Оболонки головного і спинного
мозку. Спинномозкова рідина
• Оболонки головного і спинного мозку
виконують насамперед захисну функцію:
– тверда мозкова оболонка (dura mater),
– павутинна оболонка (arachnoidea),
– м'яка мозкова оболонка (pia mater).
1
• Тверда оболонка
складається з двох листків:
– зовнішній листок утворює
окістя кісток черепа та
спинномозкового каналу;
– внутрішній листок:
• у черепній коробці щільно
зростається із зовнішнім і
тільки в деяких місцях листки
твердої оболонки
розходяться утворюючи
синуси.
• у спинномозкового каналі
листки твердої мозкової
оболонки не зростаються -
між ними знаходиться
епідуральний простір, який
заповнений жировою
клітковиною.
2
3
4
5
6
• Павутинна оболонка головного
мозку розміщується під твердою і
не має судин.
• між твердою та павутинною -
субдуральний простір
• між павутинною та м’якою —
підпавутинний простір,
заповненим спинномозковою
рідиною.
• Підпавутинний простір в межах
черепної коробки місцями
розширюється - цистерни
головного мозку.
• Цистерни головного мозку
знаходяться в основному на нижній
(базальній) його поверхні.
• В межах спинного мозку
розширення підпавутинного
простору виражене нижче
закінчення спинного мозку в
ділянці кінського хвоста – кінцева
цистерна.
7
• Усі підпавутинові цистерни зєднуються між собою, а
також, за допомогою отворів Мажанді і Лушки – з
порожниною чертвертого шлуночка. 8
Великі цистерни головного мозку
• Велика (мозочково-мозкова) цистерна (cisterna magna, c. cerebellomedullaris) –
сама велика цистерна, яка обмежена мозочком, довгастим мозком та потиличною
кісткою.
• Цистерна моста (препонтинна) - розташовується наперед від моста мозку, містить
базилярну артерію. Зєднується позаду з мосто-мозочково-мозковою цистерною та
субарахноідальним простором спинного мозку, попереду – з міжніжковою
цистрною.
• Базальна цистерна (c. suprasellar) має п'ятикутну форму, включає міжніжкову
цистерну (між ніжками мозку) і цистерну перехреста (між перехрестом зорових
нервів і лобними частками).
• Чотиригорбкова цистерна (вени Галена) (c. quadrigeminalis) розташовується між
мозолистим тілом і мозочком; у її ділянці можуть розташовуватись
субарахноідальні кисти
• Обвідна (охоплююча; по Синельникову - обхідна) цистерна (c. ambient) - канал
неправильної форми, що проходить по бокам ніжок мозку і даху середнього
мозку; сполучається з мостовою і міжніжковою цистернами спереду і
чотирегорбиковою цистерною ззаду.
• Цистерна бічної ямки великого мозку (cisterna fossae lateralis cerebri) -
розташовується в латеральній борозні великого мозку.
9
10
11
12
13
14
15
16
17
18
Цистерни головного мозку
(B. Liliequist, 1959)
• I. Цистерни задньої черепної ямки
• велика цистерна мозку (Галена);
• цистерни довгастого мозку (передня, бокова);
• цистерни мостомозочкового кута;
• цистерни моста (передня, бокові).
• II. Супраселярні цистерни
• міжніжкова цистерна;
• ніжкові цистерни;
• хіазмальна цистерна;
• цистерни нюхових борозн.
• III. Цистерни тенторіальної вирізки
• Охоплюючі цистерни (супратенториальна їх частина);
• цистерни, розташовані позаду подушки таламуса (або крила
охоплюючих цистерн);
• чотирьохгорбкова цистерна;
• Цистерна великої вени мозку (Галена);
• цистерна проміжного паруса;
• прецентральна мозочкова цистерна;
• верхня мозочкова цистерна.
• IV. Цистерни основних щілин мозку
• Міжпівкульна цистерна;
• цистерна навколо мозолистого тіла;
• цистерни бокових (сільвієвих) щілин мозку.
19
М'яка оболонка
головного мозку:
– вкриває речовину
мозку,
– багата на судини і
нерви,
– тісно пов'язана з
мозковою речовиною,
– заходить у глибину
мозку вздовж судин
(навколосудинні
простори).
– бере участь в утворенні
судинних сплетень
(проникаючи у
шлуночки мозку).
20
Розширений простір Вірхова-Робена
21
• МРТ, Т1-зважене зображення в аксіальній площині. Гіпоінтенсивна
ділянка в правій лушпині. На Т2-зображенні цей простір виглядає
гіперінтенсивним по відношенню до паренхіми головного мозку.
Арахноїдальна киста
• Арахноїдальна киста — лікворна киста, стінки якої сформовані
клітинами павутинної оболонки або рубцевим колагеном.
• Арахноідальні кісти розташовуються між поверхнею мозку та
павутинною (арахноідальною) оболонкою.
• Первинні (істинні) арахноідальні кісти — вроджені утворення,
• Вторинні виникають після перенесеного менінгіту,
оперативного втручання, при синдромі Марфана, агенезії
мозолистого тіла і т. д.;
• при вторинних арахноідальних кістах їх стінкою є
арахноідальний рубець.
• Арахноідальні кісти в 4 рази частіше зустрічаються у чоловіків;
звичайно локалізуються в межах багатих арахноідальними
оболонками лікворних цистерн, розширюючи їх.
• Частіше арахноідальні кісти утворюються в середній черепній
ямці, назовні від скроневих часток головного мозку.
22
Симптоматика
• Арахноїдальні кісти виявляються у 4 % населення.
• Арахноідальні кісти або безсимптомні, або
проявляються до 20-літнього віку.
• Характер і вираженість симптомів залежать від
локалізації та размірів кист, що утруднює діагностику.
• Арахноідальні кісти можуть супроводжуватись
головним болем, нудотою та блюванням, атаксією,
судомним синдромом та іншою неврологічною
симптоматикою
• Частіше переважає загальномозкова симптоматика, яка
повязана з вторинною гідроцефалією, рідше —
вогнищева симптоматика.
• Спинномозкова арахноідальна кіста може симулювати
грижу міжхребцевого дискау.
23
Діагностика
• Арахноідальні кісти звичайно виявляються
та диференціюються з іншими видами кіст
при МРТ-дослідженні, часто як «знахідка»
при обстеженні з іншого приводу.
24
Арахноїдальна киста
25
• МРТ, Т2-зображення в аксіальній площині (а) і Т1-зображення у
фронтальній площині (Ь).
• Арахноїдальна киста в полюсі скроневої частки з сигналом,
ізоінтенсивним ЦСР.
Лікування
• Лікування арахноїдальних кіст показане при
маніфестації симптомів.
• Існують різноманітні методи декомпресії
арахноїдальних кіст:
– Шунтування: дренування в субдуральний
простір або черевну порожнину
– Фенестрація: краніотомія з посіченням кісти,
різні ендоскопічні методики, включаючи
лазерні
– Дренування методом голкової аспірації
26
ЦЕРЕБРОСПІНАЛЬНА РІДИНА (ЦСР)
• Велика частина ЦСР продукується
хореїдальними сплетеннями.
• Невеликий об'єм ЦСР виробляється також
кровоносними судинами
субепендимальною ділянкою і м'якою
мозковою оболонкою.
• Ворсинчасті сплетення розташовуються в
шлуночковій системі, переважно в бічних і
четвертому шлуночках.
27
• ЦСР виробляється з швидкістю приблизно
25 мм3/годину (приблизно 500 мм3/доб).
• Об'єм ЦСР у середньостатистичної здорової
дорослої людини складає приблизно 100 -
150 мм3.
28
Спинномозкова рідина забезпечує нормальне
функціонування центральної нервової системи:
– механічний захист мозку;
– участь в обміні речовин: живить мозкову тканину та
виводить продукти обміну,
– підтримує сталість внутрішнього середовища мозку.
Склад спинномозкової рідини:
– вода,
– клітини (лімфоцити),
– білкові речовини,
– глюкоза,
– електроліти,
– мікроелементи,
– вітаміни,
– гормони.
