gynecol 1995; 85:838-9.

23. Ascher SM, Agrawal R, Bis KG, et al. Endometriosis: appearance and detection with conventional and contrast-enhanced fat-suppressed spin-echo techniques.
    J Magn Reson Imaging 1995;5 : 251–257.
Visit the author's website at:
            www.xraydoc.de




View Andrei Dumitrescu's profile on LinkedIn

Cesarean scar endometriosis

  • 1.
    Cesarean scar endometriosis:Clinical presentation and imaging features with a focus on MRI Educational Exhibit at the European Congress of Radiology, Vienna, 2012 Authors: A. S. Dumitrescu, T. Herold; DOI: 10.1594/ecr2012/C-0505 Learning objectives Endometriosis is a common and important clinical problem of women, predominantly those in the reproductive age group. Endometriosis of the abdominal wall is less frequent and is mostly associated with cesarean section scars. It can pose diagnostic difficulties and should be in the differential diagnosis of abdominal wall lumps in females. The purpose of this exhibit is: 1. to review the clinical presentation and imaging findings of abdominal wall endometriosis with intramuscular as well as subcutaneous lesions following caesarian section; 2. to discuss diagnostic strategies with a focus on MRI imaging; 3. to briefly review this condition's incidence, pathology and treatment.
  • 2.
    Background Endometriosis was firstdescribed by Rokitansky in 1860 and is defined as the presence of endometrial glandular tissue outside of the uterus. Clinical presentation The most common symptoms are dysmenorrhea, dyspareunia, pelvic pain, and infertility, although only a minority of patients present with all the symptoms and many patients are Asymptomatic. Localization Frequent localizations in the pelvis include the ovaries, uterine ligaments, serosal surfaces, cul-de-sac, fallopian tubes, rectosigmoid, and urinary bladder (Fig. 1). [3] Extrapelvic endometriosis are bladder, kidney, bowel, omentum, lymph nodes, lungs, pleura, extremities, umbilicus, hernial sacs, and the abdominal wall. [4] Pathology The foci of endometrial tissue are generally small (Fig. 2 on page 4). Typical histopathologic features are endometrial glands, endometrial stroma and hemosiderin- laden macrophages (Fig. 3). Ectopic endometrial glandular tissue is influenced by ovarian hormones and undergoes cyclic bleeding. Over time, the repeated hemorrhaging can produce extensive fibrosis surrounding the endometrial tissue, which can result in adhesions to neighboring structures, e.g. adnexal structures, peritoneum, bowel, depending on the localization. [12]
  • 3.
    Epidemiology The prevalence ofendometriosis is difficult to determine accurately; however, it has been estimated to affect 5–10% of both symptomatic and asymptomatic women, the frequency being higher in women with infertility and pelvic pain. [1] Localization in the abdominal wall (Fig. 4) is comparatively rare and most frequently follows obstetrical and gynecological surgeries. The actual incidence of abdominal wall endometriosis is unknown but one series reported that only 6% of these were unrelated to scars. [6] In another series the prevalence of surgically proven endometriosis in scars was 1.6%. [5] Therapy Treatment of endometriomas is most often surgical. Wide excision of abdominal wall lesions may sometimes require mesh placement. [21] Medical treatment involves use of progestogens, oral contraceptive pills, danazol, and gonadotrophin agonists. [22] It provides only partial relief in symptoms with no change in the lesion size and involves numerous side effects such as amenorrhea, weight gain, hirsutism, and acne. Surgically treated patients need to be followed up because of the chances of recurrence, which require re-excision. In cases of continual recurrence the possibility of malignancy needs to be ruled out.
  • 4.
