Acute Pancreatitis - Panel discussion
Panelists
Dr Ganesan Tanjore
Dr Manoharan Chennai
Dr Palaniappan Chennai
Dr Amarnath Chennai
Case 1 ..
• Mrs P , 29 year old lady in the third trimester of
pregnancy had an episode of severe upper abdominal
and back pain lasting for about 10 hours
• S Amylase : 1045 IU
• Ultrasound abdomen : showed cholelithiasis, normal
bile ducts and pancreas.
• No other tests were performed. Pain settled with tablets
• She went on to have a normal delivery and delivered a
normal boy baby.
Are serum amylase and Lipase
reliable markers for acute pancreatitis
in pregnancy?
Dr Ganesan
Serum amylase in pregnancy
In a study of amylase activity in 200 pregnant
women:
• Serum amylase rises gradually during pregnancy until
the twenty-fifth week and thereafter falls slightly
• Serum amylase values in normal pregnant women
during the second and third trimesters may exceed
those in normal men and nonpregnant women
Kaiser R et al Am J Obstet Gynaecol. 1975 1;122(3):283-6
Amylase & Lipase in pregnancy
Study on amylase & lipase in pregnant & nonpregnant women :
• Serum amylase activity was similar in pregnant women and
nonpregnant women during all trimesters of pregnancy.
• Serum lipase activity was significantly lower during the first
trimester of pregnancy compared to nonpregnant women
- Serum lipase activity was not statistically different between
pregnant and nonpregnant women during the second and third
trimesters
Karsenti D et al Am J Gastroenterol. 2001;96:697–699
Serum amylase and lipase levels are reliable markers
of AP during pregnancy
What is the best Imaging modality for
evaluating bile duct for choledocholithiasis
in pregnancy ? Why?
Dr Amarnath
Best Imaging modality for evaluating bile duct
for choledocholithiasis in pregnancy ?
A Abdominal Ultrasound
B CT scan abdomen
C MRCP
D ERCP
E Endoscopic Ultrasound
.
• Abdominal Ultrasound is insensitive for the
detection of common bile duct stones or
sludge
• CT is not preferred in all trimesters of
pregnancy in view of a radiation risk to the
fetus.
• ERCP is not preferred as a diagnostic test
because of radiation risk to fetus
Best Imaging modality for evaluating bile duct
for choledocholithiasis in pregnancy ?
• MRCP is a good technique to evaluate CBD
- Concerns of thermal injury to the fetus in first trimester
- Small ductal stones located in the distal CBD could be missed
by MRCP. Gallstone pancreatitis is generally associated with
small gallbladder stones and sludge.
- Claustrophobia remains the major barrier
• EUS is the best imaging study to evaluate CBD in pregnancy.
C S Pitchumani et al WJ G 2009 Dec 7; 15(45): 5641–5646
Best Imaging modality for evaluating bile duct for
choledocholithiasis in pregnancy ?
Is it safe to do therapeutic ERCP in pregnancy ?
Any Precautions to be taken?
Dr Palaniappan
Safety of ERCP in pregnancy
• ERCP risks to mother and fetus appear to be acceptable when
performed for therapy (demonstrated in 350 cases during
pregnancy)
- Justifiable indications include jaundice, cholangitis, gallstone
pancreatitis
• Precautions to be taken :
- Minimise fetal radiation exposure
( Lead apron on pelvis ; Minimal fluoroscopy time; No X-ray)
- safest during the second trimester of pregnancy.
• Informed consent about minimal fetal radiation risks
Friedel D et al World J Gastrointest Endosc. 2014 May 16; 6(5): 156–167.
Management of symptomatic cholelithiasis in pregnancy
Conservative management vs lap Cholecystectomy?
Dr Manoharan
Management of symptomatic cholelithiasis in pregnancy
Non-operative management vs lap
Cholecystectomy
• Retrospective study of symptomatic cholelithiasis in pregnancy :
- 78.6 % who had non-operative management had recurrent
symptoms prior to Lap Cholecystectomy
- 50 % repeat hospitalizations prior to surgery.
