SRS/SBRT
MAHATMA GANDHI CANCER HOSPITAL AND
RESEARCH INSTITUTE, VISAKHAPATNAM
OUR EXPERINCE OF FIRST 50 CASES
DR KANHU CHARAN PATRO
1
WHAT IS SRS/SBRT?
• Stereotactic radiosurgery (SRS) uses many precisely
focused radiation beams to treat tumors and other
problems in the brain, neck, lungs, liver, spine and
other parts of the body.
• It is not surgery in the traditional sense because
there's no incision.
• SRS is for cranial
• SBRT for extracranial
2
THE DIFFERNCE CONVENTIONAL VS STEREOTAXY
E. H. Balagamwala/Technology in Cancer Research and Treatment/2012 3
The duo
• High dose
• Strict immobilization
4
5
• Massive vascular damage causes indirect tumor death-it is endothelial cell
inflammation and apoptosis via the sphingomyelin pathway causing
subsequent microvascular dysfunction that are the triggers for tumor cell
death
• 4 r of radiobiology in different manner
• No Repair after ablative dose
• Treatment is for short period no chance of Repopulation
• No Reoxygenation of hypoxic cells due to massive vascular destruction by
SRS/SBRT
• Redistribution dose not happen as more cells die because of massive cell
death
• Massive immunogenic reaction
• Abscopal effect
RADIOBIOLOGY BEHIND STEROTAXY
6
The spectrum
• SRS
– Smaller lesion usually less than 3 cm.
– Single fraction
• FRACTIONATED SRS
– Relatively larger tumor
– 1 to 5 fractions
• SRT
– Larger tumor usually more than 3 cm
– Close to vital structures
7
The spectrum
• Malignant
– Metastasis
– Recurrent Gliomas
• Benign
– Arteriovenous Malformation
– Vestibular Schwannoma
– Pituitary
– Cavernomas
• Functional
– Trigeminal Neuralgia
– Tremor
– Epileptic Focus
8
The wide spectrum
Cranial
– Metastasis
• De novo
• After WBRT
– Arteriovenous malformation
– Vestibular schwannoma
– Reirradiation glioma
– Glomus jugularae
– Hamartoma
– Cavernoma
– Meningioma
– Trigeminal neuralgia
– Tremor
– Epilepsy
Extracranial
– Bone metastasis
– Prostate
– Lung primary/ metastasis
– Pancreas
– Adrenal metastasis
– Liver metastasis/HCC
– Spine metastasis
– Nodal recurrence
– Head and neck reirradiation
9
• Malignant cases -- Weeks to months
• Benign cases -- Months to years
• Functional cases -- Days
• Different criteria for different tumors e.g
– RECIST
– PERCIST
– RANO
– And many more
RESPONSE EVALUATION
10
WHAT are the requirements?
• Micro MLC/cone
• Planning system
• Imaging
• Immobilization
• Respiratory Motion management system
• QA accessories
• CBCT
• Protocols
11
WHAT we have – machine
12
WHAT we have – micro MLC
13
WHAT we have – CONE
14
WHAT we have – immobilization
15
FRAXION
WHAT we have – immobilization
16
WHAT we have – motion management
17
SYMMETRY
WHAT we have – motion management
18
Abdominal compression
We have – ABC
19
ABC- ACTIVE BREATH COORDINATOR
• CT
• PETCT
– DOTA
– PSMA
– FDG
• MRI
IMAGING WE HAVE
20
WHAT we have – planning system
21
WHAT we have? – Ray Search planning system
22
FIRST IN INDIA-PHOTON
WHAT we have – verification system
23
• CBCT CORRECTIONS
Set-up verification-CBCT
24
WHAT we have – Hexapod
25
• HEXAPOD CORRECTIONS
Set-up verification- HEXAPOD
26
• MECHANICAL ISOCENTER CHECK
– WINSTON LUTZ TEST
• POINT DOSE VERIFICATION
• TOLERANCE-1MM
Travis R. Denton/JOURNAL OF APPLIED CLINICAL MEDICAL PHYSICS/2015
QA part
27
28
What we follow?
