Approach to upper airway
obstruction
Nathan Muluberhan( MD, EMCC II)
Sep 2 0 1 8
1
OUTLINE
• Introduction
• Epidemiology
• Pathophysiology
• Approach
• Management
2
INTRODUCTION
•The airway extends from the external nares to the junction of the
larynx with the trachea.
•It includes the nose, the paranasal sinuses, the pharynx and the larynx
• Several anatomical peculiarities in the airways of a child which makes
it more prone to obstruction.
• These ‘developmental disadvantages’ are:
• Relative larger & prominent occiput causing flexion of neck in supine position
• Relatively larger tongue
• Anterior and cephalad position of the larynx
• Soft, omega shaped & vertically positioned epiglottis
• Narrowest portion of the airways is at the level of the cricoid cartilage which
is non-distensible
INTRODUCTION CONT…
INTRODUCTION CONT…
• Nose: Generally smaller, increased resistance, smaller septum, nasal bridge is flat
and flexible, and obligatory nose breathers
• Vocal cords: located at C3-4 (C5-6 in adults), Larynx is more anterior, contributes
to aspiration if neck is hyperextended
• Airway diameter is 4 mm vs 20 mm in adult
• Tracheal rings more elastic & cartilaginous, can easily crimp off trachea
• Smooth muscle makes airway more reactive or sensitive to foreign substances
• Underdeveloped anatomy leads to chest pliability and less protection of thoracic
cage and less effective use of accessory muscles.
• Upper airway obstruction is a common and potentially serious
problem in pediatric practice.
7
INTRODUCTION CONT…
ETHIOPIA
• Retrospective record review based on the institutional record from Tikur
Anbessa (Acute upper airway obstruction for 01 year) by Getachew Metaferia
and Dr. Muluwork T.
• 161 (6.9) children were presented with acute upper airway obstruction.
• Age range from 3 months to 11years (mean age, 2.7 years).
• 109 (67.7%) were male and 52 (32.3%) were female.
• Presentation was as early as 4 hours and as late as 12 days (40.4 hrs.)
• Croup 122 (75.8%), Foreign body aspiration 16 (9.9%) followed by laryngeal
papillomatosis (5.6%).
• Bacterial tracheitis, retropharyngeal abscess, anaphylaxis, peritonsillar abscess and
blunt trauma were found to be causes of upper airway obstruction.
• No case of epiglottitis.
8
ETIOLOGIES
• Infectious(90%):
• croup, retropharyngeal abscess, peritonsillar abscess, acute epiglotitis,
bacterial tracheitis
• Iatrogenic-intubation related
• Traumatic-foreign body aspiration, neck trauma, burns
• Congenital-usually in infants and young children
• Neoplastic
• Acute angioneurotic edema
CROUP
• A respiratory illness characterized by inspiratory stridor, barking
cough, and hoarseness.
• Result from inflammation in the larynx and subglottic airway
• Viral croup (classic croup) refers to the typical croup syndrome that
occurs commonly in children 6 months to 3 years of age.
10
SPASMODIC CROUP
• Always occurs at night.
• Abrupt onset and cessation of symptoms and short duration of
symptoms.
• Fever is typically absent, but mild upper respiratory tract symptoms
may be present.
• Episodes can recur within the same night and for two to four
successive evenings
• A striking feature of spasmodic croup is its recurrent nature,
• There may be a familial predisposition
11
• Croup is usually caused by viruses.
• Bacterial infection may occur secondarily.
• Parainfluenza:
• Parainfluenza type 1 is the most common cause of croup, especially
the fall and winter epidemics
• Parainfluenza type 2 sometimes causes croup outbreaks, but usually
with milder disease than type 1.
• Parainfluenza type 3 causes sporadic cases of croup that often are
more severe than those due to types 1 and 2.
12
CROUP CONT…
• Respiratory syncytial virus and adenoviruses are relatively frequent
causes of croup.
• The laryngotracheal component of disease is usually less significant than that
of the lower airways.
• Human coronavirus NL63 (HCoV-NL63), first identified in 2004, has
been implicated in croup and other respiratory illnesses
• Measles is an important cause of croup in areas where measles
remains prevalent
13
CROUP CONT…
• Rhinoviruses, enteroviruses (especially Coxsackie types A9, B4, and
B5, and echovirus types 4, 11, and 21), and herpes simplex virus are
occasional causes of sporadic cases of croup that are usually mild
• Metapneumoviruses cause primarily lower respiratory tract disease
similar to RSV, but upper respiratory tract symptoms have been
described in some patients.
• Croup also may be caused by bacteria.
• Mycoplasma pneumoniae has been associated with mild cases of croup.
• secondary bacterial pathogens include Staphylococcus aureus, Streptococcus
pyogenes, and Streptococcus pneumoniae
14
CROUP CONT…
• Most commonly occurs in children 6 months to 3 years of age.
• It is more common in boys, with a M:F ratio of approximately 1.4:1
• Family history of croup is a risk factor for croup and recurrent croup.
• In a case-control study, children whose parents had a history of croup were 3.2 times
as likely to have an episode of croup and 4.1 times as likely to have recurrent croup
as children with no parental history of croup. Parental smoking does not appear to
increase the risk of croup.
• Most cases of croup occur in the fall or early winter,
• ED visits for croup are most frequent between 10:00 PM and 4:00 AM.
• Admission:
• In a six-year (1999 to 2005) population-based study, 5.6 percent of children with a
diagnosis of croup in the ED required hospital admission.
• Among those discharged home, 4.4 percent had a repeat ED visit within 48 hours.
15
CROUP CONT…
• Typically infect the nasal and pharyngeal mucosal epithelia initially and
then spread locally along the respiratory epithelium.
• The anatomic hallmark of croup is narrowing of the subglottic airway,
• The cricoid cartilage of the subglottis is a complete cartilaginous ring.
• The cricoid cannot expand, causing significant airway narrowing whenever the
subglottic mucosa becomes inflamed.
• Dynamic obstruction of the extrathoracic trachea below the cartilaginous
ring may occur when the child struggles, cries, or becomes agitated.
• The dynamic obstruction occurs as a result of the combination of high negative
pressure in the distal extrathoracic trachea and the floppiness of the tracheal wall in
children.
16
CROUP CONT…
• Laryngoscopic evaluation shows
• redness and swelling just below the vocal folds
• In severe cases, the subglottic airway may be reduced to a diameter of 1 to 2 mm.
• Fibrinous exudates and, occasionally, pseudomembranes can build up on the tracheal
surfaces and contribute to airway narrowing.
• The vocal folds and laryngeal tissues also can become swollen, and cord mobility may
be impaired.
• Autopsy studies show
• Infiltration of histiocytes, lymphocytes, plasma cells, and neutrophils into edematous
lamina propria, submucosa, and adventitia of the larynx and trachea
• In spasmodic findings on direct laryngoscopy may demonstrate
noninflammatory edema
17
CROUP CONT…
• Only a small fraction of children with a parainfluenza viral infection develop
overt croup.