• Given the safety of antepartum LC and the frequency of recurrent
symptoms and hospitalizations, early surgical intervention
during pregnancy may be the optimal strategy
Jorge AM et al Gastrointest Surg 2015
What is the best time to perform Lap
cholecystectomy in pregnancy ? Why?
Dr Manoharan
Best time to perform Lap cholecystectomy
in pregnancy
Cholecystectomy during the second trimester
is safe for both the mother and the fetus
• In first trimester organogenesis is incomplete
and spontaneous abortions may occur
• In third trimester the uterus is big and may
obscure the surgical view for laparoscopic
approach. Pre-term labour may also be
precipitated
Case 1 ..
• Two months after delivery ( 09/11/2014) she
presented to our hospital with severe epigastric pain
radiating to back and vomiting of 24 hours duration;
No fever
Examination : Mild jaundice
Pulse Rate: 135/mt ; BP : 110/70 mmHg
Respiratory rate : 16/mt; Pa O2 : 97% (room air)
- Abdomen : tender epigastrium; No mass ; No fluid
- Respiratory System : Dullness on percussion &
decreased air entry in both lung bases
Case 1 .. Investigations
• Blood tests : (09/11/14)
- Amylase 2695 IU/ml ; Lipase : 24280 IU/ml
- CRP : 407mg/L
- Hb : 16.4 ; PCV : 49.2 ; WBC TC 10700/cmm
- S. Creatinine : 0.64; Na 144; K 3.8; Cl 111; HCO3 23
- LFT : 4.2/2.9/7.1/4.1/320/629/300 ; Gamma GT 1092
- Ca :9.5; Phosphorus : 2.5 ; Triglyceride : 202
• Imaging studies:
- Ultrasound abdomen: Dilated Intra & extrahepatic bile ducts; No
CBD calculi seen; Gall bladder showed multiple calculi; Pancreas
was enlarged with heterogenous echotexture; Rest normal
• Chest X-ray : Bilateral pleural effusion
Diagnosis
Acute Biliary pancreatitis
How to grade severity of pancreatitis ?
( Revised Atlanta classification)
What is the need to grade severity ?
Dr Ganesan
Mild acute pancreatitis
• No organ failure
• No local or systemic complications
Moderately severe acute pancreatitis
• Organ failure that resolves within 48 h (transient organ failure) 
and/or
• Local or systemic complications without persistent organ failure
Severe acute pancreatitis
Persistent organ failure (>48 h) 
• Single organ failure
• Multiple organ failure
Banks P A GUT 2013 Jan;62(1):102-11
Severity of acute pancreatitis
Why assess severity – determines mortality
• Mild acute pancreatitis
- Almost nil
• Moderate Severe acute pancreatitis
- 2% ( Vege SS Am J gastro 2009)
• Severe acute pancreatitis
- mortality reported to be as great as 36–50%
Case 1.. Treatment
• Analgesics – Tramadol
• Aggressive fluid resuscitation
• Antibiotics : Meropenem 1g Q8h in
view of ERCP in obstructed bile duct
• Naso Jejunal feed started
Fluid resuscitation
When to start?
What fluid?
How much ?
Dr Ganesan
Fluid resuscitation in acute pancreatitis
• Vigorous fluid resuscitation is the cornerstone of therapy in
the management of AP and should be started early ( day 1) -
- Non-aggressive fluid resuscitation group experienced higher
mortality (17.9%) as compared to aggressive fluid
resuscitation group (0% mortality)
Gardner TB, Vege SS et al. Pancreatology. 2009;9:770-
776
• Few recent studies have suggested that aggressive fluid
therapy increases morbidity and mortality (Intra-abdominal
hypertension and respiratory complications)
• There may be a need to restrict fluid infusion in those
patients who have renal dysfunction or cardiac dysfunction
Which fluid ?
• Crystalloids :
- Normal saline
- Ringer Lactate
- Hypertonic saline
• Colloids :
- Hydroxy Ethyl Starch
- Albumin
• Combination of crystalloids and colloids
(ratio of 1:3)
Lack of high level evidence to guide choice of fluid
• Crystalloids are recommended by AGA
• Among crystalloids RL preferred over NS
• Colloids in cases of low hematocrit (<25%) and low
serum albumin (<2.0g/dl).