29
Циркуляция ЦСЖ
• Ворсинчасте сплетення—>
• бічний шлуночок —>
• міжшлуночковий отвір
Монро—>
• третій шлуночок—>
• сільвіїв водопровід—>
• четвертий шлуночок—>
• парний латеральний отвір
Люшка і непарний медіальний
отвір Мажанди—>
• субарахноїдальний простір—>
• грануляція павутинової
оболонки (пахіонові
грануляції)—>
• синуси твердої оболонки—>
• венозна система.
30
31
• Сполучна (сообщающаяся) гідроцефалія – це
розширення шлуночків мозку внаслідок
блокування відтоку ЦСР за межами
шлуночкової системи (тобто дистальніше
отвору Мажанді);
• в цьому випадку шлуночки вільно
сполучаються з субарахноідальним простором.
• Обструктивна (несполучна) гідроцефалія –
розширення шлуночків внаслідок блокування
відтоку ЦСР всредині шлуночкової системи
(тобто вище отвора Мажанді).
32
Обстурктивна некомунікативна
гідроцефалія.
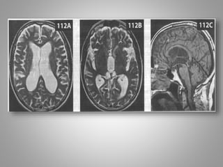
• Дитина із скаргами на головний біль вранці.
• Отримані зображення
• Помітне розширення III і бічних шлуночків на Т2-
зважених зображеннях (110 А, В). На сагітальному
знімку в режимі Т1 (110С) видно розтягнутий III
щлуночок і нормальний за розміром IV шлуночок.
• Крім того, є очевидний стеноз або оклюзія сільвієвого
водопроводу.
• Коли виявляють розширені шлуночки, в
першу чергу треба відрізнити атрофію від
гідроцефалії.
• Наступний крок полягає у визначенні, чи є
гідроцефалія наслідком:
– підвищеної продукції ЦСР (папілома судинного
сплетення),
– обструкції або порушення резорбції ЦСР (у
переважній більшості випадків).
• Далі необхідно з'ясувати, до якого підтипу
відноситься обструктивна гідроцефалія:
• комунікативному (сполучна) або
• некомунікативному.
• При некомунікативній гідроцефалії є
механічна перешкода між судинними
сплетеннями, де утворюється ЦСР, і
вихідними отворами в IV шлуночку.
• Як правило, перешкоди існують в ділянці
отвору Монро і сільвієвого водопроводу.
39
• При сполучній гідроцефалії обструкція
лікворних шляхів відбувається дистальніше,
найчастіше в ділянці пахіонових
(арахноїдальних) грануляцій, де
відбувається резорбція ЦСР.
• Оскільки розширення шлуночків виникає
проксимальніше перешкоди, його
локалізацію зазвичай можна припустити,
оцінюючи розміри кожного шлуночку
окремо.
• Список диференціальних діагнозів при
гідроцефалії великий і залежить від рівня
обструкції.
• В даному випадку причиною
некомунікативної гідроцефалії є стеноз
водопроводу.
• Помітне розширення III і бічних шлуночків на Т2-
зважених зображеннях (110 А, В). На сагітальному
знімку в режимі Т1 (110С) видно розтягнутий III
щлуночок і нормальний за розміром IV шлуночок.
• Крім того, є очевидний стеноз або оклюзія
сільвієвого водопроводу.
• Тільки у 0,5% випадків гідроцефалія
викликана підвищеною продукцією ЦСР,
тому основним завданням є розрізнити:
• комунікативний і
• некомунікативний підтипи
• обструктивної гідроцефалії.
• Завжди треба ретельно шукати патологічне
утворення, що перешкоджає відтоку ЦСР,
керуючись тим, що перешкода може
викликати тільки проксимальну дилатацію.
• Таким чином, розширення усіх чотирьох
шлуночків передбачає комунікативну
гідроцефалію.
• При цьому зазвичай не виявляють виразного
патологічного утворення.
• Обструкція пахіонових грануляцій має
мікроскопічні розміри; її причиною зазвичай
служать продукти розпаду компонентів крові
або білок за наявності попередньої геморрагії
або інфекції.
Ключові пункти
• Гідроцефалія - це результат різноманітних
патологічних процесів, а не самостійне
захворювання.
• Існуюча термінологія базується на механізмі
розвитку гідроцефалії, найчастіше (>99%
випадків) це порушення відтоку ЦСЖ.
• Обструктивна гідроцефалія підрозділяється на
некомунікативну і комунікативну - залежно від
того, де виникає обструкція : проксимальніше
чи дистальніше за вихідні отвори IV шлуночку.
Гідроцефалія з нормальним тиском
ліквора (нормотензивна
гідроцефалія G 91.2)
• Пациєнт з затрудненим початком ходи.
Отримані знімки:
I. Чи відповідають розміри шлуночків
ступеню втрати обєму периферичної
кори?
II. Що демонструє загальний характер
гідроцефалії?
III. Де відбувається резорбція ЦСР?
• Ці знахідки відповідають комунікативному
(сполучному) підтипу гідроцефалії (II).
• Діагноз «гідроцефалія з нормальним
внутрішньочерепним тиском»
(нормотензивна) є клінічним і потребує:
1. Візуального виявлення сполучної
гідроцефалії з нормальним тиском ЦСР
2. Наявність хоча б однієї з трьох наступних
ознак класичної тріади:
1. аномалія ходи,
2. неутримання сечі,
3. ментальна недостатність.
Диференційна діагностика
• В першу чергу, диференційну діагностику
проводять зі зниженням об'єму
мозку/атрофією.
• На користь сполучної гідроцефалії свідчить
невідповідність співвідношення
шлуночки/борозни.
• Шлуночки розтягнуті занадто сильно по
рівняно зі ступенем зменшення
кортикального об'єму та рельєфністю борозн.
• Однак часто буває важко
відрізнити гідроцефалію від
атрофії, оскільки у пацієнтів
з комунікативною
гідроцефалією має місце
деякий ступінь втрати обєму
мозку.
• Зверніть увагу на те, що при
гідроцефалії з нормальним
тиском сільвієві щілини
також розширені.
Кореляція між патоморфологічними і
клінічними ознаками
• Гідроцефалія з нормальним тиском це
особливий стан, природа якого не зовсім
зрозуміла.
• Припущення про наявність у хворого ГНТ
можно зробити якщо:
– при візуалізації виявлена диспропорція між
розміром шлуночків та рельєфом бороз,
– а анамнез пацієнта відповідає клінічній тріаді:
• порушення ходи
• деменція
• порушення сечовипускання.
• Хоча причина ГНТ
не зовсім
зрозуміла,
представляється,
що основна
аномалія пов'язана
зі зниженням
резорбції ЦСР в
ділянці пахіонових
(арахноїдальних)
грануляцій.
• Приблизно у половини пацієнтів причина
зниження резорбції ЦСР є відомою
(зазвичай цей попередній
субарахноїдальний крововилив або
менінгіт), але у іншої половини хворих
гідроцефалію описують як ідіопатичну.
• Існує теорія, яка пояснює
ідіопатичні випадки тим, що
функція пахіонових
грануляцій у таких людей
порушена з народження, а
ЦСР резорбується через
додаткові паренхіматозні
трансвенозні канали.
• У міру старіння пацієнта і
виникнення захворювання
дрібних судин ці додаткові
шляхи ушкоджуються і
більше не можуть служити
для відтоку рідини.
• Ця теорія відповідає характеру початку
захворювання.
• У пацієнтів з відомою причиною
комунікативної гідроцефалії вона
починається у більш ранньому віці, тоді як в
ідіопатичних випадках початок
захворювання доводиться на вік старше 60
років і зазвичай є супутнє захворювання
дрібних судин.
• Незалежно від причини наступним кроком
в розвитку захворювання є транзиторне
підвищення тиску в шлуночках, який
призводить до розширення бічних і III
шлуночків.
• У міру збільшення розміру шлуночків тиск в
них знижується до нормальних цифр і
встановлюється компенсована форма
комунікативної гідроцефалії з нормальним
тиском ліквору.
• У цих пацієнтів розмір шлуночків не
повертається до нормального, а
залишається збільшеним тривалий час.
