FOCUSED APPROACH TO ANTENATAL CARE
FIRST TRIMESTER SCREENING
DR BHARTI GAHTORI
12WKS FETOMATERNAL WELLBEING CLINIC
WHAT DEFINES A GOOD ANTENATAL CARE
1) It should be focused and individualised - Each patient has its
own risk factors and history, which need to be divulged with
utmost patience and precision.
2) It should aim at screening for conditions which are treatable,
conditions which need constant vigilance &surveillance and conditions
which needs urgent management.
3) We as obstetricians should be educated as well as updated with
the new advances in detection, counselling and management of
conditions complicating maternal as well as fetal outcome.
4) We should be aware of our expertise and limits and very prompt in
counselling and referring patients without delay when in a fix .
5) We should not be hesitant but interactive and close knit to share
and discuss our professional queries for the benefit of our patients.
THE ESSENTIAL ELEMENTS OF A FOCUSED
APPROACH TO ANTENATAL CARE IN OUR SETUPS
๏‚ด Targeted assessment based on womanโ€™s individual health situations to
ensure normal progress of the pregnancy which includes antepartum-
intrapartum-postpartum and postnatal period
๏ฑ To facilitate the early detection of and special care of complications ,
chronic conditions and other potential problems that can affect the
mother.
๏ฑ By incorporating new investigations, screening methods โ€“ routine &
special , diagnostic modalities and management options for early
detection, counselling and treatment of the affected mother and the fetus
๏ฑ Identification and surveillance of fetal conditions like aneuploidy,
malformations, infections , metabolic and haematological conditions
etc as early as possible by utilizing all the available modalities and plan
its management according to its severity and treatability
DEFINE SCREENING
Screening is a process of identifying apparently healthy people who
may be at increased risk of a disease or condition. Screening allows
high-risk individuals to be selected out of a population at low risk for
a given complication.
They can then be offered information, further diagnostic tests and
appropriate treatment to reduce their risk and/or any complications
arising from the disease or condition.
SENSITIVITY : ABILITY TO DETECT
INDIVIDUALS WITH THE PRESENCE
OF TARGET CONDITION.
SPECIFICITY : ABILITY TO DETECT
INDIVIDUALS WHO ARE
COMPLETELY DISEASE FREE.
FALSE POSITIVE :INDIVIDUALS NOT
WITH THE DISEASE BUT DETECTED
WITH IT. LEAST THE FP MORE THE
TEST SENSITIVE
FALSE NEGATIVE : INDIVIDUALS
WHO HAVE THE DISEASE BUT
DETECTED FREE OF IT. LEAST THE
FALSE NEGATIVE MORE THE TEST
SPECIFIC
DIAGNOSTIC TESTSCREENING TEST
IDEAL SCREENING TEST
TYPES OF SCREENING IN FIRST TRIMESTER
1) AGE : < 18 > 35
2)ETHNICITY : *Sickle cell anemia- African, African American, or Mediterranean
heritage
*Tay-Sachs disease, Ashkenazi (eastern and central European) Jewish
or French Canadian ancestry
* Cystic fibrosis : Caucasians
* Pregestational/ gestational diabetes : Asian , Hispanics
* Hemoglobinopathies : South east Asians
*Alpha & beta Thalassemia : Indian subcontinent
*Small nasal bone : Africans
3)OCCUPATION ( COUPLE) : For viral diseases like HIV , HBsAg , and CMV & other STD
PTO
RISK FACTOR SCREENING
BIODATA :
HISTORY OF PRESENT ILLNESS
H/o Fever with rash + LAP / other Infections(UTI, STI etc)
H/o Excessive Nausea /vomiting
H/o Pain lower abdomen ยฑ Bleeding P/V
H/o Exposure to X-Ray/CT scan/Intake of medical abortifacient
H/o Intake of folic acid /Current medications /Pre-pregnancy
medication / vaccination
MENSTRUAL AND GYNECOLOGICAL HISTORY
H/o regular / irregular cycles
H/o spontaneous conception/ ART
H/o Gynecological surgeries e.g myomectomy , septal resection ,
repeated D&C
H/o vaginal infection, warts etc
LMP by ( DATES/ UPT/ ART/ USG )
OBSTETRICAL HISTORY
G P A L
Pregnancy history -antepartum , intrapartum and postpartum
(associated illness and any complications)
H/o abortion , ectopic, IUD , stillbirth , neonatal death, HYDROPS
Mode of delivery( no. of LSCS & its complications )
PERSONAL AND FAMILY HISTORY
FAMILY H/O:
T.B/ D.M/ H.T/ Multiple Pregnancy/ Familial cancer/ Birth defects/
genetic disorders / hemoglobinopathies & others .
PERSONAL H/O :
Addictions / Pica /worms in stools /Depression /anxiety /Drug Allergy
PAST MEDICAL , MEDICATION & SURGICAL HISTORY
ANEUPLOIDY /GENETIC SCREENING
Age > 35 at EDB
H/oKnown teratogen exposure e.g Teratogenic drugs,( antiepileptics, isotretinion ,
ACE inhibitors, radiations including Xrays/CTscan/ radiotherapy
H/o High grade fever with rash , nonimmune to Rubella
H/o intake of abortifacient
H/o Exposure to medical conditions including maternal diabetes , Epilepsy, severe
thyroid ds , autoimmune ds.
H/o consanguinity
H/o termination of pregnancy for fetal abnormality
H/o previous child born with major congenital defect
H/o baby is mentally challenged /hearing disability/ delayed
H/o bleeding disorder in the baby
H/o any genetic disease in the family
RISK FACTORS FOR PET/IUGR/GDM/ THYROID DIS
/PRETERM DELIVERY
Previous pregnancies:
H/o recurrent spontaneous miscarriages(< >12wks) without a known
cause .
H/o unexplained IUD/ still birth/neonatal death.
H/o PIH/Thyroid dis/GDM/other illness in previous pregnancy.
H/o Any complication of pregnancy related disease /chronic disease .
H/o Previous baby with SGA/IUGR/LGA(>3.5kg)
IF Rh negative :
* H/o anti D for all pregnancies .
* H/o early/severe jaundice in baby, s/s of isoimmunisation irrespective
of Anti-D in the past , hydrops or IUD fetus .
EXAMINATION :
Weight - BMI (BMI is your weight (in kilograms) over your
height squared (in meters) 18 < > 30
Blood pressure : correct method
Mean arterial pressure : Pulse rate :
Chest /CVS
Pallor , icterus , cyanosis , pedal edema , etc
MATERNAL SCREENING
ROUTINE : At booking
*Blood group , Rh typing ( If Positive then HBG )
*Hb , Hct , CBC, platelets ( repeat at 28 weeks)
*Infection : VDRL , HIV , HBsAg , Rubella titre
*Urine routine and culture sensitivity
*Random Blood sugar
ADDITIONAL : depends on prevalence
*TSH * Gonorrhae/ chlamydia
*HCV * Pap smear
*Hb Electrophoresis ( thalassemia )
*GTT ( 75 gm glucose load with Fasting, Ist hr , 2nd hr)
*BMI >30 Kg/m2
*Previous baby โ‰ฅ4.5 Kg
*Previous h/o gestational diabetes
*Family history of diabetes
*Black, South Asian, M Eastern
FPG โ‰ฅ 92 mg% but < 126 mg% at first visit; 2 hr
post-glucose load level โ‰ฅ 140 mg% < 200mg%
If one of the following is abnormal at 24-28
weeks:
Fasting โ‰ฅ 92 mg%
1 hour โ‰ฅ 180 mg%
2 hours โ‰ฅ 153 mg%
โ€ข Cardiac disease
โ€ข Hypertension
โ€ข Renal disease
โ€ข Endocrine disorder or diabetes requiring insulin
โ€ข Psychiatric disorder (on medication)
โ€ข Haematological disorder, including thromboembolic disease
โ€ข Autoimmune diseases such as antiphospholipid syndrome
โ€ข Epilepsy requiring anticonvulsant drugs
โ€ข Severe asthma
โ€ข Drug use such as heroin, cocaine (including crack
cocaine) and ecstasy
โ€ข HIV or hepatitis B virus infection /cholestasis
โ€ข Obesity (BMI of 30 or more at first contact) or underweight (BMI
less than 18 at first contact)
Conditions in pregnant women increasing their risks, with
obstetric and/or medical care indicated:
โ€ข Recurrent miscarriage (three or more consecutive
pregnancy losses) or a mid - trimester loss
โ€ข Severe pre - eclampsia, HELLP syndrome or eclampsia
โ€ข Rhesus isoimmunization or other signifi cant blood group
antibodies
โ€ข Uterine surgery including caesarean section, myomectomy
โ€ข Antenatal or postpartum haemorrhage on two occasions
โ€ข Retained placenta on two occasions
โ€ข Puerperal psychosis
โ€ข Grand multiparity (more than six pregnancies)
โ€ข A stillbirth or neonatal death
โ€ข A small for gestational age infant ( <5th centile)
โ€ข A large for gestational age infant ( >95th centile)
โ€ข A baby weighing < 2500 g or > 4500 g
โ€ข A baby with a congenital anomaly (structural or chromosomal)
Women who have experienced any of the following in
previous pregnancies
PRENATAL SCREENING: Is testing for diseases or
conditions in a fetus or embryo before it is born.