Agarwal A et al World J Gastroenterol. 2014 28; 20 : 18092–18103.
Wu et al Clin Gastroenterol Hepatol 2011;9:710-717
Which fluid ?
Fluid resuscitation – Volume & rate
• De-Madaria et al analyzed 247 patients depending
on the fluid received in the initial 24 h.
- Administration of > 4 L during the initial 24 h was
found to be associated with persistent organ failure
and acute collections
- administration between 3 - 4 L was associated with
an excellent outcome
De-Madaria et al Am J Gastroenterol. 2011;106:1843-1850.
• Mild pancreatitis 125 ml/hr
Moderately severe pancreatitis 250 ml/hr
Severe acute pancreatitis 300ml/hr
Ulinastatin in severe acute pancreatitis –
Does it work?
 Ulinastatin in mild or severe acute pancreatitis.
• Ulinastatin inhibits pro-inflammatory markers
( NFkB) as well as coagulation and fibrinolysis.
• Randomized, double-blind, placebo-controlled,
multi-centre trial across 15 centres in India
- 135 randomized subjects, 129 completed the study;
- Alcohol was the cause in majority (81%)
- Ulinastatin prevents new organ dysfunction and
reduces mortality in subjects with severe pancreatitis
Abraham P et al J Assoc Phycians India 2013 Aug;61(8):535-8
Probiotics in Severe Acute 
Pancreatitis ?
Use of probiotics in the treatment of 
severe acute pancreatitis: a 
systematic review and meta-analysis of 
randomized controlled trials.
Probiotics showed neither beneficial nor
adverse effects on the clinical outcomes of
patients with predicted SAP
Gou S et al Crit Care 2014 :18(2):R57
Case 1..  
(10/11/14)
• ERCP : Cholangiogram showed mild
dilatation of bile duct, No calculi
- Spincterotomy performed
- Double pigtail plastic stent inserted
• Bile sent for culture
Do all patients with biliary pancreatitis need 
evaluation of  bile duct ?
Are there predictors for CBD stones in ABP
Dr Palaniappan
Predictors for CBD stones in ABP
• Cholangitis (likelihood ratio 18.3)
• Jaundice and ultrasound evidence of stones in the
common bile duct (likelihood ratio > 10 in each case)
• A dilated common bile duct on ultrasound
hyperbilirubinemia had likelihood ratios between 4 -7
• More modest predictors included an elevated alkaline
phosphatase level, pancreatitis, cholecystitis
Is ERCP required for all patients with ABP 
• ERCP is indicated for all patients with cholangitis
• 60% of the patients with gall stones & cholestasis subjected to
conservative treatment did not have choledocholithiasis during
elective surgery (cholecystectomy and intraoperative
cholangiography ) performed during the same hospitalization.
(Oria A et al Ann Surg. 2007;245:10–17.)
• Waiting for 3-5 days in patients with cholestasis will reduce
the number of ERCP by 60 % (morbidity & mortality of ERC
avoided)
- If no improvement after 3-5 days , EUS/ MRC and ERCP if
there are CBD stones
Does prophylactic CBD stent  before 
cholecystectomy have any impact on 
the rate of biliary complications?
Dr Palaniappan
Is prophylactic CBD stent required during ERCP ?
• 162 patients with choledo-chocystolithiasis
underwent ERCP with ES and were divided to two
subgroups.
- Group A ( 52 patients) with stent insertion and
group B (110 patients) with no stent insertion
• Prevalence of cholangitis, cholecystitis and
emergency cholecystectomy similar in both groups
Verzhbitsky et al Surg Endosc 2013 Dec;27(12):4620-4
Case 1..
13/11/14.
• Developed fever ( 102F) with tachycardia (127/mt)
and tachypnea ( resp rate : 30/mt)
• Cultures :
- Bile culture : No growth
- Blood culture x2 : No growth
• LFT : 1.0/0.4/5.0/2.6/49/87/108; Gamma GT : 211
What are possible  causes of  fever, 
tachycardia & tachypnea in this scenario? 
