Dr. Paul A. Tipton
the art and science of aesthetic dentistry
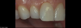
prepare ur1 for conventional veneer
Dr. Paul A. Tipton
use a putty matrix of the teeth or wax up , as a guide to tooth preparation.
Dr. Paul A. Tipton
cut the matrix vertically through the centre of UR1
Dr. Paul A. Tipton
if the tooth is not to be moved labially or palatally the conventional labial preparation
involves 0.5mm reduction of the labial surface and 2mm off the incisal edge
Dr. Paul A. Tipton
prepare depth cuts using burs of between 0.3 – 0.5mm thick to establish
labial reduction and 1 - 2mm for incisal edge reduction.
Dr. Paul A. Tipton
the labial surface is prepared in 3 planes – gingival, labial and incisal thirds to produce a
convex surface
the finish line labially should be a 0.3mm supra-gingival chamfer to stay in enamel using
a chamfer bur of 0.6mm thick cutting tip.
Dr. Paul A. Tipton
cut the matrix through the middle of the tooth that is being prepared and
vertically reseat to evaluate tooth reduction.
Dr. Paul A. Tipton
the finish line mesially and distally should finish halfway into the contact area
with the adjacent teeth.
Dr. Paul A. Tipton
place depth cut on the palatal incisal edge and prepare palatal chamfer 1mm
over the incisal edge and 0.5mm depth.
Dr. Paul A. Tipton
evaluate labial, incisal and palatal reduction.
Dr. Paul A. Tipton
prepare the palatal chamfer through mesially and distally so they are at the
same level as the palatal mini-chamfer
Dr. Paul A. Tipton
completed palatal chamfer.
Dr. Paul A. Tipton
break through the contact areas with finishing strips and polish these surfaces so there
are no rough or loose enamel prisms
round the corners of the preparation to prevent any stress
Dr. Paul A. Tipton
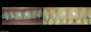
reseat the matrix to verify overall reduction.
Dr. Paul A. Tipton
the finished preparation should be very rounded to eliminate potential
porcelain fractures.
Dr. Paul A. Tipton
the art and science of aesthetic dentistry
porcelain veneers
preparation techniques
conventional
no guidance preparation
labial enamel
Dr. Paul A. Tipton
prepare ur2 for butt joint veneer prep
Dr. Paul A. Tipton
the putty matrix is again used.
Dr. Paul A. Tipton
the labial surface is reduced by 0.3 – 0.5mm as previously.
Dr. Paul A. Tipton
the incisal edge is reduced by 1.5 – 2.0mm.
Dr. Paul A. Tipton
the incisal edge is prepared for an angled butt joint.
the incisal edge will have a 30° sloping shoulder
Dr. Paul A. Tipton
mesially and distally the preparation is halfway into the contact area with the
adjacent teeth.
Dr. Paul A. Tipton
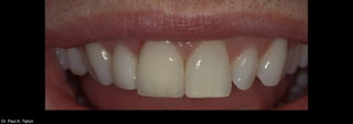
all contact areas are smoothed.
Dr. Paul A. Tipton
finished prep
Dr. Paul A. Tipton
the art and science of aesthetic dentistry
porcelain veneers
preparation techniques
conventional
slice
Dr. Paul A. Tipton
the art and science of aesthetic dentistry
slice preparations are used for imbrication, rotation,
diastemas or missing interdental papillae.
Dr. Paul A. Tipton
reduce the labial surface by 0.3 – 0.5mm with the use of depth cuts
and the incisal edge by 2mm.
Dr. Paul A. Tipton
The style of palatal
incisal reduction
depends upon the
degree of anterior
guidance and how much
labial enamel is present
Dr. Paul A. Tipton
break through the contact areas with a fine diamond bur and produce a line of draw
of the mesial and distal surfaces
Dr. Paul A. Tipton
prepare the mesial and distal margins for a 0.5mm chamfer finish line with an overall
angle of convergence of 20 – 30° ( axial inclination of 10 - 15° ) using a 1mm thick
chamfer bur
Dr. Paul A. Tipton round the corners so there is no stress in the porcelain restoration.
