CNS TumorsCNS Tumors
 Brain TumorsTumors
 Prof. Nabil KhalilProf. Nabil Khalil
CNS TumorsCNS Tumors
Core Learning Issues:
 Pathology +Major CLINICAL manifestations:
 Raised ICP – Pathology & Clinical features.
 Pathology of common Primary and secondary Brain tumors in
different age groups.
 Clinical presentations.
CNS TumorsCNS Tumors
CNS Tumors: General Features
 10% of all tumors.
 Commonest solid cancers in children.(2nd
to Leuk for
all malignancies)
 Age: double peak 1st
& 6th
decade
 Adults - 70% supratentorial
 Children - 70% infratentorial
 No/very rare extraneural
spread.
 Metastasis most common.
AdultsAdults
Children
Children
CNS TumorsCNS Tumors
Clinical features:
 Raised Intracranial Pressure*
Headache (morning), vomiting, slow pulse,
papilloedema.
 Local damage:
Lobes of the brain,Cerebellum,Nerve &
tract deficits.Symptoms of Paralysis,
seizures etc.
CNS TumorsCNS Tumors
CNS Tum: Clinical Features-Pathogenesis
 Headaches (morning)
 Papilloedema
 Nausea or vomiting
 Bradycardia
 Seizures (convulsions).
 Drowsiness, Obtundation
 Personality or memory
 Changes in speech
 Limb weakness
 Balance/Stumbling
 eye movements or vision
 Increased ICP
 Increased ICP
 ICP – Medulla ob.
 ICP – Parasymp.
 Irritation.Cortex
 Brain Stem compress
 Frontal lobe
 Temporal lobe
 Motor area
 Cerebellum
 Optic tract, occipital.
CNS TumorsCNS Tumors
CNS Anatomy - Clinical Features
CNS TumorsCNS Tumors
Clinical symptoms
 Some Clinical symptoms
CNS TumorsCNS Tumors
7th
nerve palsy:
 Cerebellopontine angle
tumours.
Acoustic neuroma,
epidermoid cysts,
medulloblastoma
meningioma
 Affected cranial nerves:
5 trigeminal - masticatio
7 facial –face muscles
8 auditory – hearing
CNS TumorsCNS Tumors
Normal Fundus - Papilledema
CNS TumorsCNS Tumors
Normal vs
Glaucoma
CNS TumorsCNS Tumors
CNS Tumors Classification:
Primary Tumors:
Meninges – Meningioma
Glial cells: Glioma
Astrocytoma & Glioblastoma. Oligodendroma,
ependymoma.
Nerve sheath – Schwanoma, Neurofibroma.
Embryonal –PNET: Medulloblastoma,
neuroblastoma, teratoma.
Blood vessels – angioma, angiosarcoma etc.
* Other Epithelial, Pituitary (craniopharyngioma) &
Pineal gland tumors (pinloplastoma).
Secondary Tumors - Metastasis – common
Melanoma, breast, lung, GIT.
CNS TumorsCNS Tumors
 Adults:
 Astrocytoma &
Glioblastoma.
 Meningioma
 Metastasis.
 Children:
 Astrocytoma
 Medulloblastoma
Common:
CNS TumorsCNS Tumors
CNS Tumors: Summary
Adults:Adults:
 Secondaries common fromSecondaries common from
Lung, Skin melanomas,Lung, Skin melanomas,
breast..breast..
 Primary - SupratentorialPrimary - Supratentorial
 Astrocytoma /Astrocytoma /
glioblastoma.glioblastoma.
 MeningiomaMeningioma
Children:Children:
 22ndnd
common (leuk / lymph)common (leuk / lymph)
 InfratentorialInfratentorial
 Astrocytoma (cysticAstrocytoma (cystic
cerebellar)cerebellar)
 MedulloblastomaMedulloblastoma
 Hydrocephalus.Hydrocephalus.
 Meningeal spread.Meningeal spread.
CNS TumorsCNS Tumors
Meningioma:
 Arise from arachnoid granulations of venous
sinuses. Attached to dura.
 Common sites: parasagittal (falx), sphenoid
ridge, olfactory groove, cerebellopontine
angle.  specific clinical features.
 Females common (2:1)
 Slow growth, well differentiated &
demarcated. Does not invade brain (Benign).
 Reactive skull Hyperostosis over the tumor.
 Microscopy: spindle cells in whorls and
psammoma bodies(microcalcification).
Meningioma—bilateral parasagittal-falx
CNS TumorsCNS Tumors
Meningioma
CNS TumorsCNS Tumors
Meningioma-ant. Falx+post
CNS TumorsCNS Tumors
Meningioma ant .parasagittal
CNS TumorsCNS Tumors
Meningioma-cortical
CNS TumorsCNS Tumors
Meningioma-basal subfrontal
•Well demarcated
•Capsulated
CNS TumorsCNS Tumors
Meningioma – whorls of clear cells.
Normal
Arachnoid
Granulation
CNS TumorsCNS Tumors
Meningioma NodulesNodules
Psammoma Body
Psammoma bodies
CNS TumorsCNS Tumors
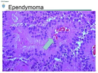
Glioma:
 Gliomas are neoplasms of glial cells.
 Commonest both in adults and
children
 Benign * to Aggressively malignant.
 Astrocytoma (anaplastic & G.B.M)
 Ependymoma - Rare, 4th ventricle.
 Oligodendroglioma - Benign, adults,
rare
CNS TumorsCNS Tumors
Astrocytoma
s
Adults:
Commonest 80%, Supratentorial.
Solid – Fibrillary – low grade*.
Varigated, Hemorrhagic - Malignant,
glioblastoma multiforme.
Children:
Infratentorial (Cerebellum),
Cystic, Low grade*, Pilocytic
CNS TumorsCNS Tumors
Astrocytoma-Lowgrade fibrillary
CNS TumorsCNS Tumors
Astrocytoma
CNS TumorsCNS Tumors
Astrocytoma: * Lat. Vent. *petechial hem.
CNS TumorsCNS Tumors
Glioma Brain Stem – note diffuse tumor
CNS TumorsCNS Tumors
Glioma Cerebrum cystic degeneration
CNS TumorsCNS Tumors
Glioma:fronto-pareital
CNS TumorsCNS Tumors
Astrocytoma (Glioma)cerebellar
CNS TumorsCNS Tumors
Glioma Brain Normal
CNS TumorsCNS Tumors
Astrocytoma
CNS TumorsCNS Tumors
Glioblastoma Multiforme (GBM):
 High grade Astrocytoma - Grade IV
 Commonest & malignant brain tumor in adults –
mean survival <1y – cerebral supratentorial.