• Встановлено, що це відбувається через
вроджену аномалію пружноеластичних
властивостей ураженої паренхіми, що,
кінець кінцем, призводить до зниження її
податливості до пульсації ЦСР(обумовленій
струмом крові в артеріях).
• Оскільки сила дорівнює тиску, помноженому
на площу(F = Р х А), то навіть при нормальному
тиску пульсація ЦСР стає "водним молотком",
який б'є по суміжній паренхімі із-за значно
збільшеної площі поверхні шлуночків.
• Це передусім порушує роботу
паравентрикулярних шляхів, які управляють
нижніми кінцівками, і клінічно проявляється
порушеннями ходи.
• Лікування може бути різним.
• Деяким пацієнтам допомагає шунтування
шлуночків.
• Існує декілька тестів, які дозволяють
встановити, чи буде така процедура
корисною для пацієнта.
• Знахідки на МРТ, що підтверджують
гіпердинамічну пульсацію ЦСР, дозволяють
припустити, що шунтування виявиться
ефективним.
• У деяких центрах для виявлення пацієнтів з
підвищеною швидкістю струму ЦСР через
водопровід застосовують більше
специфічний метод - кількісну фазово-
контрастну візуалізацію швидкості струму
ЦСР.
• У клініці часто використовують tap- тест.
• Для його проведення видаляють 50-60 мл
ліквору і потім спостерігають за пацієнтом.
• Тим пацієнтам, у яких відбувається зменшення
симптоматики, показана процедура
шунтування.
НОРМОТЕНЗИВНА ГІДРОЦЕФАЛІЯ
• 80-річний пенсіонер протягом кількох місяців
страждає від нетримання сечі, котре спочатку
пояснювали доброякісною гіпертрофією
простати.
• Проте, із часом у нього розвинулася нестійкість
ходи, що кілька разів супроводжувалася
падіннями.
• Також пацієнт скаржиться, що при пересуванні
він інколи не може відірвати ногу від підлоги.
• Сімейний лікар хворого скеровував його на
МРТ головного мозку і по результатах
останньої відправив до шпиталю.
МРТ хворого із нормотензивною
гідроцефалією (сполучною)
• Рис. А. Аксіальний зріз у Т2-режимі. Рис. В. Фронтальний зріз.
• Шлуночки непропорційно збільшені відносно субарахноїдального
простору.
• Зображення недостатньо чіткі внаслідок рухів хворого: такі пацієнти
часто унаслідок асоційованої деменції неспроможні лежати нерухомо
під час сканування.
• При розмові із лікуючим лікарем у
стаціонарі жінка стверджує, що пацієнт
протягом останніх кількох місяців став
забудькуватий і неуважний.
• При неврологічному обстеженні виявлено
нестійку апрактичну ходу.
• Клінічні і радіологічні дані були сумісні із
діагнозом нормотензивної гідроцефалії.
• Уважається, що цей діагноз підтверджується фактом
скороминучого поліпшення ходи після видалення
певної кількості спинномозкової рідини.
• Навіть у нашого настільки ослабленого хворого
забір 40 мл ліквору під час люмбальної пункції
спричинив покращення амбулаторних
можливостей, а також повне зникнення
нетримання.
• Натомість, когнітивні проблеми продовжували
персистувати.
• Пацієнта перевели в нейрохірургічне відділення з
метою накладання шунта.
• Через кілька місяців після втручання хода і функції
сечового міхура стабілізувалися, когнітивні
симптоми утримувалися, але не прогресували.
Ключові пункти
• ГНТ - це малозрозуміла форма
компенсованої комунікативної гідроцефалії.
• Діагноз ГНТ ставлять швидше клінічно, чим
на основі візуалізації.
• ГНТ - це форма потенційно оборотної
деменції, оскільки у деяких пацієнтів після
шунтування шлуночків настає поліпшення
стану.
СПОЛУЧНА ГІДРОЦЕФАЛІЯ
• Жінка віком 56 років, за фахом хірург,
звернулася до лікарів з приводу погіршення
пам’яті, втрати впевненості при виконанні
професійних маніпуляцій і дисфоричного
настрою, котрий не реагував на
антидепресанти.
• Ці симптоми наростали протягом останніх 5
років і спричинили ранній вихід на пенсію.
• При фізикальному обстеженні виявлено
велику окружність голови (59 см) і
випинання лоба.
• У неврологічному статусі — двобічний
позитивний долонно-підборідний рефлекс,
розладів ходи і сечовипускання немає.
• МРТ в Т1-режимі засвідчила виражене збільшення бічних, третього і
четвертого шлуночків зі згладженням субарахноїдального простору.
• Не виявлено значної епендимальної абсорбції ліквору, у
перивентрикулярних ділянках наявно кілька невеликих
гіперінтенсивних зон, плин спинномозкової рідини через водопровід і
отвір Мажанді не порушений.
• Було встановлено діагноз задавненої
сполучної гідроцефалії.
• Дані МРТ, проведеної через 1 рік, не
засвідчили змін.
• Протягом 18 місяців подальшого
спостереження серійні нейропсихологічні
дослідження постійно констатували:
– помірний когнітивний дефіцит,
– розлади короткотермінової пам’яті,
– порушення здатності до розв’язання дискретних
проблем та інших виконавчих функцій.
• Вищеописане вкладалося в синдром лобної
частки.
• З огляду на клінічну, радіологічну й
нейропсихологічну стабільність стану
пацієнтки, від накладання вентрикулярного
шунта відмовилися.
Деякі особливості КТ
79
• Ширина шлуночків і
поверхневого САП
поступово
збільшується з віком.
• Оскільки головний
мозок дитини
заповнює порожнину
черепа цілком,
зовнішній САП ледве
візуалізується.
• З віком борозни
розширюються, і СМР
стає помітнішою між
корою головного
мозку і склепінням
черепа.
• У деяких пацієнтів це фізіологічне зменшення
об'єму кори особливе помітно в лобових
долях.
• Простір між ними і лобовою кісткою стає
досить великим.
• Ця так звана лобова «інволюція головного
мозку" не повинна помилково вважатися
патологічною атрофією мозку або
природженою мікроцефалією.
• Якщо КТ-сканування, зображене на
малюнку було виконане літньому
пацієнтові, дослідник повинен був
би разцінити згладжені звивини,
як дифузний набряк головного
мозку.
• Перш ніж ставити діагноз набряку
чи атрофії головного мозку, ви
завжди повинні звернути увагу на
вік пацієнта.
Гіперостоз лобової кістки (синдром
Стюарта-Морела)
• Є варіантом норми і
характерний для пацієнток
середнього віку.
• Внутрішня поверхня лобової
кістки потовщена, іноді має
хвилястий контур.
• У сумнівних випадках
кісткове вікно допоможе вам
відрізнити нормальну
губчасту структуру кістки від
злоякісної інфільтрації.
• Неповне злиття прозорої
перетинки як особливість
розвитку, може привести до
формування так званої кісти
прозорої перетинки.
• Зазвичай до процесу
залучається тільки частина
перетинки, яка розташована
між передніми рогами бічних
шлуночків.
• Рідше киста поширюється на
• весь простір до задніх рогів
• Одно з найбільш важливих
правил інтерпретації КТ-
зображень – завжди
зіставляти декілька сусідніх
зрізів.
• Якщо голова пацієнта під
час сканування навіть
трохи нахилена, то,
наприклад, один бічний
шлуночок(133) може
визначатися на зрізі(dS), а
протилежний не
потрапляти в нього.
• При цьому на зображенні
видно тільки його верхній
полюс.
• У зв'язку з тим, що
верхній полюс шлуночку
займає не усю товщину
зрізу, його зображення
стає нечітким, щільність
знижується, і його можна
помилково прийняти за
область інсульту.
• При зпівставленні цього
зрізу з нижче
розташованим ситуація
проясняєтся, оскільки
явно визначається
асиметрія контура бічних
шлуночків.
ПИТАННЯ ELEX
89
Епiдуральний простiр хребтового
каналу знаходиться:
• Мiж листками твердої оболонки
• Мiж твердою та павутинною оболонками
• Мiж твердою та м'якою оболонками
90
Субдуральний простiр хребтового
каналу знаходиться:
• Мiж листками твердої оболонки
• Мiж твердою та павутинною оболонками
• Мiж твердою та м'якою оболонками
91
Субарахноїдальний простiр
хребтового каналу знаходиться:
• Мiж твердою та павутинною оболонками
• Мiж твердою та м'якою оболонками
• Мiж павутинною та м'якою оболонками
92
ПИТАННЯ ELEX (РОЗДІЛ 3.
