EXTRA CRANIAL ANEURYSMS
DR. MBIINE RONALD
OUTLINE
• Definition
• Classification of aneurysms
– Aortic aneurysms
• Thoracic aorta
• Abdominal aorta
– Carotid
– Iliac
– Popliteal
• Dissecting Aneurysms
Definition
• Permanent dilatation of a localised segment of an
arterial system.
• Dilatation of arterial lumen by more than 50% of
its luminal diameter.
• TRUE:
– Localised dilatation of an arterial wall at a weakened
area. Involves all three layers of the arterial wall.
• FALSE/TRAUMATIC:
– Haematoma cavity communicating with the injured
artery. Contains a single layer of fibrous tissue as a
wall of the sac.
TRUE ANEURYSMS
• Fusiform
• Saccular
• Dissecting
Dissecting aneurysm
• Dilatation of an artery formed by formation of
a false channel between the intima and media
by blood.
• Occurs when blood is forced through a
ruptured flap of intima
Aetiology
• Degenerative: Atheromatous, most common
aetiology
• Traumatic
• Infective:
– Syphilitic
– Mycotic(bacterial)
– Tubercolosis
• Collagen diseases: Marfan’s syndrome,
polyarteritis nodosa, Ehler-Danlos syndrome
• Congenital: Berry aneurysms
Pathogenesis
Clinical features
• Swelling exhibiting:
– Pulsatile expansion
– Smooth surface
– Warm
– Compressible
– Swelling reduces in size when compressed
proximally
– May have a thrill and systolic bruit
• Distal pulses have reduced volume compared
to the contra-lateral pulses.
• Symptoms as a result of pressure on the
surrounding structures.
Differential diagnoses
• Pyogenic abscess
• Vascular tumours
• Pulsating tumours: Sarcomas
– Pulsating secondaries
• Pseudocysts of the pancrea
• AV fistula
COMPLICATIONS
• Rupture
• Pressure compression
• Thrombosis
• Ischaemia in the distal areas.
Investigations
• XRAY:
– May show calcifications of the swelling and erosion of
subjacent bone.
• USS:
– May confirm diagnosis
• Duplex USS, Doppler USS
• CT SCAN:
– Shows the size of the aneurysm.
– CT Angiograms
• Investigations related to aetiology: RBS, lipid profile
Abdominal aortic aneurysm
• Commonest type of extra abdominal
aneurysm.
• 2% population have aneurysms at autopsy
• 95% rule: are atheromatous and lie below
renal arteries.
• Symptoms dependent on size.
– Discomfort and abdominal pain usual symptoms.
epidemiology
• Most patients between 45-85 years
• Affects males more with ratios between 1:4 to
1:15 in M:F
Pathophysiology
• The aortic wall contains smooth muscle cell
matrix, elastin, collagen. The elastin in the tunica
media is the load bearing part, with collagen in
the adventitia as a safe net to provide tensile
strength.
• In the infra renal area, elastin is markedly
reduced, the absence of vasa vasorum further
compound this problem. The presence of
atherosclerotic instability of this region cause the
infra renal AA to be most prone to aneurysm
formation.
• Aortic smooth muscles cells and macrophages
produce the matrix metallo proteinases
(MMP) and these cause proteolysis of the
aortic medial wall with resultant elastin and
collagen degradation and increase in diameter.
• Collagen degradation in the adventitia causes
rupture.
Classified
• Asymptomatic
• Symptomatic
• Symptomatic ruptured
Asymptomatic AAA
• In case of an incidental finding of AAA, surgery
is only done if diameter is >55mm
• Aneurysms less than 55mm,require regular
follow up.
• Found during routine examination or USS
Symptomatic AAA (without rupture)
• Commonly present as back or abdominal pain
• Groin or thigh pain due to nerve compression
• Pressure symptoms
• Rule of 80’s:
– 80% of patients with AAA will be dead within a
year if they don’t have surgery.
– 80% of patients with AAA will be alive if they have
surgery
• Inflammatory aneurysm in 5%
• May present as an
– Aortocaval fistula:
• Presenting as high output cardiac failure
• With continuous bruit in the abdomen
• Severe lower limb ischaemia (Steal phenomenon)
– Aorto-enteric fistula:
• Aneurysm erodes into the fourth part of the
duodenum.