 Loss of heterozygosity on Chromosome 10 (80%)
 Most GBMs have lost one entire copy of C – 10
 2 types: Primary (worst) or Secondary from low grade
astrocytomas (better prog).
 Variants: giant cell GBM, gliosarcoma
 Microscopy:
 Necrosis, palisading, hypercellularity, nuclear atypia
& vascular proliferation & mitoses.
CNS TumorsCNS Tumors
Genetic abnormalities in Glioma:
Low grade  Anaplastic  GBM
CNS TumorsCNS Tumors
Glioma: high grade
CNS TumorsCNS Tumors
Glioma:
Enhancement
with
peritumoral
edema.
CNS TumorsCNS Tumors
Glioblastoma:
CNS TumorsCNS Tumors
GBM:
+ glioma
Enhancement
with peritumoral
edema.
CNS TumorsCNS Tumors
Glioblastoma – high grade Astrocytoma
CNS TumorsCNS Tumors
Glioblastoma – high grade Astrocytoma
CNS TumorsCNS Tumors
Glioblastoma Multiforme (high grade Astrocytoma)
CNS TumorsCNS Tumors
Glioblastoma Cerebrum-intraventricular
CNS TumorsCNS Tumors
Glioblastoma Cerebrum-intraventricular
CNS TumorsCNS Tumors
Compare
A Astrocytoma Low grade
B Glioblastoma Multiforme(GBM)
C Necrosis with
pseudopalisading in GBM.
CNS TumorsCNS Tumors
Glioblastoma Multiforme
Palisading
Palisading
Necrosis
Necrosis
CNS TumorsCNS Tumors
Glioblastoma Multiforme
NecrosisNecrosis
PalisadingPalisading
CNS TumorsCNS Tumors
Glioblastoma Multiforme
Palisading
B.V
Necrosis
CNS TumorsCNS Tumors
Glioblastoma Multiforme
PalisadingNecrosis
CNS TumorsCNS Tumors
Glioblastoma Multiforme
CNS TumorsCNS Tumors
Astrocytomas---Pilocytic:
Adults:
Commonest 80%, Supratentorial.
Solid – Fibrillary – low grade*.
Varigated, Hemorrhagic - Malignant,
glioblastoma multiforme.
Children:
Infratentorial (Cerebellum),
Cystic, Low grade*, Pilocytic
CNS TumorsCNS Tumors
Pilocytic astrocytoma
 Common in childhood
 Most slow growing of the gliomas
 Sites: cerebellum, around 3rd
Ventricle. optic
nerve.
 Grossly cystic with mural nodule
 Microscopic
elongated hair-like (pilocytic) elongated
cells & Rosenthal fibers.
CNS TumorsCNS Tumors
Pilocytic Astrocytoma - children
CNS TumorsCNS Tumors
Pilocytic Astrocytoma - children
CNS TumorsCNS Tumors
Pilocytic astrocytoma
Mural nodule
CNS TumorsCNS Tumors
Pilocytic Astrocytoma: Microscopy
Palisading pilocytic astrocytes – note plenty of Rosenthal fibres between cells.
CNS TumorsCNS Tumors
OLIGODENDROGLIOMA
CNS TumorsCNS Tumors
Glioma:
 Gliomas are neoplasms of glial cells.
 Commonest both in adults and
children
 Benign * to Aggressively malignant.
 Astrocytoma (anaplastic & G.B.M)
 Ependymoma - Rare, 4th ventricle.
 Oligodendroglioma - Benign, adults,
rare
CNS TumorsCNS Tumors
Ependymoma
CNS TumorsCNS Tumors
Ependymoma 4th
Ventricle
CNS TumorsCNS Tumors
Ependymoma 4th
Ventricle
CNS TumorsCNS Tumors
Ependymoma-hemorrhage
CNS TumorsCNS Tumors
Ependymoma
CNS TumorsCNS Tumors
Primitive Neuroectodermal Tumors-PNET
 Origin from primitive blast cells.
Rosettes - attempted nerve formation.
 CNS
1. Medulloblastoma – Cerebellum
2. Pineal tumors(pinloplastoma)
Non CNS
1. Retinoblastoma – Retina(eye)
2. Neuroblastoma – Adrenal glands
3. Ganglioneuroma - Mediastinum
Other CNS
tumors
CNS TumorsCNS Tumors
Medulloblastoma:
 Children.
 Cerebellum – vermis.
 Primitive neuroectodermal tum.PNET
 Blast cells – round scanty cytoplasm.
 4th
ventricle Obstruction – hydrocephalus.
 CSF seeding and Meningeal infiltration is
common.
 Rosettes & neuronal or glial differentiation
rarely seen.
CNS TumorsCNS Tumors
Medulloblastoma:
Primitive neuroectodermal tumor:
Children, vermis of cerebellum.
Origin
Spread
CNS TumorsCNS Tumors
Medulloblastoma
CNS TumorsCNS Tumors
Medulloblastoma
CNS TumorsCNS Tumors
Medulloblastoma
CNS TumorsCNS Tumors
Epithelial tumours
CNS TumorsCNS Tumors
CNS TumorsCNS Tumors
Craniopharyngioma
CNS TumorsCNS Tumors
pituitary tumors
 Pituitary adenomas:Tumors from anterior
pituitary component.Secreting or
nonSecreting chromopobe adenomas.
 Posterior pituitary (neuro-hypophysis):tumors
that decrease secreting Anti diuretic
hormone (ADH). Polyuria
CNS TumorsCNS Tumors
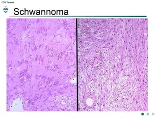
Nerve Sheath Tumors
CNS TumorsCNS Tumors
Nerve Sheath Tumors:
 Neurofibroma:
 Epi & endoneurial fibroblasts.
 Form whorls of fibroblasts with nerves
 Well differentiated, benign, capsulated.
 Schwannoma:
 Schwann cells, elongated form whorls
 Nuclear palisading
CNS TumorsCNS Tumors
Schwannoma / Neurofibroma
CNS TumorsCNS Tumors
Schwannoma 8th
Nerve:
CNS TumorsCNS Tumors
Bilateral 8th
nerve schwannomas.
