VENEERS
RESTORATIONS
By: MOSc Prosthodontics and
MOSc Restorative
Lecture Objectives/Learning Outcomes
1. Definition
2. Indication and Case Selection
3. Patient Assessment and Communication
4. Types of Veneers
5. Preparation Techniques
6. Impression and Laboratory Communication
7. Shade Selection and Aesthetics
8. Temporary Veneers
9. Cementation Procedures
10. Maintenance and Long Term Care
11. Future Trends and Innovations
Definition
Glossary of Prosthodontic Terms (Ninth Edition)
Indication
Generally, indicated for
anterior teeth when
significant enamel is
remaining.
Belser, U. C., Macne, P., &
Macne, M. (1997)
Indication (con’t)
Discoloured 11, 21 due to
incisal wear
Microdontia on 12, 22 Unharmonious smile line due
to worn 11, 21
Patient assessment and communication
Develop a
good rapport
with patient.
Gürel, G., & Gürel, G. (2003). The science
and art of porcelain laminate veneers. Berlin:
Quintessence.
Types of veneers
Feldspathic porcelain
● Contains fluorapatite crystals suspended over an
aluminium-silicate glass
Advantages
Disadvantages
Pini NP, Aguiar FH, Lima DA, Lovadino JR, Terada RS, Pascotto RC. Advances in dental veneers: materials, applications, and techniques. Clin Cosmet Investig Dent. 2012;4:9-16.
Glass ceramics
● Glass matrix + crystals (leucite/lithium disilicate)
● Leucite & lithium disilicate reinforced ceramics → esthetics &
acid-sensitive
Pini NP, Aguiar FH, Lima DA, Lovadino JR, Terada RS, Pascotto RC. Advances in dental veneers: materials, applications, and techniques. Clin Cosmet Investig Dent. 2012;4:9-16.
Composite Resin
● Direct and direct-indirect technique
● Direct-indirect technique → extra-oral tempering process → improve
mechanical properties
Fahl N Jr,, Ritter AV. Composite veneers: The direct-indirect technique revisited. J Esthet Restor Dent. 2021;33(1):7-19.
Advantages
Tooth Preparation
Techniques
1. Depth cut bur thickness (0.3, 0.5, 0.8mm)
2. Incisal reduction ~ 1.5 - 2mm
3. Pencil markings on depth grooves
4. Smoothen the labial and incisal surfaces until pencil
markings disappear
5. Smoothen with polishing disc
Curvature of the tooth
Window Feather-edge Butt joint
Palatal chamfer
Types of preparation
Window preparation
● Achieve thickness of ceramic by 0.4 - 0.7mm incisally
● Preserves the incisal edge → canine with canine guidance
● Difficulty in masking margin → poorer esthetic outcome
● Risk of enamel chipping at the incisal edges
● Seymour et al → lower maximum stress at the labial margin
compared to palatal chamfer
● More fracture of the restoration → higher
stress at insical 3rd
● Less esthetic
Chai SY, Bennani V, Aarts JM, Lyons K. Incisal preparation design for ceramic veneers: A critical review [published correction appears in J Am Dent Assoc. 2018 Mar;149(3):173]. J Am Dent Assoc. 2018;149(1):25-37.
Feather edge preparation
● Reduction of the incisal edge when unsupporred enamel is thin
● Many reported:
- Weaker restorations → higher fracture
- Difficulty in seating the veneers
- Marginal discolouration
Chai SY, Bennani V, Aarts JM, Lyons K. Incisal preparation design for ceramic veneers: A critical review [published correction appears in J Am Dent Assoc. 2018 Mar;149(3):173]. J Am Dent Assoc. 2018;149(1):25-37.
Butt joint preparation
● 0.5 - 1mm incisal reduction
● Most common preparation design
● Advantages:
- Simpler preparation
- Better esthetics
- Better seating of the restoration → faciopalatally insertion
- Lower fracture rates of restoration → deep bite cases
- Lower fracture rates of thin unsupported palatal ceramic ledge
- Better stress distribution compared to feather edge
Chai SY, Bennani V, Aarts JM, Lyons K. Incisal preparation design for ceramic veneers: A critical review [published correction appears in J Am Dent Assoc. 2018 Mar;149(3):173]. J Am Dent Assoc. 2018;149(1):25-37.
