U DO RĂNG
(Odontogenic Tumors)
Case Western Reserve University
 Hình aûnh moâ hoïc cuûa maàm raêng.
A: cô quan men (enamel organ)
B: nhuù raêng (dental papilla)
C: bao raêng (dental follicle)
BM men lôùp ngoaøiBM men lôùp ngoaøi
BM men lôùp trong
Hoaønh coå
Bao raêng
Nhuù raêng
Nguyeân baøo men
(Ameloblasts)
Men
Ngaø
Nguyeân baøo ngaø
(Odontoblasts)
Bao Hertwig
Nhuù raêng (tuûy)
Löôùi teá baøo sao
Bao raêng
TB Malassez coøn soùt
Bao Hertwig
Nguyeân baøo ngaø
Xeâ maêng
Ngaø chaân raêng
DCNC
Bieåu moâ nöôùu
Xöông oå raêng
BM men thoaùi hoùa
Löôùi teá baøo sao
Taàng trung gian
Bieåu moâ men lôùp trong
Nhuù raêng
Löôùi teá baøo sao
Taàng trung gian
Bieåu moâ men lôùp trong
Truï men (enamel prism)
Nguyeân baøo men
Tieàn men
Tieàn ngaø
Nguyeân baøo ngaø
Tuûy ñang hình thaønh
PHAÂN LOAÏI U DO RAÊNG THEO NGUOÀN GOÁC *
I. U coù nguoàn goác töø bieåu moâ taïo raêng
A. U nguyeân baøo men (Ameloblastoma)
1. Ameloblastoma aùc.
2. Ameloblastic carcinoma
B. Carcinoâm do R teá baøo saùng (Clear cell odontogenic carcinoma)
C. U do R daïng u tuyeán (Adenomatoid odontogenic tumor)
D. U BM do raêng canxi hoùa (Calcifying epithelial odontogenic tumor)
E. U do R teá baøo laùt (Squamous odontogenic tumor)
II. U do raêng hoån hôïp
A. Ameloblastic fibroma
B. Ameloblastic fibro-odontoma
C. Ameloblastic fibrosarcoma
D. Odontoameloblastoma
E. U raêng keát hôïp (Compound odontoma)
F. U raêng phöùc hôïp (Complex odontoma)
III. U coù nguoàn goác töø ngoaïi trung moâ taïo raêng
A. U sôïi do raêng (Odontogenic fibroma)
B. U do raêng teá baøo haït (Granular cell odontogenic tumor)
C. U nhaày do raêng (Odontogenic myxoma)
D. U nguyeân baøo xeâ maêng (Cementoblastoma) * Neville vaø cs.
LAØNH TÍNH, KHOÂNG COÙ TIEÀM NAÊNG
TAÙI PHAÙT
 Adenomatoid odontogenic tumor
 Squamous odontogenic tumor
 Cementoblastoma
 Loaïn saûn xöông-xeâ maêng quanh choùp
 Odontoma
LAØNH TÍNH, COÙ TIEÀM NAÊNG TAÙI
PHAÙT
 Ameloblastoma daïng nang (ñôn nang)
 U bieåu moâ sinh raêng canxi hoùa
 U sôïi do raêng trung taâm
 Loaïn saûn xöông-xeâ maêng tieán trieån
 Ameloblastic fibroma vaø
fibroodontoma
LAØNH TÍNH, XAÂM LAÁN
 Ameloblastoma
 Clear cell odontogenic tumor (1
soá taùc giaû coi ñaây laø carcinoma)
 Odontogenic ghost cell tumor
(COC, daïng ñaëc)
 U nhaày do raêng
 Odontoameloblastoma
AÙC TÍNH
 Ameloblastoma aùc
 Ameloblastic carcinoma
 Primary intraosseous carcinoma
 Odontogenic ghost cell carcinoma
 Ameloblastic fibrosarcoma
PHAÂN LOAÏI U DO RAÊNG VEÀ MAËT SINH HOÏC *
* Regezi vaø cs
U coù nguoàn goác töø bieåu
moâ taïo raêng
U nguyeân baøo men hay u men
(Ameloblastoma)
 Laø u do raêng quan troïng nhaát veà maët laâm saøng
(khoâng phaûi thöôøng gaëp nhaát).
 Coù theå phaùt trieån töø caùc teá baøo coøn soùt cuûa cô quan
men; töø cô quan men ñang phaùt trieån; töø lôùp loùt cuûa
caùc nang do raêng hoaëc töø caùc teá baøo ñaùy cuûa nieâm
maïc mieäng.
 U laønh tính, lôùn chaäm, xaâm laán taïi choã ñieån hình.
 H.G.B. Robinson moâ taû ñaây laø moät u laønh tính
“thöôøng coù moät trung taâm, khoâng coù chöùc naêng, taêng
tröôûng giaùn ñoaïn, laønh tính veà giaûi phaãu hoïc vaø toàn
taïi dai daúng treân LS.”
Ameloblastoma
 Coù 3 daïng theo laâm saøng vaø X quang, ñieàu trò
vaø tieân löôïng khaùc nhau.
 Daïng thoâng thöôøng laø daïng ñaëc (Solid)/ ña nang
(Multicystic) (86%)
 Daïng ñôn nang (Unicystic) (13%)
 Daïng ngoaïi vi (Peripheral) hay ngoaøi xöông
(Extraosseous) (1%)
Ameloblastoma: daïng ñaëc hay ña
nang
Laâm saøng
 Tuoåi: 30-70.
 Giôùi: 2 giôùi nhö nhau.
 Vò trí: 80% XHD; 70% ôû vuøng R sau HD.
Ameloblastoma: daïng ñaëc hay ña
nang
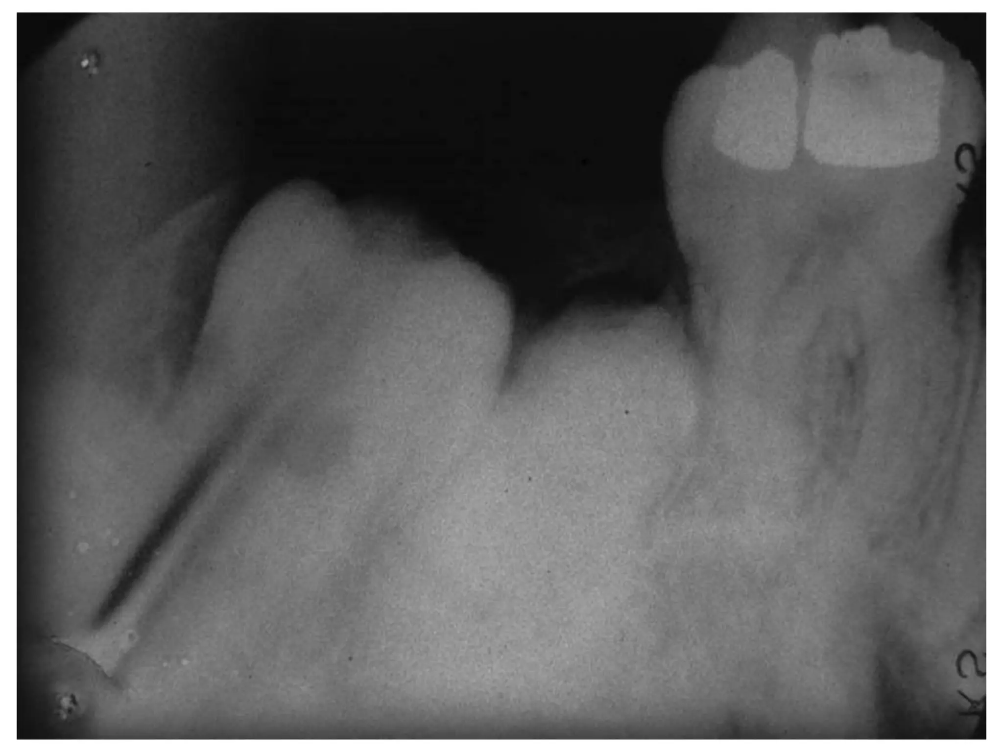
X quang: toån thöông thaáu quang thöôøng coù ranh giôùi roõ;
coù theå moät hoác hay nhieàu hoác (boït xaø phoøng, toå ong);
thænh thoaûng u coù ranh giôùi khoâng roõ, bôø nham nhôû.
Ameloblastoma: daïng ñaëc hay ña
nang
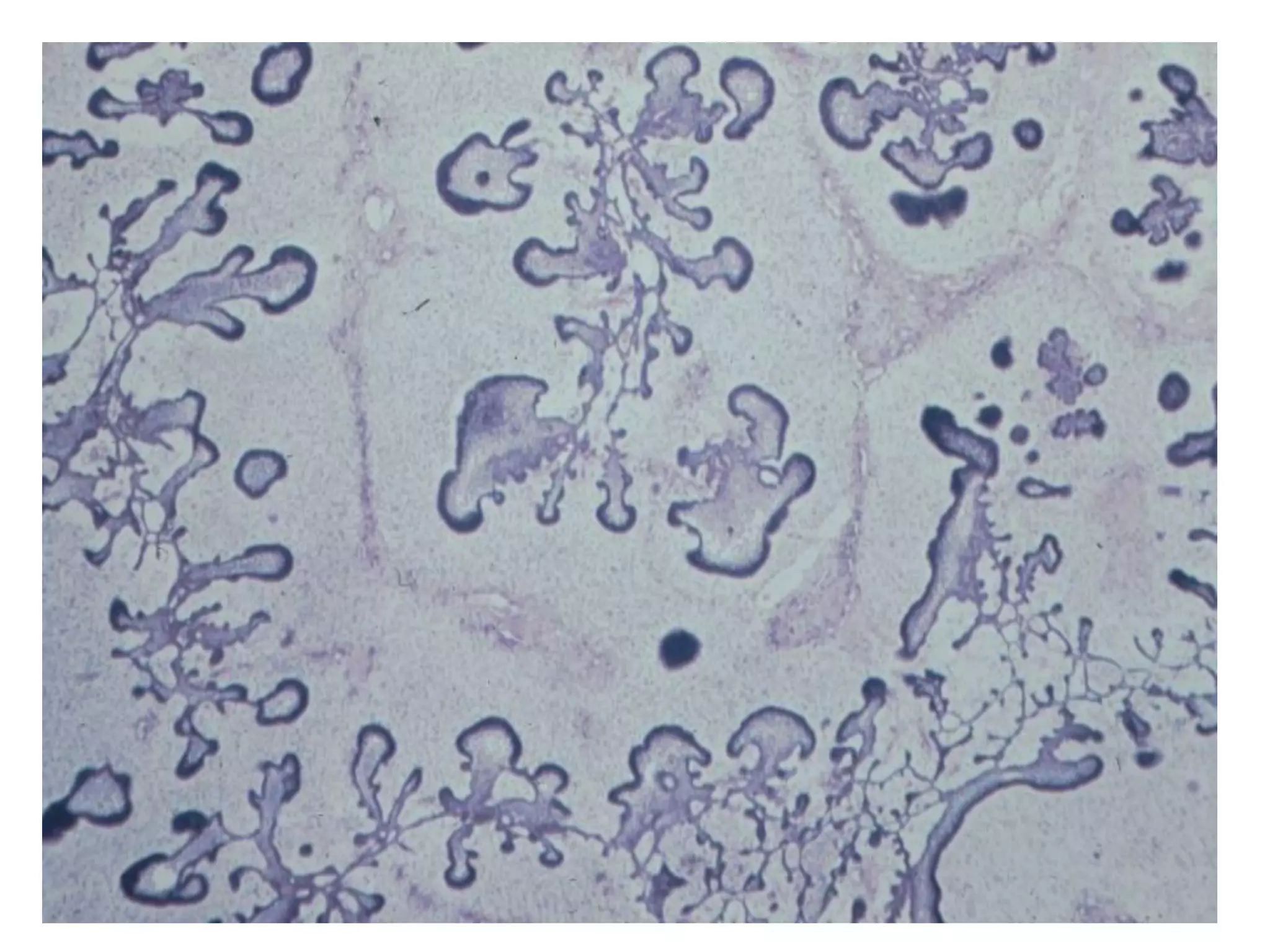
Giaûi phaãu beänh
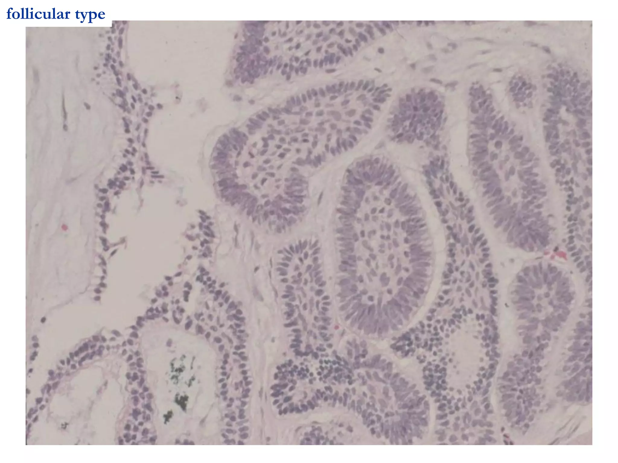
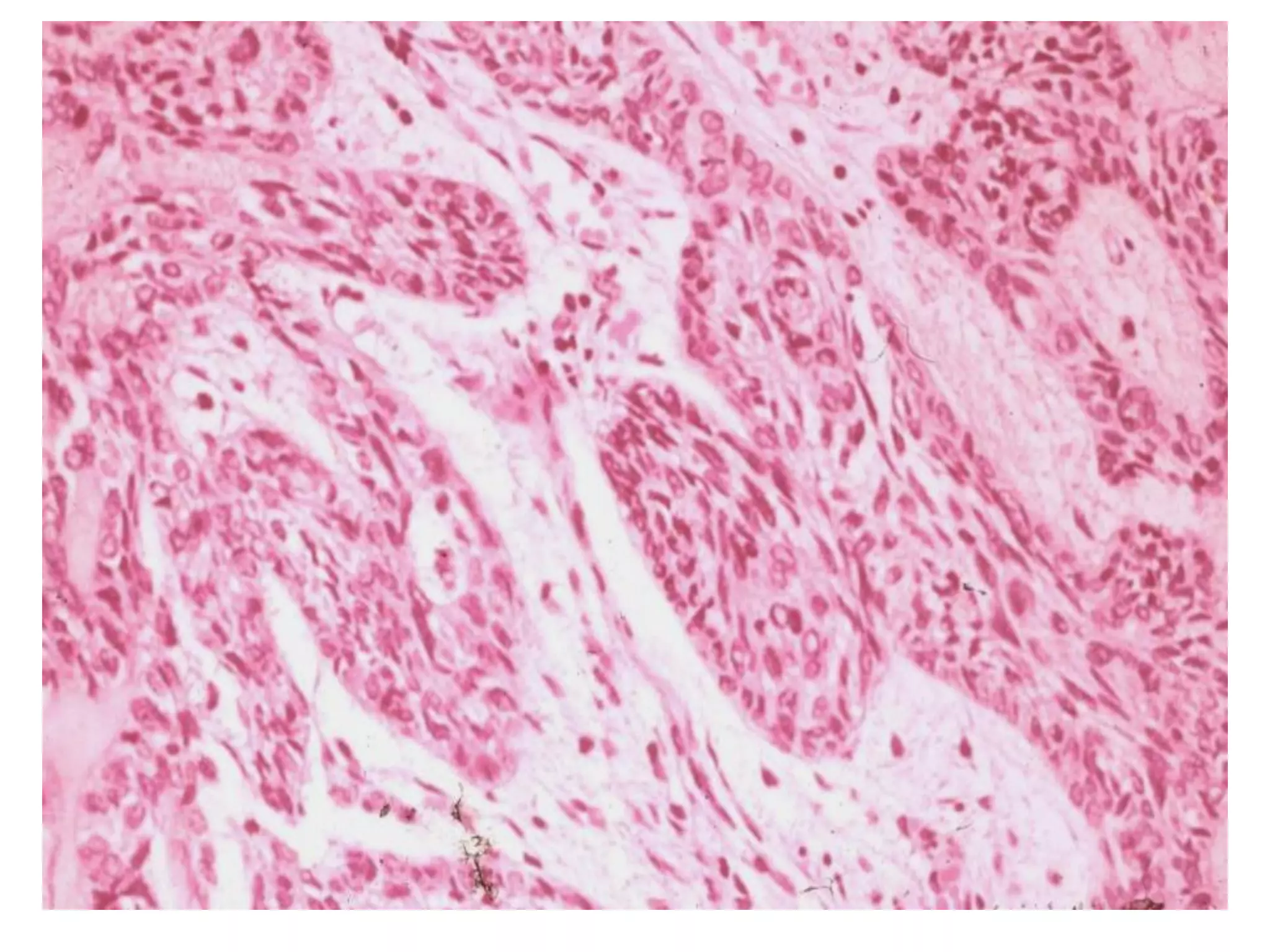
 Coù nhieàu döôùi típ (subtypes) treân vi theå nhöng
chuùng thöôøng mang ít ñaëc tính cuûa khoái u.
 Thöôøng gaëp nhaát laø daïng nang (follicular type) vaø
daïng ñaùm roái (plexiform type).
 U men ñaëc daïng nang goàm caùc ñaûo teá baøo bieåu moâ
gioáng cô quan men naèm trong moâ lieân keát sôïi tröôûng
thaønh.