МЕТОДИ ДОСЛІДЖЕННЯ)
93
Симптоми, якi складають
менiнгеальний синдром:
• Симптом Кернiга, симптоми Брудзинського
(верхнiй, середнiй, нижнiй), ригiднiсть
потиличних м'язiв, симптом Бехтерєва
виличний
• Симптом Дежерiна, симптом Кернiга, симптом
Вейс-Едельмана, ригiднiсть потиличних м'язiв
• Симптом Брунса, симптом Кернiга-Ласега,
симптом Брудзинського, ригiднiсть потиличних
м'язiв
94
Зниження вмiсту цукру в спинномозковiй
рiдинi є патогномонiчним для:
• Грипозного менiнгоенцефалiту
• Герпетичного менiнгоенцефалiту
• Туберкульозного менiнгоенцефалiту
95
Синдром бiлково-клiтинної дисоцiацiї у
лiкворi характеризується:
• Переважним пiдвищенням вмiсту бiлка
вiдносно рiвня цитозу
• Рiвнозначним пiдвищенням вмiсту бiлка та
рiвня цитозу
• Переважним пiдвищенням рiвня цитозу
вiдносно пiдвищення вмiсту бiлка
96
Синдром клiтинно-бiлкової дисоцiацiї у
лiкворi характеризується:
• Переважним пiдвищенням рiвня цитозу
вiдносно вмiсту бiлка
• Рiвнозначним пiдвищенням вмiсту бiлка та
рiвня цитозу
• Переважним пiдвищенням вмiсту бiлка
вiдносно рiвня цитозу
97
Синдром бiлково-клiтинної дисоцiацiї у
лiкворi спостерiгається при:
• Пухлинах головного та спинного мозку,
полiрадикулоневритах
• Пухлинах головного мозку, розсiяному
склерозi
• Вiрусних менiнгоенцефалiтах, абсцесах
мозку
98
У нормi в 1 кубiчному мiлiметрi
лiквору кiлькiсть клiтин становить:
• До 6
• До 12
• До 15
99
Наявнiсть змiнених еритроцитiв у лiкворi
заперечує дiагноз герпетичного енцефалiту:
• Так
• Нi
100
Наявнiсть 1 - 2 нейтрофiлiв у лiкворi
вказує на патологiю:
• Нi
• Так
101
Синдром менiнгiзму означає:
• Наявнiсть менiнгеального синдрому та
лiмфоцитарного плеоцитозу в лiкворi
• Наявнiсть менiнгеального синдрому за
вiдсутностi плеоцитозу в лiкворi
• Наявнiсть менiнгеального синдрому та
нейтрофiльного плеоцитозу в лiкворi
102
Лiквор рiвномiрного рожевого забарвлення в трьох
пробiрках з переважним вмiстом змiнених
еритроцитiв вказує на:
• Субарахноїдальний крововилив
• Артефактну кров у лiкворi
• Вiрусно-геморагiчний менiнгоенцефалiт
• Бактерiально-геморагiчний
менiнгоенцефалiт
103
Для диференцiйної дiагностики походження кровi в лiкворi
(кров субарахноїдального походження або супутня кров iз
судинного сплетiння) використовується:
• Центрифугування лiквору
• Проба Квеккенштедта
• Виявлення ореола лiквору на
фiльтрувальному паперi
104
Можливiсть випадiння плiвки в
лiкворi залежить вiд:
• Вмiсту бiлка в лiкворi
• Рiвня плеоцитозу
• Як вiд вмiсту бiлка, так i вiд рiвня
плеоцитозу
105
Лiквор у гострому перiодi мiєлiту
характеризується:
• Клiтинно-бiлковою дисоцiацiєю
• Бiлково-клiтинною дисоцiацiєю при
наявностi плеоцитозу
• Нормальною кiлькiстю клiтин та
нормальним вмiстом бiлка
106
ПИТАННЯ ELEX (РОЗДІЛ 7.
СУДИННІ ЗАХВОРЮВАННЯ)
107
Вiдтiк венозної кровi вiд головного
мозку забезпечується:
• Через пахiоновi грануляцiї, судинне
сплетення шлуночкiв та вени мозку
• Через вени i синуси твердої мозкової
оболонки
108
Основнi синуси твердої оболонки
головного мозку:
• Прямий
• Кавернозний
• Нижнiй та верхнiй кам'янистi
• Сигмоподiбний
• Нижнiй та верхнiй сагiтальний
• Потиличний
109
Непарнi синуси твердої оболонки
головного мозку:
• Потиличний, верхнiй кам'янистий,
кавернозний
• Прямий, заднiй та переднiй
мiжкавернозний
110
Велика вена мозку впадає:
• У прямий синус
• У сигмоподiбний синус
• У верхнiй кам'янистий синус
111
Синус, який забезпечує вiдтiк кровi в
яремну вену:
• Поперечний
• Нижнiй сагiтальний
• Сигмоподiбний
• Верхнiй сагiтальний
112

1 лекция часть 3 оболонки

  • 1.
    Оболонки головного іспинного мозку. Спинномозкова рідина • Оболонки головного і спинного мозку виконують насамперед захисну функцію: – тверда мозкова оболонка (dura mater), – павутинна оболонка (arachnoidea), – м'яка мозкова оболонка (pia mater). 1
  • 2.
    • Тверда оболонка складаєтьсяз двох листків: – зовнішній листок утворює окістя кісток черепа та спинномозкового каналу; – внутрішній листок: • у черепній коробці щільно зростається із зовнішнім і тільки в деяких місцях листки твердої оболонки розходяться утворюючи синуси. • у спинномозкового каналі листки твердої мозкової оболонки не зростаються - між ними знаходиться епідуральний простір, який заповнений жировою клітковиною. 2
  • 3.
  • 4.
  • 5.
  • 6.
  • 7.
    • Павутинна оболонкаголовного мозку розміщується під твердою і не має судин. • між твердою та павутинною - субдуральний простір • між павутинною та м’якою — підпавутинний простір, заповненим спинномозковою рідиною. • Підпавутинний простір в межах черепної коробки місцями розширюється - цистерни головного мозку. • Цистерни головного мозку знаходяться в основному на нижній (базальній) його поверхні. • В межах спинного мозку розширення підпавутинного простору виражене нижче закінчення спинного мозку в ділянці кінського хвоста – кінцева цистерна. 7
  • 8.
    • Усі підпавутиновіцистерни зєднуються між собою, а також, за допомогою отворів Мажанді і Лушки – з порожниною чертвертого шлуночка. 8
  • 9.
    Великі цистерни головногомозку • Велика (мозочково-мозкова) цистерна (cisterna magna, c. cerebellomedullaris) – сама велика цистерна, яка обмежена мозочком, довгастим мозком та потиличною кісткою. • Цистерна моста (препонтинна) - розташовується наперед від моста мозку, містить базилярну артерію. Зєднується позаду з мосто-мозочково-мозковою цистерною та субарахноідальним простором спинного мозку, попереду – з міжніжковою цистрною. • Базальна цистерна (c. suprasellar) має п'ятикутну форму, включає міжніжкову цистерну (між ніжками мозку) і цистерну перехреста (між перехрестом зорових нервів і лобними частками). • Чотиригорбкова цистерна (вени Галена) (c. quadrigeminalis) розташовується між мозолистим тілом і мозочком; у її ділянці можуть розташовуватись субарахноідальні кисти • Обвідна (охоплююча; по Синельникову - обхідна) цистерна (c. ambient) - канал неправильної форми, що проходить по бокам ніжок мозку і даху середнього мозку; сполучається з мостовою і міжніжковою цистернами спереду і чотирегорбиковою цистерною ззаду. • Цистерна бічної ямки великого мозку (cisterna fossae lateralis cerebri) - розташовується в латеральній борозні великого мозку. 9
  • 10.
  • 11.
