Endometriosis
Annabelle D Marie
Definition
• A condition in which actively functioning
endometrial tissue and glands which are
usually confined to the endometrium are
found outside the uterus (ectopic
endometrium). The presence of such
tissues in ectopic sites elicits
inflammatory changes and fibrosis
Incidence
• Prevalence of endometriosis is about 10%
of all women between menarche and
menopause
Pathophysiology
1.Retrograde menstruation by Sampson (1922)
where there is reflux of the menstrual flow
through the fallopian tubes into the peritoneal
caivty where it can implant. Proof: Scar
endometriosis following classical caesarean
section, hysterectomy, myomectomy and
episiotomy further supports this view.
2.There is a combination of failure of immune
mechanisms associated with stromal cell defect
with its increased oestrogen, prostaglandin and
progesterone resistance
3.Coelomic metaplasia theory (Meyer and
Ivanoff 1919) where endometriotic lesions
develop when coelomic mesothelial cells
of the peritoneum undergo metaplasia
3.The circulation and implantation of ectopic
menstrual tissue via the venous or the
lymphatic system or both, explains its
occurrence at less accessible sites like the
umbilicus, pelvic lymph nodes, ureter,
rectovaginal septum, bowel wall, and
remote sites like the lung, pleura,
endocardium and the extremities.
• Hormonal influence: the initial genesis of
endometriosis its further development depends
on the presence of hormones mainly estrogen.
Pregnancy causes atrophy of endometriosis
through high progesterone level. Regression
also follows oophorectomy and irradiation.
Endometriosis is rarely seen before puberty and
it regresses after menopause. Hormones with
antiestrogenic activity also suppress
endometriosis and are used therapeutically
Immunological factor
• The peritoneal fluid in endometriosis
shows the presence of macrophages and
natural killer (NK) cells
• Impaired T cell and NK cell activity and
altered immunology
Genetic
• Familial tendency reported in 15% cases,
multifactorial, vaginal or cervical atresia
which encourage retrograde spill.
Sites
• Uterine : adenomyosis (50%)
• Extrauterine:
• Ovary 30%
• Pelvic peritoneum 10%
• Fallopian tube
• Vagina
• Bladder and rectum
• Pelvic colon
• Ligaments
Endometriosis
• Ovary
• Cul de sac
• Uterosacral ligaments
• Broad ligaments
• Fallopian tubes
• Uterovesical folds
• Round ligaments
• Vermiform
• Vagina
• Rectovaginal septum
• Rectosigmoid colon
• Caecum
• Ileum
• Inguinal canals
• Abdominal scars
• Ureters
• urinary bladder
• Umbilicus
• Vulva
Sites
• Pelvic
• Extrapelvic
– umbilicus
– scars (laparotomy)
– lungs
– pleura
– others
Pathology
• Early lesions
appear papular
and red vesicles
are filled with
haemorrhagic fluid
with surrounding
flame like lesions
• Overtime, these
vesicles change
colour and
endometriotic areas
appear as dark red,
bluish or black cystic
areas adherent to the
site
• Scarring in the endometriosis makes it
puckered. Atypical lesions such as non
pigmented areas or yellowish white thick
plaques have been noticed, which are
healed lesions
• Powder burnt areas are the inactive and
old lesions seen scattered over the pelvic
peritoneum
Chocolate cysts
• Chocolate cysts of the ovaries represent the
most important manifestation of endometriosis.
• To the naked eye, the chocolate cyst shows
obvious thickening of tunical albuginea, and
vascular red adhesions are well marked on the
undersurface of the ovary. THe innner surface of
the cyst wall is vascular and contains areas of
dark brown tissue. THe chocolate cyst lies in the
ovary and adherent to lateral pelvic wall
History
• Deep seated dyspareunia- painful sexual
intercourse
• Severe dysmenorrhoea
• Pain at midcycle of menstrual which
coincides with ovulation
• Chronic Pelvic pain is the most common
presenting symptoms. Other associated
symptoms are back pain, loin pain,
dyschezia (ie pain on defaecation) and
• Pain with micturition
• Infertility
• Fatigue
• There may or may not be abnormal
vaginal bleeding
• Rarely, cyclical haemoptysis
(endometriotic nodule in the lungs) and
cyclical haemoaturia (endometitic nodules
in the urinary bladder).