CNS TumorsCNS Tumors
Schwannoma:
CNS TumorsCNS Tumors
Schwannoma
CNS TumorsCNS Tumors
Neurofibromatosis:
CNS TumorsCNS Tumors
Neurofibromatosis:
Café-au-lait spot
CNS TumorsCNS Tumors
Schwannoma
CNS TumorsCNS Tumors
Schwannoma
CNS TumorsCNS Tumors
32y Female with Fleshy pappules:
CNS TumorsCNS Tumors
Neurofibromatosis:
 Autosomal dominant,
 NF1- Peripheral/Von Recklinghausen’s
 NF2- known as central NF.
 However, NF1 may cause central characteristics.
 About 50% familial, 50% sporadic gene mutation.
 NF1/ von Recklinghausen disease, gene mutation
on chromosome 17, 1 in every 3000-4000 births.
Diagnosis of NF1 if > 2 of
 6 or more café au lait spots (irregularly shaped, evenly
pigmented, brown macules),
 2 or more neurofibromas,
 axillary or inguinal freckling,
 Lisch nodules on the iris or optic glioma,
 various types of osseous lesions,
 a first-degree relative with the condition.
CNS TumorsCNS Tumors
Neurofibromatosis:
 NF2 – Gene mutation chromosome 22.
 1 in every 33,000-40,000 births
 Typically present with acoustic neuromas or vestibular
schwannomas.
 Tinnitus, balance disorders, and progressive hearing loss
 May also have meningiomas and juvenile cataracts.
 First-degree relative and on any 2 of the conditions listed for NF1.
 Patients with NF1 are at increased risk of malignancy.
 Annual ocular examinations are recommended. Genetic testing is
also advocated in patients with NF who wish to have children.
 Surgery has been a successful treatment for the lesions
themselves; however, recurrence often occurs, and nerve
damage is a risk when tumors are located along neural pathways
 (National Institute of Neurologic Disorders and Stroke, 2006).
CNS TumorsCNS Tumors
METASTASES
common brain tumours in adults especially in
the elderly
CNS TumorsCNS Tumors
Metastatic Melanoma: multiple
CNS TumorsCNS Tumors
Brain Metastases: Surrounding edema.
CNS TumorsCNS Tumors
Most common CNS Tumors:
Glioblastoma MF
CNS TumorsCNS Tumors
Summary:
 Children – 70% INFRAtentorial
 Adults – 70% SUPRAtentorial
 Common Malignant - adults, metastatic tumors (Lungs)
 Common - adults – glioblastoma multiforme
Intracerebral
 Common Benign - children – cerebellar astrocytoma.
 Common Malig - children – cerebellar
medulloblastoma
 Very rare in children– meninges and schwann cells
tumours(meningiomas and schwannomas) – usually
found in adults
CNS TumorsCNS Tumors
Pathology ofPathology of
Increased Intracranial PressureIncreased Intracranial Pressure
CNS TumorsCNS Tumors
Pathogenesis:
 Increased intracranial pressure (ICP): - if >
40 mm Hg  cerebral hypoxia, cerebral
ischemia, cerebral edema, hydrocephalus, and
brain herniation.
 Cerebral edema: Edema - Disruption of the
blood brain barrier – vasodilatation – swelling.
 Hydrocephalus  communicating OR NON
communicating type according to tumor site.
CNS TumorsCNS Tumors
Pathogenesis:
 Brain herniation: Supratentorial herniation common.
3 sub types
 Subfalcine herniation: The cingulate gyrus of the frontal
lobe (commonest)
 Central transtentorial herniation: displacement of the
basal nuclei and cerebral hemispheres downward
 Uncal herniation: Medial edge of the uncus and the
hippocampal gyrus
 Cerebellar herniation: infratentorial herniation -
tonsil of the cerebellum is pushed through the
foramen magnum and compresses the medulla,
leading to bradycardia and respiratory arrest.
CNS TumorsCNS Tumors
Common CNS Herniations:
 Subfalcine:
CNS TumorsCNS Tumors
Subfalcine Herniation: in brain trauma.
Contusion of the inferior temporal
lobe (blue arrow) has resulted in
diffuse edema. (compressed and
flattened gyri on the right).
This has resulted in subfalcine
herniation of the cingulate gyrus
(red arrow), with a secondary
hemorrhagic infarction above that
(black arrow). A midline shift from
right to left is also present, as is
uncal herniation (yellow arrow).
CNS TumorsCNS Tumors
Uncal Herniation:
Inferior view, The
herniated uncus is
bulging over the position
of the tentorium (black
arrows) and
compressing the
midbrain. The two
mammillary bodies (blue
arrows) have been
shifted to the patients
right due to the
pressure.
CNS TumorsCNS Tumors
Uncal Herniation:
CNS TumorsCNS Tumors
acute brain swelling-uncal herniation
 Swelling of the left
cerebral hemisphere
has produced a shift
with herniation of the
uncus of the
hippocampus through
the tentorium, leading
to the groove seen at
the white arrow.
CNS TumorsCNS Tumors
Cerebellar Tonsil - Herniation
 Note the cone shape of the
herniated tonsils around the
medulla in this cerebellum
specimen.
 Results in compression and
hemorrhages in the pons.
CNS TumorsCNS Tumors
Transtentorial herniation:
 Transtentorial herniation
at the base of the brain. A
prominent groove
surrounds the displaced
parahippocampal gyrus
(arrow). The adjacent 3rd
nerve (N) is compressed
and distorted and the
ipsilateral cerebral
peduncle (P) is distorted
with small areas of
haemorrhage.
CNS TumorsCNS Tumors
Cerebral Herniation: Pathogenesis
Site ofSite of
herniationherniation EffectEffect Clinical consequenceClinical consequence
Transtentorial Ipsilateral 3rd cranial nerve
compression
Ipsilateral fixed dilated pupil
Ipsilateral 6th cranial nerve
compression
Horizontal diplopia, convergent
squint
Posterior cerebral artery
compression
Occipital infarction Cortical blindness
Cerebral peduncle
compression
Upper motor neurone signs
Brainstem compression and
haemorrhage
Decerebrate posture
Cardiorespiratory failure
Death
Foramen
magnum
Brainstem compression and
haemorrhage
Decerebrate posture
Cardiorespiratory failure Death
Acute obstruction of CSF
pathway
Decerebrate posture
Cardiorespiratory failure
Death
CNS TumorsCNS Tumors
Decorticate posturing
Decorticate posturing, with elbows, wrists and
fingers flexed, and legs extended and rotated
inward.
Look for good in others…
no one is without faults and
everyone has some good
qualities!