  • 12.
  • 13.
  • 14.
  • 15.
  • 16.
  • 17.
  • 18.
  • 19.
    Цистерни головного мозку (B.Liliequist, 1959) • I. Цистерни задньої черепної ямки • велика цистерна мозку (Галена); • цистерни довгастого мозку (передня, бокова); • цистерни мостомозочкового кута; • цистерни моста (передня, бокові). • II. Супраселярні цистерни • міжніжкова цистерна; • ніжкові цистерни; • хіазмальна цистерна; • цистерни нюхових борозн. • III. Цистерни тенторіальної вирізки • Охоплюючі цистерни (супратенториальна їх частина); • цистерни, розташовані позаду подушки таламуса (або крила охоплюючих цистерн); • чотирьохгорбкова цистерна; • Цистерна великої вени мозку (Галена); • цистерна проміжного паруса; • прецентральна мозочкова цистерна; • верхня мозочкова цистерна. • IV. Цистерни основних щілин мозку • Міжпівкульна цистерна; • цистерна навколо мозолистого тіла; • цистерни бокових (сільвієвих) щілин мозку. 19
  • 20.
    М'яка оболонка головного мозку: –вкриває речовину мозку, – багата на судини і нерви, – тісно пов'язана з мозковою речовиною, – заходить у глибину мозку вздовж судин (навколосудинні простори). – бере участь в утворенні судинних сплетень (проникаючи у шлуночки мозку). 20
  • 21.
    Розширений простір Вірхова-Робена 21 •МРТ, Т1-зважене зображення в аксіальній площині. Гіпоінтенсивна ділянка в правій лушпині. На Т2-зображенні цей простір виглядає гіперінтенсивним по відношенню до паренхіми головного мозку.
  • 22.
    Арахноїдальна киста • Арахноїдальнакиста — лікворна киста, стінки якої сформовані клітинами павутинної оболонки або рубцевим колагеном. • Арахноідальні кісти розташовуються між поверхнею мозку та павутинною (арахноідальною) оболонкою. • Первинні (істинні) арахноідальні кісти — вроджені утворення, • Вторинні виникають після перенесеного менінгіту, оперативного втручання, при синдромі Марфана, агенезії мозолистого тіла і т. д.; • при вторинних арахноідальних кістах їх стінкою є арахноідальний рубець. • Арахноідальні кісти в 4 рази частіше зустрічаються у чоловіків; звичайно локалізуються в межах багатих арахноідальними оболонками лікворних цистерн, розширюючи їх. • Частіше арахноідальні кісти утворюються в середній черепній ямці, назовні від скроневих часток головного мозку. 22
  • 23.
    Симптоматика • Арахноїдальні кістивиявляються у 4 % населення. • Арахноідальні кісти або безсимптомні, або проявляються до 20-літнього віку. • Характер і вираженість симптомів залежать від локалізації та размірів кист, що утруднює діагностику. • Арахноідальні кісти можуть супроводжуватись головним болем, нудотою та блюванням, атаксією, судомним синдромом та іншою неврологічною симптоматикою • Частіше переважає загальномозкова симптоматика, яка повязана з вторинною гідроцефалією, рідше — вогнищева симптоматика. • Спинномозкова арахноідальна кіста може симулювати грижу міжхребцевого дискау. 23
  • 24.
    Діагностика • Арахноідальні кістизвичайно виявляються та диференціюються з іншими видами кіст при МРТ-дослідженні, часто як «знахідка» при обстеженні з іншого приводу. 24
  • 25.
    Арахноїдальна киста 25 • МРТ,Т2-зображення в аксіальній площині (а) і Т1-зображення у фронтальній площині (Ь). • Арахноїдальна киста в полюсі скроневої частки з сигналом, ізоінтенсивним ЦСР.
  • 26.
    Лікування • Лікування арахноїдальнихкіст показане при маніфестації симптомів. • Існують різноманітні методи декомпресії арахноїдальних кіст: – Шунтування: дренування в субдуральний простір або черевну порожнину – Фенестрація: краніотомія з посіченням кісти, різні ендоскопічні методики, включаючи лазерні – Дренування методом голкової аспірації 26
  • 27.
    ЦЕРЕБРОСПІНАЛЬНА РІДИНА (ЦСР) •Велика частина ЦСР продукується хореїдальними сплетеннями. • Невеликий об'єм ЦСР виробляється також кровоносними судинами субепендимальною ділянкою і м'якою мозковою оболонкою. • Ворсинчасті сплетення розташовуються в шлуночковій системі, переважно в бічних і четвертому шлуночках. 27
  • 28.
    • ЦСР виробляєтьсяз швидкістю приблизно 25 мм3/годину (приблизно 500 мм3/доб). • Об'єм ЦСР у середньостатистичної здорової дорослої людини складає приблизно 100 - 150 мм3. 28
  • 29.
    Спинномозкова рідина забезпечуєнормальне функціонування центральної нервової системи: – механічний захист мозку; – участь в обміні речовин: живить мозкову тканину та виводить продукти обміну, – підтримує сталість внутрішнього середовища мозку. Склад спинномозкової рідини: – вода, – клітини (лімфоцити), – білкові речовини, – глюкоза, – електроліти, – мікроелементи, – вітаміни, – гормони. 29
  • 30.
    Циркуляция ЦСЖ • Ворсинчастесплетення—> • бічний шлуночок —> • міжшлуночковий отвір Монро—> • третій шлуночок—> • сільвіїв водопровід—> • четвертий шлуночок—> • парний латеральний отвір Люшка і непарний медіальний отвір Мажанди—> • субарахноїдальний простір—> • грануляція павутинової оболонки (пахіонові грануляції)—> • синуси твердої оболонки—> • венозна система. 30
  • 31.
  • 32.
    • Сполучна (сообщающаяся)гідроцефалія – це розширення шлуночків мозку внаслідок блокування відтоку ЦСР за межами шлуночкової системи (тобто дистальніше отвору Мажанді); • в цьому випадку шлуночки вільно сполучаються з субарахноідальним простором. • Обструктивна (несполучна) гідроцефалія – розширення шлуночків внаслідок блокування відтоку ЦСР всредині шлуночкової системи (тобто вище отвора Мажанді). 32
  • 33.
  • 34.
    • Дитина ізскаргами на головний біль вранці. • Отримані зображення
  • 35.
    • Помітне розширенняIII і бічних шлуночків на Т2- зважених зображеннях (110 А, В). На сагітальному знімку в режимі Т1 (110С) видно розтягнутий III щлуночок і нормальний за розміром IV шлуночок. • Крім того, є очевидний стеноз або оклюзія сільвієвого водопроводу.
  • 36.
    • Коли виявляютьрозширені шлуночки, в першу чергу треба відрізнити атрофію від гідроцефалії. • Наступний крок полягає у визначенні, чи є гідроцефалія наслідком: – підвищеної продукції ЦСР (папілома судинного сплетення), – обструкції або порушення резорбції ЦСР (у переважній більшості випадків).
  • 37.
    • Далі необхідноз'ясувати, до якого підтипу відноситься обструктивна гідроцефалія: • комунікативному (сполучна) або • некомунікативному.
  • 38.
    • При некомунікативнійгідроцефалії є механічна перешкода між судинними сплетеннями, де утворюється ЦСР, і вихідними отворами в IV шлуночку. • Як правило, перешкоди існують в ділянці отвору Монро і сільвієвого водопроводу.
  • 39.
  • 40.
    • При сполучнійгідроцефалії обструкція лікворних шляхів відбувається дистальніше, найчастіше в ділянці пахіонових (арахноїдальних) грануляцій, де відбувається резорбція ЦСР.
  • 41.
    • Оскільки розширенняшлуночків виникає проксимальніше перешкоди, його локалізацію зазвичай можна припустити, оцінюючи розміри кожного шлуночку окремо. • Список диференціальних діагнозів при гідроцефалії великий і залежить від рівня обструкції. • В даному випадку причиною некомунікативної гідроцефалії є стеноз водопроводу.
  • 42.