Palatal chamfer preparation
● Indications:
- Thin buccolingual incisal edge
- Increase crown length required
● Increases surface area for bonding and avoids sharp angles that can cause
cracks
● Adequate ceramic thickness at incisal edge
● Compare with Butt joint → higher fracture rates
● Compare to window → higher stress tolerance during loading
Chai SY, Bennani V, Aarts JM, Lyons K. Incisal preparation design for ceramic veneers: A critical review [published correction appears in J Am Dent Assoc. 2018 Mar;149(3):173]. J Am Dent Assoc. 2018;149(1):25-37.
Minimally invasive principles
● Provide better esthetic + biological outcome
Vanlıoğlu BA, Kulak-Özkan Y. Minimally invasive veneers: current state of the art. Clin Cosmet Investig Dent. 2014 Nov 28;6:101-7.
No preparation veneers
Indications:
- Hypodontia
- Diastema
- Abfraction
Contraindications:
- Severe discolouration
- Malpositioned teeth
- Parafunctional habits
Advantages:
- Maximum tooth structure preservations
Disadvantages:
- Overcontoured teeth
- Periodontal complications → gingivitis
● Needs proper smile design planning
● More commonly used for composite veneers
Kam Hepdeniz, O., Temel, U.B. Clinical survival of No-prep indirect composite laminate veneers: a 7-year prospective case series study. BMC Oral Health 23, 257 (2023).
● Overall survival rate = 91.3%
● Significant difference in colour matching &
surface roughness
Limitation:
- No control group to compare with
Impression Technique
● Wet or dry teeth (Hydrophobic or hydrophilic impression material)
● Gingival displacement done using retraction cord
● Double cord technique: Thin retraction cord (000) with hemostatic solution first
placed, followed by a thicker retraction cord (00) over it.
● One-step Impression Technique: Inject light-bodied material (wash) around
preparation, load medium/heavy-bodied material in tray, and place over
preparation.
Workflow for Digital Impression
Agnini, A., Apponi, R., Maffei, S., & Agnini, A. (2020). Digital dental workflow for a smile makeover restoration. Int.
J. Esthet. Dent, 15, 374-389.
Laboratory Communication
● Necessary informations:
○ Color, shape, incisal length, incisal plane, translucency, ceramic material, occlusion, tooth position, embrasures,
contacts and more (next slide)
● Tools for effective communication:
○ Preoperative clinical digital images (ie, smile and retracted view with a shade tab of the natural color displayed
with it).
○ Digital images of the desired shade tab adjacent to the prepared teeth. It is incredibly important for the
technician to know the shade of the prepared teeth so that the correct ceramic system can be selected.
Consider the ambient light and state of tooth
○ Digital images (ie, smile and retracted view) of the provisional restoration, if used.
○ Digital images of the patient’s face.
○ List of the desired expectations of the patient and the dentist.
Lab Talk: Common Communication Techniques Using a Different Provisionalization Approach | September 2008 | Inside Dentistry
(aegisdentalnetwork.com)
Schwartzman, A., & Zweig, A. E. (2015). Improved communication with the laboratory for the fabrication of labial veneers. Journal of the California Dental
Association, 43(4), 203-208.
Smile Analysis Parameters
Chitlange, P. M., Madhu, P. P., & Reche, A. (2023). Digital Smile Design-An Overview of 3D Digital Workflow. JOURNAL OF CLINICAL AND DIAGNOSTIC
RESEARCH, 17(1), ZE01-ZE05.
https://thedawsonacademy.com/what-is-the-golden-proportion-of-dentistry/
Fletcher P. (2011). Biologic rationale of esthetic crown lengthening using innovative proportion
gauges. The International journal of periodontics & restorative dentistry, 31(5), 523–532.
