AshrafRefai 
Samir 
BDS MSc DD HMD Lecturer of 
Endodontics 
Al-Azhar University 
ashraf_refai@hotmail.com 
Ashraf Samir Refai 
www.arefai.edublogs.org 
www.idclinics.com 
+201001434323
www.arefai.edublogs.org 
Case Selection 
Dr. Ashraf Refai 
BDS MSc DD HMD 
Lecturer of Endodontics 
Al-Azhar University 
ashraf_refai@hotmail.com
Operator Should 
Ask Himself 2 
Questions 
1. Are the patient best needs 
served by endodontic treatment or 
is another approach preferable? 
2. Are you capable of handling the 
case or would a referral be better?
Two Answer the First 
Question 
Then you need to 
determine whether 
the case in indicated 
or contraindicated for 
endodontic treatment
Indications 
❖ Pulpal affection due to 
pulpal or periodical 
pathosis 
❖ Pulpal affection due to 
traumatic injury 
❖ Facilitation of restoration 
(intentional endodontic 
treatment)
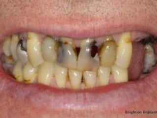
Contra-Indications 
1. Insufficient Periodontal 
Support
Contra-Indications 
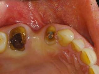
2. Non-Restorable tooth
Contra-Indications 
3. Vertical Fracture
Contra-Indications 
4. Condition of remaining 
dentition
Contra-Indications 
5. Non-strategic tooth
Operator Should 
Ask Himself 2 
Questions 
1. Are the patient best needs 
served by endodontic treatment or 
is another approach preferable? 
2. Are you capable of handling the 
case or would a referral be better?
Two Answer the Second 
Question 
Then you need to 
decide whether to 
treat the case 
yourself or to refer
Contended Contraindications 
❖ Patient related 
❖ Tooth related 
❖ Dentist related 
❖ Medically related
Patient Related Contended 
Contraindications
Age 
Deciduous teeth 
Open apex 
Cooperation 
Patient Related 
Contended 
Contraindications 
Calcified canals 
Medical conditions 
Cooperation
Local Anesthesia 
Phobia from 
local 
anesthesia 
Patient Related 
Contended 
Contraindications 
Allergies & difficulty in 
obtaining anesthesia
Physical LimitationsPatient Related 
Contended 
Contraindications 
❖ Limited mouth opening 
❖ Inability to recline the patient
Patient Financial Status Patient Related 
Contended 
Contraindications
Patient Motivation Patient Related 
Contended 
Contraindications
Patient Availability Patient Related 
Contended 
Contraindications
Patient Related Contended 
Contraindications 
❖ Age 
❖ Local anaesthesia 
❖ Physical limitations 
❖ Patient financial situation 
❖ Patient motivation 
❖ Patient availability
Tooth Related Contended 
Contraindications
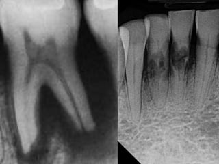
Abnormal 
Canal Configurations 
Tooth Related 
Contended 
Contraindications 
Taurodontism 
Dens invaginatus
Abnormal 
Canal Configurations 
Tooth Related 
Contended 
Contraindications 
❖ Severely curved canals 
❖ C-shaped canals
Abnormal 
Canal Configurations 
Tooth Related 
Contended 
Contraindications 
❖ Aberrant extra canals 
❖ Lingual developmental grooves
Immature Apex Tooth Related 
Contended 
Contraindications
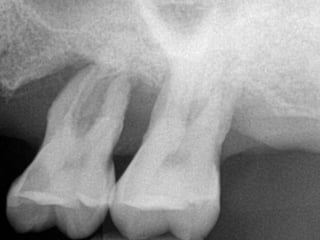
Root Resorption Tooth Related 
Contended 
Contraindications
Hyper Calcification Tooth Related 
Contended 
Contraindications
Crown Root Ratio Tooth Related 
Contended 
Contraindications 
Referral might be 
required 
Extraction might 
be required
Periapical Condition Tooth Related 
Contended 
Contraindications 
Referral might be 
required 
Not an absolute 
contra-indiction
Tooth Location 
& Malpositioning 
Tooth Related 
Contended 
