Spine Study Archives 
MMoohhaammeedd MMoohhii EEllddiinn , MB-BCH , 
M.Sc., MD 
Professor of Neurosurgery 
Faculty of Medicine 
Cairo University 
EGYPT 
Weekly Neurosurgical Conference – Kasr El Aini, 25 November 2010
Spine Study Archives 
Vertebral Endplate 
Signal Changes (VESC) 
(Subchondral Marrow Modic 
Changes)
Popularly termed as 
‘EP changes’. 
However, 
These changes are 
in the vertebral marrow 
and subchondral bone 
and not the EP.
Normal marrow 
Normal hematopoetic (H), 
lipid (L), and 
bone trabecular (T) elements.
‘Degenerative Marrow Changes’ 
(Signal intensity changes) 
• adjacent to the endplates of degenerated 
discs are a common observation on MR 
images 
• First noted on MRI by de Roos et al in 1987 
• Modic et al. (1988) described classification 
(3 types of changes)
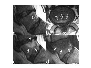
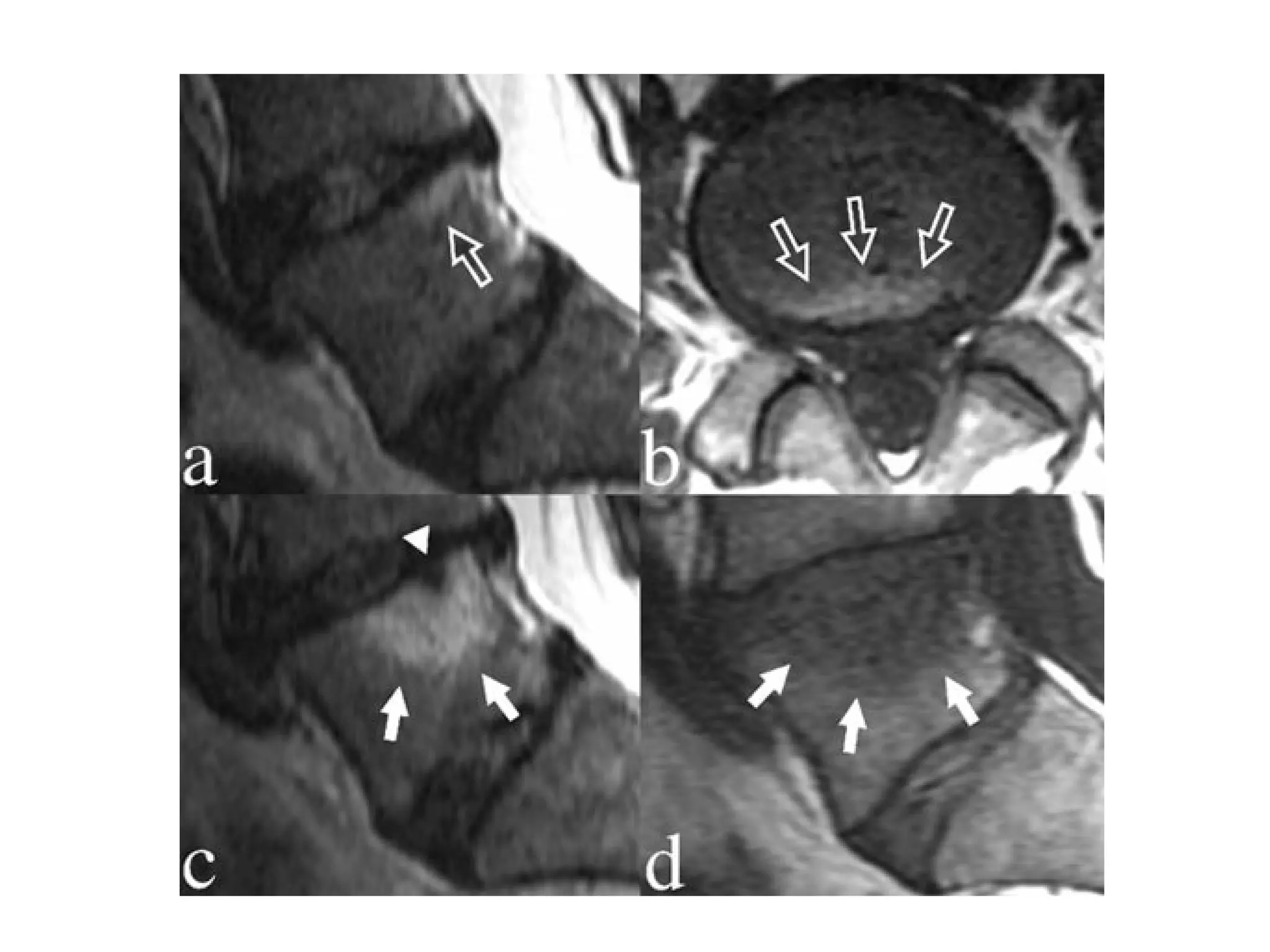
Modic type 1 deg. changes (MI) 
Hypointense on T1WI (A) 
Hyperintense on T2WI (B)
Modic changes 
type 1 in 
lower endplate 
of L4 
and 
upper endplate 
of L5
Modic Type I (Edema) 
Described as disruption and fissuring of the endplate 
with regions of degeneration, regeneration, and 
vascular granulation tissue. 
Correspond to the inflammatory stage of DDD 
Indicate an ongoing active degenerative process
Type I changes 
• identified in 
– 4% of scanned patients 
– 19% of lumbar DDD 
– 8% after discectomy 
– 40%–50% of chymopapain-treated 
disks, ( a model of 
acute disk degeneration). 
• Enhancement is seen 
with contrast that at times 
extends to involve the 
disc itself (related to the 
vascularized fibrous 
tissue within the adjacent 
marrow) 
Histologic slide 
Fibrovascular tissue (FV) has replaced normal 
marrow elements between thickened bone 
trabeculae (T).
