MODERATOR: DR. KANCHAN
DHUNGEL
PRESENTER: DR ABHISHEK
• ANATOMY
• CONGENITAL TRACHEO-BRONCHIAL ANOMALY
• BRONCHIECTASIS
• EMPHYSEMA
• BRONCHIAL ASTHMA
• CHRONIC BRONCHITIS
• BRONCHIOLITIS
• COLLAPSE OF LUNG
STRUCTURAL ANATOMY
STRUCTURAL ANATOMY
 The right main bronchus is wider, shorter, and more
vertical than the left main bronchus
STRUCTURAL ANATOMY
 Trachea - cartilaginous and fibro-muscular conduit for
ventilation and bronchial secretions.
 Extends from C6 (cricoid cartilage) to carina
Carina - T4-T5
 In adults, its length ~ 11-13 cm with 2-4 cm being extra-thoracic.
However , length is dynamic.
 The trachea has 16 to 22 horseshoe bands of cartilage that
compose anterior and lateral walls of trachea. The posterior
tracheal wall lacks cartilage.
Coronal diameter:
Men 13 to 25 mm
Women 10 to 21 mm.
Sagittal diameter:
Men 13 to 27 mm
Women 10 to 23 mm
• Tracheal index : calculated by dividing coronal diameter by
the sagittal diameter .
Normal value is ~ 1.
 Posterior wall appears thinner and gives a variable
contour to shape of trachea due to lack of cartilage.
 It may appear flat, convex or slightly concave
depending on level of inspiration
 Posterior wall of trachea either flattens or bows
slightly forward during expiration.
 In normal subjects there is up to a 35% reduction in AP
tracheal lumen in forced expiration, whereas
transverse diameter decreases only by 13%
Axial computed tomography image shows the normal rounded configuration of the
trachea at the end of inspiration. Note the normal anterior bowing of the posterior
membranous wall of the trachea at the end of expiration
Congenital Tracheo-bronchial anomaly
 Bronchus suis
 Refers to rare congenital anomaly, whereby right
upper lobe bronchus originates directly from trachea
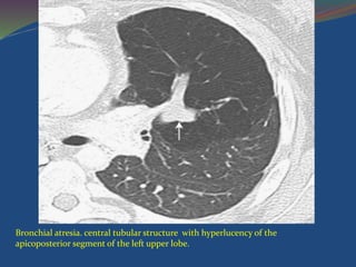
Bronchial Atresia
Developmental disorder, resulting in a segmental
or sub-segmental bronchus becoming entirely
detached from main airway.
Distal airway will continue to produce mucus while
there is no clearance from airway, leading to impaction
of mucus seen as “finger-in-glove” sign on CT
 Most commonly in apicoposterior
segmental bronchus of the left upper lobe.
 CT - central, mass like opacity with a tubular
configuration.
 Distal segmental branches are dilated and
contain secretions. The peripheral lung is
hyperexpanded, with decreased attenuation
and reduced vasculature.
Bronchial atresia. central tubular structure with hyperlucency of the
apicoposterior segment of the left upper lobe.
Tracheo-esophageal fistula
 Congenital malformation results from a failure of the
trachea and oesophagus to divide and grow out
separately during early development of the primitive
foregut.
 Often seen in A/W other congenital anomalies, of
which the VACTERL is most commonly known
Classification (Gross's Anatomical
Classification)
 Type A: Esophageal atresia without tracheoesophageal
fistula.
 Type B: Esophageal atresia with proximal
tracheoesophageal fistula.
 Type C: Esophageal atresia with distal
tracheoesophageal fistula (most common type) (85%).
 Type D: Esophageal atresia with proximal and distal
fistula.
 Type E: Tracheoesophageal fistula without atresia.
(Not shown)
TEF. Oblique barium esophagogram demonstrates a fistula (arrow) arising from the
anterior esophagus and extending anterosuperiorly to the trachea.
Tracheobronchomegaly (Mounier-
kuhn disease)
 Characterized by dilatation of trachea and main
bronchi owing to severe atrophy of longitudinal elastic
fibres and thinning of the muscularis mucosa.
 Affected patients typically present during the third
and fourth decades with recurrent respiratory
infections.
Mounier-Kuhn syndrome. Dilatation of the trachea in association with bronchiectasis
(arrows). There are also multiple paraseptal bullae (curved arrow).
Saber sheath trachea
 Associated with COPD or advanced Age
 Marked coronal narrowing in the presence of accentuation of the
sagittal diameter
 Sagittal:Coronal ratio of greater than 2.
 Chest radiographs may show diffuse narrowing of trachea
on PA view.
CT shows inward bowing of the lateral tracheal wall, which may be
accentuated on the expiratory or dynamic CT, with the classic narrow
“saber sheath” shape.
Saber sheath trachea. Chest radiograph PA view demonstrating diffuse
narrowing of the trachea
CT: inward bowing of the lateral tracheal wall with elongated sagittal dimension
of trachea compared to the coronal plane is consistent with the saber sheath
configuration.
Relapsing Polychondritis
 May be caused by a range of etiologies, including
vasculitis, amyloidosis, infectious processes.
 Cartilaginous part of the airway progressively
destroyed due to an autoimmune process of recurrent
inflammation.
 It results in significant airflow obstruction due to
collapse of the trachea and main bronchi during
expiration
 At expiration, 90% or more patients show
signs of collapse (malacia) with or without air
trapping.
 Calcifications in the airway walls may be seen
in approximately 40% of patients.
.
CT scan: diffuse thickening of tracheal wall with abnormal calcification
and narrowing of the tracheal lumen. (B) CT scan just below level of canna
shows identical abnormalities extending into both main bronchi.
Relapsing polychondritis - characteristic thickening of the anterior cartilaginous
wall of the trachea (arrow). The posterior membranous wall is uninvolved.
Tracheobronchial stenosis
 Defined as focal or diffuse narrowing of the tracheal
lumen and may occur secondary to a wide variety of
benign and malignant causes.
 Iatrogenic
Postintubation
Lung transplantation
 Infection
Laryngotracheal papillomatosis[*]
Rhinoscleroma
Tuberculosis
 Tracheal neoplasm
 Systemic diseases
Amyloidosis
Inflammatory bowel disease
Relapsing polychondritis
Sarcoidosis
Wegener granulomatosis
Subglottic stenosis resulted from
prolonged intubation.