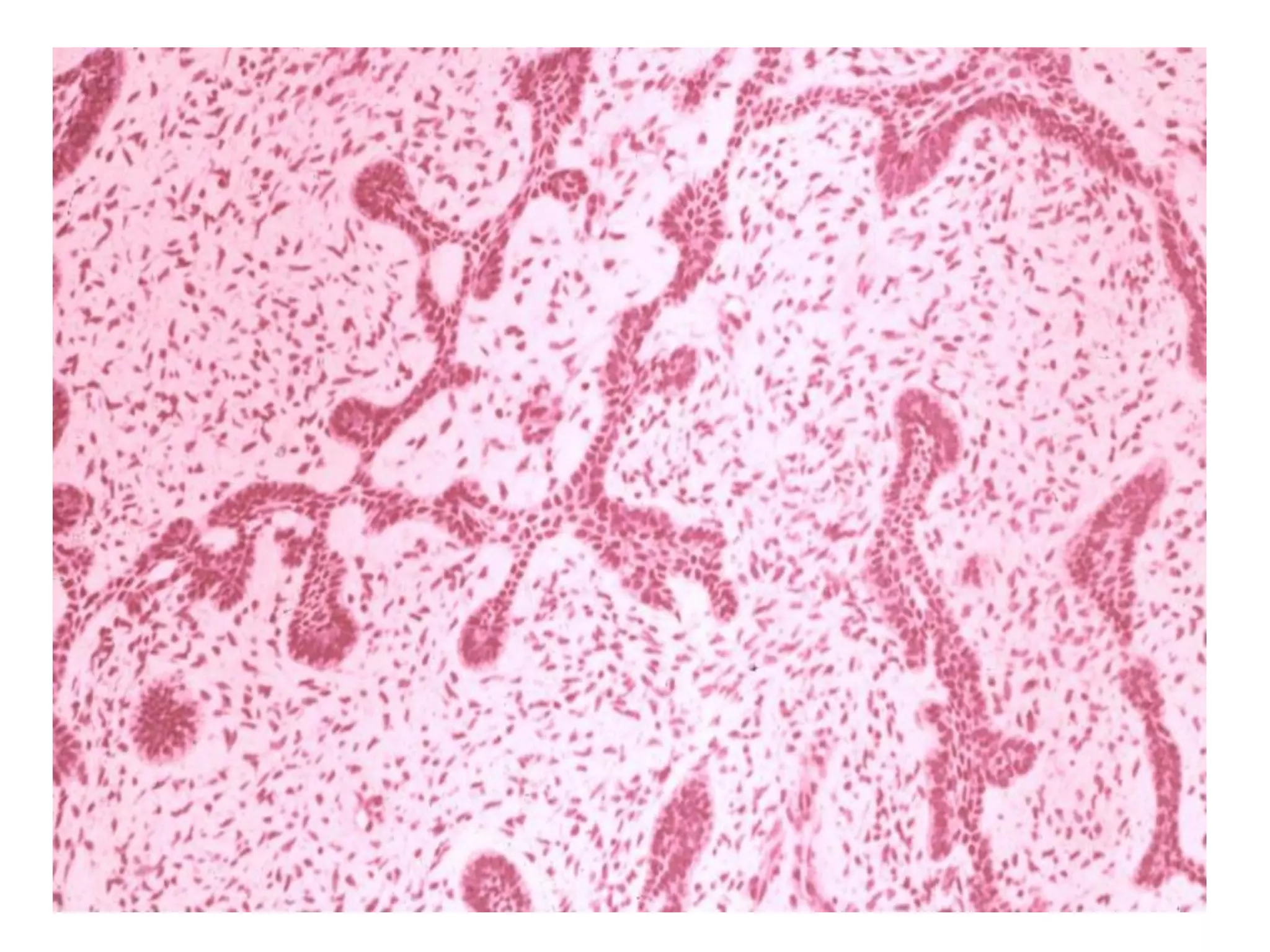
 U men ñaëc daïng ñaùm roái goàm caùc daây (cords) bieåu
moâ taïo raêng daøi thoâng nhau hoaëc caùc laù (sheets)
bieåu moâ lôùn hôn. Moâ ñeäm loûng leõo vaø nhieàu maïch
maùu hôn.
follicular type
follicular type
follicular type
follicular type
follicular type
plexiform type
plexiform type
Moâ ñeäm nhaày
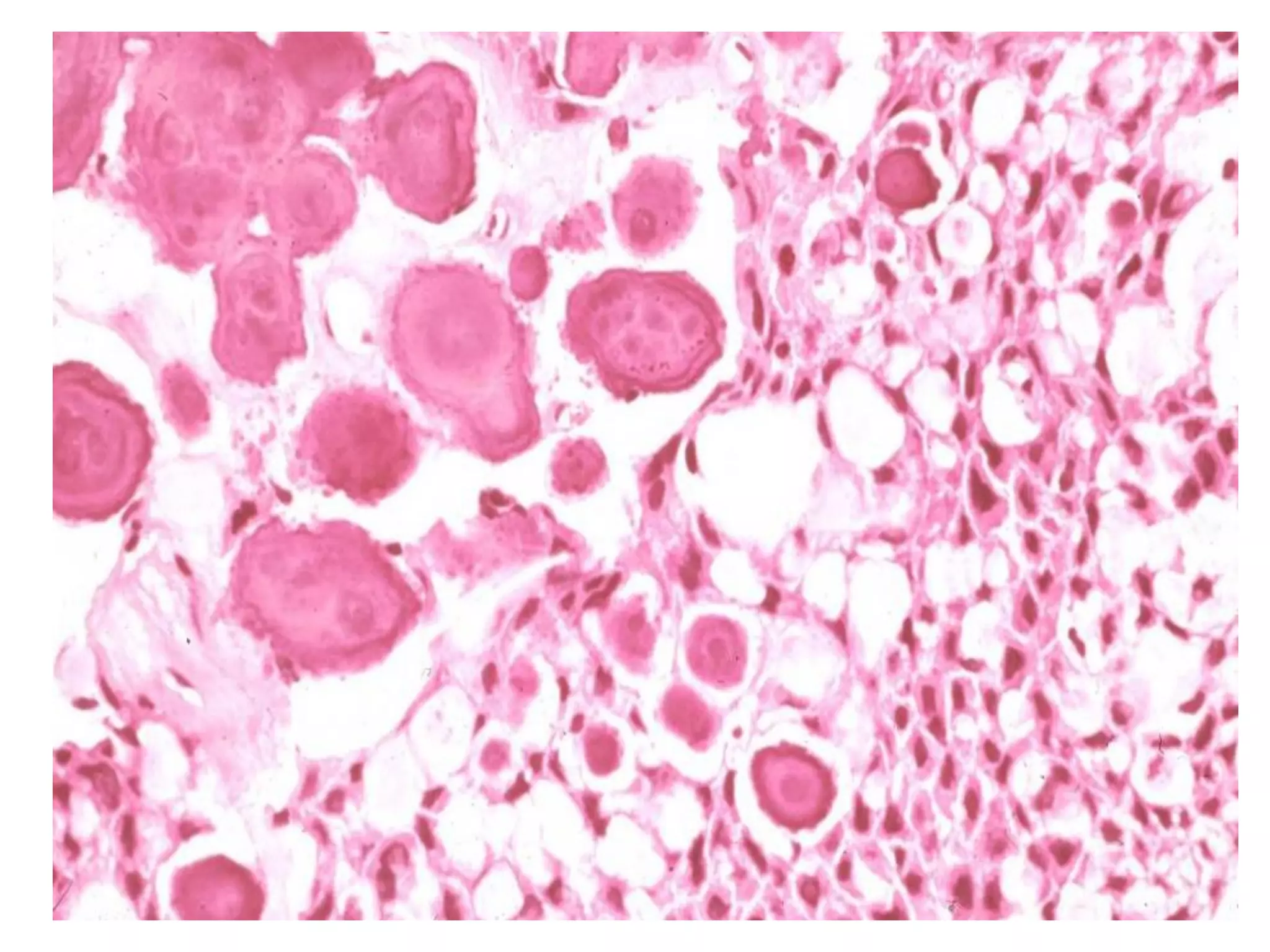
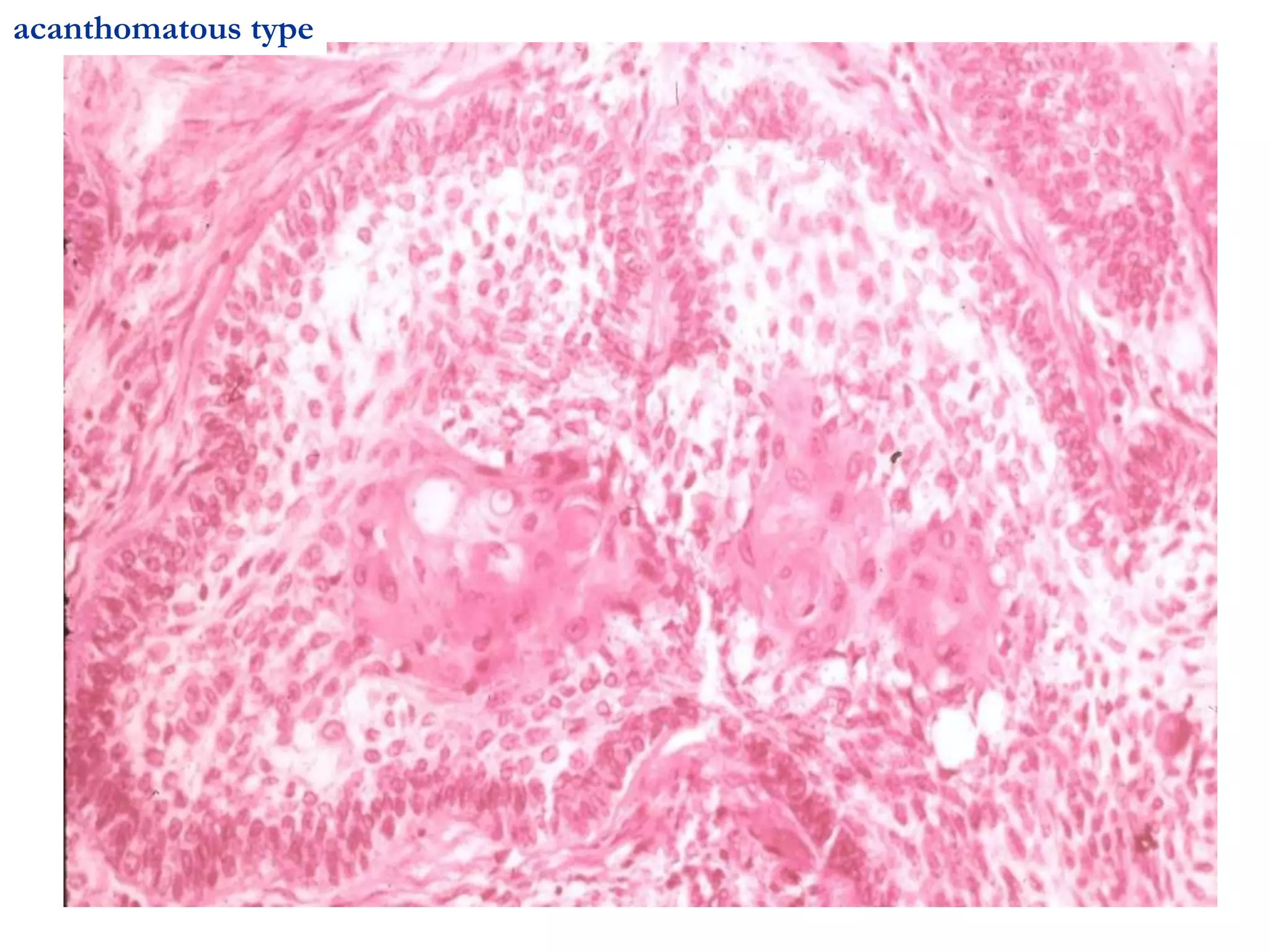
Chuyeån saûn gai
 U men ñaëc daïng u gai (acanthomatous
type) coù chuyeån saûn gai roäng, taïo chaát söøng
(keratin) trong caùc ñaûo bieåu moâ taïo raêng.
 U men ñaëc daïng teá baøo haït (granular cell
type) coù söï bieán ñoåi moät nhoùm caùc teá baøo
bieåu moâ thaønh teá baøo haït, söï bieán ñoåi naøy thì
chöa roõ. Loaïi naøy thöôøng gaëp ôû ngöôøi treû vaø
treân laâm saøng cho thaáy daáu hieäu xaâm laán.
