Anterior
Composite
BY:
Ali Mohammed Mahdi
Ali Adnan Jasim
The Anatomy of Anterior
Teeth
Central incisors
Upper central incisor
lower central incisor
Lateral incisors
Maxillary lateral incisor Mandibular lateral incisor
Canine
Maxillary canine Mandibular canine
In composite, there
are some
characteristics you
must restore!
Primary characterization
Tooth
outline(shape)
Incisal
angle
Incisal edge
secondary characterization
(VERTICAL )
Lobs Transitional
line
Groove
Tertiary
characterization
(horizontal )
lines of Retzius
TYPES OF
COMPOSITE
According to the
translucency
The tooth is compose of two layers : Enamel and
Dentine
Dentine is opaque while the Enamel is
translucent
And according to these we have three type of
composite:
Enamel , Universal dentine and Opaque dentine.
Enamel  trans Dentin-universalMedium
opacity
Opaque-dentin High
opacity
The layering system in composite
Two layer of
composite
Enamel  trans
As deep layer
Final
layer
Three layer system composite
Enamel  trans
As middle layer
Final
layer
Opaque-dentin High
opacity
As deep layer
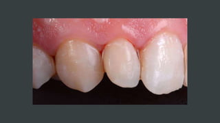
Restoration of CL III, IV
and V
Restoration of CL III
Class III- Smooth surface, involves proximal
surface of anterior tooth.
Clinical Technique for Class III
Direct Composite Restoration
- Cavity preparation
- Isolation
- Etching
- Bonding
- Composite application
- Finishing and polishing
Cl III Cavity Preparation
1-Conventional Class III Tooth Preparation
primary indication for this type of Class III preparation is for the restoration of root surfaces,
preparation the portion on the root surface that has no enamel.
Box-like design
placement of a retention groove (if necessary)
Cl III Cavity Preparation
2-Beveled conventional Class III Tooth Preparation
The beveled conventional tooth preparation for composite
restorations is indicated primarily for replacing an existing defective
restoration in the crown portion of the tooth.
3-Modified Class III tooth Preparation
A modified tooth preparation is the most used type of
Class III tooth preparation. It is indicated for small and
moderate lesions or faults and is designed to be as
conservative as possible
The preparation design appears to be "scooped" or
concave, the cavosurface margins in a beveled
configuration
According to studies
Beveling the enamel margin has benefits as well. It
increases the surface area for retention, improves
esthetics, and enhances the marginal seal
Soliman S, Preidl R, Karl S, Hofmann N,
Krastl G, Klaiber B. Influence of cavity
margin design and restorative material on
marginal quality and seal of extended class II
resin composite restorations in vitro. J Adhes
Dent. 2016 Jan 1;18(1):7-16.
The interface between the composite restoration material and
tooth structure showed maximum tensile stresses during
simulated occlusal forces when tooth was prepared without the
bevel. This could potentially lead to bond failure between resin
composite and tooth structure. Whereas by using the bevel the
tensile stresses were eliminated in the tooth structure dental
material interface.
Apel Z, Vafaeian B, Apel DB, Hussain A.
Occlusal stresses in beveled versus non-
beveled tooth preparation. Biomedical
Engineering Advances. 2021 Dec
1;2:100010.
Cl III Cavity Preparation
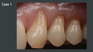
CASES
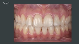
Case 1
To get the best anatomical fit to the
proximal area, the matrix can be
modified.
A flowable composite is placed
in a thin layer and we press the
matrix with the finger on the
buccal side before light-curing.
Then, a small amount of enamel
composite is placed to restore the
proximal wall.
Then the rest of the cavity can be filled.
Although, in this case, only an enamel shade
was used, a body material can be very useful
for this kind of cavities
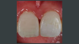
Next we go with the centrals. For a good
management of the space between the
centrals, two matrices are placed at the same
time. The position is very important in order
to create a restoration as close as possible to
the natural shape of the proximal area.
