Vertebroplasty and Kyphoplasty
Techniques
Mohamed Mohi Eldin,
Professor of Neurosurgery,
Faculty of Medicine,
Cairo University
One-Day Spine Clinic 4th workshop & hands-on,
27-28 December 2017
PEDICLE DEFINITION, L1 VERTEBRA
Wire wrapped around the
waist of the pedicle
PEDICLE DEFINITION, L1 VERTEBRA
The A-P image of the pedicle corresponds
to the waist of the pedicle, not the base
PEDICLE DEFINITION, T10 VERTEBRA
T10T10
Vertebral Augmentation
Vertebroplasty
(1984): Injection of material (usually PMMA cement)
into vertebral body
Kyphoplasty
(1998): Injection after manipulation involving cavity
creation
Pain associated with
Compression vertebral fractures
• Primary osteoporosis
• steroid-induced osteoporosis
• Neoplastic-induced fracture
• Sub-acute traumatic collapse
• Vertebral angiomas
• Symptomatic microfracture [MRI]
• Lytic lesion [CT] without loss of vertebral height
The Osteoporotic Vertebral Fracture
Predictors of fracture
19.2% a second fracture
within one year
24% a further fracture
within a year
We use MRI for
Preoperative evaluation of vertebroplasty
in all patients unless contraindicated
Precontrast sagittal T1,
fat suppressed T2-weighted and
postcontrast sagittal fat suppressed T1-weighted
images
Vertebroplasty – how to do it
MRI of Acute Compression Fracture
T8
Plain film
T8
T2W
T8
T1W post-Gd
showing a significantly enhanced T8 indicating a recent fracture.
T9 is a chronic fracture and does not need vertebroplasty.
Pre-Operative Bone Scan
• In patients who
cannot have an MRI
• In identifying which
fractures are more
acute in nature and
most likely to
contribute to the
patient’s symptoms.
T8
Patient selection
The key to success of vertebroplasty
• Pain should be
– focal,
– intense,
– deep,
– local tenderness
– corresponding with
imaging findings,
– No radiation to the
legs.
Medicolegal
• The procedure is discussed
– with the patient and/or family,
– benefits, risks, and possible complications are
explained.
• Obtain informed consent.
Before discussing the technique..
Possible complications..?
• Bleeding
• Infection
• Fracture of the pedicle
• Damage to the nerve roots or
spinal cord
• Worsening of symptoms
• Spinal cord or nerve root
compression (radiculopathy)
from cement leakage
• Pulmonary embolism
For treatment of potential complications
We should have
• Immediate access to:
– CT Scan and / or MRI.
– ICU.
– Operating Room.
Instruments and table setting
We use 13-gauge bone biopsy needles
Cement, barium and tobramycin
cranioplastic mixture (30g),
sterile barium sulfate powder (12g), and
tobramycin (1.2g).
Vertebroplasty Imaging
• High quality fluoroscopy
– Biplane
– Single plane
– C-arm
• Computed tomography
– CT and fluoroscopy
Typical biplane configuration
Combined CT and mobile fluoroscopy
SETUP
High quality fluoroscopy
Fixed “C” Arm
• Easier operation
• Better imaging quality
• High cost
• Availability..!?
Mobile “C” Arm
• More difficult operation
• Less image quqlity
• Lower cost
• More available
Procedure: Anesthesia
• Intravenous sedation
– Sedation: midazolam
– Analgesia: fentanyl
• Local
– 1% Lidocaine
– 0.5% Bupivicaine on bone
• General anesthesia
– Rarely required
Local
GeneralNeurolepto
Selection will depend on
surgeon’s experience and
characteristics of patient.
Main advantages of Local Anesthesia
Allows surgeon to communicate with patient
Benefits
Early diagnosis of lesions
(radicular / pleural)
which might not be diagnosed otherwise.
• Determine cement injection speed.
• Anticipate corrective measures.
• Abort the procedure.
During Local Anesthesia
1. Ancef 1g IV is given pre-operatively
2. Oxygen mask
– provide sensation of comfort to patient
Patient Monitoring
• Nursing
• Intravenous line
• Continuous Intraoperative monitoring
– ECG.
– O2 Saturation (early diagnosis of pleural lesion).
– Pressurometry (occasional vagal reaction).
Vertebral Approaches
(will vary according to surgeon’s specialty and experience)
• Cervical Spine: Anterior
• Dorsal Spine: Transpedicular
• Lumbar Spine: Transpedicular
Lateral
Anterior Cervical Approach
Manual displacement of the carotid–jugular complex
Guide needle insertion
Needle position can be confirmed with CT.
Cervical Vetebroplasty
C3 VP for metastasis
The needle was inserted with finger compression of the visceral tissue (left).
Bone cement was injected into the C3 vertebral body, and
simultaneously an esophagogram was performed to check the
esophageal injury (middle). Postoperative lateral view (right).