What to do next ? 
Dr Ganesan
     Dr Manoharan           
Pathogenesis of acute pancreatitis
Inflammation Infection
Contrast enhanced CT scan
Dr Amarnath 
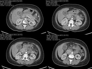
Case 1..
Contrast enhanced CT scan: (15/11/14)
• CBD with stent in situ
• Extensive fluid collection in lesser sac,
pelvis and left paracolic pouch;
- No air pockets
• Extra pancreatic fat necrosis
• Bilateral pleural effusion
Case 1..
• Urine culture : ( 17/11/14)
- Growth of > 100,000cfu/ml of Enterococci
faeceum;
- Sensitive only to Teicoplanin,Linezolid,
Vancomycin & Tigecycline
• Teicoplanin added following which fever,
tachycardia & tachypnea subsided in 3 days.
Extra pancreatic infections in acute pancreatitis
• Half of bacterial cultures of pancreatic necrosis
are of non-enteric origin, raising the possibility of
other sources of infection
• Systematic review of 19 studies with 1741
patients
- Incidence of Extra-pancreatic infectious
complication was 32% with the commonest
being respiratory infection (9.2%) and
bacteraemia (8.4%)
Brown LA et al Pancreatology 2014 Nov-Dec;14(6):436-43
What is the best approach to manage a patient
with biliary pancreatitis - cholelithiasis &
Choledocholithiasis ? Give reasons
A ERCP & Spincterotomy , followed by Lap
Cholecystectomy
B Lap Cholecystectomy followed by ERCP &
Spincterotomy
C Lap Cholecystectomy with Lap CBD exploration
D ERCP & Spincterotomy alone
Dr Palaniappan & Dr Manoharan
• Study on 5,079 patients with severe gallstone pancreatitis :
• Recurrent pancreatitis after :
- ES alone 6.7 %
- Cholecystectomy alone 4.4 %
- ES followed by cholecystectomy 1.2 % (p < 0.05)
• Gallstones related complications in patients treated with ES
alone were similar to patients who received no definitive
treatment (12.2 vs. 9.4 %)
• ES alone only in patients where surgery cannot be performed
Mustafa A Surg Endosc 2014 Jan;28(1):127-33
Approach to manage a patient with biliary pancreatitis
• Single-stage management is equivalent to two-
stage management
- Similar post-op morbidity, mortality, conversion
to open procedure and length of hospital stay
• Patient's condition, operator's expertise and local
resources should be taken into account in making
treatment decisions
Lu J et al World J Gastroenterol 2012 28;18(24):3156-66
L C with Lap CBD exploration vs ES followed by L C
A B P – Timing of cholecystectomy -
Index admission or later date ?
Dr Manoharan
Timing of cholecystectomy -
Index admission or later date?
• After biliary pancreatitis, cholecystectomy is
recommended at :
- Same hospital stay for mild pancreatitis
- After an interval of 6 wk following an
episode of severe pancreatitis
Acute Pancreatitis Guidelines Working Group
IAP/APA Pancreatology. 2013;13:e1–15
Case 1 ..
• Patient was discharged at request on 21/11/14 and
and advised to return for Lap cholecystectomy.
• Patient was readmitted in first week of December
with abdominal pain & vomiting. No fever or
jaundice
- S. Amylase : 98 IU; Lipase 120 IU : CRP : 24.7
- LFT : 1.2/0.3/8.2/4.1/21/30/81.Gamma GT : 32
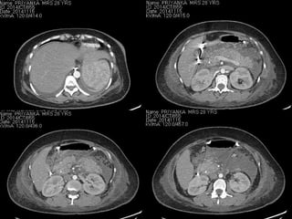
• CECT abdomen : Dr Amarnath
Case 1..
• CECT abdomen :
- Significant improvement over last CT.
- Fluid collection reduced in peripancreatic and left
pararenal space.
- Edematous gall bladder wall suggestive of
cholecystitis.