The first central was restored
starting with enamel as
composite. Also a body
material could have worked
very nicely.
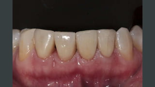
Both matrices were removed to finish the
first restoration. At this stage finishing of the
first restoration is better than doing it at the
end, because we have a plenty of room and
also to manage the proximal shape properly.
The proximal is finished. If the proximal area
of the neighboring tooth is well designed,
creating the contact point and fitting the
matrix will be easier.
The same procedure was used for the other cavity.
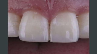
Cl III Cavity Preparation
Case 2
Unica is the simple and ideal matrix for anterior
restorations such as class III, IV, V, direct
stratification composite veneers, and shape
modifications.
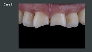
Restoration of CL IV
Class IV tooth preparation is indicated for
restoring proximal areas that also include the
incisal surface of an anterior tooth.
1-Beveled Conventional Class IV Tooth Preparation:
The beveled conventional Class IV tooth preparation is
indicated for restoring large Class IV areas
2-Modified Class IV Tooth Preparation:
The modified Class IV preparation for composite is
indicated for small or moderate Class IV lesions or
traumatic defects.
Clinical Technique for
Class III Direct
Composite Restoration
- Cavity preparation
- Isolation
- Etching
- Bonding
- Composite application
- Finishing and polishing
Restoration of CL IV
CASES
Case 1
Case 2
Case 3
Restoration of CL V
Class V tooth preparations, by definition, are in the
gingival one third of the facial and lingual tooth
surfaces.
Conventional Class V tooth preparation:
A lesion entirely on root surface.
Beveled Conventional Class V Tooth reparation:
The beveled conventional Class V tooth preparation
ha margins and is indicated either for: (1) The
replacement of defective Class V restoration or (2)
For a large, new carious lesion
Modified Class V retention form Tooth Preparation:
The modified Class V tooth preparation is indicated
for the restoration of small and moderate Class V
lesions or defects.
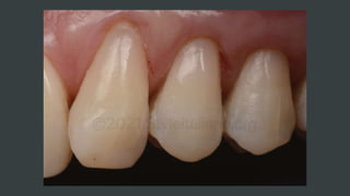
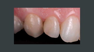
Restoration of CL V
CASES
Case 1
Case 2
Case 3
To test the gum compression
To test the proper size
Thankyou

Anterior composite Dr. Ali Mohammed

  • 1.
  • 2.
    The Anatomy ofAnterior Teeth
  • 3.
    Central incisors Upper centralincisor lower central incisor
  • 4.
    Lateral incisors Maxillary lateralincisor Mandibular lateral incisor
  • 5.
  • 6.
    In composite, there aresome characteristics you must restore!
  • 7.
  • 8.
  • 9.
  • 10.
  • 11.
    The tooth iscompose of two layers : Enamel and Dentine Dentine is opaque while the Enamel is translucent And according to these we have three type of composite: Enamel , Universal dentine and Opaque dentine. Enamel trans Dentin-universalMedium opacity Opaque-dentin High opacity
  • 12.
    The layering systemin composite Two layer of composite Enamel trans As deep layer Final layer Three layer system composite Enamel trans As middle layer Final layer Opaque-dentin High opacity As deep layer
  • 13.
    Restoration of CLIII, IV and V
  • 14.
    Restoration of CLIII Class III- Smooth surface, involves proximal surface of anterior tooth. Clinical Technique for Class III Direct Composite Restoration - Cavity preparation - Isolation - Etching - Bonding - Composite application - Finishing and polishing
  • 15.
    Cl III CavityPreparation 1-Conventional Class III Tooth Preparation primary indication for this type of Class III preparation is for the restoration of root surfaces, preparation the portion on the root surface that has no enamel. Box-like design placement of a retention groove (if necessary)
  • 16.
