Alcoholic Hepatitis
Alcoholic Liver Disease
1. Hepatic Steatosis ( Fatty Liver Disease )
2. Alcoholic Hepatitis
3. Cirrhosis
Hepatic Steatosis
• Moderate intake -Microvesicular lipid droplets.
• Chronic intake – Macrovesicular globules
• Initially cenrilobular.
• Macroscopy –
• Large (4-6kg), soft, yellow & greasy.
• Little or no fibrosis at onset.
• Continued intake – around central veins.
• Completely reversible.
Hepatic Steatosis
Alcoholic Hepatitis
1. Hepatocyte swelling & necrosis
2. Mallory Bodies
3. Neutrophil infiltration
4. Fibrosis
Mallory Bodies
• Tangled skeins of cytokeratin intermediate filaments
(cytokeratin 8 & 18…) & other proteins ( ubiquitin..).
• Eosinophilic cytoplasmic inclusions.
• Primary biliary cirrhosis, Wilson disease, chronic cholestatic
syndromes & hepatocellular tumors.
Mallory bodies
1 .High-power view of hepatic macrosteatosis and microsteatosis. The small intracellular fat
vacuoles give the hepatocytes a foamy appearance. Note megamitochondria (arrowhead)
(hematoxylin-eosin).
2. High-power view of hepatocytes containing Mallory bodies. The chemotaxis of the denatured
cytokeratin filaments attracts neutrophils (hematoxylin-eosin).
3. Immunoperoxidase reactivity of Mallory bodies with antibody to low–molecular weight
cytokeratin.
4. Immunoperoxidase reactivity of Mallory bodies with antibody to ubiquitin.
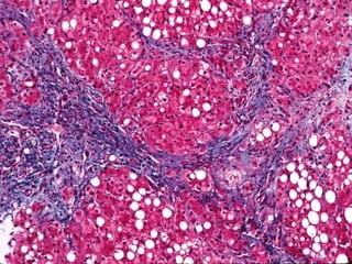
Fibrosis
• Brisk sinusoidal & perivenular fibrosis.
• “Creeping collagenosis”
• Periportal fibrosis – repeated bouts of heavy alcohol intake.
• Cholestasis, iron deposits.
• Macroscopic – liver mottled red with bile stained areas.
Alcoholic Hepatitis
Alcoholic Steato -hepatitis
Alcoholic Cirrhosis
• First – yellow tan, fatty, enlarged, over 2kg.
• Brown shrunken non fatty organ.
• Initial- fibrous septa delicate, extend through sinusoids from
C.V to portal regions as well as from portal tract to portal tract.
• Micronodules - < 3cm
• Regenerative activity of entrapped parenchymal hepatocytes.
• Scattered larger nodules – “Hobnail Appearance”.
• More fibrotic, loses fat, shrinks progressively.
• Last - Mixed micronodular & macronodular pattern.
• Pale scar tissue – ischemic necrosis, fibrous obliteration of
nodules → Laennec cirrhosis.
• Bile stasis often.
• Mallory bodies rare
Alcoholic Cirrhosis
PATHOGENESIS
• 50-60g/day
• Women > men
• Alcohol pharmacokinetics
• Estrogen dependent liver response to gut endotoxin.
• Genetic
• Co morbid conditions – iron overload, infections.
Hepatocellular steatosis
1. Shunting of normal substrates away from catabolism and
toward lipid biosynthesis
• Excess NADH
2. Impaired assembly & secretion of lipoproteins
3. Increased peripheral catabolism of fat.
Alcoholic Hepatitis
1. Acetaldehyde → lipid peroxidation
→ acetaldeyhde-protein adduct formation
• Disrupts cytoskeletal & membrane function
2. Directly affects microtubular organisation, mitochondrial
function & membrane fluidity.
3. ROS – by Microsomal ethanol oxidising system & neutrophils
4. Alcohol induced impaired hepatic metabolism of methionine
→ ↓ed glutathione levels.
5. Hypoxia.
• Induction of cytochrome P- 450 → transformation of other
drugs to toxic metabolites.
• Abnormal cyokine regulation.
• TNF – main effector of injury.
• Stimuli for producing cytokines ( IL-6, IL-8, IL-18, TNF) –
• ROS & Endotoxins.
• Also alcohol stimulate release of endothelins – decreased
hepatic sinusoidal perfusion.
• Centilobular region
CLINICAL FEATURES
• Hepatic Steatosis -
• Hepatomegaly
• Elevation of serum biluribin & ALP.
• Alcoholic Hepatitis –
• Malaise, anorexia, tender hepatomegaly,fever
• lab findings of hyperbilirubinemia, elevated ALP, neutrophilic
leukocytosis.
• Serum AST & ALT elevated, below 500U/ml.
• Acute cholestatic syndrome
Alcoholic cirrhosis
• Distended abdomen, ascites, wasted extremities, caput
medusa.
