Upper airway
obstruction
Approach to child with :
Halima Al.Dhali
98181
outline
• Case scenario
• Anatomy
• Pathophysiology of stridor
• Differential Diagnosis
Anatomy
• Upper airway includes
• Nose
• Pharynx
• Larynx)
• Trachea
case
• A 2 years child presented with sudden onset of stridor
Febrile 38.2
Alert not sick
Mild inspiratory stridor
RR 30
Sat :98%
Capillary Refill :2sec
Chest :clear ,
CVS:S1S2 , No murmur
Abd : Soft , No liver or spleen felt
History
Age of onset, duration, severity, and progression of the
stridor
Birth Vocal cord paralysis, congenital lesions such as choanal atresia
4 to 6 weeks Laryngomalacia
1 to 4 years Croup, epiglottitis, foreign body aspiration
Age Related Differential Diagnosis of Upper Air way
obstruction
Newborn Infancy Toddlers
• Choanal atresia
• DigGeorge syndrome
• Laryngeal web ,
atresia
• Vocal cord paralysis
• Pharyngeal collapse
• Laryngomalacia
• Viral croop
• Subglottis stenosis
• Laryngeal web
• Vascular ring
• Rhinitis
• Viral croop
• Bacteria tracheitis
• Foreign body
• Retrolaryngeal
abscess
• Hypertrophied
tonsil
• Laryngeal
papillomatosis
o Precipitating factors (e.g. Crying, feeding, straining,
antecedent URTI, choking, at night)
o Positioning (e.g. prone, supine, or sitting)
o Quality and nature of crying
o Other associated symptoms (e.g. paroxysms of cough,
aspiration, difficulty in feeding, drooling, hoarseness,
dysphagia, snoring, or sleep-disordered breathing)
Past medical/ surgical Hx
 Previous admission due to respiratory diseases
 Hx of atopy
 Indotracheal intubation or surgery
Perinatal Hx
 Birth trauma, infections, prematurity
 Immunization/developemental Hx
 Nutrional Hx
 Family/ social Hx
Examination
 Anthropometric measure:
 Vital sign
 Inspection
• Toxic appearance (ill looking)
• Level of consciousness
• Dysmorphic features
• Surgical scars
• Neck edema
• Work of breathing/distress (cyanosis, nasal flaring, use
accessory muscles and retractions)
• Drooling saliva
General examination:
• peripheral lymphadenopathy
• Clubbing
• Hydration
Specific examination:
• Dyspnea cough
• Stridor
Stridor
• High pitched , often harsh noise produce by airway
turbulence through partial obstruction of the upper
airway.
• Commonly in inspiration
Supraglottic and subglottic obstruction
Features Supraglottic obstruction Subglottic Obstruction
 Common causes
 Stridor
 Voice
 Dysphagia
 Barking cough
 Fever
 Trismus
 Drooling
 Arching Posture
Epiglottitis ,Peritonsillar
and Retropharyngeal
abscess .
Quit
Muffled
Yes
No
High Grade
Yes
Yes
Yes
Croup , angioedema ,foreign body ,
Tracheitis .
Loud
Hoarse
No
Yes
Low Grade
No
No
No
Basic management of acute upper
airways obstruction
• Do not examine the throat!
• Reduce anxiety by being calm, confident
• Observe carefully for signs of hypoxia
or deterioration.
• If severe, administer nebulised
epinephrine (adrenaline) and contact an
anaesthetist.
• If respiratory failure develops from
increasing airways obstruction,
exhaustion or secretions blocking the
airway, urgent tracheal intubation is
required.
Bacterial trachietis
• invasive exudative bacterial infection of the soft tissues of the trachea
• Diffuse inflammatory process(larynx, pharynx,Trachea)
• Result in production of (Thick Excaudate ,ulcerative of mucous
membrane) .
• Result in Airway obstucction
• Age : (6month -14years)
• Organisms : S.Aureus , S.pyogense , Moraxella ,H.influenza
Clinical Manifestation
• similar to severe viral croup.
• High grade Fever
• toxic appearance
• barking cough
• stridor ,tachypnea
• Hoarseness of voice
• sore throat,
• Dysphonia
•What are the differences btw
croup and Bacterial
tracheitis ??