Contraindications 
Difficulty in isolation & 
access cavity preparation 
May even required 
extraction
Retreatment & 
Iatrogenic Errors 
Tooth Related 
Contended 
Contraindications 
Referral is usually 
required 
Needs experience
Traumatic Injuries Tooth Related 
Contended 
Contraindications 
Avulsion 
Extrusion 
Intrusion
Cracked Tooth Tooth Related 
Contended 
Contraindications 
Difficult to diagnose 
May require 
extraction 
May required 
referral
Endodontic Periododntic 
Condiserations 
Tooth Related 
Contended 
Contraindications 
May require multi-specialty treatment
Persistent 
Signs & Symptoms 
Tooth Related 
Contended 
Contraindications 
You tried your best but still…
Approximation 
to Vital Structures 
Tooth Related 
Contended 
Contraindications 
Skill & experience for endodontic 
surgery
Existing RestorationsTooth Related 
Contended 
Contraindications 
Crowned tilted or rotated teeth 
Little margin for error
Tooth Related Contended 
Contraindications 
❖ Iatrogenic problems 
❖ Traumatic injuries 
❖ Cracked tooth 
❖ Endodontic Periodontic 
lesions 
❖ Persistant signs & symptoms 
❖ Approximation to vital 
structures 
❖ Existing restorations 
❖ Abnormal canal configurations 
❖ Immature apex 
❖ Root resorption 
❖ Hypercalcificaiton 
❖ Crown/Root ration 
❖ Periapical condition 
❖ Tooth location & 
malpositioning 
❖ Retreatment
Dentist Related Contended 
Contraindications
Lack of Knowledge 
& Skills 
Dentist Related 
Contended 
Contraindications
Lack of 
[Devices & Technology] and Time 
Dentist Related 
Contended 
Contraindications
Dentist Related Contended 
Contraindications 
❖ Lack of knowledge & 
skill 
❖ Lack of devices & 
technology 
❖ Lack of time
Medically Related Contended 
Contraindications
Cardiac Disease Medically Related 
Contended 
Contraindications 
1. Congenital heart disease 
2. Heart murmur 
3. Rheumatic fever 
4. Valvular disease or previous valvular surgery 
5. Patients with pacemakers 
May required premedication & older pacemakers maybe 
effected by certain equipment
Cardiovascular 
Disease 
Medically Related 
Contended 
Contraindications 
1. Hypertension 
2. Anticoagulant 
therapy 
Maybe contraindicated for surgery & may have some 
restrictions on type of local anesthesia being used
Blood Disorders Medically Related 
Contended 
Contraindications 
1. Hemophillia 
2. Leukemia 
3. Thrombocytopenia 
4. Aplastic anemia 
5. Platlet disorders 
Severe bleeding tendency can even contraindicate 
placement of a clamp Referral Mandatory
Diabetes Mellitus Medically Related 
1. Blood sugar must be controlled to avoid 
diabetic coma and hypoglycaemic coma 
2. Non-epinephrine containing anesthesia ( 
Blood Sugar) 
3. Non-asprin containing analgesics 
( Blood Sugar) 
4. Patients are prone to infection 
Contended 
Contraindications 
Referral maybe required
Liver Disease Medically Related 
Contended 
Contraindications 
Use drugs that are not detoxified in 
the liver 
1. Aspirin 
2. Acetaminophen (Paracetamol) 
3. Penicillin's & Cephalosporins 
Diseased livers cannot detoxify medication and in late 
cases there maybe bleeding tendency
Kidney Disease Medically Related 
Contended 
Contraindications 
Avoid drugs that are detoxified in the 
Kidney 
1. Aspirin 
2. Acetaminophen (Paracetamol) 
3. Penicillin's & Cephalosporins 
Diseased kidney’s cannot detoxify medication 
The antibiotic of choice is Erythromycin
Radiation Therapy Medically Related 
Contended 
Contraindications 