CNS TumorsCNS Tumors
cases
CNS TumorsCNS Tumors
52y, F, CNS tumor: ? diagnosis
1 2 3 4 5
0%
10%
90%
0%0%
1.1. Glioblastoma m.Glioblastoma m.
2.2. AstrocytomaAstrocytoma
3.3. MetastasesMetastases
4.4. MedulloblastomaMedulloblastoma
5.5. MeningiomaMeningioma
CNS TumorsCNS Tumors
52y, F, CNS tumor: ? diagnosis
1 2 3 4 5
4%
90%
6%
0%0%
A.A. Glioblastoma m.Glioblastoma m.
B.B. AstrocytomaAstrocytoma
C.C. MeningiomaMeningioma
D.D. EpendymomaEpendymoma
E.E. MedulloblastomaMedulloblastoma
CNS TumorsCNS Tumors
52y, F, CNS tumor: ? diagnosis
1 2 3 4 5
95%
2% 2%0%0%
A.A. Glioblastoma m.Glioblastoma m.
B.B. AstrocytomaAstrocytoma
C.C. MeningiomaMeningioma
D.D. EpendymomaEpendymoma
E.E. MedulloblastomaMedulloblastoma
CNS TumorsCNS Tumors
52y, F, parasagittal tum attached to falx: ? diagnosis
1 2 3 4 5
6% 8% 10%
4%
71%
1.1. Glioblastoma m.Glioblastoma m.
2.2. AstrocytomaAstrocytoma
3.3. MeningiomaMeningioma
4.4. EpendymomaEpendymoma
5.5. MedulloblastomaMedulloblastoma
CNS TumorsCNS Tumors
Q:Commonest primary CNS tumor in Adults ?
1 2 3 4 5
15%
73%
0%0%
12%
A.A. Glioblastoma m.Glioblastoma m.
B.B. AstrocytomaAstrocytoma
C.C. MeningiomaMeningioma
D.D. EpendymomaEpendymoma
E.E. MedulloblastomaMedulloblastoma
CNS TumorsCNS Tumors
52y, F, CNS tumor: ? Arrow Feature
1 2 3 4 5
0%
98%
0%2%0%
1.1. Necrosis.Necrosis.
2.2. Psammoma bodyPsammoma body
3.3. CalcificationCalcification
4.4. Blood vesselBlood vessel
5.5. Epithelial pearlEpithelial pearl
60y smoker, chronic bronchitis complains of
difficulty walking. , stiff, expressionless face. A
tremor of his fingers is apparent but ceases when
he tries to reach for something. Image shows
basal ganglia atrophy. Diagnosis?
1 2 3 4 5
0%
4% 2%
92%
2%
1.1. Alzheimers diseaseAlzheimers disease
2.2. Lacunar infarctsLacunar infarcts
3.3. Picks diseasePicks disease
4.4. Parkinsons diseaseParkinsons disease
5.5. haemorhagehaemorhage
CNS TumorsCNS Tumors
Commonest primary CNS tumor in Children?
1 2 3 4 5
0%
67%
28%
4%
0%
A.A. Glioblastoma m.Glioblastoma m.
B.B. AstrocytomaAstrocytoma
C.C. MeningiomaMeningioma
D.D. EpendymomaEpendymoma
E.E. MedulloblastomaMedulloblastoma
CNS TumorsCNS Tumors
Commonest Location of CNS tumor in Children?
1 2 3 4 5
4%
37%
4%
2%
53%
A.A. SupratentorialSupratentorial
B.B. CerebellumCerebellum
C.C. InfratentorialInfratentorial
D.D. Cerebrum.Cerebrum.
E.E. Brain stemBrain stem
CNS TumorsCNS Tumors
7y, F, CNS tumor: ? diagnosis
A.A. Glioblastoma m.Glioblastoma m.
B.B. AstrocytomaAstrocytoma
C.C. MeningiomaMeningioma
D.D. EpendymomaEpendymoma
E.E. MedulloblastomaMedulloblastoma
CNS TumorsCNS Tumors
astrocytoma
CNS TumorsCNS Tumors
56y, F Rapidly growing parietal lobe tumor:? diagnosis
1 2 3 4 5
88%
0%
6%6%
0%
A.A. Glioblastoma m.Glioblastoma m.
B.B. AstrocytomaAstrocytoma
C.C. MeningiomaMeningioma
D.D. EpendymomaEpendymoma
E.E. MedulloblastomaMedulloblastoma
CNS TumorsCNS Tumors
49y, M, CNS tumor: ? diagnosis
1 2 3 4 5
0% 0%
20%
80%
0%
A.A. MetastasesMetastases
B.B. Astrocytoma sy.Astrocytoma sy.
C.C. MeningiomatosisMeningiomatosis
D.D. NeurofibromatosisNeurofibromatosis
E.E. LipomatosisLipomatosis
CNS TumorsCNS Tumors
SAQ / KFP
 Should seizure patients have
imaging done immediately?
 Personality changes indicate
which location?
 Differential diagnosis for young
adult with insidious symptoms,
seizures and decreased signal
on T1 and increased signal on
T2 weighted MRI?
 What is the treatment and
prognosis for someone with a
low-grade astrocytoma?
 How should the symptoms be
treated?
 Yes, 10-20% tumors.
 Frontal lobe
 Gliomas
 Conservative – Poor
 Steroids, anti
epileptic,
symptomatic.
CNS TumorsCNS Tumors
SAQ / KFP
 Indication of a child hitting
his head?
 Why did the child have a
headache?
 If the child does have
hydrocephalus, at what level
is the ventricular system
being obstructed at?
 Should a lumbar puncture be
performed?
 Where in the cerebellum is
the lesion located?
 Indicating headache.
 Increased ICP, tum.
 4th
ventricle.
 No – coning…*
 Central – vermis
CNS TumorsCNS Tumors
35y Male, depression
2-year history of loss of initiative, depression. He had
slowly lost his drive to win all the big deals he always
done so well at work. 3 months ago he began to
experience headache, which did not respond to
acetaminophen or aspirin. His wife noticed that his
lethargic state had increased in the past few months. 3
days ago his right arm began to convulse uncontrollably
for 1 minute. 1 day ago the patient began again violently
shaking his right arm, and the right side of face began to
twitch at the dinner table. No fever.
Physical exam: Bilateral papilledema, increased deep
tendon reflexes of the right bicep, tricep, +ve babinski
sign on the right foot, reduced leg strength on the right.
CNS TumorsCNS Tumors
35y Male, depression
Axial T1 weighted MRI
Axial T2 weighted MRI
CNS TumorsCNS Tumors
35y Male, depression
Coronal T1 weighted MRI
Coronal T2 weighted MRI
CNS TumorsCNS Tumors
ASTROCYTOMA
CNS TumorsCNS Tumors
3y Male, constant cry….