Diagnosis
Laryngoscopy laryngotracheal inflammation and
mucopurulent secretions.
bacterial culture and Gram stain of tracheal secretions
Imaging Studies :not essential.
 subglottic narrowing on anteroposterior (AP) views - Steeple
sign,
 clouding of tracheal air column or irregular tracheal margin on
lateral view
Management
• Airway
• Maintenance of an adequate airway is of primary
importance.
• Avoid agitating the child. If the patient's respiratory status
deteriorates, it is usually because of movement of the
membrane, and bag-valve-mask ventilation should be
effective.
• Artificial airway use an endotracheal tube 0.5-1 size smaller
than expected
• Supplemental oxygen
Medication
• Once the airway is stabilized, obtain intravenous access
for initiation of antibiotics.
• Antibiotic regimens included a third-generation
cephalosporin, clindamycin against community acquired–
methicillin-resistant S aureus (CA-MRSA)
• Vancomycin (45 mg/kg/d IV, divided every 8 h),
with or without clindamycin, should be started in patients
who appear toxic or have multiorgan involvement or if
MRSA is prevalent in the community.
Case
• 5-year-old girl developed a severe
sore throat, drooling of saliva, a high
fever and increasing difficulty
breathing over 8 h
Epiglottitis was diagnosed and her airway was guaranteed
with a nasotracheal tube. Antibiotics were started immediately
She made a full recovery.
Epiglottitis
Epiglottis
• Inflammation of structure above glottis
• has significant morbidity and mortality
• most common in children aged 1–6 years
Organisms
• S. pneumoniae , S. aureus
• H.infleuna
• Moraxella catarrhalis , H. parainfluenzae
• N. meningitidis , Pseudomonas species
• Candida albicans,
• Klebsiella pneumoniae
• Pasteurella multocida
 Fever is usually the first symptom.
 rapidly followed by stridor and labored
breathing
 Dysphagia, refusal to eat
 hoarse voice
 sore throat
 Cough and ear pain are less frequent
Drooling of saliva due to inability and pain on
swallowing
Dyspnea – Shortness of breath or difficulty in
breathing
Dysphonia – Hoarseness of voice
Dysphagia – Difficulty in swallowing
Physical Examination
• child appears toxic; shock , restlessness,
irritability
• tripod or sniffing position
• Stridor
• tender adenopathy
• erythematous and classic swollen, cherry red
epiglottis
Management
• Securing the airway (endotracheal intubation)
• Rarely, this is impossible and urgent tracheostomy is life-
saving.
• Never place a child in a supine position.
• Oxygen supplement.
• Taken blood for culture.
Medication
• use antibiotics for the most likely organisms
• After trauma : Staphylococcus aureus
• presence of white patches: Candida albicans
• Some antibiotic like: Ceftriaxone , Cefotaxime ,
Cefuroxime ,Clindamycin
• Rifampin is used for chemoprophylaxis in Hib
infections.
Features Croup Epiglottitis
Onset
Preceding Coryza
Cough
Able to drink
Drooling saliva
Appearance
Fever
Stridor
Over days
Yes
Sever, Barking
Yes
No
Unwell
Less than 38.5
Harsh, rasping
Over hours
No
Abscent ,slight
No
Yes
Toxic, very ill
More than 38.5
Soft,
Case 3 :
• 2 years old child presented to the emergency department
with a one-week history of URI symptoms and a one-day
history of more severe throat pain and swelling.
• Upon physical examination the patient was febrile and
although she did not demonstrate any signs of respiratory
distress, examination of her neck revealed fullness on the
right.
• A lateral plain film of the neck showed soft tissue
swelling anterior to the vertebral bodies
Retropharyngeal abscess
• a deep neck infection
filling the potential
space between the
prevertebral fascia of
the cervical vertebrae
and the posterior wall
of the pharynx.
pathophysiology  Infection can spread from a contiguous area
 The space can be directly inoculated from penetrating trauma
Common
organism
group A -hemolytic streptococcus,
S. aureus, viridans streptococci, S. epidermis
E. coli, H. infl uenzae, Neisseria, Klebsiella, Salmonella,
Presentation • fever, chills, malaise, decreased appetite, and irritability
• a sore throat, difficulty in swallowing, pain on swallowing (odynophagia),
jaw stiffness (trismus), or neck stiffness .
• a muffled voice, the sensation of a lump in the throat, or pain in the back
and shoulders upon swallowing.
• fever (70%) and neck pain (62%)
Examination
 Febrile, toxic and irritable.