Thoraco-lumbar Vetebroplasty
• Choose approach
– Transpedicular
– Parapedicular
– Lateral-transpedicular
– Lateral-antepedicular
• Needle insertion:
– unilateral or
– bilateral
Parapedicular Approach
(lateral to pedicle and above the
transverse process)
This avoids the exiting nerve root (courses under the pedicle)
The needle entry site along the lateral aspect of the vertebra
Does not allow local pressure after needle removal,
the chance for bleeding higher than with the transpedicular approach
Lateral Extrapedicular Approach
utilizes Effective Pedicle
(the rib-pedicle complex)
The instrument must also be angulated more
toward the midline to avoid lateral penetration of
the vertebral body
Transpedicular Approach
Bilateral Transpedicular Approach
Unilateral Transpedicular Vertebroplasty
Injection of bone cement (methyl-methacrylate)
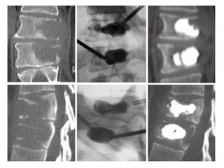
The three steps of vertebroplasty:
1. placement of Needle
2. insertion of a working cannula
3. injection of cement filler
Patient Positioning
Prone position on radiolucent table
Radiolucent chest rolls
Patient Positioning
Make sure patient is lying with comfort
“squared up” on the table
Patient Positioning
Prior to prepping the skin
Check that fluoro is adequate
Localize symptomatic vertebral body level
Beware of deformity and obesity
Preoperative Planning and Set UP
Prepping targeted area
Strict sterile technique
Preoperative Planning and Set UP
Fluoroscopy Guidance
The TRUE image
• Have plane AP and lateral
x-ray films hanging
– Help with determining the
angle of pedicle being targeted
• Place targeted vertebrae in
the middle of image
• Vertebral endplates
parallel
• Line up spinous process
midpoint between
pedicles
– Adjust for rotation in scoliosis
Pedicle Targeting
Spinous process
in midline
End plate seen in single plane
Center targeted
vertebrae
ANATOMIC VARIATIONS
Critically important, particularly in rotated
vertebrae and deformed spines, as in scoliosis
or spondylolisthesis.
Cannulation of small pedicles
technically difficult
In the mid-upper thoracic spine
The change in pedicle angulations at the T1 to T4 levels.
Pre-operative
The pedicle must have a width of at least 3 to 4 mm.
Sclerotic hard pedicles
difficult Jamshidi placement
Can be frustrating
Rarely the technique needs to be abandoned and an
open direct cannulation of the pedicle with a high-
speed drill is required
Entry point & trajectory of needle
insertion in transpedicular approach
Initial Orientation
Technique - Preliminary
Pedicle identified on AP fluoro
Starting point on skin is lateral to the pedicle by 2
cm
Needle Insertion
Locate bony landmarks
Determine exact location of incision with spinal needle
and fluoroscopy first
Advance needle to desired location
using imaging guidance
Pre-operative localization
Mark Entry Points
AP and lat VIEWS
to target and mark the correct
pedicle entry points
Planning and Set UP
Fluoroscopy Guidance
Paramidline incision overlying
transverse process-facet junction
The skin incision is 1 cm lateral of entry point
for L1 to L4, and 2 cm lateral for L5
In case of Obesity
MOVE LATERAL!
Technique
After making a 1.5cm skin incision, the needle is
advanced to the facet/TP intersection
AP Fluoroscopy is KEY
to safe pedicle
navigation. The critical
aspect relates to staying
lateral to the medial
wall. AP Fluoro is the
only view that gives
that information. A
good AP will also give
some sagital plane
information
Pedicle identified
on AP & Lat fluoroscopy
Fluoroscopy of the Lumbar Pedicle
• The lumbar pedicle is
oval shaped
• It should be projected
at the upper third of
the lumbar vertebra
• The AP tube is angled
to find the oval
appearance of the
pedicle for the entry.
Entry point is at the junction of the mid-
transverse process and the lateral edge of
the SAF
Entry Point
 Transpedicular: at 10 & 2 o’clock
at the pedicular rim
 Extrapedicular: at 9 & 3 o’clock,
2 mm lateral to the pedicular ring
Starting point of right transpedicular
access between 1 and 3 o’clock
Starting point of left transpedicular
access between 9 and 11 o’clock
Ending points for transpedicular access
Convergence towards the midline,
which however should not be crossed
Jamshidi needle docked at the
facet/TP Junction
The
''3 o'clock position‘’
Pedicle Entrance
OSTEOPOROSIS
The risk of damaging a pedicle can be decreased
by careful initial placement of the hole and
pedicle screw,
avoiding multiple redirections or passes.
Pedicle Preparation
Tap needle through pedicle
Needle Placement
As the needle is advanced into the pedicle,
the position of the needle tip is checked
frequently in both planes.
On the AP view On the lateral view
The needle tip should not touch the
medial curve of the pedicle which
forms the wall of spinal canal.
The needle should be parallel to
the superior and inferior edge of
the pedicle.
Fluoroscopy of the
lumbar Pedicle
When the needle
reaches the junction of
the vertebral body in
the lateral view,
it should be still a space
between the tip of the
needle and the medial
pedicle in the AP view.
Jamshidi needle advanced and
confirmed with fluoroscopy
Technique
The needle is then advanced through the pedicle
to the dorsal aspect of the vertebral body
The intersection of the
pedicle and vertebral
body is the critical
junction. If the needle is
not medial to the medial
wall when the needle is
at this depth, then a safe
trajectory has been
found.
Key point
Medial pedicle wall at
posterior vertebral body or deeper
Safety for injection
Pictorial of trajectory ‘‘stopping points’’
to ensure safe placement of the Jamshidi needle
ENTRY POINT
MID-PEDICLE
NC JUNCTION
TOO MEDIAL
TOO LATERAL
In most cases
we use a bilateral
approach with
one needle
through left and
another through
the right pedicle
Compare the 2 views
Venogram
Injection of contrast through needle.
Visualize vertebral body and epidural and paraspinal veins.
May predict pattern of cement injection.
Will identify a direct venous communication.
May interfere with visualization of opacified cement.