Patients may require post-operative 
antibiotics because of risk of infection
Tuberculosis 
& Lung Disease 
Medically Related 
Contended 
Contraindications 
1. Poor oxygenation of the blood 
2. Susceptible to infection 
3. Prophylactic antibiotics maybe 
needed 
4. Care should be taken because 
these disease are contagious 
Referral maybe required
Pregnancy Medically Related 
Contended 
Contraindications 
1. Use of medication should 
be limited 
2. 2nd trimester is the most 
appropriate time to 
operate 
Referral maybe required
Epilepsy Medically Related 
Contended 
Contraindications 
1. Should be controlled with 
medication 
2. Avoid injection into 
vein (May bring on 
attack) 
Referral maybe required
Diseases of the 
Adrenal Cortex 
Medically Related 
Contended 
Contraindications 
1. Addison’s disease (low levels of 
corticosteroids) 
Patient unable to handle stressful 
2. Cushing’s diseases (high levels of 
corticosteroids) 
Patients are more susceptible to 
infection & tissue healing is impaired 
Referral maybe required
Thyroid Disease Medically Related 
Contended 
Contraindications 
1. Hypothyroidism 
Diminished resistance to infection 
(Prophylactic antibiotics) 
2. Hyperthryoidism 
Unable to handle epinephrine 
it potentiates effect of thyroid 
resulting in thyroid crisis (Non-epinephrine 
containing 
anaesthesia) 
Referral maybe 
required
Chronic 
Corticosteroid Treatment 
Medically Related 
Contended 
Contraindications 
1. Autoimmune diseases 
sometimes require steroid 
treatment 
2. Patients are more prone to 
infection 
Referral maybe required
Medically Related Contended 
❖ Radiation therapy 
❖ Tuberculosis & lung 
disease 
❖ Pregnancy Epilepsy 
❖ Diseases of the 
adrenal cortex 
❖ Thyroid disease 
❖ Chronic corticosteroid 
treatment 
Contraindications 
❖ Cardiac disease 
❖ Cardiovascular 
disorders 
❖ Blood disorders 
❖ Diabetes 
mellitus 
❖ Liver disease 
❖ Kidney disease
AshrafRefai 
Samir 
BDS MSc DD HMD Lecturer of 
Endodontics 
Al-Azhar University 
ashraf_refai@hotmail.com 
Ashraf Samir Refai 
www.arefai.edublogs.org 
www.idclinics.com 
+201001434323

Case selection

  • 1.
    AshrafRefai Samir BDSMSc DD HMD Lecturer of Endodontics Al-Azhar University ashraf_refai@hotmail.com Ashraf Samir Refai www.arefai.edublogs.org www.idclinics.com +201001434323
  • 2.
    www.arefai.edublogs.org Case Selection Dr. Ashraf Refai BDS MSc DD HMD Lecturer of Endodontics Al-Azhar University ashraf_refai@hotmail.com
  • 3.
    Operator Should AskHimself 2 Questions 1. Are the patient best needs served by endodontic treatment or is another approach preferable? 2. Are you capable of handling the case or would a referral be better?
  • 4.
    Two Answer theFirst Question Then you need to determine whether the case in indicated or contraindicated for endodontic treatment
  • 5.
    Indications ❖ Pulpalaffection due to pulpal or periodical pathosis ❖ Pulpal affection due to traumatic injury ❖ Facilitation of restoration (intentional endodontic treatment)
  • 6.
  • 8.
  • 11.
  • 14.
    Contra-Indications 4. Conditionof remaining dentition
  • 16.
  • 18.
    Operator Should AskHimself 2 Questions 1. Are the patient best needs served by endodontic treatment or is another approach preferable? 2. Are you capable of handling the case or would a referral be better?
  • 19.
    Two Answer theSecond Question Then you need to decide whether to treat the case yourself or to refer
  • 20.