 Tender cervical lymphadenopathy, usually unilateral
 decreased or painful range of motion of their necks or jaws.
Diagnosis
• The laboratory evaluation is non-specifi with
leukocytosis.
• contents of the abscess should be cultured
• Computed tomography (CT) is the imaging
modality of choice for retropharyngeal abscess.
• lateral neck radiograph may show an
increase in width of the soft tissues anterior to the
vertebrae.
Management
assessment of the patency of the airway and
adequacy of oxygenation and ventilation must be
performed.
endotracheal intubation
presence of a large abscess requires drainage,
Eradication of the bacterial organism (nafcillin
and cefuroxime or ceftriaxone or cefotaxime )
Case
• previously healthy 24-month old male infant was initially
presented to the family pediatrician for a recurring fever over a
period of two weeks
• physical examination(alert and vitals were normal except for
a temperature of 38 °C and tachypnea .
• CBC : leukocytosis of 24 × 109/L and CRP was
457.15 nmol/L, suggesting a bacterial etiology
• empirical antibiotic were prescribed.
• visit 3 days later :symptoms had not subsided.
temperature was even higher than before 40 °C
• auscultation revealed markedly diminished breath
sounds over the right lung.
• At that time, the most probable differential diagnosis was
pneumonia due to a resistant bacterial pathogen .
• eventually the mother recall an event, one day after
the initial presentation to the family pediatrician, boy was
eating peanuts and suddenly developed a major coughing
episode. But since the coughing finally subsided, the
mother did not ascribe any relevancy to it
 Potentially life-threatening event
 Suspected on the basis of a choking episode
 Common: 6 months-5years
Location:
• laryngotracheal :
Acute respiratory distress
Stridor & hoarseness
 Increased respiratory effort or complete airway obstruction
• Lower airway :
Little acute distress after the initial choking episode
Site of Foreign body
Right lung – 60 %
Left lung – 23
Trachea/carina – 13 %
Larynx – 3 %
Bilateral – 2 %
Presentation
classic triad (ie, coughing, wheezing,
decreased breathing sounds) 40%
fever,
 hemoptysis,
dyspnea,
and chest pain
Mimic( croup, pneumonia, bronchiolitis, or
asthma.)
• the initial stage :history of a choking episode, followed by
violent paroxysms of coughing, gagging,and occasionally
complete airway obstruction .
• An asymptomatic
• interval generally follows the aspiration, during which the
foreign body becomes lodged, the refl exes become fatigued,
and the immediate irritating symptoms subside.
• 3 stage
• caused by the foreign body, such as obstruction, erosion,
• or infection. Chronic cough, hemoptysis, pneumonia, lung
• abscess, unexplained fever, and malaise are common
presentations
• of chronic airway foreign bodies
Physical Examination
• may be asymptomatic.
• stridor,
• localized wheeze,
• diminished breath sounds.
• Cyanosis (Severe case)
Investigations
Arterial blood gas
Bronchioscopy : ( diagnostic & therapeutic)
Radiographic : only 6% to 17% of aspirated
foreign bodies are radiopaque
Management
Initial :adequate oxygenation and ventilation.
Incomplete obstruction : bronchoscopy
complete airway obstruction : dislodgement
• back blows and chest compressions in infants,
• the Heimlich maneuver in older children,
back blows and chest
compressions
• Give 5 back blows. First, deliver five back blows
between the person's shoulder blades with the heel of
your hand.
• Give 5 abdominal thrusts. Perform five abdominal
thrusts (also known as the Heimlich maneuver).
• Alternate between 5 blows and 5 thrusts until the
blockage is dislodged.
the Heimlich maneuver
 None of these should be applied if patient is able to speak or
cough
 Finger sweep / grasp
Should be done only if object is visible and will not be wedged
deeper
?

Upper airway obstruction

  • 1.
    Upper airway obstruction Approach tochild with : Halima Al.Dhali 98181
  • 2.
    outline • Case scenario •Anatomy • Pathophysiology of stridor • Differential Diagnosis
  • 3.
    Anatomy • Upper airwayincludes • Nose • Pharynx • Larynx) • Trachea
  • 5.
    case • A 2years child presented with sudden onset of stridor Febrile 38.2 Alert not sick Mild inspiratory stridor RR 30 Sat :98% Capillary Refill :2sec Chest :clear , CVS:S1S2 , No murmur Abd : Soft , No liver or spleen felt
  • 6.