29
30
31
32
Approval
Started on July 2019
33
Cases completed till today
34
Cases completed till today
35
 Brain metastasis 16
 Brain metastasis after whole brain RT 8
 Brain metastasis cavity SRS 3
 Vestibular schwannoma 5
 Arteriovenous malformation 1
 Meningioma 5
 Pituitary 1
 Spine metastasis 3
 Bone metastasis 1
 Cranial cavernoma 2
 Liver metastasis 3
 Hepatocellular carcinoma 1
 Lung cancer 1
 Nodal recurrence 1
TOTAL 51
OUR STEREOTAXY EXPERIENCE
36
BRAIN METASTASIS SRS
CASE-1
37
• NAME
• UMR
• PRESENTATION • 70 YEAR FEMALE
• TRIPLE NEGATIVE BREAST CANCER
• POST MRM
• POST RT/CHEMO
• 6 MONTH FOLLOW UP
• PRESENTED WITH HEADACHE AND GIDDINESS
• MRI • 2.2cm x2.2 cm LESION
• LT.OCCIPITAL LOBE
• RING ENHANCEMENT
• NO MASS EFFECT
• NO MID LINE SHIFT
• MINIMAL EDEMA
• PET CT • MULTIPLE LUNG NODULES
• BRAIN LESION INCREASED Uptake
• SRS • SRS
• 18Gy/1#
Case details
38
Pre SRS
39
SRS PALN
40
POST SRS 3 MONTHS
41
BRAIN METASTASIS CAVITY SRS
CASE-2
42
• NAME
• UMR
• PRESENTATION • SEIZURES, UNCONSCIOUS
• MRI • 3.2X3.2CM, LEFT OCCIPITAL LOBE,EDEMA,CONTRAST
ENHANCEMNET
• SURGERY • TOTAL EXCISON
• BIOPSY • METASTATIC PAPILLARY ADENOCARCINOMA
• PET CT • RT LUNG LESION
• MULTIPLE NODULE BOTH LUNG
• LESION IN BRAIN
• MEDIASTINAL NODE
• SRS • CAVITY SRS 30Gy/5#
• IHC • EGFR+VE
• EXON21 MUTATION
• ALK NEG
• TTF1 +VE
• CHEMO • PEMETRXED AND CARBOPLATIN
• OMERTINIB 80MG
Case details
43
Pre op
44
Post op 1 month
45
46
FRACTIONATED SRS
• ADJACENT DURA and
SURGICAL TRACT
• BONE FLAP INNER PART
• CAVITY PROPER
• DURAL SINUS
• ENHANCING COMPONENT
Post RT 3 months
47
VESTIBULAR SCHWANNOMA SRS
CASE-3
48
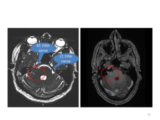
• NAME
• UMR
• PRESENTATION • 59 year male
• Diagnosed case of vestibular schwannoma
• Right side
• P/w Slight decreasing in hearing loss-4 - 5 months
• No facial numbness
• MRI • Intracanalicular and extra canalicular component
• Touching brainstem
• No cystic component
• Minimal enhancing
• Impending 5th nerve
• SRS • SRS
• 25Gy/5#
Case details
49
LT. Fifth
nerve
RT. Fifth
nerve
50
Beam arrangement
51
6MONTH FOLLW UP
52
NODAL RECURRENCE SBRT
CASE- 4
53
• NAME
• UMR
• Diagnosis • Cancer cervix with common iliac node
• RADIATION • EBRT –VMAT SIB 50Gy/25# -56Gy/28#
• REGULAR FOLLOW UP • Post RT 3month - CR
• Presented with • DVT and left leg pain
• PET • Nodal recurrence same area
• Planned SBRT • 30Gy/5#
• PET POST SBRT 3M • Decreased SUV value
• Now • Follow/up
Case details
54
55
At diagnosis
56
At 3 month post RT
57