Epidural leakage
• High, up to 50–70% in osteolytic
metastasis or myeloma
• Mostly asymptomatic; however,
few patients may undergo surgery
because of radiculopathy.
• can occur through
– fracture line,
– cortical destruction,
– needle track, or
– epidural and paravertebral venous
plexus
Pulmonary embolism
• Bone cement via the venous channel can enter the systemic circulation.
• Filtered in the pulmonary circulation system (3–4%)
• Most patients may be asymptomatic.
• If symptomatic, patients complain of
– Tachypnea
– Respiratory difficulty.
• So, tachycardia is monitored.
• Most patients can be treated with anticoagulant therapy and respond
favorably.
Ready to inject cement
Once the needle passes the pedicle into the vertebral body, the
needle tip can be advanced to the junction between anterior
and middle third of the vertebral body.
Then the second needle is placed into the contralateral half of
the vertebra body in a similar fashion.
Procedure: Cement Mixture
• Polymer powder
• Liquid monomer
• Opacifying agent
– Barium sulfate powder
– Tungsten
– Tantalum
• Optional additive:
antibiotic powder
(Tobramycin)
Cement Mixture
• Vacuum mixer
• Limited working time.
– 10-15 minutes depending
on temperature and
cement mixture.
• – Injection devices
– Luer-Lok syringes
– “Jack-screw” hydraulic
injector.
Mixing
First powder polymethylmethacrylate is mixed with barium
sulfate and tobramycin in a sterile plastic bowl.
Then liquid polymethylmeth-acrylate is added and admixtured
by a tongue blade to a dough-like consistency.
The cement is then poured into a 10 ml syringe, and divided
into multiple one-milliliter Luer-Lock syringes.
Integrated Mixing and Delivery System
Goal: no runny
cement or dry
patches
• Let the cement rest until it
begins to thicken.
• This is typically 1½ minutes,
however temperature and
humidity will affect this period.
• Cement consistency is a better
indicator of completion of rest
period.
• When cement is no longer runny
and uniformly coats the inside of
the powder chamber it is ready
to be inserted into reservoir.
Cement Injection
• Meticulous fluoroscopic monitoring during the
injection process.
• Liquefied cement is injected into the vertebral
body.
• Termination of injection.
– Cement in posterior 1/3 vertebral body on lateral
projection.
– Cement extruding into epidural, foraminal or
paraspinal veins.
– Significant disk space penetration.
– Posterior 1/3.
Cement Injection
We use 1 ml syringes attached directly to the
bone biopsy needle to inject the cement.
Meticulous fluoroscopic control is important
for early detection of leakage.
VOLUME OF BONE CEMENT
• From 3 to 10cc;
• Larger volume may not be the most optimal,
• Improvement achieved by use of a lower cement
volume with symmetrical placement.
• Also, with unipedicular approach, the stiffness
comparable to the intact body can be achieved in
cases of symmetrical distribution of bone cement.
Safety for cement injection
The tip at the junction of the anterior and middle
third of the vertebra away from the large venous
confluence in the posterior of the vertebra
The second needle
The white line shows its trajectory
predict the ultimate needle tract
make adjustments
Cement injection is the last step in all levels
Termination of injection ??
Cement in posterior 1/4 of vertebral body on
lateral projection
Cement extending outside vertebra
Completed vertebroplasty
Injection is continued until the vertebral body
is filled. If there is significant leakage, we stop
the injection.
Cement hardening
The patient should remain on the table until the
cement is completely hard (approximately 15
minutes). This can be confirmed by keeping excess
cement in your hand (body temperature).
Video
(Actual Procedure under Local Anesthesia)
Cement delivery trouble
• No flow?
– Clear cannula with blunt stylet
– Check for cement flow through tube prior to reconnect
• Thick cement
– Caused by poor mixing, hot room, humidity, storage too
hot or humid (prolonged)
– Cement sat mixed but not used too long (encourage user
to better time cement use)
• Cement still won’t transfer
– Too much dry powder left from mixing step; more
thorough mixing needed
What does this mean?
• Cement is sensitive to heat and humidity
– Storage conditions should be “cool, dry place”
– OR that are warm (>25°C) will cause cement to thicken and
cut working time
– Working in humid conditions will also shorten working
time
• If your OR is warm (and or humid) you need to work
faster; and store cement in a cool dry place.
Post Operative Care
Dressing at needle site.
Strict bed rest for 2-3 hours.
Monitor vital signs.
Monitor neurologic examination.
Discharge
The patient is discharged 3 hours after the
procedure and follow-up is done the next day,
one week, one month, and six months after the
procedure. Most of the follow-up is done over
the telephone.
Patient Follow-up
• Patient Instructed to call for
– New back pain
– Chest pain
– Lower extremity weakness
– Fever >100 degrees
• Follow-up at 24 hours and 1 week.
Post-operative CT
We use post-operative CT to document the
location of the cement. This is especially
valuable in cases where there has been cement
leakage.
Complications - < 10%
• Neuralgia
• Infection
• Cord compression
• Pulmonary Embolism
• Vascular injury -
haematoma
• Rib fractures
• CSF leakage
• Hypotension
• Increased pain
Extravasation
Extravasation
In conclusion
• PV is a Minimally Invasive Procedure.
• Surgical Technique may be acquired in a
short time.
• PV may be performed on outpatients.
• Excellent tolerance to Local Anesthesia.
• May be combined with instrumental
arthrodesis of the spine.
• Short and Long Term results are
encouraging.