• Variceal hemorrhage or hepatic encephalopathy.
• c/c alcoholics - malnutrition
Alcoholic hepatitis

Alcoholic hepatitis

  • 1.
  • 2.
    Alcoholic Liver Disease 1.Hepatic Steatosis ( Fatty Liver Disease ) 2. Alcoholic Hepatitis 3. Cirrhosis
  • 4.
    Hepatic Steatosis • Moderateintake -Microvesicular lipid droplets. • Chronic intake – Macrovesicular globules • Initially cenrilobular. • Macroscopy – • Large (4-6kg), soft, yellow & greasy. • Little or no fibrosis at onset. • Continued intake – around central veins. • Completely reversible.
  • 5.
  • 6.
    Alcoholic Hepatitis 1. Hepatocyteswelling & necrosis 2. Mallory Bodies 3. Neutrophil infiltration 4. Fibrosis
  • 7.
    Mallory Bodies • Tangledskeins of cytokeratin intermediate filaments (cytokeratin 8 & 18…) & other proteins ( ubiquitin..). • Eosinophilic cytoplasmic inclusions. • Primary biliary cirrhosis, Wilson disease, chronic cholestatic syndromes & hepatocellular tumors.
  • 8.
  • 9.
    1 .High-power viewof hepatic macrosteatosis and microsteatosis. The small intracellular fat vacuoles give the hepatocytes a foamy appearance. Note megamitochondria (arrowhead) (hematoxylin-eosin). 2. High-power view of hepatocytes containing Mallory bodies. The chemotaxis of the denatured cytokeratin filaments attracts neutrophils (hematoxylin-eosin). 3. Immunoperoxidase reactivity of Mallory bodies with antibody to low–molecular weight cytokeratin. 4. Immunoperoxidase reactivity of Mallory bodies with antibody to ubiquitin.
  • 10.
    Fibrosis • Brisk sinusoidal& perivenular fibrosis. • “Creeping collagenosis” • Periportal fibrosis – repeated bouts of heavy alcohol intake. • Cholestasis, iron deposits. • Macroscopic – liver mottled red with bile stained areas.
  • 11.
  • 12.
  • 14.
    Alcoholic Cirrhosis • First– yellow tan, fatty, enlarged, over 2kg. • Brown shrunken non fatty organ. • Initial- fibrous septa delicate, extend through sinusoids from C.V to portal regions as well as from portal tract to portal tract. • Micronodules - < 3cm • Regenerative activity of entrapped parenchymal hepatocytes.
  • 15.
    • Scattered largernodules – “Hobnail Appearance”. • More fibrotic, loses fat, shrinks progressively. • Last - Mixed micronodular & macronodular pattern. • Pale scar tissue – ischemic necrosis, fibrous obliteration of nodules → Laennec cirrhosis. • Bile stasis often. • Mallory bodies rare
  • 19.
  • 20.
    PATHOGENESIS • 50-60g/day • Women> men • Alcohol pharmacokinetics • Estrogen dependent liver response to gut endotoxin. • Genetic • Co morbid conditions – iron overload, infections.
  • 21.
    Hepatocellular steatosis 1. Shuntingof normal substrates away from catabolism and toward lipid biosynthesis • Excess NADH 2. Impaired assembly & secretion of lipoproteins 3. Increased peripheral catabolism of fat.
  • 22.
    Alcoholic Hepatitis 1. Acetaldehyde→ lipid peroxidation → acetaldeyhde-protein adduct formation • Disrupts cytoskeletal & membrane function 2. Directly affects microtubular organisation, mitochondrial function & membrane fluidity. 3. ROS – by Microsomal ethanol oxidising system & neutrophils 4. Alcohol induced impaired hepatic metabolism of methionine → ↓ed glutathione levels. 5. Hypoxia.
  • 23.
    • Induction ofcytochrome P- 450 → transformation of other drugs to toxic metabolites. • Abnormal cyokine regulation. • TNF – main effector of injury. • Stimuli for producing cytokines ( IL-6, IL-8, IL-18, TNF) – • ROS & Endotoxins. • Also alcohol stimulate release of endothelins – decreased hepatic sinusoidal perfusion. • Centilobular region
  • 26.
    CLINICAL FEATURES • HepaticSteatosis - • Hepatomegaly • Elevation of serum biluribin & ALP. • Alcoholic Hepatitis – • Malaise, anorexia, tender hepatomegaly,fever • lab findings of hyperbilirubinemia, elevated ALP, neutrophilic leukocytosis. • Serum AST & ALT elevated, below 500U/ml. • Acute cholestatic syndrome
  • 27.
    Alcoholic cirrhosis • Distendedabdomen, ascites, wasted extremities, caput medusa. • Variceal hemorrhage or hepatic encephalopathy. • c/c alcoholics - malnutrition