At 1 year post RT
58
Planned SBRT
59
At 3 month post SBRT
60
At 6 month post SBRT
LIVER METASTASIS SBRT
CASE-5
61
• NAME
• UMR
• PRESENTATION • 50 YEAR
• MALE
• COLON CANCER
• FOUND LIVER MET DURING SURGERY
• 2 LESIONS
• PET • 2 LESIONS
• SEGMENT VIII SUV-13
• SEGMENT V
• FNAC • ADENO
• CP SCORE • A
• SBRT • 40Gy/5# WITH DIBH
Case details
62
63
64
SPINE METASTASIS SBRT
CASE-6
65
• NAME
• UMR
• Diagnosis • Ca Lung left lower lobe with D11 bone metastasis
• Presented with • Cough with expectoration, Pain over left chest wall,
Upper backache
• PET • Soft tissue enhancing lesion 5.2cm in LLL abutting pleura
s/o primary
• Hypermetabolic lesion in D11 vertebra (SUV max- 8) –
s/o metastasis
• Planned SBRT • 25Gy/5#
• PET POST SBRT 3M • Complete metabolic resolution of the D11 vertebral
lesion s/o favourable response to treatment
• COURTESY • DR VKR
Case details
66
67
Spine metastasis
68
Target delineation
69
Planned SBRT
70
3 month follow up scan
HEPATOCELLULAR CARCINOMA SBRT
CASE-7
71
• NAME
• UMR
• Diagnosis • Hepatocellular carcinoma
• Presented with • Diagnosed during screening
• PET • Small lesion in segment 7
• Planned SBRT • 45Gy/3#
• PET POST SBRT 3M • Complete resolution
• Now • f/up
• COURTESY • DR VKR
Case details
72
CT/MRI
73
TARGET
74
SBRT PLAN
75
3 month follow up
76
BONE METASTASIS SBRT
CASE-8
77
• NAME
• UMR
• Diagnosis • Metastatic Carcinoma Breast
• Presented with • Pain over left hip
• PET • Increased tracer uptake is seen in left acetabulum along
the posterior margin and the left ischium showing
sclerotic changes (SUV max - 6)
• Planned SBRT • 33Gy/3#
• PET POST SBRT 3M • No definite focal hypermetabolic or abnormally
enhancing lesion
• Increased sclerotic changes in the lesions noted in left
acetabulum, ischium and inferior pubic ramus – s/o
complete metabolic response
• COURTESY • DR PSB
Case details
78
79
Isolated bone mets
TARGET
80
81
Planned SBRT
82
At 6 month follow up
AVM SRS
CASE-9
83
• NAME
• UMR
• PRESENTATION • 23 year female
• ECOG-1
• Sudden onset headache
• Weakness of left upper and lower limb
• Evaluated outside
• Images not available
• MRI • Location-Right high posterior parietal vascular malformation
• Malformation size 3.4cm x 2.9cm x3.4cm
• Nidus size 1.6cm x 1.4cm
• Arterial supply- Pericollasal and collasomarginal branches of right
anterior cerebral artery
• Venous drainage- cortical veins along the right posterior parietal
region
• Hemoglobin degradation products with gliosis and
enchephalomalacia.
