Eosinophilic Pneumonia
Abdalmohsen Ababtain
Senior Resident
Saudi Board for Emergency Medicine
March 31st 2013
Supervised by :
Dr Ghassan Alghamdi
Case
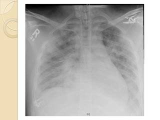
 19 Years old Presented to ER with
  SOB and Sore throat and fever for 2
  Days after coming Back from Makkah
 Has a Hx of atopy (SOB from Dust)
  with positive Family history too
 He Started to smoke cigarettes a
  week ago (a cigarette/day)
Exam
 T 36.8 P:122 BP 120/65            RR
  30
 SpO2 79% RA
 Patient looks in Respiratory Distress
 In Tripod Position
 Equal Bilatral Airentry
 No Wheeze, No Stridor nor drooling
Labs
 WBC 25.6 (mostly Nuetrophilic)
 Lactate 12.3
 Urine Tox Negative
 BG      :
 PH 7.27      Co2 30 Po2 85       Hco3
  14
In ER
 Asthma Management Started In ER
 Patient continue to Deteriorate
 Tubed !
 HIGH Peak and Airway Pressure !
In ICU
 H1N1 & Influenza & Parainfluenza and
  AFB Negative
 Lactate started to Normalized
 BAL Done and ShowedEos 14%


    Acute Eosinophilic Pneumonia
                 !!!
What’s the Fastest Legal Street
Car on Earth ?
Bugatti Veyron Super Sport
   Max Speed 430km/hr
   0-100 km in 2.4 Seconds !!
   1200 hp !!
   Base Price $2,400,000
Eosinophilic Lung Diseases
 Group of Disorders with high
  eosinophils in Lung Parenchyma
 The Defining Characteristics include
  either:
1. Peripheral Blood Eosinophilia with
   Radiological Pulmonary Abnormality
2. Lung tissue eosinophilia in Biopsy
3. High eosinophils in BAL
Eosinophilic Lung Diseases
   Acute Eosinophilic Pneumonia (AEP)
   Chronic Eosinophilic Pneumonia (CEP)
   Helminthic Infections (Löffler's syndrome)
   Non-Helminthic Infection (Coccidioidal
    infection)
   Medications (NSAID)
   Toxins
   Churg-Strauss Syndrome
   Allergic Bronchopulmonary Aspergellousis
    (ABPA)
Toxins
 Scorpion stings
 Inhalation of heroin or crack cocaine
 Inhalation of organic chemicals during
  rubber manufacture
 Inhalation of dust or smoke
 Abuse of 1,1,1-trichloroethane
  (Scotchguard)
Acute eosinophilic pneumonia
   Acute febrile illness with
     Severe hypoxaemia,
     Diffuse pulmonary infiltrates
     Increase in bronchoalveolar lavage
      (BAL) eosinophils
     No evidence of infection or Drug
      ingesion
 Less than 100 cases of AEP have
  been reported to date
 The largest series including only 33
  patients
 An epidemiologic study of this disease
  identified 18 patients with AEP
  among183,000 US military personnel
  deployed in Iraq, all of them were
  smokers, with 78% of them recently
  beginning to smoke
            Chest 2008; 133: 1174–1180
            JAMA 2004; 292:2997–3005
Inhalational exposures
associated with AEP
 Smoke (Most common specially first
  time)
 Passive smoking* !!
 World Trade Center demolition dust
 Firework
 Tear gas bomb explosion
 Gasoline tank cleaning
 Cave exploration
 Woodpile moving
                   Chest 2000;117:277–279
         *Allergology International. 2010;59:421-423
Approach
History :
    Chief complain and Associated symptoms
    Medication
    Chemical and occupational Exposure
     (NSAID, Dust, Smoke)
    Travel Hx (Fungal inf.)
    Respiratory Hx (Asthma)
    Extrapulmonary Involvment
Physical Exam
 Fever
 Tachypnea
 Bibasilar inspiratory crackles or could
  be clear in 20% of Patients
 Hypoxemic respiratory insufficiency is
  frequently identified at presentation
  and often requires mechanical
  ventilation

         Semin Respir Crit Care Med. 2006 Apr;27(2):142-7.
Labs
   Patients generally present with an initial
    neutrophilic leukocytosis
   Blood eosinophilia, However, the
    absence of it does not exclude these
    conditions.
   Any concomitant glucocorticoid therapy
    will suppress blood eosinophilia
   The magnitude of blood eosinophilia
    is not a reliable means to distinguish the
    possible etiologies of pulmonary
    eosinophilia.
   High ESR !