Post-intubation tracheal stenosis. A: Coronal and B: sagittal volume-
rendered reconstructions demonstrate a 3-cm area of narrowing in the
trachea above the thoracic inlet.
Tracheo-bronchial malacia
 Tracheobronchomalacia refers to weakness of the
airway walls and/or supporting cartilage and is
characterized by excessive expiratory collapse
 Tracheobronchomalacia may be either congenital or
acquired
 Risk Factors for Acquired Tracheomalacia
COPD
 Posttraumatic and iatrogenic factors
Postintubation
Posttracheostomy
Radiation therapy
Post lung transplantation
Relapsing polychondritis
Chronic external compression of the trachea
Paratracheal neoplasms
goiter
congenital cyst
 Variable degree of collapse of airway during
expiration
 On CT scans. A “frownlike” tracheal
configuration, due to the marked anterior
bowing of the posterior membranous wall
forming a crescenteric configuration, has
been described as Characteristic of
tracheomalacia
Main imaging finding
End inspiratory and end expiratory axial computed tomography scan shows
excessive collapse of the posterior wall of the trachea in expiration.
Note the extensive changes consistent with emphysema in both lungs.
Tracheal neoplasms
 Uncommon, with 90% being malignant.
 Two major types of tracheal carcinomas
 Squamous cell (55%)
 Adenocystic (18%)..
 Rare hematogenous metastases from melanoma or breast
 Malignant neoplasms :
 CT as an eccentric irregular soft tissue mass within lumen,
most typically arising from posterior and lateral wall
Squamous cell carcinoma of trachea.
 Benign tracheal tumors
Squamous papilloma (young children),
Pleomorphic adenoma
Mesenchymal hamartomathose of cartilaginous origin.
 Well circumscribed/smoothly marginated/< 2 cm in
diameter.
Bronchiectasis
Irreversible localized or diffuse dilatation of
cartilage containing airways or bronchi.
Resulting from
 Chronic infection
 Proximal airway obstruction
 Congenital bronchial abnormality
Causes of Bronchiectasis
 Infection – bacteria, mycobacteria, fungus, virus
 Acquired bronchial obstruction (neoplasm, foreign body,
bronchholith)
 Extrinsic bronchial obstruction (lymph node enlargement, neoplasm)
 Inherited molecular and cellular defects(cystic fibrosis, a1 antitrypsin
deficiency)
 Inherited bronchial structural deficiencies(bronchial
atresia,congenictal tracheobronchomegaly, Williams-campell
syndrome)
 Primary ciliary dyskinesia (Kartagener syndrome)
 Pulmonary fibrosis(results in traction bronchiectasis)
TYPES
 Cylindrical (tubular) uniform mild dilatation
with loss of normal tapering of bronchi
 Varicose greater dilatation with irregular caliber
due to areas of expansion and narrowing.
 Cystic (saccular) marked dilatation with peripheral
ballooning.
 Chest radiographs:
 Tram tracks parallel line opacities
 Ring opacities
 Tubular structures.
 Chest radiographs lack sensitivity for detecting mild or
even moderate disease.
 X ray photo
Multiple ring shadowTramline shadow visuble through heart
 CT is more sensitive.
 Characterized by lack of bronchial tapering
 Bronchi visible in peripheral 1 cm of lungs
 Increased bronchoarterial ratio producing the
so-called signet-ring sign.
Cylindric Bronchiectasis
 Diagnostic criteria bronchial diameter >
accompanying artery (signet ring sign)
 Lack of bronchial tapering.
 Identification of a bronchus within 1 cm of costal
pleura or abutting the mediastinal pleura.
signet ring sign
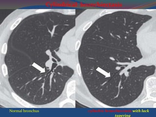
Normal bronchus cylindric bronchiectasis with lack
tapering
Cylindrical bronchiectasis
varicoid bronchiectasis
Varicoid bronchiectasis is characterized by a beaded
appearance, mimicking a “string of pearls” .
Cystic bronchiectasis
Cystic bronchiectasis is characterized by thin-walled cystic
spaces that connect with proximal airways, with or without
Cystic bronchiectasis is characterized by thin-walled cystic
spaces with fluid levels
Atypical mycobacterial infection:Cylindrcal broncheactasis &
centrilobular nodule in middle lobe & lingula
ABPA. Coronal reformation CT image demonstrates
impacted bronchi in the left upper lobe producing a
“gloved finger” appearance.
 Impaction of bronchiectatic airways -tubular opacities
with a Y- or V-shaped configuration, often mimicking a
“gloved finger”
 Impaction of a single bronchus may mimic a
parenchymal mass, but careful inspection typically
reveals a tubular rather than round configuration
 scrolling through a series of axial images
or assessment with MPR can be helpful.
Bronchial impaction. A, Axial CT image shows a tubular structure (arrow) in the
superior segment of the right lower lobe with no visible aerated bronchus. B, Axial CT
image following expectoration of a large mucus plug shows underlying bronchiectasis
EMPHYSEMA
 Chronic condition characterized by progressive irreversible
enlargement of airspaces distal to the terminal bronchiole with
destruction of the alveolar walls and no obvious fibrosis
Types of emphysema
 Centrilobular
 Panlobular
 Paraseptal
 Paracicatricial
respiratory bronchioles and the adjacent alveolar spaces, which are located in the
central
portion of the secondary pulmonary lobule, are progressively enlarged and destroyed.
Lung tissue in the periphery of the lobule is spared initially but may become involved in
the hater stages of the disease.
Panlobular Emphysema
 Also K/as panacinar or diffuse emphysema)
 Affects entire SPL producing diffuse destruction and
enlarged airspaces throughout the lung
 Lower lobe predominance in most cases,
presumably due to the greater blood flow in this
region especially in chronic bronchitis
 alfa -1-antitrypsin deficiency.
Main radiological sign :
 Hyperinflation of lung
 Decrease pulmonary vascularity peripherally
Retrosterrnal air space depth
Heart appears long and narrow
 `Barrel chest'
chest radiographs, postero-anterior and lateral views, show hyperinflation of the lungs
(flattened diaphragm and widened retrosternal space), increased translucency in the upper
lungs with vascular attenuation and distorted arborization
High-resolution computed tomography images through the lung apices and
bases demonstrate lower lobe predominate emphysema
Lower-lung predominance, and vascular attenuation are better shown by the coronal
minimum intensity projection and maximum intensity projection images .