    • Помітне розширенняIII і бічних шлуночків на Т2- зважених зображеннях (110 А, В). На сагітальному знімку в режимі Т1 (110С) видно розтягнутий III щлуночок і нормальний за розміром IV шлуночок. • Крім того, є очевидний стеноз або оклюзія сільвієвого водопроводу.
  • 43.
    • Тільки у0,5% випадків гідроцефалія викликана підвищеною продукцією ЦСР, тому основним завданням є розрізнити: • комунікативний і • некомунікативний підтипи • обструктивної гідроцефалії.
  • 44.
    • Завжди требаретельно шукати патологічне утворення, що перешкоджає відтоку ЦСР, керуючись тим, що перешкода може викликати тільки проксимальну дилатацію. • Таким чином, розширення усіх чотирьох шлуночків передбачає комунікативну гідроцефалію. • При цьому зазвичай не виявляють виразного патологічного утворення. • Обструкція пахіонових грануляцій має мікроскопічні розміри; її причиною зазвичай служать продукти розпаду компонентів крові або білок за наявності попередньої геморрагії або інфекції.
  • 45.
    Ключові пункти • Гідроцефалія- це результат різноманітних патологічних процесів, а не самостійне захворювання. • Існуюча термінологія базується на механізмі розвитку гідроцефалії, найчастіше (>99% випадків) це порушення відтоку ЦСЖ. • Обструктивна гідроцефалія підрозділяється на некомунікативну і комунікативну - залежно від того, де виникає обструкція : проксимальніше чи дистальніше за вихідні отвори IV шлуночку.
  • 46.
    Гідроцефалія з нормальнимтиском ліквора (нормотензивна гідроцефалія G 91.2)
  • 47.
    • Пациєнт ззатрудненим початком ходи. Отримані знімки:
  • 48.
    I. Чи відповідаютьрозміри шлуночків ступеню втрати обєму периферичної кори? II. Що демонструє загальний характер гідроцефалії? III. Де відбувається резорбція ЦСР?
  • 50.
    • Ці знахідкивідповідають комунікативному (сполучному) підтипу гідроцефалії (II).
  • 51.
    • Діагноз «гідроцефаліяз нормальним внутрішньочерепним тиском» (нормотензивна) є клінічним і потребує: 1. Візуального виявлення сполучної гідроцефалії з нормальним тиском ЦСР 2. Наявність хоча б однієї з трьох наступних ознак класичної тріади: 1. аномалія ходи, 2. неутримання сечі, 3. ментальна недостатність.
  • 52.
    Диференційна діагностика • Впершу чергу, диференційну діагностику проводять зі зниженням об'єму мозку/атрофією. • На користь сполучної гідроцефалії свідчить невідповідність співвідношення шлуночки/борозни. • Шлуночки розтягнуті занадто сильно по рівняно зі ступенем зменшення кортикального об'єму та рельєфністю борозн.
  • 53.
    • Однак частобуває важко відрізнити гідроцефалію від атрофії, оскільки у пацієнтів з комунікативною гідроцефалією має місце деякий ступінь втрати обєму мозку. • Зверніть увагу на те, що при гідроцефалії з нормальним тиском сільвієві щілини також розширені.
  • 54.
    Кореляція між патоморфологічнимиі клінічними ознаками • Гідроцефалія з нормальним тиском це особливий стан, природа якого не зовсім зрозуміла. • Припущення про наявність у хворого ГНТ можно зробити якщо: – при візуалізації виявлена диспропорція між розміром шлуночків та рельєфом бороз, – а анамнез пацієнта відповідає клінічній тріаді: • порушення ходи • деменція • порушення сечовипускання.
  • 55.
    • Хоча причинаГНТ не зовсім зрозуміла, представляється, що основна аномалія пов'язана зі зниженням резорбції ЦСР в ділянці пахіонових (арахноїдальних) грануляцій.
  • 56.
    • Приблизно уполовини пацієнтів причина зниження резорбції ЦСР є відомою (зазвичай цей попередній субарахноїдальний крововилив або менінгіт), але у іншої половини хворих гідроцефалію описують як ідіопатичну.
  • 57.
    • Існує теорія,яка пояснює ідіопатичні випадки тим, що функція пахіонових грануляцій у таких людей порушена з народження, а ЦСР резорбується через додаткові паренхіматозні трансвенозні канали. • У міру старіння пацієнта і виникнення захворювання дрібних судин ці додаткові шляхи ушкоджуються і більше не можуть служити для відтоку рідини.
  • 58.
    • Ця теоріявідповідає характеру початку захворювання. • У пацієнтів з відомою причиною комунікативної гідроцефалії вона починається у більш ранньому віці, тоді як в ідіопатичних випадках початок захворювання доводиться на вік старше 60 років і зазвичай є супутнє захворювання дрібних судин.
  • 59.
    • Незалежно відпричини наступним кроком в розвитку захворювання є транзиторне підвищення тиску в шлуночках, який призводить до розширення бічних і III шлуночків. • У міру збільшення розміру шлуночків тиск в них знижується до нормальних цифр і встановлюється компенсована форма комунікативної гідроцефалії з нормальним тиском ліквору.
  • 60.
    • У цихпацієнтів розмір шлуночків не повертається до нормального, а залишається збільшеним тривалий час. • Встановлено, що це відбувається через вроджену аномалію пружноеластичних властивостей ураженої паренхіми, що, кінець кінцем, призводить до зниження її податливості до пульсації ЦСР(обумовленій струмом крові в артеріях).
  • 61.
    • Оскільки силадорівнює тиску, помноженому на площу(F = Р х А), то навіть при нормальному тиску пульсація ЦСР стає "водним молотком", який б'є по суміжній паренхімі із-за значно збільшеної площі поверхні шлуночків. • Це передусім порушує роботу паравентрикулярних шляхів, які управляють нижніми кінцівками, і клінічно проявляється порушеннями ходи.
  • 62.
    • Лікування можебути різним. • Деяким пацієнтам допомагає шунтування шлуночків. • Існує декілька тестів, які дозволяють встановити, чи буде така процедура корисною для пацієнта. • Знахідки на МРТ, що підтверджують гіпердинамічну пульсацію ЦСР, дозволяють припустити, що шунтування виявиться ефективним.
  • 63.
    • У деякихцентрах для виявлення пацієнтів з підвищеною швидкістю струму ЦСР через водопровід застосовують більше специфічний метод - кількісну фазово- контрастну візуалізацію швидкості струму ЦСР. • У клініці часто використовують tap- тест. • Для його проведення видаляють 50-60 мл ліквору і потім спостерігають за пацієнтом. • Тим пацієнтам, у яких відбувається зменшення симптоматики, показана процедура шунтування.
  • 64.
  • 65.
    • 80-річний пенсіонерпротягом кількох місяців страждає від нетримання сечі, котре спочатку пояснювали доброякісною гіпертрофією простати. • Проте, із часом у нього розвинулася нестійкість ходи, що кілька разів супроводжувалася падіннями. • Також пацієнт скаржиться, що при пересуванні він інколи не може відірвати ногу від підлоги. • Сімейний лікар хворого скеровував його на МРТ головного мозку і по результатах останньої відправив до шпиталю.
  • 66.
    МРТ хворого ізнормотензивною гідроцефалією (сполучною) • Рис. А. Аксіальний зріз у Т2-режимі. Рис. В. Фронтальний зріз. • Шлуночки непропорційно збільшені відносно субарахноїдального простору. • Зображення недостатньо чіткі внаслідок рухів хворого: такі пацієнти часто унаслідок асоційованої деменції неспроможні лежати нерухомо під час сканування.
  • 67.
    • При розмовііз лікуючим лікарем у стаціонарі жінка стверджує, що пацієнт протягом останніх кількох місяців став забудькуватий і неуважний. • При неврологічному обстеженні виявлено нестійку апрактичну ходу. • Клінічні і радіологічні дані були сумісні із діагнозом нормотензивної гідроцефалії.
  • 68.
    • Уважається, щоцей діагноз підтверджується фактом скороминучого поліпшення ходи після видалення певної кількості спинномозкової рідини. • Навіть у нашого настільки ослабленого хворого забір 40 мл ліквору під час люмбальної пункції спричинив покращення амбулаторних можливостей, а також повне зникнення нетримання. • Натомість, когнітивні проблеми продовжували персистувати. • Пацієнта перевели в нейрохірургічне відділення з метою накладання шунта. • Через кілька місяців після втручання хода і функції сечового міхура стабілізувалися, когнітивні симптоми утримувалися, але не прогресували.