• SBRT • 18Gy/1#
84
MR ANGIO after 3 months
85
T1/T2- after 3 months
86
DSA THE GOLD STANDARD
87
CT ANGIO
88
The beam arrangement
89
6 month follow up
90
MENINGIOMA SRS
CASE-10
91
• NAME
• UMR
• PRESENTATION • HEADACHE LEFT SIDED, LEFT EYE PAIN
• MRI • 2.2×1.9×2.3CM, INTENSELY ENHANCING EXTRA AXIAL LESION T2W
HYPOINTENSE & ISOINTENSE T1W ON LEFT SIDE POSTERIOR TO
CAVERNOUS SINUS AND INDENTING PONS. LATERALLY ENCASING
LEFT TRIGE
• SURGERY • NEAR TOTAL EXCISON
• HPE • S/O TRANSITIONAL MENINGIOMA (WHO GRADE I)
• DOTA PET CT • 1.2×0.6 CM LESION NOTED IN THE LEFT PETROCLIVAL REGION
,POSTERIOR TO THE CAVERNOUS SINUS WITH SUV MAX - 7
• PLAN • SRS – 15Gy IN 1#
Case details
92
93
Petroclival meningioma
94
Dota scan
95
SRS plan
6 month follow up
96
Pituitary
CASE-11
97
• NAME
• UMR
• PRESENTATION • Vomiting, Head reeling sensation, Involuntary movements of all
limbs
• MRI 1. 2.3 × 1.6 × 1.6 cm, Dumbbell shaped lesion in sellar region
2. Extending into Suprasellar location
3. Pituitary gland not separated from lesion
4. Optic chiasm – compressed & superiorly displaced
5. Doubtful B/L Parasellar extension (R>L) with encasement of
cavernous segment B/L ICA (R>L)
• SURGERY • Endoscopic Trans sphenoid Excision and Near total excision
• BIOPSY • F/S/O Pituitary Macro adenoma
• SRS • FSRT – 25Gy / 5#
• IHC • Synaptophysin +VE ,
• Chromogranin +VE
Case details
98
Target
99
SRS PLAN
100
6 month follw up- awaited
101
GLOMUS JUGULARAE
CASE-12
102
• NAME
• UMR
• PRESENTATION • Headache, difficulty in swallowing, Hoarseness of voice, Tinnitus
, reduced hearing, Nasal regurgitation × 6 months
• MRI • 2.5 x2 cm, Brilliantly enhancing, extracranial lesion in Left jugular
foramen
• Hypo on T1 and Iso on T2
• Erosion of carotid canal and jugular foramen
• SURGERY • Excision of Glomus jugulare done by FISCH type approach
• BIOPSY • well defined nests separated by highly vascularized fibrous
septae[zelle ballen pattern]
• SRS • 14Gy/1#
• IHC • Synaptophysin positive
• S100 positive
• COURTESY • DR PSB
Case details
103
GTV WITH PTV 1MM
104
SRS PLAN
105
6 month follow up- awaited
106
REMEMBERING THE LEGENDS
107
108
109
110
111
112
113
if you are thinking about me as legend
114
ACKNOWLEDGMENTS-CONSULTANTS
115
DR C R KUNDU DR P S BHATTACHARYYA
DR V K REDDY DR M MRUTYUNJAYA
ACKNOWLEDGMENTS- PHYSICISTS
116
A C PRABU A ANIL KUMAR A SRINU P PRASAD
ACKNOWLEDGMENTS- TECHNOLOGISTS
117
THE GUIDANCE
118
119

STEREOTAXY EXPERIENCE- SRS.SBRT

  • 1.
    SRS/SBRT MAHATMA GANDHI CANCERHOSPITAL AND RESEARCH INSTITUTE, VISAKHAPATNAM OUR EXPERINCE OF FIRST 50 CASES DR KANHU CHARAN PATRO 1
  • 2.
    WHAT IS SRS/SBRT? •Stereotactic radiosurgery (SRS) uses many precisely focused radiation beams to treat tumors and other problems in the brain, neck, lungs, liver, spine and other parts of the body. • It is not surgery in the traditional sense because there's no incision. • SRS is for cranial • SBRT for extracranial 2
  • 3.
    THE DIFFERNCE CONVENTIONALVS STEREOTAXY E. H. Balagamwala/Technology in Cancer Research and Treatment/2012 3
  • 4.
    The duo • Highdose • Strict immobilization 4
  • 5.
  • 6.
    • Massive vasculardamage causes indirect tumor death-it is endothelial cell inflammation and apoptosis via the sphingomyelin pathway causing subsequent microvascular dysfunction that are the triggers for tumor cell death • 4 r of radiobiology in different manner • No Repair after ablative dose • Treatment is for short period no chance of Repopulation • No Reoxygenation of hypoxic cells due to massive vascular destruction by SRS/SBRT • Redistribution dose not happen as more cells die because of massive cell death • Massive immunogenic reaction • Abscopal effect RADIOBIOLOGY BEHIND STEROTAXY 6
  • 7.