Shade
Selection
& Aesthetic
Jouhar, R.; Ahmed, M.A.; Khurshid, Z. An Overview of Shade
Selection in Clinical Dentistry. Appl. Sci. 2022, 12, 6841.
https:// doi.org/10.3390/app12146841
Main Optical Properties of Teeth
Optical
Properties
Translucency
Fluorescence
Opalescence
Texture
of
Surface
Surface
Gloss
Metamerism
Shade Guide are based on Munsell’s guiding
principles that distribute the color space into three
dimensions: hue (name of the color), chroma
(color density) and value (vitality of color)
Measurement of
Colour
Visual
Technique:
Shade Guide
Vita Classical
Shade Guide
Vita 3D Master
Shade Guide
Chromascop
Shade Guide
Instrumental
Technique
1. Spectrophotometers
& Spectroradiometers
2. Colorimeters
3. Digital Cameras &
Imaging Systems
Shade Guide
• The most common method of
shade selection
• Economical and durable
• Efficient comparison with
natural tooth color
• Easily available
Advantages
• Colors may differ for each
company
• Porcelain may be different with
a shade guide
• Not rationally arranged
• Reflects and transforms light-
forming translucency & provides
a look of vitality
Disadvantages
Protocols for Clinical Shade Selection
A distance from the oral
cavity of about 61cm (2 feet)
to 183 cm (6 feet) is
preferably considered for the
matching of shade.
The position of a patient on
the dental chair should be in
such a way that the teeth of a
patient are at the level of the
operator’s eyes.
Distance of the Operator
from the Tooth & Position
of the Patient
The tooth to be
matched and its
neighboring teeth
must be free of
surface stains and
plaque along with
other deposits and
must be moist with
saliva
Condition of Teeth
Surroundings with
bright colors should
be evaded as they
affect suitable color
matching through
influencing the
colors in the
reflected light.
Environment
Midday sunlight
is ideally
considered for
the best shade
selection.
Working Site
Lighting
Temporary Veneer
Importance of Temporary Veneer
Protection
of Tooth
Structure
Esthetic
and
Functional
Preview
Gingival
Health
Patient
Comfort
Feedback
for Final
Restoration
The APT technique facilitated diagnosis,
communication, and preparation, providing
predictability for the restorative treatment.
Limiting the preparation depth to the enamel
surface significantly increases the
performance of porcelain laminate veneers.
(Int J Periodontics Restorative Dent
2012;32:625–635.)
Clinical Techniques
indirectly
fabricated
provisionals
Direct-
indirect
technique
direct
composite
resin
rapid
simplified
veneer
provisional
system (RSVP)
shrink wrap
technique
Hammond, B. D., Machowski, M., Londono, J., & Pannu, D. (2022). Fabrication of Porcelain Veneer Provisional
Restorations: A Critical Review. Dentistry Review, 2(2), 100004.
• This technique has been discussed in the
literature as the “free-hand ”direct method.
1. Direct Composite
Resin Veneer
Provisional Technique
2. Indirect Veneer
Provisional
Fabrication Technique
• Advantages of using a silicone
model of the preps are faster set of
the model as compared to a stone
cast, and flexibility of the silicone
model allows for easier removal of
the provisional veneers with less
risk of breakage
Research has shown that indirectly
fabricated provisional restorations
are stronger and denser and have
better marginal integrity than
directly fabricated provisional
restorations
3. Direct-Indirect Veneer
Provisional Fabrication
Techniquedirect technique
Rapid Simplified
Veneer Provisional
Fabrication
Technique
Shrink Wrap Veneer
Provisional Fabrication
Technique
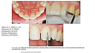
Ritter, A. V., Swift, E. J., &
Heymann, H. O. (2012).
Sturdevant's Art and
Science of Operative
Dentistry, 6th Edition.
Gurel, G., Morimoto, S., Calamita, M., Coachman, C., & Sesma, N. (2012). Clinical Performance of
Porcelain Laminate Veneers: Outcomes of the Aesthetic Pre-evaluative Temporary (APT)
Technique. The International journal of periodontics & restorative dentistry, 32, 625-635.