Centriobular Emphysema
 (also called centriacinar or proximal acinar emphysema)
 Selective process characterized by destruction & dilatation of
respiratory bronchioles.
 Emphysematous spaces lie near the center of SPL and the
lung tissue distal to the emphysematous spaces is often
normal . alveolar ducts, sacs and alveoli are spared until a late
stage.
 Upper zones tend to be more severely involved than the
lung bases.
 It is usually found in smokers, frequently in association with
chronic bronchitis.
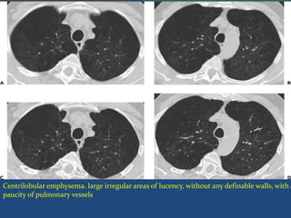
Centrilobular emphysema. large irregular areas of lucency, without any definable walls, with a
paucity of pulmonary vessels
Paraseptal Emphysema
 Also referred to as distal acinar or localized
 Involves the distal portion of the lobule.
 Characteristically adjacent to the visceral pleura and
interlobular septa, within otherwise normal lung
 When these paraseptal cysts exceed 1 cm in size,
with an exceedingly thin wall, they may be termed
bullae.
Paraseptal emphysema. A and B, HRCT show extensive emphysema in
the subpleural regions.
Paracicatrieial Emphysema
 also referred to as irregular or scar emphysema
 Distension and destruction of terminal air spaces adjacent
to fibrotic lesions.
 Causes
Tuberculosis (MC),
silicosis.
 Often associated traction bronchiectasis and honeycomb
lung.
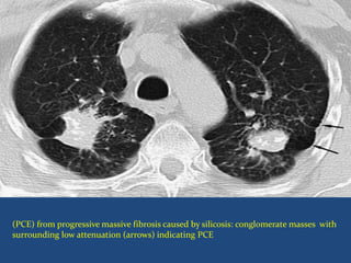
(PCE) from progressive massive fibrosis caused by silicosis: conglomerate masses with
surrounding low attenuation (arrows) indicating PCE
Bulla
 Bullae- usually A/W some form of emphysema
 Common - paraseptal emphysema.
 Their walls may be visible as a smooth, curved,
hairline shadow.
 If the walls are not visible, displacement of vessels
around a radiolucent area may indicate a huIlous area.
‘Both upper zones are occupied by large bullae which are compressing upper
lobes. No evidence of generalised emphysema or air trapping. The level and
shape of the diaphragm are normal
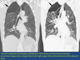
coronal computed tomography multiplanar reformation and maximum intensity
projection images show a large bulla in the right upper lobe with atelectasis of the adjacent
lung
 A giant bulla A bulla that takes up a third or more of
the space in and around the affected lung is called a
giant bulla.
D/D- Loculated Pneumothorax
CT may be necessary to demonstrate the wall of the
bulla or thin strands of lung tissue crossing it.
 Large bullae can compress adjacent more compliant
lung, producing atelectatic pseudomasses
 Predispose to pneumothorax and can reach a very
large size.
Atelectatic pseudomass. Computed tomography demonstrates a right paraspinal
mass (arrow) with central air bronchograms. A very large bulla almost
completely fills the right hemithorax. The mass represented collapsed normal
lung that re-expanded following resection of the bulla.
ASTHMA
 Clinical syndrome result from hyper-reactivity of
larger airways to a variety of stimuli, causing
narrowing of the bronchi, wheezing and often
dyspnoea
 Extrinsic or atopic asthma is usually associated with a
history of allergy and raised plasma IgE.
 Intrinsic or non-atopic asthma may be precipitated by a
variety of factors such as exercise, emotion and
infection.
The role of radiology in Asthma
Normal chest X-ray during remissions.
 During attack the chest X-ray may show:
Signs of hyperinflation with depression of the
diaphragm and expansion of the retrosternal air space.
During an asthmatic attack the lungs are
hyperinflated, the diaphragms being and flattened
During remission the chest normal
 Chest radiographs: to exclude complications and
associations with asthma
 Consolidation
 Atelectasis with mucoid impaction,
 Pneumothorax,
 Pneumomediastinum,
 ABPA.
Role of HRCT
 Characteristic CT findings
 Bronchial dilatation

 Bronchial wall thickening
 Mucoid impaction
 Cylindric bronchiectasis
 Centrilobular bronchiolar abnormalities such as tree-in-bud
 Patchy areas of mosaic perfusion
 Regional areas of air-trapping on expiratory scans
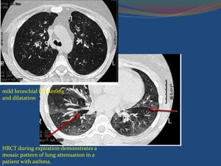
mild bronchial thickening
and dilatation
HRCT during expiration demonstrates a
mosaic pattern of lung attenuation in a
patient with asthma.
Chronic bronchitis
 Traditionally defined when cough and sputum
expectoration occurs on most days for at least 3 months of
the year and for at least 2 consecutive years
 cigarette smoking is responsible for 85% to 90%.
 complications :
 Pulmonary emphysema
 superimposed infection or possibly bronchiectasis.
 cor pulmonale.
Chronic bronchitis Small poorly defined opacities are present throughout both
lungs, producing the 'dirty chest
Bronchiolitis
 Current pathologic classification includes three main
categories of bronchiolitis:
 Cellular bronchiolitis,
 Bronchiolitis obliterans with intraluminal polyps,
 Constrictive (obliterative) bronchiolitis
Causes of Cellular Bronchiolitis
 Poorly defined centrilobular nodules and/or
a combination of linear and nodular
branching opacities (tree-in-bud sign).
 Presence of poorly defined ground-glass
centrilobular nodules
Axial CT image demonstrates diffuse centrilobular nodular and branching
opacities (arrows) with tree-in-bud configuration.
Causes of Constrictive Bronchiolitis
Axial end-inspiratory HRCT scan is normal. B, Axial end-expiratory HRCT image shows
multiple lobular foci of air-trapping . Coronal end-inspiratory (C) and end-expiratory (D)
images provide better appreciation of the extent of air-trapping .
Collapse
 Partial or complete loss of volume of a lung is referred
to as collapse or atlectasis.
Mechanism of collapse
 Relaxation or passive collapse:
When air or increased fluid collected in pleural space ,
lung tends to retract towards hilum.
