Embed presentation
Downloaded 238 times














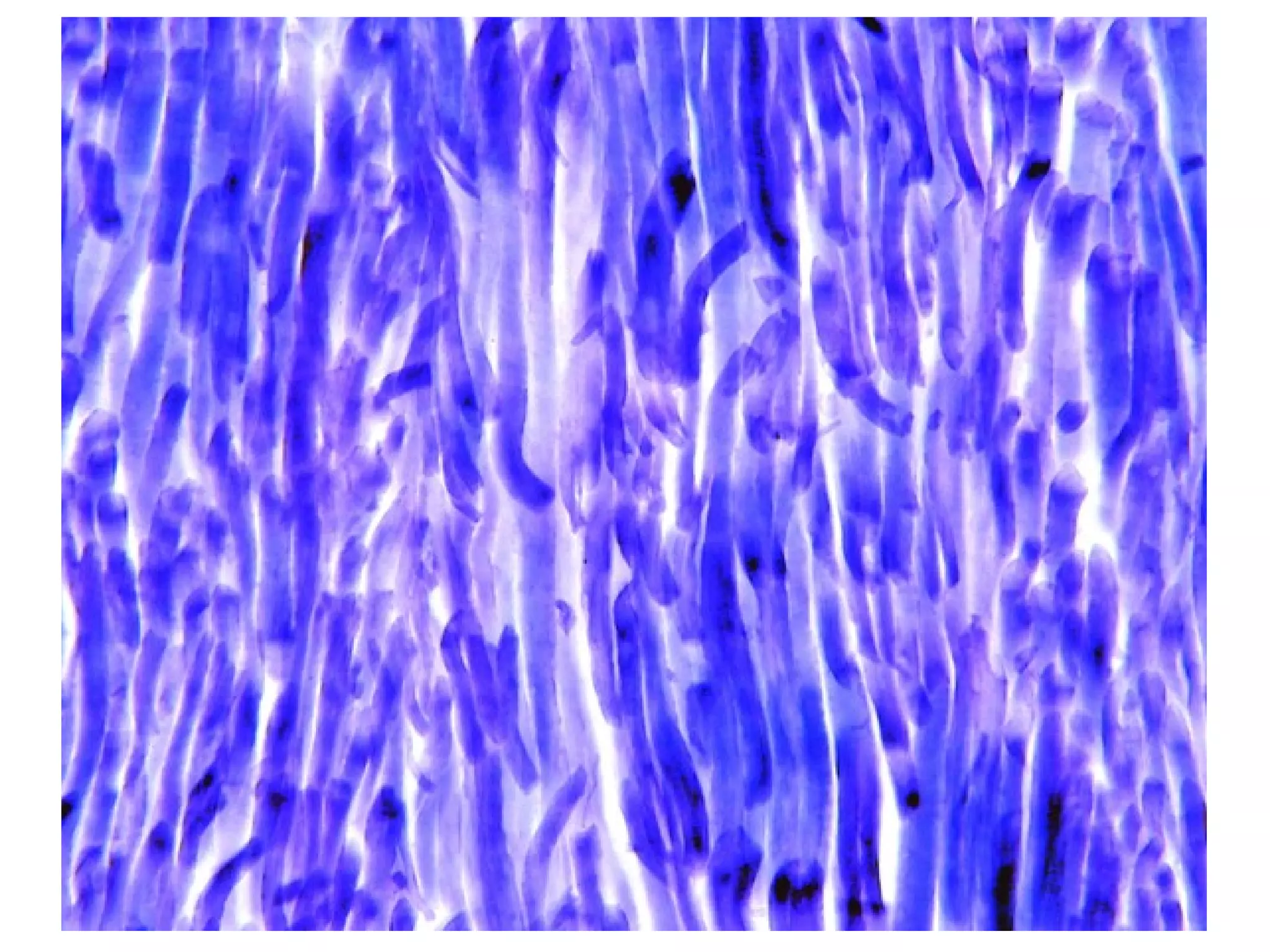
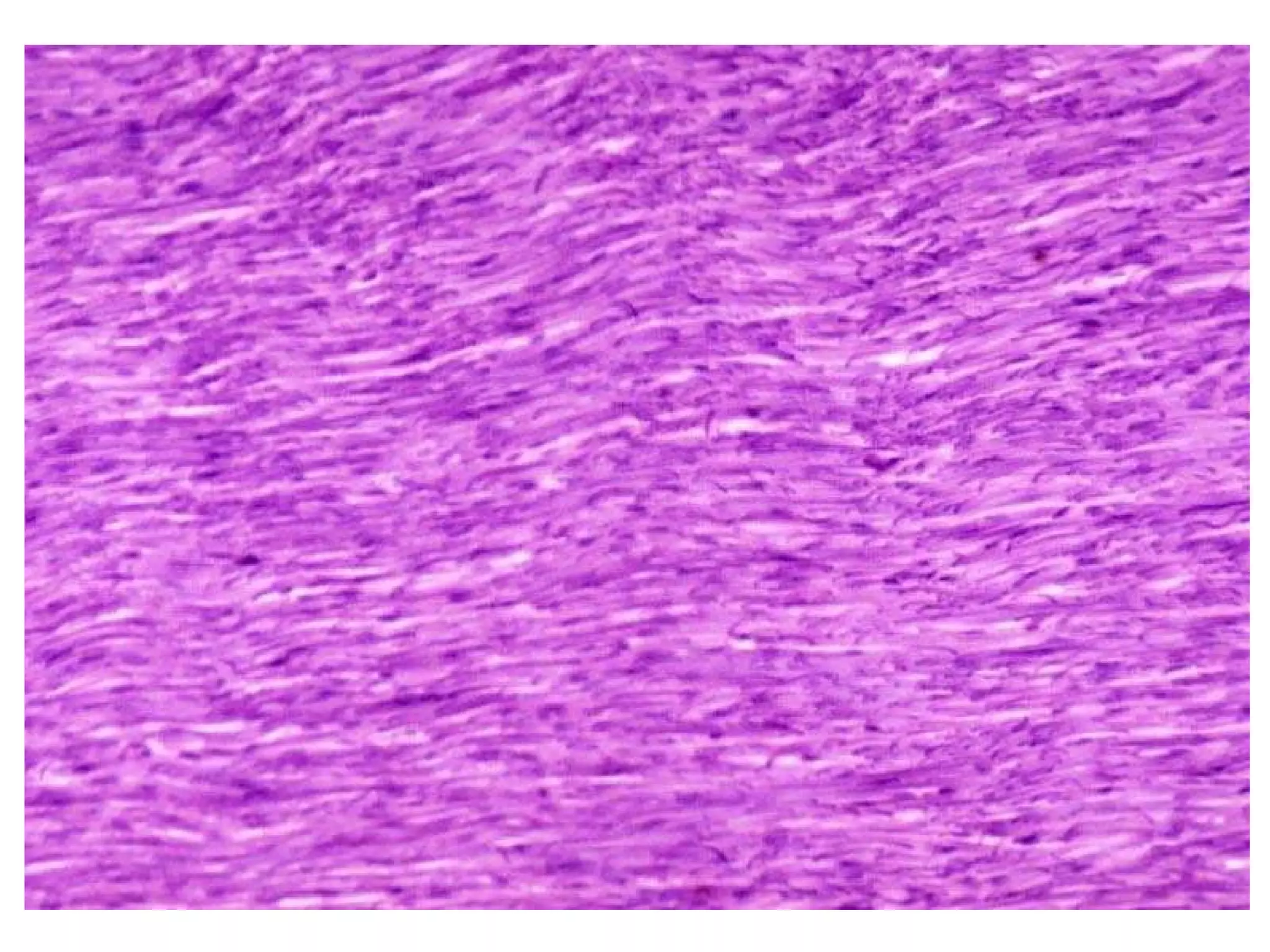
Tendons consist of parallel bundles of collagen fibers that provide great tensile strength to anchor muscles to bones. Ligaments contain bundles of elastic fibers and some collagen, making them more flexible than tendons but offering less strength to hold bones together. Fibroblasts secrete the fibers and ground substance of connective tissue and are called fibrocytes when not actively engaged in synthesis. The poor blood supply to tendons and ligaments affects their behavior in the body.