Dr. Paul A. Tipton
the palatal incisal finish line is an inclined butt joint or palatal mini chamfer
dependant upon anterior guidance and the amount of labial enamel
Dr. Paul A. Tipton
finish the slice though the contact so that the mesio-palatal and disto-
palatal vertical walls have 20 – 30° angle of convergence
Dr. Paul A. Tipton
Dr. Paul A. Tipton
round the corners where the slice and incisal preps join
Dr. Paul A. Tipton
check overall reduction with the matrix.
Dr. Paul A. Tipton
the finished preparation from the labial looks like a dentine bonded
crown preparation
Dr. Paul A. Tipton
Dr. Paul A. Tipton
Dr. Paul A. Tipton
slice preps only where required
Dr. Paul A. Tipton
Dr. Paul A. Tipton
Dr. Paul A. Tipton
Dr. Paul A. Tipton
Dr. Paul A. Tipton
Dr. Paul A. TiptonDr. Paul A. Tipton st
very thin labial enamel – so no labial reduction is required ,
the veneers are additive
Dr. Paul A. TiptonDr. Paul A. Tipton
the dentine is hybridised
Dr. Paul A. TiptonDr. Paul A. Tipton
Dr. Paul A. TiptonDr. Paul A. Tipton
the ¾ crown preparation wraps around the palatal aspect further than
the slice
Dr. Paul A. TiptonDr. Paul A. Tipton
Dr. Paul A. TiptonDr. Paul A. Tipton
Dr. Paul A. TiptonDr. Paul A. Tipton
Dr. Paul A. TiptonDr. Paul A. Tipton
Dr. Paul A. TiptonDr. Paul A. Tipton
Dr. Paul A. TiptonDr. Paul A. Tipton
Dr. Paul A. TiptonDr. Paul A. Tipton

Tooth Preparation - Aesthetic veneers

  • 1.
    Dr. Paul A.Tipton the art and science of aesthetic dentistry prepare ur1 for conventional veneer
  • 2.
    Dr. Paul A.Tipton use a putty matrix of the teeth or wax up , as a guide to tooth preparation.
  • 3.
    Dr. Paul A.Tipton cut the matrix vertically through the centre of UR1
  • 4.
    Dr. Paul A.Tipton if the tooth is not to be moved labially or palatally the conventional labial preparation involves 0.5mm reduction of the labial surface and 2mm off the incisal edge
  • 5.
    Dr. Paul A.Tipton prepare depth cuts using burs of between 0.3 – 0.5mm thick to establish labial reduction and 1 - 2mm for incisal edge reduction.
  • 6.
    Dr. Paul A.Tipton the labial surface is prepared in 3 planes – gingival, labial and incisal thirds to produce a convex surface the finish line labially should be a 0.3mm supra-gingival chamfer to stay in enamel using a chamfer bur of 0.6mm thick cutting tip.
  • 7.
    Dr. Paul A.Tipton cut the matrix through the middle of the tooth that is being prepared and vertically reseat to evaluate tooth reduction.
  • 8.
    Dr. Paul A.Tipton the finish line mesially and distally should finish halfway into the contact area with the adjacent teeth.
  • 9.
    Dr. Paul A.Tipton place depth cut on the palatal incisal edge and prepare palatal chamfer 1mm over the incisal edge and 0.5mm depth.
  • 10.
    Dr. Paul A.Tipton evaluate labial, incisal and palatal reduction.
  • 11.
    Dr. Paul A.Tipton prepare the palatal chamfer through mesially and distally so they are at the same level as the palatal mini-chamfer
  • 12.
    Dr. Paul A.Tipton completed palatal chamfer.
  • 13.
    Dr. Paul A.Tipton break through the contact areas with finishing strips and polish these surfaces so there are no rough or loose enamel prisms round the corners of the preparation to prevent any stress
  • 14.
    Dr. Paul A.Tipton reseat the matrix to verify overall reduction.
  • 15.