Ameloblastoma: daïng ñaëc hay ña nang
acanthomatous type
acanthomatous type
granular cell type
granular cell type
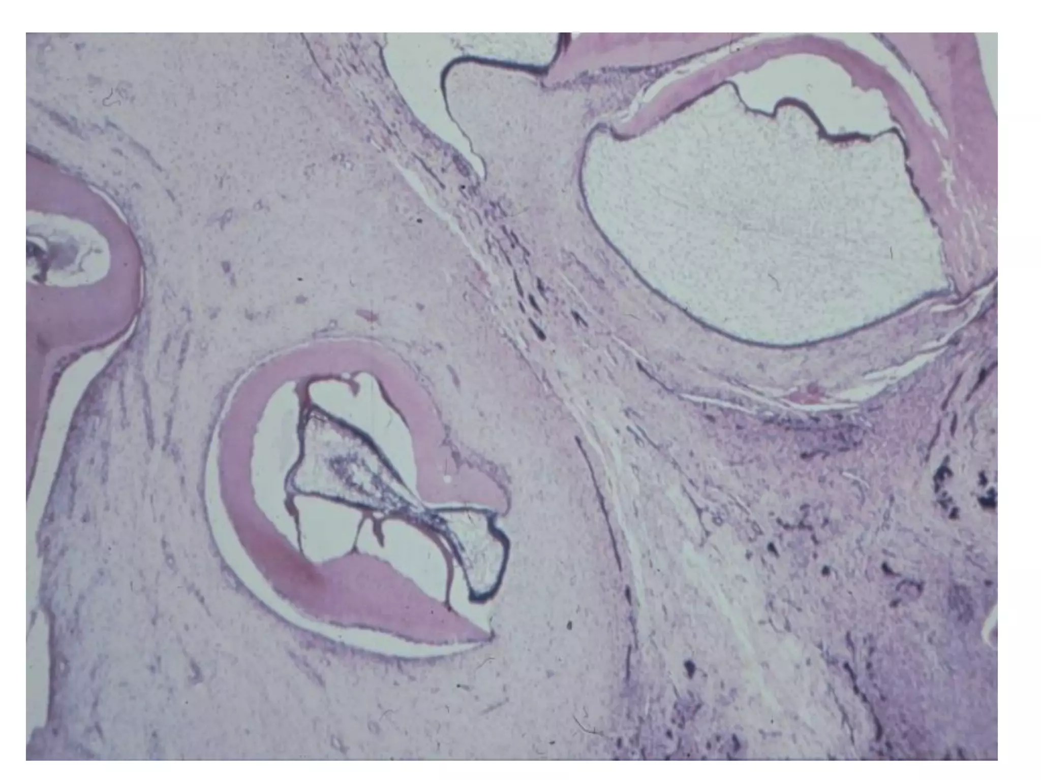
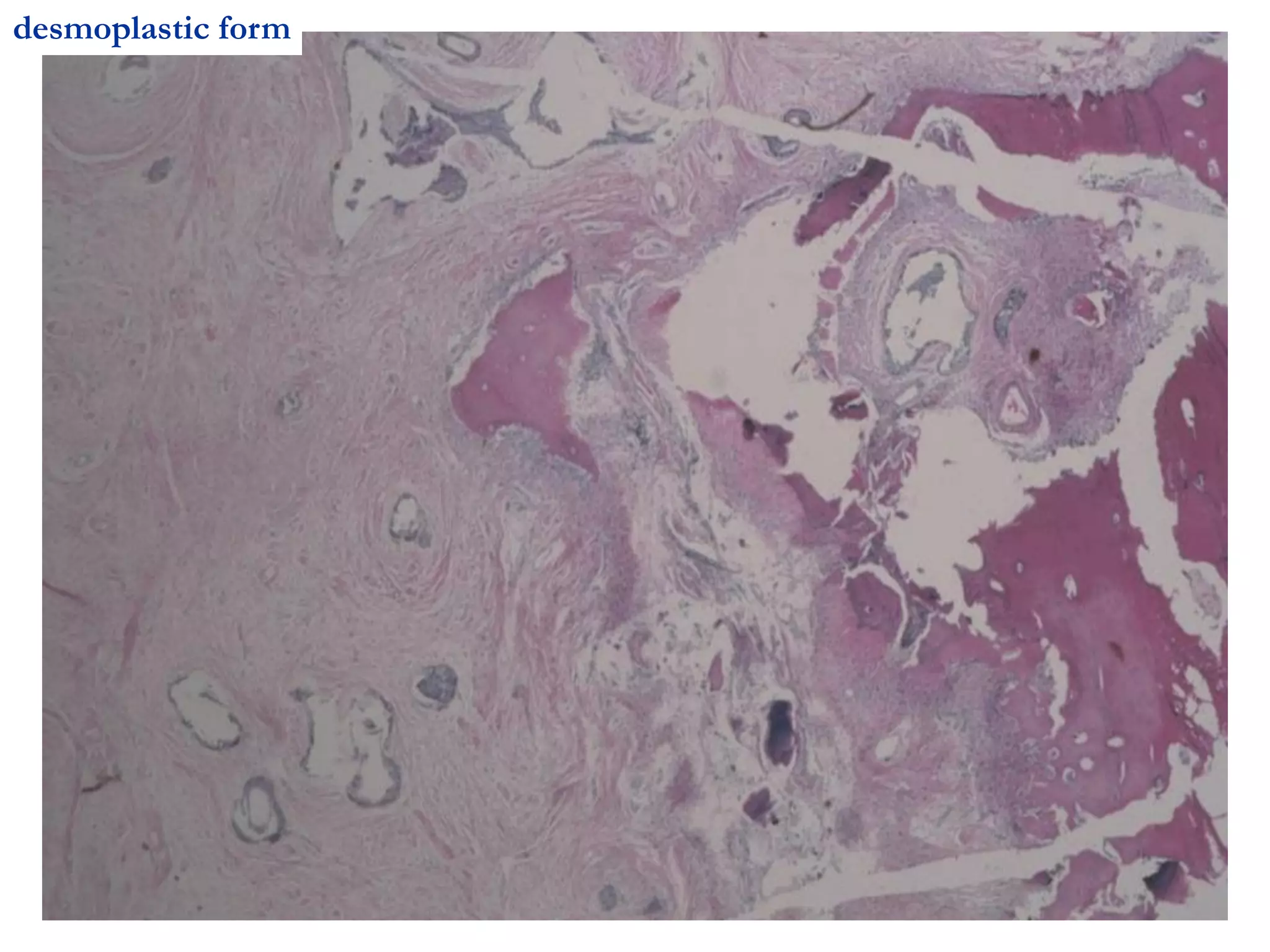
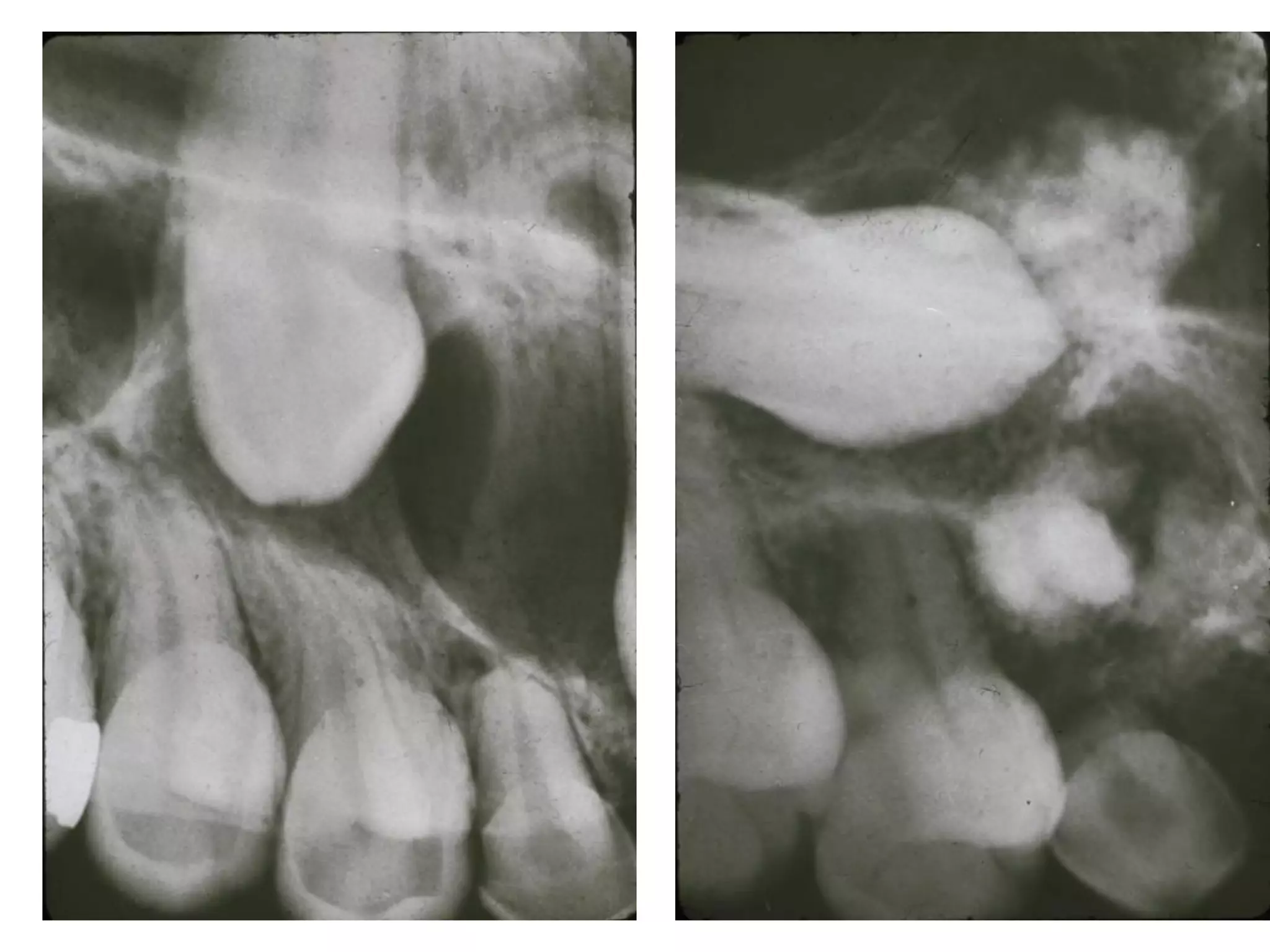
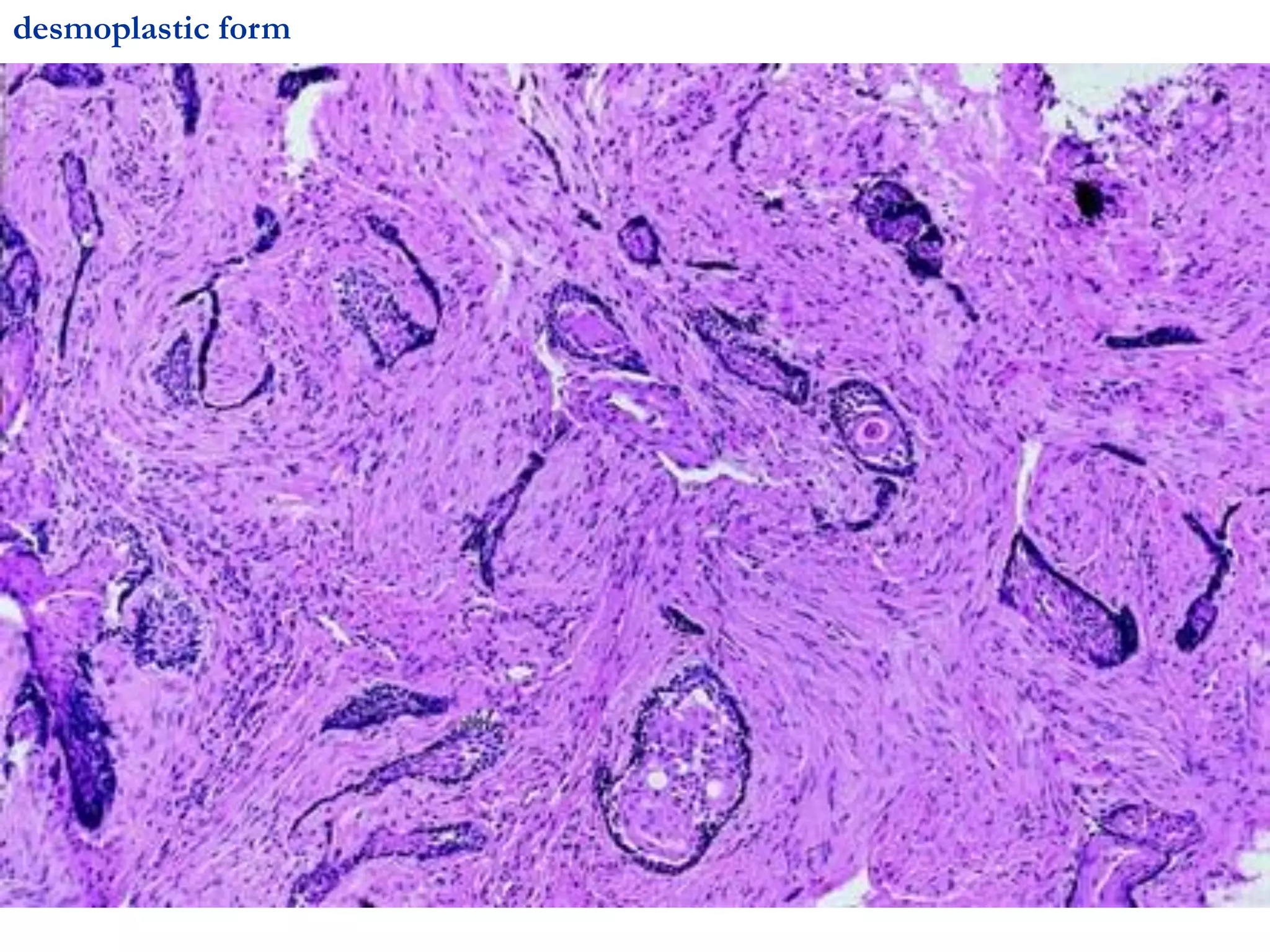
 U men ñaëc daïng xô hoùa (desmoplastic form)
goàm caùc ñaûo/daây teá baøo BM taïo raêng trong
lôùp moâ ñeäm chöùa collagen daøy ñaëc. Öu theá ôû
vuøng R tröôùc XHT vaø toån thöông vöøa caûn
quang vöøa thaáu quang do lôùp moâ lieân keát daøy
ñaëc.
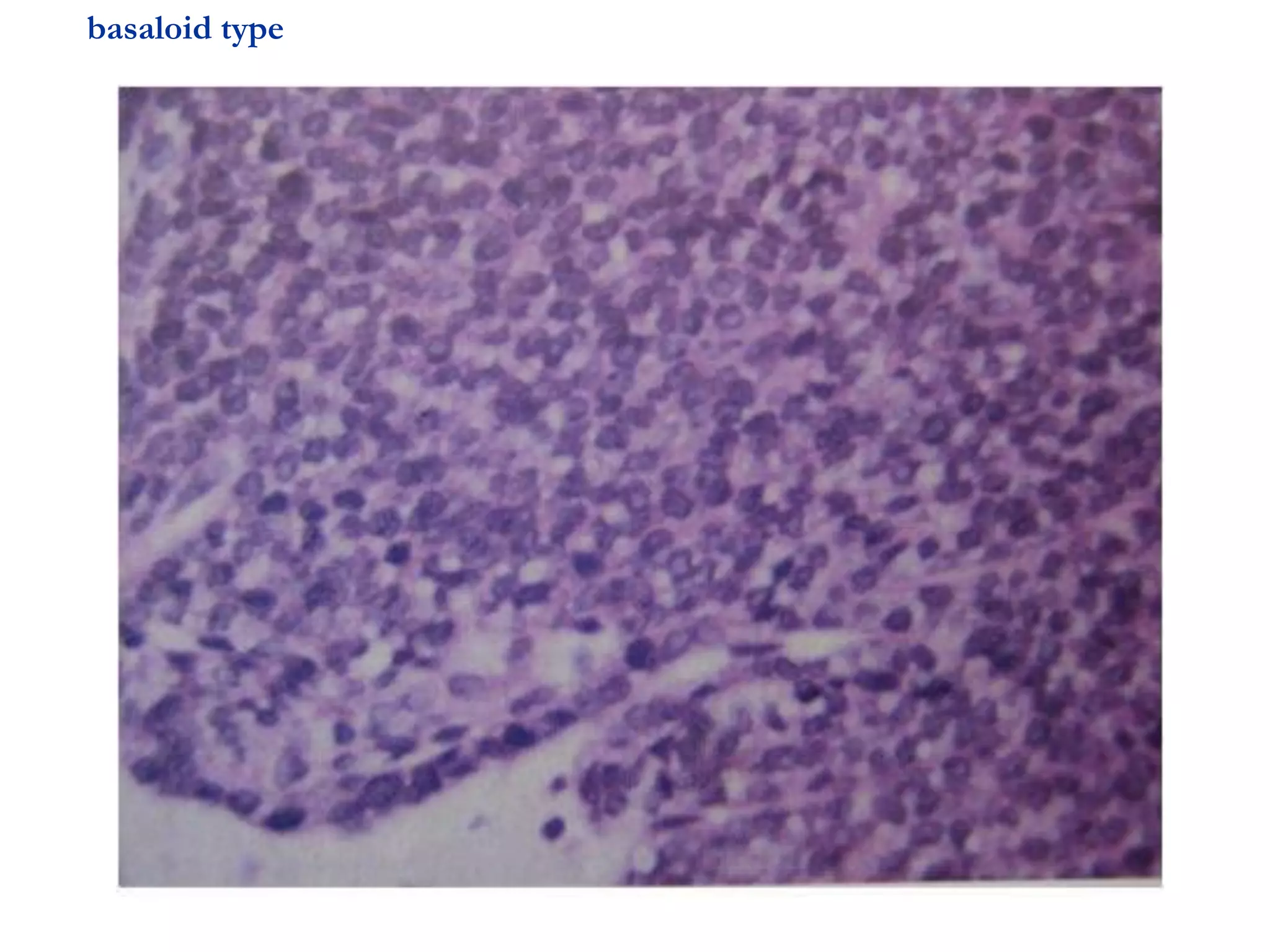
 U men ñaëc daïng tb ñaùy (basaloid type) ít gaëp
nhaát, goàm caùc teá baøo daïng tb ñaùy ñoàng nhaát,
khoâng coù löôùi teá baøo sao.
Ameloblastoma: daïng ñaëc hay ña nang
desmoplastic form
desmoplastic form
desmoplastic form
basaloid type
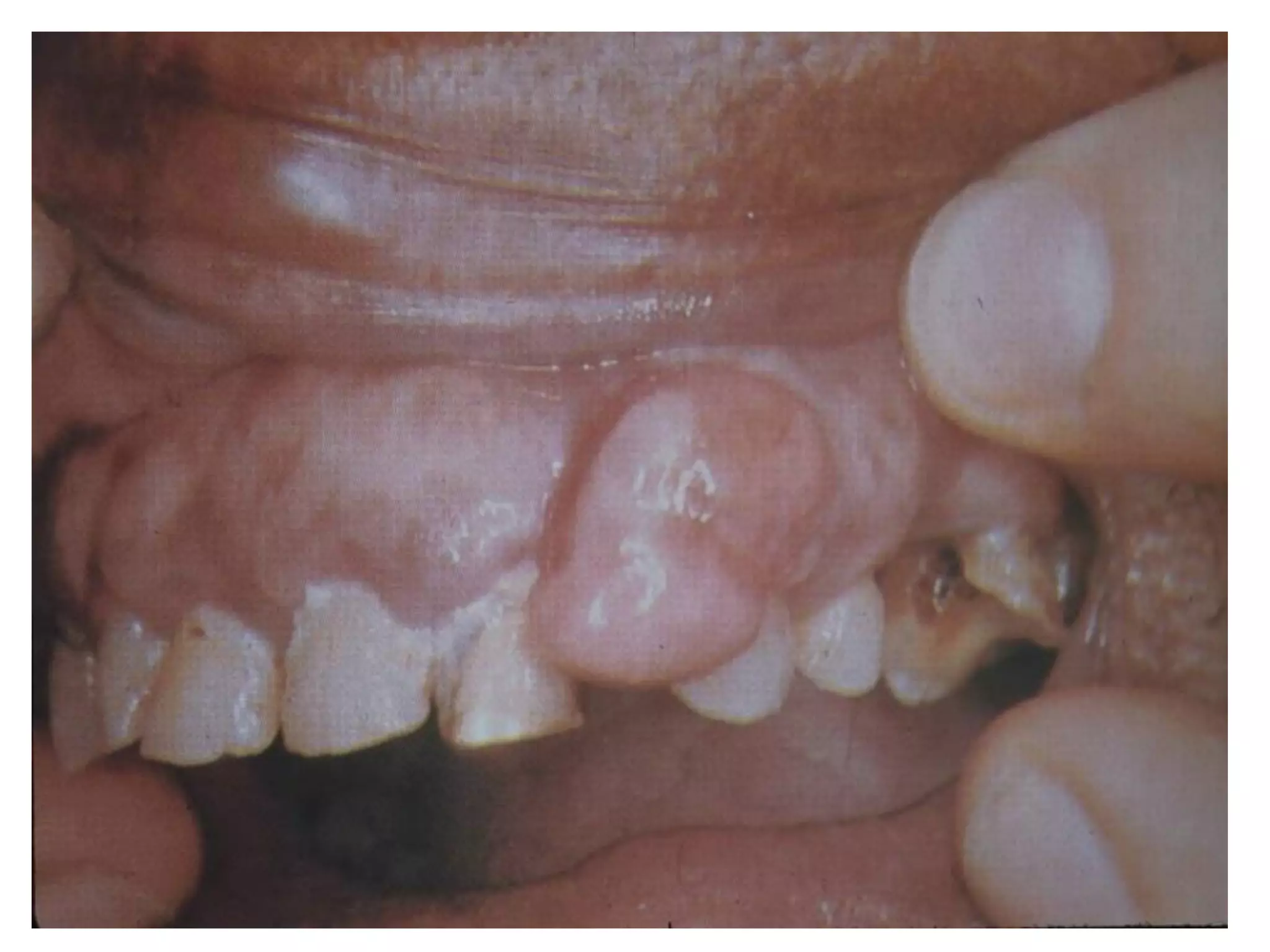
Ñaëc ñieåm phuï:
 Moät soá nghieân cöùu veà u men daïng ñaëc/ña
nang ñaõ baùo caùo raèng u thöôøng gaëp hôn ôû
ngöôøi da ñen.