KYPHOPLASTY
• Percutaneous
introduction of balloon
into the vertebral body
through a cannula
– Cannula
– bipedicular approach
– Balloon inflation
– reduce Fx
– balloon deflation
– PMMA
On table reduction !!
The five steps of kyphoplasty:
1. placement of Needle
2. insertion of a working cannula
3. Reaming working channels beyond the cannula tips
4. Balloon insertion, inflation, deflation, and removal
5. injection of void filler
Vertebra Plana
Pre Post 1y 3y
Kyphoplasty
It is important to fill the anterior 2/3–3/4
of the vertebral body
Cement should reach or cross the midline to
reinforce both halves of the vertebra (white
arrows)
A Unipedicular PV
shows distribution of cement into
both halves of the vertebra
Inflatable ballon in the midline of the fractured body
Tip of the guide pin over the center of the vertebral body
Transpedicular
Transpedicular
Transpedicular
Oblique View
Biopsy
Drill and Curette
Balloon Tamps
Cement Injection
Extrapedicular
Extrapedicular
Biopsy
Oblique View
Wong W, Mathis JM. Vertebroplasty and kyphoplasty: techniques for avoiding complications and pitfalls.
Neurosurg Focus 18 (3):E2, 2005.
Extrapedicular
Balloon Tamps
Cement
Kyphoplasty – “The Good”
• A modification of
the vertebroplasty
procedure to:
– restore vertebral
body height
– Low risk of clinically
evident cement
extravasation.
Kyphoplasty – “The Bad”
There is still a risk of extravasation
Close analysis of literature indicates
height restorations as an insignificant result.!!!
Kyphoplasty – “The Ugly”
The big question,
“Is this cost justified (when compared to
vertebroplasty) for the added safety?”
Most studies are retrospective analyses.
This is an area ripe for further analysis.
Kyphoplasty Vs vertebroplasty
Technical Aspects of
Percutaneous
VP and KP procedures
The Neurosurgeon’s perspective
Percutaneous VP and KP
Simple procedures
However, must be treated with respect, as
its application, without appropriate
preparation and physician knowledge, can
quickly produce increased pain,
permanent neurologic injury, and even
death
Pearls and Pitfalls
Cement Extrusion
Kyphoplasty with small amount of anterior
(white arrow) and lateral (black arrow) cement extrusion
rarely associated with clinical sequelae
However, leakage may be significant !!
To prevent rare significant neurologic deficit associated
with PVP, intact posterior vertebral body cortex is one
of the most important prerequisite that must be
thoroughly confirmed preoperatively
Cement too liquid when injected tracked
backward along the needle path leaving
cement in the soft tissues
In myeloma and osteolytic
metastases
Complete destruction of
the posterior cortical wall
Special techniques in cases of
myeloma and osteolytic metastases
• The risk of cement leakage is greater,
– the egg-shell technique should be preferred to the
conventional balloon kyphoplasty technique
• Pedicles may be affected by osteolysis,
making transpedicular access no longer safe
– a contralateral single approach via a still intact
pedicle or
– an extrapedicular approach can be chosen.
• The possibility of dislocation of the cement
block has to be taken into account if the
anterior cortical substance is missing
Tumour migration with cement
injection
Dislocation of the cement
Vertebroplasty of T12 with osteolysis and unknown
primary tumor with ventral dislocation of the
cement beginning after 3 weeks
9 months 2 years3 weeksIntraop.
Cement dislodgement 6 months after the
percutaneous vertebroplasty
Pre Post 1y 3y
C7 & T1 Visualization
fluoroscopically impossible
shoulders
very small epidural leak of
cement (CT guided PV)
Leakage into inferior disc
(No clinical consequence)
Cement leak into the disc space (arrow).
The cement was allowed to harden and the
cannula exchanged over a wire so that
subsequent cement injection could take
place
The severe collapse
extreme compression of T12 with residual
marrow space
Height restoration with traction
A bilateral transpedicular approach
Pedicle of collapsed vertebra seen
Trajectory through the lower aspect of the
pedicle parallel to the residual endplates to
access the anterior part of the vertebral body
The amount of cement into an extremely
collapsed vertebra much smaller than is
usually used for less collapsed vertebrae
Digital subtraction venogram
The contrast leak is not predictive of where the cement go.
Also, the contrast obscures detection of early cement leak
Difficult Reductions:
Balloon does not inflate adequately
Using the Bone Curette
• in older fractures
• a specially designed curette retracted and
advanced to score the bone in the region.
• The curette is removed, and balloon
inflation is again attempted.
Standard balloons, eccentric expansion with risk of
blowout of the vertebral walls or endplates
a directional balloon tamp may be desired
Vertebral Body Breakthrough:
Eggshell Technique
of Containing Bone Cement
Partial loss of reduction after
balloons deflated … Lordoplasty
(indirect reduction maneuver)
Burst fracture of L1
With good reduction one month after
instrumentation removal
(18 months posttrauma)
Sacroplasty
Sacral insufficiency fractures
Best performed under CT guidance.
PEDICULOPLASTY
Developments…..
• Calcium phosphate in
young patients with
traumatic fractures
• Prophylaxis by
adding chemotherapy
agents or radioactive
isotopes to the
cement in tumour
Vertebroplasty and KyphoplastyTechniques
Vertebroplasty and KyphoplastyTechniques
Vertebroplasty and KyphoplastyTechniques

Vertebroplasty and Kyphoplasty Techniques

  • 1.