 Cicatrisation collapse
Pulmonary fibrosis: Lung is abnormally stiff, lung
compliance is decreased and the volume of the
affected lung is reduced.
 Adhesive collapse Respiratory distress syndrome
surface tension of alveoli is decreased by surfactant. If
this mechanism is disturbed, collapse of alveoli occurs,
although the central airways remain patent
 Resorption collapse
 In acute bronchial obstruction the gases in the alveoli are
steadily taken up by the blood in the pulmonary
capillaries and are not replenished, causing alveolar
collapse.
Collapse seen in carcinoma of the bronchus.
 Abrupt cut-off of the left main bronchus
 marked displacement of the right lung anteriorly and posteriorly
across the midline
Total right lung collapse in a neonate. The patient was ventilated
for respiratory distress syndrome and the cause of the total lung
collapse was a mucus plug
Direct signs of collapse
Displacement of interlobar fissures
Loss of aeration
Vascular and bronchial signs
Indirect sign of collapse
 Elevation of hemidiaphragm
 Mediastinal displacement
 Hilar displacement
 Compensatory hyperinflation
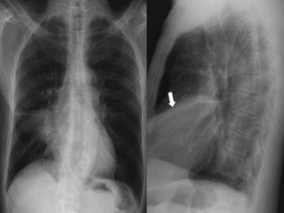
Right Upper Lobe Collapse
 Volume loss of the right upper lobe.
 Right upper zone has become dense due to lobar
collapse.
 The volume loss has displaced the trachea which
is PULLED to the right, and the horizontal fissure
(arrow) has been PULLED upwards
Right upper lobe collapse. An example of right upper lobe collapse
mimicking an apical cap of fluid (arrow).
Tight right upper lobe collapse. Note how the collapsed lobe (due to a
central bronchogenic carcinoma) results in increased right
paramediastinal density
 On CT, the collapsed RUL is seen as a sharply defined
triangular density bordered by the minor fissure
laterally and the major fissure posteriorly
On computed tomography, the collapsed lobe appears as a triangular,
enhancing structure, sharply marginated laterally by the minor fissure (solid
arrows) and posteriorly by the major fissure (open arrow). B: On a more
caudal image, the obstruction (arrow) of the lobar bronchus is demonstrated.
C: Even more caudal, the collapsed lobe is flattened against the mediastinum
Left Upper Lobe Collapse
 Left lower lobe has increased in volume to compensate
volume loss and can be seen wrapping round the
medial side of the collapsed upper lobe. This is known
as the 'Luftsichel' (air crescent) sign .
PA and lateral chest radiographs in a patient with tight left upper lobe collapse
and hyperexpansion of the left lower lobe. There is resulting hyperlucency
(“luftsichel” sign) adjacent to the thoracic aorta.
Left Upper Lobe
Collapse
Left Upper Lobe Collapse
Juxtaphrenic peak sign. A small triangular density
(arrow) is seen in a left upper lobe collapse. The sign is
due to reorientation of an inferior accessory fissure
Left Upper Lobe Collapse
Atypical left upper lobe collapse. The frontal radiograph
demonstrates the inferior concave border of the collapsed lobe and
resembles a right upper lobe collapse
 On CT, the atelectatic LUL appears as a triangular or
V-shaped soft tissue density structure that abuts the
chest wall anterolaterally with the apex of the V
merging with the pulmonary hilum
Right Middle Lobe Collapse
 Minor fissure and lower half of the major fissure move
close together.
 Lordotic AP projection brings the displaced fissure into
the line of the Xray beam, and may elegantly
demonstrate right middle lobe collapse.
 Since the volume of this lobe is relatively small,
indirect signs of volume loss are rarely present.
 On CT scans, the collapsed lobe is triangular or
trapezoidal, and is demarcated by the minor fissure
anteriorly
Middle lobe collapse. Collapsed lobe seen as a wedge-shaped structure,
bordered by the minor (long arrows) and major (short arrows) fissures.
Lower Lobe Collapse
 The pattern of collapse is similar for both lower lobes,
which collapse caudally, posteriorly, and medially toward
the spine.
 On CT, the collapsed lower lobe appears as a wedged-
shaped soft tissue attenuation structure adjacent to the
spine.
 Major fissure, which forms the lateral border of the lobe, is
displaced
chest x-ray of RLL collapse
 Tracheal deviation to the right
 overall volume loss of the right hemithorax, compared
with the left.
 The mediastinum is therefore PULLED to the right.
RLL collapse
Left lower lobe collapse
 The tracheal deviation to left.
 classical appearance of a 'double left heart border,' or a
'sail sign' (orange). The second heart border (curved
arrow) is due to the dense edge of the collapsed left
lower lobe, which has been squashed into a triangle or
sail shape.
PA (right) and lateral (left) chest radiographs in a patient with tight left
lower lobe collapse. Note the triangular white opacity (black arrows)
behind the heart obscuring the posteromedial left hemidiaphragm.
Left lower lobe collapse.
Lower lobe atelectasis. CECT demonstrates marked enhancement of the collapsed
left lower lobe (arrowheads) and posterior basal segment of the right lower lobe
(arrow) in a postabdominal surgery patient suspected of having pulmonary
embolism
Rounded Atelectasis
 Symphysis of the visceral and parietal pleura, and
resultant infolding and entrapment of a peripheral
portion of the underlying lung
 3 to 5 cm in diameter
 Most commonly located in the paraspinal region
 Composed of a swirl of atelectatic parenchyma
adjacent to thickened pleura
Round atelactasis
CT findings
 Rounded or wedge-shaped mass that forms an acute angle with
thickened pleura
 Pleura is usually thickest at its contact with the contiguous mass
 vessels swirling around and converging in a curvilinear fashion
into lower border of mass (comet tail sign)
 Air bronchograms in the central portion of the mass
 Homogeneous contrast enhancement of the atelectatic lung
Axial enhanced CT scan of the chest shows a nodular-area of increased density (blue arrow),
associated with pleural thickening and pleural plaques (yellow arrows) consistent with
asbestos-related pleural disease. Red arrow point to "comet tail" density that surrounds
rounded atelectasis
Round atelactasis
THANK YOU
Distinguish Giant Bulla from Pneumothorax
 Important for treatment plan
 Differentiation can be difficult on conventional radiography;
they can coexist
 Expiratory chest radiograph may help delineating a visceral
pleural line of pneumothorax
 CT scan is the most accurate mean to differentiate the two
diagnoses
 "Double wall" sign described in cases with ruptured bulla
causing pneumothorax (air outlining both sides of the bulla
wall parallel to the chest wall)

Air way disease

  • 1.