    Imaging considerations Endometriosis, inpatients with scars, is more common in the abdominal skin and subcutaneous tissue compared to muscle and fascia. Endometriosis involving only the rectus muscle and sheath is very rare. [7] In this unusual localization, clinical as well as initial imaging findings are likely to be misinterpreted by physicians and radiologists (e.g., as abscesses or malignant tumors). Along with the comparative rarity of the disease this leads to frequent overlooking of the correct diagnosis. [8,9,10] Usually, the initial imaging examination for suspected endometriosis is pelvic ultrasound. Magnetic resonance imaging (MRI) provides superior anatomic detail and better defines abnormalities found using ultrasonography. The multiplanar capability, high sensitivity for detection of blood products, and ability to identify sites of disease hidden by dense adhesions have made MRI the noninvasive imaging technique of choice for more accurate disease detection and staging. [13,14] It has been shown that MRI has high accuracy in assessing the extension of the disease and assisting surgical treatment planning. [15] Most endometriomas have a relatively homogeneous high signal intensity on native T1-weighted images. On T2-weighted scans, endometriomas often exhibit a phenomenon known as T2-shading, i.e. T2 shortening often associated with a dependent layering on T2-weighted scans reflecting the chronic accumulation of blood degradation products resulting from repeated hemorrhaging over months and years. [16,17] Fat suppression narrows the dynamic signal range, thereby accentuating differences in tissue signal. Thus, lesion conspicuity is improved. Furthermore, differentiation between hemorrhagic and fat components is also facilitated. This has been shown to improve the sensitivity of MR imaging in the detection of small lesions and to increase its specificity, since fat-containing lesions such as dermoids are eliminated from the differential diagnosis. [18, 19, 20] Contrast-enhanced sequences are useful for detection of very small endometrial implants associated with inflammatory reaction, as well as assessing for malignant change. [23]
  • 5.
    Sample case A 33years old female Caucasian patient was referred to our department for imaging of a painful, subcutaneous nodular lesion in the left lower quadrant of the anterior abdominal wall situated at the site of the cesarean section she had undergone 2 years before. Clinical examination at admission revealed a palpable, hard nodule, sensitive to pressure. The patient reported having noticed this some 18 months before, the nodule becoming progressively painful over time. Initial imaging involved ultrasound examination at admission as well as contrast-enhanced CT of the abdomen and pelvis in our department. The CT scans revealed two adjacent solid nodular lesions, each some 2 cm in size, one in the left rectus abdominis muscle (Fig. 5) and another in the corresponding subcutaneous fat (Fig. 6), along with signs of a localized inflammatory reaction in the surrounding fat tissue (Fig. 7).
  • 6.
    The lesion's soliddensity and the absence of discernible gas inclusions virtually ruled out an abscess of the abdominal wall. Rather, the findings were interpreted as pointing primarily towards a chronic inflammatory, i.e. granulomatous lesion of as yet unclear aetiology, with a soft tissue tumor as a possible differential diagnosis, possibly associated with a secondary hematoma of the abdominal wall. Subsequently the patient was referred to MRI for further, more differentiated imaging. Here, renewed questioning of the patient revealed that pain and swelling associated with the lesion showed a certain periodicity and peaked at the time of menstruation.
  • 7.
    The examination confirmedthe presence of two neighboring foci in the left rectus abdominis muscle as well as subcutaneous, with limited inflammation of the surrounding fat tissue. On the T1-weighted scans the lesions showed slight hyperintensity, both native and fat saturated.
  • 8.
    The T2-weighted scansshowed low lesion signal, a phenomenon known as T2 shading [24]:
  • 9.
    Furthermore, in allperformed scans but especially in the inversion recovery scans (TIRM) the lesion showed small signal-free dots characteristic of small hemosiderin inclusions.
  • 10.
    After contrast injectionthe lesions showed marked enhancement:
  • 11.
    The MRI appearanceof the lesions ruled out an abscess and confirmed the similarity of the intramuscular and subcutaneous foci. It further suggested subacute and chronic micro-hemorrhaging within the lesions, possibly consistent with hypervascularized tumors such as melanoma or soft tissue sarcoma but also with ectopic endometrial tissue islands, i.e. endometriosis. At this stage correlation with anamnestic data (especially the fluctuation of symptoms with the menstrual cycle) proved crucial, ultimately tipping the balance of evidence in favor of endometriosis. This diagnosis was confirmed by subsequent biopsy and surgical therapy was succesfully performed.
  • 12.
    Conclusion Endometriosis is acommon and important clinical problem of women, predominantly those in the reproductive age group. The condition is associated with islands of ectopic endometrial tissue. Localization in the abdominal wall as presented above is rare and mostly associated with a cesarean section. Such lesions can mimic tumors of the soft tissue or hematomas of other origin. It is important to keep this rare differential diagnosis in mind and to inquire about any association of the clinical symptoms with the menstrual cycle, since the presence of cyclic pain in a cesarean associated incisional mass is almost pathognomonic for the condition. The noninvasive imaging method of choice is contrast-enhanced MRI. Biopsy is necessary to confirm the diagnosis. Upon confirmation the lesions must be surgically removed, lest they lead to significant reduction in quality of life and fertility. Here, MRI imaging is also important in surgical treatment planning, especially in finding additional lesions that need to be treated.