    Vertebroplasty and Kyphoplasty Techniques MohamedMohi Eldin, Professor of Neurosurgery, Faculty of Medicine, Cairo University One-Day Spine Clinic 4th workshop & hands-on, 27-28 December 2017
  • 2.
    PEDICLE DEFINITION, L1VERTEBRA Wire wrapped around the waist of the pedicle
  • 3.
    PEDICLE DEFINITION, L1VERTEBRA The A-P image of the pedicle corresponds to the waist of the pedicle, not the base
  • 4.
    PEDICLE DEFINITION, T10VERTEBRA T10T10
  • 5.
    Vertebral Augmentation Vertebroplasty (1984): Injectionof material (usually PMMA cement) into vertebral body Kyphoplasty (1998): Injection after manipulation involving cavity creation
  • 6.
    Pain associated with Compressionvertebral fractures • Primary osteoporosis • steroid-induced osteoporosis • Neoplastic-induced fracture • Sub-acute traumatic collapse • Vertebral angiomas • Symptomatic microfracture [MRI] • Lytic lesion [CT] without loss of vertebral height
  • 7.
  • 8.
    Predictors of fracture 19.2%a second fracture within one year 24% a further fracture within a year
  • 9.
    We use MRIfor Preoperative evaluation of vertebroplasty in all patients unless contraindicated Precontrast sagittal T1, fat suppressed T2-weighted and postcontrast sagittal fat suppressed T1-weighted images
  • 10.
    Vertebroplasty – howto do it MRI of Acute Compression Fracture T8 Plain film T8 T2W T8 T1W post-Gd showing a significantly enhanced T8 indicating a recent fracture. T9 is a chronic fracture and does not need vertebroplasty.
  • 11.
    Pre-Operative Bone Scan •In patients who cannot have an MRI • In identifying which fractures are more acute in nature and most likely to contribute to the patient’s symptoms. T8
  • 12.
    Patient selection The keyto success of vertebroplasty • Pain should be – focal, – intense, – deep, – local tenderness – corresponding with imaging findings, – No radiation to the legs.
  • 13.
    Medicolegal • The procedureis discussed – with the patient and/or family, – benefits, risks, and possible complications are explained. • Obtain informed consent.
  • 14.
    Before discussing thetechnique.. Possible complications..? • Bleeding • Infection • Fracture of the pedicle • Damage to the nerve roots or spinal cord • Worsening of symptoms • Spinal cord or nerve root compression (radiculopathy) from cement leakage • Pulmonary embolism
  • 15.
    For treatment ofpotential complications We should have • Immediate access to: – CT Scan and / or MRI. – ICU. – Operating Room.
  • 16.
    Instruments and tablesetting We use 13-gauge bone biopsy needles
  • 18.
    Cement, barium andtobramycin cranioplastic mixture (30g), sterile barium sulfate powder (12g), and tobramycin (1.2g).
  • 19.
    Vertebroplasty Imaging • Highquality fluoroscopy – Biplane – Single plane – C-arm • Computed tomography – CT and fluoroscopy
  • 20.
  • 21.
    Combined CT andmobile fluoroscopy SETUP
  • 22.
    High quality fluoroscopy Fixed“C” Arm • Easier operation • Better imaging quality • High cost • Availability..!? Mobile “C” Arm • More difficult operation • Less image quqlity • Lower cost • More available
  • 23.
    Procedure: Anesthesia • Intravenoussedation – Sedation: midazolam – Analgesia: fentanyl • Local – 1% Lidocaine – 0.5% Bupivicaine on bone • General anesthesia – Rarely required Local GeneralNeurolepto Selection will depend on surgeon’s experience and characteristics of patient.
  • 24.
    Main advantages ofLocal Anesthesia Allows surgeon to communicate with patient Benefits Early diagnosis of lesions (radicular / pleural) which might not be diagnosed otherwise. • Determine cement injection speed. • Anticipate corrective measures. • Abort the procedure.
  • 25.
    During Local Anesthesia 1.Ancef 1g IV is given pre-operatively 2. Oxygen mask – provide sensation of comfort to patient
  • 26.
    Patient Monitoring • Nursing •Intravenous line • Continuous Intraoperative monitoring – ECG. – O2 Saturation (early diagnosis of pleural lesion). – Pressurometry (occasional vagal reaction).
  • 27.
    Vertebral Approaches (will varyaccording to surgeon’s specialty and experience) • Cervical Spine: Anterior • Dorsal Spine: Transpedicular • Lumbar Spine: Transpedicular Lateral
  • 28.
    Anterior Cervical Approach Manualdisplacement of the carotid–jugular complex Guide needle insertion Needle position can be confirmed with CT.
  • 29.
  • 31.
    C3 VP formetastasis The needle was inserted with finger compression of the visceral tissue (left). Bone cement was injected into the C3 vertebral body, and simultaneously an esophagogram was performed to check the esophageal injury (middle). Postoperative lateral view (right).
  • 32.
    Thoraco-lumbar Vetebroplasty • Chooseapproach – Transpedicular – Parapedicular – Lateral-transpedicular – Lateral-antepedicular • Needle insertion: – unilateral or – bilateral
  • 33.
    Parapedicular Approach (lateral topedicle and above the transverse process) This avoids the exiting nerve root (courses under the pedicle) The needle entry site along the lateral aspect of the vertebra Does not allow local pressure after needle removal, the chance for bleeding higher than with the transpedicular approach
  • 34.