  • 2.
    • ANATOMY • CONGENITALTRACHEO-BRONCHIAL ANOMALY • BRONCHIECTASIS • EMPHYSEMA • BRONCHIAL ASTHMA • CHRONIC BRONCHITIS • BRONCHIOLITIS • COLLAPSE OF LUNG
  • 3.
  • 4.
  • 5.
     The rightmain bronchus is wider, shorter, and more vertical than the left main bronchus
  • 6.
    STRUCTURAL ANATOMY  Trachea- cartilaginous and fibro-muscular conduit for ventilation and bronchial secretions.  Extends from C6 (cricoid cartilage) to carina Carina - T4-T5  In adults, its length ~ 11-13 cm with 2-4 cm being extra-thoracic. However , length is dynamic.  The trachea has 16 to 22 horseshoe bands of cartilage that compose anterior and lateral walls of trachea. The posterior tracheal wall lacks cartilage.
  • 7.
    Coronal diameter: Men 13to 25 mm Women 10 to 21 mm. Sagittal diameter: Men 13 to 27 mm Women 10 to 23 mm • Tracheal index : calculated by dividing coronal diameter by the sagittal diameter . Normal value is ~ 1.
  • 8.
     Posterior wallappears thinner and gives a variable contour to shape of trachea due to lack of cartilage.  It may appear flat, convex or slightly concave depending on level of inspiration  Posterior wall of trachea either flattens or bows slightly forward during expiration.  In normal subjects there is up to a 35% reduction in AP tracheal lumen in forced expiration, whereas transverse diameter decreases only by 13%
  • 9.
    Axial computed tomographyimage shows the normal rounded configuration of the trachea at the end of inspiration. Note the normal anterior bowing of the posterior membranous wall of the trachea at the end of expiration
  • 10.
    Congenital Tracheo-bronchial anomaly Bronchus suis  Refers to rare congenital anomaly, whereby right upper lobe bronchus originates directly from trachea
  • 11.
    Bronchial Atresia Developmental disorder,resulting in a segmental or sub-segmental bronchus becoming entirely detached from main airway. Distal airway will continue to produce mucus while there is no clearance from airway, leading to impaction of mucus seen as “finger-in-glove” sign on CT
  • 12.
     Most commonlyin apicoposterior segmental bronchus of the left upper lobe.  CT - central, mass like opacity with a tubular configuration.  Distal segmental branches are dilated and contain secretions. The peripheral lung is hyperexpanded, with decreased attenuation and reduced vasculature.
  • 13.
    Bronchial atresia. centraltubular structure with hyperlucency of the apicoposterior segment of the left upper lobe.
  • 14.
    Tracheo-esophageal fistula  Congenitalmalformation results from a failure of the trachea and oesophagus to divide and grow out separately during early development of the primitive foregut.  Often seen in A/W other congenital anomalies, of which the VACTERL is most commonly known
  • 16.
    Classification (Gross's Anatomical Classification) Type A: Esophageal atresia without tracheoesophageal fistula.  Type B: Esophageal atresia with proximal tracheoesophageal fistula.  Type C: Esophageal atresia with distal tracheoesophageal fistula (most common type) (85%).  Type D: Esophageal atresia with proximal and distal fistula.  Type E: Tracheoesophageal fistula without atresia. (Not shown)
  • 19.
    TEF. Oblique bariumesophagogram demonstrates a fistula (arrow) arising from the anterior esophagus and extending anterosuperiorly to the trachea.
  • 20.
    Tracheobronchomegaly (Mounier- kuhn disease) Characterized by dilatation of trachea and main bronchi owing to severe atrophy of longitudinal elastic fibres and thinning of the muscularis mucosa.  Affected patients typically present during the third and fourth decades with recurrent respiratory infections.
  • 21.
    Mounier-Kuhn syndrome. Dilatationof the trachea in association with bronchiectasis (arrows). There are also multiple paraseptal bullae (curved arrow).
  • 22.
    Saber sheath trachea Associated with COPD or advanced Age  Marked coronal narrowing in the presence of accentuation of the sagittal diameter  Sagittal:Coronal ratio of greater than 2.  Chest radiographs may show diffuse narrowing of trachea on PA view. CT shows inward bowing of the lateral tracheal wall, which may be accentuated on the expiratory or dynamic CT, with the classic narrow “saber sheath” shape.
  • 23.
    Saber sheath trachea.Chest radiograph PA view demonstrating diffuse narrowing of the trachea CT: inward bowing of the lateral tracheal wall with elongated sagittal dimension of trachea compared to the coronal plane is consistent with the saber sheath configuration.
  • 24.
    Relapsing Polychondritis  Maybe caused by a range of etiologies, including vasculitis, amyloidosis, infectious processes.  Cartilaginous part of the airway progressively destroyed due to an autoimmune process of recurrent inflammation.  It results in significant airflow obstruction due to collapse of the trachea and main bronchi during expiration
  • 25.
     At expiration,90% or more patients show signs of collapse (malacia) with or without air trapping.  Calcifications in the airway walls may be seen in approximately 40% of patients. .
  • 26.
    CT scan: diffusethickening of tracheal wall with abnormal calcification and narrowing of the tracheal lumen. (B) CT scan just below level of canna shows identical abnormalities extending into both main bronchi.
  • 27.
    Relapsing polychondritis -characteristic thickening of the anterior cartilaginous wall of the trachea (arrow). The posterior membranous wall is uninvolved.
  • 28.
    Tracheobronchial stenosis  Definedas focal or diffuse narrowing of the tracheal lumen and may occur secondary to a wide variety of benign and malignant causes.
  • 29.
     Iatrogenic Postintubation Lung transplantation Infection Laryngotracheal papillomatosis[*] Rhinoscleroma Tuberculosis  Tracheal neoplasm  Systemic diseases Amyloidosis Inflammatory bowel disease Relapsing polychondritis Sarcoidosis Wegener granulomatosis
  • 30.