Constant crying and not interacting with other
children at daycare since 1m. Mother noticed
that he was pointing to his head often. Family
physician who stated that he was developing
normally, and that the “ terrible two’s” are difficult
period for parents. Recently started vomiting on
a daily basis and started wobbling even though
he learned to walk 6 months ago.
Physical: Bilateral papilledema and gait ataxia
was noted on the physical exam.
CNS TumorsCNS Tumors
Axial T1 weighted MRI Axial T2 weighted MRI
3y Male, constant cry….
CNS TumorsCNS Tumors
Coronal T1 weighted MRI
3y Male, constant cry….
CNS TumorsCNS Tumors
1.1. Glioblastoma m.Glioblastoma m.
2.2. AstrocytomaAstrocytoma
3.3. MeningiomaMeningioma
4.4. EpendymomaEpendymoma
5.5. MedulloblastomaMedulloblastoma
What is the most likely diagnosis?
CNS TumorsCNS Tumors
THANK YOU

Brain tumours marsh 2017

  • 1.
    CNS TumorsCNS Tumors Brain TumorsTumors  Prof. Nabil KhalilProf. Nabil Khalil
  • 2.
    CNS TumorsCNS Tumors CoreLearning Issues:  Pathology +Major CLINICAL manifestations:  Raised ICP – Pathology & Clinical features.  Pathology of common Primary and secondary Brain tumors in different age groups.  Clinical presentations.
  • 3.
    CNS TumorsCNS Tumors CNSTumors: General Features  10% of all tumors.  Commonest solid cancers in children.(2nd to Leuk for all malignancies)  Age: double peak 1st & 6th decade  Adults - 70% supratentorial  Children - 70% infratentorial  No/very rare extraneural spread.  Metastasis most common. AdultsAdults Children Children
  • 4.
    CNS TumorsCNS Tumors Clinicalfeatures:  Raised Intracranial Pressure* Headache (morning), vomiting, slow pulse, papilloedema.  Local damage: Lobes of the brain,Cerebellum,Nerve & tract deficits.Symptoms of Paralysis, seizures etc.
  • 5.
    CNS TumorsCNS Tumors CNSTum: Clinical Features-Pathogenesis  Headaches (morning)  Papilloedema  Nausea or vomiting  Bradycardia  Seizures (convulsions).  Drowsiness, Obtundation  Personality or memory  Changes in speech  Limb weakness  Balance/Stumbling  eye movements or vision  Increased ICP  Increased ICP  ICP – Medulla ob.  ICP – Parasymp.  Irritation.Cortex  Brain Stem compress  Frontal lobe  Temporal lobe  Motor area  Cerebellum  Optic tract, occipital.
  • 6.
    CNS TumorsCNS Tumors CNSAnatomy - Clinical Features
  • 7.
    CNS TumorsCNS Tumors Clinicalsymptoms  Some Clinical symptoms
  • 8.
    CNS TumorsCNS Tumors 7th nervepalsy:  Cerebellopontine angle tumours. Acoustic neuroma, epidermoid cysts, medulloblastoma meningioma  Affected cranial nerves: 5 trigeminal - masticatio 7 facial –face muscles 8 auditory – hearing
  • 9.
    CNS TumorsCNS Tumors NormalFundus - Papilledema
  • 10.
  • 11.
    CNS TumorsCNS Tumors CNSTumors Classification: Primary Tumors: Meninges – Meningioma Glial cells: Glioma Astrocytoma & Glioblastoma. Oligodendroma, ependymoma. Nerve sheath – Schwanoma, Neurofibroma. Embryonal –PNET: Medulloblastoma, neuroblastoma, teratoma. Blood vessels – angioma, angiosarcoma etc. * Other Epithelial, Pituitary (craniopharyngioma) & Pineal gland tumors (pinloplastoma). Secondary Tumors - Metastasis – common Melanoma, breast, lung, GIT.
  • 12.
    CNS TumorsCNS Tumors Adults:  Astrocytoma & Glioblastoma.  Meningioma  Metastasis.  Children:  Astrocytoma  Medulloblastoma Common:
  • 13.
    CNS TumorsCNS Tumors CNSTumors: Summary Adults:Adults:  Secondaries common fromSecondaries common from Lung, Skin melanomas,Lung, Skin melanomas, breast..breast..  Primary - SupratentorialPrimary - Supratentorial  Astrocytoma /Astrocytoma / glioblastoma.glioblastoma.  MeningiomaMeningioma Children:Children:  22ndnd common (leuk / lymph)common (leuk / lymph)  InfratentorialInfratentorial  Astrocytoma (cysticAstrocytoma (cystic cerebellar)cerebellar)  MedulloblastomaMedulloblastoma  Hydrocephalus.Hydrocephalus.  Meningeal spread.Meningeal spread.
  • 14.
    CNS TumorsCNS Tumors Meningioma: Arise from arachnoid granulations of venous sinuses. Attached to dura.  Common sites: parasagittal (falx), sphenoid ridge, olfactory groove, cerebellopontine angle.  specific clinical features.  Females common (2:1)  Slow growth, well differentiated & demarcated. Does not invade brain (Benign).  Reactive skull Hyperostosis over the tumor.  Microscopy: spindle cells in whorls and psammoma bodies(microcalcification).
  • 15.
  • 16.
  • 17.
  • 18.
  • 19.
  • 20.
    CNS TumorsCNS Tumors Meningioma-basalsubfrontal •Well demarcated •Capsulated
  • 21.
    CNS TumorsCNS Tumors Meningioma– whorls of clear cells. Normal Arachnoid Granulation
  • 22.
    CNS TumorsCNS Tumors MeningiomaNodulesNodules Psammoma Body
  • 23.
  • 24.
    CNS TumorsCNS Tumors Glioma: Gliomas are neoplasms of glial cells.  Commonest both in adults and children  Benign * to Aggressively malignant.  Astrocytoma (anaplastic & G.B.M)  Ependymoma - Rare, 4th ventricle.  Oligodendroglioma - Benign, adults, rare
  • 25.
    CNS TumorsCNS Tumors Astrocytoma s Adults: Commonest80%, Supratentorial. Solid – Fibrillary – low grade*. Varigated, Hemorrhagic - Malignant, glioblastoma multiforme. Children: Infratentorial (Cerebellum), Cystic, Low grade*, Pilocytic
  • 26.
  • 27.
  • 28.
    CNS TumorsCNS Tumors Astrocytoma:* Lat. Vent. *petechial hem.