    Lateral Extrapedicular Approach utilizesEffective Pedicle (the rib-pedicle complex) The instrument must also be angulated more toward the midline to avoid lateral penetration of the vertebral body
  • 35.
  • 36.
  • 37.
    Unilateral Transpedicular Vertebroplasty Injectionof bone cement (methyl-methacrylate)
  • 38.
    The three stepsof vertebroplasty: 1. placement of Needle 2. insertion of a working cannula 3. injection of cement filler
  • 39.
    Patient Positioning Prone positionon radiolucent table Radiolucent chest rolls
  • 40.
    Patient Positioning Make surepatient is lying with comfort “squared up” on the table
  • 41.
    Patient Positioning Prior toprepping the skin Check that fluoro is adequate Localize symptomatic vertebral body level Beware of deformity and obesity
  • 42.
    Preoperative Planning andSet UP Prepping targeted area Strict sterile technique
  • 43.
    Preoperative Planning andSet UP Fluoroscopy Guidance The TRUE image
  • 44.
    • Have planeAP and lateral x-ray films hanging – Help with determining the angle of pedicle being targeted • Place targeted vertebrae in the middle of image • Vertebral endplates parallel • Line up spinous process midpoint between pedicles – Adjust for rotation in scoliosis Pedicle Targeting Spinous process in midline End plate seen in single plane Center targeted vertebrae
  • 45.
    ANATOMIC VARIATIONS Critically important,particularly in rotated vertebrae and deformed spines, as in scoliosis or spondylolisthesis.
  • 46.
    Cannulation of smallpedicles technically difficult In the mid-upper thoracic spine The change in pedicle angulations at the T1 to T4 levels. Pre-operative The pedicle must have a width of at least 3 to 4 mm.
  • 47.
    Sclerotic hard pedicles difficultJamshidi placement Can be frustrating Rarely the technique needs to be abandoned and an open direct cannulation of the pedicle with a high- speed drill is required
  • 48.
    Entry point &trajectory of needle insertion in transpedicular approach
  • 49.
  • 50.
    Technique - Preliminary Pedicleidentified on AP fluoro Starting point on skin is lateral to the pedicle by 2 cm
  • 51.
    Needle Insertion Locate bonylandmarks Determine exact location of incision with spinal needle and fluoroscopy first Advance needle to desired location using imaging guidance
  • 52.
    Pre-operative localization Mark EntryPoints AP and lat VIEWS to target and mark the correct pedicle entry points
  • 53.
    Planning and SetUP Fluoroscopy Guidance
  • 55.
  • 56.
    The skin incisionis 1 cm lateral of entry point for L1 to L4, and 2 cm lateral for L5
  • 57.
    In case ofObesity MOVE LATERAL!
  • 58.
    Technique After making a1.5cm skin incision, the needle is advanced to the facet/TP intersection AP Fluoroscopy is KEY to safe pedicle navigation. The critical aspect relates to staying lateral to the medial wall. AP Fluoro is the only view that gives that information. A good AP will also give some sagital plane information
  • 59.
    Pedicle identified on AP& Lat fluoroscopy
  • 60.
    Fluoroscopy of theLumbar Pedicle • The lumbar pedicle is oval shaped • It should be projected at the upper third of the lumbar vertebra • The AP tube is angled to find the oval appearance of the pedicle for the entry.
  • 61.
    Entry point isat the junction of the mid- transverse process and the lateral edge of the SAF
  • 62.
    Entry Point  Transpedicular:at 10 & 2 o’clock at the pedicular rim  Extrapedicular: at 9 & 3 o’clock, 2 mm lateral to the pedicular ring
  • 63.
    Starting point ofright transpedicular access between 1 and 3 o’clock
  • 64.
    Starting point ofleft transpedicular access between 9 and 11 o’clock
  • 65.
    Ending points fortranspedicular access Convergence towards the midline, which however should not be crossed
  • 66.
    Jamshidi needle dockedat the facet/TP Junction The ''3 o'clock position‘’
  • 67.
  • 68.
    OSTEOPOROSIS The risk ofdamaging a pedicle can be decreased by careful initial placement of the hole and pedicle screw, avoiding multiple redirections or passes.
  • 69.
  • 70.
    Needle Placement As theneedle is advanced into the pedicle, the position of the needle tip is checked frequently in both planes.
  • 71.
    On the APview On the lateral view The needle tip should not touch the medial curve of the pedicle which forms the wall of spinal canal. The needle should be parallel to the superior and inferior edge of the pedicle.
  • 72.
    Fluoroscopy of the lumbarPedicle When the needle reaches the junction of the vertebral body in the lateral view, it should be still a space between the tip of the needle and the medial pedicle in the AP view.
  • 73.
    Jamshidi needle advancedand confirmed with fluoroscopy
  • 74.
    Technique The needle isthen advanced through the pedicle to the dorsal aspect of the vertebral body The intersection of the pedicle and vertebral body is the critical junction. If the needle is not medial to the medial wall when the needle is at this depth, then a safe trajectory has been found. Key point Medial pedicle wall at posterior vertebral body or deeper
  • 75.
    Safety for injection Pictorialof trajectory ‘‘stopping points’’ to ensure safe placement of the Jamshidi needle
  • 76.
  • 77.
  • 78.
  • 79.
  • 80.
  • 82.
    In most cases weuse a bilateral approach with one needle through left and another through the right pedicle
  • 83.
  • 84.
    Venogram Injection of contrastthrough needle. Visualize vertebral body and epidural and paraspinal veins. May predict pattern of cement injection. Will identify a direct venous communication. May interfere with visualization of opacified cement.