• Underlying host factors that predispose to clinically significant narrowing of
the upper airway include:
• Congenital anatomic narrowing of the airway, such as subglottic stenosis due to an
elliptical cricoid cartilage
• Hyperactive airways, perhaps aggravated by atopy or gastroesophageal reflux, as
suggested in some children with spasmodic croup or recurrent croup
• Acquired airway narrowing from a post-intubation subglottic cyst or stenosis, or
rarely from respiratory tract papillomas (human papillomavirus) and Subglottic
hemangiomas
• increased production of parainfluenza virus-specific immunoglobulin E (IgE)
and increased lymphoproliferative response to parainfluenza virus antigen.
18
CROUP CONT…
• Symptoms usually begin with nasal discharge, congestion, and coryza and
progress over 12 to 48 hours to include fever, hoarseness, barking cough, and
stridor.
• As airway obstruction progresses, stridor develops, and there may be mild
tachypnea with a prolonged inspiratory phase.
• Biphasic stridor (stridor heard on both inspiration and expiration) at rest is a sign
of significant upper airway obstruction.
• As upper airway obstruction progresses,
• the child may become restless or anxious.
• When airway obstruction becomes severe, suprasternal, subcostal, and intercostal
retractions may be seen.
• Breath sounds can be diminished. Agitation, which generally is accompanied by increased
inspiratory effort, exacerbates the subglottic narrowing by creating negative pressure in the
airway.
19
CROUP CONT…
Components
• Level of consciousness: Normal, including sleep = 0; disoriented = 5
• Cyanosis: None = 0; with agitation = 4; at rest = 5
• Stridor: None = 0; with agitation = 1; at rest = 2
• Air entry: Normal = 0; decreased = 1; markedly decreased = 2
• Retractions: None = 0; mild = 1; moderate = 2; severe = 3
WESTLEY CROUP SCORE
WESTLEY CROUP SCORE
• Mild croup
• croup score of ≤2 (barking cough, hoarse cry, but no stridor at rest.)
• Moderate croup
• croup score of 3 to 7. (stridor at rest, at least mild retractions, and other
symptoms or signs of respiratory distress, but little or no agitation.)
• Severe croup
• croup score of ≥8.
• significant stridor at rest, although stridor may decrease with worsening upper
airway obstruction, decreased air entry, severe retractions and the child may
appear anxious, agitated, or fatigued.
• Impending respiratory failure (Westley croup score of ≥12)
• Fatigue and listlessness
• Marked retractions (although retractions may decrease with increased
obstruction and decreased air entry)
• Decreased or absent breath sounds
• Depressed level of consciousness
• Tachycardia out of proportion to fever
• Cyanosis or pallor
22
WESTLEY CROUP SCORE
Imaging
• Radiographic confirmation is not required
• Indication:
• If the diagnosis is in question,
• Atypical course
• an inhaled or swallowed foreign body is suspected
• croup is recurrent,
• there is a failure to respond as expected to therapeutic interventions.
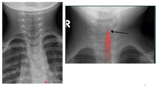
• Findings
• In children with croup, a posterior-anterior chest radiograph demonstrates subglottic
narrowing, commonly called the "steeple sign"
• The lateral view may demonstrate overdistention of the hypopharynx during
inspiration and subglottic haziness
23
CROUP CONT…
24
MILD CROUP
Children with mild symptoms should be treated symptomatically with humidity,
fever reduction, and oral fluids
a single dose of oral dexamethasone (0.15 to 0.6 mg/kg, maximum dose 16 mg
MODERATE TO SEVERE CROUP
The child with severe croup must be approached cautiously, as any increase in
anxiety may worsen airway obstruction.
Initial treatment of moderate to severe croup includes administration
of dexamethasone and nebulized epinephrine
25
CROUP CONT…
• Also receive supportive care including humidified air or oxygen,
antipyretics, and encouragement of fluid intake
• Dexamethasone (0.6 mg/kg, maximum of 16 mg)
• Administered by the least invasive route possible
• The oral preparation of dexamethasone (1 mg/mL) has an unpleasant taste.
• The IV preparation is more concentrated (4 mg per mL) and can be given
orally mixed with syrup.
• A single dose of nebulized budesonide (2 mg [2 mL solution] via nebulizer) is
an alternative option.
26
CROUP CONT…
• Nebulized epinephrine in all patients with moderate to severe croup:
• Racemic epinephrine is administered as 0.05 mL/kg per dose (maximum of
0.5 mL) of a 2.25 percent solution diluted to 3 mL total volume with normal
saline. It is given via nebulizer over 15 minutes.
• L-epinephrine (parenteral product) is administered as 0.5 mL/kg per dose
(maximum of 5 mL) using the 1 mg/mL strength (may also be referred to as a
1:1000 dilution). It is given via nebulizer over 15 minutes.
27
CROUP CONT…
• Patients should be observed for three to four hours after initial
treatment.
• children who remain comfortable may be discharged home if they
meet the following criteria:
• No stridor at rest
• Normal pulse oximetry
• Good air exchange
• Normal color
• Normal level of consciousness
• Demonstrated ability to tolerate fluids by mouth
28
CROUP CONT…
• Indications for inpatient admission include:
• Severe croup with poor air entry, altered consciousness, or impending
respiratory failure
• persistent or deteriorating respiratory distress after treatment with
nebulized epinephrine and corticosteroids
• "Toxic" appearance or clinical picture suggesting serious secondary bacterial
infection
• Need for supplemental oxygen
• Severe dehydration
29
CROUP CONT…
• Admission to the pediatric intensive care unit (PICU) is warranted if
any of the following are present:
• Respiratory failure requiring endotracheal intubation
• Persistent severe symptoms requiring frequent nebulized epinephrine dosing
• Underlying conditions placing the child at high risk for progressive respiratory
failure (eg, neuromuscular disease or bronchopulmonary dysplasia)
30
CROUP CONT…
• Heliox
• A mixture of helium (70 to 80 percent) and oxygen (20 to 30 percent).
• Decrease the work of breathing in children with croup by reducing turbulent
airflow.
• An endotracheal tube that is 0.5 to 1 mm smaller than would typically
be used should be placed
31
CROUP CONT…
• In two large retrospective studies
• <3 % of patients need intubation
• Median duration of mechanical ventilation was 60 hours.
• 6.5% of patients required reintubation after the first attempt at extubation
• Endotracheal cuff leak poorly predicted extubation failure in this study.
• Half of the patients in this series were diagnosed with bacterial coinfection or
superinfection
32
CROUP CONT…
Complications
• Hypoxemia and respiratory failure
• pulmonary edema
• pneumothorax.
• pneumomediastinum.
• Secondary bacterial infections may arise from croup.