    Dr. Paul A.Tipton the finished preparation should be very rounded to eliminate potential porcelain fractures.
  • 16.
    Dr. Paul A.Tipton the art and science of aesthetic dentistry porcelain veneers preparation techniques conventional no guidance preparation labial enamel
  • 17.
    Dr. Paul A.Tipton prepare ur2 for butt joint veneer prep
  • 18.
    Dr. Paul A.Tipton the putty matrix is again used.
  • 19.
    Dr. Paul A.Tipton the labial surface is reduced by 0.3 – 0.5mm as previously.
  • 20.
    Dr. Paul A.Tipton the incisal edge is reduced by 1.5 – 2.0mm.
  • 21.
    Dr. Paul A.Tipton the incisal edge is prepared for an angled butt joint. the incisal edge will have a 30° sloping shoulder
  • 22.
    Dr. Paul A.Tipton mesially and distally the preparation is halfway into the contact area with the adjacent teeth.
  • 23.
    Dr. Paul A.Tipton all contact areas are smoothed.
  • 24.
    Dr. Paul A.Tipton finished prep
  • 25.
    Dr. Paul A.Tipton the art and science of aesthetic dentistry porcelain veneers preparation techniques conventional slice
  • 26.
    Dr. Paul A.Tipton the art and science of aesthetic dentistry slice preparations are used for imbrication, rotation, diastemas or missing interdental papillae.
  • 27.
    Dr. Paul A.Tipton reduce the labial surface by 0.3 – 0.5mm with the use of depth cuts and the incisal edge by 2mm.
  • 28.
    Dr. Paul A.Tipton The style of palatal incisal reduction depends upon the degree of anterior guidance and how much labial enamel is present
  • 29.
    Dr. Paul A.Tipton break through the contact areas with a fine diamond bur and produce a line of draw of the mesial and distal surfaces
  • 30.
    Dr. Paul A.Tipton prepare the mesial and distal margins for a 0.5mm chamfer finish line with an overall angle of convergence of 20 – 30° ( axial inclination of 10 - 15° ) using a 1mm thick chamfer bur
  • 31.
    Dr. Paul A.Tipton round the corners so there is no stress in the porcelain restoration.
  • 32.
    Dr. Paul A.Tipton the palatal incisal finish line is an inclined butt joint or palatal mini chamfer dependant upon anterior guidance and the amount of labial enamel
  • 33.
    Dr. Paul A.Tipton finish the slice though the contact so that the mesio-palatal and disto- palatal vertical walls have 20 – 30° angle of convergence
  • 34.
  • 35.
    Dr. Paul A.Tipton round the corners where the slice and incisal preps join
  • 36.
    Dr. Paul A.Tipton check overall reduction with the matrix.
  • 37.
    Dr. Paul A.Tipton the finished preparation from the labial looks like a dentine bonded crown preparation
  • 38.
  • 39.
  • 40.
    Dr. Paul A.Tipton slice preps only where required
  • 41.
  • 42.
  • 43.
  • 44.
  • 45.
  • 46.
    Dr. Paul A.TiptonDr. Paul A. Tipton st very thin labial enamel – so no labial reduction is required , the veneers are additive
  • 47.
    Dr. Paul A.TiptonDr. Paul A. Tipton the dentine is hybridised
  • 48.
    Dr. Paul A.TiptonDr. Paul A. Tipton
  • 49.
    Dr. Paul A.TiptonDr. Paul A. Tipton the ¾ crown preparation wraps around the palatal aspect further than the slice
  • 50.
    Dr. Paul A.TiptonDr. Paul A. Tipton
  • 51.
    Dr. Paul A.TiptonDr. Paul A. Tipton
  • 52.
    Dr. Paul A.TiptonDr. Paul A. Tipton
  • 53.
    Dr. Paul A.TiptonDr. Paul A. Tipton
  • 54.
    Dr. Paul A.TiptonDr. Paul A. Tipton
  • 55.
    Dr. Paul A.TiptonDr. Paul A. Tipton
  • 56.
    Dr. Paul A.TiptonDr. Paul A. Tipton