  • 85.
    Epidural leakage • High,up to 50–70% in osteolytic metastasis or myeloma • Mostly asymptomatic; however, few patients may undergo surgery because of radiculopathy. • can occur through – fracture line, – cortical destruction, – needle track, or – epidural and paravertebral venous plexus
  • 86.
    Pulmonary embolism • Bonecement via the venous channel can enter the systemic circulation. • Filtered in the pulmonary circulation system (3–4%) • Most patients may be asymptomatic. • If symptomatic, patients complain of – Tachypnea – Respiratory difficulty. • So, tachycardia is monitored. • Most patients can be treated with anticoagulant therapy and respond favorably.
  • 88.
    Ready to injectcement Once the needle passes the pedicle into the vertebral body, the needle tip can be advanced to the junction between anterior and middle third of the vertebral body. Then the second needle is placed into the contralateral half of the vertebra body in a similar fashion.
  • 89.
    Procedure: Cement Mixture •Polymer powder • Liquid monomer • Opacifying agent – Barium sulfate powder – Tungsten – Tantalum • Optional additive: antibiotic powder (Tobramycin)
  • 90.
    Cement Mixture • Vacuummixer • Limited working time. – 10-15 minutes depending on temperature and cement mixture. • – Injection devices – Luer-Lok syringes – “Jack-screw” hydraulic injector.
  • 91.
    Mixing First powder polymethylmethacrylateis mixed with barium sulfate and tobramycin in a sterile plastic bowl. Then liquid polymethylmeth-acrylate is added and admixtured by a tongue blade to a dough-like consistency. The cement is then poured into a 10 ml syringe, and divided into multiple one-milliliter Luer-Lock syringes.
  • 92.
    Integrated Mixing andDelivery System
  • 93.
    Goal: no runny cementor dry patches • Let the cement rest until it begins to thicken. • This is typically 1½ minutes, however temperature and humidity will affect this period. • Cement consistency is a better indicator of completion of rest period. • When cement is no longer runny and uniformly coats the inside of the powder chamber it is ready to be inserted into reservoir.
  • 94.
    Cement Injection • Meticulousfluoroscopic monitoring during the injection process. • Liquefied cement is injected into the vertebral body. • Termination of injection. – Cement in posterior 1/3 vertebral body on lateral projection. – Cement extruding into epidural, foraminal or paraspinal veins. – Significant disk space penetration. – Posterior 1/3.
  • 95.
    Cement Injection We use1 ml syringes attached directly to the bone biopsy needle to inject the cement. Meticulous fluoroscopic control is important for early detection of leakage.
  • 96.
    VOLUME OF BONECEMENT • From 3 to 10cc; • Larger volume may not be the most optimal, • Improvement achieved by use of a lower cement volume with symmetrical placement. • Also, with unipedicular approach, the stiffness comparable to the intact body can be achieved in cases of symmetrical distribution of bone cement.
  • 97.
    Safety for cementinjection The tip at the junction of the anterior and middle third of the vertebra away from the large venous confluence in the posterior of the vertebra
  • 98.
    The second needle Thewhite line shows its trajectory predict the ultimate needle tract make adjustments
  • 99.
    Cement injection isthe last step in all levels
  • 100.
    Termination of injection?? Cement in posterior 1/4 of vertebral body on lateral projection Cement extending outside vertebra
  • 101.
    Completed vertebroplasty Injection iscontinued until the vertebral body is filled. If there is significant leakage, we stop the injection.
  • 102.
    Cement hardening The patientshould remain on the table until the cement is completely hard (approximately 15 minutes). This can be confirmed by keeping excess cement in your hand (body temperature).
  • 103.
  • 104.
    Cement delivery trouble •No flow? – Clear cannula with blunt stylet – Check for cement flow through tube prior to reconnect • Thick cement – Caused by poor mixing, hot room, humidity, storage too hot or humid (prolonged) – Cement sat mixed but not used too long (encourage user to better time cement use) • Cement still won’t transfer – Too much dry powder left from mixing step; more thorough mixing needed
  • 105.
    What does thismean? • Cement is sensitive to heat and humidity – Storage conditions should be “cool, dry place” – OR that are warm (>25°C) will cause cement to thicken and cut working time – Working in humid conditions will also shorten working time • If your OR is warm (and or humid) you need to work faster; and store cement in a cool dry place.
  • 106.
    Post Operative Care Dressingat needle site. Strict bed rest for 2-3 hours. Monitor vital signs. Monitor neurologic examination.
  • 107.
    Discharge The patient isdischarged 3 hours after the procedure and follow-up is done the next day, one week, one month, and six months after the procedure. Most of the follow-up is done over the telephone.
  • 108.
    Patient Follow-up • PatientInstructed to call for – New back pain – Chest pain – Lower extremity weakness – Fever >100 degrees • Follow-up at 24 hours and 1 week.
  • 109.
    Post-operative CT We usepost-operative CT to document the location of the cement. This is especially valuable in cases where there has been cement leakage.
  • 110.
    Complications - <10% • Neuralgia • Infection • Cord compression • Pulmonary Embolism • Vascular injury - haematoma • Rib fractures • CSF leakage • Hypotension • Increased pain
  • 111.
  • 112.
  • 113.
    In conclusion • PVis a Minimally Invasive Procedure. • Surgical Technique may be acquired in a short time. • PV may be performed on outpatients. • Excellent tolerance to Local Anesthesia. • May be combined with instrumental arthrodesis of the spine. • Short and Long Term results are encouraging.