Aesthetic Pre-evaluative
Temporary (APT) Technique
Cementation
Procedures,
Maintenance &
Long-Term Care
Cementation Procedure
Polymerisation of
Resin Cement
Self cure
Light cure
Dual cure
Opaque (no glass),
>2mm ceramic
restoration
Non opaque (glass)<1.5-
2mm ceramic restoration
Opaque ceramic
restoration >1.5mm
Low color
stability
Limited shade
More color
stability
Immediate final
polymerization, seal
margin quickly
High tensile strength
& bond strength
Durability &
Esthetics
Light cure: for translucent (high class eg feldspathic or leucite‐reinforced ceramics) and low strength ceramics,
indirect composite
Dual cure: for low‐glass ceramics lithium disilicate, zirconia lithium silicate, and glass‐infiltrated ceramics
Ghodsi, S., Shekarian, M., Aghamohseni, M. M., Rasaeipour, S., & Arzani, S. (2023). Resin cement selection for different types of fixed partial coverage restorations: A narrative systematic
review [Review]. Clinical and Experimental Dental Research, 9(6), 1096-1111. https://doi.org/10.1002/cre2.761
Cementation Procedure
Generations
Etch & Rinse
Self Etch
Self Adhesive
Highest bond strength to
enamel
Higher bond strength to
dentin
Lower bond strength
to enamel than
dentin
Low strength
ceramics
Predominantly
enamel structure
Compromised
tooth structure
Predominantly
dentin structure
Preparation wall
mainly dentin
High strength
ceramics (no glasss)
Ghodsi, S., Shekarian, M., Aghamohseni, M. M., Rasaeipour, S., & Arzani, S. (2023). Resin cement selection for different types of fixed partial coverage restorations: A narrative systematic
review [Review]. Clinical and Experimental Dental Research, 9(6), 1096-1111. https://doi.org/10.1002/cre2.761
Cementation Procedure (Surface
Preparation)
Silica based
ceramics
Sandblasting with 50 microns meter alluminium oxide particles at 80 psi/ 4-
9.5% hydrofluoric acid etching followed by silanization (Borges et al 2003)
Glass phase dissolve in HF to
create micromechanical retention
Non-Silica based
ceramics
Alumina air abrasion by 50 microns allumnium oxide under 0.1-0.25MPa pressure)
(Raeisosadat et al 2020)
-
Sandblasting (Santos et al 2009) followed by 10 MDP-monomer application (Atdu et al 2006)
Ghodsi, S., Shekarian, M., Aghamohseni, M. M., Rasaeipour, S., & Arzani, S. (2023). Resin cement selection for different types of fixed partial coverage restorations: A narrative systematic
review [Review]. Clinical and Experimental Dental Research, 9(6), 1096-1111. https://doi.org/10.1002/cre2.761
Maintenance & Long Term Care
Complications:
▪Structural loss/ debonding of veneers
▪Fracture if inadequate preparations
▪Parafunctional habit eg bruxism. Debonding 3 times higher
▪Unevenly distributed occlusal force, traumatic anterior guidance, direct trauma
Advice:
▪Immediate occlusal adjustment and recommend a mouthguard for patients with parafunctional habits or involved in contact sports.
▪Instructed to avoid hard foods, chewing on ice, nail-biting, and generating any sort of micro-trauma and overload.
▪Avoid preparation with sharp line angles can generate internal microcracks
▪Post-cementation correction must be performed under a cooling spray with fine and microfine diamond finishing burs, microfine
silicone points, 30-blade finishing burs, and polishing discs and strips
Romão, R.M.; Lopes, G.D.R.S.; De Matos, J.D.M.; Lopes, G.D.R.S.; de Vasconcelos, J.E.L.; Fontes, N.M. Causes of failures inceramic veneers restorations: A literature review. Int. J. Adv. Res. 2018, 6, 896–906.
Barghi, N. To silanate or not to silanate: Making a clinical decision. Compend. Contin. Educ. Dent. 2000, 21, 659–662, 664.
Examples of Resin Cement
RelyX Veneer (3M Oral Care) (Light cure)
RelyX Ultimate (3M Oral Care) (Combination of dual
cure and self/selective/total etch of Scotch Bond
Universal Adhesive)
Calibra Ceram (Dentsply Sirona)( Dual/Self/Light cure)
Examples of Resin Cement
Variolink 2 (Ivoclar Vivadent AG) (Dual cure)
Luting composite, fluoride release, with total etch
Variolink Esthetic (Ivoclar Vivadent AG)( Light cure/Dual cure)
Luting composite, patented light initiator, Ivocerin, which is 100%
amine-free for enhanced shade stability, combine with first self-
etching glass-ceramic primer Monobond Etch & Prime.
G CEM Linkforce Self Adhesive
Future Trends and Innovation
Digital Workflow : Taha, Y., Raslan, F., Ali, A., & Roig, M. (2021). Guided tooth preparation
device fabricated with a complete digital workflow: A dental technique. The Journal of prosthetic dentistry, 125(2),
221.e1–221.e4. https://doi.org/10.1016/j.prosdent.2020.10.009
4
3
2
1 5
Digital vs Conventional?
