Actinomycosis Lumpy Jaw
disease
Gross and Microscopic Lesions
Actinomycosis Lumpy Jaw disease
• It is a chronic pyogranulomatous disease affecting hard tissue (mandible and maxilla) of
cattle, and characterized by
• Abscess formation in the mandible and maxilla
• Necrosis of bones ( honeycomb).
• Cause : Actinomyces bovis (gram positive long filamentous organism)
• The infection spread through wound caused by sharp object localized or circulated
through lymphatics to become generalized
• Pathoognomic Lesions
• Macrscopic Pictures
• Enlargement ( large abscess) of the mandibular and maxillary bones (lump jaw)
• The affected bones give honeycomb appearance due to destructive rarefaction and
regenerative process containing yellowish or sulfur granules which flow from one or
several sinuses on the skin or in mouth.
• Microscopic Pictures
• The characteristic lesions consist of central irregular shaped mass of
bacterial colonies (small)
• These colonies surrounded by radiating eosinophilic clubs with rounded
ends ( Splendor- Hoeppli material).The clubs usually thick and short
• These colonies are surrounded by 4 zones
• Neutrophills forming adjacent zone
• Macrophages , giant cells and plasma cells zone
• Lymphocytes zone
• Vascular fibrous connective tissue capsule
• The colonies of Actinomyces may undergo calcification
Case Study of Actinomycosis
• A 5-year-old crossbred Jersey cow with a history of 7–8 months old proliferative
overgrowth at the intermandibular region was presented in a veterinary
polyclinic.
• There was partial reduction in appetite; however, the clinical parameters were
found normal. The growth was removed surgically and tissue was processed for
histopathology.
• Grossly, the cut surface of the growth appeared “creamish white with multifocal
pale yellow areas of calcification.”
• Microscopically, multiple granulomas were observed with “the presence of
bacterial colonies and club-shaped reaction product surrounded by strong
neutrophilic reaction.” On the basis of clinical sign and histopathology, it was
diagnosed as a case of actinomycosis (lumpy jaw).
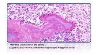
Mandible (Hematoxylin and Eosin)
Large bacterial colonies admixed with Splendore-Hoeppli material.
Mandible (Hematoxylin and Eosin)
Large bacterial colonies admixed with Splendore-Hoeppli material.

Actinomycosis (Lumpy Jaw)

  • 1.
  • 2.
    Actinomycosis Lumpy Jawdisease • It is a chronic pyogranulomatous disease affecting hard tissue (mandible and maxilla) of cattle, and characterized by • Abscess formation in the mandible and maxilla • Necrosis of bones ( honeycomb). • Cause : Actinomyces bovis (gram positive long filamentous organism) • The infection spread through wound caused by sharp object localized or circulated through lymphatics to become generalized • Pathoognomic Lesions • Macrscopic Pictures • Enlargement ( large abscess) of the mandibular and maxillary bones (lump jaw) • The affected bones give honeycomb appearance due to destructive rarefaction and regenerative process containing yellowish or sulfur granules which flow from one or several sinuses on the skin or in mouth.
  • 3.
    • Microscopic Pictures •The characteristic lesions consist of central irregular shaped mass of bacterial colonies (small) • These colonies surrounded by radiating eosinophilic clubs with rounded ends ( Splendor- Hoeppli material).The clubs usually thick and short • These colonies are surrounded by 4 zones • Neutrophills forming adjacent zone • Macrophages , giant cells and plasma cells zone • Lymphocytes zone • Vascular fibrous connective tissue capsule • The colonies of Actinomyces may undergo calcification
  • 4.
    Case Study ofActinomycosis • A 5-year-old crossbred Jersey cow with a history of 7–8 months old proliferative overgrowth at the intermandibular region was presented in a veterinary polyclinic. • There was partial reduction in appetite; however, the clinical parameters were found normal. The growth was removed surgically and tissue was processed for histopathology. • Grossly, the cut surface of the growth appeared “creamish white with multifocal pale yellow areas of calcification.” • Microscopically, multiple granulomas were observed with “the presence of bacterial colonies and club-shaped reaction product surrounded by strong neutrophilic reaction.” On the basis of clinical sign and histopathology, it was diagnosed as a case of actinomycosis (lumpy jaw).
  • 6.
    Mandible (Hematoxylin andEosin) Large bacterial colonies admixed with Splendore-Hoeppli material.
  • 7.
    Mandible (Hematoxylin andEosin) Large bacterial colonies admixed with Splendore-Hoeppli material.