    Cl III CavityPreparation 2-Beveled conventional Class III Tooth Preparation The beveled conventional tooth preparation for composite restorations is indicated primarily for replacing an existing defective restoration in the crown portion of the tooth. 3-Modified Class III tooth Preparation A modified tooth preparation is the most used type of Class III tooth preparation. It is indicated for small and moderate lesions or faults and is designed to be as conservative as possible The preparation design appears to be "scooped" or concave, the cavosurface margins in a beveled configuration
  • 17.
    According to studies Bevelingthe enamel margin has benefits as well. It increases the surface area for retention, improves esthetics, and enhances the marginal seal Soliman S, Preidl R, Karl S, Hofmann N, Krastl G, Klaiber B. Influence of cavity margin design and restorative material on marginal quality and seal of extended class II resin composite restorations in vitro. J Adhes Dent. 2016 Jan 1;18(1):7-16. The interface between the composite restoration material and tooth structure showed maximum tensile stresses during simulated occlusal forces when tooth was prepared without the bevel. This could potentially lead to bond failure between resin composite and tooth structure. Whereas by using the bevel the tensile stresses were eliminated in the tooth structure dental material interface. Apel Z, Vafaeian B, Apel DB, Hussain A. Occlusal stresses in beveled versus non- beveled tooth preparation. Biomedical Engineering Advances. 2021 Dec 1;2:100010.
  • 18.
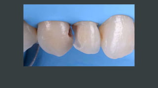
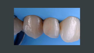
    Cl III CavityPreparation CASES
  • 19.
  • 22.
    To get thebest anatomical fit to the proximal area, the matrix can be modified.
  • 24.
    A flowable compositeis placed in a thin layer and we press the matrix with the finger on the buccal side before light-curing. Then, a small amount of enamel composite is placed to restore the proximal wall.
  • 25.
    Then the restof the cavity can be filled. Although, in this case, only an enamel shade was used, a body material can be very useful for this kind of cavities
  • 26.
    Next we gowith the centrals. For a good management of the space between the centrals, two matrices are placed at the same time. The position is very important in order to create a restoration as close as possible to the natural shape of the proximal area. The first central was restored starting with enamel as composite. Also a body material could have worked very nicely.
  • 27.
    Both matrices wereremoved to finish the first restoration. At this stage finishing of the first restoration is better than doing it at the end, because we have a plenty of room and also to manage the proximal shape properly. The proximal is finished. If the proximal area of the neighboring tooth is well designed, creating the contact point and fitting the matrix will be easier.
  • 28.
    The same procedurewas used for the other cavity.
  • 30.
    Cl III CavityPreparation Case 2 Unica is the simple and ideal matrix for anterior restorations such as class III, IV, V, direct stratification composite veneers, and shape modifications.
  • 38.
    Restoration of CLIV Class IV tooth preparation is indicated for restoring proximal areas that also include the incisal surface of an anterior tooth. 1-Beveled Conventional Class IV Tooth Preparation: The beveled conventional Class IV tooth preparation is indicated for restoring large Class IV areas 2-Modified Class IV Tooth Preparation: The modified Class IV preparation for composite is indicated for small or moderate Class IV lesions or traumatic defects. Clinical Technique for Class III Direct Composite Restoration - Cavity preparation - Isolation - Etching - Bonding - Composite application - Finishing and polishing
  • 39.
  • 40.
  • 47.
  • 63.
  • 73.
    Restoration of CLV Class V tooth preparations, by definition, are in the gingival one third of the facial and lingual tooth surfaces. Conventional Class V tooth preparation: A lesion entirely on root surface. Beveled Conventional Class V Tooth reparation: The beveled conventional Class V tooth preparation ha margins and is indicated either for: (1) The replacement of defective Class V restoration or (2) For a large, new carious lesion Modified Class V retention form Tooth Preparation: The modified Class V tooth preparation is indicated for the restoration of small and moderate Class V lesions or defects.
  • 74.
  • 75.
  • 85.
  • 93.
  • 94.
    To test thegum compression To test the proper size
  • 100.