Accuracy of Digital Smile Design?
THANK YOU

VENEERS RESTORATIONS definition,case selection & assessment

  • 1.
  • 2.
    Lecture Objectives/Learning Outcomes 1.Definition 2. Indication and Case Selection 3. Patient Assessment and Communication 4. Types of Veneers 5. Preparation Techniques 6. Impression and Laboratory Communication 7. Shade Selection and Aesthetics 8. Temporary Veneers 9. Cementation Procedures 10. Maintenance and Long Term Care 11. Future Trends and Innovations
  • 3.
  • 4.
    Indication Generally, indicated for anteriorteeth when significant enamel is remaining. Belser, U. C., Macne, P., & Macne, M. (1997)
  • 5.
    Indication (con’t) Discoloured 11,21 due to incisal wear Microdontia on 12, 22 Unharmonious smile line due to worn 11, 21
  • 6.
    Patient assessment andcommunication Develop a good rapport with patient. Gürel, G., & Gürel, G. (2003). The science and art of porcelain laminate veneers. Berlin: Quintessence.
  • 7.
  • 8.
    Feldspathic porcelain ● Containsfluorapatite crystals suspended over an aluminium-silicate glass Advantages Disadvantages Pini NP, Aguiar FH, Lima DA, Lovadino JR, Terada RS, Pascotto RC. Advances in dental veneers: materials, applications, and techniques. Clin Cosmet Investig Dent. 2012;4:9-16.
  • 9.
    Glass ceramics ● Glassmatrix + crystals (leucite/lithium disilicate) ● Leucite & lithium disilicate reinforced ceramics → esthetics & acid-sensitive Pini NP, Aguiar FH, Lima DA, Lovadino JR, Terada RS, Pascotto RC. Advances in dental veneers: materials, applications, and techniques. Clin Cosmet Investig Dent. 2012;4:9-16.
  • 10.
    Composite Resin ● Directand direct-indirect technique ● Direct-indirect technique → extra-oral tempering process → improve mechanical properties Fahl N Jr,, Ritter AV. Composite veneers: The direct-indirect technique revisited. J Esthet Restor Dent. 2021;33(1):7-19.
  • 11.
  • 12.
  • 13.
    1. Depth cutbur thickness (0.3, 0.5, 0.8mm) 2. Incisal reduction ~ 1.5 - 2mm 3. Pencil markings on depth grooves 4. Smoothen the labial and incisal surfaces until pencil markings disappear 5. Smoothen with polishing disc
  • 14.
  • 15.
    Window Feather-edge Buttjoint Palatal chamfer Types of preparation
  • 16.
    Window preparation ● Achievethickness of ceramic by 0.4 - 0.7mm incisally ● Preserves the incisal edge → canine with canine guidance ● Difficulty in masking margin → poorer esthetic outcome ● Risk of enamel chipping at the incisal edges ● Seymour et al → lower maximum stress at the labial margin compared to palatal chamfer ● More fracture of the restoration → higher stress at insical 3rd ● Less esthetic Chai SY, Bennani V, Aarts JM, Lyons K. Incisal preparation design for ceramic veneers: A critical review [published correction appears in J Am Dent Assoc. 2018 Mar;149(3):173]. J Am Dent Assoc. 2018;149(1):25-37.
  • 17.
    Feather edge preparation ●Reduction of the incisal edge when unsupporred enamel is thin ● Many reported: - Weaker restorations → higher fracture - Difficulty in seating the veneers - Marginal discolouration Chai SY, Bennani V, Aarts JM, Lyons K. Incisal preparation design for ceramic veneers: A critical review [published correction appears in J Am Dent Assoc. 2018 Mar;149(3):173]. J Am Dent Assoc. 2018;149(1):25-37.
  • 18.
    Butt joint preparation ●0.5 - 1mm incisal reduction ● Most common preparation design ● Advantages: - Simpler preparation - Better esthetics - Better seating of the restoration → faciopalatally insertion - Lower fracture rates of restoration → deep bite cases - Lower fracture rates of thin unsupported palatal ceramic ledge - Better stress distribution compared to feather edge Chai SY, Bennani V, Aarts JM, Lyons K. Incisal preparation design for ceramic veneers: A critical review [published correction appears in J Am Dent Assoc. 2018 Mar;149(3):173]. J Am Dent Assoc. 2018;149(1):25-37.