Type 1 Modic Changes are 
Unstable Dynamic Lesions 
Unstable: all converted into either type 2 
changes or back to normal within 6 months 
following lumbar fusion, which paralleled 
clinical improvement in all patients. 
Dynamic: in most cases, either increase in 
size or convert into type 2 changes.
LDP a strong risk factor for developing 
MI, during the following year. 
Herniation 1 year ago Present LBP
Always consider Modic changes if 
Patients develop 
NEW severe LBP within a year 
after sciatica / herniation 
and 
Treatment does not help
Modic type 2 degenerative 
changes (MII) 
hyperintense on T1WI (A) 
isointense or slightly hyperintense on T2WI (B)
Modic changes 
type 2 in the 
lower endplate 
of L5 
and 
the upper 
endplate of S1
Modic Type II 
(Fatty change) 
The normal red hematopoetic bone marrow elements are replaced by 
abundant yellow fat (yellow marrow) as a result of marrow ischemia. 
Represent the fatty stage of DDD 
Related to a more stable and chronic process.
Type II changes 
• Identified in 
– 16% of scanned 
patients 
– 59% of lumbar DDD 
• Discs with type II 
changes also show 
evidence of 
endplate disruption 
Increased lipid content of the marrow space (L). 
Note also thickened woven bone trabeculae (T).
Type 2 Modic Changes may be 
Less stable Lesions 
• Neither as stable nor as quiescent as 
originally believed 
• MI & MII are interchangeable 
• An acute ongoing inflammatory process in 
some type 2 changes causes conversion 
of yellow to red marrow, 
• Suggests superimposed changes such as 
continued or accelerated degeneration
Modic type 3 degenerative changes 
(MIII) 
Hypointense on both 
T1WI (A) and T2WI (B)
Type III changes 
(Lack of signal) 
• Correlate with extensive 
bony sclerosis on plain 
radiographs. 