• Presents as GI bleeds.
• The risk of operation:
• Hypertension
• Chronic airway disease
• Recent myocardial infarction
• Impaired renal function
Complications
• Rupture
• Infection
• Thrombosis, with embolism
• Distal ischaemia/gangrene
• Aortocaval fistula
• Aortoenteric fistula
• Erosion of vertebra
• Spinal cord ischaemia and thrombosis
DDX of an unruptured AAA
• Retroperitoneal mass
• Pancreatic pseudocyst
• Mesenteric ischaemia, acute pancreatitis and
perforated duodenal ulcer may mimic an AAA
Treatment plan
• Investigation
– Blood investigations
– Imaging
• USS
• CT
• Angiography
• Duplex USS
Non Surgical management
• For low risk AAA
– Age below 70 years
– No cardiac disease
– Non inflammatory aneurysm
– Diameter less than 5.5cm
– If growth rate is less than 0.5cm/year
• Risk factor modification:
– Quit smoking, alcohol
– Control of BP, Elastase inhibitors e.g NSAIDS.
• Periodic size measurement using USS every
6months
Surgical management
• Indications for surgery:
– Asymptomatic aneurysm greater than 5.5cm
– Growth rate greater than 0.5cm/year
– Painful and tender aneurysm
– Thrombosed aneurysm, aneurysm with distal
emboli
Ruptured abdominal Aortic aneurysm
• 1% risk of rupture if diameter is >5.5cm
• 20% risk if diameter is >7cm
• 20% rupture anteriorly into peritioneal cavity.
• 80% rupture posteriorly into retroperitioneal
space.
• 50% mortality
Clinical features
• Absence of femoral pulses with a palpable
mass in the abdomen.
• DX and treatment need to be rapid in order to
achieve the best results.
• Typically pt has a tender palpable mass in
setting of hypotension.
• Clinical diagnosis.
• CT scan may have additional benefit if dx is in
doubt. USS not requirement to dx Ruptured
AAA.
• Once dx is made;
– IV large bore access is obtained.
– Blood for grouping, xmatching
– Fluid resuscitation. Target SBP should not exceed
100mmHg.
– Urinary catheter is passed.
– If patient is stable, surgery maybe defered until
crossmatched blood is availed. In the unstable,
surgery is done even without blood.
• Treatment of ruptured aneurysm is Emergency
surgery and not resuscitation and monitoring.
PRINCIPLES
• Early identification
• Immediate resuscitation
• Maintenance of systolic blood pressure
• Urinary catheter
• Cross match six units of blood
• Rapid transfer to the operating room
Work up
• Full blood count
• Electrolytes
• Liver function tests
• Coagulation tests and
• Blood lipid estimation
• Cross-match
– if surgery is contemplated within a few days.
IMAGING
• CXR
• ECG, ECHO
• Isotope ventriculography
• Pulmonary function
• CT SCAN: Best for assessing aneurysm
morphology.
• MRI
• Digital subtraction angiogram
• Spiral CT scan
Surgical Approach
• Open Surgical method
– Endo-aneurysmorrhaphy with intraluminal graft
placement.
• Endoluminal procedure
– Endovascular aneurysm repair(EVAR)
– Aorta accessed via common femoral arteries which
are exposed surgically.
– Under radiological control, delivery system guided
into aorta and an endovascular prosthesis is placed.
Usually Dacron or PTFE.
Complications following surgery
• Open Surgery:
– Respiratory:
• Lobar consolidation
• Atelectasis
• Shock lung
– Cardiac:
• Ischaemia
• Infarction
– GIT:
• Colonic ischaemia due to lack of collateral blood supply.
• Occurs in 10% of cases.
– Renal failure
– Infection of the graft
– Haemorrhage
– Graft leak
• Neurological:
– Sexual dysfunction
– Spinal cord ischaemia
• Aortoduodenal fistula
– Rare but treatable
– Suspect if haematemesis and melaena occur years
following surgery.
• These complications are less in the minimally
invasive procedures.
• In the Endovascular technique
– Endo leaks may occur.
– Prosthetic migration
– Thrombosis
– Rupture
• 20% of patients need a secondary procedure
to correct the endoleaks or prosthetic
migration, thrombosis or rupture.