    Subglottic stenosis resultedfrom prolonged intubation.
  • 31.
    Post-intubation tracheal stenosis.A: Coronal and B: sagittal volume- rendered reconstructions demonstrate a 3-cm area of narrowing in the trachea above the thoracic inlet.
  • 32.
    Tracheo-bronchial malacia  Tracheobronchomalaciarefers to weakness of the airway walls and/or supporting cartilage and is characterized by excessive expiratory collapse  Tracheobronchomalacia may be either congenital or acquired
  • 33.
     Risk Factorsfor Acquired Tracheomalacia COPD  Posttraumatic and iatrogenic factors Postintubation Posttracheostomy Radiation therapy Post lung transplantation Relapsing polychondritis Chronic external compression of the trachea Paratracheal neoplasms goiter congenital cyst
  • 34.
     Variable degreeof collapse of airway during expiration  On CT scans. A “frownlike” tracheal configuration, due to the marked anterior bowing of the posterior membranous wall forming a crescenteric configuration, has been described as Characteristic of tracheomalacia Main imaging finding
  • 35.
    End inspiratory andend expiratory axial computed tomography scan shows excessive collapse of the posterior wall of the trachea in expiration. Note the extensive changes consistent with emphysema in both lungs.
  • 36.
    Tracheal neoplasms  Uncommon,with 90% being malignant.  Two major types of tracheal carcinomas  Squamous cell (55%)  Adenocystic (18%)..  Rare hematogenous metastases from melanoma or breast  Malignant neoplasms :  CT as an eccentric irregular soft tissue mass within lumen, most typically arising from posterior and lateral wall
  • 37.
  • 38.
     Benign trachealtumors Squamous papilloma (young children), Pleomorphic adenoma Mesenchymal hamartomathose of cartilaginous origin.  Well circumscribed/smoothly marginated/< 2 cm in diameter.
  • 39.
    Bronchiectasis Irreversible localized ordiffuse dilatation of cartilage containing airways or bronchi. Resulting from  Chronic infection  Proximal airway obstruction  Congenital bronchial abnormality
  • 40.
    Causes of Bronchiectasis Infection – bacteria, mycobacteria, fungus, virus  Acquired bronchial obstruction (neoplasm, foreign body, bronchholith)  Extrinsic bronchial obstruction (lymph node enlargement, neoplasm)  Inherited molecular and cellular defects(cystic fibrosis, a1 antitrypsin deficiency)  Inherited bronchial structural deficiencies(bronchial atresia,congenictal tracheobronchomegaly, Williams-campell syndrome)  Primary ciliary dyskinesia (Kartagener syndrome)  Pulmonary fibrosis(results in traction bronchiectasis)
  • 42.
    TYPES  Cylindrical (tubular)uniform mild dilatation with loss of normal tapering of bronchi  Varicose greater dilatation with irregular caliber due to areas of expansion and narrowing.  Cystic (saccular) marked dilatation with peripheral ballooning.
  • 43.
     Chest radiographs: Tram tracks parallel line opacities  Ring opacities  Tubular structures.  Chest radiographs lack sensitivity for detecting mild or even moderate disease.
  • 44.
     X rayphoto Multiple ring shadowTramline shadow visuble through heart
  • 45.
     CT ismore sensitive.  Characterized by lack of bronchial tapering  Bronchi visible in peripheral 1 cm of lungs  Increased bronchoarterial ratio producing the so-called signet-ring sign.
  • 46.
    Cylindric Bronchiectasis  Diagnosticcriteria bronchial diameter > accompanying artery (signet ring sign)  Lack of bronchial tapering.  Identification of a bronchus within 1 cm of costal pleura or abutting the mediastinal pleura.
  • 47.
  • 48.
    Normal bronchus cylindricbronchiectasis with lack tapering Cylindrical bronchiectasis
  • 49.
    varicoid bronchiectasis Varicoid bronchiectasisis characterized by a beaded appearance, mimicking a “string of pearls” .
  • 50.
    Cystic bronchiectasis Cystic bronchiectasisis characterized by thin-walled cystic spaces that connect with proximal airways, with or without
  • 52.
    Cystic bronchiectasis ischaracterized by thin-walled cystic spaces with fluid levels
  • 54.
    Atypical mycobacterial infection:Cylindrcalbroncheactasis & centrilobular nodule in middle lobe & lingula
  • 55.
    ABPA. Coronal reformationCT image demonstrates impacted bronchi in the left upper lobe producing a “gloved finger” appearance.
  • 56.
     Impaction ofbronchiectatic airways -tubular opacities with a Y- or V-shaped configuration, often mimicking a “gloved finger”  Impaction of a single bronchus may mimic a parenchymal mass, but careful inspection typically reveals a tubular rather than round configuration  scrolling through a series of axial images or assessment with MPR can be helpful.
  • 57.
    Bronchial impaction. A,Axial CT image shows a tubular structure (arrow) in the superior segment of the right lower lobe with no visible aerated bronchus. B, Axial CT image following expectoration of a large mucus plug shows underlying bronchiectasis
  • 58.
    EMPHYSEMA  Chronic conditioncharacterized by progressive irreversible enlargement of airspaces distal to the terminal bronchiole with destruction of the alveolar walls and no obvious fibrosis Types of emphysema  Centrilobular  Panlobular  Paraseptal  Paracicatricial
  • 59.
    respiratory bronchioles andthe adjacent alveolar spaces, which are located in the central portion of the secondary pulmonary lobule, are progressively enlarged and destroyed. Lung tissue in the periphery of the lobule is spared initially but may become involved in the hater stages of the disease.
  • 60.
    Panlobular Emphysema  AlsoK/as panacinar or diffuse emphysema)  Affects entire SPL producing diffuse destruction and enlarged airspaces throughout the lung  Lower lobe predominance in most cases, presumably due to the greater blood flow in this region especially in chronic bronchitis  alfa -1-antitrypsin deficiency.
  • 61.
    Main radiological sign:  Hyperinflation of lung  Decrease pulmonary vascularity peripherally Retrosterrnal air space depth Heart appears long and narrow  `Barrel chest'
  • 62.
    chest radiographs, postero-anteriorand lateral views, show hyperinflation of the lungs (flattened diaphragm and widened retrosternal space), increased translucency in the upper lungs with vascular attenuation and distorted arborization
  • 63.