  • 13.
    References 1. Olive, D.L.,Schwartz, L.B. Endometriosis. N Engl J Med 1993 328: 1759-1769. 2. Khetan N, Torkington J, Watkin A, Jamison MH, Humphreys WV. Endometriosis: presentation to general surgeons. Ann R Coll Surg Engl 1999; 81: 255-259. 3. Kinkel K., Frei K.A., Balleyguier C., Chapron C. Diagnosis of endometriosis with imaging: a review. Eur Radiol 2006;16(2):285–298. 4. Markham SM, Carpenter SE, Rock JA. Extra pelvic endometriosis. Obstet Gynecol Clin North Am 1989; 16:193-219. 5. Roberge RJ, Kantor WJ, Scorza L. Rectus abdominis endometrioma. Am J Emerg Med 1999; 17: 675-7. 6. Ideyi SC, Schein M, Niazi M, Gerst PH. Spontaneous endometriosis of the abdominal wall. Dig Surg 2003; 20: 246-8. 7. Celik M., Bülbüloglu E., Büyükbese M. A., Cetinkaya A. Abdominal Wall Endometrioma: Localizing in Rectus Abdominus Sheath. Turk J Med Sci. 2004; 34: 341-343. 8. Hensen J, Van Breda A, Puylaert J. Abdominal Wall Endometriosis: Clinical Presentation and Imaging Features with Emphasis on Sonography. AJR 2006; 186: 616- 620. 9. Choudhary S, Fasih N, Papadatos D, Surabhi VR. Unusual imaging appearances of endometriosis. AJR 2009; 192: 1632 –1644. 10. Francica G. Scar Endometrioma: Too Unusual to Be Remembered? Am. J. Roentgenol., January 1, 2010; 194: W119 - W119. 11. Thapa, A. Kumar & S. Gupta : Abdominal Wall Endometriosis: Report Of A Case And How Much We Know About It? The Internet Journal of Surgery. 2007; 9(2). 12. Cornillie FJ, Oosterlynck D, Lauweryns JM, et al. Deeply infiltrating pelvic endometriosis: histology and clinical significance. Fertil Steril 1990; 53: 978-983. 13. Zawin M, McCarthy S, Scoutt L, et al. Endometriosis: appearance and detection at MR imaging. Radiology 1989; 171:693-696. 14. Pedrosa, E. A. Zeikus, D. Levine, N. M. Rofsky. MR Imaging of Acute Right Lower Quadrant Pain in Pregnant and Nonpregnant Patients RadioGraphics May 1, 2007 27:721-743. 15. Bazot et al. Deep Pelvic Endometriosis: MR Imaging for Diagnosis and Prediction of Extension of Disease. Radiology 2004; 232: 379-389. 16. Togashi K, Nishimura K, Kimura I, et al. Endometrial cysts: diagnosis with MR imaging. Radiology 1991; 180:73-78. 17. Kinkel K, Chapron C, Balleyguier C, et al. Magnetic resonance imaging characteristics of deep endometriosis. Hum Reprod 1999; 14:1080-1086. 18. Siegelman ES, Outwater EK. Tissue characterization in the female pelvis by means of MR imaging. Radiology 1999; 212:5-18. 19. Ha HK, Lim YT, Kim HS, Suh TS, Song HH, Kim SJ. Diagnosis of pelvic endometriosis: fat-suppressed T1-weighted vs conventional MR images. AJR Am J Roentgenol 1994; 163:127-131. 20. Sugimura K, Okizuka H, Imaoka I, et al. Pelvic endometriosis: detection and diagnosis with chemical shift MR imaging. Radiology 1993;188 : 435–438. 21. Seydel AS, Sickel JZ, Warner ED, Sax HC. Extrapelvic endometriosis: Diagnosis and treatment. Am J Surg 1996; 171 (2): 239 - 241. 22. Rivlin ME, Das SK, Patel RB, Meeks GR. Leuprolide acetate in the management of cesarean scar endometriosis. Obstet Gynecol 1995; 85:838-9. 23. Ascher SM, Agrawal R, Bis KG, et al. Endometriosis: appearance and detection with conventional and contrast-enhanced fat-suppressed spin-echo techniques. J Magn Reson Imaging 1995;5 : 251–257.
  • 14.
    Visit the author'swebsite at: www.xraydoc.de View Andrei Dumitrescu's profile on LinkedIn