• A patient survey of women in the UK and
US who were referred to University based
Endometriosis Centres found that 70-71 %
presented with pelvic pain, 71-76% with
dysmenorrhoea, 44% with dyspareunia
• 15-20% with infertility
Risk factors
• First degree relative affected
• Short menstual cycles
• Long duration of menstrual flow
• Low parity
• Infertility
• Fair complexioned
Deep
Dyspareunia
DysmenorrhoeaSubfertility
Diagnosis
• On bimanual pelvic examination, fixed
retroverted uterus, bilateral pelvic tenderness,
fixed or enlarged ovaries and painful uterosacral
nodularity
• Depply infiltrating nodules are most reliably
detected when clinical examination is performed
during menstruation. Adenomyotic uterus is
seldom >12 weeks, soft, smooth and tender in
contrast to fibroid uterus.
• Isolated adenimyoma can be differentiated by
presence of localised tenderness
Examination Findings
• Tenderness in the suprapubic region
• A tender lower abdominal mass may or may not
be present
• Pelvic examination (rectovaginal examination
included) may reveal a retroverted uterus with
restricted mobility and tenderness
• Fixed retroverted tender uterus with paindul
nodules in POD and uterosacral ligaments that
are best assessed during mestruation
• Painful adnexal mass
• Painful nodules in the Pouch of Douglas or
uterosacral ligaments
• These nodules are nest palpated and
appreciated with the examinaition is done
during menstruation
Investigations
• Imaging: US of the pelvis and abdomen
(transvaginal US) is of limited value in the
diagnosiis of early pelvic endometriosis.
• In advanced disease where endometrioma
and pelvic mass are present pelvic US
produce typical images.
• The kidneys should be imaged for
evidences of obstructive uropathy and
hydronephrosis if there is severe pelvic
disease.
Ultrasonography
• Endometriotic cysts (oval or round)-
capsulated fine homogenous, uniform,
granular echoes, anechoic, single or
multiple, unilateral or bilateral
• On doppler: no vascularity within the mass
• Ovarian adhesion to uterus
• Free floating fimbria or
sonosalphingography
Laparoscopy
• Both diagnostic and therapeutic
• Gold standard
• It should not be performed within 3 mnths
of hormonal treatment to prevent under
diagnosis
Appearance
• Match stick head or blackened
spot like lesions oveer the ovaries,
serosal surface and peritoneum
• Red implants (petechial, vesicular,
polypoid, haemorrhagic , red
flamelike) which are atypical with
areas of fibrosis
• Vesicles (serous and clear)
• Peritoneal defects (scarring and
yellow brown peritoneal
discolouration)
• Endometriomas (ovarian cysts
containing stale blood which
appears like tar. Widely referred to
as chocolate cysts. Obliteration of
the ovarian fissa can slso taje
place
Laparoscopy, showing minimal endometriosis, in the form of " powder-burn" deposits.
• Powder burn or black lesions
• White opacifiied peritoneum
• Glandular excrescences
• Flame like red lesions
• Peritoneal pockets or windows
• Clear vesicles
• Yellow brown patches
• Unexplained adherence of ovary to
peritoneum of ovarian fossa
• Encysted collection of thick chocolate
coloured or tarry fluid
• Adhesions to posterior lip of broad
ligaments/ other pelvic structure
Endometriotic cyst of the left ovary
(typical laparoscopic image).
A cluster of chocolate cysts
Raspberry spot endometriosis
Dense Adhesions
MRI
• When endometriosis is thought to have a
deeply invasive component (bowel and
bladder invasion), ancillary tests such as
colonoscopy, cystoscopy, rectal
ultrasonography and MRI may be
required.
• Endometriotic deposits in rectovaginal
septum seen as as high intensity signal in
MRI image
CA 125
• May be elevated in severe endometriosis
Histological Confirmation
• Visual inspection is usually adequate but
histological confirmation of at least one
lesiion is ideal
• In cases of ovarian endometrioma >3cm in
diameter and in deeply infiltrating disease
histology is a must to rule out malignancy
American Society for Reproductive Medicine revised
classification of endometriosis (American Fertility Society
AFS grading)
In SHORT
• Score 1-5: Stage I: minimal disease
• Score 6-15: Stage II: mild disease
• Score 16-40: Stage III: moderate disease
• Score >40: Stage IV: severe disease
• -Grade 1: Possible endometriosis - Peritoneal
vesicles, red polyps, yellow polyps,
hypervascularity, scar, adhesions.
• Grade 2: Suggestive of endometriosis.
Chocolate cyst with free flow of
• chocolate fluid
• Grade 3: Consistent with endometriosis - Dark
scarred (puckered pigmented or mixed color)
lesions, red lesion on fibrous scarred
background,chocolate cyst with mottled red and
dark areas on white background.