• Reflects the relative 
absence of marrow in 
areas of advanced 
sclerosis 
• Considering the 
histology; 
– dense woven bone within 
the vertebral body
Modic Type III 
(Sclerosis) 
are presumably bone sclerosis
Unlike M III, 
MI & MII show 
no definite correlation with sclerosis 
at radiography
Other Types 
• Mixed-type 1/2 and 2/3 Modic changes 
– changes can convert from one type to another 
– they all present different stages of the same 
pathologic process 
– develop before conversion to one of the true Modic 
types 
• The absence of Modic changes, a normal 
anatomic appearance, has often been 
designated Modic type 0.
Modic changes are 
• uncommon in asymptomatic individuals without 
DDD (4-16%) 
• In DDD of the lumbar spine: 
– 40% of patients with persistent LBP 
– Age 
– Previous disc herniation 
– Heavy smoking 
– Hard physical work 
– Overweight 
– Type 1 and 2 changes the most common 
– Type 3 and mixed-type changes relatively rare.
Similar marrow changes have also 
been noted in the pedicles 
• Originally described with spondylolysis, 
• They have also been noted in with 
– degenerative facet disease and 
– pedicle fractures. 
• Probably a reflection of abnormal stresses 
(loading or motion).
Source of pain Things to ask for Things to look for 
Facet-joint 
(persistent 
LBP) 
Dominant pain above the gluteal fold 
Onset of pain is paraspinal 
Relieved with lying down 
Symptoms best with walking or sitting 
Age >50 years 
Pain not increased with coughing 
Pain on extension/rotation (not specific for facet) 
SI-joint Dominant pain above the gluteal fold 
Pain below L5 
3:5 positive tests: 
Separation 
Dorsal gliding/Thigh thrust 
Gaenslen /Pelvic torsion 
Compression (side lying) 
Sacral thrust 
Muscle ? Palpation reproduces familiar symptoms 
Disc Dominant pain above/ below the gluteal fold 
Age: 40s 
Radicular leg pain 
Pain increased with coughing/sneezing 
Repetitive mechanical loading - centralization or 
periferalization 
SLR 
Neurology 
Ligament ? ? 
Bone (Modic) 
(persistent 
LBP) 
Dominant pain above the gluteal fold 
Hard work + heavy smoking 
Hard work + overweight 
Recurrent LBP 
Previous herniation 
MRI
Modic changes 
Differential Diagnosis 
Intervertebral disk space infections 
(Spondylodiscitis) 
– Typically mimicking type 1 Modic changes 
– Contrast enhancement may occur in both conditions 
– The disc T2WI signal intensity is typically increased in discitis 
– but often appears normal or hypointense on T2WI in DDD, 
– Also, the vertebral endplates are eroded or destroyed in disc 
space infection but usually preserved in DDD 
– Finally, the presence of paraspinal or epidural inflammation 
and/or collection should orient the diagnosis toward an infectious 
process. 
– The clinical presentation 
– The laboratory tests such as ESR and CRP (very reliable 
indicator of infection) being raised in up to 100% of patients
Modic changes and LBP 
• DDD on its own a fairly quiet disorder, 
• DDD with Modic changes much more 
frequently associated with clinical 
symptoms. 
• MI is the most strongly associated with 
LBP compared to type 2 & 3
?Why Type 1 
The reason for this may be that 
1. Modic changes type 1 reflects earlier and 
acute stages of inflammation, 
2. Modic changes type 2 thought to be a 
result of previous inflammation and more 
progressive degeneration.
The reasons why Modic changes 
may be painful are not known 
• the pain may originate from damaged endplates in 
patients with VESC. 
– The lumbar vertebral endplate contains immunoreactive nerves, 
– increased number of tumour necrosis factor (TNF) 
immunoreactive nerve cells and fibres are present in endplates 
that have VESC, especially in type 1 changes [111]. Therefore, 
• a positive correlation between the presence and extent 
of Modic changes and the amount of cartilage in the 
extruded disk in patients undergoing lumbar 
microdiskectomy and concluded that these changes may 
result from avulsion-type disk herniation.
