AMNIOTIC FLUID
By: Ola S. Eldardiry
Introduction
Embryology
Embryology
Volume
• About 500 ml enter and
leave the amniotic sac each
hour.
• Gradual  up to 36 wks to
around 600-1000 ml then 
after that.
• Normal range is wide but
approx. volumes are:
 50 ml 12 wks
 400 ml 20 wks
 800 ml 34 wks
 1000 ml 36-38 wks
 At full term, there is
between 600-800 cc of AF
Circulation and Constituents
• Origin: Maternal + Foetal
a) Simple transudation from maternal
blood into placental sinuses
b) Active secretion by chorion and
amnion
c) Foetal urine  at full term
d) Foetal skin  solid particles (vernix
caseosa) + cellular component
e) Excretions from respiratory tract
f) Alimentary canal: by swallowing
and absorption (as early as 20
wks)
Composition
 Composition + volume changes as pregnancy advances
 In the 1st ½ of pregnancy, fluid is same as ECF of foetus, devoid of
particulate matter
o Produced by amniotic membranes
o Fluid also passes across foetal skin
 By the 4th month, the foetus contributes to AF via:
o urinating
o swallowing
o movement of fluid in and out of the respiratory tract
o Foetal urination will eventually comprise the majority of AF
 Foetal kidneys start to develop during 4th and 5th wks of gestation and begin
to excrete urine into AF at the 11th-13th wk
 At the 20th wk fetal kidneys produce most of AF
 Foetal urine is hypotonic (c/w plasma) because of lower electrolyte
concentration
 Contains more urea, creatinine and uric acid
 Osmolality  with  gestational age
• An important function of foetal kidney  maintain a urine output sufficient to
maintain AF volume
• Daily urine production is approx. 30% of foetal weight
• The excreted urine does not serve real excretory or homeostatic function
because the urine, via the AF, is recycled back to the foetus by swallowing
(25% of foetal weight)
Function
 Allows movement of developing foetus in womb  allow
proper bone growth
 Proper development of lungs
 Maintaining relative constant temp. around baby + protection
from heat loss
 Act as cushion  protect baby from outside injury or trauma
Assessment
SDVPAFI
SDVP
 Measurement of deepest, cord-free, devoid of foetal parts,
vertical pocket
 Normal range: 2–8 cm
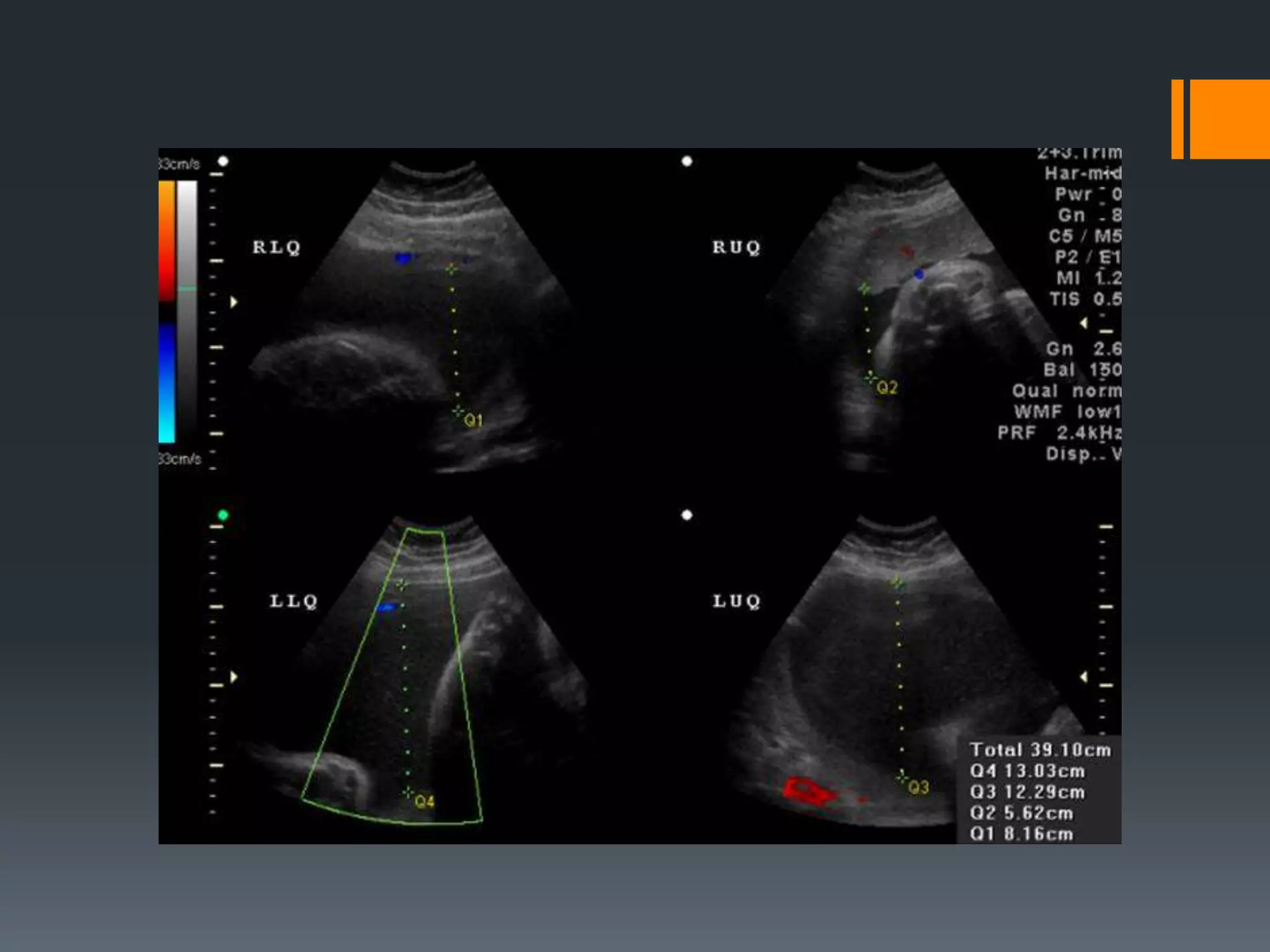
AFI
• Volume of AF is evaluated by visually dividing the
mother's abdomen into 4 quadrants
• The largest vertical pocket of fluid in each
quadrant is measured in cm
• Cord containing pocket < 30%
• Total volume is calculated by adding these values
• < 5 oligohydramnios
o AFI < 5.0 cm had a sensitivity of 18% for the detection of
oligohydramnios
• 6-8 borderline AFI
• 8-24 normal
• > 24 polyhydramnios
Amniotic fluid