MATERNAL SERUM MARKERS + 2D/3D ULTRASOUND + DOPPLER
1) Beta HCG / FREE Beta HCG
2) PAPP-A
VIABILITY SCAN ( 6.5 WKS โ€“ 10 WKS)
a. Confirmation of the presence of an intrauterine live pregnancy
b. Evaluation of a suspected ectopic pregnancy/H mole / abortion
c. Defining and evaluating the cause of vaginal bleeding & pelvic pain
d. Estimation of gestational (menstrual) age
e) Diagnosis or evaluation of multiple gestations
f) Evaluation of maternal pelvic masses and/or uterine abnormalities
NUCHAL SCAN ( 11- 13.6 WKS)
TURNING THE PYRAMID OF PREGNANCY CARE
FIRST TRIMESTER SCREENING : TURNING THE SPECIALIST CARE
PYRAMID UPSIDE DOWN
โ€ข FETAL MEDICINE ESTABLISED AS A NEW FIELD SPECIFICALLY WORKING IN
CREATING PROTOCOLS ,NEWER METHODOLOGIES AND GENERATE
SPECIALIST TRAINERS TO ASSESS NUCHAL TRANSLUCENCY & OTHER USG
MARKERS FOR ANEUPLOIDY .
โ€ข FURTHER HELP BEING PROVIDED BY THE CONSTANT ADVANCEMENTS IN
THE RESOLUTION & QUALITY OF ULTRASOUND MACHINES AND ADDITION
OF NEW FINER SERUM MARKERS WITH BETTER SENSITIVITY AND SPECIFICITY
โ€ข AVAILABILITY OF SPECIALISED LABORATORIES WHICH PROVIDE
ASSISTANCE EVEN IN SMALL CITIES WITH SPECIAL SOFTWARES GENERATED
TO CALCULATE COMBINED RISK INCLUDING THE PRIORI RISK ALL WITH
OTHER HIGH RISK, SERUM AND ULTRASOUND MARKER RISK AND THEREBY
IMPROVE DETECTION RATE
COMPONENTS OF FIRST TRIMESTER SCREENING
1 ) SCREENING FOR ANEUPLOIDY /CHROMOSOMAL DEFECTS
2) SCREENING FOR FETAL STRUCTURAL ANOMALY
3) SCREENING FOR RISK OF EARLY PRECLAMPSIA & FGR
4) MULTIFETAL GESTATION SCREENING FOR CHRIONICITY &
PREDICTION OF RELATED COMPLICATIONS
7) SCREENING FOR PRETERM LABOUR
COMBINING : ULTRASOUND 2D+ 3D UT. A DOPPLER PAPP-A ฮฒHCG
5) DETECTION AND SCREENING FOR GENETIC DISORDERS
6) DETECTION OF PREXISTING DM ,GDM AND THYROID DISORDERS
FETAL ANEUPLOIDY
Fetal aneuploidy refers to the abnormal number of chromosomes,
other than usual diploid complement of 46 chromosomes .
TRISOMY : Presence of single additional chromosome, known as trisomy, is
an important cause of congenital malformations. The most common
autosomal trisomies are Down syndrome ( Trisomy 21) , Edwardโ€™s
syndrome ( trisomy 18) and Patau syndrome ( Trisomy 13).
Trisomy 21 is the most common of them and one of the most important
cause of congenital mental retardation, affecting approx. 1:800 to 1 :900
live births .
Trisomy 18 & 13 are considered lethal malformation with 95% trisomy 18
infants dying with in 1 yr of age and trisomy 13 infants dying within 3 mths
of age.
Incidence of trisomy 18 ~ 1:3000 live births
Incidence of trisomy 13 ~ 1:5000 live births
Antenatal sonographic based screening is
able to detect over 90% of cases of trisomy
21, trisomy 18 and trisomy 13.
SCREENING FOR CHROMOSOMAL DEFECTS
Every time a test is carried out the a priori risk is multiplied by the
likelihood ratio of the test to calculate a new risk, which then becomes
the a priori risk for the next test.
Every woman has a risk that her fetus/baby has a chromosomal defect
.The background or A PRIORI RISK depends on maternal age and gestation
The individual patient-specific risk is calculated by multiplying the a
priori risk with a series of likelihood ratios, which depend on the results of
a series of ultrasound and serum markers used as screening tests in first
trimester.
The likelihood ratio for a given sonographic or biochemical measurement
is calculated by dividing the percentage of chromosomally abnormal
fetuses by the percentage of normal fetuses with that measurement.
ANEUPLOIDY SCREENING- MAIN COMPONENTS
โ€ข MATERNAL AGE
โ€ข NUCHAL TRANSLUCENCY
โ€ข FETAL HEART RATE
โ€ข SERUM BIOCHEMISTRY
โ€ข NEW ULTRASOUND MARKERS
MATERNAL AGE
The risk for trisomy 21:
๏‚ด Increases with maternal age
๏‚ด Decreases with gestational age
because about 30% of affected
fetuses die between the 12th and 40th
week of pregnancy
โ€ข The risk for trisomy 21 increases with
maternal age but because there are
a lot more women in the younger
age group the majority of fetuses
with trisomy 21 are in the women
aged under 35 years
OTHER DEFECTS
๏‚ด The risk for trisomies 18 and 13
increases with maternal age and
decreases with gestation. The rate
of fetal death between the 12th
and 40th week is about 80%
๏‚ด Turner syndrome is unrelated to
maternal age. The rate of fetal
death between the 12th and 40th
week is about 80%. The
prevalence is about 1 in 1500 at 12
weeks and 1 in 4000 at 40 weeks
๏‚ด Triploidy is unrelated to maternal
age. The prevalence at 12 weeks
is about 1 in 2000 but it is highly
lethal and is very rarely observed
in live births
NUCHAL TRANSLUCENCY
๏‚ด Definition :Nuchal translucency (NT) is the
sonographic appearance of a collection of fluid
under the skin behind the fetal neck in the first
trimester of pregnancy
๏‚ด The term translucency is used, irrespective of
whether it is septated or not and whether it is
confined to the neck or envelopes the whole
fetus
๏‚ด The incidence of chromosomal and other
abnormalities is related to the size, rather than
the appearance of NT
๏‚ด During the second trimester, the translucency
usually resolves and, in a few cases, it evolves
into either nuchal edema or cystic hygromas
with or without generalized hydrops
WHY ONLY BETWEEN 11WKS- 13.6 WKS
๏‚ด The reasons for selecting 11 weeks as the earliest gestation are:
The physiological extra-abdominal herniation of bowel persists and
cranial vault is not ossified till 11 weeks gestation.
๏‚ด Screening necessitates the availability of a diagnostic test and chorionic
villous sampling before this gestation is associated with transverse limb
reduction defects.
๏‚ด Finally, aside from NT measurement, the effectiveness of first trimester
markers prior to 11 weekโ€™s gestation is likely reduced
โ€ข The reasons for selecting 13 weeks and 6 days as the upper limit are:
To provide women with affected fetuses the option of 1st rather than
2nd trimester termination
โ€ข The incidence of abnormal accumulation of nuchal fluid in
chromosomally abnormal fetuses decreases after 13 weeks.
โ€ข The success rate for taking a measurement decreases after 13 weeks
because the fetus becomes vertical making it more difficult to obtain
the appropriate image
The optimal gestational age for measurement of fetal NT is 11+0-13+6 weeks. The
minimum fetal crownโ€“rump length (CRL) should be 45 mm and the maximum 84 mm.
NUCHAL TRANSLUCENCY
Nuchal thickness increases with CRL in euploid
The median NT for euploid =2.0 mm
For trisomy 21 =3.4 mm
For trisomy 18= 5.5 mm
For trisomy 13 =4.0 mm
For turners Syn = 9.2 mm resp.
The thicker the NT the worse foetal prognosis
is. Pathological values of NT usually range
between 1.8 - 2 MoM or a measure greater
than 3 mm (regardless of the MoM) increases
30% risk of aneuploidy
The 99th centile is about 3.5 mm
and does not change with CRL
In 75-80% of trisomy 21 fetuses the NT
thickness is above the 95th centile of the
normal range .
IF RAISED NT BUT NORMAL CHROMOSOMES ON
DIAGNOSTIC TEST
Good chance of a healthy baby
90% if NT < 4.5 mm
80% if NT between 4.5 and 6.4 mm
45% if NT > 6.5 mm
ADVICE : QUADRUPLE MARKER , TARGET SCANNING WITH GENETIC
SONOGRAM IN 2ND TRIMESTER PLUS FETAL ECHO
-20-30% have adverse pregnancy outcome eg IUFD, PRETERM ,
LBW
-Increased chances of other genetic syndrome not detectable
by genetic testing , skeletal dysplasias , congenital heart disease
and non immune hydrops .
FETAL HEART RATE
Measurement of fetal heart rate (FHR):
*A transverse or longitudinal section of the heart is
obtained. Pulsed wave Doppler is used to obtain 6-10
cardiac cycles during fetal quiescence
*The FHR is calculated by the ultrasound machine
software
In normal pregnancy,
The FHR increases from about
110 bpm at 5 weeks of gestation to
170 bpm at 10 weeks and then gradually decreases to
150 bpm by 14 weeks
In trisomy 21 the FHR is mildly increased and is above
the 95th centile in about 15% of cases
In trisomy 18 the FHR is mildly decreased and is below
the 5th centile in about 15% of cases
In trisomy 13 the FHR is substantially increased and is
above the 95th centile in 85% of cases
Inclusion of FHR brings a major improvement in the detection of trisomy 13
It is important in distinguishing between trisomy 18 and 13, which are otherwise similar in
presenting with increased fetal NT and decreased maternal serum free ฮฒ-hCG and PAPP-A
MATERNAL SERUM MARKERS IN FIRST TRIMESTER
*Dimeric glycoprotein hormone (ฮฑ & รŸ subunits) secreted by the
fertilised ovum and later by placental tissue.