    The spectrum • SRS –Smaller lesion usually less than 3 cm. – Single fraction • FRACTIONATED SRS – Relatively larger tumor – 1 to 5 fractions • SRT – Larger tumor usually more than 3 cm – Close to vital structures 7
  • 8.
    The spectrum • Malignant –Metastasis – Recurrent Gliomas • Benign – Arteriovenous Malformation – Vestibular Schwannoma – Pituitary – Cavernomas • Functional – Trigeminal Neuralgia – Tremor – Epileptic Focus 8
  • 9.
    The wide spectrum Cranial –Metastasis • De novo • After WBRT – Arteriovenous malformation – Vestibular schwannoma – Reirradiation glioma – Glomus jugularae – Hamartoma – Cavernoma – Meningioma – Trigeminal neuralgia – Tremor – Epilepsy Extracranial – Bone metastasis – Prostate – Lung primary/ metastasis – Pancreas – Adrenal metastasis – Liver metastasis/HCC – Spine metastasis – Nodal recurrence – Head and neck reirradiation 9
  • 10.
    • Malignant cases-- Weeks to months • Benign cases -- Months to years • Functional cases -- Days • Different criteria for different tumors e.g – RECIST – PERCIST – RANO – And many more RESPONSE EVALUATION 10
  • 11.
    WHAT are therequirements? • Micro MLC/cone • Planning system • Imaging • Immobilization • Respiratory Motion management system • QA accessories • CBCT • Protocols 11
  • 12.
    WHAT we have– machine 12
  • 13.
    WHAT we have– micro MLC 13
  • 14.
    WHAT we have– CONE 14
  • 15.
    WHAT we have– immobilization 15 FRAXION
  • 16.
    WHAT we have– immobilization 16
  • 17.
    WHAT we have– motion management 17 SYMMETRY
  • 18.
    WHAT we have– motion management 18 Abdominal compression
  • 19.
    We have –ABC 19 ABC- ACTIVE BREATH COORDINATOR
  • 20.
    • CT • PETCT –DOTA – PSMA – FDG • MRI IMAGING WE HAVE 20
  • 21.
    WHAT we have– planning system 21
  • 22.
    WHAT we have?– Ray Search planning system 22 FIRST IN INDIA-PHOTON
  • 23.
    WHAT we have– verification system 23
  • 24.
    • CBCT CORRECTIONS Set-upverification-CBCT 24
  • 25.
    WHAT we have– Hexapod 25
  • 26.
    • HEXAPOD CORRECTIONS Set-upverification- HEXAPOD 26
  • 27.
    • MECHANICAL ISOCENTERCHECK – WINSTON LUTZ TEST • POINT DOSE VERIFICATION • TOLERANCE-1MM Travis R. Denton/JOURNAL OF APPLIED CLINICAL MEDICAL PHYSICS/2015 QA part 27
  • 28.
  • 29.
  • 30.
  • 31.
  • 32.
  • 33.
  • 34.
  • 35.
    Cases completed tilltoday 35  Brain metastasis 16  Brain metastasis after whole brain RT 8  Brain metastasis cavity SRS 3  Vestibular schwannoma 5  Arteriovenous malformation 1  Meningioma 5  Pituitary 1  Spine metastasis 3  Bone metastasis 1  Cranial cavernoma 2  Liver metastasis 3  Hepatocellular carcinoma 1  Lung cancer 1  Nodal recurrence 1 TOTAL 51
  • 36.
  • 37.
  • 38.
    • NAME • UMR •PRESENTATION • 70 YEAR FEMALE • TRIPLE NEGATIVE BREAST CANCER • POST MRM • POST RT/CHEMO • 6 MONTH FOLLOW UP • PRESENTED WITH HEADACHE AND GIDDINESS • MRI • 2.2cm x2.2 cm LESION • LT.OCCIPITAL LOBE • RING ENHANCEMENT • NO MASS EFFECT • NO MID LINE SHIFT • MINIMAL EDEMA • PET CT • MULTIPLE LUNG NODULES • BRAIN LESION INCREASED Uptake • SRS • SRS • 18Gy/1# Case details 38
  • 39.