  • 29.
    CNS TumorsCNS Tumors GliomaBrain Stem – note diffuse tumor
  • 30.
    CNS TumorsCNS Tumors GliomaCerebrum cystic degeneration
  • 31.
  • 32.
  • 33.
  • 34.
  • 35.
    CNS TumorsCNS Tumors GlioblastomaMultiforme (GBM):  High grade Astrocytoma - Grade IV  Commonest & malignant brain tumor in adults – mean survival <1y – cerebral supratentorial.  Loss of heterozygosity on Chromosome 10 (80%)  Most GBMs have lost one entire copy of C – 10  2 types: Primary (worst) or Secondary from low grade astrocytomas (better prog).  Variants: giant cell GBM, gliosarcoma  Microscopy:  Necrosis, palisading, hypercellularity, nuclear atypia & vascular proliferation & mitoses.
  • 36.
    CNS TumorsCNS Tumors Geneticabnormalities in Glioma: Low grade  Anaplastic  GBM
  • 37.
  • 38.
  • 39.
  • 40.
    CNS TumorsCNS Tumors GBM: +glioma Enhancement with peritumoral edema.
  • 41.
    CNS TumorsCNS Tumors Glioblastoma– high grade Astrocytoma
  • 42.
    CNS TumorsCNS Tumors Glioblastoma– high grade Astrocytoma
  • 43.
    CNS TumorsCNS Tumors GlioblastomaMultiforme (high grade Astrocytoma)
  • 44.
    CNS TumorsCNS Tumors GlioblastomaCerebrum-intraventricular
  • 45.
    CNS TumorsCNS Tumors GlioblastomaCerebrum-intraventricular
  • 46.
    CNS TumorsCNS Tumors Compare AAstrocytoma Low grade B Glioblastoma Multiforme(GBM) C Necrosis with pseudopalisading in GBM.
  • 47.
    CNS TumorsCNS Tumors GlioblastomaMultiforme Palisading Palisading Necrosis Necrosis
  • 48.
    CNS TumorsCNS Tumors GlioblastomaMultiforme NecrosisNecrosis PalisadingPalisading
  • 49.
    CNS TumorsCNS Tumors GlioblastomaMultiforme Palisading B.V Necrosis
  • 50.
    CNS TumorsCNS Tumors GlioblastomaMultiforme PalisadingNecrosis
  • 51.
  • 52.
    CNS TumorsCNS Tumors Astrocytomas---Pilocytic: Adults: Commonest80%, Supratentorial. Solid – Fibrillary – low grade*. Varigated, Hemorrhagic - Malignant, glioblastoma multiforme. Children: Infratentorial (Cerebellum), Cystic, Low grade*, Pilocytic
  • 53.
    CNS TumorsCNS Tumors Pilocyticastrocytoma  Common in childhood  Most slow growing of the gliomas  Sites: cerebellum, around 3rd Ventricle. optic nerve.  Grossly cystic with mural nodule  Microscopic elongated hair-like (pilocytic) elongated cells & Rosenthal fibers.
  • 54.
    CNS TumorsCNS Tumors PilocyticAstrocytoma - children
  • 55.
    CNS TumorsCNS Tumors PilocyticAstrocytoma - children
  • 56.
    CNS TumorsCNS Tumors Pilocyticastrocytoma Mural nodule
  • 57.
    CNS TumorsCNS Tumors PilocyticAstrocytoma: Microscopy Palisading pilocytic astrocytes – note plenty of Rosenthal fibres between cells.
  • 58.
  • 59.
    CNS TumorsCNS Tumors Glioma: Gliomas are neoplasms of glial cells.  Commonest both in adults and children  Benign * to Aggressively malignant.  Astrocytoma (anaplastic & G.B.M)  Ependymoma - Rare, 4th ventricle.  Oligodendroglioma - Benign, adults, rare
  • 60.
  • 61.
  • 62.
  • 63.
  • 64.
  • 65.
    CNS TumorsCNS Tumors PrimitiveNeuroectodermal Tumors-PNET  Origin from primitive blast cells. Rosettes - attempted nerve formation.  CNS 1. Medulloblastoma – Cerebellum 2. Pineal tumors(pinloplastoma) Non CNS 1. Retinoblastoma – Retina(eye) 2. Neuroblastoma – Adrenal glands 3. Ganglioneuroma - Mediastinum
  • 66.
  • 67.
    CNS TumorsCNS Tumors Medulloblastoma: Children.  Cerebellum – vermis.  Primitive neuroectodermal tum.PNET  Blast cells – round scanty cytoplasm.  4th ventricle Obstruction – hydrocephalus.  CSF seeding and Meningeal infiltration is common.  Rosettes & neuronal or glial differentiation rarely seen.
  • 68.
    CNS TumorsCNS Tumors Medulloblastoma: Primitiveneuroectodermal tumor: Children, vermis of cerebellum. Origin Spread
  • 69.
  • 70.
  • 71.
  • 72.
  • 73.
  • 74.
  • 75.
    CNS TumorsCNS Tumors pituitarytumors  Pituitary adenomas:Tumors from anterior pituitary component.Secreting or nonSecreting chromopobe adenomas.  Posterior pituitary (neuro-hypophysis):tumors that decrease secreting Anti diuretic hormone (ADH). Polyuria
  • 76.
  • 77.
    CNS TumorsCNS Tumors NerveSheath Tumors:  Neurofibroma:  Epi & endoneurial fibroblasts.  Form whorls of fibroblasts with nerves  Well differentiated, benign, capsulated.  Schwannoma:  Schwann cells, elongated form whorls  Nuclear palisading
  • 78.
  • 79.
  • 80.
    CNS TumorsCNS Tumors Bilateral8th nerve schwannomas.
  • 81.
  • 82.
  • 83.
  • 84.
  • 85.
  • 86.
  • 87.
    CNS TumorsCNS Tumors 32yFemale with Fleshy pappules:
  • 88.
    CNS TumorsCNS Tumors Neurofibromatosis: Autosomal dominant,  NF1- Peripheral/Von Recklinghausen’s  NF2- known as central NF.  However, NF1 may cause central characteristics.  About 50% familial, 50% sporadic gene mutation.  NF1/ von Recklinghausen disease, gene mutation on chromosome 17, 1 in every 3000-4000 births. Diagnosis of NF1 if > 2 of  6 or more café au lait spots (irregularly shaped, evenly pigmented, brown macules),  2 or more neurofibromas,  axillary or inguinal freckling,  Lisch nodules on the iris or optic glioma,  various types of osseous lesions,  a first-degree relative with the condition.