*Primary function is to maintain the corpus luteum, later
produces Progesterone & Oestrogen to maintain early
pregnancy
*Maternal serum hCG maximal during first trimester, then
declines during second trimester
Serum human chorionic gonadotrophin (hCG)
Overall, in Trisomy 21 รŸhCG values are higher, those higher than
2.5 MoM indicating a possible pathology. In Trisomies 13 and
18, these values are generally low, with suspicious values being
those below 0.4 MoM.
*It is a glycoprotein synthesized in chorionic villi of the placenta . This
protein is a key regulator of insulin-like growth factor bioavailability
essential for normal fetal development. It continues to increase during
the pregnancy period and declines after delivery.
Pregnancy Associated Plasma Protein A (PAPP A)
*ALSO, pathological low level of PAPP-A if <0.5 MOM (normal = 1MOM)
has been associated with other adverse fetal outcomes and
thrombophilia and patients can be empirically started on LDA & LMW
Heparin.
*It has become an important serum marker individually and in
combination for detecting aneuploidies including all trisomies and
other chromosomal defect. When PAPP-A is low ( < 0.4 MoM )the risk
for Down syndrome is increased and when it is elevated, the risk is
reduced.
<0.45 MoM (5th percentile)
- 1 to 4% risk of pregnancy loss before 20 weeks
- increased risk of intrauterine growth restriction,
positive predictive value 14%
- increased risk of preterm delivery before 34
weeks
<0.29 MoM (1st percentile)
- significantly increased risk of intrauterine growth
restriction, with positive predictive values of
24%
FREE รŸ-hCG & PAPP-A VALUES IN DOWN SYNDROME
In trisomy 21 pregnancies maternal serum
free รŸ-Hcg ( ~2.5 MoM) is about twice as
high and PAPP-A( ~ 0.4MoM) is reduced to
about half compared to chromosomally
normal pregnancies
90% detection of Tri 18 4.5% FPR
If both PAPP-A and B-hCG are very low
MoM = Increased risk for tri 18, triploidy,
fetal anomalies or perinatal complications
Performance of screening for trisomy 21 by
maternal age and serum free รŸ-hCG and
PAPP-A:
Detection rate 65%
False positive rate 5%
MATERNAL SERUM MARKERS
We know now that Trisomic pregnancies are
associated with altered maternal serum
concentrations of various feto-placental
products
Screening in the first trimester by a
combination of maternal age, fetal NT, FHR
and serum free รŸ-hCG and PAPP-A identifies
about 90% of trisomy 21 pregnancies for a
false positive rate of 3%
Marker values in various aneuploidies
FACTORS AFFECTING THE SERUM MARKER VALUES
The measured concentration of free
รŸ-hCG and PAPP-A is influenced by-
* the machine and reagents used,
* gestational age calculation
* maternal weight
* ethnicity
* smoking status
* method of conception
In the calculation of accurate patient-specific risks it is necessary to make
adjustments in the measured free รŸ-hCG and PAPP-A. Each measured level is
first converted to a multiple of the expected normal median (MoM) specific to
a pregnancy of the same gestation, maternal weight, smoking status, ethnicity
and method of conception
HOW TO GET BEST RESULTS FROM COMBINED
SCREENING
A good way of achieving a high performance
of screening for trisomy 21 and diagnosing
major fetal defects by ultrasound is to carry
out the blood test at 10 or 11 weeks and the
ultrasound scan at 12 weeks
DIFFERENCES IN MAIN ANEUPLOIDIES
At 11-13 weeks the relative prevalence of
trisomies 18 and 13 to trisomy 21 are about 1 to
2.5 and 1 to 7, respectively
All three trisomies are associated with increased
maternal age, increased fetal NT and decreased
maternal serum PAPP-A
A beneficial consequence of first-trimester
combined screening for trisomy 21 is the early
diagnosis of trisomies 18 and 13.
At a false positive rate of 3% the detection rate of
trisomy 21 is 90% and of trisomies 18 and 13 is
about 75%
DIFFERENCES BETWEEN ALL TRISOMIES
๏‚ด There are differences between
the three trisomies:
๏‚ด Fetal NT is higher in trisomies 18
and 13 than in trisomy 21
๏‚ด Serum PAPP-A is lower in
trisomies 18 and 13 than in
trisomy 21
๏‚ด Serum free รŸ-hCG in trisomy 21 is
high whereas in trisomies 18 and
13 this is low
๏‚ด Fetal heart rate in trisomy 13,
unlike trisomies 21 and 18, is high
DETECTION RATE OF VARIOUS MARKERS
INTERPRETATION OF MOM VALUES AND RISK OF
ANEUPLOIDY
MoM (multiple of median) - result reported strictly as multiple of median
MoMโ€™s vary with gestational age ,with assay method , with population tested
May need adjustment for:
โ€“ weight โ€“ ethnic group โ€“ other conditions e.g. diabetes โ€“ twin pregnancies - ART
- In screening using maternal serum biochemical markers, the measured concentration of
the markers is converted into a multiple of the median (MOM) of unaffected pregnancies at
the same gestation.
- The Gaussian distributions of log10 (MoM) in trisomy 21 and unaffected pregnancies are
then derived, and the ratio of the heights of the distributions at a particular MoM, which is
the likelihood ratio for trisomy 21.
-It is used to modify the a priori maternal age-related risk to derive the patient-specific risk.
RISK ASSESSMENT - EXAMPLE
MoMs that typically yield a high risk of Downโ€™s are those where, in
combination, the Free ฮฒ HCG MoM is > 2.5 and the PAPP-A is < 0.4
HIGH RISK-
Woman > 35 years of age, with a
NT of > 2.0 mm, and
Free ฮฒ HCG -MoM >2.5 and
PAPP-A -MoM < 0.4
LOW RISK โ€“
Women < 35 years of age, with a
NT of < 2.0 mm, combined with a
Free ฮฒ HCG and PAPP-A MoM of 1.0.
Further tests required at an overall risk of 1:150
Reference Values
DOWN SYNDROME
Calculated screen risks <1/230 are reported as screen negative.
Risks > or =1/230 are reported as screen positive.
TRISOMY 18
Calculated screen risks <1/100 are reported as screen negative.
Risks > or =1/100 are reported as screen positive. A numeric risk for trisomy 18 risk is provided
with positive results on non-diabetic, non-twin pregnancies.
An interpretive report will be provided.
Interpretation
Screen-Negative:
A screen-negative result indicates that the calculated screen risk is below the established cutoff
of 1/230 for Down syndrome and 1/100 for trisomy 18. A negative screen does not guarantee the
absence of trisomy 18 or Down syndrome. Screen-negative results typically do not warrant
further evaluation.
Screen-Positive:
When a Down syndrome risk cutoff of 1/230 is used for follow-up, the combination of maternal
age, pregnancy-associated plasma protein A, human chorionic gonadotropin, and nuchal
translucency has an overall detection rate of approximately 85% with a false-positive rate of 5%
to 10%.
NEW ULTRASOUND MARKERS
NASAL BONE FACIAL ANGLE
DUCTUS
VENOSUS
TRICUSPID FLOW
ABERRANT RIGHT
SUBCLAVIAN
ARTERY
? WHEN TO OPT FOR NEW USG MARKERS
There are two strategies for
assessment of the new markers in
screening for trisomy 21 with similar
detection and false positive rates:
โ€ข One, some, or all markers are
examined in all cases
โ€ข The markers are examined only in
the subgroup of pregnancies with
an intermediate-risk (between 1 in
51 and 1 in 1000) after combined
fetal NT, FHR, free รŸ-hCG and
PAPP-A screening, which
constitutes only one sixth (15%) of
the total population
NASAL BONE AND FACIAL ANGLE
๏‚ด Done at the same plane as of CRL and NT
โ€ข At 11-13 weeks the nasal bone is considered to be absent in about:
Euploid fetuses 1-3%
Fetuses with trisomy 21 60%
Fetuses with trisomy 18 50%
Fetuses with trisomy 13 40%
Baby of Black woman might have small or absent nasal bone
โ€ข Assessment of the nasal bone & facial angle improves the performance
of combined screening increasing the detection rate from 90% to 94%
and decreasing the false positive rate from 3% to 2.5%
NEEDS EXPERTISE AND SPECIAL TRAINING TO MASTER IT
DUCTUS VENOSUS FLOW
Blood flow in the ductus has a
characteristic waveform with:
High velocity during ventricular
systole (S-wave) and diastole (D-
wave)
Forward flow during atrial
contraction (a-wave)
Qualitative assessment of the ductus
venosus blood flow is based on the
appearance of the a-wave:
Positive or absent (normal)
Reversed (abnormal)
REVERSED A-WAVE FORM
At 11-13 weeks reversed a-wave is found in about 4%
of fetuses
Reversed a-wave is more common if:
The gestation is 11 than 13 weeks
The fetal nuchal translucency is high
The maternal serum PAPP-A is low
The mother is Black
Reversed a-wave is associated with increased risk for:
*Chromosomal abnormalities *ะกardiac defects
*Fetal death
However, in about 80% of cases with reversed a-wave the
pregnancy outcome is normal
High pulsatility index for veins and absent or reversed a-
wave are observed in fetuses with aneuploidies, cardiac
defects, growth restriction and either the recipient or
donor fetus in twin-to-twin transfusion syndrome
Assessment of ductus venosus
a-wave improves the
performance of first-trimester
combined screening:
Detection rate 95%
False positive rate 2.5%
TRICUSPID FLOW
Normal profile with no regurgitation
during systole
*Regurgitation during
approximately half of systole and
with a velocity more than 60 cm/s
Do not mistake for tricuspid
regurgitation:
*The jet produced by aortic or
pulmonary arterial blood flow,
which at this gestation can
produce a maximum velocity of 50
cm/s
*The short reverse โ€˜spikeโ€™ generated
by closure of the valve cusp
TRICUSPID REGURGITATION
At 11-13 weeks tricuspid
regurgitation is found in about:
Euploid fetuses 1%
Fetuses with trisomy 21 55%
Fetuses with trisomy 18 30%
Fetuses with trisomy 13 30%
Tricuspid regurgitation is more
common if:
The gestation is 11 than 13 weeks
The fetal nuchal translucency is
high
Assessment of the tricuspid flow improves
the performance of combined screening
increasing the detection rate from 90% to
95% and decreasing the false positive rate
from 3% to 2.5%
DETECTING FETAL CARDIAC DEFECTS
The prevalence of major cardiac defects in euploid
fetuses is about 4 in 1,000
The risk for major cardiac defects is increased if the
fetal NT is high.