• Out-of-hospital cardiac arrest and death also have been reported
33
CROUP CONT…
ACUTE EPIGLOTTITIS
• Epiglottitis describes inflammation of the epiglottis and adjacent
supraglottic structures
• Sudden onset of sore throat and fever followed within a matter of
hours as toxic, swallowing difficulty, and labored breathing.
• Drooling of saliva and hyperextended neck, assume the tripod
position, sitting upright and leaning forward with the chin up and
mouth open while bracing on the arms.
• The barking cough typical of croup is rare.
• Epiglottitis may be caused by a number of bacterial, viral, and fungal
pathogens
• Haemophilus influenzae type b (Hib) was the most common infectious
cause of epiglottitis in children.
• The incidence of Hib epiglottitis declined after Hib was added to the routine
infant immunization schedule in the United States and other developed
countries
• Additional causes of epiglottitis in children include other H.
influenzae (types A, F, and nontypeable), streptococci (including
Group A streptococcus), and Staphylococcus aureus including
methicillin-resistant strains.
35
ACUTE EPIGLOTTITIS CONT…
• Traumatic causes of epiglottitis include thermal injury, foreign body
ingestion, and caustic ingestion.
• Epiglottitis also may rarely occur as a complication of bone marrow or
solid organ transplantation
36
ACUTE EPIGLOTTITIS CONT…
• The clinical features of epiglottitis differ with age, severity, and
etiology:
• Young children classically present
• respiratory distress, anxiety, and the characteristic "tripod" or "sniffing"
posture
• They may be reluctant to lie down
• Drooling is often present.
• Cough is typically absent.
• Older children, adolescents, and adults may present with a severe
sore throat but a relatively normal oropharyngeal examination.
37
ACUTE EPIGLOTTITIS CONT…
ACUTE EPIGLOTTITIS CONT…
• Abrupt onset and rapid progression (within hours) of dysphagia,
drooling, and distress ("the three D's") are hallmarks of epiglottitis in
children
• Sudden onset of high fever (between 38.8 and 40.0°C), severe sore
throat, odynophagia, and drooling is common.
• They experience a choking sensation, are distressed during
inspiration, and are anxious, restless, and irritable.
• Their speech is muffled, often described as a "hot potato" voice
38
Radiographic features of epiglottitis include:
• An enlarged epiglottis protruding from the anterior wall of the
hypopharynx (the "thumb sign“)
• Loss of the vallecular air space
• Thickened aryepiglottic folds
• Distended hypopharynx (nonspecific).
• Straightening or reversal of the normal cervical lordosis
39
ACUTE EPIGLOTTITIS CONT…
40
• Bedside ultrasound evaluation of the epiglottis in adults has been
described, but its role in diagnosing epiglottitis is unclear
• The ultrasonographic appearance of epiglottitis in adults has been
described as an "alphabet P sign",
• formed by an acoustic shadow of the swollen epiglottis and hyoid bone at the
level of the thyrohyoid membrane when imaged in longitudinal orientation
41
ACUTE EPIGLOTTITIS CONT…
Patient able to maintain airway
• administer supplemental humidified oxygen
• In young children, avoid increasing anxiety by permitting them to sit in a
position of comfort upon the parent’s lap.
• Children younger than 6 years of age: epiglottitis undergo
endotracheal intubation
• Older children and adults: severe respiratory distress (eg, stridor,
drooling, sitting erect, cyanosis) or >50 % obstruction of the laryngeal
lumen endotracheal intubation
42
• Furthermore, prompt endotracheal intubation may be warranted in
patients with
• rapid onset and progression of symptoms,
• immune deficiency, or
• epiglottic abscess
43
ACUTE EPIGLOTTITIS CONT…
• Patient not able to maintain airway
• Bag-valve-mask ventilation
• Oxygenation not maintained
• Immediately attempt to place an oral endotracheal
• Emergency surgical airway varies by age
• < 12 years of age, perform needle cricothyroidotomy
• In older patients, perform surgical cricothyroidotomy
44
ACUTE EPIGLOTTITIS CONT…
ANTIMICROBIAL THERAPY
• Whenever possible, a blood culture and, in intubated patients, an
epiglottic culture should be obtained prior to antibiotic.
• Empiric combination therapy with a third-generation cephalosporin
and antistaphylococcal agent
• vancomycin indication
• Patients with epiglottitis complicated by moderate to severe sepsis.
• Patients who may have concomitant meningitis
• Patients from areas with an increased prevalence of clindamycin-resistant
MRSA isolates.
45
ACUTE EPIGLOTTITIS CONT…
• Racemic epinephrine
• The benefit of administration of racemic epinephrine as a means to reduce
edema in patients with epiglottitis prior to definitive airway intervention is
not established
• Bronchodilators and parenteral glucocorticoids have both been used
as adjunctive treatments for patients with epiglottitis, but these
agents are not routinely necessary:
46
COMPLICATIONS
• Airway obstruction
• Epiglottic abscess.
• Secondary infection
• Necrotizing epiglottitis
• Death: The mortality rates in children and adults are <1 and ≤3.3 percent,
respectively
• Death is almost always due to acute airway obstruction.
47
ACUTE EPIGLOTTITIS CONT…
BACTERIAL TRACHEITIS
• Capable of causing life-threatening airway obstruction.
• Etiology
• Staphylococcus aureus is the most commonly isolated.
• Moraxella catarrhalis, non-typable H. influenzae, and anaerobic organisms
have also been implicated.
• The mean age at presentation is between 5 and 7 yr.
• No difference in incidence and severity by gender.
• often follows a viral respiratory infection (laryngotracheitis), rather
than a primary bacterial illness.
48
BACTERIAL TRACHEITIS CONT…
• Barking cough.
• High fever and “toxicity” with respiratory distress may occur
immediately or after a few days of apparent improvement.
• Can lie flat, does not drool, and does not have the dysphagia
associated with epiglottitis.
• The usual treatment for croup (racemic epinephrine) is ineffective.
• Intubation or tracheostomy may be necessary.
49
RETROPHARYNGEAL ABSCESS
• May extrinsically compress structures in the upper airway.
• Prominent presenting complaints are usually
• Neck pain, fever, and sore throat
• Seldom present with acute severe airway obstruction.
• Group A Streptococcus is the most common cause, but anaerobes
(eg, Bacteroides sp.) also can cause.
50
RETROPHARYNGEAL ABSCESS CONT…
• Examination of the pharynx can reveal bulging of the posterior wall.
• Widening of the retropharynx is seen on a lateral neck radiograph.
• Surgical drainage and broad-spectrum IV antibiotics are required.
• Intubation may be needed to protect the airway during the acute
phase of the illness.
51
52
PERITONSILLAR ABSCESS
• Generally occurs in later childhood and adolescence.
• The sudden onset of severe respiratory distress is rare.
• present with severe throat pain and a muffled voice.
• Examination of the pharynx reveals medial displacement of the soft
palate, tonsil, and uvula.
• The abscess must be drained surgically with an endotracheal tube in
place to protect the airway.