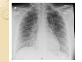
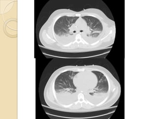
Imaging
 At the Start, Subtle reticular or ground
  glass opacities, often with Kerley B
  lines
 Small pleural effusions are common
Imaging
 High resolution CT ground-glass
  attenuation, airspace consolidation,
  poorly defined nodules.
 The triad of
   • Interlobular septal thickening,
   • Bronchovascular bundle thickening,
     and
   • Pleural effusions
are most suggestive AEP
Eur Respir J 2013; 41: 402–409
BAL
Biopsy
 If BAL is not Revealing
 Biopsy, via a transbronchial or open
  lung biopsy or VATS approach
  depending upon the clinical and
  radiographic findings
Cultures
   If there have been appropriate
    geographic exposures for
    coccidioidomycosis or clinical and
    radiographic findings suggestive of
    ABPA, fungal cultures should be
    obtained
AEP is a diagnosis of exclusion
and Requires :
   An acute febrile illness of short duration
    (usually less than one week)
   Hypoxemic respiratory failure
   Diffuse pulmonary opacities on chest
    radiograph
   BAL eosinophilia >25 percent
   Lung biopsy evidence of eosinophilic
    infiltrates (acute and/or organizing diffuse
    alveolar damage with prominent eosinophilia
    is the most characteristic finding)
   Absence of known causes of eosinophilic
    pneumonia, including drugs, infections.
Treatment
1.   Glucocorticoid administration (preferably after
     blood extraction) is medically indicated if:
    Hypoxemia and in respiratory distress
    If the etiology is either AEP or a medication or
     toxin-elicited AEP
Regimens :
  In the absence of respiratory failure, initial
   treatment is with oral prednisone (40 to 60 mg
   daily).
  In the presence of respiratory failure,
   methylprednisolone (60 to 125 mg every 6 hours)
  Optimal Duration is not yet clear (2-4 wks no diff)*
                  *Eur Respir J 2013; 41: 402–409
After Improvment
Continue oral prednisone in a dose of
   40-60 mg per day for 2-4 weeks
2. Supportive Therapy
3. Smoking Cessation
Recurrence
   Relapse is uncommon and is usually
    associated with resumption of
    cigarette smoking after initial
    cessation
Refrences
 Up to date
 Eur Respir J 2013; 41: 402–409
 Chest 2008; 133: 1174–1180
 JAMA 2004; 292:2997–3005
 Chest 2000;117:277–279
 Semin Respir Crit Care Med. 2006
  Apr;27(2):142-7.
Thank You

Acute eosinophilic pneumonia

  • 1.
    Eosinophilic Pneumonia Abdalmohsen Ababtain SeniorResident Saudi Board for Emergency Medicine March 31st 2013 Supervised by : Dr Ghassan Alghamdi
  • 2.
    Case  19 Yearsold Presented to ER with SOB and Sore throat and fever for 2 Days after coming Back from Makkah  Has a Hx of atopy (SOB from Dust) with positive Family history too  He Started to smoke cigarettes a week ago (a cigarette/day)
  • 3.
    Exam  T 36.8P:122 BP 120/65 RR 30  SpO2 79% RA  Patient looks in Respiratory Distress  In Tripod Position  Equal Bilatral Airentry  No Wheeze, No Stridor nor drooling
  • 5.
    Labs  WBC 25.6(mostly Nuetrophilic)  Lactate 12.3  Urine Tox Negative  BG :  PH 7.27 Co2 30 Po2 85 Hco3 14
  • 6.
    In ER  AsthmaManagement Started In ER  Patient continue to Deteriorate  Tubed !  HIGH Peak and Airway Pressure !
  • 7.
    In ICU  H1N1& Influenza & Parainfluenza and AFB Negative  Lactate started to Normalized  BAL Done and ShowedEos 14% Acute Eosinophilic Pneumonia !!!
  • 10.
    What’s the FastestLegal Street Car on Earth ?
  • 11.
    Bugatti Veyron SuperSport  Max Speed 430km/hr  0-100 km in 2.4 Seconds !!  1200 hp !!  Base Price $2,400,000
  • 12.
    Eosinophilic Lung Diseases Group of Disorders with high eosinophils in Lung Parenchyma  The Defining Characteristics include either: 1. Peripheral Blood Eosinophilia with Radiological Pulmonary Abnormality 2. Lung tissue eosinophilia in Biopsy 3. High eosinophils in BAL
  • 13.
    Eosinophilic Lung Diseases  Acute Eosinophilic Pneumonia (AEP)  Chronic Eosinophilic Pneumonia (CEP)  Helminthic Infections (Löffler's syndrome)  Non-Helminthic Infection (Coccidioidal infection)  Medications (NSAID)  Toxins  Churg-Strauss Syndrome  Allergic Bronchopulmonary Aspergellousis (ABPA)
  • 14.