-Increased if the ductus a-wave is reversed
-Decreased if the ductus a-wave is normal
-Increased if there is tricuspid regurgitation
-Decreased if tricuspid flow is normal
-If there is tricuspid regurgitation examine the fetal
heart for major defects
FETAL DEATH
The risk of miscarriage or fetal death between
11 weeks and delivery is about 2%
The prevalence of reversed a-wave at 11-13
weeks is more than 10% in pregnancies
resulting in fetal death and less than 4% in
those resulting in live birth
The risk of fetal death is increased if:
The ductus venosus a-wave is reversed
*The maternal serum PAPP-A is low
*The mother is Black
*The mother is obese
If the ductus venosus a-wave is reversed
*Monitor fetal growth (scan at 20 and 28 wks)
*Monitor uterine artery PI
SCREENING PERFORMANCE OF ALL MARKERS-
ALONE OR COMBINED
PRENATAL DIAGNOSIS
Prenat Diagn 2011
REVIEW ARTICLE
STEPWISE PROTOCOL FOR SCREENING
SCREENING BASED ON FINAL FT RISK
SCREENING FOR STRUCTURAL DEFECTS
MULTIFETAL GESTATION
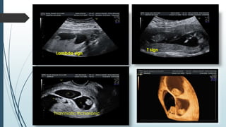
CHORIONICITY : The accurate determination of chorionicity is
fundamental for successful management of twin pregnancies
A distinct thickening of the dividing membrane (โ€œlambdaโ€orโ€œtwin peakโ€ sign)
represent dichorionic (DC)
Thin, โ€œT-shapedโ€ insertion of the membrane into the placental surface is
indicative of monochorionic placentation.
In monochorionic/diamniotic gestations, the risk of developing twin-to-twin
transfusion syndrome (TTTS) later in pregnancy may be estimated by
1) measuring the NTโ€™s (the likelihood of TTTS increases with increasing
difference in the NT measurements between the two fetuses)
2)evaluating the ductus venosus with Doppler (presence of reversed a-
wave increases the riskof TTTS)
3) Assessing the vascular connection in placenta via doppler
First trimester ultrasound screening is the only best option to detect
aneuploidy in multifetal gestation because serum markers are not valid.
Lambda sign
T sign
Triamniotic trichorionic
MULTIFETAL PREGNANCY-CHORIONICITY
PRETERM BIRTH SCREENING
Universal cervical length
screening and vaginal
progesterone prevents early
preterm births, reduces
neonatal morbidity and is
cost saving: Doing nothing
is no longer an option
RECENT STUDIES
CERVICAL LENGTH MEASUREMENT
Newer studies that proposed
measuring the endocervical
length avoiding the lower uterine
segment (isthmic part) show more
promising results for the prediction
of preterm delivery.
Fig. 1a &1b: Transvaginal
ultrasound pictures illustrating
(1a) the cervico-isthmic complex
and (1b) the measurement of the
length of the endocervix (A to B)
and the isthmus (C to D).
Inclusion of both low risk and high risk women:
1) H/o spontaneous preterm birth in the past
2) H/o recurrent mid-trimester pregnancy loss
3) Multifetal gestation
4) H/o cervical trauma
*The risk of spontaneous preterm birth is inversely related to the cervical
length measured by transvaginal sonography 11-14 weeks gestation .
In women with a short cervix (< 1.5 cm), sent to specialist care where
repeat cervical length assessment done .
* If again same finding then if the length was <1.5 cm, the women were
treated by cervical cerclage or vaginal progesterone( Gel with 90mg
progesterone / 200mg pessary) administration. It was found progesterone
reduces the risk of spontaneous early preterm delivery by about 45% .
*However, progesterone and cerclage is not as effective in women
with cervical length of 10 mm or those with a length of 10โ€“20 mm and
funnelling seen.
WORK IS GOING ON
REGARDING USE OF
CERVICAL PESSARIES
DURING PREGNANCY
SCREENING FOR RISK OF EARLY PRECLAMPSIA & FGR
INCLUDES : DETAILED HISTORY + PRESENCE OF HIGH RISK FACTORS IF ANY
WITH -MEAN ARTERIAL PRESSURE + PAPP-A + UTERINE ART DOPPLER PI
โ€ข Retrospective analysis of 1,658 singleton pregnancies at CRL of 45 to
84mm with outcomes
โ€ข Uterine artery โ€“ mean PI and lowest PI were plotted and the 95th centile
for each were calculated
โ€ข Mean PI : 95th centile: 2.51
Lowest PI : 95th centile: 2.29
(ACFM data)
MEASURING MEAN ARTERIAL PRESSURE
METHODOLOGY :The BP was taken by automated devices (3BTO-A2,
Microlife),which were calibrated before and at regular intervals during the
study. The recordings were made by doctors who had received
appropriate training on the use of these machines. The women were
in the seated position, their arms were supported at the level of the heart,
and a small (22-cm), normal (22- to 32-cm), or large (33- to 42-cm) adult
cuff was used depending on the midarm circumference.26 After rest for 5
minutes, BP was measured in both arms simultaneously, and a series of
recordings were made at 1-minute intervals until variations between
consecutive readings fell within 10 mm Hg in systolic and 6 mm Hg in
diastolic BP in both arms.When this point of stability was reached, we
calculated the MAP of each arm as the average of the last 2 stable
measurements, and, as recommended, we took the arm with the highest
final MAP for the subsequent analysis of results.
MAP = MAP = [(2 x diastolic)+systolic] / 3 CUTT OFF : > 90 mm Hg
RESULTS โ€“LOWEST PI> 2.3 AND ADVERSE
PREGNANCY OUTCOMES
RELATED STUDIES
EARLY SCREENING FOR PE
TAKE HOME MESSAGE
SCREENING FOR CONGENITAL HEART DEFECT ( DUCTUS + TR)
SCREENING FOR ADVERSE FETAL OUTCOME( PAPP-A +DV +TR + SUA
NIPT( Non invasive prenatal testing
๏‚ด Molecular techniques in prenatal diagnosis: This technique opens new horizon for noninvasive
prenatal testing. Various types of fetal cells have been identified in maternal circulation. These can
be
๏‚ด Free fetal cells in maternal circulation
๏‚ด Free nucleic acids (DNA and RNA) in maternal circulation.
๏‚ด Fetal cells in maternal circulation: Nucleated red blood cells could be used for prenatal diagnosis of
fetal aneuploidies. With an aneuploid fetus, Bianchi et al (1997) have reported a sixfold increase in
the number of fetal cells in the maternal blood but the isolation techniques are highly complex, so it
has limited application today.
๏‚ด Cell free fetal DNA in maternal circulation:
๏‚ด Studies demonstrated that Down syndrome pregnancies exhibit a 1.7-fold higher serum level of cff-
DNA than normal pregnancies.
๏‚ด Farina et al 2003 found that when added to the quadruple screening test in the 2nd trimester, fetal
DNA increased the detection rate for Down syndrome from 81 to 86% at a 5% FPR.
๏‚ด The technique has been tried successfully in fetal sexing for X-linked disorders and fetal Rh grouping
SCREENING PROTOCOL
ADVANTAGES OF FIRST TRIMESTER
SCREENING
Information earlier, more options
Reduce number of invasive procedures
May identify other severe anomalies (or risk for) at time of scan and increased
risk of adverse pregnancy outcomeโ€”referral for 2nd ฮ” evals.
Good time to date pregnancy accurately
NT good for multiple gestation
LIMITATIONS
Accuracy of NT strongly dependant on experience of ultrasonographers
Not all women enter prenatal care in time for screening
Results of screen may arrive too late for CVS or early amnio
Extra cost for first trimester ultrasound
Can not detect NTD or AWD, still need MSAFP
Nasal bone
Absence of the nasal bone is more common if:
The gestation is 11 than 13 weeks
The fetal nuchal translucency is high
The mother is Black
Facial angle
In euploid fetuses the mean facial angle decreases
with CRL from 84ยฐ at CRL 45 mm to 76ยฐ at CRL of 84
mm
The facial angle is above the 95th centile in:
Euploid fetuses 5%
Fetuses with trisomy 21 45%
Fetuses with trisomy 18 55%
๏‚ด Reversed a-wave
๏‚ด At 11-13 weeks reversed a-wave is found in about:
๏‚ด Euploid fetuses 3%
๏‚ด Fetuses with trisomy 21 65%
๏‚ด Fetuses with trisomy 18 55%
๏‚ด Fetuses with trisomy 13 55%
Trisomy 21
Effective first-trimester screening for trisomy 21 is
provided by a combination of maternal age, fetal NT
thickness, FHR and maternal serum free รŸโ€“hCG and
PAPP-A:
Detection rate 90%
False positive rate 3.0%
app a free beta hcg
0-68% detection of DS
0% detection of Tri 18
.5% false positive rate
lso drawn at 11-14 weeks
ome centers quote 87% detection of DS when
ombined with maternal age
both PAPP-A and B-hCG are very low MoM =
ncreased risk for tri 18, triploidy, fetal anomalies or
erinatal complications

Focused approach to antenatal care - First trimester screening

  • 1.