  • 69.
    Ключові пункти • ГНТ- це малозрозуміла форма компенсованої комунікативної гідроцефалії. • Діагноз ГНТ ставлять швидше клінічно, чим на основі візуалізації. • ГНТ - це форма потенційно оборотної деменції, оскільки у деяких пацієнтів після шунтування шлуночків настає поліпшення стану.
  • 70.
  • 71.
    • Жінка віком56 років, за фахом хірург, звернулася до лікарів з приводу погіршення пам’яті, втрати впевненості при виконанні професійних маніпуляцій і дисфоричного настрою, котрий не реагував на антидепресанти.
  • 72.
    • Ці симптоминаростали протягом останніх 5 років і спричинили ранній вихід на пенсію.
  • 73.
    • При фізикальномуобстеженні виявлено велику окружність голови (59 см) і випинання лоба.
  • 74.
    • У неврологічномустатусі — двобічний позитивний долонно-підборідний рефлекс, розладів ходи і сечовипускання немає.
  • 75.
    • МРТ вТ1-режимі засвідчила виражене збільшення бічних, третього і четвертого шлуночків зі згладженням субарахноїдального простору. • Не виявлено значної епендимальної абсорбції ліквору, у перивентрикулярних ділянках наявно кілька невеликих гіперінтенсивних зон, плин спинномозкової рідини через водопровід і отвір Мажанді не порушений.
  • 76.
    • Було встановленодіагноз задавненої сполучної гідроцефалії. • Дані МРТ, проведеної через 1 рік, не засвідчили змін.
  • 77.
    • Протягом 18місяців подальшого спостереження серійні нейропсихологічні дослідження постійно констатували: – помірний когнітивний дефіцит, – розлади короткотермінової пам’яті, – порушення здатності до розв’язання дискретних проблем та інших виконавчих функцій. • Вищеописане вкладалося в синдром лобної частки.
  • 78.
    • З оглядуна клінічну, радіологічну й нейропсихологічну стабільність стану пацієнтки, від накладання вентрикулярного шунта відмовилися.
  • 79.
  • 80.
    • Ширина шлуночківі поверхневого САП поступово збільшується з віком. • Оскільки головний мозок дитини заповнює порожнину черепа цілком, зовнішній САП ледве візуалізується.
  • 81.
    • З вікомборозни розширюються, і СМР стає помітнішою між корою головного мозку і склепінням черепа.
  • 82.
    • У деякихпацієнтів це фізіологічне зменшення об'єму кори особливе помітно в лобових долях. • Простір між ними і лобовою кісткою стає досить великим. • Ця так звана лобова «інволюція головного мозку" не повинна помилково вважатися патологічною атрофією мозку або природженою мікроцефалією.
  • 83.
    • Якщо КТ-сканування,зображене на малюнку було виконане літньому пацієнтові, дослідник повинен був би разцінити згладжені звивини, як дифузний набряк головного мозку. • Перш ніж ставити діагноз набряку чи атрофії головного мозку, ви завжди повинні звернути увагу на вік пацієнта.
  • 84.
    Гіперостоз лобової кістки(синдром Стюарта-Морела) • Є варіантом норми і характерний для пацієнток середнього віку. • Внутрішня поверхня лобової кістки потовщена, іноді має хвилястий контур. • У сумнівних випадках кісткове вікно допоможе вам відрізнити нормальну губчасту структуру кістки від злоякісної інфільтрації.
  • 85.
    • Неповне злиттяпрозорої перетинки як особливість розвитку, може привести до формування так званої кісти прозорої перетинки. • Зазвичай до процесу залучається тільки частина перетинки, яка розташована між передніми рогами бічних шлуночків.
  • 86.
    • Рідше кистапоширюється на • весь простір до задніх рогів
  • 87.
    • Одно знайбільш важливих правил інтерпретації КТ- зображень – завжди зіставляти декілька сусідніх зрізів. • Якщо голова пацієнта під час сканування навіть трохи нахилена, то, наприклад, один бічний шлуночок(133) може визначатися на зрізі(dS), а протилежний не потрапляти в нього. • При цьому на зображенні видно тільки його верхній полюс.
  • 88.
    • У зв'язкуз тим, що верхній полюс шлуночку займає не усю товщину зрізу, його зображення стає нечітким, щільність знижується, і його можна помилково прийняти за область інсульту. • При зпівставленні цього зрізу з нижче розташованим ситуація проясняєтся, оскільки явно визначається асиметрія контура бічних шлуночків.
  • 89.
  • 90.
    Епiдуральний простiр хребтового каналузнаходиться: • Мiж листками твердої оболонки • Мiж твердою та павутинною оболонками • Мiж твердою та м'якою оболонками 90
  • 91.
    Субдуральний простiр хребтового каналузнаходиться: • Мiж листками твердої оболонки • Мiж твердою та павутинною оболонками • Мiж твердою та м'якою оболонками 91
  • 92.
    Субарахноїдальний простiр хребтового каналузнаходиться: • Мiж твердою та павутинною оболонками • Мiж твердою та м'якою оболонками • Мiж павутинною та м'якою оболонками 92
  • 93.
    ПИТАННЯ ELEX (РОЗДІЛ3. МЕТОДИ ДОСЛІДЖЕННЯ) 93
  • 94.
    Симптоми, якi складають менiнгеальнийсиндром: • Симптом Кернiга, симптоми Брудзинського (верхнiй, середнiй, нижнiй), ригiднiсть потиличних м'язiв, симптом Бехтерєва виличний • Симптом Дежерiна, симптом Кернiга, симптом Вейс-Едельмана, ригiднiсть потиличних м'язiв • Симптом Брунса, симптом Кернiга-Ласега, симптом Брудзинського, ригiднiсть потиличних м'язiв 94
  • 95.
    Зниження вмiсту цукрув спинномозковiй рiдинi є патогномонiчним для: • Грипозного менiнгоенцефалiту • Герпетичного менiнгоенцефалiту • Туберкульозного менiнгоенцефалiту 95
  • 96.
    Синдром бiлково-клiтинної дисоцiацiїу лiкворi характеризується: • Переважним пiдвищенням вмiсту бiлка вiдносно рiвня цитозу • Рiвнозначним пiдвищенням вмiсту бiлка та рiвня цитозу • Переважним пiдвищенням рiвня цитозу вiдносно пiдвищення вмiсту бiлка 96
  • 97.
    Синдром клiтинно-бiлкової дисоцiацiїу лiкворi характеризується: • Переважним пiдвищенням рiвня цитозу вiдносно вмiсту бiлка • Рiвнозначним пiдвищенням вмiсту бiлка та рiвня цитозу • Переважним пiдвищенням вмiсту бiлка вiдносно рiвня цитозу 97
  • 98.
    Синдром бiлково-клiтинної дисоцiацiїу лiкворi спостерiгається при: • Пухлинах головного та спинного мозку, полiрадикулоневритах • Пухлинах головного мозку, розсiяному склерозi • Вiрусних менiнгоенцефалiтах, абсцесах мозку 98
  • 99.
    У нормi в1 кубiчному мiлiметрi лiквору кiлькiсть клiтин становить: • До 6 • До 12 • До 15 99
  • 100.
    Наявнiсть змiнених еритроцитiву лiкворi заперечує дiагноз герпетичного енцефалiту: • Так • Нi 100
  • 101.
    Наявнiсть 1 -2 нейтрофiлiв у лiкворi вказує на патологiю: • Нi • Так 101
  • 102.
    Синдром менiнгiзму означає: •Наявнiсть менiнгеального синдрому та лiмфоцитарного плеоцитозу в лiкворi • Наявнiсть менiнгеального синдрому за вiдсутностi плеоцитозу в лiкворi • Наявнiсть менiнгеального синдрому та нейтрофiльного плеоцитозу в лiкворi 102
  • 103.