    History Age of onset,duration, severity, and progression of the stridor Birth Vocal cord paralysis, congenital lesions such as choanal atresia 4 to 6 weeks Laryngomalacia 1 to 4 years Croup, epiglottitis, foreign body aspiration
  • 7.
    Age Related DifferentialDiagnosis of Upper Air way obstruction Newborn Infancy Toddlers • Choanal atresia • DigGeorge syndrome • Laryngeal web , atresia • Vocal cord paralysis • Pharyngeal collapse • Laryngomalacia • Viral croop • Subglottis stenosis • Laryngeal web • Vascular ring • Rhinitis • Viral croop • Bacteria tracheitis • Foreign body • Retrolaryngeal abscess • Hypertrophied tonsil • Laryngeal papillomatosis
  • 8.
    o Precipitating factors(e.g. Crying, feeding, straining, antecedent URTI, choking, at night) o Positioning (e.g. prone, supine, or sitting) o Quality and nature of crying o Other associated symptoms (e.g. paroxysms of cough, aspiration, difficulty in feeding, drooling, hoarseness, dysphagia, snoring, or sleep-disordered breathing)
  • 9.
    Past medical/ surgicalHx  Previous admission due to respiratory diseases  Hx of atopy  Indotracheal intubation or surgery Perinatal Hx  Birth trauma, infections, prematurity  Immunization/developemental Hx  Nutrional Hx  Family/ social Hx
  • 10.
    Examination  Anthropometric measure: Vital sign  Inspection • Toxic appearance (ill looking) • Level of consciousness • Dysmorphic features • Surgical scars • Neck edema • Work of breathing/distress (cyanosis, nasal flaring, use accessory muscles and retractions) • Drooling saliva
  • 11.
    General examination: • peripherallymphadenopathy • Clubbing • Hydration Specific examination: • Dyspnea cough • Stridor
  • 13.
    Stridor • High pitched, often harsh noise produce by airway turbulence through partial obstruction of the upper airway. • Commonly in inspiration
  • 15.
    Supraglottic and subglotticobstruction Features Supraglottic obstruction Subglottic Obstruction  Common causes  Stridor  Voice  Dysphagia  Barking cough  Fever  Trismus  Drooling  Arching Posture Epiglottitis ,Peritonsillar and Retropharyngeal abscess . Quit Muffled Yes No High Grade Yes Yes Yes Croup , angioedema ,foreign body , Tracheitis . Loud Hoarse No Yes Low Grade No No No
  • 16.
    Basic management ofacute upper airways obstruction • Do not examine the throat! • Reduce anxiety by being calm, confident • Observe carefully for signs of hypoxia or deterioration. • If severe, administer nebulised epinephrine (adrenaline) and contact an anaesthetist. • If respiratory failure develops from increasing airways obstruction, exhaustion or secretions blocking the airway, urgent tracheal intubation is required.
  • 17.
    Bacterial trachietis • invasiveexudative bacterial infection of the soft tissues of the trachea • Diffuse inflammatory process(larynx, pharynx,Trachea) • Result in production of (Thick Excaudate ,ulcerative of mucous membrane) . • Result in Airway obstucction • Age : (6month -14years) • Organisms : S.Aureus , S.pyogense , Moraxella ,H.influenza
  • 18.
    Clinical Manifestation • similarto severe viral croup. • High grade Fever • toxic appearance • barking cough • stridor ,tachypnea • Hoarseness of voice • sore throat, • Dysphonia
  • 19.
    •What are thedifferences btw croup and Bacterial tracheitis ??
  • 21.
    Diagnosis Laryngoscopy laryngotracheal inflammationand mucopurulent secretions. bacterial culture and Gram stain of tracheal secretions Imaging Studies :not essential.  subglottic narrowing on anteroposterior (AP) views - Steeple sign,  clouding of tracheal air column or irregular tracheal margin on lateral view
  • 23.
    Management • Airway • Maintenanceof an adequate airway is of primary importance. • Avoid agitating the child. If the patient's respiratory status deteriorates, it is usually because of movement of the membrane, and bag-valve-mask ventilation should be effective. • Artificial airway use an endotracheal tube 0.5-1 size smaller than expected • Supplemental oxygen
  • 24.