  • 89.
    CNS TumorsCNS Tumors Neurofibromatosis: NF2 – Gene mutation chromosome 22.  1 in every 33,000-40,000 births  Typically present with acoustic neuromas or vestibular schwannomas.  Tinnitus, balance disorders, and progressive hearing loss  May also have meningiomas and juvenile cataracts.  First-degree relative and on any 2 of the conditions listed for NF1.  Patients with NF1 are at increased risk of malignancy.  Annual ocular examinations are recommended. Genetic testing is also advocated in patients with NF who wish to have children.  Surgery has been a successful treatment for the lesions themselves; however, recurrence often occurs, and nerve damage is a risk when tumors are located along neural pathways  (National Institute of Neurologic Disorders and Stroke, 2006).
  • 90.
    CNS TumorsCNS Tumors METASTASES commonbrain tumours in adults especially in the elderly
  • 91.
  • 92.
    CNS TumorsCNS Tumors BrainMetastases: Surrounding edema.
  • 93.
    CNS TumorsCNS Tumors Mostcommon CNS Tumors: Glioblastoma MF
  • 94.
    CNS TumorsCNS Tumors Summary: Children – 70% INFRAtentorial  Adults – 70% SUPRAtentorial  Common Malignant - adults, metastatic tumors (Lungs)  Common - adults – glioblastoma multiforme Intracerebral  Common Benign - children – cerebellar astrocytoma.  Common Malig - children – cerebellar medulloblastoma  Very rare in children– meninges and schwann cells tumours(meningiomas and schwannomas) – usually found in adults
  • 95.
    CNS TumorsCNS Tumors PathologyofPathology of Increased Intracranial PressureIncreased Intracranial Pressure
  • 96.
    CNS TumorsCNS Tumors Pathogenesis: Increased intracranial pressure (ICP): - if > 40 mm Hg  cerebral hypoxia, cerebral ischemia, cerebral edema, hydrocephalus, and brain herniation.  Cerebral edema: Edema - Disruption of the blood brain barrier – vasodilatation – swelling.  Hydrocephalus  communicating OR NON communicating type according to tumor site.
  • 97.
    CNS TumorsCNS Tumors Pathogenesis: Brain herniation: Supratentorial herniation common. 3 sub types  Subfalcine herniation: The cingulate gyrus of the frontal lobe (commonest)  Central transtentorial herniation: displacement of the basal nuclei and cerebral hemispheres downward  Uncal herniation: Medial edge of the uncus and the hippocampal gyrus  Cerebellar herniation: infratentorial herniation - tonsil of the cerebellum is pushed through the foramen magnum and compresses the medulla, leading to bradycardia and respiratory arrest.
  • 98.
    CNS TumorsCNS Tumors CommonCNS Herniations:  Subfalcine:
  • 99.
    CNS TumorsCNS Tumors SubfalcineHerniation: in brain trauma. Contusion of the inferior temporal lobe (blue arrow) has resulted in diffuse edema. (compressed and flattened gyri on the right). This has resulted in subfalcine herniation of the cingulate gyrus (red arrow), with a secondary hemorrhagic infarction above that (black arrow). A midline shift from right to left is also present, as is uncal herniation (yellow arrow).
  • 100.
    CNS TumorsCNS Tumors UncalHerniation: Inferior view, The herniated uncus is bulging over the position of the tentorium (black arrows) and compressing the midbrain. The two mammillary bodies (blue arrows) have been shifted to the patients right due to the pressure.
  • 101.
  • 102.
    CNS TumorsCNS Tumors acutebrain swelling-uncal herniation  Swelling of the left cerebral hemisphere has produced a shift with herniation of the uncus of the hippocampus through the tentorium, leading to the groove seen at the white arrow.
  • 103.
    CNS TumorsCNS Tumors CerebellarTonsil - Herniation  Note the cone shape of the herniated tonsils around the medulla in this cerebellum specimen.  Results in compression and hemorrhages in the pons.
  • 104.
    CNS TumorsCNS Tumors Transtentorialherniation:  Transtentorial herniation at the base of the brain. A prominent groove surrounds the displaced parahippocampal gyrus (arrow). The adjacent 3rd nerve (N) is compressed and distorted and the ipsilateral cerebral peduncle (P) is distorted with small areas of haemorrhage.
  • 105.
    CNS TumorsCNS Tumors CerebralHerniation: Pathogenesis Site ofSite of herniationherniation EffectEffect Clinical consequenceClinical consequence Transtentorial Ipsilateral 3rd cranial nerve compression Ipsilateral fixed dilated pupil Ipsilateral 6th cranial nerve compression Horizontal diplopia, convergent squint Posterior cerebral artery compression Occipital infarction Cortical blindness Cerebral peduncle compression Upper motor neurone signs Brainstem compression and haemorrhage Decerebrate posture Cardiorespiratory failure Death Foramen magnum Brainstem compression and haemorrhage Decerebrate posture Cardiorespiratory failure Death Acute obstruction of CSF pathway Decerebrate posture Cardiorespiratory failure Death
  • 106.
    CNS TumorsCNS Tumors Decorticateposturing Decorticate posturing, with elbows, wrists and fingers flexed, and legs extended and rotated inward.
  • 107.
    Look for goodin others… no one is without faults and everyone has some good qualities!
  • 108.
  • 109.
    CNS TumorsCNS Tumors 52y,F, CNS tumor: ? diagnosis 1 2 3 4 5 0% 10% 90% 0%0% 1.1. Glioblastoma m.Glioblastoma m. 2.2. AstrocytomaAstrocytoma 3.3. MetastasesMetastases 4.4. MedulloblastomaMedulloblastoma 5.5. MeningiomaMeningioma
  • 110.
    CNS TumorsCNS Tumors 52y,F, CNS tumor: ? diagnosis 1 2 3 4 5 4% 90% 6% 0%0% A.A. Glioblastoma m.Glioblastoma m. B.B. AstrocytomaAstrocytoma C.C. MeningiomaMeningioma D.D. EpendymomaEpendymoma E.E. MedulloblastomaMedulloblastoma
  • 111.
    CNS TumorsCNS Tumors 52y,F, CNS tumor: ? diagnosis 1 2 3 4 5 95% 2% 2%0%0% A.A. Glioblastoma m.Glioblastoma m. B.B. AstrocytomaAstrocytoma C.C. MeningiomaMeningioma D.D. EpendymomaEpendymoma E.E. MedulloblastomaMedulloblastoma
  • 112.