    Лiквор рiвномiрного рожевогозабарвлення в трьох пробiрках з переважним вмiстом змiнених еритроцитiв вказує на: • Субарахноїдальний крововилив • Артефактну кров у лiкворi • Вiрусно-геморагiчний менiнгоенцефалiт • Бактерiально-геморагiчний менiнгоенцефалiт 103
  • 104.
    Для диференцiйної дiагностикипоходження кровi в лiкворi (кров субарахноїдального походження або супутня кров iз судинного сплетiння) використовується: • Центрифугування лiквору • Проба Квеккенштедта • Виявлення ореола лiквору на фiльтрувальному паперi 104
  • 105.
    Можливiсть випадiння плiвкив лiкворi залежить вiд: • Вмiсту бiлка в лiкворi • Рiвня плеоцитозу • Як вiд вмiсту бiлка, так i вiд рiвня плеоцитозу 105
  • 106.
    Лiквор у гостромуперiодi мiєлiту характеризується: • Клiтинно-бiлковою дисоцiацiєю • Бiлково-клiтинною дисоцiацiєю при наявностi плеоцитозу • Нормальною кiлькiстю клiтин та нормальним вмiстом бiлка 106
  • 107.
    ПИТАННЯ ELEX (РОЗДІЛ7. СУДИННІ ЗАХВОРЮВАННЯ) 107
  • 108.
    Вiдтiк венозної кровiвiд головного мозку забезпечується: • Через пахiоновi грануляцiї, судинне сплетення шлуночкiв та вени мозку • Через вени i синуси твердої мозкової оболонки 108
  • 109.
    Основнi синуси твердоїоболонки головного мозку: • Прямий • Кавернозний • Нижнiй та верхнiй кам'янистi • Сигмоподiбний • Нижнiй та верхнiй сагiтальний • Потиличний 109
  • 110.
    Непарнi синуси твердоїоболонки головного мозку: • Потиличний, верхнiй кам'янистий, кавернозний • Прямий, заднiй та переднiй мiжкавернозний 110
  • 111.
    Велика вена мозкувпадає: • У прямий синус • У сигмоподiбний синус • У верхнiй кам'янистий синус 111
  • 112.
    Синус, який забезпечуєвiдтiк кровi в яремну вену: • Поперечний • Нижнiй сагiтальний • Сигмоподiбний • Верхнiй сагiтальний 112

Editor's Notes

  • #5 Оболонки спинного мозку. Шийний відділ.
  • #6 1- верхній сагітальний синус; 2 – нижній сагітальний синус; 3 – прямий синус; 4 – поперечний синус; 6 – сигмовидний синус; - забезпечує віддік в яремну вену 7 – потиличний синус; 8 – верхній камянистий синус; 9 – клиновидно-тімяний синус; 10 – нижній камянистий синус; 11 – печеристий синус в елексі згадуються непарні синусі до яких крім прямого відносяться заднiй та переднiй мiжкавернозний синуси
  • #9 Велика (мозочково-мозкова) цистерна (cisterna magna, c. cerebellomedullaris) – сама велика цистерна, яка обмежена мозочком, довгастим мозком та потиличною кісткою. Цистерна моста (препонтинна) - розташовується наперед від моста мозку, містить базилярну артерію. Зєднується позаду з мосто-мозочково-мозковою цистерною та субарахноідальним простором спинного мозку, попереду – з міжніжковою цистрною. Базальна цистерна (c. suprasellar) має п'ятикутну форму, включає міжніжкову цистерну (між ніжками мозку) і цистерну перехреста (між перехрестом зорових нервів і лобними частками). Чотиригорбкова цистерна (вени Галена) (c. quadrigeminalis) розташовується між мозолистим тілом і мозочком; у її ділянці можуть розташовуватись субарахноідальні кисти Обвідна (охоплююча; по Синельникову - обхідна) цистерна (c. ambient) - канал неправильної форми, що проходить по бокам ніжок мозку і даху середнього мозку; сполучається з мостовою і міжніжковою цистернами спереду і чотирегорбиковою цистерною ззаду. Цистерна бічної ямки великого мозку (cisterna fossae lateralis cerebri) - розташовується в латеральній борозні великого мозку.
  • #11 Передмостова цистерна (цистерна моста) розташовується наперед від моста мозку, містить базилярну артерію. Зєднується позаду з мосто-мозочково-мозковою цистерною та субарахноідальним простором спинного мозку, попереду – з міжніжковою цистрною.
  • #12 Білясередньомозкова цистерна: Чотиригорбкова цистерна (вени Галена) (c. quadrigeminalis) розташовується між мозолистим тілом і мозочком; у її ділянці можуть розташовуватись субарахноідальні кисти Обвідна (охоплююча; по Синельникову - обхідна) цистерна (c. ambient) - канал неправильної форми, що проходить по бокам ніжок мозку і даху середнього мозку; сполучається з мостовою і міжніжковою цистернами спереду і чотирегорбиковою цистерною ззаду.
  • #13 Міжніжкова цистерна
  • #14 Міжніжкова цистерна Охоплююча цистерна Чотирегорбикова цистерна Верхня цистерна мозочка
  • #15 Велика цистерна
  • #16 Передмоства цистерна Мосто-мозочкова цистерна
  • #17 Міжніжкова цистерна Базилярні цистерни
  • #18 Охоплююча цистерна
  • #19 Охоплююча цистерна
  • #24 Розказати про загальномозкову симптоматику
  • #32 Отвір Монро
  • #33 Комунікативна - сполучна
  • #40 Отвір Монро
  • #47  ідіопатична (після 50) або вторинна (після субарахноідального крововиливу або менінгіту) нормотензивна гідроцефалія
  • #50 На Т2-зважених зображеннях (112А, В) видно розширені III та бокові шлуночки. На сагіттальному знімку в режимі Т1 виявляється розтягнутий III шлуночок, а вище нього - прогин мозолистого тіла. Ніяких патологічних утворень, які б пояснювали розширення шлуночків не знайдено. Зверніть увагу на диспропорцію між розтягненням шлуночків та відносно невеликим зниженням периферичного об'єму кори (I).
  • #55 ГНТ – гідроцефалія з нормальним тиском Порушення ходи по типу лобної дисбазії – апраксія ходьби Деменція підкіркового типу Нейрогенні порушення сечовипускання. Але основне – це порушення ходи
  • #65 Це один приклад
  • #71 Можна пропустити
  • #91 100 "Мiж листками твердої оболонки
  • #92 100 "Мiж твердою та павутинною оболонками
  • #93 100 "Мiж павутинною та м'якою оболонками
  • #95 100 "Симптом Кернiга, симптоми Брудзинського (верхнiй, середнiй, нижнiй), ригiднiсть потиличних м'язiв, симптом Бехтерєва виличний
  • #96 100 "Туберкульозного менiнгоенцефалiту
  • #97 100 "Переважним пiдвищенням вмiсту бiлка вiдносно рiвня цитозу
  • #98 100 "Переважним пiдвищенням рiвня цитозу вiдносно вмiсту бiлка
  • #99 100 "Пухлинах головного та спинного мозку, полiрадикулоневритах
  • #100 100 "До 6
  • #101 100 "Нi
  • #102 100 "Так
  • #103 100 "Наявнiсть менiнгеального синдрому за вiдсутностi плеоцитозу в лiкворi
  • #104 40 "Субарахноїдальний крововилив 30 "Вiрусно-геморагiчний менiнгоенцефалiт 30 "Бактерiально-геморагiчний менiнгоенцефалiт
  • #105 50 "Центрифугування лiквору 50 "Виявлення ореола лiквору на фiльтрувальному паперi
  • #106 100 "Вмiсту бiлка в лiкворi
  • #107 100 "Бiлково-клiтинною дисоцiацiєю при наявностi плеоцитозу
  • #109 100 "Через вени i синуси твердої мозкової оболонки
  • #110 20 "Прямий 20 "Кавернозний 20 "Нижнiй та верхнiй кам'янистi 20 "Сигмоподiбний 20 "Нижнiй та верхнiй сагiтальний Не зрозумілим є чому не відноситья потиличний синус
  • #111 100 "Прямий, заднiй та переднiй мiжкавернозний
  • #112 100 "У прямий синус
  • #113 100 "Сигмоподiбний