Embed presentation
Download to read offline








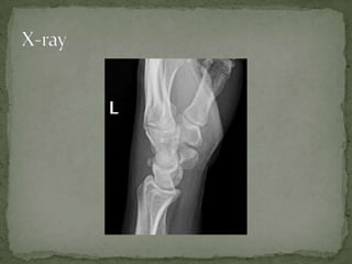
A 20-year-old male presented with left wrist pain after sliding head first into second base during a baseball game. On examination, there was swelling over the dorsal surface of the wrist with tenderness over the distal ulnar styloid process and limited range of motion due to pain. An x-ray revealed an avulsion fracture of the dorsal ridge of the triquetrum bone. The patient was prescribed pain medication, wrist splinting for 4-6 weeks, and a follow-up with orthopedic surgery.