Modic Changes and Segmental 
Instability 
• Chronic LBP and type 1 Modic changes had more 
frequent instability requiring arthrodesis than those with 
type 2 changes. 
• The persistence of type 1 Modic changes after fusion 
suggests pseudarthrosis (nonfusion) 
• Patients treated with anterior lumbar interbody fusion for 
LBP, with type 1 Modic changes had much better 
outcomes than those with isolated DDD and those with 
type 2 changes, in whom the results were generally poor 
• Fusion accelerates the course of type 1 Modic changes 
probably by correcting the mechanical instability and that 
these changes appear to be a good indicator of 
satisfactory surgical outcome after arthrodesis
The causes of VESC are unknown 
• Because VESC is present in several 
specific LBP conditions, there may be 
several causes. 
• In patients with non-specific LBP, 
• One theory is that disc injury leads to 
increased loading and shear forces on the 
endplates, which can lead to fissures of 
the endplate
We know very little 
about the treatment and 
prognosis of VESC
Modic changes following lumbar 
discectomy 
• Endplate changes described following 
discectomy, with varying prevalence from 6 to 
18% and as a sign of septic and aseptic discitis. 
• The prevalence of Modic changes was higher in 
patients who had undergone surgery for lumbar 
disc herniation 
• In fact, type 1 changes have been shown to 
develop in models of accelerated disc 
degeneration : 
– 8% of patients following diskectomy 
– 40% following chemonucleolysis,
Conclusion 
• Modic changes are dynamic markers of 
the normal age-related degenerative 
process affecting the lumbar spine. 
• Finally, the exact nature and pathogenetic 
significance of type 3 changes remains 
largely unknown.
In addition to classification into different types: 
the involvement of one or both endplates, 
anteroposterior localization (anterior, posterior, or central), 
maximal vertical depth (mm), and 
extent of Modic changes 
were also analyzed. 
If there were Modic changes at both superior and inferior endplates, the 
two vertical distances were added for a sum score (mm). 
The extent of changes was estimated from sagittal or axial sequences 
as quadrants of the endplate area (1-25%, 26-50%, 51-75%, or 
>76%)
THANK YOU

The modic vertebral endplate and marrow changes (spine 2010)

  • 1.
    Spine Study Archives MMoohhaammeedd MMoohhii EEllddiinn , MB-BCH , M.Sc., MD Professor of Neurosurgery Faculty of Medicine Cairo University EGYPT Weekly Neurosurgical Conference – Kasr El Aini, 25 November 2010
  • 2.
    Spine Study Archives Vertebral Endplate Signal Changes (VESC) (Subchondral Marrow Modic Changes)
  • 3.
    Popularly termed as ‘EP changes’. However, These changes are in the vertebral marrow and subchondral bone and not the EP.
  • 4.
    Normal marrow Normalhematopoetic (H), lipid (L), and bone trabecular (T) elements.
  • 5.
    ‘Degenerative Marrow Changes’ (Signal intensity changes) • adjacent to the endplates of degenerated discs are a common observation on MR images • First noted on MRI by de Roos et al in 1987 • Modic et al. (1988) described classification (3 types of changes)
  • 7.
    Modic type 1deg. changes (MI) Hypointense on T1WI (A) Hyperintense on T2WI (B)
  • 8.
    Modic changes type1 in lower endplate of L4 and upper endplate of L5
  • 9.
    Modic Type I(Edema) Described as disruption and fissuring of the endplate with regions of degeneration, regeneration, and vascular granulation tissue. Correspond to the inflammatory stage of DDD Indicate an ongoing active degenerative process
  • 10.