    Contended Contraindications ❖Patient related ❖ Tooth related ❖ Dentist related ❖ Medically related
  • 21.
    Patient Related Contended Contraindications
  • 22.
    Age Deciduous teeth Open apex Cooperation Patient Related Contended Contraindications Calcified canals Medical conditions Cooperation
  • 23.
    Local Anesthesia Phobiafrom local anesthesia Patient Related Contended Contraindications Allergies & difficulty in obtaining anesthesia
  • 24.
    Physical LimitationsPatient Related Contended Contraindications ❖ Limited mouth opening ❖ Inability to recline the patient
  • 25.
    Patient Financial StatusPatient Related Contended Contraindications
  • 26.
    Patient Motivation PatientRelated Contended Contraindications
  • 27.
    Patient Availability PatientRelated Contended Contraindications
  • 28.
    Patient Related Contended Contraindications ❖ Age ❖ Local anaesthesia ❖ Physical limitations ❖ Patient financial situation ❖ Patient motivation ❖ Patient availability
  • 29.
    Tooth Related Contended Contraindications
  • 30.
    Abnormal Canal Configurations Tooth Related Contended Contraindications Taurodontism Dens invaginatus
  • 31.
    Abnormal Canal Configurations Tooth Related Contended Contraindications ❖ Severely curved canals ❖ C-shaped canals
  • 32.
    Abnormal Canal Configurations Tooth Related Contended Contraindications ❖ Aberrant extra canals ❖ Lingual developmental grooves
  • 33.
    Immature Apex ToothRelated Contended Contraindications
  • 34.
    Root Resorption ToothRelated Contended Contraindications
  • 35.
    Hyper Calcification ToothRelated Contended Contraindications
  • 36.
    Crown Root RatioTooth Related Contended Contraindications Referral might be required Extraction might be required
  • 37.
    Periapical Condition ToothRelated Contended Contraindications Referral might be required Not an absolute contra-indiction
  • 38.
    Tooth Location &Malpositioning Tooth Related Contended Contraindications Difficulty in isolation & access cavity preparation May even required extraction
  • 39.
    Retreatment & IatrogenicErrors Tooth Related Contended Contraindications Referral is usually required Needs experience
  • 40.
    Traumatic Injuries ToothRelated Contended Contraindications Avulsion Extrusion Intrusion
  • 41.
    Cracked Tooth ToothRelated Contended Contraindications Difficult to diagnose May require extraction May required referral
  • 42.
    Endodontic Periododntic Condiserations Tooth Related Contended Contraindications May require multi-specialty treatment
  • 43.
    Persistent Signs &Symptoms Tooth Related Contended Contraindications You tried your best but still…
  • 44.
    Approximation to VitalStructures Tooth Related Contended Contraindications Skill & experience for endodontic surgery
  • 45.
    Existing RestorationsTooth Related Contended Contraindications Crowned tilted or rotated teeth Little margin for error
  • 46.
    Tooth Related Contended Contraindications ❖ Iatrogenic problems ❖ Traumatic injuries ❖ Cracked tooth ❖ Endodontic Periodontic lesions ❖ Persistant signs & symptoms ❖ Approximation to vital structures ❖ Existing restorations ❖ Abnormal canal configurations ❖ Immature apex ❖ Root resorption ❖ Hypercalcificaiton ❖ Crown/Root ration ❖ Periapical condition ❖ Tooth location & malpositioning ❖ Retreatment
  • 47.
    Dentist Related Contended Contraindications
  • 48.
    Lack of Knowledge & Skills Dentist Related Contended Contraindications
  • 49.
    Lack of [Devices& Technology] and Time Dentist Related Contended Contraindications
  • 50.
    Dentist Related Contended Contraindications ❖ Lack of knowledge & skill ❖ Lack of devices & technology ❖ Lack of time
  • 51.
    Medically Related Contended Contraindications
  • 52.