    FOCUSED APPROACH TOANTENATAL CARE FIRST TRIMESTER SCREENING DR BHARTI GAHTORI 12WKS FETOMATERNAL WELLBEING CLINIC
  • 2.
    WHAT DEFINES AGOOD ANTENATAL CARE 1) It should be focused and individualised - Each patient has its own risk factors and history, which need to be divulged with utmost patience and precision. 2) It should aim at screening for conditions which are treatable, conditions which need constant vigilance &surveillance and conditions which needs urgent management. 3) We as obstetricians should be educated as well as updated with the new advances in detection, counselling and management of conditions complicating maternal as well as fetal outcome. 4) We should be aware of our expertise and limits and very prompt in counselling and referring patients without delay when in a fix . 5) We should not be hesitant but interactive and close knit to share and discuss our professional queries for the benefit of our patients.
  • 3.
    THE ESSENTIAL ELEMENTSOF A FOCUSED APPROACH TO ANTENATAL CARE IN OUR SETUPS ๏‚ด Targeted assessment based on womanโ€™s individual health situations to ensure normal progress of the pregnancy which includes antepartum- intrapartum-postpartum and postnatal period ๏ฑ To facilitate the early detection of and special care of complications , chronic conditions and other potential problems that can affect the mother. ๏ฑ By incorporating new investigations, screening methods โ€“ routine & special , diagnostic modalities and management options for early detection, counselling and treatment of the affected mother and the fetus ๏ฑ Identification and surveillance of fetal conditions like aneuploidy, malformations, infections , metabolic and haematological conditions etc as early as possible by utilizing all the available modalities and plan its management according to its severity and treatability
  • 4.
    DEFINE SCREENING Screening isa process of identifying apparently healthy people who may be at increased risk of a disease or condition. Screening allows high-risk individuals to be selected out of a population at low risk for a given complication. They can then be offered information, further diagnostic tests and appropriate treatment to reduce their risk and/or any complications arising from the disease or condition. SENSITIVITY : ABILITY TO DETECT INDIVIDUALS WITH THE PRESENCE OF TARGET CONDITION. SPECIFICITY : ABILITY TO DETECT INDIVIDUALS WHO ARE COMPLETELY DISEASE FREE. FALSE POSITIVE :INDIVIDUALS NOT WITH THE DISEASE BUT DETECTED WITH IT. LEAST THE FP MORE THE TEST SENSITIVE FALSE NEGATIVE : INDIVIDUALS WHO HAVE THE DISEASE BUT DETECTED FREE OF IT. LEAST THE FALSE NEGATIVE MORE THE TEST SPECIFIC
  • 6.
  • 8.
  • 9.
    TYPES OF SCREENINGIN FIRST TRIMESTER 1) AGE : < 18 > 35 2)ETHNICITY : *Sickle cell anemia- African, African American, or Mediterranean heritage *Tay-Sachs disease, Ashkenazi (eastern and central European) Jewish or French Canadian ancestry * Cystic fibrosis : Caucasians * Pregestational/ gestational diabetes : Asian , Hispanics * Hemoglobinopathies : South east Asians *Alpha & beta Thalassemia : Indian subcontinent *Small nasal bone : Africans 3)OCCUPATION ( COUPLE) : For viral diseases like HIV , HBsAg , and CMV & other STD PTO RISK FACTOR SCREENING BIODATA :
  • 10.
    HISTORY OF PRESENTILLNESS H/o Fever with rash + LAP / other Infections(UTI, STI etc) H/o Excessive Nausea /vomiting H/o Pain lower abdomen ยฑ Bleeding P/V H/o Exposure to X-Ray/CT scan/Intake of medical abortifacient H/o Intake of folic acid /Current medications /Pre-pregnancy medication / vaccination MENSTRUAL AND GYNECOLOGICAL HISTORY H/o regular / irregular cycles H/o spontaneous conception/ ART H/o Gynecological surgeries e.g myomectomy , septal resection , repeated D&C H/o vaginal infection, warts etc LMP by ( DATES/ UPT/ ART/ USG )
  • 11.
    OBSTETRICAL HISTORY G PA L Pregnancy history -antepartum , intrapartum and postpartum (associated illness and any complications) H/o abortion , ectopic, IUD , stillbirth , neonatal death, HYDROPS Mode of delivery( no. of LSCS & its complications ) PERSONAL AND FAMILY HISTORY FAMILY H/O: T.B/ D.M/ H.T/ Multiple Pregnancy/ Familial cancer/ Birth defects/ genetic disorders / hemoglobinopathies & others . PERSONAL H/O : Addictions / Pica /worms in stools /Depression /anxiety /Drug Allergy PAST MEDICAL , MEDICATION & SURGICAL HISTORY
  • 12.
    ANEUPLOIDY /GENETIC SCREENING Age> 35 at EDB H/oKnown teratogen exposure e.g Teratogenic drugs,( antiepileptics, isotretinion , ACE inhibitors, radiations including Xrays/CTscan/ radiotherapy H/o High grade fever with rash , nonimmune to Rubella H/o intake of abortifacient H/o Exposure to medical conditions including maternal diabetes , Epilepsy, severe thyroid ds , autoimmune ds. H/o consanguinity H/o termination of pregnancy for fetal abnormality H/o previous child born with major congenital defect H/o baby is mentally challenged /hearing disability/ delayed H/o bleeding disorder in the baby H/o any genetic disease in the family
  • 13.
    RISK FACTORS FORPET/IUGR/GDM/ THYROID DIS /PRETERM DELIVERY Previous pregnancies: H/o recurrent spontaneous miscarriages(< >12wks) without a known cause . H/o unexplained IUD/ still birth/neonatal death. H/o PIH/Thyroid dis/GDM/other illness in previous pregnancy. H/o Any complication of pregnancy related disease /chronic disease . H/o Previous baby with SGA/IUGR/LGA(>3.5kg) IF Rh negative : * H/o anti D for all pregnancies . * H/o early/severe jaundice in baby, s/s of isoimmunisation irrespective of Anti-D in the past , hydrops or IUD fetus .
  • 14.
    EXAMINATION : Weight -BMI (BMI is your weight (in kilograms) over your height squared (in meters) 18 < > 30 Blood pressure : correct method Mean arterial pressure : Pulse rate : Chest /CVS Pallor , icterus , cyanosis , pedal edema , etc
  • 15.
    MATERNAL SCREENING ROUTINE :At booking *Blood group , Rh typing ( If Positive then HBG ) *Hb , Hct , CBC, platelets ( repeat at 28 weeks) *Infection : VDRL , HIV , HBsAg , Rubella titre *Urine routine and culture sensitivity *Random Blood sugar ADDITIONAL : depends on prevalence *TSH * Gonorrhae/ chlamydia *HCV * Pap smear *Hb Electrophoresis ( thalassemia ) *GTT ( 75 gm glucose load with Fasting, Ist hr , 2nd hr) *BMI >30 Kg/m2 *Previous baby โ‰ฅ4.5 Kg *Previous h/o gestational diabetes *Family history of diabetes *Black, South Asian, M Eastern FPG โ‰ฅ 92 mg% but < 126 mg% at first visit; 2 hr post-glucose load level โ‰ฅ 140 mg% < 200mg% If one of the following is abnormal at 24-28 weeks: Fasting โ‰ฅ 92 mg% 1 hour โ‰ฅ 180 mg% 2 hours โ‰ฅ 153 mg%
  • 16.
    โ€ข Cardiac disease โ€ขHypertension โ€ข Renal disease โ€ข Endocrine disorder or diabetes requiring insulin โ€ข Psychiatric disorder (on medication) โ€ข Haematological disorder, including thromboembolic disease โ€ข Autoimmune diseases such as antiphospholipid syndrome โ€ข Epilepsy requiring anticonvulsant drugs โ€ข Severe asthma โ€ข Drug use such as heroin, cocaine (including crack cocaine) and ecstasy โ€ข HIV or hepatitis B virus infection /cholestasis โ€ข Obesity (BMI of 30 or more at first contact) or underweight (BMI less than 18 at first contact) Conditions in pregnant women increasing their risks, with obstetric and/or medical care indicated:
  • 17.
    โ€ข Recurrent miscarriage(three or more consecutive pregnancy losses) or a mid - trimester loss โ€ข Severe pre - eclampsia, HELLP syndrome or eclampsia โ€ข Rhesus isoimmunization or other signifi cant blood group antibodies โ€ข Uterine surgery including caesarean section, myomectomy โ€ข Antenatal or postpartum haemorrhage on two occasions โ€ข Retained placenta on two occasions โ€ข Puerperal psychosis โ€ข Grand multiparity (more than six pregnancies) โ€ข A stillbirth or neonatal death โ€ข A small for gestational age infant ( <5th centile) โ€ข A large for gestational age infant ( >95th centile) โ€ข A baby weighing < 2500 g or > 4500 g โ€ข A baby with a congenital anomaly (structural or chromosomal) Women who have experienced any of the following in previous pregnancies
  • 18.