• -Grade 4: Endometriosis. Dark, scarred (or
puckered, pigmented) lesions at first surgery
Treatment
• Treatment of endometriosis can be either
medical, surgical or combination of both
• The medical mangement can be for pain
control or prevention of menstruation and
therefore restric progressive ectopic
endometrial profileration.
• Surgical management is more definitive
and can also leaf to reduction of
sumptoms of dysmenorrhoea and
increase pregnancy rate
• If fertility is the main issue, the
management should be geared towards
surgical excision/ ablation of the
endometriotic lesions and iUI or IVF
Medical Management
• Recognise goals
– Pain management
– Preservation/ Restoration of fertility
• Discuss with the patient
– Disease may be chronic and not curable
• Curable
– Optimal treattment unproven or nonexistent
• Empirical treatment of pain symptoms
without definitive diagnosis of
endometriosis, a therapeutic trial of
hormonal drug to reduce menstrual flow is
appropiate
• Medical therapy for endometriosis can be
used either as primary therapy or in
conjunction with surgery preoperatively or
postoperatively sandwich therapy
NSAIDS for pain Management
• There is inconclusive evidence to show
whether NSAIDs (specifically Naproxen)
are effective in managing pain caused by
endometriosis. THis should not be taken
at the time of ovulation in women who
want to get pregnant as this can inhibit the
process of ovulation.
• T. Ponstan 500mg TDS for 5 days
Hormones
• COmbined oral
contraceptives
(COCs)
• Prevention of
withdrawal bleeding
by taking COC
continuously can
prevent retrograde
menstruation, hence
this ethod is said to
be effective pain
relief.
• To reduce the frequent prolonged
bleeding not recommended in infertility
endometriotic women
• However COCs are the only effective
prophylaxis in against endometriosis
Medroxyprogesterone
• Medroxyprogesterone
especially the depot
form, may be effective
in reducing pain
symptoms but long
term usage may
reduce bone mineral
density
• Progesterone: pseudo
pregnancy (Kristner's
regime) state
• Acts by decidualisation
and atrophy of the
estrogen dependent
endometriotic foci
• COmmon progesterone:
medroxyprogesterone
acetate, norethisterone,
dydrogesterone
• DMPA- cost effective,
readily available 66%
complete resolution
• Side effects: Irregular bleeding, weight
gain, fluid retention,m breast tenderness,
mood changes
Danazol and Gestrinone
• Weak angrogens, progestogenic and anti
estrogenic.
• May have many androgen induced side
effectis which limit their usage.
• Low dose regimens and vaginal usage
have been proposed.
What is gestrinone?
• AN ANTI-PROGESTIN
• Gestrinone 1-25-2-5mg biweekly
• Side effects: similar to danazol
GnRH agonist
• This can induce hypoestrogenism and
therby reduce not only pain but also size
of lesions. THe only drawbacks of this
form of therapy is that it can't be used
longterm due to effects of
hypoestrogenism and reduction in bone
mineral density. Add back therapy with
estrogen and progesterone enables the
usage of this drug for up to 12months
Aromatase Inhibitor
• Associated with bone loss
Surgical Management
• Indications
• Mild endometriosis associated with infertility
• Endometrioma >4 cm in diameter
• Endometriosis of rectovaginal septum or rectal
wall
• Failed medical therapy
• Intolerable side effects of medical therapy
• Endometriosis with other surgically correctable
infertility factors
• Surggical removeal is preferred as it has
been proven that surgical ablation reduces
the dysmenorrhoea caused by
endometriosi. Even in deeply infiiltrating
diease, the removal of the lesions in
entirety reduces pain symptoms.
• ENdometriomas more than 4 cm are best
treated by laparoscopyc ovarian
cystectomy
• Combination of ablation of endometriotic
lesions and adhesiolysis improves the
rates of fertility in mild to moderate
endometrriosis
• THeremay be no role for just performing
laparoscopic nerve ablation (without any
ablation of endometriotic deposits) for as
there is no proven reducition in pain
• In patients with mild to moderate
endometriosis, IUI improves fertility
• Women treated with GnRH agonists for
duration of 3-6 months with addback
therapy prior to IVF have shown to have
higher rates of clinical pregnancy
Pre-operative assessment
• MRI or USS with or without IVP, Barium
enema, sigmoidoscopy
• Pre- op and postop medical
managemnent
• GnRH agonist like goserelin for 3 months
preop reduces the size and AFS score.