THORACIC ANEURYSMS
• Classified into:
– Ascending aortic aneurysms
– Aortic arch aneurysms
– Descending aortic aneurysms
– Thoraco-abdominal aneurysms
• Hypertension most implicated risk factor.
• Atherosclerosis is an aetiological factor
• 20% have concurrent AAA
PERIPHERAL ANEURYSMS
• Popliteal aneurysms:
– 70% of all peripheral aneurysms
– 2/3 bilateral
– 1/3 accompanied by abdominal AA
Presentation
• Popliteal aneurysms present as a swelling
behind the knee or
• May also present with symptoms caused by
complications, such as
– severe ischaemia following thrombosis or
– distal ischaemic ulceration as a result of emboli.
– Such symptomatic aneurysms require urgent
surgery with/out intra-arterial thrombolysis
• Asymptomatic popliteal aneurysms require
elective surgical intervention to prevent future
development of symptoms.
• Surgery necessary if aneurysm exceeds 25mm
• Imaging involves:
– USS
– CT Scan
• Management:
– Inlay graft
– Bypass with ligation of the aneurysm
• Femoral aneurysms
– Uncommon
– Usually treated conservatively after ruling out
other synchronous aneurysms
• Iliac aneurysms
– Usually associated with aortic aneurysms
– Operation is indicated, with bypass and exclusion
of the aneurysm by ligation above and below the
dilatation.
Carotid artery aneurysms
• Less than 4% of peripheral aneurysms
• Common site is the Common carotid artery bulb.
• 10% bilateral
• Swelling in neck at level below mandible
• May have horners syndrome
• DDX:
– Carotid body tumour
– Neck abscess
– Neurofibroma from the vagus nerve
Arterial venous fistula
• May be traumatic, surgically created or
congenital
• The veins undergo arterialisation (thickening
of the wall) with dilatation of the lumen and
development of a tortuous pattern.
• These may have an effect on the cardiac
output if they are large.
• May present as a pulsatile swelling with
detectable bruit as well as machinery murmur.
• Proximal compression causes collapse of the
swelling.
• Duplex scan and angiography confirms the
lesion with fast venous filling
Management of arteriovenous fistula.
• Embolisation is the best treatment mordality
• Surgery done for severe deformity or serious
haemorrhage.
• Ligation of feeding artery on its own not
adequate
DISSECTING ANEURYSMS
• Not an aneurysm but an aortic dissection.
Occurs through the media of the aorta after
splitting through the intima.
• Aetiology:
– Hypertension
– Cystic medial necrosis
– Marfan’s syndrome
– Trauma
• Always seen in the thoracic aorta, common in
the ascending aorta(70%)
• May open distally to form a double barrel
aorta.
Presentation
• Severe chest pain
• Features of ischaemia due to blockage of
different vessels
• TREATMENT:
– Antihypertensives
– Surgery:
• Dacron graft reconstruction of the aorta under
cardiopulmonary bypass.
END

Extra cranial aneurysms

  • 1.
  • 2.
    OUTLINE • Definition • Classificationof aneurysms – Aortic aneurysms • Thoracic aorta • Abdominal aorta – Carotid – Iliac – Popliteal • Dissecting Aneurysms
  • 3.
    Definition • Permanent dilatationof a localised segment of an arterial system. • Dilatation of arterial lumen by more than 50% of its luminal diameter. • TRUE: – Localised dilatation of an arterial wall at a weakened area. Involves all three layers of the arterial wall. • FALSE/TRAUMATIC: – Haematoma cavity communicating with the injured artery. Contains a single layer of fibrous tissue as a wall of the sac.
  • 4.
    TRUE ANEURYSMS • Fusiform •Saccular • Dissecting
  • 5.
    Dissecting aneurysm • Dilatationof an artery formed by formation of a false channel between the intima and media by blood. • Occurs when blood is forced through a ruptured flap of intima
  • 6.
    Aetiology • Degenerative: Atheromatous,most common aetiology • Traumatic • Infective: – Syphilitic – Mycotic(bacterial) – Tubercolosis • Collagen diseases: Marfan’s syndrome, polyarteritis nodosa, Ehler-Danlos syndrome • Congenital: Berry aneurysms
  • 7.
  • 8.