    PRENATAL SCREENING: Istesting for diseases or conditions in a fetus or embryo before it is born. MATERNAL SERUM MARKERS + 2D/3D ULTRASOUND + DOPPLER 1) Beta HCG / FREE Beta HCG 2) PAPP-A VIABILITY SCAN ( 6.5 WKS โ€“ 10 WKS) a. Confirmation of the presence of an intrauterine live pregnancy b. Evaluation of a suspected ectopic pregnancy/H mole / abortion c. Defining and evaluating the cause of vaginal bleeding & pelvic pain d. Estimation of gestational (menstrual) age e) Diagnosis or evaluation of multiple gestations f) Evaluation of maternal pelvic masses and/or uterine abnormalities NUCHAL SCAN ( 11- 13.6 WKS)
  • 20.
    TURNING THE PYRAMIDOF PREGNANCY CARE
  • 21.
    FIRST TRIMESTER SCREENING: TURNING THE SPECIALIST CARE PYRAMID UPSIDE DOWN โ€ข FETAL MEDICINE ESTABLISED AS A NEW FIELD SPECIFICALLY WORKING IN CREATING PROTOCOLS ,NEWER METHODOLOGIES AND GENERATE SPECIALIST TRAINERS TO ASSESS NUCHAL TRANSLUCENCY & OTHER USG MARKERS FOR ANEUPLOIDY . โ€ข FURTHER HELP BEING PROVIDED BY THE CONSTANT ADVANCEMENTS IN THE RESOLUTION & QUALITY OF ULTRASOUND MACHINES AND ADDITION OF NEW FINER SERUM MARKERS WITH BETTER SENSITIVITY AND SPECIFICITY โ€ข AVAILABILITY OF SPECIALISED LABORATORIES WHICH PROVIDE ASSISTANCE EVEN IN SMALL CITIES WITH SPECIAL SOFTWARES GENERATED TO CALCULATE COMBINED RISK INCLUDING THE PRIORI RISK ALL WITH OTHER HIGH RISK, SERUM AND ULTRASOUND MARKER RISK AND THEREBY IMPROVE DETECTION RATE
  • 22.
    COMPONENTS OF FIRSTTRIMESTER SCREENING 1 ) SCREENING FOR ANEUPLOIDY /CHROMOSOMAL DEFECTS 2) SCREENING FOR FETAL STRUCTURAL ANOMALY 3) SCREENING FOR RISK OF EARLY PRECLAMPSIA & FGR 4) MULTIFETAL GESTATION SCREENING FOR CHRIONICITY & PREDICTION OF RELATED COMPLICATIONS 7) SCREENING FOR PRETERM LABOUR COMBINING : ULTRASOUND 2D+ 3D UT. A DOPPLER PAPP-A ฮฒHCG 5) DETECTION AND SCREENING FOR GENETIC DISORDERS 6) DETECTION OF PREXISTING DM ,GDM AND THYROID DISORDERS
  • 23.
    FETAL ANEUPLOIDY Fetal aneuploidyrefers to the abnormal number of chromosomes, other than usual diploid complement of 46 chromosomes . TRISOMY : Presence of single additional chromosome, known as trisomy, is an important cause of congenital malformations. The most common autosomal trisomies are Down syndrome ( Trisomy 21) , Edwardโ€™s syndrome ( trisomy 18) and Patau syndrome ( Trisomy 13). Trisomy 21 is the most common of them and one of the most important cause of congenital mental retardation, affecting approx. 1:800 to 1 :900 live births . Trisomy 18 & 13 are considered lethal malformation with 95% trisomy 18 infants dying with in 1 yr of age and trisomy 13 infants dying within 3 mths of age. Incidence of trisomy 18 ~ 1:3000 live births Incidence of trisomy 13 ~ 1:5000 live births Antenatal sonographic based screening is able to detect over 90% of cases of trisomy 21, trisomy 18 and trisomy 13.
  • 24.
    SCREENING FOR CHROMOSOMALDEFECTS Every time a test is carried out the a priori risk is multiplied by the likelihood ratio of the test to calculate a new risk, which then becomes the a priori risk for the next test. Every woman has a risk that her fetus/baby has a chromosomal defect .The background or A PRIORI RISK depends on maternal age and gestation The individual patient-specific risk is calculated by multiplying the a priori risk with a series of likelihood ratios, which depend on the results of a series of ultrasound and serum markers used as screening tests in first trimester. The likelihood ratio for a given sonographic or biochemical measurement is calculated by dividing the percentage of chromosomally abnormal fetuses by the percentage of normal fetuses with that measurement.
  • 25.
    ANEUPLOIDY SCREENING- MAINCOMPONENTS โ€ข MATERNAL AGE โ€ข NUCHAL TRANSLUCENCY โ€ข FETAL HEART RATE โ€ข SERUM BIOCHEMISTRY โ€ข NEW ULTRASOUND MARKERS
  • 26.
    MATERNAL AGE The riskfor trisomy 21: ๏‚ด Increases with maternal age ๏‚ด Decreases with gestational age because about 30% of affected fetuses die between the 12th and 40th week of pregnancy โ€ข The risk for trisomy 21 increases with maternal age but because there are a lot more women in the younger age group the majority of fetuses with trisomy 21 are in the women aged under 35 years
  • 27.
    OTHER DEFECTS ๏‚ด Therisk for trisomies 18 and 13 increases with maternal age and decreases with gestation. The rate of fetal death between the 12th and 40th week is about 80% ๏‚ด Turner syndrome is unrelated to maternal age. The rate of fetal death between the 12th and 40th week is about 80%. The prevalence is about 1 in 1500 at 12 weeks and 1 in 4000 at 40 weeks ๏‚ด Triploidy is unrelated to maternal age. The prevalence at 12 weeks is about 1 in 2000 but it is highly lethal and is very rarely observed in live births
  • 28.
    NUCHAL TRANSLUCENCY ๏‚ด Definition:Nuchal translucency (NT) is the sonographic appearance of a collection of fluid under the skin behind the fetal neck in the first trimester of pregnancy ๏‚ด The term translucency is used, irrespective of whether it is septated or not and whether it is confined to the neck or envelopes the whole fetus ๏‚ด The incidence of chromosomal and other abnormalities is related to the size, rather than the appearance of NT ๏‚ด During the second trimester, the translucency usually resolves and, in a few cases, it evolves into either nuchal edema or cystic hygromas with or without generalized hydrops
  • 29.
    WHY ONLY BETWEEN11WKS- 13.6 WKS ๏‚ด The reasons for selecting 11 weeks as the earliest gestation are: The physiological extra-abdominal herniation of bowel persists and cranial vault is not ossified till 11 weeks gestation. ๏‚ด Screening necessitates the availability of a diagnostic test and chorionic villous sampling before this gestation is associated with transverse limb reduction defects. ๏‚ด Finally, aside from NT measurement, the effectiveness of first trimester markers prior to 11 weekโ€™s gestation is likely reduced โ€ข The reasons for selecting 13 weeks and 6 days as the upper limit are: To provide women with affected fetuses the option of 1st rather than 2nd trimester termination โ€ข The incidence of abnormal accumulation of nuchal fluid in chromosomally abnormal fetuses decreases after 13 weeks. โ€ข The success rate for taking a measurement decreases after 13 weeks because the fetus becomes vertical making it more difficult to obtain the appropriate image The optimal gestational age for measurement of fetal NT is 11+0-13+6 weeks. The minimum fetal crownโ€“rump length (CRL) should be 45 mm and the maximum 84 mm.
  • 30.
    NUCHAL TRANSLUCENCY Nuchal thicknessincreases with CRL in euploid The median NT for euploid =2.0 mm For trisomy 21 =3.4 mm For trisomy 18= 5.5 mm For trisomy 13 =4.0 mm For turners Syn = 9.2 mm resp. The thicker the NT the worse foetal prognosis is. Pathological values of NT usually range between 1.8 - 2 MoM or a measure greater than 3 mm (regardless of the MoM) increases 30% risk of aneuploidy The 99th centile is about 3.5 mm and does not change with CRL In 75-80% of trisomy 21 fetuses the NT thickness is above the 95th centile of the normal range .
  • 31.
    IF RAISED NTBUT NORMAL CHROMOSOMES ON DIAGNOSTIC TEST Good chance of a healthy baby 90% if NT < 4.5 mm 80% if NT between 4.5 and 6.4 mm 45% if NT > 6.5 mm ADVICE : QUADRUPLE MARKER , TARGET SCANNING WITH GENETIC SONOGRAM IN 2ND TRIMESTER PLUS FETAL ECHO -20-30% have adverse pregnancy outcome eg IUFD, PRETERM , LBW -Increased chances of other genetic syndrome not detectable by genetic testing , skeletal dysplasias , congenital heart disease and non immune hydrops .
  • 32.
    FETAL HEART RATE Measurementof fetal heart rate (FHR): *A transverse or longitudinal section of the heart is obtained. Pulsed wave Doppler is used to obtain 6-10 cardiac cycles during fetal quiescence *The FHR is calculated by the ultrasound machine software In normal pregnancy, The FHR increases from about 110 bpm at 5 weeks of gestation to 170 bpm at 10 weeks and then gradually decreases to 150 bpm by 14 weeks In trisomy 21 the FHR is mildly increased and is above the 95th centile in about 15% of cases In trisomy 18 the FHR is mildly decreased and is below the 5th centile in about 15% of cases In trisomy 13 the FHR is substantially increased and is above the 95th centile in 85% of cases Inclusion of FHR brings a major improvement in the detection of trisomy 13 It is important in distinguishing between trisomy 18 and 13, which are otherwise similar in presenting with increased fetal NT and decreased maternal serum free ฮฒ-hCG and PAPP-A
  • 33.