    Cardiac Disease MedicallyRelated Contended Contraindications 1. Congenital heart disease 2. Heart murmur 3. Rheumatic fever 4. Valvular disease or previous valvular surgery 5. Patients with pacemakers May required premedication & older pacemakers maybe effected by certain equipment
  • 53.
    Cardiovascular Disease MedicallyRelated Contended Contraindications 1. Hypertension 2. Anticoagulant therapy Maybe contraindicated for surgery & may have some restrictions on type of local anesthesia being used
  • 54.
    Blood Disorders MedicallyRelated Contended Contraindications 1. Hemophillia 2. Leukemia 3. Thrombocytopenia 4. Aplastic anemia 5. Platlet disorders Severe bleeding tendency can even contraindicate placement of a clamp Referral Mandatory
  • 55.
    Diabetes Mellitus MedicallyRelated 1. Blood sugar must be controlled to avoid diabetic coma and hypoglycaemic coma 2. Non-epinephrine containing anesthesia ( Blood Sugar) 3. Non-asprin containing analgesics ( Blood Sugar) 4. Patients are prone to infection Contended Contraindications Referral maybe required
  • 56.
    Liver Disease MedicallyRelated Contended Contraindications Use drugs that are not detoxified in the liver 1. Aspirin 2. Acetaminophen (Paracetamol) 3. Penicillin's & Cephalosporins Diseased livers cannot detoxify medication and in late cases there maybe bleeding tendency
  • 57.
    Kidney Disease MedicallyRelated Contended Contraindications Avoid drugs that are detoxified in the Kidney 1. Aspirin 2. Acetaminophen (Paracetamol) 3. Penicillin's & Cephalosporins Diseased kidney’s cannot detoxify medication The antibiotic of choice is Erythromycin
  • 58.
    Radiation Therapy MedicallyRelated Contended Contraindications Patients may require post-operative antibiotics because of risk of infection
  • 59.
    Tuberculosis & LungDisease Medically Related Contended Contraindications 1. Poor oxygenation of the blood 2. Susceptible to infection 3. Prophylactic antibiotics maybe needed 4. Care should be taken because these disease are contagious Referral maybe required
  • 60.
    Pregnancy Medically Related Contended Contraindications 1. Use of medication should be limited 2. 2nd trimester is the most appropriate time to operate Referral maybe required
  • 61.
    Epilepsy Medically Related Contended Contraindications 1. Should be controlled with medication 2. Avoid injection into vein (May bring on attack) Referral maybe required
  • 62.
    Diseases of the Adrenal Cortex Medically Related Contended Contraindications 1. Addison’s disease (low levels of corticosteroids) Patient unable to handle stressful 2. Cushing’s diseases (high levels of corticosteroids) Patients are more susceptible to infection & tissue healing is impaired Referral maybe required
  • 63.
    Thyroid Disease MedicallyRelated Contended Contraindications 1. Hypothyroidism Diminished resistance to infection (Prophylactic antibiotics) 2. Hyperthryoidism Unable to handle epinephrine it potentiates effect of thyroid resulting in thyroid crisis (Non-epinephrine containing anaesthesia) Referral maybe required
  • 64.
    Chronic Corticosteroid Treatment Medically Related Contended Contraindications 1. Autoimmune diseases sometimes require steroid treatment 2. Patients are more prone to infection Referral maybe required
  • 65.
    Medically Related Contended ❖ Radiation therapy ❖ Tuberculosis & lung disease ❖ Pregnancy Epilepsy ❖ Diseases of the adrenal cortex ❖ Thyroid disease ❖ Chronic corticosteroid treatment Contraindications ❖ Cardiac disease ❖ Cardiovascular disorders ❖ Blood disorders ❖ Diabetes mellitus ❖ Liver disease ❖ Kidney disease
  • 67.
    AshrafRefai Samir BDSMSc DD HMD Lecturer of Endodontics Al-Azhar University ashraf_refai@hotmail.com Ashraf Samir Refai www.arefai.edublogs.org www.idclinics.com +201001434323