    Clinical features • Swellingexhibiting: – Pulsatile expansion – Smooth surface – Warm – Compressible – Swelling reduces in size when compressed proximally – May have a thrill and systolic bruit
  • 9.
    • Distal pulseshave reduced volume compared to the contra-lateral pulses. • Symptoms as a result of pressure on the surrounding structures.
  • 10.
    Differential diagnoses • Pyogenicabscess • Vascular tumours • Pulsating tumours: Sarcomas – Pulsating secondaries • Pseudocysts of the pancrea • AV fistula
  • 11.
    COMPLICATIONS • Rupture • Pressurecompression • Thrombosis • Ischaemia in the distal areas.
  • 12.
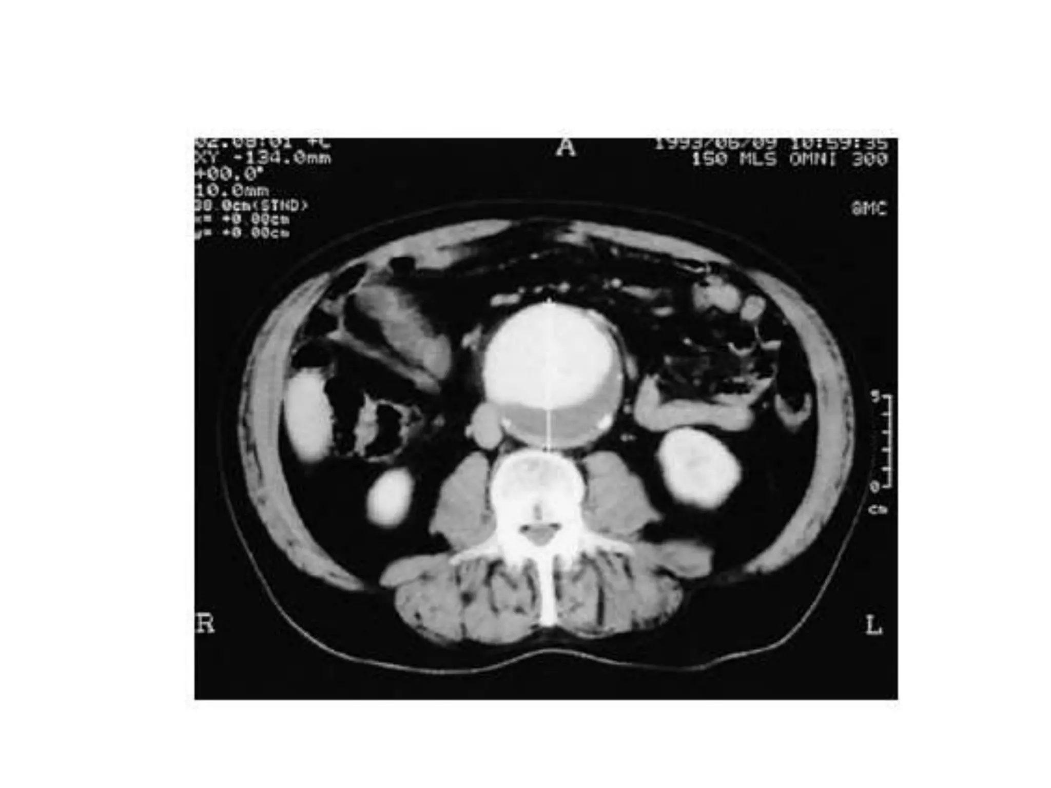
    Investigations • XRAY: – Mayshow calcifications of the swelling and erosion of subjacent bone. • USS: – May confirm diagnosis • Duplex USS, Doppler USS • CT SCAN: – Shows the size of the aneurysm. – CT Angiograms • Investigations related to aetiology: RBS, lipid profile
  • 13.
    Abdominal aortic aneurysm •Commonest type of extra abdominal aneurysm. • 2% population have aneurysms at autopsy • 95% rule: are atheromatous and lie below renal arteries. • Symptoms dependent on size. – Discomfort and abdominal pain usual symptoms.
  • 14.
    epidemiology • Most patientsbetween 45-85 years • Affects males more with ratios between 1:4 to 1:15 in M:F
  • 15.