• Postop therapy gives longer periods of
remission.
• Primary operation is the best opportinity
• Best outcome by excision of the lesion
• COmplete excision has lowest recurrence
of 19%
• Adhesions require excision rather than
simple diivision
Endometriosis and fertility
• 20-25% of women undergoing
laparoscopy for infertility or for chronic
pelivic pain demonstrate underlying
endometriosis
• Ovarian follicles have abnormal growth
rates and are defective in their function
• The ovulation process itself is affected
where the mature follicle fails to ruepture
and release the ooctye and gets
luuteiniised instead
• Local inflammation in the pelvis and the
presence of excess peritoneal fluid with
large amounts of macrrophages may
dirsrupt ovarian function, capture of the
ovum by the imbriae, affct sprm and also
the process of fertilisation.
• This is an environment which is not
conducive to conception.
• Early stage disease: laparoscopic excision
or ablation with adhesiolysis
• Moderate to severe endometrosis: role of
surgery is uncertain (overactive excision
may reduce fertility)
• Endometrioma: laparoscopic cystectomy
better than drainage and coagulation
• Post operative hormonal treatment has no
beneficial effect on pregnancy rates after
surgery
• Tubal flushing improves pregnancy rates
Medical Management of Infertility
due to endometriosis
• There is no evidence to show that
suppression of ovarian function using
drugs like medroxyprogesterone, danazol
etc having any beneficial effect on fertilty
in mild to moderate endometriosis
• It is not effective in more severe forms of
endometriosis
• There is however an improvement in
pregnancy rates in women with
endometriosis who are treated with GnRH
agionist suppression therapy with
hormonal replacement add therapy for 3-6
months prior to iVF
Surgical Management of infertility
due to endometriosis
• Ablation of endometriotic lesions and
adhesiolysis improves the rates of
pregnancy in mild to moderate
endometriosis
• It is of uncertain benefit in moderate to
severe disease
• Endometriomas more than 4cm are best
treated by laparoscopic ovarian
cystectomy
ADENOMYOSIS
Introduction
•
A benign condition of the uterus
•
Bears close clinical similarities with
leiyomyoma
•
Mainly confined to body of the uterus
occurring as discrete lesions or more
extensively
•
Rarely seen in the cervical part
•
It is considered as an extension of
endometriosis wherein the endometrial
glands grow inside the uterine musculature
Incidence
•
Commonly seen in women above 40 years
with an overall incidence of 10%
•
Occurrence is more likely to be seen in
women who are parous and have had
termination of pregnancy, spontaneous
miscarriages and endometriosis
Diagnosis
•
30% of women are asymptomatic, heavy
menstruation (40-50%) and dysmenorrhea
(15-20%) in parous women between 40-50
years with a globularly enlarged uterus
•
Clinical features are similar to leiyomyoma
•
Adenomyosis can be asymptomatic, it is
frequently diagnosed after hysterectomy
•
Heavy menstruation if present will be
progressive over time
•
On examination, it might be difficult to
differentiate from leiyomyoma when the
uterus is uniformly enlarged
•
Suspician is aroused when:
- the enlarged uterus rarely exceeds 12-14
weeks size
- enlargement is regular compared to the
nodular enlargement of leiyomyoma
Reasons for menorrhagia
1 . Increase in surface area due to enlarged
uterus
2 . Increased vascularity to support the enlarged
uterus
3 . Impaired contraction due to glandular tissue
in the myometrium
4 . Probable association of endometrial
hyperplasia
Investigations
1. Ultrasonography
- TVS and TAS: reveal a decreased
echogenicity/heterogenicity in the myometrium
- reason for heterogenicity is mainly due to the
presence of cystic glands amongst smooth muscles
2. MRI
- significant when differentiating between
leiyomyoma and adenomyosis cannot be
ascertained clinically
Management
1. Medical management
- menorrhagia & dysmenorrhea: Tranexamic acid
(500mg TDS) and Mefenamic acid (500mg TDS)
- women <35 years, combined oral pills
- women >35 years, progestins are administered
- GnRH analogues reduces symptoms of
adenomyosis and uterine size
- IUS Levonorgestrel, Leuprolide
- low dose of Mifeprostone for periods of 30 days
2. Surgical management
- hysterectomy
- hysteroscopic resection: superficial
adenomyosis ( <1mm myometrial invasion)
- Uterine artery embolisation (UAE) and MRI
guided focused ultrasound surgery

Endometriosis

  • 1.