 Caùc toån thöông thöôøng khoâng coù trieäu chöùng,
nhöng cuõng coù theå gaây dò caûm, ñau ñaëc bieät
khi nhieãm truøng vaø u coù theå aên moøn baûn
xöông voû.
Ameloblastoma: daïng ñaëc hay ña nang
Ñieàu trò:
 Nhieàu möùc: töø khoeùt u (enucleation) vaø naïo
(curettage) ñeán caét nguyeân khoái (en bloc
resection).
 Caét bôø khoái u (marginal resection) laø phöông
phaùp ñöôïc söû duïng roäng raõi nhaát vôùi tæ leä taùi
phaùt thaáp nhaát (ñöôïc baùo caùo laø 15%).
 Haàu heát caùc phaãu thuaät vieân ñeà nghò neân caét
caùch xa bôø cuûa u treân X quang ít nhaát 1cm do
treân laâm saøng u thöôøng lan roäng ra khoûi ñöôøng
ranh giôùi naøy.
Ameloblastoma: daïng ñaëc hay ña nang
Tieân löôïng:
 Naïo: tæ leä taùi phaùt 55-90%.
 Caét bôø khoái u: taùi phaùt khoaûng 15%.
 U men ôû haøm treân ñaëc bieät nguy hieåm vì
thöôøng khoù laáy heát bôø khoái u.
 Hieám khi ñe doïa tính maïng.
Ameloblastoma: daïng ñaëc hay ña nang
Ameloblastoma daïng ñôn nang
(Unicystic Ameloblastoma)
Laâm saøng:
 Tuoåi: treû hôn daïng ñaëc. 50% ñöôïc chaån ñoaùn luùc 20
tuoåi.
 Giôùi: ? Gioáng daïng ñaëc??
 Vò trí: 90% ôû XHD, thöôøng ôû vuøng R sau.
X quang: thaáu quang quanh thaân raêng ngaàm (ña soá laø
RCL3 döôùi).
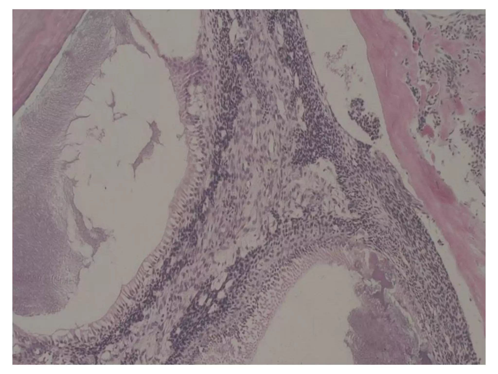
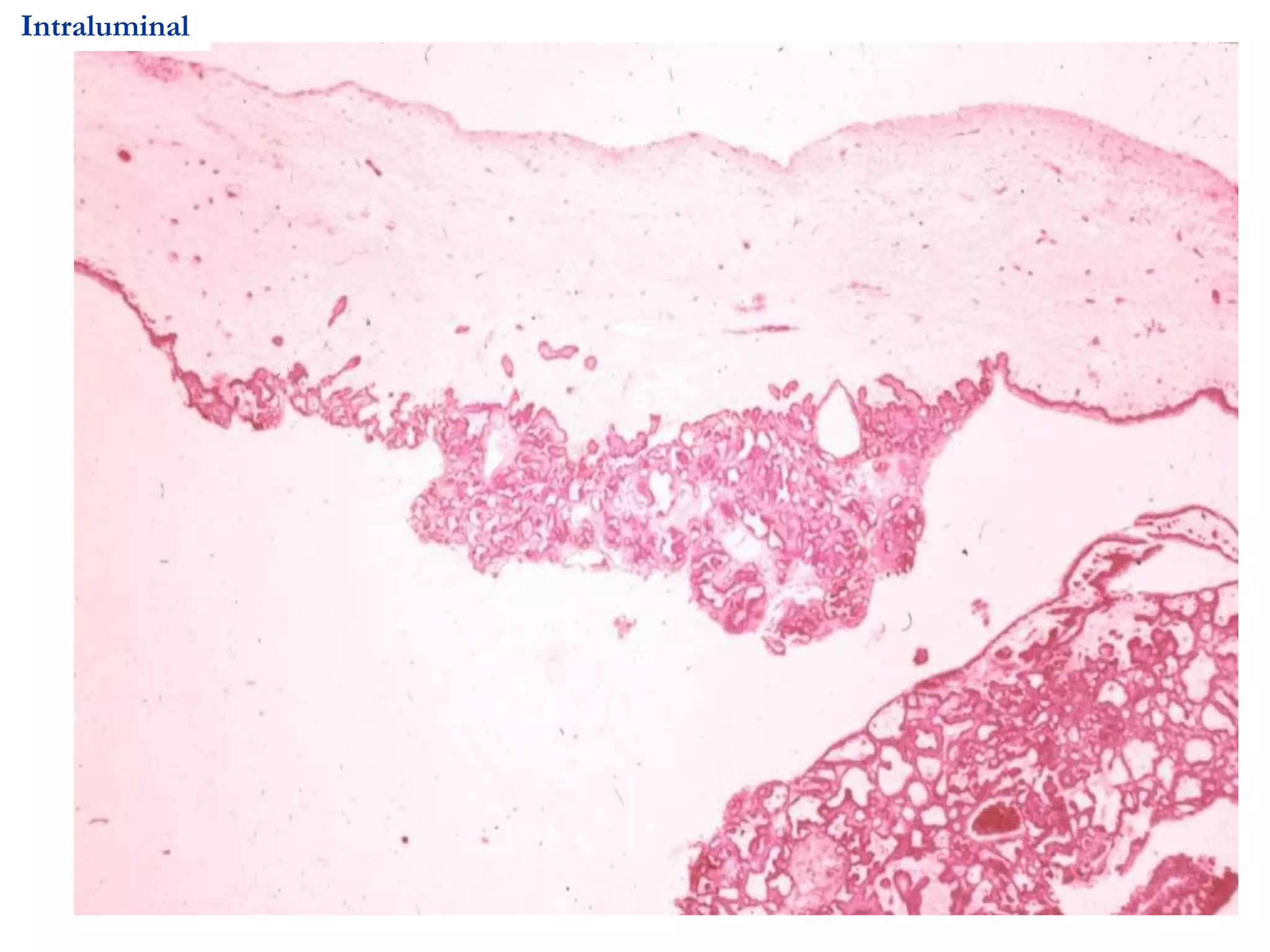
Giaûi phaãu beänh:
 3 daïng:
 Daïng oáng (Luminal): u ñöôïc giôùi haïn ôû beà maët
loøng nang.
 Daïng trong oáng (Intraluminal)/ñaùm roái: u nhoâ ra
khoûi lôùp bieåu moâ loùt cuûa nang; ñoâi khi gioáng
daïng ñaùm roái cuûa u men ñaëc .
 Daïng vaùch (Mural): u thaâm nhieãm vaøo vaùch sôïi
cuûa nang.
Ameloblastoma daïng ñôn nang
Luminal
Intraluminal
Mural
Ñieàu trò vaø tieân löôïng:
 Daïng oáng vaø trong oáng: coù theå khoeùt u.
 Daïng vaùch: caét boû taïi choã laø toát nhaát -> coøn
tranh caõi giöõa caùc PTV.
 Taùi phaùt 10-20% sau khoeùt u vaø naïo.
Ameloblastoma daïng ñôn nang
Ameloblastoma daïng ngoaïi vi
(Peripheral Ameloblastoma)
 Caùc u naøy laø naèm ngoaøi xöông do
ñoù naèm trong moâ lieân keát beân döôùi
bieåu moâ beà maët.
 Vi theå, coù ñaëc ñieåm gioáng vôùi caùc
daïng u men trong xöông.
 Tuoåi: khoaûng tuoåi roäng nhöng
nhieàu nhaát laø tuoåi trung nieân.
 Giôùi tính: chöa roõ.
 Vò trí: thöôøng gaëp nhaát laø nieâm
maïc xöông oå/ nieâm maïc nöôùu ôû
vuøng R sau. Hôi öu theá ôû haøm
döôùi. Vaøi tröôøng hôïp baùo caùo u ôû
nieâm maïc maù.
 X quang: maëc duø khoâng ôû trong xöông, vaøi
tröôøng hôïp coù söï aên moøn noâng xöông oå.
 Giaûi phaãu beänh: caùc ñaûo bieåu moâ taïo men
ñöôïc tìm thaáy trong lamina propria; daïng ñaùm
roái (plexiform) vaø daïng nang (follicular) laø
thöôøng gaëp nhaát; 50% tröôøng hôïp u coù lieân heä
vôùi lôùp ñaùy cuûa bieåu moâ treân beà maët.
Ameloblastoma daïng ngoaïi vi
Ñieàu trò vaø tieân löôïng:
 Khoâng gioáng vôùi daïng u men trong xöông, u
naøy khoâng gaây toån haïi treân laâm saøng.
 BN ñaùp öùng toát vôùi phaãu thuaät caét u taïi choå.
 1 soá baùo caùo cho thaáy TL taùi phaùt laø 25%
nhöng caùc ca naøy ñeàu ñöôïc chöõa khoûi trong
PT laàn 2.
 Hieám bieán ñoåi aùc tính.
Ameloblastoma daïng ngoaïi vi
Ameloblastoma aùc tính vaø
Ameloblastic Carcinoma
 < 1% ameloblastoma coù bieåu hieän aùc tính vaø coù di caên.
 Ameloblastoma aùc tính coù ñaëc ñieåm moâ hoïc cuûa u
men ñieån hình (laønh tính) trong u nguyeân phaùt laãn u di
caên.
 Ameloblastic carcinoma coù bieåu hieän aùc tính veà maët
teá baøo hoïc trong u nguyeân phaùt, u taùi phaùt vaø baát cöù di
caên naøo.
Laâm saøng:
 Ñoä tuoåi töø 4-75, trung bình 30 tuoåi.
 Di caên thöôøng xaûy ra töø 1-30 naêm sau ñieàu trò
laàn ñaàu.
 Di caên thöôøng xaûy ra nhaát ôû phoåi vaø trong
tröôøng hôïp u men aùc => ñaët ra caâu hoûi coù
phaûi do hít phaûi trong luùc PT. Cuõng coù theå di
caên haïch coå , coät soáng vaø noäi taïng.
Ameloblastoma aùc tính vaø
Ameloblastic Carcinoma
X quang:
 Ameloblastoma aùc tính: töông töï u men ñaëc
ñieån hình.
 Ameloblastic carcinoma thöôøng xaâm laán
nhieàu hôn, toån thöông thaáu quang ranh giôùi
khoâng roõ, phaù huûy voû xöông.
Ameloblastoma aùc tính vaø
Ameloblastic Carcinoma
Giaûi phaãu beänh:
 Ameloblastoma aùc tính, caû u nguyeân phaùt vaø
u di caên ñeàu khoâng coù ñaëc ñieåm moâ hoïc khaùc
vôùi u men ñaëc ñieån hình.
 Ameloblastic carcinoma coù caùc ñaëc ñieåm aùc
tính ngoaøi caáu truùc cuûa moät u men.
Ameloblastoma aùc tính vaø
Ameloblastic Carcinoma
Ñieàu trò vaø tieân löôïng
 Theo doõi thôøi gian daøi khoâng cho pheùp hình
thaønh nhöõng giaû ñònh chính xaùc veà beänh
nhöng tieân löôïng xaáu.
 Khoaûng 50% BN ñöôïc chöùng minh laø coù di
caên, khi theo doõi trong thôøi gian daøi ñaõ töû
vong do haäu quaû cuûa beänh.
Ameloblastoma aùc tính vaø
Ameloblastic Carcinoma
Ung thö bieåu moâ do raêng
teá baøo saùng
(Clear Cell Odontogenic
Carcinoma)
Clear Cell Odontogenic Tumor
Clear Cell Odontogenic Carcinoma
 Coù 1 vaøi ca ñöôïc baùo caùo ñaàu tieân naêm 1985
cho ñeán nay.
 U coù nguoàn goác do raêng nhöng quaù trình taïo
moâ thì khoâng phaûi vaäy.
 Thuaät ngöõ carcinoma ñöôïc söû duïng do haàu
heát caùc tröôøng hôïp u ñeàu coù tính xaâm laán caáu
truùc laân caän.
Clear Cell Odontogenic Carcinoma
Laâm saøng:
 Tuoåi: thöôøng > 50 tuoåi.
 Giôùi: haàu heát ôû nöõ nhöng do soá löôïng ca
maéc ñöôïc baùo caùo cho ñeán nay raát ít neân ít coù
giaù trò.
 Vò trí: caû 2 haøm.
X quang: thöôøng laø moät hoác hay nhieàu hoác
thaáu quang coù ranh giôùi khoâng roõ.
Clear Cell Odontogenic Carcinoma
Giaûi phaãu beänh
 Nhieàu caáu truùc, öu theá laø caùc oå (nests) teá baøo bieåu
moâ coù baøo töông öa eosin nhaït hoaëc saùng bò ngaên
caùch bôûi caùc daây moâ lieân keát coù hyalin.
 Caùc teá baøo saùng coù chöùa löôïng nhoû glycogen.
 BS GPB caàn loaïi tröø caùc “u teá baøo saùng” khaùc nhö
carcinoma nhaày daïng bieåu bì teá baøo saùng, u BM do
raêng voâi hoùa tb saùng vaø carcinoma teá baøo thaän di
caên.
Clear Cell Odontogenic Carcinoma
Ñieàu trò vaø tieân löôïng:
 Haàu heát BN caàn ñöôïc phaãu thuaät trieät ñeå
(radical surgery) do ña soá caùc taùc giaû xem u
laø aùc tính.
 Di caên ñeán haïch vuøng vaø phoåi ñaõ ñöôïc baùo
caùo.
 Coù quaù ít tröôøng hôïp maéc neân khoâng theå coù
keát luaän veà tieân löôïng cuûa u.
U do raêng daïng u tuyeán
Adenomatoid Odontogenic Tumor
(AOT)
 Tröôùc ñaây goïi laø adenoameloblastoma, caùch
goïi nhaàm laãn khoâng neân duøng nöõa, u chieám
khoaûng 3-7% taát caû u do raêng.
 U bieåu moâ naøy coù taùc ñoäng caûm öùng treân
ngoaïi trung moâ taïo raêng vaø chaát daïng ngaø
thöôøng xuyeân ñöôïc saûn xuaát.
U do raêng daïng u tuyeán
Laâm saøng:
 Tuoåi: cao nhaát laø ôû thaäp kyû thöù 2, trung bình
quanh tuoåi 17.
 Giôùi: nöõ gaáp 2x.
 Vò trí: 65% ôû XHT vaø 65% ôû vuøng raêng nanh.
65% tröôøng hôïp lieân quan ñeán thaân raêng
ngaàm. Hieám coù toån thöông daïng ngoaøi
xöông.
X quang:
Toån thöông thaáu quang quanh thaân raêng, coù theå
coù caûn quang beân trong khoái thaáu quang
(“boâng tuyeát”).
 Thöôøng khoâng coù trieäu chöùng vaø phaùt hieän
khi chuïp X quang. U coù theå caûn trôû raêng vónh
vieãn moïc vaø ñöôïc phaùt hieän khi chuïp X
quang “tìm” raêng ngaàm.
U do raêng daïng u tuyeán
Giaûi phaãu beänh:
 Ñöôïc bao bôûi 1 bao sôïi daøy.
 U goàm caùc teá baøo bieåu moâ hình thoi taïo
thaønh caùc laù (sheets), caùc daûi (strands) hoaëc
caùc khoái xoaén vôùi moät ít moâ lieân keát.
 Caùc teá baøo bieåu moâ coù theå taïo thaønh caáu truùc
gioáng hoa thò, caáu truùc gioáng oáng coù theå
chieám öu theá hoaëc khoâng coù.
 Trong khoái u coù söï voâi hoùa .
U do raêng daïng u tuyeán
Ñieàu trò vaø tieân löôïng:
 Khoeùt u laø moät löïa choïn do u deã taùch khoûi
xöông.
 Hieám khi taùi phaùt.
U do raêng daïng u tuyeán
U bieåu moâ do raêng voâi hoùa
Calcifying Epithelial Odontogenic Tumor
(CEOT; U Pindborg)
 < 1% caùc u do raêng.
 Nguoàn goác do raêng nhöng quaù trình taïo moâ u thì
khoâng haún nhö vaäy.
 Caùc teá baøo u gioáng caùc teá baøo taàng trung gian cuûa
cô quan men.