Amniotic fluid

Amniotic fluid

  • 1.
  • 2.
  • 3.
  • 4.
  • 5.
    Volume • About 500ml enter and leave the amniotic sac each hour. • Gradual  up to 36 wks to around 600-1000 ml then  after that. • Normal range is wide but approx. volumes are:  50 ml 12 wks  400 ml 20 wks  800 ml 34 wks  1000 ml 36-38 wks  At full term, there is between 600-800 cc of AF
  • 6.
    Circulation and Constituents •Origin: Maternal + Foetal a) Simple transudation from maternal blood into placental sinuses b) Active secretion by chorion and amnion c) Foetal urine  at full term d) Foetal skin  solid particles (vernix caseosa) + cellular component e) Excretions from respiratory tract f) Alimentary canal: by swallowing and absorption (as early as 20 wks)
  • 8.
    Composition  Composition +volume changes as pregnancy advances  In the 1st ½ of pregnancy, fluid is same as ECF of foetus, devoid of particulate matter o Produced by amniotic membranes o Fluid also passes across foetal skin  By the 4th month, the foetus contributes to AF via: o urinating o swallowing o movement of fluid in and out of the respiratory tract o Foetal urination will eventually comprise the majority of AF  Foetal kidneys start to develop during 4th and 5th wks of gestation and begin to excrete urine into AF at the 11th-13th wk  At the 20th wk fetal kidneys produce most of AF  Foetal urine is hypotonic (c/w plasma) because of lower electrolyte concentration  Contains more urea, creatinine and uric acid  Osmolality  with  gestational age
  • 9.
    • An importantfunction of foetal kidney  maintain a urine output sufficient to maintain AF volume • Daily urine production is approx. 30% of foetal weight • The excreted urine does not serve real excretory or homeostatic function because the urine, via the AF, is recycled back to the foetus by swallowing (25% of foetal weight)
  • 10.
    Function  Allows movementof developing foetus in womb  allow proper bone growth  Proper development of lungs  Maintaining relative constant temp. around baby + protection from heat loss  Act as cushion  protect baby from outside injury or trauma
  • 11.
  • 12.
    SDVP  Measurement ofdeepest, cord-free, devoid of foetal parts, vertical pocket  Normal range: 2–8 cm
  • 13.
    AFI • Volume ofAF is evaluated by visually dividing the mother's abdomen into 4 quadrants • The largest vertical pocket of fluid in each quadrant is measured in cm • Cord containing pocket < 30% • Total volume is calculated by adding these values • < 5 oligohydramnios o AFI < 5.0 cm had a sensitivity of 18% for the detection of oligohydramnios • 6-8 borderline AFI • 8-24 normal • > 24 polyhydramnios