  • 2.
    Definition • A conditionin which actively functioning endometrial tissue and glands which are usually confined to the endometrium are found outside the uterus (ectopic endometrium). The presence of such tissues in ectopic sites elicits inflammatory changes and fibrosis
  • 3.
    Incidence • Prevalence ofendometriosis is about 10% of all women between menarche and menopause
  • 4.
    Pathophysiology 1.Retrograde menstruation bySampson (1922) where there is reflux of the menstrual flow through the fallopian tubes into the peritoneal caivty where it can implant. Proof: Scar endometriosis following classical caesarean section, hysterectomy, myomectomy and episiotomy further supports this view. 2.There is a combination of failure of immune mechanisms associated with stromal cell defect with its increased oestrogen, prostaglandin and progesterone resistance
  • 5.
    3.Coelomic metaplasia theory(Meyer and Ivanoff 1919) where endometriotic lesions develop when coelomic mesothelial cells of the peritoneum undergo metaplasia 3.The circulation and implantation of ectopic menstrual tissue via the venous or the lymphatic system or both, explains its occurrence at less accessible sites like the umbilicus, pelvic lymph nodes, ureter, rectovaginal septum, bowel wall, and remote sites like the lung, pleura, endocardium and the extremities.
  • 6.
    • Hormonal influence:the initial genesis of endometriosis its further development depends on the presence of hormones mainly estrogen. Pregnancy causes atrophy of endometriosis through high progesterone level. Regression also follows oophorectomy and irradiation. Endometriosis is rarely seen before puberty and it regresses after menopause. Hormones with antiestrogenic activity also suppress endometriosis and are used therapeutically
  • 7.
    Immunological factor • Theperitoneal fluid in endometriosis shows the presence of macrophages and natural killer (NK) cells • Impaired T cell and NK cell activity and altered immunology
  • 8.
    Genetic • Familial tendencyreported in 15% cases, multifactorial, vaginal or cervical atresia which encourage retrograde spill.
  • 9.
    Sites • Uterine :adenomyosis (50%) • Extrauterine: • Ovary 30% • Pelvic peritoneum 10% • Fallopian tube • Vagina • Bladder and rectum • Pelvic colon • Ligaments
  • 12.
    Endometriosis • Ovary • Culde sac • Uterosacral ligaments • Broad ligaments • Fallopian tubes • Uterovesical folds • Round ligaments • Vermiform • Vagina • Rectovaginal septum • Rectosigmoid colon • Caecum • Ileum • Inguinal canals • Abdominal scars • Ureters • urinary bladder • Umbilicus • Vulva
  • 13.
    Sites • Pelvic • Extrapelvic –umbilicus – scars (laparotomy) – lungs – pleura – others
  • 14.
    Pathology • Early lesions appearpapular and red vesicles are filled with haemorrhagic fluid with surrounding flame like lesions
  • 15.
    • Overtime, these vesicleschange colour and endometriotic areas appear as dark red, bluish or black cystic areas adherent to the site
  • 16.
    • Scarring inthe endometriosis makes it puckered. Atypical lesions such as non pigmented areas or yellowish white thick plaques have been noticed, which are healed lesions
  • 17.
    • Powder burntareas are the inactive and old lesions seen scattered over the pelvic peritoneum
  • 18.
    Chocolate cysts • Chocolatecysts of the ovaries represent the most important manifestation of endometriosis. • To the naked eye, the chocolate cyst shows obvious thickening of tunical albuginea, and vascular red adhesions are well marked on the undersurface of the ovary. THe innner surface of the cyst wall is vascular and contains areas of dark brown tissue. THe chocolate cyst lies in the ovary and adherent to lateral pelvic wall
  • 21.
    History • Deep seateddyspareunia- painful sexual intercourse • Severe dysmenorrhoea • Pain at midcycle of menstrual which coincides with ovulation
  • 22.
    • Chronic Pelvicpain is the most common presenting symptoms. Other associated symptoms are back pain, loin pain, dyschezia (ie pain on defaecation) and • Pain with micturition
  • 23.
    • Infertility • Fatigue •There may or may not be abnormal vaginal bleeding • Rarely, cyclical haemoptysis (endometriotic nodule in the lungs) and cyclical haemoaturia (endometitic nodules in the urinary bladder).
  • 24.
    • A patientsurvey of women in the UK and US who were referred to University based Endometriosis Centres found that 70-71 % presented with pelvic pain, 71-76% with dysmenorrhoea, 44% with dyspareunia • 15-20% with infertility
  • 25.