    Medication • Once theairway is stabilized, obtain intravenous access for initiation of antibiotics. • Antibiotic regimens included a third-generation cephalosporin, clindamycin against community acquired– methicillin-resistant S aureus (CA-MRSA) • Vancomycin (45 mg/kg/d IV, divided every 8 h), with or without clindamycin, should be started in patients who appear toxic or have multiorgan involvement or if MRSA is prevalent in the community.
  • 25.
    Case • 5-year-old girldeveloped a severe sore throat, drooling of saliva, a high fever and increasing difficulty breathing over 8 h Epiglottitis was diagnosed and her airway was guaranteed with a nasotracheal tube. Antibiotics were started immediately She made a full recovery.
  • 26.
    Epiglottitis Epiglottis • Inflammation ofstructure above glottis • has significant morbidity and mortality • most common in children aged 1–6 years Organisms • S. pneumoniae , S. aureus • H.infleuna • Moraxella catarrhalis , H. parainfluenzae • N. meningitidis , Pseudomonas species • Candida albicans, • Klebsiella pneumoniae • Pasteurella multocida
  • 27.
     Fever isusually the first symptom.  rapidly followed by stridor and labored breathing  Dysphagia, refusal to eat  hoarse voice  sore throat  Cough and ear pain are less frequent
  • 28.
    Drooling of salivadue to inability and pain on swallowing Dyspnea – Shortness of breath or difficulty in breathing Dysphonia – Hoarseness of voice Dysphagia – Difficulty in swallowing
  • 29.
    Physical Examination • childappears toxic; shock , restlessness, irritability • tripod or sniffing position • Stridor • tender adenopathy • erythematous and classic swollen, cherry red epiglottis
  • 32.
    Management • Securing theairway (endotracheal intubation) • Rarely, this is impossible and urgent tracheostomy is life- saving. • Never place a child in a supine position. • Oxygen supplement. • Taken blood for culture.
  • 33.
    Medication • use antibioticsfor the most likely organisms • After trauma : Staphylococcus aureus • presence of white patches: Candida albicans • Some antibiotic like: Ceftriaxone , Cefotaxime , Cefuroxime ,Clindamycin • Rifampin is used for chemoprophylaxis in Hib infections.
  • 34.
    Features Croup Epiglottitis Onset PrecedingCoryza Cough Able to drink Drooling saliva Appearance Fever Stridor Over days Yes Sever, Barking Yes No Unwell Less than 38.5 Harsh, rasping Over hours No Abscent ,slight No Yes Toxic, very ill More than 38.5 Soft,
  • 35.
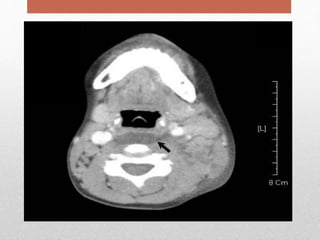
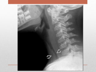
    Case 3 : •2 years old child presented to the emergency department with a one-week history of URI symptoms and a one-day history of more severe throat pain and swelling. • Upon physical examination the patient was febrile and although she did not demonstrate any signs of respiratory distress, examination of her neck revealed fullness on the right. • A lateral plain film of the neck showed soft tissue swelling anterior to the vertebral bodies
  • 36.
    Retropharyngeal abscess • adeep neck infection filling the potential space between the prevertebral fascia of the cervical vertebrae and the posterior wall of the pharynx.
  • 37.
    pathophysiology  Infectioncan spread from a contiguous area  The space can be directly inoculated from penetrating trauma Common organism group A -hemolytic streptococcus, S. aureus, viridans streptococci, S. epidermis E. coli, H. infl uenzae, Neisseria, Klebsiella, Salmonella, Presentation • fever, chills, malaise, decreased appetite, and irritability • a sore throat, difficulty in swallowing, pain on swallowing (odynophagia), jaw stiffness (trismus), or neck stiffness . • a muffled voice, the sensation of a lump in the throat, or pain in the back and shoulders upon swallowing. • fever (70%) and neck pain (62%) Examination  Febrile, toxic and irritable.  Tender cervical lymphadenopathy, usually unilateral  decreased or painful range of motion of their necks or jaws.
  • 38.
    Diagnosis • The laboratoryevaluation is non-specifi with leukocytosis. • contents of the abscess should be cultured • Computed tomography (CT) is the imaging modality of choice for retropharyngeal abscess. • lateral neck radiograph may show an increase in width of the soft tissues anterior to the vertebrae.