• Antibiotics are given as for a retropharyngeal abscess
53
54
LARYNGEAL PAPILLOMATOSIS
• Benign, warty growths.
• The most common laryngeal neoplasm in children.
• Human papilloma viruses 6, 11, and 16 have been implicated as
causative agents.
• A substantial percentage of mothers of patients with laryngeal
papilloma have a history of genital condyloma at the time of delivery,
• so the virus may be acquired during passage through an infected birth canal
55
LARYNGEAL PAPILLOMATOSIS CONT…
• The age at onset is usually 2–4 years, but juvenile-onset recurrent respiratory
papillomatosis is well documented.
• A younger age of onset may be a worse prognostic indicator.
• Patients usually develop hoarseness, voice changes, croupy cough, or stridor that
can lead to life-threatening airway obstruction.
• Diagnosis is by direct laryngoscopy.
• The larynx was involved at the time of diagnosis in over 95% of patients, most of
whom had only one site involved
56
LARYNGEAL PAPILLOMATOSIS CONT…
• Treatment is directed toward relieving airway obstruction,
• usually by surgical removal of the lesions.
• Tracheostomy is necessary when life-threatening obstruction or
respiratory arrest occurs.
• Various surgical procedures (laser, cup forceps, or cryosurgery) have
been used to remove papillomas,
• Recurrences has occurred and frequent reoperation may be needed.
57
LARYNGEAL PAPILLOMATOSIS CONT…
• The lesions occasionally spread down the trachea and bronchi,
making surgical removal more difficult.
• The use of interferon therapy remains controversial.
• Fortunately, spontaneous remissions do occur, usually by puberty, so
that the goal of therapy is to maintain an adequate airway until
remission occurs.
58
FOREIGN BODIES
• Small children often choke on food or small objects and usually clear
the obstruction spontaneously with coughing and choking.
• Only about 2% of FB aspiration cases need an intervention.
• Clinical manifestations vary by the location of the FB
59
FOREIGN BODIES CONT…
Airway FB:
• Most aspirated objects lodge in the bronchi and are not immediately life-
threatening.
• If a child presents with complete airway obstruction (ie, is unable to speak
or cough), dislodgement using back blows and chest compressions in
infants, and the Heimlich maneuver in older children, should be attempted.
• By contrast, these interventions should be avoided in children who are able
to speak or cough
• "blind" sweeping of the mouth and oropharynx should not be performed
60
FOREIGN BODIES CONT…
Esophageal FB:
Foreign bodies lodged in the esophagus in the area of the cricoid
cartilage or the tracheal bifurcation can compress the airway causing
partial airway obstruction.
It is also possible that an esophageal foreign body will become
dislodged into the upper airway.
61
FOREIGN BODIES CONT…
• On 2 yrs retrospective study done at Tikur Anbessa Hospital by Dr.
Amezene Tadesse:
• A total of 81 children underwent rigid bronchoscopic evaluation, and foreign
bodies were identified and removed in 76(93%) of the cases.
• The mean age of the patients was 4.6 yrs (5 months to 11 years),
• 54 (71.1%) were male and 22 (28.9%) were female.
• A foreign body aspiration history obtained in 58 (76.3%) of the patients.
• The mean duration of illness was 1.6 +1.9 days with range of 4.5 hours and 4
months.
• Plastic tips was retrieved in 17 (22.4%) patients, seed in 15(19.7%), balloon
inflator tip in 7(9.2%), metallic tips 5 (6.6%), Hijab pin 2(2.6%)
62
FOREIGN BODIES CONT…
• The site of foreign body lodgment is
• right main bronchus in 44 (57.9%)
• left main bronchus in 20 (26.3%)
• trachea in 11(14.5%)
• lower stem bronchus in 1 (1.3 %)
• 73 (96%) cases had smooth course in the hospital and discharged
within 10 days after bronchoscopic procedures
• 1 has passed away
63
TRAUMA
• Blunt or penetrating injury to various anatomic structures may result
in upper airway obstruction:
• Traumatic injury to the face may cause soft tissue swelling or
hemorrhage, leading to airway compromise.
• Trauma to the larynx or subglottic trachea may result in dyspnea,
altered phonation, and/or subcutaneous emphysema .
• Injury to the epiglottis can cause swelling and upper airway
obstruction with a clinical presentation indistinguishable from
infectious epiglottitis
64
BURN INJURIES
• Facial burns or burnt facial hairs should alert the possibility of thermal
injuries to the upper airway.
• Despite no initial airway compromise, edema can rapidly progress.
• Thermal injury to the epiglottitis, usually from hot beverages, has
been reported.
• Thermal injury below the vocal cords is unlikely due to the cooling
efficiency of the upper airways.
65
ANAPHYLAXIS
• May be severe and life-threatening when edema involves the
retropharynx and/or larynx.
• Usually sudden onset of symptoms and there may be associated signs
such as urticaria and facial swelling.
• Emergent treatment can be life-saving
66
ANGIOEDEMA
• Laryngeal edema occurs in approximately ½ of all patients with
inherited angioedema at their lifetime.
• Tooth extraction and oral surgery are common triggers for laryngeal
attacks.
67
LARYNGOSPASM
• an acute manifestation of vocal cord dysfunction that is usually
precipitated by irritation of the vocal cords.
• The symptoms of vocal cord dysfunction (VCD) are usually chronic.
• The acute onset or worsening of stridor from VCD can be alarming
and
• This is particularly true when the VCD is due to a lesion in the
brainstem.
• Hypocalcemic tetany is a rare cause of laryngospasm.
68
DECREASED OROPHARYNGEAL MUSCLE TONE
• The tongue can fall back into the pharynx and obstruct the airway in
children with decreased oropharyngeal muscle tone as can occur with
depressed levels of consciousness or neuromuscular disease (eg,
cerebral palsy, congenital myopathies, or cranial neuropathy).
• Simply repositioning the airway may relieve the obstruction.
• Persistent obstruction may be treated with a nasopharyngeal airway
in the conscious or semiconscious patient.
69
AIRWAY SECRETIONS OR BLEEDING
• Oropharyngeal or nasopharyngeal bleeding and secretions can cause
significant upper airway obstruction in children.
• Superficial suctioning of the naso- and oropharynx and, as needed,
control of bleeding resolves the obstruction.
70
Congenital causes of upper airway obstruction
• laryngomalacia
• subglottic stenosis
• choanal atresia
• laryngeal web
• laryngeal cyst
• vocal cord paralysis
• vascular ring developmental anomaly of aorta
71
Reference
• Nelson 20th edition
• Tintinalli’s Emergency Medicine 8th edition
72
THANK YOU!!!
73

Approach to upper airway obstruction

  • 1.
    Approach to upperairway obstruction Nathan Muluberhan( MD, EMCC II) Sep 2 0 1 8 1
  • 2.