    Pathophysiology • The aorticwall contains smooth muscle cell matrix, elastin, collagen. The elastin in the tunica media is the load bearing part, with collagen in the adventitia as a safe net to provide tensile strength. • In the infra renal area, elastin is markedly reduced, the absence of vasa vasorum further compound this problem. The presence of atherosclerotic instability of this region cause the infra renal AA to be most prone to aneurysm formation.
  • 16.
    • Aortic smoothmuscles cells and macrophages produce the matrix metallo proteinases (MMP) and these cause proteolysis of the aortic medial wall with resultant elastin and collagen degradation and increase in diameter. • Collagen degradation in the adventitia causes rupture.
  • 17.
  • 18.
    Asymptomatic AAA • Incase of an incidental finding of AAA, surgery is only done if diameter is >55mm • Aneurysms less than 55mm,require regular follow up. • Found during routine examination or USS
  • 19.
    Symptomatic AAA (withoutrupture) • Commonly present as back or abdominal pain • Groin or thigh pain due to nerve compression • Pressure symptoms • Rule of 80’s: – 80% of patients with AAA will be dead within a year if they don’t have surgery. – 80% of patients with AAA will be alive if they have surgery • Inflammatory aneurysm in 5%
  • 20.
    • May presentas an – Aortocaval fistula: • Presenting as high output cardiac failure • With continuous bruit in the abdomen • Severe lower limb ischaemia (Steal phenomenon) – Aorto-enteric fistula: • Aneurysm erodes into the fourth part of the duodenum. • Presents as GI bleeds.
  • 21.
    • The riskof operation: • Hypertension • Chronic airway disease • Recent myocardial infarction • Impaired renal function
  • 22.
    Complications • Rupture • Infection •Thrombosis, with embolism • Distal ischaemia/gangrene • Aortocaval fistula • Aortoenteric fistula • Erosion of vertebra • Spinal cord ischaemia and thrombosis
  • 23.
    DDX of anunruptured AAA • Retroperitoneal mass • Pancreatic pseudocyst • Mesenteric ischaemia, acute pancreatitis and perforated duodenal ulcer may mimic an AAA
  • 24.
    Treatment plan • Investigation –Blood investigations – Imaging • USS • CT • Angiography • Duplex USS
  • 25.
    Non Surgical management •For low risk AAA – Age below 70 years – No cardiac disease – Non inflammatory aneurysm – Diameter less than 5.5cm – If growth rate is less than 0.5cm/year • Risk factor modification: – Quit smoking, alcohol – Control of BP, Elastase inhibitors e.g NSAIDS. • Periodic size measurement using USS every 6months
  • 26.
    Surgical management • Indicationsfor surgery: – Asymptomatic aneurysm greater than 5.5cm – Growth rate greater than 0.5cm/year – Painful and tender aneurysm – Thrombosed aneurysm, aneurysm with distal emboli
  • 27.
    Ruptured abdominal Aorticaneurysm • 1% risk of rupture if diameter is >5.5cm • 20% risk if diameter is >7cm • 20% rupture anteriorly into peritioneal cavity. • 80% rupture posteriorly into retroperitioneal space. • 50% mortality
  • 28.
    Clinical features • Absenceof femoral pulses with a palpable mass in the abdomen.
  • 29.
    • DX andtreatment need to be rapid in order to achieve the best results. • Typically pt has a tender palpable mass in setting of hypotension. • Clinical diagnosis. • CT scan may have additional benefit if dx is in doubt. USS not requirement to dx Ruptured AAA.
  • 30.
    • Once dxis made; – IV large bore access is obtained. – Blood for grouping, xmatching – Fluid resuscitation. Target SBP should not exceed 100mmHg. – Urinary catheter is passed. – If patient is stable, surgery maybe defered until crossmatched blood is availed. In the unstable, surgery is done even without blood.
  • 31.
    • Treatment ofruptured aneurysm is Emergency surgery and not resuscitation and monitoring.
  • 32.
    PRINCIPLES • Early identification •Immediate resuscitation • Maintenance of systolic blood pressure • Urinary catheter • Cross match six units of blood • Rapid transfer to the operating room
  • 34.
    Work up • Fullblood count • Electrolytes • Liver function tests • Coagulation tests and • Blood lipid estimation • Cross-match – if surgery is contemplated within a few days.
  • 35.
