U HỖN HỢP TUYẾN NƯỚC BỌT
(Mixed tumor salivary gland)
1. Định nghĩa
Là loại u đặc biệt của tuyến nước bọt, chiếm ½
số u tuyến nước bọt. Đa số gặp ở tuyến mang
tai. Về tổ chức học, u gồm 2 loại tế bào là liên
bào túi tuyến, ống tiết và tế bào liên kết đệm
đôi khi có cả tổ chức sụn. Do đó gọi là u hỗn hợp
2. Lâm sàng
-U hầu như không có triệu chứng chủ quan nào ở giai
đoạn đầu. U phát triển chậm và có thể chia làm 3 giai
đoạn:
Giai đoạn đầu: không có triệu chứng chủ quan. U tròn
nhỏ, đường kính khoảng 1cm, chắc đều, di động dễ. Lỗ
ống stenon bình thường, không có hạch
Giai đoạn toàn phát: sau nhiều năm, bệnh nhân thường
đến khám với các triệu chứng: U có kích thước to hơn, da
căng có chỗ gồ cao, màu da bình thường. Sờ u có chỗ rắn
chỗ mềm, ranh giới rõ ở phần nông
Giai đoạn thoái hóa: U ác tính hóa, da loét, đau, liệt dây
tk mặt
3. Vị trí
-Chiếm 60-80% các u ở
tuyến mang tai
-50-60% các u ở tuyến
dưới hàm
-25% các u ở tuyến
dưới lưỡi
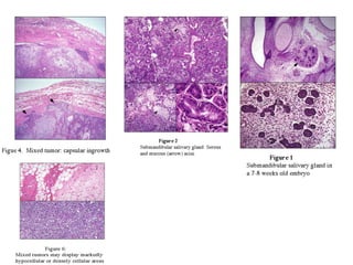
4. Giải phẫu bệnh học
U bao gồm hai thành phần cơ bản là biểu mô và
cơ biểu mô. Cơ biểu mô chiếm ưu thế được cấu
thành bởi tế bào hình trứng với tế bào chất là giải
mỏng màu hồng nằm trong những chất đệm màu
xanh xám. Tế bào biểu mô cơ trông như là sắp xếp
các cấu trúc biêu mô trộn lẫn trong chất đệm
U thấy có nhiều lớp biểu mô khác nhau như: biểu
mô tiết nhầy, biểu mô vảy, oncocytic. Và sự dị sản
của tuyến bã nhờn dễ nhầm với ung thư biểu mô
hay ung thư biểu mô tuyến nhầy
4. Chuấn đoán phân biệt
Với u lành: U warthin’s, u tuyến đơn hình, u tế
bào hạt tuyến mang tai
Với u ác: K biểu mô dạng tuyến nang, k biểu mô
dạng biểu bì, k biểu mô tế bào acinic, k biểu mô
thoái hóa ác tính tự u hỗn hợp
5. Chuẩn đoán xác định
Dựa vào nhiều yếu tố kết hợp: tiền sử, triệu
chứng ls và cận ls, chọc hút tế bào
6. Chuẩn đoán và điều trị:
Chuẩn đoán: xác định u bằng chụp x quang có
bơm thốc cản quang sẽ thấy hình tay ôm quả
bóng
Điều trị: - Phẫu thuật cắt bỏ u ngoài vỏ khi
chưa thoái hóa
- Khi u thoái hóa cần cắt cả tuyến và
chạy tia xạ trị sau mổ
U hỗn hợp tuyến nước bọt

U hỗn hợp tuyến nước bọt

  • 1.
    U HỖN HỢPTUYẾN NƯỚC BỌT (Mixed tumor salivary gland)
  • 2.
    1. Định nghĩa Làloại u đặc biệt của tuyến nước bọt, chiếm ½ số u tuyến nước bọt. Đa số gặp ở tuyến mang tai. Về tổ chức học, u gồm 2 loại tế bào là liên bào túi tuyến, ống tiết và tế bào liên kết đệm đôi khi có cả tổ chức sụn. Do đó gọi là u hỗn hợp
  • 3.
    2. Lâm sàng -Uhầu như không có triệu chứng chủ quan nào ở giai đoạn đầu. U phát triển chậm và có thể chia làm 3 giai đoạn: Giai đoạn đầu: không có triệu chứng chủ quan. U tròn nhỏ, đường kính khoảng 1cm, chắc đều, di động dễ. Lỗ ống stenon bình thường, không có hạch Giai đoạn toàn phát: sau nhiều năm, bệnh nhân thường đến khám với các triệu chứng: U có kích thước to hơn, da căng có chỗ gồ cao, màu da bình thường. Sờ u có chỗ rắn chỗ mềm, ranh giới rõ ở phần nông Giai đoạn thoái hóa: U ác tính hóa, da loét, đau, liệt dây tk mặt
  • 4.
    3. Vị trí -Chiếm60-80% các u ở tuyến mang tai -50-60% các u ở tuyến dưới hàm -25% các u ở tuyến dưới lưỡi
  • 5.
    4. Giải phẫubệnh học U bao gồm hai thành phần cơ bản là biểu mô và cơ biểu mô. Cơ biểu mô chiếm ưu thế được cấu thành bởi tế bào hình trứng với tế bào chất là giải mỏng màu hồng nằm trong những chất đệm màu xanh xám. Tế bào biểu mô cơ trông như là sắp xếp các cấu trúc biêu mô trộn lẫn trong chất đệm U thấy có nhiều lớp biểu mô khác nhau như: biểu mô tiết nhầy, biểu mô vảy, oncocytic. Và sự dị sản của tuyến bã nhờn dễ nhầm với ung thư biểu mô hay ung thư biểu mô tuyến nhầy
  • 8.
    4. Chuấn đoánphân biệt Với u lành: U warthin’s, u tuyến đơn hình, u tế bào hạt tuyến mang tai Với u ác: K biểu mô dạng tuyến nang, k biểu mô dạng biểu bì, k biểu mô tế bào acinic, k biểu mô thoái hóa ác tính tự u hỗn hợp 5. Chuẩn đoán xác định Dựa vào nhiều yếu tố kết hợp: tiền sử, triệu chứng ls và cận ls, chọc hút tế bào
  • 9.
    6. Chuẩn đoánvà điều trị: Chuẩn đoán: xác định u bằng chụp x quang có bơm thốc cản quang sẽ thấy hình tay ôm quả bóng Điều trị: - Phẫu thuật cắt bỏ u ngoài vỏ khi chưa thoái hóa - Khi u thoái hóa cần cắt cả tuyến và chạy tia xạ trị sau mổ