    MATERNAL SERUM MARKERSIN FIRST TRIMESTER *Dimeric glycoprotein hormone (ฮฑ & รŸ subunits) secreted by the fertilised ovum and later by placental tissue. *Primary function is to maintain the corpus luteum, later produces Progesterone & Oestrogen to maintain early pregnancy *Maternal serum hCG maximal during first trimester, then declines during second trimester Serum human chorionic gonadotrophin (hCG) Overall, in Trisomy 21 รŸhCG values are higher, those higher than 2.5 MoM indicating a possible pathology. In Trisomies 13 and 18, these values are generally low, with suspicious values being those below 0.4 MoM.
  • 34.
    *It is aglycoprotein synthesized in chorionic villi of the placenta . This protein is a key regulator of insulin-like growth factor bioavailability essential for normal fetal development. It continues to increase during the pregnancy period and declines after delivery. Pregnancy Associated Plasma Protein A (PAPP A) *ALSO, pathological low level of PAPP-A if <0.5 MOM (normal = 1MOM) has been associated with other adverse fetal outcomes and thrombophilia and patients can be empirically started on LDA & LMW Heparin. *It has become an important serum marker individually and in combination for detecting aneuploidies including all trisomies and other chromosomal defect. When PAPP-A is low ( < 0.4 MoM )the risk for Down syndrome is increased and when it is elevated, the risk is reduced. <0.45 MoM (5th percentile) - 1 to 4% risk of pregnancy loss before 20 weeks - increased risk of intrauterine growth restriction, positive predictive value 14% - increased risk of preterm delivery before 34 weeks <0.29 MoM (1st percentile) - significantly increased risk of intrauterine growth restriction, with positive predictive values of 24%
  • 35.
    FREE รŸ-hCG &PAPP-A VALUES IN DOWN SYNDROME In trisomy 21 pregnancies maternal serum free รŸ-Hcg ( ~2.5 MoM) is about twice as high and PAPP-A( ~ 0.4MoM) is reduced to about half compared to chromosomally normal pregnancies 90% detection of Tri 18 4.5% FPR If both PAPP-A and B-hCG are very low MoM = Increased risk for tri 18, triploidy, fetal anomalies or perinatal complications Performance of screening for trisomy 21 by maternal age and serum free รŸ-hCG and PAPP-A: Detection rate 65% False positive rate 5%
  • 36.
    MATERNAL SERUM MARKERS Weknow now that Trisomic pregnancies are associated with altered maternal serum concentrations of various feto-placental products Screening in the first trimester by a combination of maternal age, fetal NT, FHR and serum free รŸ-hCG and PAPP-A identifies about 90% of trisomy 21 pregnancies for a false positive rate of 3%
  • 37.
    Marker values invarious aneuploidies
  • 38.
    FACTORS AFFECTING THESERUM MARKER VALUES The measured concentration of free รŸ-hCG and PAPP-A is influenced by- * the machine and reagents used, * gestational age calculation * maternal weight * ethnicity * smoking status * method of conception In the calculation of accurate patient-specific risks it is necessary to make adjustments in the measured free รŸ-hCG and PAPP-A. Each measured level is first converted to a multiple of the expected normal median (MoM) specific to a pregnancy of the same gestation, maternal weight, smoking status, ethnicity and method of conception
  • 39.
    HOW TO GETBEST RESULTS FROM COMBINED SCREENING A good way of achieving a high performance of screening for trisomy 21 and diagnosing major fetal defects by ultrasound is to carry out the blood test at 10 or 11 weeks and the ultrasound scan at 12 weeks
  • 40.
    DIFFERENCES IN MAINANEUPLOIDIES At 11-13 weeks the relative prevalence of trisomies 18 and 13 to trisomy 21 are about 1 to 2.5 and 1 to 7, respectively All three trisomies are associated with increased maternal age, increased fetal NT and decreased maternal serum PAPP-A A beneficial consequence of first-trimester combined screening for trisomy 21 is the early diagnosis of trisomies 18 and 13. At a false positive rate of 3% the detection rate of trisomy 21 is 90% and of trisomies 18 and 13 is about 75%
  • 41.
    DIFFERENCES BETWEEN ALLTRISOMIES ๏‚ด There are differences between the three trisomies: ๏‚ด Fetal NT is higher in trisomies 18 and 13 than in trisomy 21 ๏‚ด Serum PAPP-A is lower in trisomies 18 and 13 than in trisomy 21 ๏‚ด Serum free รŸ-hCG in trisomy 21 is high whereas in trisomies 18 and 13 this is low ๏‚ด Fetal heart rate in trisomy 13, unlike trisomies 21 and 18, is high
  • 42.
    DETECTION RATE OFVARIOUS MARKERS
  • 43.
    INTERPRETATION OF MOMVALUES AND RISK OF ANEUPLOIDY MoM (multiple of median) - result reported strictly as multiple of median MoMโ€™s vary with gestational age ,with assay method , with population tested May need adjustment for: โ€“ weight โ€“ ethnic group โ€“ other conditions e.g. diabetes โ€“ twin pregnancies - ART - In screening using maternal serum biochemical markers, the measured concentration of the markers is converted into a multiple of the median (MOM) of unaffected pregnancies at the same gestation. - The Gaussian distributions of log10 (MoM) in trisomy 21 and unaffected pregnancies are then derived, and the ratio of the heights of the distributions at a particular MoM, which is the likelihood ratio for trisomy 21. -It is used to modify the a priori maternal age-related risk to derive the patient-specific risk.
  • 44.
    RISK ASSESSMENT -EXAMPLE MoMs that typically yield a high risk of Downโ€™s are those where, in combination, the Free ฮฒ HCG MoM is > 2.5 and the PAPP-A is < 0.4 HIGH RISK- Woman > 35 years of age, with a NT of > 2.0 mm, and Free ฮฒ HCG -MoM >2.5 and PAPP-A -MoM < 0.4 LOW RISK โ€“ Women < 35 years of age, with a NT of < 2.0 mm, combined with a Free ฮฒ HCG and PAPP-A MoM of 1.0. Further tests required at an overall risk of 1:150
  • 45.
    Reference Values DOWN SYNDROME Calculatedscreen risks <1/230 are reported as screen negative. Risks > or =1/230 are reported as screen positive. TRISOMY 18 Calculated screen risks <1/100 are reported as screen negative. Risks > or =1/100 are reported as screen positive. A numeric risk for trisomy 18 risk is provided with positive results on non-diabetic, non-twin pregnancies. An interpretive report will be provided. Interpretation Screen-Negative: A screen-negative result indicates that the calculated screen risk is below the established cutoff of 1/230 for Down syndrome and 1/100 for trisomy 18. A negative screen does not guarantee the absence of trisomy 18 or Down syndrome. Screen-negative results typically do not warrant further evaluation. Screen-Positive: When a Down syndrome risk cutoff of 1/230 is used for follow-up, the combination of maternal age, pregnancy-associated plasma protein A, human chorionic gonadotropin, and nuchal translucency has an overall detection rate of approximately 85% with a false-positive rate of 5% to 10%.
  • 46.
    NEW ULTRASOUND MARKERS NASALBONE FACIAL ANGLE DUCTUS VENOSUS TRICUSPID FLOW ABERRANT RIGHT SUBCLAVIAN ARTERY
  • 47.
    ? WHEN TOOPT FOR NEW USG MARKERS There are two strategies for assessment of the new markers in screening for trisomy 21 with similar detection and false positive rates: โ€ข One, some, or all markers are examined in all cases โ€ข The markers are examined only in the subgroup of pregnancies with an intermediate-risk (between 1 in 51 and 1 in 1000) after combined fetal NT, FHR, free รŸ-hCG and PAPP-A screening, which constitutes only one sixth (15%) of the total population
  • 48.
    NASAL BONE ANDFACIAL ANGLE ๏‚ด Done at the same plane as of CRL and NT โ€ข At 11-13 weeks the nasal bone is considered to be absent in about: Euploid fetuses 1-3% Fetuses with trisomy 21 60% Fetuses with trisomy 18 50% Fetuses with trisomy 13 40% Baby of Black woman might have small or absent nasal bone โ€ข Assessment of the nasal bone & facial angle improves the performance of combined screening increasing the detection rate from 90% to 94% and decreasing the false positive rate from 3% to 2.5% NEEDS EXPERTISE AND SPECIAL TRAINING TO MASTER IT
  • 49.
    DUCTUS VENOSUS FLOW Bloodflow in the ductus has a characteristic waveform with: High velocity during ventricular systole (S-wave) and diastole (D- wave) Forward flow during atrial contraction (a-wave) Qualitative assessment of the ductus venosus blood flow is based on the appearance of the a-wave: Positive or absent (normal) Reversed (abnormal)
  • 50.
    REVERSED A-WAVE FORM At11-13 weeks reversed a-wave is found in about 4% of fetuses Reversed a-wave is more common if: The gestation is 11 than 13 weeks The fetal nuchal translucency is high The maternal serum PAPP-A is low The mother is Black Reversed a-wave is associated with increased risk for: *Chromosomal abnormalities *ะกardiac defects *Fetal death However, in about 80% of cases with reversed a-wave the pregnancy outcome is normal High pulsatility index for veins and absent or reversed a- wave are observed in fetuses with aneuploidies, cardiac defects, growth restriction and either the recipient or donor fetus in twin-to-twin transfusion syndrome Assessment of ductus venosus a-wave improves the performance of first-trimester combined screening: Detection rate 95% False positive rate 2.5%
  • 51.