  • 41.
    Management assessment of thepatency of the airway and adequacy of oxygenation and ventilation must be performed. endotracheal intubation presence of a large abscess requires drainage, Eradication of the bacterial organism (nafcillin and cefuroxime or ceftriaxone or cefotaxime )
  • 42.
    Case • previously healthy24-month old male infant was initially presented to the family pediatrician for a recurring fever over a period of two weeks • physical examination(alert and vitals were normal except for a temperature of 38 °C and tachypnea . • CBC : leukocytosis of 24 × 109/L and CRP was 457.15 nmol/L, suggesting a bacterial etiology • empirical antibiotic were prescribed.
  • 43.
    • visit 3days later :symptoms had not subsided. temperature was even higher than before 40 °C • auscultation revealed markedly diminished breath sounds over the right lung. • At that time, the most probable differential diagnosis was pneumonia due to a resistant bacterial pathogen .
  • 44.
    • eventually themother recall an event, one day after the initial presentation to the family pediatrician, boy was eating peanuts and suddenly developed a major coughing episode. But since the coughing finally subsided, the mother did not ascribe any relevancy to it
  • 45.
     Potentially life-threateningevent  Suspected on the basis of a choking episode  Common: 6 months-5years Location: • laryngotracheal : Acute respiratory distress Stridor & hoarseness  Increased respiratory effort or complete airway obstruction • Lower airway : Little acute distress after the initial choking episode
  • 47.
    Site of Foreignbody Right lung – 60 % Left lung – 23 Trachea/carina – 13 % Larynx – 3 % Bilateral – 2 %
  • 48.
    Presentation classic triad (ie,coughing, wheezing, decreased breathing sounds) 40% fever,  hemoptysis, dyspnea, and chest pain Mimic( croup, pneumonia, bronchiolitis, or asthma.)
  • 49.
    • the initialstage :history of a choking episode, followed by violent paroxysms of coughing, gagging,and occasionally complete airway obstruction . • An asymptomatic • interval generally follows the aspiration, during which the foreign body becomes lodged, the refl exes become fatigued, and the immediate irritating symptoms subside. • 3 stage • caused by the foreign body, such as obstruction, erosion, • or infection. Chronic cough, hemoptysis, pneumonia, lung • abscess, unexplained fever, and malaise are common presentations • of chronic airway foreign bodies
  • 50.
    Physical Examination • maybe asymptomatic. • stridor, • localized wheeze, • diminished breath sounds. • Cyanosis (Severe case)
  • 51.
    Investigations Arterial blood gas Bronchioscopy: ( diagnostic & therapeutic) Radiographic : only 6% to 17% of aspirated foreign bodies are radiopaque
  • 52.
    Management Initial :adequate oxygenationand ventilation. Incomplete obstruction : bronchoscopy complete airway obstruction : dislodgement • back blows and chest compressions in infants, • the Heimlich maneuver in older children,
  • 53.
    back blows andchest compressions • Give 5 back blows. First, deliver five back blows between the person's shoulder blades with the heel of your hand. • Give 5 abdominal thrusts. Perform five abdominal thrusts (also known as the Heimlich maneuver). • Alternate between 5 blows and 5 thrusts until the blockage is dislodged.
  • 54.
  • 56.
     None ofthese should be applied if patient is able to speak or cough  Finger sweep / grasp Should be done only if object is visible and will not be wedged deeper
  • 58.

Editor's Notes

  • #7 choanal atresia: congenital disorder where the back of nasal passage (choana) is blocked usually by abnormal bony or soft tissue due to failed recanalization of nasal fossa during fetal development The most common presenting symptom is loud, raspy, noisy breathing. The caretaker may interpret this symptom as wheezing or even as a severe upper respiratory tract infection.   a history of color change, cyanosis, respiratory effort, and apnea should be elicited to determine the severity of stridor
  • #9 How long has the stridor been present? In a well baby stridor that comes and goes and has been present from birth is usually due to laryngomalacia (floppy larynx), which usually improves with time. Persistent fixed stridor may be due to a vascular ring or, more rarely, vocal cord palsy, or severe micrognathia (e.g. Pierre Robin sequence) Does the child look acutely ill? The commonest cause of stridor is croup—it is often worse at night and associated with a barking cough and preceding coryzal symptoms. Always consider epiglottitis, which presents more quickly in a very ill child who cannot swallow or speak In any child with sudden onset of stridor, ask about choking as an inhaled foreign body must always be considered Is there any history of allergy that would suggest anaphylaxis?