    Risk factors • Firstdegree relative affected • Short menstual cycles • Long duration of menstrual flow • Low parity • Infertility • Fair complexioned
  • 26.
  • 29.
    Diagnosis • On bimanualpelvic examination, fixed retroverted uterus, bilateral pelvic tenderness, fixed or enlarged ovaries and painful uterosacral nodularity • Depply infiltrating nodules are most reliably detected when clinical examination is performed during menstruation. Adenomyotic uterus is seldom >12 weeks, soft, smooth and tender in contrast to fibroid uterus. • Isolated adenimyoma can be differentiated by presence of localised tenderness
  • 30.
    Examination Findings • Tendernessin the suprapubic region • A tender lower abdominal mass may or may not be present • Pelvic examination (rectovaginal examination included) may reveal a retroverted uterus with restricted mobility and tenderness • Fixed retroverted tender uterus with paindul nodules in POD and uterosacral ligaments that are best assessed during mestruation
  • 31.
    • Painful adnexalmass • Painful nodules in the Pouch of Douglas or uterosacral ligaments • These nodules are nest palpated and appreciated with the examinaition is done during menstruation
  • 33.
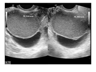
    Investigations • Imaging: USof the pelvis and abdomen (transvaginal US) is of limited value in the diagnosiis of early pelvic endometriosis. • In advanced disease where endometrioma and pelvic mass are present pelvic US produce typical images. • The kidneys should be imaged for evidences of obstructive uropathy and hydronephrosis if there is severe pelvic disease.
  • 34.
    Ultrasonography • Endometriotic cysts(oval or round)- capsulated fine homogenous, uniform, granular echoes, anechoic, single or multiple, unilateral or bilateral • On doppler: no vascularity within the mass • Ovarian adhesion to uterus • Free floating fimbria or sonosalphingography
  • 35.
    Laparoscopy • Both diagnosticand therapeutic • Gold standard • It should not be performed within 3 mnths of hormonal treatment to prevent under diagnosis
  • 36.
    Appearance • Match stickhead or blackened spot like lesions oveer the ovaries, serosal surface and peritoneum • Red implants (petechial, vesicular, polypoid, haemorrhagic , red flamelike) which are atypical with areas of fibrosis • Vesicles (serous and clear) • Peritoneal defects (scarring and yellow brown peritoneal discolouration) • Endometriomas (ovarian cysts containing stale blood which appears like tar. Widely referred to as chocolate cysts. Obliteration of the ovarian fissa can slso taje place Laparoscopy, showing minimal endometriosis, in the form of " powder-burn" deposits.
  • 37.
    • Powder burnor black lesions • White opacifiied peritoneum • Glandular excrescences • Flame like red lesions • Peritoneal pockets or windows
  • 38.
    • Clear vesicles •Yellow brown patches • Unexplained adherence of ovary to peritoneum of ovarian fossa • Encysted collection of thick chocolate coloured or tarry fluid • Adhesions to posterior lip of broad ligaments/ other pelvic structure
  • 40.
    Endometriotic cyst ofthe left ovary (typical laparoscopic image).
  • 41.
    A cluster ofchocolate cysts
  • 42.
  • 43.
  • 44.
    MRI • When endometriosisis thought to have a deeply invasive component (bowel and bladder invasion), ancillary tests such as colonoscopy, cystoscopy, rectal ultrasonography and MRI may be required.
  • 45.
    • Endometriotic depositsin rectovaginal septum seen as as high intensity signal in MRI image
  • 46.
    CA 125 • Maybe elevated in severe endometriosis
  • 47.
    Histological Confirmation • Visualinspection is usually adequate but histological confirmation of at least one lesiion is ideal • In cases of ovarian endometrioma >3cm in diameter and in deeply infiltrating disease histology is a must to rule out malignancy
  • 48.
    American Society forReproductive Medicine revised classification of endometriosis (American Fertility Society AFS grading)
  • 50.
    In SHORT • Score1-5: Stage I: minimal disease • Score 6-15: Stage II: mild disease • Score 16-40: Stage III: moderate disease • Score >40: Stage IV: severe disease
  • 51.
    • -Grade 1:Possible endometriosis - Peritoneal vesicles, red polyps, yellow polyps, hypervascularity, scar, adhesions. • Grade 2: Suggestive of endometriosis. Chocolate cyst with free flow of • chocolate fluid • Grade 3: Consistent with endometriosis - Dark scarred (puckered pigmented or mixed color) lesions, red lesion on fibrous scarred background,chocolate cyst with mottled red and dark areas on white background. • -Grade 4: Endometriosis. Dark, scarred (or puckered, pigmented) lesions at first surgery
  • 52.