    TRICUSPID FLOW Normal profilewith no regurgitation during systole *Regurgitation during approximately half of systole and with a velocity more than 60 cm/s Do not mistake for tricuspid regurgitation: *The jet produced by aortic or pulmonary arterial blood flow, which at this gestation can produce a maximum velocity of 50 cm/s *The short reverse โ€˜spikeโ€™ generated by closure of the valve cusp
  • 52.
    TRICUSPID REGURGITATION At 11-13weeks tricuspid regurgitation is found in about: Euploid fetuses 1% Fetuses with trisomy 21 55% Fetuses with trisomy 18 30% Fetuses with trisomy 13 30% Tricuspid regurgitation is more common if: The gestation is 11 than 13 weeks The fetal nuchal translucency is high Assessment of the tricuspid flow improves the performance of combined screening increasing the detection rate from 90% to 95% and decreasing the false positive rate from 3% to 2.5%
  • 53.
    DETECTING FETAL CARDIACDEFECTS The prevalence of major cardiac defects in euploid fetuses is about 4 in 1,000 The risk for major cardiac defects is increased if the fetal NT is high. -Increased if the ductus a-wave is reversed -Decreased if the ductus a-wave is normal -Increased if there is tricuspid regurgitation -Decreased if tricuspid flow is normal -If there is tricuspid regurgitation examine the fetal heart for major defects
  • 54.
    FETAL DEATH The riskof miscarriage or fetal death between 11 weeks and delivery is about 2% The prevalence of reversed a-wave at 11-13 weeks is more than 10% in pregnancies resulting in fetal death and less than 4% in those resulting in live birth The risk of fetal death is increased if: The ductus venosus a-wave is reversed *The maternal serum PAPP-A is low *The mother is Black *The mother is obese If the ductus venosus a-wave is reversed *Monitor fetal growth (scan at 20 and 28 wks) *Monitor uterine artery PI
  • 55.
    SCREENING PERFORMANCE OFALL MARKERS- ALONE OR COMBINED
  • 56.
  • 57.
  • 58.
    SCREENING BASED ONFINAL FT RISK
  • 60.
  • 63.
    MULTIFETAL GESTATION CHORIONICITY :The accurate determination of chorionicity is fundamental for successful management of twin pregnancies A distinct thickening of the dividing membrane (โ€œlambdaโ€orโ€œtwin peakโ€ sign) represent dichorionic (DC) Thin, โ€œT-shapedโ€ insertion of the membrane into the placental surface is indicative of monochorionic placentation. In monochorionic/diamniotic gestations, the risk of developing twin-to-twin transfusion syndrome (TTTS) later in pregnancy may be estimated by 1) measuring the NTโ€™s (the likelihood of TTTS increases with increasing difference in the NT measurements between the two fetuses) 2)evaluating the ductus venosus with Doppler (presence of reversed a- wave increases the riskof TTTS) 3) Assessing the vascular connection in placenta via doppler First trimester ultrasound screening is the only best option to detect aneuploidy in multifetal gestation because serum markers are not valid.
  • 64.
  • 65.
  • 66.
    PRETERM BIRTH SCREENING Universalcervical length screening and vaginal progesterone prevents early preterm births, reduces neonatal morbidity and is cost saving: Doing nothing is no longer an option
  • 67.
  • 68.
    CERVICAL LENGTH MEASUREMENT Newerstudies that proposed measuring the endocervical length avoiding the lower uterine segment (isthmic part) show more promising results for the prediction of preterm delivery. Fig. 1a &1b: Transvaginal ultrasound pictures illustrating (1a) the cervico-isthmic complex and (1b) the measurement of the length of the endocervix (A to B) and the isthmus (C to D).
  • 69.
    Inclusion of bothlow risk and high risk women: 1) H/o spontaneous preterm birth in the past 2) H/o recurrent mid-trimester pregnancy loss 3) Multifetal gestation 4) H/o cervical trauma *The risk of spontaneous preterm birth is inversely related to the cervical length measured by transvaginal sonography 11-14 weeks gestation . In women with a short cervix (< 1.5 cm), sent to specialist care where repeat cervical length assessment done . * If again same finding then if the length was <1.5 cm, the women were treated by cervical cerclage or vaginal progesterone( Gel with 90mg progesterone / 200mg pessary) administration. It was found progesterone reduces the risk of spontaneous early preterm delivery by about 45% . *However, progesterone and cerclage is not as effective in women with cervical length of 10 mm or those with a length of 10โ€“20 mm and funnelling seen. WORK IS GOING ON REGARDING USE OF CERVICAL PESSARIES DURING PREGNANCY
  • 70.
    SCREENING FOR RISKOF EARLY PRECLAMPSIA & FGR INCLUDES : DETAILED HISTORY + PRESENCE OF HIGH RISK FACTORS IF ANY WITH -MEAN ARTERIAL PRESSURE + PAPP-A + UTERINE ART DOPPLER PI โ€ข Retrospective analysis of 1,658 singleton pregnancies at CRL of 45 to 84mm with outcomes โ€ข Uterine artery โ€“ mean PI and lowest PI were plotted and the 95th centile for each were calculated โ€ข Mean PI : 95th centile: 2.51 Lowest PI : 95th centile: 2.29 (ACFM data)
  • 71.
    MEASURING MEAN ARTERIALPRESSURE METHODOLOGY :The BP was taken by automated devices (3BTO-A2, Microlife),which were calibrated before and at regular intervals during the study. The recordings were made by doctors who had received appropriate training on the use of these machines. The women were in the seated position, their arms were supported at the level of the heart, and a small (22-cm), normal (22- to 32-cm), or large (33- to 42-cm) adult cuff was used depending on the midarm circumference.26 After rest for 5 minutes, BP was measured in both arms simultaneously, and a series of recordings were made at 1-minute intervals until variations between consecutive readings fell within 10 mm Hg in systolic and 6 mm Hg in diastolic BP in both arms.When this point of stability was reached, we calculated the MAP of each arm as the average of the last 2 stable measurements, and, as recommended, we took the arm with the highest final MAP for the subsequent analysis of results. MAP = MAP = [(2 x diastolic)+systolic] / 3 CUTT OFF : > 90 mm Hg
  • 72.
    RESULTS โ€“LOWEST PI>2.3 AND ADVERSE PREGNANCY OUTCOMES
  • 73.
  • 74.
  • 75.
  • 76.
    SCREENING FOR CONGENITALHEART DEFECT ( DUCTUS + TR) SCREENING FOR ADVERSE FETAL OUTCOME( PAPP-A +DV +TR + SUA
  • 78.
    NIPT( Non invasiveprenatal testing ๏‚ด Molecular techniques in prenatal diagnosis: This technique opens new horizon for noninvasive prenatal testing. Various types of fetal cells have been identified in maternal circulation. These can be ๏‚ด Free fetal cells in maternal circulation ๏‚ด Free nucleic acids (DNA and RNA) in maternal circulation. ๏‚ด Fetal cells in maternal circulation: Nucleated red blood cells could be used for prenatal diagnosis of fetal aneuploidies. With an aneuploid fetus, Bianchi et al (1997) have reported a sixfold increase in the number of fetal cells in the maternal blood but the isolation techniques are highly complex, so it has limited application today. ๏‚ด Cell free fetal DNA in maternal circulation: ๏‚ด Studies demonstrated that Down syndrome pregnancies exhibit a 1.7-fold higher serum level of cff- DNA than normal pregnancies. ๏‚ด Farina et al 2003 found that when added to the quadruple screening test in the 2nd trimester, fetal DNA increased the detection rate for Down syndrome from 81 to 86% at a 5% FPR. ๏‚ด The technique has been tried successfully in fetal sexing for X-linked disorders and fetal Rh grouping
  • 79.
  • 80.
    ADVANTAGES OF FIRSTTRIMESTER SCREENING Information earlier, more options Reduce number of invasive procedures May identify other severe anomalies (or risk for) at time of scan and increased risk of adverse pregnancy outcomeโ€”referral for 2nd ฮ” evals. Good time to date pregnancy accurately NT good for multiple gestation
  • 81.
    LIMITATIONS Accuracy of NTstrongly dependant on experience of ultrasonographers Not all women enter prenatal care in time for screening Results of screen may arrive too late for CVS or early amnio Extra cost for first trimester ultrasound Can not detect NTD or AWD, still need MSAFP
  • 82.
    Nasal bone Absence ofthe nasal bone is more common if: The gestation is 11 than 13 weeks The fetal nuchal translucency is high The mother is Black Facial angle In euploid fetuses the mean facial angle decreases with CRL from 84ยฐ at CRL 45 mm to 76ยฐ at CRL of 84 mm The facial angle is above the 95th centile in: Euploid fetuses 5% Fetuses with trisomy 21 45% Fetuses with trisomy 18 55%
  • 83.
    ๏‚ด Reversed a-wave ๏‚ดAt 11-13 weeks reversed a-wave is found in about: ๏‚ด Euploid fetuses 3% ๏‚ด Fetuses with trisomy 21 65% ๏‚ด Fetuses with trisomy 18 55% ๏‚ด Fetuses with trisomy 13 55% Trisomy 21 Effective first-trimester screening for trisomy 21 is provided by a combination of maternal age, fetal NT thickness, FHR and maternal serum free รŸโ€“hCG and PAPP-A: Detection rate 90% False positive rate 3.0%
  • 84.
    app a freebeta hcg 0-68% detection of DS 0% detection of Tri 18 .5% false positive rate lso drawn at 11-14 weeks ome centers quote 87% detection of DS when ombined with maternal age both PAPP-A and B-hCG are very low MoM = ncreased risk for tri 18, triploidy, fetal anomalies or erinatal complications