• Abdominal pain settled with analgesics
• She underwent Lap cholecystectomy and had
uneventful recovery. The biliary stent was removed
2 weeks after surgery
Summary
• Issues in management of acute biliary
pancreatitis in pregnancy
• Aggressive fluid resuscitation in SAP
• Extrapancreatic infections in SAP
• Management strategies in biliary pancreatitis
- Endoscopic
- Surgical
Thank You
Panelists
Dr Ganesan Tanjore
Dr Manoharan Chennai
Dr Palaniappan Chennai
Dr Amarnath Chennai

Acute Pancreatitis

  • 1.
    Acute Pancreatitis -Panel discussion Panelists Dr Ganesan Tanjore Dr Manoharan Chennai Dr Palaniappan Chennai Dr Amarnath Chennai
  • 2.
    Case 1 .. •Mrs P , 29 year old lady in the third trimester of pregnancy had an episode of severe upper abdominal and back pain lasting for about 10 hours • S Amylase : 1045 IU • Ultrasound abdomen : showed cholelithiasis, normal bile ducts and pancreas. • No other tests were performed. Pain settled with tablets • She went on to have a normal delivery and delivered a normal boy baby.
  • 3.
    Are serum amylaseand Lipase reliable markers for acute pancreatitis in pregnancy? Dr Ganesan
  • 4.
    Serum amylase inpregnancy In a study of amylase activity in 200 pregnant women: • Serum amylase rises gradually during pregnancy until the twenty-fifth week and thereafter falls slightly • Serum amylase values in normal pregnant women during the second and third trimesters may exceed those in normal men and nonpregnant women Kaiser R et al Am J Obstet Gynaecol. 1975 1;122(3):283-6
  • 5.
    Amylase & Lipasein pregnancy Study on amylase & lipase in pregnant & nonpregnant women : • Serum amylase activity was similar in pregnant women and nonpregnant women during all trimesters of pregnancy. • Serum lipase activity was significantly lower during the first trimester of pregnancy compared to nonpregnant women - Serum lipase activity was not statistically different between pregnant and nonpregnant women during the second and third trimesters Karsenti D et al Am J Gastroenterol. 2001;96:697–699 Serum amylase and lipase levels are reliable markers of AP during pregnancy
  • 6.
    What is thebest Imaging modality for evaluating bile duct for choledocholithiasis in pregnancy ? Why? Dr Amarnath
  • 7.
    Best Imaging modalityfor evaluating bile duct for choledocholithiasis in pregnancy ? A Abdominal Ultrasound B CT scan abdomen C MRCP D ERCP E Endoscopic Ultrasound
  • 8.
    . • Abdominal Ultrasoundis insensitive for the detection of common bile duct stones or sludge • CT is not preferred in all trimesters of pregnancy in view of a radiation risk to the fetus. • ERCP is not preferred as a diagnostic test because of radiation risk to fetus Best Imaging modality for evaluating bile duct for choledocholithiasis in pregnancy ?
  • 9.
    • MRCP isa good technique to evaluate CBD - Concerns of thermal injury to the fetus in first trimester - Small ductal stones located in the distal CBD could be missed by MRCP. Gallstone pancreatitis is generally associated with small gallbladder stones and sludge. - Claustrophobia remains the major barrier • EUS is the best imaging study to evaluate CBD in pregnancy. C S Pitchumani et al WJ G 2009 Dec 7; 15(45): 5641–5646 Best Imaging modality for evaluating bile duct for choledocholithiasis in pregnancy ?
  • 10.
    Is it safeto do therapeutic ERCP in pregnancy ? Any Precautions to be taken? Dr Palaniappan
  • 11.
    Safety of ERCPin pregnancy • ERCP risks to mother and fetus appear to be acceptable when performed for therapy (demonstrated in 350 cases during pregnancy) - Justifiable indications include jaundice, cholangitis, gallstone pancreatitis • Precautions to be taken : - Minimise fetal radiation exposure ( Lead apron on pelvis ; Minimal fluoroscopy time; No X-ray) - safest during the second trimester of pregnancy. • Informed consent about minimal fetal radiation risks Friedel D et al World J Gastrointest Endosc. 2014 May 16; 6(5): 156–167.
  • 12.
    Management of symptomaticcholelithiasis in pregnancy Conservative management vs lap Cholecystectomy? Dr Manoharan
  • 13.