Laâm saøng:
 Tuoåi: 20-50, trung bình 40.
 Giôùi: khoâng phaân bieät.
 Vò trí: 75% ôû XHD ña soá ôû vuøng R sau. Daïng ngoaïi
vi hieám xaûy ra.
U bieåu moâ do raêng voâi hoùa
X quang:
 Toån thöông thaáu quang, +/- caùc oå caûn quang.
 Moät hoác hay nhieàu hoác, ranh giôùi roõ.
 > 50% keát hôïp vôùi raêng ngaàm.
Giaûi phaãu beänh:
 Goàm caùc ñaûo, caùc laù (sheets) hoaëc caùc daây (strands)
teá baøo bieåu moâ hình ña dieän trong moâ ñeäm sôïi.
 Caùc vuøng chöùa chaát ngoaïi baøo voâ ñònh hình öa eosin
hyalin hoùa raûi raùc khaép nôi.
 Ñöôøng vieàn cuûa caùc teá baøo roõ vaø coù theå thaáy caùc
caàu noái lieân baøo.
 Nhaân thay ñoåi ñaùng keå, nhaân khoång loà vaø ña hình
daïng.
 Söï voâi hoùa ñöôïc ghi nhaän cuõng nhö caùc chaát daïng
tinh boät. Coù theå thaáy voøng Liesegang.
U bieåu moâ do raêng voâi hoùa
Ñieàu trò vaø tieân löôïng:
 Daïng trong xöông thöôøng laø khoái söng khoâng ñau,
lôùn chaäm.
 U daïng ngoaïi vi laø moät khoái söng khoâng ñaëc hieäu ôû
nöôùu khoâng coù cuoáng.
 Phaãu thuaät baûo toàn taïi choã do u ít xaâm laán so vôùi u
men.
 Taùi phaùt 15% vaø tieân löôïng toát.
U bieåu moâ do raêng voâi hoùa
U do raêng teá baøo gai
Squamous Odontogenic Tumor (SOT)
Laâm saøng:
 Tuoåi: 20-50 (trung bình 40).
 Vò trí: caû 2 haøm, tæ leä nhö nhau, vuøng R tröôùc >
vuøng R sau. Toån thöông xaûy ra ôû xöông oå R.
X quang: Thaáu quang khoâng ñaëc hieäu. Ranh giôùi roõ
hoaëc khoâng roõ. Thöôøng coù hình tam giaùc vaø naèm
beân chaân raêng.
U do raêng teá baøo gai
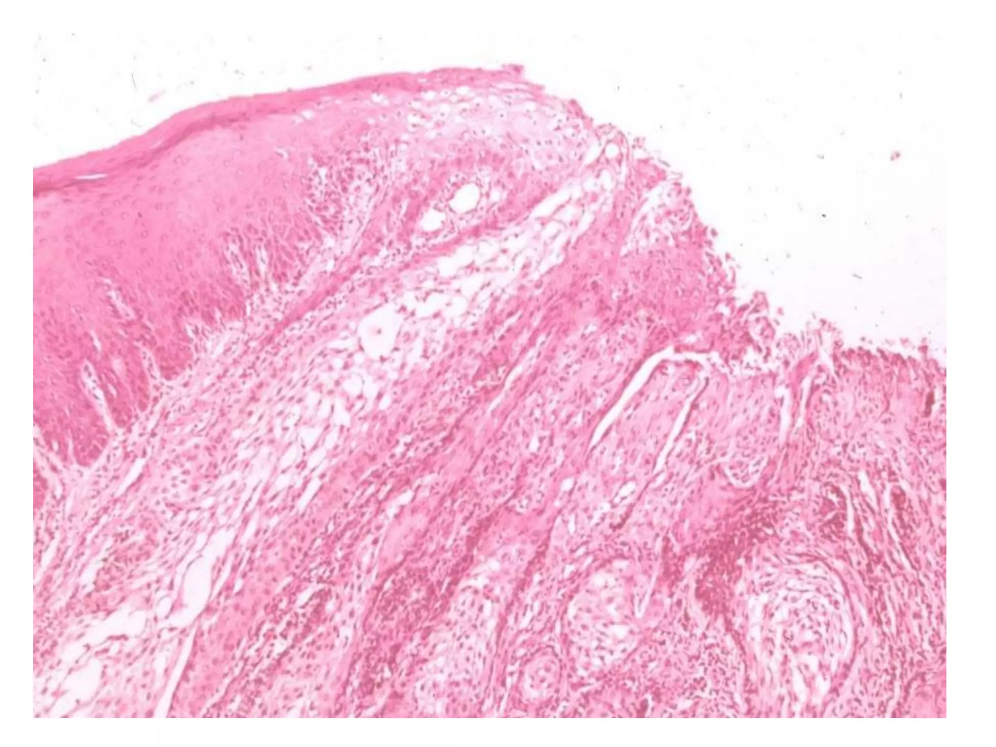
Giaûi phaãu beänh:
 Caùc ñaûo bieåu moâ gai naèm trong moâ lieân keát
sôïi tröôûng thaønh. Caùc teá baøo ôû ngoaïi bieân
khoâng phaân cöïc nhö ôû u men.
U do raêng teá baøo gai
Ñieàu trò vaø tieân löôïng:
 U thöôøng bieåu hieän laø khoái söng ôû nöôùu
khoâng ñau keát hôïp raêng lung lay. Gaàn 25%
khoâng trieäu chöùng.
 PT baûo toàn hoaëc naïo coù hieäu quaû , chæ moät ít
tröôøng hôïp taùi phaùt.
U do raêng hoån hôïp
(Mixed Odontogenic Tumors)
Nhoùm u coù söï taêng sinh cuûa bieåu moâ
taïo raêng naèm trong thaønh phaàn ngoaïi
trung moâ gioáng nhuù raêng.
U sôïi men (Ameloblastic Fibroma)
Laâm saøng:
 U do raêng hoãn hôïp
thöïc söï thöôøng gaëp ôû
ñoä tuoåi 10-20, trung
bình 14.
 Nam > nöõ.
 Gaàn 70% vuøng R sau
HD.
X quang:
 Thoâng thöôøng, moät hoác hoaëc nhieàu hoác thaáu quang.
 Giôùi haïn roõ, bôø coù theå xô cöùng.
 50% keát hôïp vôùi raêng ngaàm.
U sôïi men (Ameloblastic Fibroma)
Giaûi phaãu beänh:
 Goàm toå chöùc trung moâ giaøu teá baøo gioáng nhuù
raêng nguyeân thuûy laãn vôùi bieåu moâ taïo raêng
ñang taêng sinh.
Ameloblastic Fibroma
U sôïi men (Ameloblastic Fibroma)
Ñieàu trò vaø tieân löôïng:
 U thöôøng coù voû bao, u nhoû khoâng coù trieäu
chöùng, u lôùn gaây söng, phoàng voû xöông.
 Haàu heát ñöôïc phaãu thuaät baûo toàn; tuy nhieân
taùi phaùt 20% => caùc PTV khuyeán caùo tieáp
caän xaâm laán hôn.
U raêng-sôïi-men
Ameloblastic Fibro-odontoma
 Ñöôïc xaùc ñònh laø u vôùi caùc ñaëc ñieåm chung
cuûa moät ameloblastic fibroma nhöng chöùa
men vaø ngaø.
 Moät soá nhaø nghieân cöùu cho raèng thöïc theå naøy
laø moät giai ñoaïn trong söï phaùt trieån cuûa moät
odontoma; tuy nhieân, haàu heát ñoàng yù raèng u
phaù huûy tieán trieån naøy laø taân sinh thaät söï.
Ameloblastic Fibro-odontoma
Laâm saøng:
 Tuoåi: nhieàu nhaát töø 5-12, trung bình 10 tuoåi.
 Vò trí: thöôøng gaëp ôû vuøng raêng sau cuûa 2
haøm.
X quang: thöôøng laø 1 hoác thaáu quang roõ hoaëc
hieám hôn laø nhieàu hoác thaáu quang vôùi caùc
chaát canxi hoùa caûn quang. Do ñoù coù theå cho
hình aûnh hoãn hôïp vöøa thaáu quang vöøa caûn
quang.
Ameloblastic Fibro-odontoma
Giaûi phaãu beänh:
 Thaønh phaàn moâ meàm gioáng ameloblastic
fibroma. Thaønh phaàn canxi hoùa goàm caùc oå
men, söï hình thaønh ngaø coù moái quan heä chaët
cheõ vôùi caáu truùc bieåu moâ.
Ameloblastic Fibro-odontoma
Ñieàu trò vaø tieân löôïng:
 Naïo baûo toàn vôùi toån thöông khoâng dính vôùi
xöông xung quanh.
 Tieân löôïng raát toát, ít taùi phaùt.
Sarcoâm sôïi-men
Ameloblastic Fibrosarcoma
 Toån thöông ñöôïc xem nhö laø u aùc töông öùng
cuûa ameloblastic fibroma vôùi bieåu hieän aùc
tính trong thaønh phaàn trung moâ.
 U coù theå aùc tính töø ñaàu hoaëc do bieán ñoåi aùc
tính cuûa ameloblastic fibroma.
Ameloblastic Fibrosarcoma
Laâm saøng:
 Tuoåi: trung bình 26
tuoåi.
 Giôùi: nam gaáp 2x.
 Vò trí: 75% ôû XHD.
X quang: thaáu quang,
khoâng roõ, coù tính
phaù huûy.
Ameloblastic Fibrosarcoma
Giaûi phaãu beänh:
 Thaønh phaàn bieåu moâ: bieåu hieän laønh tính.
 Thaønh phaàn trung moâ: caùc teá baøo taêng baét
maøu vaø khaù ña daïng. Phaân baøo nhieàu.
Ameloblastic Fibrosarcoma
Ñieàu trò vaø tieân löôïng:
 Ñau, söng thöôøng laø ñieån hình cuûa u naøy. U
thöôøng lôùn nhanh.
 Phaãu thuaät caét boû trieät ñeå.
 Tieân löôïng xa khoù xaùc ñònh do soá ca ñöôïc
baùo caùo raát ít.
U men-raêng (Odontoameloblastoma
, Ameloblastic Odontoma)
Laâm saøng:
 Raát hieám, vì vaäy coù ít thoâng tin ñaùng tin caäy.
 Tuoåi: thaáy ôû ngöôøi treû.
 Öu tieân theo giôùi: khoâng roõ.
 Vò trí: ña soá ôû XHD.
X quang: vöøa caûn quang vöøa thaáu quang.
Odontoameloblastoma
Giaûi phaãu beänh:
 Thaønh phaàn BM coù ñaëc ñieåm cuûa moät
ameloblastoma, thöôøng gaëp caáu truùc ñaùm roái
(plexiform) hoaëc nang (follicular).
 Thaønh phaàn u raêng (odontoma) goàm men, ngaø
vaø xeâ maêng vôùi caáu truùc keát hôïp hay phöùc
hôïp.
Odontoameloblastoma
Ñieàu trò vaø tieân löôïng:
 Do taùi phaùt nhieàu sau naïo, neân ñieàu trò gioáng
nhö u men vôùi pp caét bôø khoái u.
 Hieän khoâng coù caùc döõ lieäu coù giaù trò veà tieân
löôïng xa cuûa u do soá tröôøng hôïp maéc raát ít.
U raêng (Odontoma)
 U do raêng thöôøng gaëp nhaát.
 Khoâng phaûi taân sinh thaät söï , ñöôïc coi laø moät
dò daïng phaùt trieån (hamartoma).
 Coù 2 loaïi:
 Keát hôïp: goàm nhieàu caáu truùc nhoû gioáng raêng.
 Phöùc hôïp: laø moät khoái men vaø ngaø, khoâng mang
hình thaùi giaûi phaãu cuûa raêng.
U raêng
Laâm saøng:
 Tuoåi: <20, trung bình 14 tuoåi.
 Giôùi: nhö nhau.
 Vò trí: XHT nhieàu hôn. Daïng keát hôïp thöôøng
ôû vuøng R tröôùc XHT trong khi daïng phöùc hôïp
thöôøng ôû vuøng R sau cuûa caû 2 haøm.
U raêng
X quang:
 Sôùm: thaáu quang, ñöôøng vieàn roõ, nhaün.
 Muoän: caûn quang roõ.
 Daïng keát hôïp cho thaáy hình daïng raêng roõ
raøng trong khi daïng phöùc hôïp laø moät khoái caûn
quang ñoàng nhaát khoâng coù hình daïng raêng.
U raêng
Ñaëc ñieåm phuï:
 Ña soá u raêng nhoû vaø khoâng vöôït quaù kích thöôùc cuûa
raêng bình thöôøng trong vuøng.
 Tuy nhieân cuõng coù theå gaëp u lôùn hôn vaø gaây phoàng
xöông haøm.
 Haàu heát u raêng khoâng coù trieäu chöùng vaø ñöôïc phaùt
hieän tình côø khi chuïp X quang.
 U raêng coù theå caûn trôû raêng vónh vieãn moïc vaø luùc ñoù
u thöôøng ñöôïc phaùt hieän khi “tìm” raêng thieáu treân X
quang.
U raêng
Giaûi phaãu beänh:
 U raêng keát hôïp (compound odontoma) goàm
men, ngaø vaø xeâ maêng saép xeáp thaønh hình
daïng raêng.
 U raêng phöùc hôïp (complex odontoma) goàm
men, ngaø vaø xeâ maêng nhöng saép xeáp ngaãu
nhieân, khoâng mang hình thaùi giaûi phaãu cuûa
moät raêng.
U raêng
Ñieàu trò vaø tieân löôïng:
 Phaãu thuaät caét u taïi choã.
 Tieân löôïng raát toát.
U coù nguoàn goác ngoaïi
trung moâ taïo raêng
U sôïi do raêng (trung taâm)
(Central) Odontogenic Fibroma
Laâm saøng:
 < 70 tröôøng hôïp ñöôïc baùo caùo trong taøi lieäu
cuûa Anh.
 Tuoåi: 9-80, trung bình 40 tuoåi.
 Giôùi: nöõ / nam = 7.4:1 trong moät nghieân cöùu.
 Vò trí: 60% ôû XHT ña soá ôû vuøng tröôùc RCL1.
Neáu ôû XHD, khoaûng 50% ôû vuøng R sau.
U sôïi do raêng
X quang:
 Moät hoác thaáu quang roõ. Thöôøng lieân quan
vuøng quanh choùp cuûa moät raêng ñaõ moïc.
 Toån thöông lôùn thöôøng coù nhieàu hoác.
 Nhieàu u coù bôø xô hoùa .
 Thöôøng tieâu chaân raêng.
U sôïi do raêng
Ñaëc ñieåm phuï:
 U nhoû thöôøng khoâng coù trieäu chöùng.
 U lôùn coù theå gaây phoàng xöông haøm hoaëc laøm
lung lay raêng keá beân.
U sôïi do raêng
Giaûi phaãu beänh:
 Moät soá taùc giaû moâ taû 2 daïng rieâng bieät cuûa u.
 U sôïi do raêng ñôn giaûn goàm caùc fibroblast hình sao
saép xeáp trong moät caáu truùc xoaén vôùi sôïi collagen
nhoû vaø nhieàu chaát neàn.
 Caùc oå bieåu moâ do raêng +/-.
 Thænh thoaûng, coù caùc ñieåm voâi hoùa do loaïn döôõng.
U sôïi do raêng
 U sôïi do raêng daïng WHO moâ lieân keát sôïi
khaù nhieàu teá baøo vôùi sôïi collagen saép xeáp
thaønh caùc boù sôïi beän vaøo nhau.
 Bieåu moâ sinh raêng coù daïng daûi (strands) daøi
hoaëc caùc oå (nests) coâ laäp, khaép nôi trong toån
thöông.
 Caùc chaát daïng xeâ maêng (cementoid) vaø/hoaëc
chaát daïng ngaø (dentinoid) voâi hoùa.
U sôïi do raêng
Ñieàu trò vaø tieân löôïng
 Khoeùt u vaø naïo.
 Tieân löông toát do ít taùi phaùt.
U sôïi do raêng ngoaïi vi
Peripheral Odontogenic Fibroma (POF)
Laâm saøng:
 Tuoåi: ñoä tuoåi roäng.
 Giôùi: khoâng roõ öu theá veà giôùi.
 Vò trí: haàu heát ôû maët ngoaøi nöôùu haøm döôùi.
 Khoái chaéc, lôùn chaäm, thöôøng khoâng coù cuoáng, nieâm
maïc phuû bình thöôøng.
 Coù theå ñaåy leäch raêng.
X quang: toån thöông khoâng lieân quan ñeán xöông beân
döôùi nhöng coù caùc vuøng voâi hoùa ôû moâ meàm trong
moät soá tröôøng hôïp.
U sôïi do raêng ngoaïi vi
Giaûi phaãu beänh:
 Töông töï u sôïi do raêng trung taâm, WHO type.
U sôïi do raêng ngoaïi vi
Ñieàu trò vaø tieân löôïng:
 Phaãu thuaät caét boû taïi choå, tieân löôïng raát toát.
 Raát ít hoaëc khoâng taùi phaùt.
U teá baøo haït do raêng
(Granular Cell Odontogenic Tumor)
< 25 ca ñöôïc baùo caùo
U teá baøo haït do raêng
Laâm saøng:
 Tuoåi: thöôøng > 40 tuoåi.