    Type I changes • identified in – 4% of scanned patients – 19% of lumbar DDD – 8% after discectomy – 40%–50% of chymopapain-treated disks, ( a model of acute disk degeneration). • Enhancement is seen with contrast that at times extends to involve the disc itself (related to the vascularized fibrous tissue within the adjacent marrow) Histologic slide Fibrovascular tissue (FV) has replaced normal marrow elements between thickened bone trabeculae (T).
  • 11.
    Type 1 ModicChanges are Unstable Dynamic Lesions Unstable: all converted into either type 2 changes or back to normal within 6 months following lumbar fusion, which paralleled clinical improvement in all patients. Dynamic: in most cases, either increase in size or convert into type 2 changes.
  • 12.
    LDP a strongrisk factor for developing MI, during the following year. Herniation 1 year ago Present LBP
  • 13.
    Always consider Modicchanges if Patients develop NEW severe LBP within a year after sciatica / herniation and Treatment does not help
  • 14.
    Modic type 2degenerative changes (MII) hyperintense on T1WI (A) isointense or slightly hyperintense on T2WI (B)
  • 15.
    Modic changes type2 in the lower endplate of L5 and the upper endplate of S1
  • 16.
    Modic Type II (Fatty change) The normal red hematopoetic bone marrow elements are replaced by abundant yellow fat (yellow marrow) as a result of marrow ischemia. Represent the fatty stage of DDD Related to a more stable and chronic process.
  • 17.
    Type II changes • Identified in – 16% of scanned patients – 59% of lumbar DDD • Discs with type II changes also show evidence of endplate disruption Increased lipid content of the marrow space (L). Note also thickened woven bone trabeculae (T).
  • 18.
    Type 2 ModicChanges may be Less stable Lesions • Neither as stable nor as quiescent as originally believed • MI & MII are interchangeable • An acute ongoing inflammatory process in some type 2 changes causes conversion of yellow to red marrow, • Suggests superimposed changes such as continued or accelerated degeneration
  • 19.
    Modic type 3degenerative changes (MIII) Hypointense on both T1WI (A) and T2WI (B)
  • 20.
    Type III changes (Lack of signal) • Correlate with extensive bony sclerosis on plain radiographs. • Reflects the relative absence of marrow in areas of advanced sclerosis • Considering the histology; – dense woven bone within the vertebral body
  • 21.
    Modic Type III (Sclerosis) are presumably bone sclerosis
  • 22.
    Unlike M III, MI & MII show no definite correlation with sclerosis at radiography
  • 23.
    Other Types •Mixed-type 1/2 and 2/3 Modic changes – changes can convert from one type to another – they all present different stages of the same pathologic process – develop before conversion to one of the true Modic types • The absence of Modic changes, a normal anatomic appearance, has often been designated Modic type 0.
  • 24.
    Modic changes are • uncommon in asymptomatic individuals without DDD (4-16%) • In DDD of the lumbar spine: – 40% of patients with persistent LBP – Age – Previous disc herniation – Heavy smoking – Hard physical work – Overweight – Type 1 and 2 changes the most common – Type 3 and mixed-type changes relatively rare.
  • 25.
    Similar marrow changeshave also been noted in the pedicles • Originally described with spondylolysis, • They have also been noted in with – degenerative facet disease and – pedicle fractures. • Probably a reflection of abnormal stresses (loading or motion).
  • 26.
    Source of painThings to ask for Things to look for Facet-joint (persistent LBP) Dominant pain above the gluteal fold Onset of pain is paraspinal Relieved with lying down Symptoms best with walking or sitting Age >50 years Pain not increased with coughing Pain on extension/rotation (not specific for facet) SI-joint Dominant pain above the gluteal fold Pain below L5 3:5 positive tests: Separation Dorsal gliding/Thigh thrust Gaenslen /Pelvic torsion Compression (side lying) Sacral thrust Muscle ? Palpation reproduces familiar symptoms Disc Dominant pain above/ below the gluteal fold Age: 40s Radicular leg pain Pain increased with coughing/sneezing Repetitive mechanical loading - centralization or periferalization SLR Neurology Ligament ? ? Bone (Modic) (persistent LBP) Dominant pain above the gluteal fold Hard work + heavy smoking Hard work + overweight Recurrent LBP Previous herniation MRI
  • 27.