    Management of symptomaticcholelithiasis in pregnancy Non-operative management vs lap Cholecystectomy • Retrospective study of symptomatic cholelithiasis in pregnancy : - 78.6 % who had non-operative management had recurrent symptoms prior to Lap Cholecystectomy - 50 % repeat hospitalizations prior to surgery. • Given the safety of antepartum LC and the frequency of recurrent symptoms and hospitalizations, early surgical intervention during pregnancy may be the optimal strategy Jorge AM et al Gastrointest Surg 2015
  • 14.
    What is thebest time to perform Lap cholecystectomy in pregnancy ? Why? Dr Manoharan
  • 15.
    Best time toperform Lap cholecystectomy in pregnancy Cholecystectomy during the second trimester is safe for both the mother and the fetus • In first trimester organogenesis is incomplete and spontaneous abortions may occur • In third trimester the uterus is big and may obscure the surgical view for laparoscopic approach. Pre-term labour may also be precipitated
  • 16.
    Case 1 .. •Two months after delivery ( 09/11/2014) she presented to our hospital with severe epigastric pain radiating to back and vomiting of 24 hours duration; No fever Examination : Mild jaundice Pulse Rate: 135/mt ; BP : 110/70 mmHg Respiratory rate : 16/mt; Pa O2 : 97% (room air) - Abdomen : tender epigastrium; No mass ; No fluid - Respiratory System : Dullness on percussion & decreased air entry in both lung bases
  • 17.
    Case 1 ..Investigations • Blood tests : (09/11/14) - Amylase 2695 IU/ml ; Lipase : 24280 IU/ml - CRP : 407mg/L - Hb : 16.4 ; PCV : 49.2 ; WBC TC 10700/cmm - S. Creatinine : 0.64; Na 144; K 3.8; Cl 111; HCO3 23 - LFT : 4.2/2.9/7.1/4.1/320/629/300 ; Gamma GT 1092 - Ca :9.5; Phosphorus : 2.5 ; Triglyceride : 202 • Imaging studies: - Ultrasound abdomen: Dilated Intra & extrahepatic bile ducts; No CBD calculi seen; Gall bladder showed multiple calculi; Pancreas was enlarged with heterogenous echotexture; Rest normal • Chest X-ray : Bilateral pleural effusion
  • 18.
  • 19.
    How to gradeseverity of pancreatitis ? ( Revised Atlanta classification) What is the need to grade severity ? Dr Ganesan
  • 20.
    Mild acute pancreatitis •No organ failure • No local or systemic complications Moderately severe acute pancreatitis • Organ failure that resolves within 48 h (transient organ failure)  and/or • Local or systemic complications without persistent organ failure Severe acute pancreatitis Persistent organ failure (>48 h)  • Single organ failure • Multiple organ failure Banks P A GUT 2013 Jan;62(1):102-11 Severity of acute pancreatitis
  • 21.
    Why assess severity– determines mortality • Mild acute pancreatitis - Almost nil • Moderate Severe acute pancreatitis - 2% ( Vege SS Am J gastro 2009) • Severe acute pancreatitis - mortality reported to be as great as 36–50%
  • 22.
    Case 1.. Treatment •Analgesics – Tramadol • Aggressive fluid resuscitation • Antibiotics : Meropenem 1g Q8h in view of ERCP in obstructed bile duct • Naso Jejunal feed started
  • 23.
    Fluid resuscitation When tostart? What fluid? How much ? Dr Ganesan
  • 24.
    Fluid resuscitation inacute pancreatitis • Vigorous fluid resuscitation is the cornerstone of therapy in the management of AP and should be started early ( day 1) - - Non-aggressive fluid resuscitation group experienced higher mortality (17.9%) as compared to aggressive fluid resuscitation group (0% mortality) Gardner TB, Vege SS et al. Pancreatology. 2009;9:770- 776 • Few recent studies have suggested that aggressive fluid therapy increases morbidity and mortality (Intra-abdominal hypertension and respiratory complications) • There may be a need to restrict fluid infusion in those patients who have renal dysfunction or cardiac dysfunction
  • 25.