    OUTLINE • Introduction • Epidemiology •Pathophysiology • Approach • Management 2
  • 3.
    INTRODUCTION •The airway extendsfrom the external nares to the junction of the larynx with the trachea. •It includes the nose, the paranasal sinuses, the pharynx and the larynx
  • 4.
    • Several anatomicalpeculiarities in the airways of a child which makes it more prone to obstruction. • These ‘developmental disadvantages’ are: • Relative larger & prominent occiput causing flexion of neck in supine position • Relatively larger tongue • Anterior and cephalad position of the larynx • Soft, omega shaped & vertically positioned epiglottis • Narrowest portion of the airways is at the level of the cricoid cartilage which is non-distensible INTRODUCTION CONT…
  • 5.
    INTRODUCTION CONT… • Nose:Generally smaller, increased resistance, smaller septum, nasal bridge is flat and flexible, and obligatory nose breathers • Vocal cords: located at C3-4 (C5-6 in adults), Larynx is more anterior, contributes to aspiration if neck is hyperextended • Airway diameter is 4 mm vs 20 mm in adult • Tracheal rings more elastic & cartilaginous, can easily crimp off trachea • Smooth muscle makes airway more reactive or sensitive to foreign substances • Underdeveloped anatomy leads to chest pliability and less protection of thoracic cage and less effective use of accessory muscles.
  • 7.
    • Upper airwayobstruction is a common and potentially serious problem in pediatric practice. 7 INTRODUCTION CONT…
  • 8.
    ETHIOPIA • Retrospective recordreview based on the institutional record from Tikur Anbessa (Acute upper airway obstruction for 01 year) by Getachew Metaferia and Dr. Muluwork T. • 161 (6.9) children were presented with acute upper airway obstruction. • Age range from 3 months to 11years (mean age, 2.7 years). • 109 (67.7%) were male and 52 (32.3%) were female. • Presentation was as early as 4 hours and as late as 12 days (40.4 hrs.) • Croup 122 (75.8%), Foreign body aspiration 16 (9.9%) followed by laryngeal papillomatosis (5.6%). • Bacterial tracheitis, retropharyngeal abscess, anaphylaxis, peritonsillar abscess and blunt trauma were found to be causes of upper airway obstruction. • No case of epiglottitis. 8
  • 9.
    ETIOLOGIES • Infectious(90%): • croup,retropharyngeal abscess, peritonsillar abscess, acute epiglotitis, bacterial tracheitis • Iatrogenic-intubation related • Traumatic-foreign body aspiration, neck trauma, burns • Congenital-usually in infants and young children • Neoplastic • Acute angioneurotic edema
  • 10.
    CROUP • A respiratoryillness characterized by inspiratory stridor, barking cough, and hoarseness. • Result from inflammation in the larynx and subglottic airway • Viral croup (classic croup) refers to the typical croup syndrome that occurs commonly in children 6 months to 3 years of age. 10
  • 11.
    SPASMODIC CROUP • Alwaysoccurs at night. • Abrupt onset and cessation of symptoms and short duration of symptoms. • Fever is typically absent, but mild upper respiratory tract symptoms may be present. • Episodes can recur within the same night and for two to four successive evenings • A striking feature of spasmodic croup is its recurrent nature, • There may be a familial predisposition 11
  • 12.
    • Croup isusually caused by viruses. • Bacterial infection may occur secondarily. • Parainfluenza: • Parainfluenza type 1 is the most common cause of croup, especially the fall and winter epidemics • Parainfluenza type 2 sometimes causes croup outbreaks, but usually with milder disease than type 1. • Parainfluenza type 3 causes sporadic cases of croup that often are more severe than those due to types 1 and 2. 12 CROUP CONT…
  • 13.
    • Respiratory syncytialvirus and adenoviruses are relatively frequent causes of croup. • The laryngotracheal component of disease is usually less significant than that of the lower airways. • Human coronavirus NL63 (HCoV-NL63), first identified in 2004, has been implicated in croup and other respiratory illnesses • Measles is an important cause of croup in areas where measles remains prevalent 13 CROUP CONT…
  • 14.
    • Rhinoviruses, enteroviruses(especially Coxsackie types A9, B4, and B5, and echovirus types 4, 11, and 21), and herpes simplex virus are occasional causes of sporadic cases of croup that are usually mild • Metapneumoviruses cause primarily lower respiratory tract disease similar to RSV, but upper respiratory tract symptoms have been described in some patients. • Croup also may be caused by bacteria. • Mycoplasma pneumoniae has been associated with mild cases of croup. • secondary bacterial pathogens include Staphylococcus aureus, Streptococcus pyogenes, and Streptococcus pneumoniae 14 CROUP CONT…
  • 15.
    • Most commonlyoccurs in children 6 months to 3 years of age. • It is more common in boys, with a M:F ratio of approximately 1.4:1 • Family history of croup is a risk factor for croup and recurrent croup. • In a case-control study, children whose parents had a history of croup were 3.2 times as likely to have an episode of croup and 4.1 times as likely to have recurrent croup as children with no parental history of croup. Parental smoking does not appear to increase the risk of croup. • Most cases of croup occur in the fall or early winter, • ED visits for croup are most frequent between 10:00 PM and 4:00 AM. • Admission: • In a six-year (1999 to 2005) population-based study, 5.6 percent of children with a diagnosis of croup in the ED required hospital admission. • Among those discharged home, 4.4 percent had a repeat ED visit within 48 hours. 15 CROUP CONT…
  • 16.
    • Typically infectthe nasal and pharyngeal mucosal epithelia initially and then spread locally along the respiratory epithelium. • The anatomic hallmark of croup is narrowing of the subglottic airway, • The cricoid cartilage of the subglottis is a complete cartilaginous ring. • The cricoid cannot expand, causing significant airway narrowing whenever the subglottic mucosa becomes inflamed. • Dynamic obstruction of the extrathoracic trachea below the cartilaginous ring may occur when the child struggles, cries, or becomes agitated. • The dynamic obstruction occurs as a result of the combination of high negative pressure in the distal extrathoracic trachea and the floppiness of the tracheal wall in children. 16 CROUP CONT…
  • 17.
    • Laryngoscopic evaluationshows • redness and swelling just below the vocal folds • In severe cases, the subglottic airway may be reduced to a diameter of 1 to 2 mm. • Fibrinous exudates and, occasionally, pseudomembranes can build up on the tracheal surfaces and contribute to airway narrowing. • The vocal folds and laryngeal tissues also can become swollen, and cord mobility may be impaired. • Autopsy studies show • Infiltration of histiocytes, lymphocytes, plasma cells, and neutrophils into edematous lamina propria, submucosa, and adventitia of the larynx and trachea • In spasmodic findings on direct laryngoscopy may demonstrate noninflammatory edema 17 CROUP CONT…
  • 18.