    CNS TumorsCNS Tumors 52y,F, parasagittal tum attached to falx: ? diagnosis 1 2 3 4 5 6% 8% 10% 4% 71% 1.1. Glioblastoma m.Glioblastoma m. 2.2. AstrocytomaAstrocytoma 3.3. MeningiomaMeningioma 4.4. EpendymomaEpendymoma 5.5. MedulloblastomaMedulloblastoma
  • 113.
    CNS TumorsCNS Tumors Q:Commonestprimary CNS tumor in Adults ? 1 2 3 4 5 15% 73% 0%0% 12% A.A. Glioblastoma m.Glioblastoma m. B.B. AstrocytomaAstrocytoma C.C. MeningiomaMeningioma D.D. EpendymomaEpendymoma E.E. MedulloblastomaMedulloblastoma
  • 114.
    CNS TumorsCNS Tumors 52y,F, CNS tumor: ? Arrow Feature 1 2 3 4 5 0% 98% 0%2%0% 1.1. Necrosis.Necrosis. 2.2. Psammoma bodyPsammoma body 3.3. CalcificationCalcification 4.4. Blood vesselBlood vessel 5.5. Epithelial pearlEpithelial pearl
  • 115.
    60y smoker, chronicbronchitis complains of difficulty walking. , stiff, expressionless face. A tremor of his fingers is apparent but ceases when he tries to reach for something. Image shows basal ganglia atrophy. Diagnosis? 1 2 3 4 5 0% 4% 2% 92% 2% 1.1. Alzheimers diseaseAlzheimers disease 2.2. Lacunar infarctsLacunar infarcts 3.3. Picks diseasePicks disease 4.4. Parkinsons diseaseParkinsons disease 5.5. haemorhagehaemorhage
  • 116.
    CNS TumorsCNS Tumors Commonestprimary CNS tumor in Children? 1 2 3 4 5 0% 67% 28% 4% 0% A.A. Glioblastoma m.Glioblastoma m. B.B. AstrocytomaAstrocytoma C.C. MeningiomaMeningioma D.D. EpendymomaEpendymoma E.E. MedulloblastomaMedulloblastoma
  • 117.
    CNS TumorsCNS Tumors CommonestLocation of CNS tumor in Children? 1 2 3 4 5 4% 37% 4% 2% 53% A.A. SupratentorialSupratentorial B.B. CerebellumCerebellum C.C. InfratentorialInfratentorial D.D. Cerebrum.Cerebrum. E.E. Brain stemBrain stem
  • 118.
    CNS TumorsCNS Tumors 7y,F, CNS tumor: ? diagnosis A.A. Glioblastoma m.Glioblastoma m. B.B. AstrocytomaAstrocytoma C.C. MeningiomaMeningioma D.D. EpendymomaEpendymoma E.E. MedulloblastomaMedulloblastoma
  • 119.
  • 120.
    CNS TumorsCNS Tumors 56y,F Rapidly growing parietal lobe tumor:? diagnosis 1 2 3 4 5 88% 0% 6%6% 0% A.A. Glioblastoma m.Glioblastoma m. B.B. AstrocytomaAstrocytoma C.C. MeningiomaMeningioma D.D. EpendymomaEpendymoma E.E. MedulloblastomaMedulloblastoma
  • 121.
    CNS TumorsCNS Tumors 49y,M, CNS tumor: ? diagnosis 1 2 3 4 5 0% 0% 20% 80% 0% A.A. MetastasesMetastases B.B. Astrocytoma sy.Astrocytoma sy. C.C. MeningiomatosisMeningiomatosis D.D. NeurofibromatosisNeurofibromatosis E.E. LipomatosisLipomatosis
  • 122.
    CNS TumorsCNS Tumors SAQ/ KFP  Should seizure patients have imaging done immediately?  Personality changes indicate which location?  Differential diagnosis for young adult with insidious symptoms, seizures and decreased signal on T1 and increased signal on T2 weighted MRI?  What is the treatment and prognosis for someone with a low-grade astrocytoma?  How should the symptoms be treated?  Yes, 10-20% tumors.  Frontal lobe  Gliomas  Conservative – Poor  Steroids, anti epileptic, symptomatic.
  • 123.
    CNS TumorsCNS Tumors SAQ/ KFP  Indication of a child hitting his head?  Why did the child have a headache?  If the child does have hydrocephalus, at what level is the ventricular system being obstructed at?  Should a lumbar puncture be performed?  Where in the cerebellum is the lesion located?  Indicating headache.  Increased ICP, tum.  4th ventricle.  No – coning…*  Central – vermis
  • 124.
    CNS TumorsCNS Tumors 35yMale, depression 2-year history of loss of initiative, depression. He had slowly lost his drive to win all the big deals he always done so well at work. 3 months ago he began to experience headache, which did not respond to acetaminophen or aspirin. His wife noticed that his lethargic state had increased in the past few months. 3 days ago his right arm began to convulse uncontrollably for 1 minute. 1 day ago the patient began again violently shaking his right arm, and the right side of face began to twitch at the dinner table. No fever. Physical exam: Bilateral papilledema, increased deep tendon reflexes of the right bicep, tricep, +ve babinski sign on the right foot, reduced leg strength on the right.
  • 125.
    CNS TumorsCNS Tumors 35yMale, depression Axial T1 weighted MRI Axial T2 weighted MRI
  • 126.
    CNS TumorsCNS Tumors 35yMale, depression Coronal T1 weighted MRI Coronal T2 weighted MRI
  • 127.
  • 128.
    CNS TumorsCNS Tumors 3yMale, constant cry…. Constant crying and not interacting with other children at daycare since 1m. Mother noticed that he was pointing to his head often. Family physician who stated that he was developing normally, and that the “ terrible two’s” are difficult period for parents. Recently started vomiting on a daily basis and started wobbling even though he learned to walk 6 months ago. Physical: Bilateral papilledema and gait ataxia was noted on the physical exam.
  • 129.
    CNS TumorsCNS Tumors AxialT1 weighted MRI Axial T2 weighted MRI 3y Male, constant cry….
  • 130.
    CNS TumorsCNS Tumors CoronalT1 weighted MRI 3y Male, constant cry….
  • 131.
    CNS TumorsCNS Tumors 1.1.Glioblastoma m.Glioblastoma m. 2.2. AstrocytomaAstrocytoma 3.3. MeningiomaMeningioma 4.4. EpendymomaEpendymoma 5.5. MedulloblastomaMedulloblastoma What is the most likely diagnosis?
  • 132.