    Modic changes DifferentialDiagnosis Intervertebral disk space infections (Spondylodiscitis) – Typically mimicking type 1 Modic changes – Contrast enhancement may occur in both conditions – The disc T2WI signal intensity is typically increased in discitis – but often appears normal or hypointense on T2WI in DDD, – Also, the vertebral endplates are eroded or destroyed in disc space infection but usually preserved in DDD – Finally, the presence of paraspinal or epidural inflammation and/or collection should orient the diagnosis toward an infectious process. – The clinical presentation – The laboratory tests such as ESR and CRP (very reliable indicator of infection) being raised in up to 100% of patients
  • 28.
    Modic changes andLBP • DDD on its own a fairly quiet disorder, • DDD with Modic changes much more frequently associated with clinical symptoms. • MI is the most strongly associated with LBP compared to type 2 & 3
  • 29.
    ?Why Type 1 The reason for this may be that 1. Modic changes type 1 reflects earlier and acute stages of inflammation, 2. Modic changes type 2 thought to be a result of previous inflammation and more progressive degeneration.
  • 30.
    The reasons whyModic changes may be painful are not known • the pain may originate from damaged endplates in patients with VESC. – The lumbar vertebral endplate contains immunoreactive nerves, – increased number of tumour necrosis factor (TNF) immunoreactive nerve cells and fibres are present in endplates that have VESC, especially in type 1 changes [111]. Therefore, • a positive correlation between the presence and extent of Modic changes and the amount of cartilage in the extruded disk in patients undergoing lumbar microdiskectomy and concluded that these changes may result from avulsion-type disk herniation.
  • 31.
    Modic Changes andSegmental Instability • Chronic LBP and type 1 Modic changes had more frequent instability requiring arthrodesis than those with type 2 changes. • The persistence of type 1 Modic changes after fusion suggests pseudarthrosis (nonfusion) • Patients treated with anterior lumbar interbody fusion for LBP, with type 1 Modic changes had much better outcomes than those with isolated DDD and those with type 2 changes, in whom the results were generally poor • Fusion accelerates the course of type 1 Modic changes probably by correcting the mechanical instability and that these changes appear to be a good indicator of satisfactory surgical outcome after arthrodesis
  • 32.
    The causes ofVESC are unknown • Because VESC is present in several specific LBP conditions, there may be several causes. • In patients with non-specific LBP, • One theory is that disc injury leads to increased loading and shear forces on the endplates, which can lead to fissures of the endplate
  • 33.
    We know verylittle about the treatment and prognosis of VESC
  • 34.
    Modic changes followinglumbar discectomy • Endplate changes described following discectomy, with varying prevalence from 6 to 18% and as a sign of septic and aseptic discitis. • The prevalence of Modic changes was higher in patients who had undergone surgery for lumbar disc herniation • In fact, type 1 changes have been shown to develop in models of accelerated disc degeneration : – 8% of patients following diskectomy – 40% following chemonucleolysis,
  • 35.
    Conclusion • Modicchanges are dynamic markers of the normal age-related degenerative process affecting the lumbar spine. • Finally, the exact nature and pathogenetic significance of type 3 changes remains largely unknown.
  • 36.
    In addition toclassification into different types: the involvement of one or both endplates, anteroposterior localization (anterior, posterior, or central), maximal vertical depth (mm), and extent of Modic changes were also analyzed. If there were Modic changes at both superior and inferior endplates, the two vertical distances were added for a sum score (mm). The extent of changes was estimated from sagittal or axial sequences as quadrants of the endplate area (1-25%, 26-50%, 51-75%, or >76%)
  • 42.

Editor's Notes