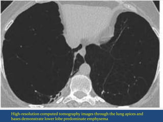
    High-resolution computed tomographyimages through the lung apices and bases demonstrate lower lobe predominate emphysema
  • 64.
    Lower-lung predominance, andvascular attenuation are better shown by the coronal minimum intensity projection and maximum intensity projection images .
  • 65.
    Centriobular Emphysema  (alsocalled centriacinar or proximal acinar emphysema)  Selective process characterized by destruction & dilatation of respiratory bronchioles.  Emphysematous spaces lie near the center of SPL and the lung tissue distal to the emphysematous spaces is often normal . alveolar ducts, sacs and alveoli are spared until a late stage.  Upper zones tend to be more severely involved than the lung bases.  It is usually found in smokers, frequently in association with chronic bronchitis.
  • 66.
    Centrilobular emphysema. largeirregular areas of lucency, without any definable walls, with a paucity of pulmonary vessels
  • 67.
    Paraseptal Emphysema  Alsoreferred to as distal acinar or localized  Involves the distal portion of the lobule.  Characteristically adjacent to the visceral pleura and interlobular septa, within otherwise normal lung  When these paraseptal cysts exceed 1 cm in size, with an exceedingly thin wall, they may be termed bullae.
  • 68.
    Paraseptal emphysema. Aand B, HRCT show extensive emphysema in the subpleural regions.
  • 69.
    Paracicatrieial Emphysema  alsoreferred to as irregular or scar emphysema  Distension and destruction of terminal air spaces adjacent to fibrotic lesions.  Causes Tuberculosis (MC), silicosis.  Often associated traction bronchiectasis and honeycomb lung.
  • 70.
    (PCE) from progressivemassive fibrosis caused by silicosis: conglomerate masses with surrounding low attenuation (arrows) indicating PCE
  • 71.
    Bulla  Bullae- usuallyA/W some form of emphysema  Common - paraseptal emphysema.  Their walls may be visible as a smooth, curved, hairline shadow.  If the walls are not visible, displacement of vessels around a radiolucent area may indicate a huIlous area.
  • 72.
    ‘Both upper zonesare occupied by large bullae which are compressing upper lobes. No evidence of generalised emphysema or air trapping. The level and shape of the diaphragm are normal
  • 73.
    coronal computed tomographymultiplanar reformation and maximum intensity projection images show a large bulla in the right upper lobe with atelectasis of the adjacent lung
  • 74.
     A giantbulla A bulla that takes up a third or more of the space in and around the affected lung is called a giant bulla. D/D- Loculated Pneumothorax CT may be necessary to demonstrate the wall of the bulla or thin strands of lung tissue crossing it.
  • 75.
     Large bullaecan compress adjacent more compliant lung, producing atelectatic pseudomasses  Predispose to pneumothorax and can reach a very large size.
  • 76.
    Atelectatic pseudomass. Computedtomography demonstrates a right paraspinal mass (arrow) with central air bronchograms. A very large bulla almost completely fills the right hemithorax. The mass represented collapsed normal lung that re-expanded following resection of the bulla.
  • 77.
    ASTHMA  Clinical syndromeresult from hyper-reactivity of larger airways to a variety of stimuli, causing narrowing of the bronchi, wheezing and often dyspnoea  Extrinsic or atopic asthma is usually associated with a history of allergy and raised plasma IgE.  Intrinsic or non-atopic asthma may be precipitated by a variety of factors such as exercise, emotion and infection.
  • 78.
    The role ofradiology in Asthma Normal chest X-ray during remissions.  During attack the chest X-ray may show: Signs of hyperinflation with depression of the diaphragm and expansion of the retrosternal air space.
  • 79.
    During an asthmaticattack the lungs are hyperinflated, the diaphragms being and flattened During remission the chest normal
  • 80.
     Chest radiographs:to exclude complications and associations with asthma  Consolidation  Atelectasis with mucoid impaction,  Pneumothorax,  Pneumomediastinum,  ABPA.
  • 81.
    Role of HRCT Characteristic CT findings  Bronchial dilatation   Bronchial wall thickening  Mucoid impaction  Cylindric bronchiectasis  Centrilobular bronchiolar abnormalities such as tree-in-bud  Patchy areas of mosaic perfusion  Regional areas of air-trapping on expiratory scans
  • 82.
    mild bronchial thickening anddilatation HRCT during expiration demonstrates a mosaic pattern of lung attenuation in a patient with asthma.
  • 83.
    Chronic bronchitis  Traditionallydefined when cough and sputum expectoration occurs on most days for at least 3 months of the year and for at least 2 consecutive years  cigarette smoking is responsible for 85% to 90%.  complications :  Pulmonary emphysema  superimposed infection or possibly bronchiectasis.  cor pulmonale.
  • 84.
    Chronic bronchitis Smallpoorly defined opacities are present throughout both lungs, producing the 'dirty chest
  • 85.
    Bronchiolitis  Current pathologicclassification includes three main categories of bronchiolitis:  Cellular bronchiolitis,  Bronchiolitis obliterans with intraluminal polyps,  Constrictive (obliterative) bronchiolitis
  • 86.
    Causes of CellularBronchiolitis
  • 87.
     Poorly definedcentrilobular nodules and/or a combination of linear and nodular branching opacities (tree-in-bud sign).  Presence of poorly defined ground-glass centrilobular nodules
  • 88.
    Axial CT imagedemonstrates diffuse centrilobular nodular and branching opacities (arrows) with tree-in-bud configuration.
  • 89.
  • 90.
    Axial end-inspiratory HRCTscan is normal. B, Axial end-expiratory HRCT image shows multiple lobular foci of air-trapping . Coronal end-inspiratory (C) and end-expiratory (D) images provide better appreciation of the extent of air-trapping .
  • 91.
    Collapse  Partial orcomplete loss of volume of a lung is referred to as collapse or atlectasis.
  • 92.
    Mechanism of collapse Relaxation or passive collapse: When air or increased fluid collected in pleural space , lung tends to retract towards hilum.  Cicatrisation collapse Pulmonary fibrosis: Lung is abnormally stiff, lung compliance is decreased and the volume of the affected lung is reduced.
  • 93.