 Giôùi: khoâng roõ öu theá veà giôùi.
 Vò trí: caû XHT vaø XHD; ña soá ôû vuøng raêng sau.
X quang: thaáu quang ranh giôùi roõ, coù theå coù caùc vuøng
caûn quang.
U teá baøo haït do raêng
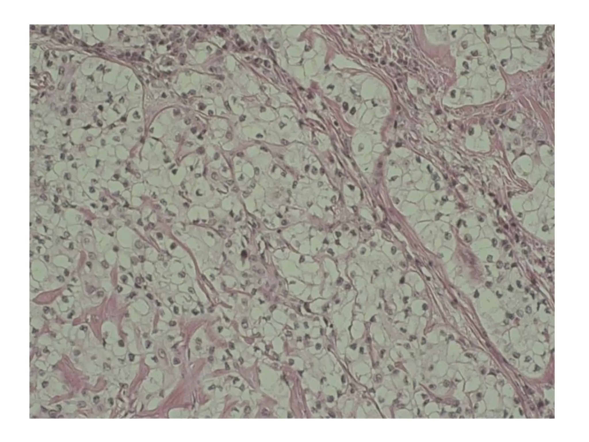
Giaûi phaãu beänh:
 Goàm caùc teá baøo haït lôùn öa eosin.
 Caùc daây (cords) heïp hoaëc caùc ñaûo (islands) nhoû bieåu
moâ sinh raêng raûi raùc giöõa caùc teá baøo haït.
 Baûn chaát cuûa caùc teá baøo haït coøn tranh caõi (?? caáu
truùc tieâu theå ??).
U teá baøo haït do raêng
Ñieàu trò vaø tieân löôïng:
 Naïo u, khoâng taùi phaùt.
U nhaày do raêng
(Odontogenic Myxoma)
Laâm saøng:
 Tuoåi: 10-50 tuoåi, trung bình 30 tuoåi.
 Giôùi: nhö nhau ôû 2 giôùi.
 Vò trí: baát cöù vò trí naøo cuûa 2 xöông haøm ,
XHD thöôøng gaëp hôn.
X quang: thaáu quang, nhieàu hoác. Ranh giôùi
khoâng roõ raøng.
U nhaày do raêng
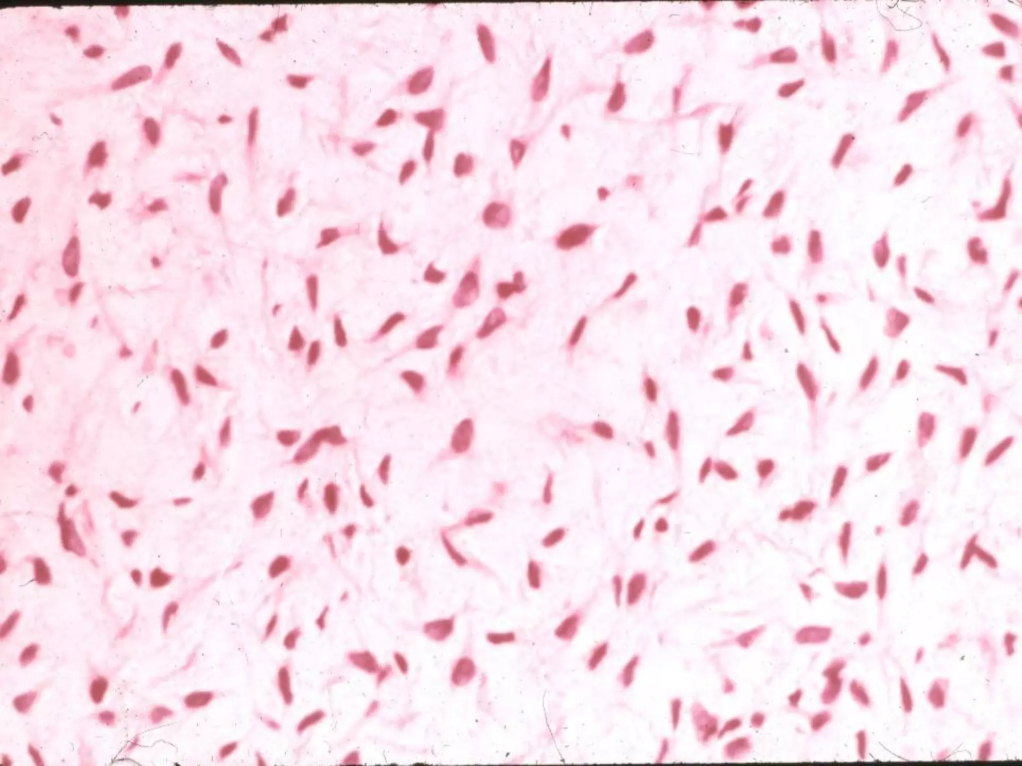
Giaûi phaãu beänh:
 Goàm caùc teá baøo hình sao, hình thoi vaø hình
troøn naèm rôøi nhau trong moâ ñeäm nhaày loûng
leõo vôùi moät ít boù sôïi collagen.
 Caùc teá baøo bieåu moâ khoâng caàn thieát cho chaån
ñoaùn.
 Coù theå nhaàm vôùi u sôïi nhaày-suïn
(chondromyxoid fibroma) hoaëc vôùi bieán ñoåi
daïng nhaày trong bao raêng hoaëc nhuù raêng.
U nhaày do raêng
Ñieàu trò vaø tieân löôïng:
 U nhoû: naïo, u lôùn: phaãu thuaät.
 U khoâng coù voû bao vaø coù xu höôùng thaâm
nhieãm moâ laân caän.
 Taùi phaùt leân ñeán 25%.
 Noùi chung, tieân löôïng toát trong ña soá tröôøng
hôïp.
U nguyeân baøo xeâ maêng
Cementoblastoma (True Cementoma)
Laâm saøng:
 Tuoåi: 20-30 tuoåi.
 Giôùi: nhö nhau.
 Vò trí: lieân quan chaân caùc raêng sau, XHD >
XHT.
Cementoblastoma
 X quang: toån thöông caûn quang dính vaøo
chaân raêng lieân quan.
Cementoblastoma
Giaûi phaãu beänh:
 Goàm caùc laù (sheets) hoaëc beø (trabeculae) daøy
caùc chaát khoaùng hoùa vôùi caùc choã khuyeát hoång
baát thöôøng vaø caùc ñöôøng öa kieàm. Thöôøng coù
caùc teá baøo coù nhaân khoång loà.
 Toån thöông gaàn gioáng u nguyeân baøo xöông
(osteoblastoma).
Cementoblastoma
Ñieàu trò vaø tieân löôïng:
 U lôùn chaäm coù theå gaây phoàng xöông khu truù.
 Ñau (+/-), u thöôøng khoâng coù trieäu chöùng.
 Ñieàu trò thoâng thöôøng bao goàm phaãu thuaät laáy
u vaø nhoå raêng lieân quan; ñoâi khi cuõng coù theå
giöõ laïi raêng .
 Tieân löôïng toát do u khoâng taùi phaùt.

09 odont-tumor

  • 1.
    U DO RĂNG (OdontogenicTumors) Case Western Reserve University
  • 2.
     Hình aûnhmoâ hoïc cuûa maàm raêng. A: cô quan men (enamel organ) B: nhuù raêng (dental papilla) C: bao raêng (dental follicle)
  • 3.
    BM men lôùpngoaøiBM men lôùp ngoaøi BM men lôùp trong Hoaønh coå Bao raêng Nhuù raêng
  • 4.
    Nguyeân baøo men (Ameloblasts) Men Ngaø Nguyeânbaøo ngaø (Odontoblasts) Bao Hertwig Nhuù raêng (tuûy) Löôùi teá baøo sao
  • 5.
    Bao raêng TB Malassezcoøn soùt Bao Hertwig Nguyeân baøo ngaø Xeâ maêng Ngaø chaân raêng DCNC Bieåu moâ nöôùu Xöông oå raêng BM men thoaùi hoùa
  • 6.
    Löôùi teá baøosao Taàng trung gian Bieåu moâ men lôùp trong Nhuù raêng
  • 7.
    Löôùi teá baøosao Taàng trung gian Bieåu moâ men lôùp trong
  • 8.
  • 9.
    Nguyeân baøo men Tieànmen Tieàn ngaø Nguyeân baøo ngaø Tuûy ñang hình thaønh
  • 13.
    PHAÂN LOAÏI UDO RAÊNG THEO NGUOÀN GOÁC * I. U coù nguoàn goác töø bieåu moâ taïo raêng A. U nguyeân baøo men (Ameloblastoma) 1. Ameloblastoma aùc. 2. Ameloblastic carcinoma B. Carcinoâm do R teá baøo saùng (Clear cell odontogenic carcinoma) C. U do R daïng u tuyeán (Adenomatoid odontogenic tumor) D. U BM do raêng canxi hoùa (Calcifying epithelial odontogenic tumor) E. U do R teá baøo laùt (Squamous odontogenic tumor) II. U do raêng hoån hôïp A. Ameloblastic fibroma B. Ameloblastic fibro-odontoma C. Ameloblastic fibrosarcoma D. Odontoameloblastoma E. U raêng keát hôïp (Compound odontoma) F. U raêng phöùc hôïp (Complex odontoma) III. U coù nguoàn goác töø ngoaïi trung moâ taïo raêng A. U sôïi do raêng (Odontogenic fibroma) B. U do raêng teá baøo haït (Granular cell odontogenic tumor) C. U nhaày do raêng (Odontogenic myxoma) D. U nguyeân baøo xeâ maêng (Cementoblastoma) * Neville vaø cs.
  • 14.
    LAØNH TÍNH, KHOÂNGCOÙ TIEÀM NAÊNG TAÙI PHAÙT  Adenomatoid odontogenic tumor  Squamous odontogenic tumor  Cementoblastoma  Loaïn saûn xöông-xeâ maêng quanh choùp  Odontoma LAØNH TÍNH, COÙ TIEÀM NAÊNG TAÙI PHAÙT  Ameloblastoma daïng nang (ñôn nang)  U bieåu moâ sinh raêng canxi hoùa  U sôïi do raêng trung taâm  Loaïn saûn xöông-xeâ maêng tieán trieån  Ameloblastic fibroma vaø fibroodontoma LAØNH TÍNH, XAÂM LAÁN  Ameloblastoma  Clear cell odontogenic tumor (1 soá taùc giaû coi ñaây laø carcinoma)  Odontogenic ghost cell tumor (COC, daïng ñaëc)  U nhaày do raêng  Odontoameloblastoma AÙC TÍNH  Ameloblastoma aùc  Ameloblastic carcinoma  Primary intraosseous carcinoma  Odontogenic ghost cell carcinoma  Ameloblastic fibrosarcoma PHAÂN LOAÏI U DO RAÊNG VEÀ MAËT SINH HOÏC * * Regezi vaø cs
  • 15.
    U coù nguoàngoác töø bieåu moâ taïo raêng
  • 16.
    U nguyeân baøomen hay u men (Ameloblastoma)  Laø u do raêng quan troïng nhaát veà maët laâm saøng (khoâng phaûi thöôøng gaëp nhaát).  Coù theå phaùt trieån töø caùc teá baøo coøn soùt cuûa cô quan men; töø cô quan men ñang phaùt trieån; töø lôùp loùt cuûa caùc nang do raêng hoaëc töø caùc teá baøo ñaùy cuûa nieâm maïc mieäng.  U laønh tính, lôùn chaäm, xaâm laán taïi choã ñieån hình.  H.G.B. Robinson moâ taû ñaây laø moät u laønh tính “thöôøng coù moät trung taâm, khoâng coù chöùc naêng, taêng tröôûng giaùn ñoaïn, laønh tính veà giaûi phaãu hoïc vaø toàn taïi dai daúng treân LS.”
  • 17.
    Ameloblastoma  Coù 3daïng theo laâm saøng vaø X quang, ñieàu trò vaø tieân löôïng khaùc nhau.  Daïng thoâng thöôøng laø daïng ñaëc (Solid)/ ña nang (Multicystic) (86%)  Daïng ñôn nang (Unicystic) (13%)  Daïng ngoaïi vi (Peripheral) hay ngoaøi xöông (Extraosseous) (1%)
  • 18.
    Ameloblastoma: daïng ñaëchay ña nang Laâm saøng  Tuoåi: 30-70.  Giôùi: 2 giôùi nhö nhau.  Vò trí: 80% XHD; 70% ôû vuøng R sau HD.
  • 19.
    Ameloblastoma: daïng ñaëchay ña nang X quang: toån thöông thaáu quang thöôøng coù ranh giôùi roõ; coù theå moät hoác hay nhieàu hoác (boït xaø phoøng, toå ong); thænh thoaûng u coù ranh giôùi khoâng roõ, bôø nham nhôû.
  • 22.
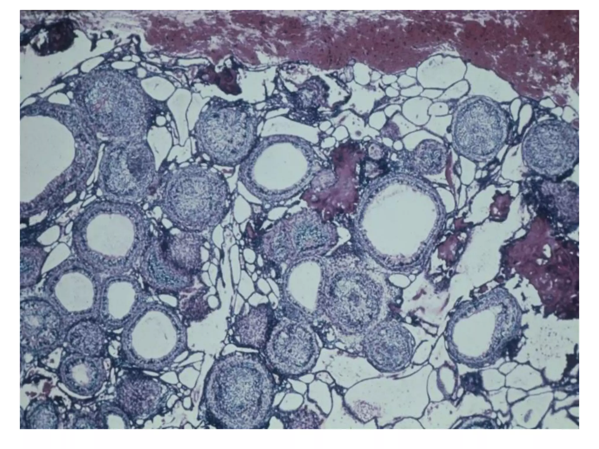
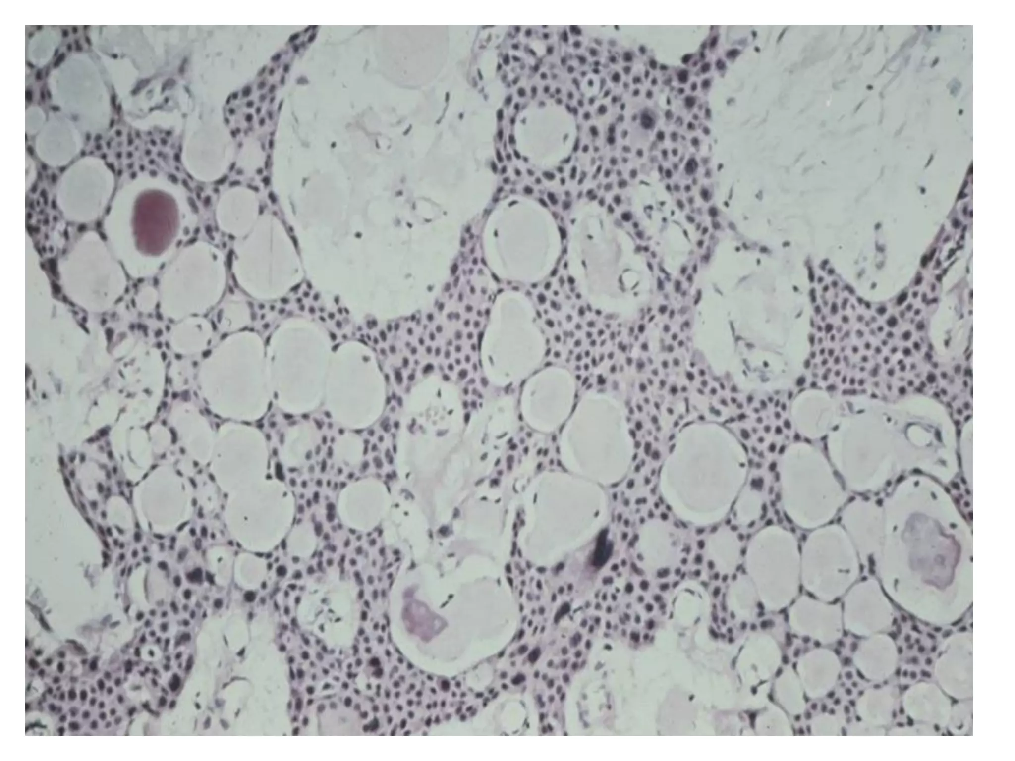
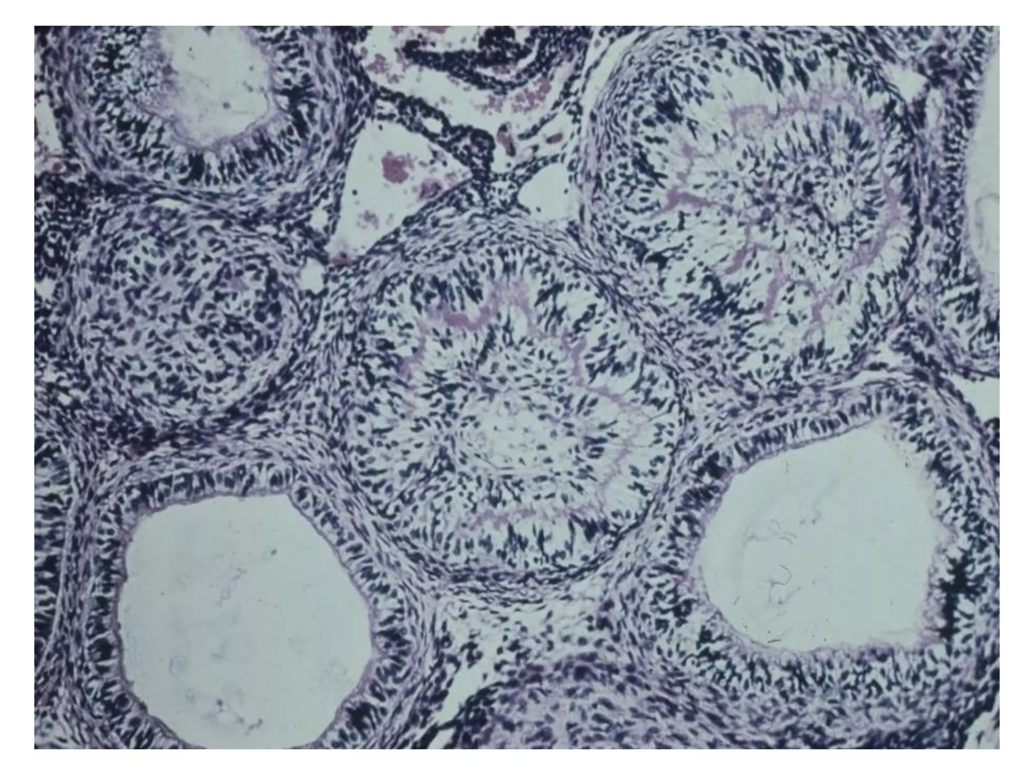
    Ameloblastoma: daïng ñaëchay ña nang Giaûi phaãu beänh  Coù nhieàu döôùi típ (subtypes) treân vi theå nhöng chuùng thöôøng mang ít ñaëc tính cuûa khoái u.  Thöôøng gaëp nhaát laø daïng nang (follicular type) vaø daïng ñaùm roái (plexiform type).  U men ñaëc daïng nang goàm caùc ñaûo teá baøo bieåu moâ gioáng cô quan men naèm trong moâ lieân keát sôïi tröôûng thaønh.  U men ñaëc daïng ñaùm roái goàm caùc daây (cords) bieåu moâ taïo raêng daøi thoâng nhau hoaëc caùc laù (sheets) bieåu moâ lôùn hôn. Moâ ñeäm loûng leõo vaø nhieàu maïch maùu hôn.