    Which fluid ? •Crystalloids : - Normal saline - Ringer Lactate - Hypertonic saline • Colloids : - Hydroxy Ethyl Starch - Albumin • Combination of crystalloids and colloids (ratio of 1:3)
  • 26.
    Lack of highlevel evidence to guide choice of fluid • Crystalloids are recommended by AGA • Among crystalloids RL preferred over NS • Colloids in cases of low hematocrit (<25%) and low serum albumin (<2.0g/dl). Agarwal A et al World J Gastroenterol. 2014 28; 20 : 18092–18103. Wu et al Clin Gastroenterol Hepatol 2011;9:710-717 Which fluid ?
  • 27.
    Fluid resuscitation –Volume & rate • De-Madaria et al analyzed 247 patients depending on the fluid received in the initial 24 h. - Administration of > 4 L during the initial 24 h was found to be associated with persistent organ failure and acute collections - administration between 3 - 4 L was associated with an excellent outcome De-Madaria et al Am J Gastroenterol. 2011;106:1843-1850. • Mild pancreatitis 125 ml/hr Moderately severe pancreatitis 250 ml/hr Severe acute pancreatitis 300ml/hr
  • 28.
    Ulinastatin in severeacute pancreatitis – Does it work?
  • 29.
     Ulinastatin in mild or severe acute pancreatitis. • Ulinastatin inhibitspro-inflammatory markers ( NFkB) as well as coagulation and fibrinolysis. • Randomized, double-blind, placebo-controlled, multi-centre trial across 15 centres in India - 135 randomized subjects, 129 completed the study; - Alcohol was the cause in majority (81%) - Ulinastatin prevents new organ dysfunction and reduces mortality in subjects with severe pancreatitis Abraham P et al J Assoc Phycians India 2013 Aug;61(8):535-8
  • 30.
  • 31.
    Use of probiotics in the treatment of  severe acute pancreatitis: a  systematic review and meta-analysis of  randomized controlled trials. Probiotics showed neitherbeneficial nor adverse effects on the clinical outcomes of patients with predicted SAP Gou S et al Crit Care 2014 :18(2):R57
  • 32.
    Case 1..   (10/11/14) • ERCP :Cholangiogram showed mild dilatation of bile duct, No calculi - Spincterotomy performed - Double pigtail plastic stent inserted • Bile sent for culture
  • 33.
  • 34.
    Predictors for CBD stones in ABP • Cholangitis (likelihoodratio 18.3) • Jaundice and ultrasound evidence of stones in the common bile duct (likelihood ratio > 10 in each case) • A dilated common bile duct on ultrasound hyperbilirubinemia had likelihood ratios between 4 -7 • More modest predictors included an elevated alkaline phosphatase level, pancreatitis, cholecystitis
  • 35.
    Is ERCP required for all patients with ABP  • ERCP isindicated for all patients with cholangitis • 60% of the patients with gall stones & cholestasis subjected to conservative treatment did not have choledocholithiasis during elective surgery (cholecystectomy and intraoperative cholangiography ) performed during the same hospitalization. (Oria A et al Ann Surg. 2007;245:10–17.) • Waiting for 3-5 days in patients with cholestasis will reduce the number of ERCP by 60 % (morbidity & mortality of ERC avoided) - If no improvement after 3-5 days , EUS/ MRC and ERCP if there are CBD stones
  • 36.
  • 37.
    Is prophylactic CBD stent required during ERCP ? • 162 patientswith choledo-chocystolithiasis underwent ERCP with ES and were divided to two subgroups. - Group A ( 52 patients) with stent insertion and group B (110 patients) with no stent insertion • Prevalence of cholangitis, cholecystitis and emergency cholecystectomy similar in both groups Verzhbitsky et al Surg Endosc 2013 Dec;27(12):4620-4
  • 38.
    Case 1.. 13/11/14. • Developed fever( 102F) with tachycardia (127/mt) and tachypnea ( resp rate : 30/mt) • Cultures : - Bile culture : No growth - Blood culture x2 : No growth • LFT : 1.0/0.4/5.0/2.6/49/87/108; Gamma GT : 211
  • 39.