    • Only asmall fraction of children with a parainfluenza viral infection develop overt croup. • Underlying host factors that predispose to clinically significant narrowing of the upper airway include: • Congenital anatomic narrowing of the airway, such as subglottic stenosis due to an elliptical cricoid cartilage • Hyperactive airways, perhaps aggravated by atopy or gastroesophageal reflux, as suggested in some children with spasmodic croup or recurrent croup • Acquired airway narrowing from a post-intubation subglottic cyst or stenosis, or rarely from respiratory tract papillomas (human papillomavirus) and Subglottic hemangiomas • increased production of parainfluenza virus-specific immunoglobulin E (IgE) and increased lymphoproliferative response to parainfluenza virus antigen. 18 CROUP CONT…
  • 19.
    • Symptoms usuallybegin with nasal discharge, congestion, and coryza and progress over 12 to 48 hours to include fever, hoarseness, barking cough, and stridor. • As airway obstruction progresses, stridor develops, and there may be mild tachypnea with a prolonged inspiratory phase. • Biphasic stridor (stridor heard on both inspiration and expiration) at rest is a sign of significant upper airway obstruction. • As upper airway obstruction progresses, • the child may become restless or anxious. • When airway obstruction becomes severe, suprasternal, subcostal, and intercostal retractions may be seen. • Breath sounds can be diminished. Agitation, which generally is accompanied by increased inspiratory effort, exacerbates the subglottic narrowing by creating negative pressure in the airway. 19 CROUP CONT…
  • 20.
    Components • Level ofconsciousness: Normal, including sleep = 0; disoriented = 5 • Cyanosis: None = 0; with agitation = 4; at rest = 5 • Stridor: None = 0; with agitation = 1; at rest = 2 • Air entry: Normal = 0; decreased = 1; markedly decreased = 2 • Retractions: None = 0; mild = 1; moderate = 2; severe = 3 WESTLEY CROUP SCORE
  • 21.
    WESTLEY CROUP SCORE •Mild croup • croup score of ≤2 (barking cough, hoarse cry, but no stridor at rest.) • Moderate croup • croup score of 3 to 7. (stridor at rest, at least mild retractions, and other symptoms or signs of respiratory distress, but little or no agitation.) • Severe croup • croup score of ≥8. • significant stridor at rest, although stridor may decrease with worsening upper airway obstruction, decreased air entry, severe retractions and the child may appear anxious, agitated, or fatigued.
  • 22.
    • Impending respiratoryfailure (Westley croup score of ≥12) • Fatigue and listlessness • Marked retractions (although retractions may decrease with increased obstruction and decreased air entry) • Decreased or absent breath sounds • Depressed level of consciousness • Tachycardia out of proportion to fever • Cyanosis or pallor 22 WESTLEY CROUP SCORE
  • 23.
    Imaging • Radiographic confirmationis not required • Indication: • If the diagnosis is in question, • Atypical course • an inhaled or swallowed foreign body is suspected • croup is recurrent, • there is a failure to respond as expected to therapeutic interventions. • Findings • In children with croup, a posterior-anterior chest radiograph demonstrates subglottic narrowing, commonly called the "steeple sign" • The lateral view may demonstrate overdistention of the hypopharynx during inspiration and subglottic haziness 23 CROUP CONT…
  • 24.
  • 25.
    MILD CROUP Children withmild symptoms should be treated symptomatically with humidity, fever reduction, and oral fluids a single dose of oral dexamethasone (0.15 to 0.6 mg/kg, maximum dose 16 mg MODERATE TO SEVERE CROUP The child with severe croup must be approached cautiously, as any increase in anxiety may worsen airway obstruction. Initial treatment of moderate to severe croup includes administration of dexamethasone and nebulized epinephrine 25 CROUP CONT…
  • 26.
    • Also receivesupportive care including humidified air or oxygen, antipyretics, and encouragement of fluid intake • Dexamethasone (0.6 mg/kg, maximum of 16 mg) • Administered by the least invasive route possible • The oral preparation of dexamethasone (1 mg/mL) has an unpleasant taste. • The IV preparation is more concentrated (4 mg per mL) and can be given orally mixed with syrup. • A single dose of nebulized budesonide (2 mg [2 mL solution] via nebulizer) is an alternative option. 26 CROUP CONT…
  • 27.
    • Nebulized epinephrinein all patients with moderate to severe croup: • Racemic epinephrine is administered as 0.05 mL/kg per dose (maximum of 0.5 mL) of a 2.25 percent solution diluted to 3 mL total volume with normal saline. It is given via nebulizer over 15 minutes. • L-epinephrine (parenteral product) is administered as 0.5 mL/kg per dose (maximum of 5 mL) using the 1 mg/mL strength (may also be referred to as a 1:1000 dilution). It is given via nebulizer over 15 minutes. 27 CROUP CONT…
  • 28.
    • Patients shouldbe observed for three to four hours after initial treatment. • children who remain comfortable may be discharged home if they meet the following criteria: • No stridor at rest • Normal pulse oximetry • Good air exchange • Normal color • Normal level of consciousness • Demonstrated ability to tolerate fluids by mouth 28 CROUP CONT…
  • 29.
    • Indications forinpatient admission include: • Severe croup with poor air entry, altered consciousness, or impending respiratory failure • persistent or deteriorating respiratory distress after treatment with nebulized epinephrine and corticosteroids • "Toxic" appearance or clinical picture suggesting serious secondary bacterial infection • Need for supplemental oxygen • Severe dehydration 29 CROUP CONT…
  • 30.
    • Admission tothe pediatric intensive care unit (PICU) is warranted if any of the following are present: • Respiratory failure requiring endotracheal intubation • Persistent severe symptoms requiring frequent nebulized epinephrine dosing • Underlying conditions placing the child at high risk for progressive respiratory failure (eg, neuromuscular disease or bronchopulmonary dysplasia) 30 CROUP CONT…
  • 31.
    • Heliox • Amixture of helium (70 to 80 percent) and oxygen (20 to 30 percent). • Decrease the work of breathing in children with croup by reducing turbulent airflow. • An endotracheal tube that is 0.5 to 1 mm smaller than would typically be used should be placed 31 CROUP CONT…
  • 32.
    • In twolarge retrospective studies • <3 % of patients need intubation • Median duration of mechanical ventilation was 60 hours. • 6.5% of patients required reintubation after the first attempt at extubation • Endotracheal cuff leak poorly predicted extubation failure in this study. • Half of the patients in this series were diagnosed with bacterial coinfection or superinfection 32 CROUP CONT…
  • 33.
    Complications • Hypoxemia andrespiratory failure • pulmonary edema • pneumothorax. • pneumomediastinum. • Secondary bacterial infections may arise from croup. • Out-of-hospital cardiac arrest and death also have been reported 33 CROUP CONT…
  • 34.