    IMAGING • CXR • ECG,ECHO • Isotope ventriculography • Pulmonary function • CT SCAN: Best for assessing aneurysm morphology. • MRI • Digital subtraction angiogram • Spiral CT scan
  • 39.
    Surgical Approach • OpenSurgical method – Endo-aneurysmorrhaphy with intraluminal graft placement. • Endoluminal procedure – Endovascular aneurysm repair(EVAR) – Aorta accessed via common femoral arteries which are exposed surgically. – Under radiological control, delivery system guided into aorta and an endovascular prosthesis is placed. Usually Dacron or PTFE.
  • 41.
    Complications following surgery •Open Surgery: – Respiratory: • Lobar consolidation • Atelectasis • Shock lung – Cardiac: • Ischaemia • Infarction – GIT: • Colonic ischaemia due to lack of collateral blood supply. • Occurs in 10% of cases. – Renal failure – Infection of the graft – Haemorrhage – Graft leak
  • 42.
    • Neurological: – Sexualdysfunction – Spinal cord ischaemia • Aortoduodenal fistula – Rare but treatable – Suspect if haematemesis and melaena occur years following surgery. • These complications are less in the minimally invasive procedures.
  • 43.
    • In theEndovascular technique – Endo leaks may occur. – Prosthetic migration – Thrombosis – Rupture • 20% of patients need a secondary procedure to correct the endoleaks or prosthetic migration, thrombosis or rupture.
  • 44.
    THORACIC ANEURYSMS • Classifiedinto: – Ascending aortic aneurysms – Aortic arch aneurysms – Descending aortic aneurysms – Thoraco-abdominal aneurysms • Hypertension most implicated risk factor. • Atherosclerosis is an aetiological factor • 20% have concurrent AAA
  • 46.
    PERIPHERAL ANEURYSMS • Poplitealaneurysms: – 70% of all peripheral aneurysms – 2/3 bilateral – 1/3 accompanied by abdominal AA
  • 47.
    Presentation • Popliteal aneurysmspresent as a swelling behind the knee or • May also present with symptoms caused by complications, such as – severe ischaemia following thrombosis or – distal ischaemic ulceration as a result of emboli. – Such symptomatic aneurysms require urgent surgery with/out intra-arterial thrombolysis
  • 48.
    • Asymptomatic poplitealaneurysms require elective surgical intervention to prevent future development of symptoms. • Surgery necessary if aneurysm exceeds 25mm • Imaging involves: – USS – CT Scan • Management: – Inlay graft – Bypass with ligation of the aneurysm
  • 49.
    • Femoral aneurysms –Uncommon – Usually treated conservatively after ruling out other synchronous aneurysms • Iliac aneurysms – Usually associated with aortic aneurysms – Operation is indicated, with bypass and exclusion of the aneurysm by ligation above and below the dilatation.
  • 50.
    Carotid artery aneurysms •Less than 4% of peripheral aneurysms • Common site is the Common carotid artery bulb. • 10% bilateral • Swelling in neck at level below mandible • May have horners syndrome • DDX: – Carotid body tumour – Neck abscess – Neurofibroma from the vagus nerve
  • 51.
    Arterial venous fistula •May be traumatic, surgically created or congenital • The veins undergo arterialisation (thickening of the wall) with dilatation of the lumen and development of a tortuous pattern. • These may have an effect on the cardiac output if they are large.
  • 52.
    • May presentas a pulsatile swelling with detectable bruit as well as machinery murmur. • Proximal compression causes collapse of the swelling. • Duplex scan and angiography confirms the lesion with fast venous filling
  • 53.
    Management of arteriovenousfistula. • Embolisation is the best treatment mordality • Surgery done for severe deformity or serious haemorrhage. • Ligation of feeding artery on its own not adequate
  • 54.
    DISSECTING ANEURYSMS • Notan aneurysm but an aortic dissection. Occurs through the media of the aorta after splitting through the intima. • Aetiology: – Hypertension – Cystic medial necrosis – Marfan’s syndrome – Trauma
  • 55.
    • Always seenin the thoracic aorta, common in the ascending aorta(70%) • May open distally to form a double barrel aorta.
  • 58.
    Presentation • Severe chestpain • Features of ischaemia due to blockage of different vessels • TREATMENT: – Antihypertensives – Surgery: • Dacron graft reconstruction of the aorta under cardiopulmonary bypass.
  • 59.