  • 19.
    Palatal chamfer preparation ●Indications: - Thin buccolingual incisal edge - Increase crown length required ● Increases surface area for bonding and avoids sharp angles that can cause cracks ● Adequate ceramic thickness at incisal edge ● Compare with Butt joint → higher fracture rates ● Compare to window → higher stress tolerance during loading Chai SY, Bennani V, Aarts JM, Lyons K. Incisal preparation design for ceramic veneers: A critical review [published correction appears in J Am Dent Assoc. 2018 Mar;149(3):173]. J Am Dent Assoc. 2018;149(1):25-37.
  • 20.
    Minimally invasive principles ●Provide better esthetic + biological outcome Vanlıoğlu BA, Kulak-Özkan Y. Minimally invasive veneers: current state of the art. Clin Cosmet Investig Dent. 2014 Nov 28;6:101-7.
  • 21.
    No preparation veneers Indications: -Hypodontia - Diastema - Abfraction Contraindications: - Severe discolouration - Malpositioned teeth - Parafunctional habits Advantages: - Maximum tooth structure preservations Disadvantages: - Overcontoured teeth - Periodontal complications → gingivitis ● Needs proper smile design planning ● More commonly used for composite veneers Kam Hepdeniz, O., Temel, U.B. Clinical survival of No-prep indirect composite laminate veneers: a 7-year prospective case series study. BMC Oral Health 23, 257 (2023).
  • 22.
    ● Overall survivalrate = 91.3% ● Significant difference in colour matching & surface roughness Limitation: - No control group to compare with
  • 23.
    Impression Technique ● Wetor dry teeth (Hydrophobic or hydrophilic impression material) ● Gingival displacement done using retraction cord ● Double cord technique: Thin retraction cord (000) with hemostatic solution first placed, followed by a thicker retraction cord (00) over it. ● One-step Impression Technique: Inject light-bodied material (wash) around preparation, load medium/heavy-bodied material in tray, and place over preparation.
  • 25.
    Workflow for DigitalImpression Agnini, A., Apponi, R., Maffei, S., & Agnini, A. (2020). Digital dental workflow for a smile makeover restoration. Int. J. Esthet. Dent, 15, 374-389.
  • 26.
    Laboratory Communication ● Necessaryinformations: ○ Color, shape, incisal length, incisal plane, translucency, ceramic material, occlusion, tooth position, embrasures, contacts and more (next slide) ● Tools for effective communication: ○ Preoperative clinical digital images (ie, smile and retracted view with a shade tab of the natural color displayed with it). ○ Digital images of the desired shade tab adjacent to the prepared teeth. It is incredibly important for the technician to know the shade of the prepared teeth so that the correct ceramic system can be selected. Consider the ambient light and state of tooth ○ Digital images (ie, smile and retracted view) of the provisional restoration, if used. ○ Digital images of the patient’s face. ○ List of the desired expectations of the patient and the dentist. Lab Talk: Common Communication Techniques Using a Different Provisionalization Approach | September 2008 | Inside Dentistry (aegisdentalnetwork.com) Schwartzman, A., & Zweig, A. E. (2015). Improved communication with the laboratory for the fabrication of labial veneers. Journal of the California Dental Association, 43(4), 203-208.
  • 27.
    Smile Analysis Parameters Chitlange,P. M., Madhu, P. P., & Reche, A. (2023). Digital Smile Design-An Overview of 3D Digital Workflow. JOURNAL OF CLINICAL AND DIAGNOSTIC RESEARCH, 17(1), ZE01-ZE05.
  • 28.
  • 29.
    Fletcher P. (2011).Biologic rationale of esthetic crown lengthening using innovative proportion gauges. The International journal of periodontics & restorative dentistry, 31(5), 523–532.
  • 30.
    Shade Selection & Aesthetic Jouhar, R.;Ahmed, M.A.; Khurshid, Z. An Overview of Shade Selection in Clinical Dentistry. Appl. Sci. 2022, 12, 6841. https:// doi.org/10.3390/app12146841
  • 31.