    ACUTE EPIGLOTTITIS • Epiglottitisdescribes inflammation of the epiglottis and adjacent supraglottic structures • Sudden onset of sore throat and fever followed within a matter of hours as toxic, swallowing difficulty, and labored breathing. • Drooling of saliva and hyperextended neck, assume the tripod position, sitting upright and leaning forward with the chin up and mouth open while bracing on the arms. • The barking cough typical of croup is rare.
  • 35.
    • Epiglottitis maybe caused by a number of bacterial, viral, and fungal pathogens • Haemophilus influenzae type b (Hib) was the most common infectious cause of epiglottitis in children. • The incidence of Hib epiglottitis declined after Hib was added to the routine infant immunization schedule in the United States and other developed countries • Additional causes of epiglottitis in children include other H. influenzae (types A, F, and nontypeable), streptococci (including Group A streptococcus), and Staphylococcus aureus including methicillin-resistant strains. 35 ACUTE EPIGLOTTITIS CONT…
  • 36.
    • Traumatic causesof epiglottitis include thermal injury, foreign body ingestion, and caustic ingestion. • Epiglottitis also may rarely occur as a complication of bone marrow or solid organ transplantation 36 ACUTE EPIGLOTTITIS CONT…
  • 37.
    • The clinicalfeatures of epiglottitis differ with age, severity, and etiology: • Young children classically present • respiratory distress, anxiety, and the characteristic "tripod" or "sniffing" posture • They may be reluctant to lie down • Drooling is often present. • Cough is typically absent. • Older children, adolescents, and adults may present with a severe sore throat but a relatively normal oropharyngeal examination. 37 ACUTE EPIGLOTTITIS CONT…
  • 38.
    ACUTE EPIGLOTTITIS CONT… •Abrupt onset and rapid progression (within hours) of dysphagia, drooling, and distress ("the three D's") are hallmarks of epiglottitis in children • Sudden onset of high fever (between 38.8 and 40.0°C), severe sore throat, odynophagia, and drooling is common. • They experience a choking sensation, are distressed during inspiration, and are anxious, restless, and irritable. • Their speech is muffled, often described as a "hot potato" voice 38
  • 39.
    Radiographic features ofepiglottitis include: • An enlarged epiglottis protruding from the anterior wall of the hypopharynx (the "thumb sign“) • Loss of the vallecular air space • Thickened aryepiglottic folds • Distended hypopharynx (nonspecific). • Straightening or reversal of the normal cervical lordosis 39 ACUTE EPIGLOTTITIS CONT…
  • 40.
  • 41.
    • Bedside ultrasoundevaluation of the epiglottis in adults has been described, but its role in diagnosing epiglottitis is unclear • The ultrasonographic appearance of epiglottitis in adults has been described as an "alphabet P sign", • formed by an acoustic shadow of the swollen epiglottis and hyoid bone at the level of the thyrohyoid membrane when imaged in longitudinal orientation 41 ACUTE EPIGLOTTITIS CONT…
  • 42.
    Patient able tomaintain airway • administer supplemental humidified oxygen • In young children, avoid increasing anxiety by permitting them to sit in a position of comfort upon the parent’s lap. • Children younger than 6 years of age: epiglottitis undergo endotracheal intubation • Older children and adults: severe respiratory distress (eg, stridor, drooling, sitting erect, cyanosis) or >50 % obstruction of the laryngeal lumen endotracheal intubation 42
  • 43.
    • Furthermore, promptendotracheal intubation may be warranted in patients with • rapid onset and progression of symptoms, • immune deficiency, or • epiglottic abscess 43 ACUTE EPIGLOTTITIS CONT…
  • 44.
    • Patient notable to maintain airway • Bag-valve-mask ventilation • Oxygenation not maintained • Immediately attempt to place an oral endotracheal • Emergency surgical airway varies by age • < 12 years of age, perform needle cricothyroidotomy • In older patients, perform surgical cricothyroidotomy 44 ACUTE EPIGLOTTITIS CONT…
  • 45.
    ANTIMICROBIAL THERAPY • Wheneverpossible, a blood culture and, in intubated patients, an epiglottic culture should be obtained prior to antibiotic. • Empiric combination therapy with a third-generation cephalosporin and antistaphylococcal agent • vancomycin indication • Patients with epiglottitis complicated by moderate to severe sepsis. • Patients who may have concomitant meningitis • Patients from areas with an increased prevalence of clindamycin-resistant MRSA isolates. 45 ACUTE EPIGLOTTITIS CONT…
  • 46.
    • Racemic epinephrine •The benefit of administration of racemic epinephrine as a means to reduce edema in patients with epiglottitis prior to definitive airway intervention is not established • Bronchodilators and parenteral glucocorticoids have both been used as adjunctive treatments for patients with epiglottitis, but these agents are not routinely necessary: 46
  • 47.
    COMPLICATIONS • Airway obstruction •Epiglottic abscess. • Secondary infection • Necrotizing epiglottitis • Death: The mortality rates in children and adults are <1 and ≤3.3 percent, respectively • Death is almost always due to acute airway obstruction. 47 ACUTE EPIGLOTTITIS CONT…
  • 48.
    BACTERIAL TRACHEITIS • Capableof causing life-threatening airway obstruction. • Etiology • Staphylococcus aureus is the most commonly isolated. • Moraxella catarrhalis, non-typable H. influenzae, and anaerobic organisms have also been implicated. • The mean age at presentation is between 5 and 7 yr. • No difference in incidence and severity by gender. • often follows a viral respiratory infection (laryngotracheitis), rather than a primary bacterial illness. 48
  • 49.
    BACTERIAL TRACHEITIS CONT… •Barking cough. • High fever and “toxicity” with respiratory distress may occur immediately or after a few days of apparent improvement. • Can lie flat, does not drool, and does not have the dysphagia associated with epiglottitis. • The usual treatment for croup (racemic epinephrine) is ineffective. • Intubation or tracheostomy may be necessary. 49
  • 50.
    RETROPHARYNGEAL ABSCESS • Mayextrinsically compress structures in the upper airway. • Prominent presenting complaints are usually • Neck pain, fever, and sore throat • Seldom present with acute severe airway obstruction. • Group A Streptococcus is the most common cause, but anaerobes (eg, Bacteroides sp.) also can cause. 50
  • 51.
    RETROPHARYNGEAL ABSCESS CONT… •Examination of the pharynx can reveal bulging of the posterior wall. • Widening of the retropharynx is seen on a lateral neck radiograph. • Surgical drainage and broad-spectrum IV antibiotics are required. • Intubation may be needed to protect the airway during the acute phase of the illness. 51
  • 52.
  • 53.
    PERITONSILLAR ABSCESS • Generallyoccurs in later childhood and adolescence. • The sudden onset of severe respiratory distress is rare. • present with severe throat pain and a muffled voice. • Examination of the pharynx reveals medial displacement of the soft palate, tonsil, and uvula. • The abscess must be drained surgically with an endotracheal tube in place to protect the airway. • Antibiotics are given as for a retropharyngeal abscess 53
  • 54.
  • 55.