  • #10 A perinatal history is especially important and should include direct questioning regarding maternal condylomata, type of delivery (including shoulder dystocia), endotracheal intubation use and duration, and presence of congenital anomalies  A feeding and growth history should be evaluated because significant airway obstruction can lead to caloric waste, resulting in lack of weight gain and growth
  • #14 Inspiratory stridor suggests a laryngeal obstruction Expiratory stridor implies tracheobronchial obstruction Biphasic stridor suggests a subglottic or glottic anomaly
  • #15 It is usually heard on inspiration due to partial obstruction of the airway (usually extrathoracic - that is, in the trachea, larynx or pharynx).Stridor can occur on expiration in severe upper airway obstruction but usually indicates tracheal or bronchial obstruction (intrathoracic).Biphasic stridor suggests subglottic or glottic obstruction
  • #19 No drooling No specific position of comfort (The patient may lie supine.) worsening respiratory distress due to airway obstruction from a purulent membrane that has loosened
  • #22 Direct visualization of the airway is the most definitive way to diagnose bacterial tracheitis. Bronchoscopy is also helpful for the exclusion of other diagnoses such as epiglottitis. The typical bronchoscopic findings of bacterial tracheitis include subglottic narrowing, diffuse erythema and mucopurulent exudates that may partially occlude the airway. Exudates may also be seen extending into the right and/or left main bronchi. Importantly, the epiglottis usually appears normal or only slightly inflamed.
  • #24 If intubation is required, use an endotracheal tube 0.5-1 size smaller than expected in order to minimize trauma in the inflamed subglottic area. Frequent suctioning and high air humidity is necessary to maintain endotracheal tube patency; therefore, use the most appropriate-sized tube (without causing trauma). Most patients (57-100%) require eventual intubation  Maintenance of the airway is the mainstay of treatment of bacterial tracheitis. Initial airway management is based upon the degree of respiratory distress as determined by clinical assessment. In children with signs of severe airway obstruction or impending respiratory failure (ie, hypoxia, marked retractions, poor air entry, fatigue, listlessness, or depressed level of consciousness) airway control precedes diagnostic evaluation. Patients with signs of severe upper airway obstruction should be transported to the operating room, if time allows, where an artificial airway can be established, surgically if necessary 4he majority of children with bacterial tracheitis require endotracheal intubation for airway obstruction related to purulent secretions [3,5,7,8]. In a systematic review of 300 cases, intubation was performed in approximately 72 percent [9]. Tracheostomy usually is not necessary during initial management but may be necessary for residual subglottic stenosis
  • #25 Start with broad spetrum antibioticc until culture is obtained
  • #27 influenzae type b (Hib) vaccination, H influenzae caused almost all pediatric cases of epiglottitis. Diseases/Conditions, Jul 30, 2013 Epiglottitis is the infection and inflammation of the epiglottis. Although initial symptoms are mild, the disease can worsen rapidly and if left untreated may be life-threatening.
  • #28 If the cause of epiglottitis is not infectious, the presentation may vary. A child presenting with upper airway respiratory distress without an obvious source or fever should be questioned regarding the possibility of ingestion of a toxic or hot liquid, or a traumatic event such as falling on an object with an open mouth or swallowing or having a foreign body removed
  • #30 The child may sit with his or her chin hyperextended and body leaning forward (ie, tripod or sniffing position) to maximize air entry and improve diaphragmatic excursion The mouth may be open wide and the tongue may protrude; an affected child often drools, because swallowing is difficult or painful. arly on, the child may have stridulous respirations, but as the disease progresses, airway sounds may diminish An erythematous and classic swollen, cherry red epiglottis can often be seen during careful examination of the oropharynx, although this examination should not be attempted if it may compromise respiratory effort. Attempts to lie the child down or examine the throat with a spatula or perform a lateral neck X-ray must not be undertaken as they can precipitate total airway obstruction and death.
  • #33 Only after the airway is secured should blood be taken for culture and intravenous antibiotics such as cefuroxime started. The tracheal tube can usually be removed after 24 h and antibiotics given for 3–5 days. With appropriate treatment, most children recover completely within 2–3 days. As with other serious H. influenzae infections, prophylaxis with rifampicin is offered to close household contacts.