    Main Optical Propertiesof Teeth Optical Properties Translucency Fluorescence Opalescence Texture of Surface Surface Gloss Metamerism Shade Guide are based on Munsell’s guiding principles that distribute the color space into three dimensions: hue (name of the color), chroma (color density) and value (vitality of color)
  • 32.
    Measurement of Colour Visual Technique: Shade Guide VitaClassical Shade Guide Vita 3D Master Shade Guide Chromascop Shade Guide Instrumental Technique 1. Spectrophotometers & Spectroradiometers 2. Colorimeters 3. Digital Cameras & Imaging Systems
  • 33.
    Shade Guide • Themost common method of shade selection • Economical and durable • Efficient comparison with natural tooth color • Easily available Advantages • Colors may differ for each company • Porcelain may be different with a shade guide • Not rationally arranged • Reflects and transforms light- forming translucency & provides a look of vitality Disadvantages
  • 34.
    Protocols for ClinicalShade Selection A distance from the oral cavity of about 61cm (2 feet) to 183 cm (6 feet) is preferably considered for the matching of shade. The position of a patient on the dental chair should be in such a way that the teeth of a patient are at the level of the operator’s eyes. Distance of the Operator from the Tooth & Position of the Patient The tooth to be matched and its neighboring teeth must be free of surface stains and plaque along with other deposits and must be moist with saliva Condition of Teeth Surroundings with bright colors should be evaded as they affect suitable color matching through influencing the colors in the reflected light. Environment Midday sunlight is ideally considered for the best shade selection. Working Site Lighting
  • 35.
  • 36.
    Importance of TemporaryVeneer Protection of Tooth Structure Esthetic and Functional Preview Gingival Health Patient Comfort Feedback for Final Restoration The APT technique facilitated diagnosis, communication, and preparation, providing predictability for the restorative treatment. Limiting the preparation depth to the enamel surface significantly increases the performance of porcelain laminate veneers. (Int J Periodontics Restorative Dent 2012;32:625–635.)
  • 37.
    Clinical Techniques indirectly fabricated provisionals Direct- indirect technique direct composite resin rapid simplified veneer provisional system (RSVP) shrinkwrap technique Hammond, B. D., Machowski, M., Londono, J., & Pannu, D. (2022). Fabrication of Porcelain Veneer Provisional Restorations: A Critical Review. Dentistry Review, 2(2), 100004.
  • 38.
    • This techniquehas been discussed in the literature as the “free-hand ”direct method. 1. Direct Composite Resin Veneer Provisional Technique
  • 39.
  • 40.
    • Advantages ofusing a silicone model of the preps are faster set of the model as compared to a stone cast, and flexibility of the silicone model allows for easier removal of the provisional veneers with less risk of breakage Research has shown that indirectly fabricated provisional restorations are stronger and denser and have better marginal integrity than directly fabricated provisional restorations
  • 41.
    3. Direct-Indirect Veneer ProvisionalFabrication Techniquedirect technique
  • 43.
  • 44.
    Shrink Wrap Veneer ProvisionalFabrication Technique
  • 45.
    Ritter, A. V.,Swift, E. J., & Heymann, H. O. (2012). Sturdevant's Art and Science of Operative Dentistry, 6th Edition.
  • 47.
    Gurel, G., Morimoto,S., Calamita, M., Coachman, C., & Sesma, N. (2012). Clinical Performance of Porcelain Laminate Veneers: Outcomes of the Aesthetic Pre-evaluative Temporary (APT) Technique. The International journal of periodontics & restorative dentistry, 32, 625-635. Aesthetic Pre-evaluative Temporary (APT) Technique
  • 48.
  • 49.
    Cementation Procedure Polymerisation of ResinCement Self cure Light cure Dual cure Opaque (no glass), >2mm ceramic restoration Non opaque (glass)<1.5- 2mm ceramic restoration Opaque ceramic restoration >1.5mm Low color stability Limited shade More color stability Immediate final polymerization, seal margin quickly High tensile strength & bond strength Durability & Esthetics Light cure: for translucent (high class eg feldspathic or leucite‐reinforced ceramics) and low strength ceramics, indirect composite Dual cure: for low‐glass ceramics lithium disilicate, zirconia lithium silicate, and glass‐infiltrated ceramics Ghodsi, S., Shekarian, M., Aghamohseni, M. M., Rasaeipour, S., & Arzani, S. (2023). Resin cement selection for different types of fixed partial coverage restorations: A narrative systematic review [Review]. Clinical and Experimental Dental Research, 9(6), 1096-1111. https://doi.org/10.1002/cre2.761
  • 50.