  • 23.
  • 24.
  • 25.
  • 26.
  • 27.
  • 28.
  • 29.
    plexiform type Moâ ñeämnhaày Chuyeån saûn gai
  • 30.
     U menñaëc daïng u gai (acanthomatous type) coù chuyeån saûn gai roäng, taïo chaát söøng (keratin) trong caùc ñaûo bieåu moâ taïo raêng.  U men ñaëc daïng teá baøo haït (granular cell type) coù söï bieán ñoåi moät nhoùm caùc teá baøo bieåu moâ thaønh teá baøo haït, söï bieán ñoåi naøy thì chöa roõ. Loaïi naøy thöôøng gaëp ôû ngöôøi treû vaø treân laâm saøng cho thaáy daáu hieäu xaâm laán. Ameloblastoma: daïng ñaëc hay ña nang
  • 31.
  • 32.
  • 33.
  • 34.
  • 35.
     U menñaëc daïng xô hoùa (desmoplastic form) goàm caùc ñaûo/daây teá baøo BM taïo raêng trong lôùp moâ ñeäm chöùa collagen daøy ñaëc. Öu theá ôû vuøng R tröôùc XHT vaø toån thöông vöøa caûn quang vöøa thaáu quang do lôùp moâ lieân keát daøy ñaëc.  U men ñaëc daïng tb ñaùy (basaloid type) ít gaëp nhaát, goàm caùc teá baøo daïng tb ñaùy ñoàng nhaát, khoâng coù löôùi teá baøo sao. Ameloblastoma: daïng ñaëc hay ña nang
  • 36.
  • 37.
  • 38.
  • 39.
  • 40.
    Ñaëc ñieåm phuï: Moät soá nghieân cöùu veà u men daïng ñaëc/ña nang ñaõ baùo caùo raèng u thöôøng gaëp hôn ôû ngöôøi da ñen.  Caùc toån thöông thöôøng khoâng coù trieäu chöùng, nhöng cuõng coù theå gaây dò caûm, ñau ñaëc bieät khi nhieãm truøng vaø u coù theå aên moøn baûn xöông voû. Ameloblastoma: daïng ñaëc hay ña nang
  • 41.
    Ñieàu trò:  Nhieàumöùc: töø khoeùt u (enucleation) vaø naïo (curettage) ñeán caét nguyeân khoái (en bloc resection).  Caét bôø khoái u (marginal resection) laø phöông phaùp ñöôïc söû duïng roäng raõi nhaát vôùi tæ leä taùi phaùt thaáp nhaát (ñöôïc baùo caùo laø 15%).  Haàu heát caùc phaãu thuaät vieân ñeà nghò neân caét caùch xa bôø cuûa u treân X quang ít nhaát 1cm do treân laâm saøng u thöôøng lan roäng ra khoûi ñöôøng ranh giôùi naøy. Ameloblastoma: daïng ñaëc hay ña nang
  • 42.
    Tieân löôïng:  Naïo:tæ leä taùi phaùt 55-90%.  Caét bôø khoái u: taùi phaùt khoaûng 15%.  U men ôû haøm treân ñaëc bieät nguy hieåm vì thöôøng khoù laáy heát bôø khoái u.  Hieám khi ñe doïa tính maïng. Ameloblastoma: daïng ñaëc hay ña nang
  • 43.
    Ameloblastoma daïng ñônnang (Unicystic Ameloblastoma) Laâm saøng:  Tuoåi: treû hôn daïng ñaëc. 50% ñöôïc chaån ñoaùn luùc 20 tuoåi.  Giôùi: ? Gioáng daïng ñaëc??  Vò trí: 90% ôû XHD, thöôøng ôû vuøng R sau. X quang: thaáu quang quanh thaân raêng ngaàm (ña soá laø RCL3 döôùi).
  • 44.
    Giaûi phaãu beänh: 3 daïng:  Daïng oáng (Luminal): u ñöôïc giôùi haïn ôû beà maët loøng nang.  Daïng trong oáng (Intraluminal)/ñaùm roái: u nhoâ ra khoûi lôùp bieåu moâ loùt cuûa nang; ñoâi khi gioáng daïng ñaùm roái cuûa u men ñaëc .  Daïng vaùch (Mural): u thaâm nhieãm vaøo vaùch sôïi cuûa nang. Ameloblastoma daïng ñôn nang
  • 45.
  • 46.
  • 47.
  • 48.
    Ñieàu trò vaøtieân löôïng:  Daïng oáng vaø trong oáng: coù theå khoeùt u.  Daïng vaùch: caét boû taïi choã laø toát nhaát -> coøn tranh caõi giöõa caùc PTV.  Taùi phaùt 10-20% sau khoeùt u vaø naïo. Ameloblastoma daïng ñôn nang
  • 49.
    Ameloblastoma daïng ngoaïivi (Peripheral Ameloblastoma)  Caùc u naøy laø naèm ngoaøi xöông do ñoù naèm trong moâ lieân keát beân döôùi bieåu moâ beà maët.  Vi theå, coù ñaëc ñieåm gioáng vôùi caùc daïng u men trong xöông.  Tuoåi: khoaûng tuoåi roäng nhöng nhieàu nhaát laø tuoåi trung nieân.  Giôùi tính: chöa roõ.  Vò trí: thöôøng gaëp nhaát laø nieâm maïc xöông oå/ nieâm maïc nöôùu ôû vuøng R sau. Hôi öu theá ôû haøm döôùi. Vaøi tröôøng hôïp baùo caùo u ôû nieâm maïc maù.
  • 50.
     X quang:maëc duø khoâng ôû trong xöông, vaøi tröôøng hôïp coù söï aên moøn noâng xöông oå.  Giaûi phaãu beänh: caùc ñaûo bieåu moâ taïo men ñöôïc tìm thaáy trong lamina propria; daïng ñaùm roái (plexiform) vaø daïng nang (follicular) laø thöôøng gaëp nhaát; 50% tröôøng hôïp u coù lieân heä vôùi lôùp ñaùy cuûa bieåu moâ treân beà maët. Ameloblastoma daïng ngoaïi vi
  • 52.
    Ñieàu trò vaøtieân löôïng:  Khoâng gioáng vôùi daïng u men trong xöông, u naøy khoâng gaây toån haïi treân laâm saøng.  BN ñaùp öùng toát vôùi phaãu thuaät caét u taïi choå.  1 soá baùo caùo cho thaáy TL taùi phaùt laø 25% nhöng caùc ca naøy ñeàu ñöôïc chöõa khoûi trong PT laàn 2.  Hieám bieán ñoåi aùc tính. Ameloblastoma daïng ngoaïi vi
  • 53.
    Ameloblastoma aùc tínhvaø Ameloblastic Carcinoma  < 1% ameloblastoma coù bieåu hieän aùc tính vaø coù di caên.  Ameloblastoma aùc tính coù ñaëc ñieåm moâ hoïc cuûa u men ñieån hình (laønh tính) trong u nguyeân phaùt laãn u di caên.  Ameloblastic carcinoma coù bieåu hieän aùc tính veà maët teá baøo hoïc trong u nguyeân phaùt, u taùi phaùt vaø baát cöù di caên naøo.
  • 54.
    Laâm saøng:  Ñoätuoåi töø 4-75, trung bình 30 tuoåi.  Di caên thöôøng xaûy ra töø 1-30 naêm sau ñieàu trò laàn ñaàu.  Di caên thöôøng xaûy ra nhaát ôû phoåi vaø trong tröôøng hôïp u men aùc => ñaët ra caâu hoûi coù phaûi do hít phaûi trong luùc PT. Cuõng coù theå di caên haïch coå , coät soáng vaø noäi taïng. Ameloblastoma aùc tính vaø Ameloblastic Carcinoma
  • 55.
    X quang:  Ameloblastomaaùc tính: töông töï u men ñaëc ñieån hình.  Ameloblastic carcinoma thöôøng xaâm laán nhieàu hôn, toån thöông thaáu quang ranh giôùi khoâng roõ, phaù huûy voû xöông. Ameloblastoma aùc tính vaø Ameloblastic Carcinoma
  • 56.
    Giaûi phaãu beänh: Ameloblastoma aùc tính, caû u nguyeân phaùt vaø u di caên ñeàu khoâng coù ñaëc ñieåm moâ hoïc khaùc vôùi u men ñaëc ñieån hình.  Ameloblastic carcinoma coù caùc ñaëc ñieåm aùc tính ngoaøi caáu truùc cuûa moät u men. Ameloblastoma aùc tính vaø Ameloblastic Carcinoma
  • 59.
    Ñieàu trò vaøtieân löôïng  Theo doõi thôøi gian daøi khoâng cho pheùp hình thaønh nhöõng giaû ñònh chính xaùc veà beänh nhöng tieân löôïng xaáu.  Khoaûng 50% BN ñöôïc chöùng minh laø coù di caên, khi theo doõi trong thôøi gian daøi ñaõ töû vong do haäu quaû cuûa beänh. Ameloblastoma aùc tính vaø Ameloblastic Carcinoma
  • 60.
    Ung thö bieåumoâ do raêng teá baøo saùng (Clear Cell Odontogenic Carcinoma) Clear Cell Odontogenic Tumor
  • 61.
    Clear Cell OdontogenicCarcinoma  Coù 1 vaøi ca ñöôïc baùo caùo ñaàu tieân naêm 1985 cho ñeán nay.  U coù nguoàn goác do raêng nhöng quaù trình taïo moâ thì khoâng phaûi vaäy.  Thuaät ngöõ carcinoma ñöôïc söû duïng do haàu heát caùc tröôøng hôïp u ñeàu coù tính xaâm laán caáu truùc laân caän.
  • 62.
    Clear Cell OdontogenicCarcinoma Laâm saøng:  Tuoåi: thöôøng > 50 tuoåi.  Giôùi: haàu heát ôû nöõ nhöng do soá löôïng ca maéc ñöôïc baùo caùo cho ñeán nay raát ít neân ít coù giaù trò.  Vò trí: caû 2 haøm. X quang: thöôøng laø moät hoác hay nhieàu hoác thaáu quang coù ranh giôùi khoâng roõ.
  • 63.
    Clear Cell OdontogenicCarcinoma Giaûi phaãu beänh  Nhieàu caáu truùc, öu theá laø caùc oå (nests) teá baøo bieåu moâ coù baøo töông öa eosin nhaït hoaëc saùng bò ngaên caùch bôûi caùc daây moâ lieân keát coù hyalin.  Caùc teá baøo saùng coù chöùa löôïng nhoû glycogen.  BS GPB caàn loaïi tröø caùc “u teá baøo saùng” khaùc nhö carcinoma nhaày daïng bieåu bì teá baøo saùng, u BM do raêng voâi hoùa tb saùng vaø carcinoma teá baøo thaän di caên.
  • 66.
    Clear Cell OdontogenicCarcinoma Ñieàu trò vaø tieân löôïng:  Haàu heát BN caàn ñöôïc phaãu thuaät trieät ñeå (radical surgery) do ña soá caùc taùc giaû xem u laø aùc tính.  Di caên ñeán haïch vuøng vaø phoåi ñaõ ñöôïc baùo caùo.  Coù quaù ít tröôøng hôïp maéc neân khoâng theå coù keát luaän veà tieân löôïng cuûa u.
  • 67.
    U do raêngdaïng u tuyeán Adenomatoid Odontogenic Tumor (AOT)  Tröôùc ñaây goïi laø adenoameloblastoma, caùch goïi nhaàm laãn khoâng neân duøng nöõa, u chieám khoaûng 3-7% taát caû u do raêng.  U bieåu moâ naøy coù taùc ñoäng caûm öùng treân ngoaïi trung moâ taïo raêng vaø chaát daïng ngaø thöôøng xuyeân ñöôïc saûn xuaát.
  • 68.
    U do raêngdaïng u tuyeán Laâm saøng:  Tuoåi: cao nhaát laø ôû thaäp kyû thöù 2, trung bình quanh tuoåi 17.  Giôùi: nöõ gaáp 2x.  Vò trí: 65% ôû XHT vaø 65% ôû vuøng raêng nanh. 65% tröôøng hôïp lieân quan ñeán thaân raêng ngaàm. Hieám coù toån thöông daïng ngoaøi xöông.
  • 70.
    X quang: Toån thöôngthaáu quang quanh thaân raêng, coù theå coù caûn quang beân trong khoái thaáu quang (“boâng tuyeát”).  Thöôøng khoâng coù trieäu chöùng vaø phaùt hieän khi chuïp X quang. U coù theå caûn trôû raêng vónh vieãn moïc vaø ñöôïc phaùt hieän khi chuïp X quang “tìm” raêng ngaàm. U do raêng daïng u tuyeán
  • 73.
    Giaûi phaãu beänh: Ñöôïc bao bôûi 1 bao sôïi daøy.  U goàm caùc teá baøo bieåu moâ hình thoi taïo thaønh caùc laù (sheets), caùc daûi (strands) hoaëc caùc khoái xoaén vôùi moät ít moâ lieân keát.  Caùc teá baøo bieåu moâ coù theå taïo thaønh caáu truùc gioáng hoa thò, caáu truùc gioáng oáng coù theå chieám öu theá hoaëc khoâng coù.  Trong khoái u coù söï voâi hoùa . U do raêng daïng u tuyeán
  • 79.
    Ñieàu trò vaøtieân löôïng:  Khoeùt u laø moät löïa choïn do u deã taùch khoûi xöông.  Hieám khi taùi phaùt. U do raêng daïng u tuyeán
  • 80.
    U bieåu moâdo raêng voâi hoùa Calcifying Epithelial Odontogenic Tumor (CEOT; U Pindborg)  < 1% caùc u do raêng.  Nguoàn goác do raêng nhöng quaù trình taïo moâ u thì khoâng haún nhö vaäy.  Caùc teá baøo u gioáng caùc teá baøo taàng trung gian cuûa cô quan men. Laâm saøng:  Tuoåi: 20-50, trung bình 40.  Giôùi: khoâng phaân bieät.  Vò trí: 75% ôû XHD ña soá ôû vuøng R sau. Daïng ngoaïi vi hieám xaûy ra.
  • 82.
    U bieåu moâdo raêng voâi hoùa X quang:  Toån thöông thaáu quang, +/- caùc oå caûn quang.  Moät hoác hay nhieàu hoác, ranh giôùi roõ.  > 50% keát hôïp vôùi raêng ngaàm.
  • 83.
    Giaûi phaãu beänh: Goàm caùc ñaûo, caùc laù (sheets) hoaëc caùc daây (strands) teá baøo bieåu moâ hình ña dieän trong moâ ñeäm sôïi.  Caùc vuøng chöùa chaát ngoaïi baøo voâ ñònh hình öa eosin hyalin hoùa raûi raùc khaép nôi.  Ñöôøng vieàn cuûa caùc teá baøo roõ vaø coù theå thaáy caùc caàu noái lieân baøo.  Nhaân thay ñoåi ñaùng keå, nhaân khoång loà vaø ña hình daïng.  Söï voâi hoùa ñöôïc ghi nhaän cuõng nhö caùc chaát daïng tinh boät. Coù theå thaáy voøng Liesegang. U bieåu moâ do raêng voâi hoùa
  • 88.