    Toxins  Scorpion stings Inhalation of heroin or crack cocaine  Inhalation of organic chemicals during rubber manufacture  Inhalation of dust or smoke  Abuse of 1,1,1-trichloroethane (Scotchguard)
  • 15.
    Acute eosinophilic pneumonia  Acute febrile illness with  Severe hypoxaemia,  Diffuse pulmonary infiltrates  Increase in bronchoalveolar lavage (BAL) eosinophils  No evidence of infection or Drug ingesion
  • 16.
     Less than100 cases of AEP have been reported to date  The largest series including only 33 patients  An epidemiologic study of this disease identified 18 patients with AEP among183,000 US military personnel deployed in Iraq, all of them were smokers, with 78% of them recently beginning to smoke Chest 2008; 133: 1174–1180 JAMA 2004; 292:2997–3005
  • 18.
    Inhalational exposures associated withAEP  Smoke (Most common specially first time)  Passive smoking* !!  World Trade Center demolition dust  Firework  Tear gas bomb explosion  Gasoline tank cleaning  Cave exploration  Woodpile moving Chest 2000;117:277–279 *Allergology International. 2010;59:421-423
  • 19.
    Approach History :  Chief complain and Associated symptoms  Medication  Chemical and occupational Exposure (NSAID, Dust, Smoke)  Travel Hx (Fungal inf.)  Respiratory Hx (Asthma)  Extrapulmonary Involvment
  • 20.
    Physical Exam  Fever Tachypnea  Bibasilar inspiratory crackles or could be clear in 20% of Patients  Hypoxemic respiratory insufficiency is frequently identified at presentation and often requires mechanical ventilation Semin Respir Crit Care Med. 2006 Apr;27(2):142-7.
  • 21.
    Labs  Patients generally present with an initial neutrophilic leukocytosis  Blood eosinophilia, However, the absence of it does not exclude these conditions.  Any concomitant glucocorticoid therapy will suppress blood eosinophilia  The magnitude of blood eosinophilia is not a reliable means to distinguish the possible etiologies of pulmonary eosinophilia.  High ESR !
  • 22.
    Imaging  At theStart, Subtle reticular or ground glass opacities, often with Kerley B lines  Small pleural effusions are common
  • 23.
    Imaging  High resolutionCT ground-glass attenuation, airspace consolidation, poorly defined nodules.  The triad of • Interlobular septal thickening, • Bronchovascular bundle thickening, and • Pleural effusions are most suggestive AEP
  • 24.
    Eur Respir J2013; 41: 402–409
  • 25.
  • 26.
    Biopsy  If BALis not Revealing  Biopsy, via a transbronchial or open lung biopsy or VATS approach depending upon the clinical and radiographic findings
  • 27.
    Cultures  If there have been appropriate geographic exposures for coccidioidomycosis or clinical and radiographic findings suggestive of ABPA, fungal cultures should be obtained
  • 28.
    AEP is adiagnosis of exclusion and Requires :  An acute febrile illness of short duration (usually less than one week)  Hypoxemic respiratory failure  Diffuse pulmonary opacities on chest radiograph  BAL eosinophilia >25 percent  Lung biopsy evidence of eosinophilic infiltrates (acute and/or organizing diffuse alveolar damage with prominent eosinophilia is the most characteristic finding)  Absence of known causes of eosinophilic pneumonia, including drugs, infections.
  • 29.
    Treatment 1. Glucocorticoid administration (preferably after blood extraction) is medically indicated if:  Hypoxemia and in respiratory distress  If the etiology is either AEP or a medication or toxin-elicited AEP Regimens :  In the absence of respiratory failure, initial treatment is with oral prednisone (40 to 60 mg daily).  In the presence of respiratory failure, methylprednisolone (60 to 125 mg every 6 hours)  Optimal Duration is not yet clear (2-4 wks no diff)* *Eur Respir J 2013; 41: 402–409
  • 30.
    After Improvment Continue oralprednisone in a dose of 40-60 mg per day for 2-4 weeks 2. Supportive Therapy 3. Smoking Cessation
  • 31.
    Recurrence  Relapse is uncommon and is usually associated with resumption of cigarette smoking after initial cessation
  • 32.
    Refrences  Up todate  Eur Respir J 2013; 41: 402–409  Chest 2008; 133: 1174–1180  JAMA 2004; 292:2997–3005  Chest 2000;117:277–279  Semin Respir Crit Care Med. 2006 Apr;27(2):142-7.
  • 33.