  • 40.
  • 41.
  • 43.
    Case 1.. Contrast enhancedCT scan: (15/11/14) • CBD with stent in situ • Extensive fluid collection in lesser sac, pelvis and left paracolic pouch; - No air pockets • Extra pancreatic fat necrosis • Bilateral pleural effusion
  • 44.
    Case 1.. • Urineculture : ( 17/11/14) - Growth of > 100,000cfu/ml of Enterococci faeceum; - Sensitive only to Teicoplanin,Linezolid, Vancomycin & Tigecycline • Teicoplanin added following which fever, tachycardia & tachypnea subsided in 3 days.
  • 45.
    Extra pancreatic infectionsin acute pancreatitis • Half of bacterial cultures of pancreatic necrosis are of non-enteric origin, raising the possibility of other sources of infection • Systematic review of 19 studies with 1741 patients - Incidence of Extra-pancreatic infectious complication was 32% with the commonest being respiratory infection (9.2%) and bacteraemia (8.4%) Brown LA et al Pancreatology 2014 Nov-Dec;14(6):436-43
  • 46.
    What is thebest approach to manage a patient with biliary pancreatitis - cholelithiasis & Choledocholithiasis ? Give reasons A ERCP & Spincterotomy , followed by Lap Cholecystectomy B Lap Cholecystectomy followed by ERCP & Spincterotomy C Lap Cholecystectomy with Lap CBD exploration D ERCP & Spincterotomy alone Dr Palaniappan & Dr Manoharan
  • 47.
    • Study on5,079 patients with severe gallstone pancreatitis : • Recurrent pancreatitis after : - ES alone 6.7 % - Cholecystectomy alone 4.4 % - ES followed by cholecystectomy 1.2 % (p < 0.05) • Gallstones related complications in patients treated with ES alone were similar to patients who received no definitive treatment (12.2 vs. 9.4 %) • ES alone only in patients where surgery cannot be performed Mustafa A Surg Endosc 2014 Jan;28(1):127-33 Approach to manage a patient with biliary pancreatitis
  • 48.
    • Single-stage managementis equivalent to two- stage management - Similar post-op morbidity, mortality, conversion to open procedure and length of hospital stay • Patient's condition, operator's expertise and local resources should be taken into account in making treatment decisions Lu J et al World J Gastroenterol 2012 28;18(24):3156-66 L C with Lap CBD exploration vs ES followed by L C
  • 49.
    A B P– Timing of cholecystectomy - Index admission or later date ? Dr Manoharan
  • 50.
    Timing of cholecystectomy- Index admission or later date? • After biliary pancreatitis, cholecystectomy is recommended at : - Same hospital stay for mild pancreatitis - After an interval of 6 wk following an episode of severe pancreatitis Acute Pancreatitis Guidelines Working Group IAP/APA Pancreatology. 2013;13:e1–15
  • 51.
    Case 1 .. •Patient was discharged at request on 21/11/14 and and advised to return for Lap cholecystectomy. • Patient was readmitted in first week of December with abdominal pain & vomiting. No fever or jaundice - S. Amylase : 98 IU; Lipase 120 IU : CRP : 24.7 - LFT : 1.2/0.3/8.2/4.1/21/30/81.Gamma GT : 32 • CECT abdomen : Dr Amarnath
  • 53.
    Case 1.. • CECTabdomen : - Significant improvement over last CT. - Fluid collection reduced in peripancreatic and left pararenal space. - Edematous gall bladder wall suggestive of cholecystitis. • Abdominal pain settled with analgesics • She underwent Lap cholecystectomy and had uneventful recovery. The biliary stent was removed 2 weeks after surgery
  • 54.
    Summary • Issues inmanagement of acute biliary pancreatitis in pregnancy • Aggressive fluid resuscitation in SAP • Extrapancreatic infections in SAP • Management strategies in biliary pancreatitis - Endoscopic - Surgical
  • 55.
    Thank You Panelists Dr GanesanTanjore Dr Manoharan Chennai Dr Palaniappan Chennai Dr Amarnath Chennai