    Ñieàu trò vaøtieân löôïng:  Daïng trong xöông thöôøng laø khoái söng khoâng ñau, lôùn chaäm.  U daïng ngoaïi vi laø moät khoái söng khoâng ñaëc hieäu ôû nöôùu khoâng coù cuoáng.  Phaãu thuaät baûo toàn taïi choã do u ít xaâm laán so vôùi u men.  Taùi phaùt 15% vaø tieân löôïng toát. U bieåu moâ do raêng voâi hoùa
  • 89.
    U do raêngteá baøo gai Squamous Odontogenic Tumor (SOT) Laâm saøng:  Tuoåi: 20-50 (trung bình 40).  Vò trí: caû 2 haøm, tæ leä nhö nhau, vuøng R tröôùc > vuøng R sau. Toån thöông xaûy ra ôû xöông oå R. X quang: Thaáu quang khoâng ñaëc hieäu. Ranh giôùi roõ hoaëc khoâng roõ. Thöôøng coù hình tam giaùc vaø naèm beân chaân raêng.
  • 90.
    U do raêngteá baøo gai Giaûi phaãu beänh:  Caùc ñaûo bieåu moâ gai naèm trong moâ lieân keát sôïi tröôûng thaønh. Caùc teá baøo ôû ngoaïi bieân khoâng phaân cöïc nhö ôû u men.
  • 91.
    U do raêngteá baøo gai Ñieàu trò vaø tieân löôïng:  U thöôøng bieåu hieän laø khoái söng ôû nöôùu khoâng ñau keát hôïp raêng lung lay. Gaàn 25% khoâng trieäu chöùng.  PT baûo toàn hoaëc naïo coù hieäu quaû , chæ moät ít tröôøng hôïp taùi phaùt.
  • 92.
    U do raênghoån hôïp (Mixed Odontogenic Tumors) Nhoùm u coù söï taêng sinh cuûa bieåu moâ taïo raêng naèm trong thaønh phaàn ngoaïi trung moâ gioáng nhuù raêng.
  • 93.
    U sôïi men(Ameloblastic Fibroma) Laâm saøng:  U do raêng hoãn hôïp thöïc söï thöôøng gaëp ôû ñoä tuoåi 10-20, trung bình 14.  Nam > nöõ.  Gaàn 70% vuøng R sau HD.
  • 95.
    X quang:  Thoângthöôøng, moät hoác hoaëc nhieàu hoác thaáu quang.  Giôùi haïn roõ, bôø coù theå xô cöùng.  50% keát hôïp vôùi raêng ngaàm. U sôïi men (Ameloblastic Fibroma)
  • 98.
    Giaûi phaãu beänh: Goàm toå chöùc trung moâ giaøu teá baøo gioáng nhuù raêng nguyeân thuûy laãn vôùi bieåu moâ taïo raêng ñang taêng sinh. Ameloblastic Fibroma
  • 101.
    U sôïi men(Ameloblastic Fibroma) Ñieàu trò vaø tieân löôïng:  U thöôøng coù voû bao, u nhoû khoâng coù trieäu chöùng, u lôùn gaây söng, phoàng voû xöông.  Haàu heát ñöôïc phaãu thuaät baûo toàn; tuy nhieân taùi phaùt 20% => caùc PTV khuyeán caùo tieáp caän xaâm laán hôn.
  • 102.
    U raêng-sôïi-men Ameloblastic Fibro-odontoma Ñöôïc xaùc ñònh laø u vôùi caùc ñaëc ñieåm chung cuûa moät ameloblastic fibroma nhöng chöùa men vaø ngaø.  Moät soá nhaø nghieân cöùu cho raèng thöïc theå naøy laø moät giai ñoaïn trong söï phaùt trieån cuûa moät odontoma; tuy nhieân, haàu heát ñoàng yù raèng u phaù huûy tieán trieån naøy laø taân sinh thaät söï.
  • 103.
    Ameloblastic Fibro-odontoma Laâm saøng: Tuoåi: nhieàu nhaát töø 5-12, trung bình 10 tuoåi.  Vò trí: thöôøng gaëp ôû vuøng raêng sau cuûa 2 haøm. X quang: thöôøng laø 1 hoác thaáu quang roõ hoaëc hieám hôn laø nhieàu hoác thaáu quang vôùi caùc chaát canxi hoùa caûn quang. Do ñoù coù theå cho hình aûnh hoãn hôïp vöøa thaáu quang vöøa caûn quang.
  • 106.
    Ameloblastic Fibro-odontoma Giaûi phaãubeänh:  Thaønh phaàn moâ meàm gioáng ameloblastic fibroma. Thaønh phaàn canxi hoùa goàm caùc oå men, söï hình thaønh ngaø coù moái quan heä chaët cheõ vôùi caáu truùc bieåu moâ.
  • 110.
    Ameloblastic Fibro-odontoma Ñieàu tròvaø tieân löôïng:  Naïo baûo toàn vôùi toån thöông khoâng dính vôùi xöông xung quanh.  Tieân löôïng raát toát, ít taùi phaùt.
  • 111.
    Sarcoâm sôïi-men Ameloblastic Fibrosarcoma Toån thöông ñöôïc xem nhö laø u aùc töông öùng cuûa ameloblastic fibroma vôùi bieåu hieän aùc tính trong thaønh phaàn trung moâ.  U coù theå aùc tính töø ñaàu hoaëc do bieán ñoåi aùc tính cuûa ameloblastic fibroma.
  • 112.
    Ameloblastic Fibrosarcoma Laâm saøng: Tuoåi: trung bình 26 tuoåi.  Giôùi: nam gaáp 2x.  Vò trí: 75% ôû XHD. X quang: thaáu quang, khoâng roõ, coù tính phaù huûy.
  • 113.
    Ameloblastic Fibrosarcoma Giaûi phaãubeänh:  Thaønh phaàn bieåu moâ: bieåu hieän laønh tính.  Thaønh phaàn trung moâ: caùc teá baøo taêng baét maøu vaø khaù ña daïng. Phaân baøo nhieàu.
  • 116.
    Ameloblastic Fibrosarcoma Ñieàu tròvaø tieân löôïng:  Ñau, söng thöôøng laø ñieån hình cuûa u naøy. U thöôøng lôùn nhanh.  Phaãu thuaät caét boû trieät ñeå.  Tieân löôïng xa khoù xaùc ñònh do soá ca ñöôïc baùo caùo raát ít.
  • 117.
    U men-raêng (Odontoameloblastoma ,Ameloblastic Odontoma) Laâm saøng:  Raát hieám, vì vaäy coù ít thoâng tin ñaùng tin caäy.  Tuoåi: thaáy ôû ngöôøi treû.  Öu tieân theo giôùi: khoâng roõ.  Vò trí: ña soá ôû XHD. X quang: vöøa caûn quang vöøa thaáu quang.
  • 118.
    Odontoameloblastoma Giaûi phaãu beänh: Thaønh phaàn BM coù ñaëc ñieåm cuûa moät ameloblastoma, thöôøng gaëp caáu truùc ñaùm roái (plexiform) hoaëc nang (follicular).  Thaønh phaàn u raêng (odontoma) goàm men, ngaø vaø xeâ maêng vôùi caáu truùc keát hôïp hay phöùc hôïp.
  • 122.
    Odontoameloblastoma Ñieàu trò vaøtieân löôïng:  Do taùi phaùt nhieàu sau naïo, neân ñieàu trò gioáng nhö u men vôùi pp caét bôø khoái u.  Hieän khoâng coù caùc döõ lieäu coù giaù trò veà tieân löôïng xa cuûa u do soá tröôøng hôïp maéc raát ít.
  • 123.
    U raêng (Odontoma) U do raêng thöôøng gaëp nhaát.  Khoâng phaûi taân sinh thaät söï , ñöôïc coi laø moät dò daïng phaùt trieån (hamartoma).  Coù 2 loaïi:  Keát hôïp: goàm nhieàu caáu truùc nhoû gioáng raêng.  Phöùc hôïp: laø moät khoái men vaø ngaø, khoâng mang hình thaùi giaûi phaãu cuûa raêng.
  • 124.
    U raêng Laâm saøng: Tuoåi: <20, trung bình 14 tuoåi.  Giôùi: nhö nhau.  Vò trí: XHT nhieàu hôn. Daïng keát hôïp thöôøng ôû vuøng R tröôùc XHT trong khi daïng phöùc hôïp thöôøng ôû vuøng R sau cuûa caû 2 haøm.
  • 125.
    U raêng X quang: Sôùm: thaáu quang, ñöôøng vieàn roõ, nhaün.  Muoän: caûn quang roõ.  Daïng keát hôïp cho thaáy hình daïng raêng roõ raøng trong khi daïng phöùc hôïp laø moät khoái caûn quang ñoàng nhaát khoâng coù hình daïng raêng.
  • 126.
    U raêng Ñaëc ñieåmphuï:  Ña soá u raêng nhoû vaø khoâng vöôït quaù kích thöôùc cuûa raêng bình thöôøng trong vuøng.  Tuy nhieân cuõng coù theå gaëp u lôùn hôn vaø gaây phoàng xöông haøm.  Haàu heát u raêng khoâng coù trieäu chöùng vaø ñöôïc phaùt hieän tình côø khi chuïp X quang.  U raêng coù theå caûn trôû raêng vónh vieãn moïc vaø luùc ñoù u thöôøng ñöôïc phaùt hieän khi “tìm” raêng thieáu treân X quang.
  • 131.
    U raêng Giaûi phaãubeänh:  U raêng keát hôïp (compound odontoma) goàm men, ngaø vaø xeâ maêng saép xeáp thaønh hình daïng raêng.  U raêng phöùc hôïp (complex odontoma) goàm men, ngaø vaø xeâ maêng nhöng saép xeáp ngaãu nhieân, khoâng mang hình thaùi giaûi phaãu cuûa moät raêng.
  • 134.
    U raêng Ñieàu tròvaø tieân löôïng:  Phaãu thuaät caét u taïi choã.  Tieân löôïng raát toát.
  • 135.
    U coù nguoàngoác ngoaïi trung moâ taïo raêng
  • 136.
    U sôïi doraêng (trung taâm) (Central) Odontogenic Fibroma Laâm saøng:  < 70 tröôøng hôïp ñöôïc baùo caùo trong taøi lieäu cuûa Anh.  Tuoåi: 9-80, trung bình 40 tuoåi.  Giôùi: nöõ / nam = 7.4:1 trong moät nghieân cöùu.  Vò trí: 60% ôû XHT ña soá ôû vuøng tröôùc RCL1. Neáu ôû XHD, khoaûng 50% ôû vuøng R sau.
  • 138.
    U sôïi doraêng X quang:  Moät hoác thaáu quang roõ. Thöôøng lieân quan vuøng quanh choùp cuûa moät raêng ñaõ moïc.  Toån thöông lôùn thöôøng coù nhieàu hoác.  Nhieàu u coù bôø xô hoùa .  Thöôøng tieâu chaân raêng.
  • 140.
    U sôïi doraêng Ñaëc ñieåm phuï:  U nhoû thöôøng khoâng coù trieäu chöùng.  U lôùn coù theå gaây phoàng xöông haøm hoaëc laøm lung lay raêng keá beân.
  • 141.
    U sôïi doraêng Giaûi phaãu beänh:  Moät soá taùc giaû moâ taû 2 daïng rieâng bieät cuûa u.  U sôïi do raêng ñôn giaûn goàm caùc fibroblast hình sao saép xeáp trong moät caáu truùc xoaén vôùi sôïi collagen nhoû vaø nhieàu chaát neàn.  Caùc oå bieåu moâ do raêng +/-.  Thænh thoaûng, coù caùc ñieåm voâi hoùa do loaïn döôõng.
  • 142.
    U sôïi doraêng  U sôïi do raêng daïng WHO moâ lieân keát sôïi khaù nhieàu teá baøo vôùi sôïi collagen saép xeáp thaønh caùc boù sôïi beän vaøo nhau.  Bieåu moâ sinh raêng coù daïng daûi (strands) daøi hoaëc caùc oå (nests) coâ laäp, khaép nôi trong toån thöông.  Caùc chaát daïng xeâ maêng (cementoid) vaø/hoaëc chaát daïng ngaø (dentinoid) voâi hoùa.
  • 146.
    U sôïi doraêng Ñieàu trò vaø tieân löôïng  Khoeùt u vaø naïo.  Tieân löông toát do ít taùi phaùt.
  • 147.
    U sôïi doraêng ngoaïi vi Peripheral Odontogenic Fibroma (POF) Laâm saøng:  Tuoåi: ñoä tuoåi roäng.  Giôùi: khoâng roõ öu theá veà giôùi.  Vò trí: haàu heát ôû maët ngoaøi nöôùu haøm döôùi.  Khoái chaéc, lôùn chaäm, thöôøng khoâng coù cuoáng, nieâm maïc phuû bình thöôøng.  Coù theå ñaåy leäch raêng. X quang: toån thöông khoâng lieân quan ñeán xöông beân döôùi nhöng coù caùc vuøng voâi hoùa ôû moâ meàm trong moät soá tröôøng hôïp.
  • 150.
    U sôïi doraêng ngoaïi vi Giaûi phaãu beänh:  Töông töï u sôïi do raêng trung taâm, WHO type.
  • 151.
    U sôïi doraêng ngoaïi vi Ñieàu trò vaø tieân löôïng:  Phaãu thuaät caét boû taïi choå, tieân löôïng raát toát.  Raát ít hoaëc khoâng taùi phaùt.
  • 152.
    U teá baøohaït do raêng (Granular Cell Odontogenic Tumor) < 25 ca ñöôïc baùo caùo
  • 153.
    U teá baøohaït do raêng Laâm saøng:  Tuoåi: thöôøng > 40 tuoåi.  Giôùi: khoâng roõ öu theá veà giôùi.  Vò trí: caû XHT vaø XHD; ña soá ôû vuøng raêng sau. X quang: thaáu quang ranh giôùi roõ, coù theå coù caùc vuøng caûn quang.
  • 154.
    U teá baøohaït do raêng Giaûi phaãu beänh:  Goàm caùc teá baøo haït lôùn öa eosin.  Caùc daây (cords) heïp hoaëc caùc ñaûo (islands) nhoû bieåu moâ sinh raêng raûi raùc giöõa caùc teá baøo haït.  Baûn chaát cuûa caùc teá baøo haït coøn tranh caõi (?? caáu truùc tieâu theå ??).
  • 155.
    U teá baøohaït do raêng Ñieàu trò vaø tieân löôïng:  Naïo u, khoâng taùi phaùt.
  • 156.
    U nhaày doraêng (Odontogenic Myxoma) Laâm saøng:  Tuoåi: 10-50 tuoåi, trung bình 30 tuoåi.  Giôùi: nhö nhau ôû 2 giôùi.  Vò trí: baát cöù vò trí naøo cuûa 2 xöông haøm , XHD thöôøng gaëp hôn. X quang: thaáu quang, nhieàu hoác. Ranh giôùi khoâng roõ raøng.
  • 159.
    U nhaày doraêng Giaûi phaãu beänh:  Goàm caùc teá baøo hình sao, hình thoi vaø hình troøn naèm rôøi nhau trong moâ ñeäm nhaày loûng leõo vôùi moät ít boù sôïi collagen.  Caùc teá baøo bieåu moâ khoâng caàn thieát cho chaån ñoaùn.  Coù theå nhaàm vôùi u sôïi nhaày-suïn (chondromyxoid fibroma) hoaëc vôùi bieán ñoåi daïng nhaày trong bao raêng hoaëc nhuù raêng.
  • 162.
    U nhaày doraêng Ñieàu trò vaø tieân löôïng:  U nhoû: naïo, u lôùn: phaãu thuaät.  U khoâng coù voû bao vaø coù xu höôùng thaâm nhieãm moâ laân caän.  Taùi phaùt leân ñeán 25%.  Noùi chung, tieân löôïng toát trong ña soá tröôøng hôïp.
  • 163.
    U nguyeân baøoxeâ maêng Cementoblastoma (True Cementoma) Laâm saøng:  Tuoåi: 20-30 tuoåi.  Giôùi: nhö nhau.  Vò trí: lieân quan chaân caùc raêng sau, XHD > XHT.
  • 164.
    Cementoblastoma  X quang:toån thöông caûn quang dính vaøo chaân raêng lieân quan.
  • 165.
    Cementoblastoma Giaûi phaãu beänh: Goàm caùc laù (sheets) hoaëc beø (trabeculae) daøy caùc chaát khoaùng hoùa vôùi caùc choã khuyeát hoång baát thöôøng vaø caùc ñöôøng öa kieàm. Thöôøng coù caùc teá baøo coù nhaân khoång loà.  Toån thöông gaàn gioáng u nguyeân baøo xöông (osteoblastoma).
  • 168.
    Cementoblastoma Ñieàu trò vaøtieân löôïng:  U lôùn chaäm coù theå gaây phoàng xöông khu truù.  Ñau (+/-), u thöôøng khoâng coù trieäu chöùng.  Ñieàu trò thoâng thöôøng bao goàm phaãu thuaät laáy u vaø nhoå raêng lieân quan; ñoâi khi cuõng coù theå giöõ laïi raêng .  Tieân löôïng toát do u khoâng taùi phaùt.