     Adhesive collapseRespiratory distress syndrome surface tension of alveoli is decreased by surfactant. If this mechanism is disturbed, collapse of alveoli occurs, although the central airways remain patent  Resorption collapse  In acute bronchial obstruction the gases in the alveoli are steadily taken up by the blood in the pulmonary capillaries and are not replenished, causing alveolar collapse. Collapse seen in carcinoma of the bronchus.
  • 94.
     Abrupt cut-offof the left main bronchus  marked displacement of the right lung anteriorly and posteriorly across the midline
  • 95.
    Total right lungcollapse in a neonate. The patient was ventilated for respiratory distress syndrome and the cause of the total lung collapse was a mucus plug
  • 96.
    Direct signs ofcollapse Displacement of interlobar fissures Loss of aeration Vascular and bronchial signs
  • 97.
    Indirect sign ofcollapse  Elevation of hemidiaphragm  Mediastinal displacement  Hilar displacement  Compensatory hyperinflation
  • 98.
    Right Upper LobeCollapse  Volume loss of the right upper lobe.  Right upper zone has become dense due to lobar collapse.  The volume loss has displaced the trachea which is PULLED to the right, and the horizontal fissure (arrow) has been PULLED upwards
  • 100.
    Right upper lobecollapse. An example of right upper lobe collapse mimicking an apical cap of fluid (arrow).
  • 101.
    Tight right upperlobe collapse. Note how the collapsed lobe (due to a central bronchogenic carcinoma) results in increased right paramediastinal density
  • 102.
     On CT,the collapsed RUL is seen as a sharply defined triangular density bordered by the minor fissure laterally and the major fissure posteriorly
  • 103.
    On computed tomography,the collapsed lobe appears as a triangular, enhancing structure, sharply marginated laterally by the minor fissure (solid arrows) and posteriorly by the major fissure (open arrow). B: On a more caudal image, the obstruction (arrow) of the lobar bronchus is demonstrated. C: Even more caudal, the collapsed lobe is flattened against the mediastinum
  • 104.
    Left Upper LobeCollapse  Left lower lobe has increased in volume to compensate volume loss and can be seen wrapping round the medial side of the collapsed upper lobe. This is known as the 'Luftsichel' (air crescent) sign .
  • 105.
    PA and lateralchest radiographs in a patient with tight left upper lobe collapse and hyperexpansion of the left lower lobe. There is resulting hyperlucency (“luftsichel” sign) adjacent to the thoracic aorta. Left Upper Lobe Collapse
  • 106.
  • 107.
    Juxtaphrenic peak sign.A small triangular density (arrow) is seen in a left upper lobe collapse. The sign is due to reorientation of an inferior accessory fissure Left Upper Lobe Collapse
  • 108.
    Atypical left upperlobe collapse. The frontal radiograph demonstrates the inferior concave border of the collapsed lobe and resembles a right upper lobe collapse
  • 109.
     On CT,the atelectatic LUL appears as a triangular or V-shaped soft tissue density structure that abuts the chest wall anterolaterally with the apex of the V merging with the pulmonary hilum
  • 111.
    Right Middle LobeCollapse  Minor fissure and lower half of the major fissure move close together.  Lordotic AP projection brings the displaced fissure into the line of the Xray beam, and may elegantly demonstrate right middle lobe collapse.  Since the volume of this lobe is relatively small, indirect signs of volume loss are rarely present.
  • 113.
     On CTscans, the collapsed lobe is triangular or trapezoidal, and is demarcated by the minor fissure anteriorly
  • 114.
    Middle lobe collapse.Collapsed lobe seen as a wedge-shaped structure, bordered by the minor (long arrows) and major (short arrows) fissures.
  • 115.
    Lower Lobe Collapse The pattern of collapse is similar for both lower lobes, which collapse caudally, posteriorly, and medially toward the spine.  On CT, the collapsed lower lobe appears as a wedged- shaped soft tissue attenuation structure adjacent to the spine.  Major fissure, which forms the lateral border of the lobe, is displaced
  • 116.
    chest x-ray ofRLL collapse  Tracheal deviation to the right  overall volume loss of the right hemithorax, compared with the left.  The mediastinum is therefore PULLED to the right.
  • 117.
  • 118.
    Left lower lobecollapse  The tracheal deviation to left.  classical appearance of a 'double left heart border,' or a 'sail sign' (orange). The second heart border (curved arrow) is due to the dense edge of the collapsed left lower lobe, which has been squashed into a triangle or sail shape.
  • 120.
    PA (right) andlateral (left) chest radiographs in a patient with tight left lower lobe collapse. Note the triangular white opacity (black arrows) behind the heart obscuring the posteromedial left hemidiaphragm. Left lower lobe collapse.
  • 121.
    Lower lobe atelectasis.CECT demonstrates marked enhancement of the collapsed left lower lobe (arrowheads) and posterior basal segment of the right lower lobe (arrow) in a postabdominal surgery patient suspected of having pulmonary embolism
  • 122.
    Rounded Atelectasis  Symphysisof the visceral and parietal pleura, and resultant infolding and entrapment of a peripheral portion of the underlying lung  3 to 5 cm in diameter  Most commonly located in the paraspinal region  Composed of a swirl of atelectatic parenchyma adjacent to thickened pleura
  • 123.
  • 124.
    CT findings  Roundedor wedge-shaped mass that forms an acute angle with thickened pleura  Pleura is usually thickest at its contact with the contiguous mass  vessels swirling around and converging in a curvilinear fashion into lower border of mass (comet tail sign)  Air bronchograms in the central portion of the mass  Homogeneous contrast enhancement of the atelectatic lung
  • 125.
    Axial enhanced CTscan of the chest shows a nodular-area of increased density (blue arrow), associated with pleural thickening and pleural plaques (yellow arrows) consistent with asbestos-related pleural disease. Red arrow point to "comet tail" density that surrounds rounded atelectasis Round atelactasis
  • 126.
  • 131.
    Distinguish Giant Bullafrom Pneumothorax  Important for treatment plan  Differentiation can be difficult on conventional radiography; they can coexist  Expiratory chest radiograph may help delineating a visceral pleural line of pneumothorax  CT scan is the most accurate mean to differentiate the two diagnoses  "Double wall" sign described in cases with ruptured bulla causing pneumothorax (air outlining both sides of the bulla wall parallel to the chest wall)