    Treatment • Treatment ofendometriosis can be either medical, surgical or combination of both • The medical mangement can be for pain control or prevention of menstruation and therefore restric progressive ectopic endometrial profileration.
  • 53.
    • Surgical managementis more definitive and can also leaf to reduction of sumptoms of dysmenorrhoea and increase pregnancy rate
  • 54.
    • If fertilityis the main issue, the management should be geared towards surgical excision/ ablation of the endometriotic lesions and iUI or IVF
  • 55.
    Medical Management • Recognisegoals – Pain management – Preservation/ Restoration of fertility • Discuss with the patient – Disease may be chronic and not curable • Curable – Optimal treattment unproven or nonexistent
  • 56.
    • Empirical treatmentof pain symptoms without definitive diagnosis of endometriosis, a therapeutic trial of hormonal drug to reduce menstrual flow is appropiate • Medical therapy for endometriosis can be used either as primary therapy or in conjunction with surgery preoperatively or postoperatively sandwich therapy
  • 57.
    NSAIDS for painManagement • There is inconclusive evidence to show whether NSAIDs (specifically Naproxen) are effective in managing pain caused by endometriosis. THis should not be taken at the time of ovulation in women who want to get pregnant as this can inhibit the process of ovulation.
  • 59.
    • T. Ponstan500mg TDS for 5 days
  • 60.
    Hormones • COmbined oral contraceptives (COCs) •Prevention of withdrawal bleeding by taking COC continuously can prevent retrograde menstruation, hence this ethod is said to be effective pain relief.
  • 61.
    • To reducethe frequent prolonged bleeding not recommended in infertility endometriotic women • However COCs are the only effective prophylaxis in against endometriosis
  • 63.
    Medroxyprogesterone • Medroxyprogesterone especially thedepot form, may be effective in reducing pain symptoms but long term usage may reduce bone mineral density
  • 64.
    • Progesterone: pseudo pregnancy(Kristner's regime) state • Acts by decidualisation and atrophy of the estrogen dependent endometriotic foci • COmmon progesterone: medroxyprogesterone acetate, norethisterone, dydrogesterone • DMPA- cost effective, readily available 66% complete resolution
  • 65.
    • Side effects:Irregular bleeding, weight gain, fluid retention,m breast tenderness, mood changes
  • 66.
    Danazol and Gestrinone •Weak angrogens, progestogenic and anti estrogenic. • May have many androgen induced side effectis which limit their usage. • Low dose regimens and vaginal usage have been proposed.
  • 67.
    What is gestrinone? •AN ANTI-PROGESTIN • Gestrinone 1-25-2-5mg biweekly • Side effects: similar to danazol
  • 68.
    GnRH agonist • Thiscan induce hypoestrogenism and therby reduce not only pain but also size of lesions. THe only drawbacks of this form of therapy is that it can't be used longterm due to effects of hypoestrogenism and reduction in bone mineral density. Add back therapy with estrogen and progesterone enables the usage of this drug for up to 12months
  • 69.
  • 70.
    Surgical Management • Indications •Mild endometriosis associated with infertility • Endometrioma >4 cm in diameter • Endometriosis of rectovaginal septum or rectal wall • Failed medical therapy • Intolerable side effects of medical therapy • Endometriosis with other surgically correctable infertility factors
  • 71.
    • Surggical removealis preferred as it has been proven that surgical ablation reduces the dysmenorrhoea caused by endometriosi. Even in deeply infiiltrating diease, the removal of the lesions in entirety reduces pain symptoms. • ENdometriomas more than 4 cm are best treated by laparoscopyc ovarian cystectomy
  • 72.
    • Combination ofablation of endometriotic lesions and adhesiolysis improves the rates of fertility in mild to moderate endometrriosis • THeremay be no role for just performing laparoscopic nerve ablation (without any ablation of endometriotic deposits) for as there is no proven reducition in pain
  • 73.
    • In patientswith mild to moderate endometriosis, IUI improves fertility • Women treated with GnRH agonists for duration of 3-6 months with addback therapy prior to IVF have shown to have higher rates of clinical pregnancy
  • 74.
    Pre-operative assessment • MRIor USS with or without IVP, Barium enema, sigmoidoscopy • Pre- op and postop medical managemnent • GnRH agonist like goserelin for 3 months preop reduces the size and AFS score. • Postop therapy gives longer periods of remission.