  • 116.
    KYPHOPLASTY • Percutaneous introduction ofballoon into the vertebral body through a cannula – Cannula – bipedicular approach – Balloon inflation – reduce Fx – balloon deflation – PMMA
  • 117.
  • 118.
    The five stepsof kyphoplasty: 1. placement of Needle 2. insertion of a working cannula 3. Reaming working channels beyond the cannula tips 4. Balloon insertion, inflation, deflation, and removal 5. injection of void filler
  • 121.
  • 122.
  • 124.
  • 126.
    It is importantto fill the anterior 2/3–3/4 of the vertebral body
  • 127.
    Cement should reachor cross the midline to reinforce both halves of the vertebra (white arrows)
  • 128.
    A Unipedicular PV showsdistribution of cement into both halves of the vertebra
  • 129.
    Inflatable ballon inthe midline of the fractured body Tip of the guide pin over the center of the vertebral body
  • 130.
  • 131.
  • 132.
  • 133.
  • 134.
  • 135.
  • 136.
  • 137.
  • 138.
  • 139.
  • 140.
  • 141.
  • 142.
    Wong W, MathisJM. Vertebroplasty and kyphoplasty: techniques for avoiding complications and pitfalls. Neurosurg Focus 18 (3):E2, 2005. Extrapedicular
  • 143.
  • 144.
  • 145.
    Kyphoplasty – “TheGood” • A modification of the vertebroplasty procedure to: – restore vertebral body height – Low risk of clinically evident cement extravasation.
  • 146.
    Kyphoplasty – “TheBad” There is still a risk of extravasation Close analysis of literature indicates height restorations as an insignificant result.!!!
  • 147.
    Kyphoplasty – “TheUgly” The big question, “Is this cost justified (when compared to vertebroplasty) for the added safety?” Most studies are retrospective analyses. This is an area ripe for further analysis.
  • 148.
  • 149.
    Technical Aspects of Percutaneous VPand KP procedures The Neurosurgeon’s perspective
  • 150.
    Percutaneous VP andKP Simple procedures However, must be treated with respect, as its application, without appropriate preparation and physician knowledge, can quickly produce increased pain, permanent neurologic injury, and even death
  • 151.
  • 152.
    Cement Extrusion Kyphoplasty withsmall amount of anterior (white arrow) and lateral (black arrow) cement extrusion rarely associated with clinical sequelae
  • 153.
    However, leakage maybe significant !!
  • 154.
    To prevent raresignificant neurologic deficit associated with PVP, intact posterior vertebral body cortex is one of the most important prerequisite that must be thoroughly confirmed preoperatively
  • 155.
    Cement too liquidwhen injected tracked backward along the needle path leaving cement in the soft tissues
  • 156.
    In myeloma andosteolytic metastases Complete destruction of the posterior cortical wall
  • 157.
    Special techniques incases of myeloma and osteolytic metastases • The risk of cement leakage is greater, – the egg-shell technique should be preferred to the conventional balloon kyphoplasty technique • Pedicles may be affected by osteolysis, making transpedicular access no longer safe – a contralateral single approach via a still intact pedicle or – an extrapedicular approach can be chosen. • The possibility of dislocation of the cement block has to be taken into account if the anterior cortical substance is missing
  • 158.
    Tumour migration withcement injection
  • 159.
    Dislocation of thecement Vertebroplasty of T12 with osteolysis and unknown primary tumor with ventral dislocation of the cement beginning after 3 weeks 9 months 2 years3 weeksIntraop.
  • 160.
    Cement dislodgement 6months after the percutaneous vertebroplasty
  • 161.
  • 162.
    C7 & T1Visualization fluoroscopically impossible shoulders very small epidural leak of cement (CT guided PV)
  • 163.
    Leakage into inferiordisc (No clinical consequence)
  • 164.
    Cement leak intothe disc space (arrow). The cement was allowed to harden and the cannula exchanged over a wire so that subsequent cement injection could take place
  • 165.
    The severe collapse extremecompression of T12 with residual marrow space
  • 166.
  • 167.
    A bilateral transpedicularapproach Pedicle of collapsed vertebra seen Trajectory through the lower aspect of the pedicle parallel to the residual endplates to access the anterior part of the vertebral body
  • 168.
    The amount ofcement into an extremely collapsed vertebra much smaller than is usually used for less collapsed vertebrae
  • 169.
    Digital subtraction venogram Thecontrast leak is not predictive of where the cement go. Also, the contrast obscures detection of early cement leak
  • 170.
    Difficult Reductions: Balloon doesnot inflate adequately Using the Bone Curette • in older fractures • a specially designed curette retracted and advanced to score the bone in the region. • The curette is removed, and balloon inflation is again attempted.
  • 171.
    Standard balloons, eccentricexpansion with risk of blowout of the vertebral walls or endplates a directional balloon tamp may be desired
  • 172.
    Vertebral Body Breakthrough: EggshellTechnique of Containing Bone Cement
  • 173.
    Partial loss ofreduction after balloons deflated … Lordoplasty (indirect reduction maneuver)
  • 175.
    Burst fracture ofL1 With good reduction one month after instrumentation removal (18 months posttrauma)
  • 176.
  • 177.
  • 178.
    Developments….. • Calcium phosphatein young patients with traumatic fractures • Prophylaxis by adding chemotherapy agents or radioactive isotopes to the cement in tumour