    Cementation Procedure Generations Etch &Rinse Self Etch Self Adhesive Highest bond strength to enamel Higher bond strength to dentin Lower bond strength to enamel than dentin Low strength ceramics Predominantly enamel structure Compromised tooth structure Predominantly dentin structure Preparation wall mainly dentin High strength ceramics (no glasss) Ghodsi, S., Shekarian, M., Aghamohseni, M. M., Rasaeipour, S., & Arzani, S. (2023). Resin cement selection for different types of fixed partial coverage restorations: A narrative systematic review [Review]. Clinical and Experimental Dental Research, 9(6), 1096-1111. https://doi.org/10.1002/cre2.761
  • 51.
    Cementation Procedure (Surface Preparation) Silicabased ceramics Sandblasting with 50 microns meter alluminium oxide particles at 80 psi/ 4- 9.5% hydrofluoric acid etching followed by silanization (Borges et al 2003) Glass phase dissolve in HF to create micromechanical retention Non-Silica based ceramics Alumina air abrasion by 50 microns allumnium oxide under 0.1-0.25MPa pressure) (Raeisosadat et al 2020) - Sandblasting (Santos et al 2009) followed by 10 MDP-monomer application (Atdu et al 2006) Ghodsi, S., Shekarian, M., Aghamohseni, M. M., Rasaeipour, S., & Arzani, S. (2023). Resin cement selection for different types of fixed partial coverage restorations: A narrative systematic review [Review]. Clinical and Experimental Dental Research, 9(6), 1096-1111. https://doi.org/10.1002/cre2.761
  • 52.
    Maintenance & LongTerm Care Complications: ▪Structural loss/ debonding of veneers ▪Fracture if inadequate preparations ▪Parafunctional habit eg bruxism. Debonding 3 times higher ▪Unevenly distributed occlusal force, traumatic anterior guidance, direct trauma Advice: ▪Immediate occlusal adjustment and recommend a mouthguard for patients with parafunctional habits or involved in contact sports. ▪Instructed to avoid hard foods, chewing on ice, nail-biting, and generating any sort of micro-trauma and overload. ▪Avoid preparation with sharp line angles can generate internal microcracks ▪Post-cementation correction must be performed under a cooling spray with fine and microfine diamond finishing burs, microfine silicone points, 30-blade finishing burs, and polishing discs and strips Romão, R.M.; Lopes, G.D.R.S.; De Matos, J.D.M.; Lopes, G.D.R.S.; de Vasconcelos, J.E.L.; Fontes, N.M. Causes of failures inceramic veneers restorations: A literature review. Int. J. Adv. Res. 2018, 6, 896–906. Barghi, N. To silanate or not to silanate: Making a clinical decision. Compend. Contin. Educ. Dent. 2000, 21, 659–662, 664.
  • 53.
    Examples of ResinCement RelyX Veneer (3M Oral Care) (Light cure) RelyX Ultimate (3M Oral Care) (Combination of dual cure and self/selective/total etch of Scotch Bond Universal Adhesive) Calibra Ceram (Dentsply Sirona)( Dual/Self/Light cure)
  • 54.
    Examples of ResinCement Variolink 2 (Ivoclar Vivadent AG) (Dual cure) Luting composite, fluoride release, with total etch Variolink Esthetic (Ivoclar Vivadent AG)( Light cure/Dual cure) Luting composite, patented light initiator, Ivocerin, which is 100% amine-free for enhanced shade stability, combine with first self- etching glass-ceramic primer Monobond Etch & Prime. G CEM Linkforce Self Adhesive
  • 55.
    Future Trends andInnovation Digital Workflow : Taha, Y., Raslan, F., Ali, A., & Roig, M. (2021). Guided tooth preparation device fabricated with a complete digital workflow: A dental technique. The Journal of prosthetic dentistry, 125(2), 221.e1–221.e4. https://doi.org/10.1016/j.prosdent.2020.10.009 4 3 2 1 5
  • 56.
  • 57.
    Accuracy of DigitalSmile Design?
  • 58.