    LARYNGEAL PAPILLOMATOSIS • Benign,warty growths. • The most common laryngeal neoplasm in children. • Human papilloma viruses 6, 11, and 16 have been implicated as causative agents. • A substantial percentage of mothers of patients with laryngeal papilloma have a history of genital condyloma at the time of delivery, • so the virus may be acquired during passage through an infected birth canal 55
  • 56.
    LARYNGEAL PAPILLOMATOSIS CONT… •The age at onset is usually 2–4 years, but juvenile-onset recurrent respiratory papillomatosis is well documented. • A younger age of onset may be a worse prognostic indicator. • Patients usually develop hoarseness, voice changes, croupy cough, or stridor that can lead to life-threatening airway obstruction. • Diagnosis is by direct laryngoscopy. • The larynx was involved at the time of diagnosis in over 95% of patients, most of whom had only one site involved 56
  • 57.
    LARYNGEAL PAPILLOMATOSIS CONT… •Treatment is directed toward relieving airway obstruction, • usually by surgical removal of the lesions. • Tracheostomy is necessary when life-threatening obstruction or respiratory arrest occurs. • Various surgical procedures (laser, cup forceps, or cryosurgery) have been used to remove papillomas, • Recurrences has occurred and frequent reoperation may be needed. 57
  • 58.
    LARYNGEAL PAPILLOMATOSIS CONT… •The lesions occasionally spread down the trachea and bronchi, making surgical removal more difficult. • The use of interferon therapy remains controversial. • Fortunately, spontaneous remissions do occur, usually by puberty, so that the goal of therapy is to maintain an adequate airway until remission occurs. 58
  • 59.
    FOREIGN BODIES • Smallchildren often choke on food or small objects and usually clear the obstruction spontaneously with coughing and choking. • Only about 2% of FB aspiration cases need an intervention. • Clinical manifestations vary by the location of the FB 59
  • 60.
    FOREIGN BODIES CONT… AirwayFB: • Most aspirated objects lodge in the bronchi and are not immediately life- threatening. • If a child presents with complete airway obstruction (ie, is unable to speak or cough), dislodgement using back blows and chest compressions in infants, and the Heimlich maneuver in older children, should be attempted. • By contrast, these interventions should be avoided in children who are able to speak or cough • "blind" sweeping of the mouth and oropharynx should not be performed 60
  • 61.
    FOREIGN BODIES CONT… EsophagealFB: Foreign bodies lodged in the esophagus in the area of the cricoid cartilage or the tracheal bifurcation can compress the airway causing partial airway obstruction. It is also possible that an esophageal foreign body will become dislodged into the upper airway. 61
  • 62.
    FOREIGN BODIES CONT… •On 2 yrs retrospective study done at Tikur Anbessa Hospital by Dr. Amezene Tadesse: • A total of 81 children underwent rigid bronchoscopic evaluation, and foreign bodies were identified and removed in 76(93%) of the cases. • The mean age of the patients was 4.6 yrs (5 months to 11 years), • 54 (71.1%) were male and 22 (28.9%) were female. • A foreign body aspiration history obtained in 58 (76.3%) of the patients. • The mean duration of illness was 1.6 +1.9 days with range of 4.5 hours and 4 months. • Plastic tips was retrieved in 17 (22.4%) patients, seed in 15(19.7%), balloon inflator tip in 7(9.2%), metallic tips 5 (6.6%), Hijab pin 2(2.6%) 62
  • 63.
    FOREIGN BODIES CONT… •The site of foreign body lodgment is • right main bronchus in 44 (57.9%) • left main bronchus in 20 (26.3%) • trachea in 11(14.5%) • lower stem bronchus in 1 (1.3 %) • 73 (96%) cases had smooth course in the hospital and discharged within 10 days after bronchoscopic procedures • 1 has passed away 63
  • 64.
    TRAUMA • Blunt orpenetrating injury to various anatomic structures may result in upper airway obstruction: • Traumatic injury to the face may cause soft tissue swelling or hemorrhage, leading to airway compromise. • Trauma to the larynx or subglottic trachea may result in dyspnea, altered phonation, and/or subcutaneous emphysema . • Injury to the epiglottis can cause swelling and upper airway obstruction with a clinical presentation indistinguishable from infectious epiglottitis 64
  • 65.
    BURN INJURIES • Facialburns or burnt facial hairs should alert the possibility of thermal injuries to the upper airway. • Despite no initial airway compromise, edema can rapidly progress. • Thermal injury to the epiglottitis, usually from hot beverages, has been reported. • Thermal injury below the vocal cords is unlikely due to the cooling efficiency of the upper airways. 65
  • 66.
    ANAPHYLAXIS • May besevere and life-threatening when edema involves the retropharynx and/or larynx. • Usually sudden onset of symptoms and there may be associated signs such as urticaria and facial swelling. • Emergent treatment can be life-saving 66
  • 67.
    ANGIOEDEMA • Laryngeal edemaoccurs in approximately ½ of all patients with inherited angioedema at their lifetime. • Tooth extraction and oral surgery are common triggers for laryngeal attacks. 67
  • 68.
    LARYNGOSPASM • an acutemanifestation of vocal cord dysfunction that is usually precipitated by irritation of the vocal cords. • The symptoms of vocal cord dysfunction (VCD) are usually chronic. • The acute onset or worsening of stridor from VCD can be alarming and • This is particularly true when the VCD is due to a lesion in the brainstem. • Hypocalcemic tetany is a rare cause of laryngospasm. 68
  • 69.
    DECREASED OROPHARYNGEAL MUSCLETONE • The tongue can fall back into the pharynx and obstruct the airway in children with decreased oropharyngeal muscle tone as can occur with depressed levels of consciousness or neuromuscular disease (eg, cerebral palsy, congenital myopathies, or cranial neuropathy). • Simply repositioning the airway may relieve the obstruction. • Persistent obstruction may be treated with a nasopharyngeal airway in the conscious or semiconscious patient. 69
  • 70.
    AIRWAY SECRETIONS ORBLEEDING • Oropharyngeal or nasopharyngeal bleeding and secretions can cause significant upper airway obstruction in children. • Superficial suctioning of the naso- and oropharynx and, as needed, control of bleeding resolves the obstruction. 70
  • 71.
    Congenital causes ofupper airway obstruction • laryngomalacia • subglottic stenosis • choanal atresia • laryngeal web • laryngeal cyst • vocal cord paralysis • vascular ring developmental anomaly of aorta 71
  • 72.
    Reference • Nelson 20thedition • Tintinalli’s Emergency Medicine 8th edition 72
  • 73.

Editor's Notes

  • #12 it may be more common in children with a family history of allergies
  • #16 However, children seen for croup between noon and 6:00 PM are more likely to be admitted to the hospital
  • #38 (in which they assume a sitting position with the trunk leaning forward, neck hyperextended, and chin thrust forward in an effort to maximize the diameter of the obstructed airway