  • #34 Antibiotic therapy is necessary in the management of epiglottitis but should be initiated after the airway is secured. Before obtaining culture results, use antibiotics for the most likely organisms.
  • #38 1- drainage to the retropharyngeal nodes from nasopharyngeal infections. The resulting lymphadenitis can lead to a cellulitis, which can then suppurate and become an abscess Sources of infection can include pharyngitis, tonsillitis, adenoiditis, adenitis, otitis, sinusitis, and other infections (ie, nasal, salivary, dental). Degeneration or suppuration of these nodes leads to abscess formation. Infectious sources (eg, osteomyelitis of the spine) also can spread directly anteriorly from the prevertebral space. Penetrating trauma can also be involved in retropharyngeal space infection. Accidental lacerations are not uncommon in children who run and fall down after they have placed a sharp object in their mouths. Foreign bodies (for example, fishbones) have been implicated in penetrating trauma to the retropharyngeal space. Iatrogenic causes of inoculation to this space include instrumentation with laryngoscopy, endotracheal intubation, surgery, endoscopy, feeding tube placement, and dental injections and procedures. A “tracheal rock sign” occurs when pain is elicited while gently moving the larynx and trachea from side to side
  • #39 Branchial cleft cyst Thyroglossal duct cyst Retropharyngeal thyroid tissue Retropharyngeal tumor Aneurysm Airway Foreign Body Imaging Catscratch Disease Cystic Hygroma Kawasaki Disease Lymphadenopathy Lymphoproliferative Disorders Pediatric Epiglottitis Pediatric Tuberculosis Hematoma Tendonitis of longus colli muscle Superficial abscess Ludwig angina Other deep neck space infections Epstein-Barr virus infection
  • #42 As with any infection that can compromise the airway, a thorough assessment of the patency of the airway and adequacy of oxygenation and ventilation must be performed. Less than a third of infants will require endotracheal intubation. Eradication of the bacterial organism may be accomplished by using antibiotics effective against the more common organisms.86,93 This may be accomplished with nafcillin and cefuroxime or ceftriaxone or cefotaxime. Clindamycin may be added for anaerobic coverage. Other agents include piperacillin/tazobactam, ampicillin/sulbactam, and ticarcillin/clavulanate. Patients allergic to penicillin may require chloramphenicol and clindamycin. Intravenous hydration should be initiated and the child hospitalized in a pediatric ICU setting. Treatment without surgical drainage can be successful in a select group of infants.76 Failure of medical management or the presence of a large abscess requires drainage, and the intraoral route is preferred.77
  • #46  potentially life-threatening event, because it can block respiration by obstructing the airway, thereby impairing oxygenation and ventilation play, oral curiosity, or normal daily activities, infants are likely to place foreign bodies just about anywhere. In addition, the lack of fully developed dentition and oral protective refl exes places the infant at increased risk for the object to lodge in the respiratory tree. Aspirated foreign bodies can be found in any segment of the respiratory tree. The size and shape of the object and the forcefulness of inspiration determine where in the airway a foreign body lodges. Most are in the mainstem bronchi or distal trachea near the carina, though smaller objects can   lodge more peripherally. The most serious sequela of foreign body airway aspiration is complete obstruction of the airway. In such cases, the foreign body becomes lodged in the larynx or trachea, leaving little room peripherally for air exchange. If the object lodges in the glottis and stimulates spasm, the infant may die before aid is available. Fortunately, the foreign body more often passes into the bronchi, resulting in unilateral obstructive emphysema.
  • #48 The right main bronchus is wider, shorter, and more vertical than the left main bronchus.[2]It enters the right lung at approximately the fifth thoracic vertebra.
  • #50 This stage is the most treacherous and accounts for a large percentage of delayed diagnoses or overlooked foreign bodies
  • #52 low-dose multidetector computed tomography (MDCT) and virtual bronchoscopy has been shown to be accurate in detecting suspected foreign body aspiration
  • #55 If the person is sitting or standing, position yourself behind the person and reach your arms around his or her waist. For a child, you may have to kneel.Place your fist, thumb side in, just above the person's navel (belly button).Grasp the fist tightly with your other hand.Make quick, upward and inward thrusts with your fist.If the person is lying on his or her back, straddle the person facing the head. Push your grasped fist upward and inward in a movement similar to the one above