  • 75.
    • Primary operationis the best opportinity • Best outcome by excision of the lesion • COmplete excision has lowest recurrence of 19% • Adhesions require excision rather than simple diivision
  • 76.
    Endometriosis and fertility •20-25% of women undergoing laparoscopy for infertility or for chronic pelivic pain demonstrate underlying endometriosis
  • 77.
    • Ovarian follicleshave abnormal growth rates and are defective in their function • The ovulation process itself is affected where the mature follicle fails to ruepture and release the ooctye and gets luuteiniised instead
  • 78.
    • Local inflammationin the pelvis and the presence of excess peritoneal fluid with large amounts of macrrophages may dirsrupt ovarian function, capture of the ovum by the imbriae, affct sprm and also the process of fertilisation. • This is an environment which is not conducive to conception.
  • 79.
    • Early stagedisease: laparoscopic excision or ablation with adhesiolysis • Moderate to severe endometrosis: role of surgery is uncertain (overactive excision may reduce fertility)
  • 80.
    • Endometrioma: laparoscopiccystectomy better than drainage and coagulation • Post operative hormonal treatment has no beneficial effect on pregnancy rates after surgery • Tubal flushing improves pregnancy rates
  • 81.
    Medical Management ofInfertility due to endometriosis • There is no evidence to show that suppression of ovarian function using drugs like medroxyprogesterone, danazol etc having any beneficial effect on fertilty in mild to moderate endometriosis • It is not effective in more severe forms of endometriosis
  • 82.
    • There ishowever an improvement in pregnancy rates in women with endometriosis who are treated with GnRH agionist suppression therapy with hormonal replacement add therapy for 3-6 months prior to iVF
  • 83.
    Surgical Management ofinfertility due to endometriosis • Ablation of endometriotic lesions and adhesiolysis improves the rates of pregnancy in mild to moderate endometriosis • It is of uncertain benefit in moderate to severe disease • Endometriomas more than 4cm are best treated by laparoscopic ovarian cystectomy
  • 84.
  • 85.
    Introduction • A benign conditionof the uterus • Bears close clinical similarities with leiyomyoma • Mainly confined to body of the uterus occurring as discrete lesions or more extensively • Rarely seen in the cervical part • It is considered as an extension of endometriosis wherein the endometrial glands grow inside the uterine musculature
  • 86.
    Incidence • Commonly seen inwomen above 40 years with an overall incidence of 10% • Occurrence is more likely to be seen in women who are parous and have had termination of pregnancy, spontaneous miscarriages and endometriosis
  • 87.
    Diagnosis • 30% of womenare asymptomatic, heavy menstruation (40-50%) and dysmenorrhea (15-20%) in parous women between 40-50 years with a globularly enlarged uterus • Clinical features are similar to leiyomyoma • Adenomyosis can be asymptomatic, it is frequently diagnosed after hysterectomy • Heavy menstruation if present will be progressive over time
  • 88.
    • On examination, itmight be difficult to differentiate from leiyomyoma when the uterus is uniformly enlarged • Suspician is aroused when: - the enlarged uterus rarely exceeds 12-14 weeks size - enlargement is regular compared to the nodular enlargement of leiyomyoma
  • 89.
    Reasons for menorrhagia 1. Increase in surface area due to enlarged uterus 2 . Increased vascularity to support the enlarged uterus 3 . Impaired contraction due to glandular tissue in the myometrium 4 . Probable association of endometrial hyperplasia
  • 90.
    Investigations 1. Ultrasonography - TVSand TAS: reveal a decreased echogenicity/heterogenicity in the myometrium - reason for heterogenicity is mainly due to the presence of cystic glands amongst smooth muscles 2. MRI - significant when differentiating between leiyomyoma and adenomyosis cannot be ascertained clinically
  • 91.
    Management 1. Medical management -menorrhagia & dysmenorrhea: Tranexamic acid (500mg TDS) and Mefenamic acid (500mg TDS) - women <35 years, combined oral pills - women >35 years, progestins are administered - GnRH analogues reduces symptoms of adenomyosis and uterine size - IUS Levonorgestrel, Leuprolide - low dose of Mifeprostone for periods of 30 days
  • 92.
    2. Surgical management -hysterectomy - hysteroscopic resection: superficial adenomyosis ( <1mm myometrial invasion) - Uterine artery embolisation (UAE) and MRI guided focused ultrasound surgery