  • 40.
  • 41.
    POST SRS 3MONTHS 41
  • 42.
  • 43.
    • NAME • UMR •PRESENTATION • SEIZURES, UNCONSCIOUS • MRI • 3.2X3.2CM, LEFT OCCIPITAL LOBE,EDEMA,CONTRAST ENHANCEMNET • SURGERY • TOTAL EXCISON • BIOPSY • METASTATIC PAPILLARY ADENOCARCINOMA • PET CT • RT LUNG LESION • MULTIPLE NODULE BOTH LUNG • LESION IN BRAIN • MEDIASTINAL NODE • SRS • CAVITY SRS 30Gy/5# • IHC • EGFR+VE • EXON21 MUTATION • ALK NEG • TTF1 +VE • CHEMO • PEMETRXED AND CARBOPLATIN • OMERTINIB 80MG Case details 43
  • 44.
  • 45.
    Post op 1month 45
  • 46.
    46 FRACTIONATED SRS • ADJACENTDURA and SURGICAL TRACT • BONE FLAP INNER PART • CAVITY PROPER • DURAL SINUS • ENHANCING COMPONENT
  • 47.
    Post RT 3months 47
  • 48.
  • 49.
    • NAME • UMR •PRESENTATION • 59 year male • Diagnosed case of vestibular schwannoma • Right side • P/w Slight decreasing in hearing loss-4 - 5 months • No facial numbness • MRI • Intracanalicular and extra canalicular component • Touching brainstem • No cystic component • Minimal enhancing • Impending 5th nerve • SRS • SRS • 25Gy/5# Case details 49
  • 50.
  • 51.
  • 52.
  • 53.
  • 54.
    • NAME • UMR •Diagnosis • Cancer cervix with common iliac node • RADIATION • EBRT –VMAT SIB 50Gy/25# -56Gy/28# • REGULAR FOLLOW UP • Post RT 3month - CR • Presented with • DVT and left leg pain • PET • Nodal recurrence same area • Planned SBRT • 30Gy/5# • PET POST SBRT 3M • Decreased SUV value • Now • Follow/up Case details 54
  • 55.
  • 56.
  • 57.
    57 At 1 yearpost RT
  • 58.
  • 59.
    59 At 3 monthpost SBRT
  • 60.
    60 At 6 monthpost SBRT
  • 61.
  • 62.
    • NAME • UMR •PRESENTATION • 50 YEAR • MALE • COLON CANCER • FOUND LIVER MET DURING SURGERY • 2 LESIONS • PET • 2 LESIONS • SEGMENT VIII SUV-13 • SEGMENT V • FNAC • ADENO • CP SCORE • A • SBRT • 40Gy/5# WITH DIBH Case details 62
  • 63.
  • 64.
  • 65.
  • 66.
    • NAME • UMR •Diagnosis • Ca Lung left lower lobe with D11 bone metastasis • Presented with • Cough with expectoration, Pain over left chest wall, Upper backache • PET • Soft tissue enhancing lesion 5.2cm in LLL abutting pleura s/o primary • Hypermetabolic lesion in D11 vertebra (SUV max- 8) – s/o metastasis • Planned SBRT • 25Gy/5# • PET POST SBRT 3M • Complete metabolic resolution of the D11 vertebral lesion s/o favourable response to treatment • COURTESY • DR VKR Case details 66
  • 67.
  • 68.
  • 69.
  • 70.
  • 71.
  • 72.
    • NAME • UMR •Diagnosis • Hepatocellular carcinoma • Presented with • Diagnosed during screening • PET • Small lesion in segment 7 • Planned SBRT • 45Gy/3# • PET POST SBRT 3M • Complete resolution • Now • f/up • COURTESY • DR VKR Case details 72
  • 73.
  • 74.
  • 75.
  • 76.
  • 77.
  • 78.
    • NAME • UMR •Diagnosis • Metastatic Carcinoma Breast • Presented with • Pain over left hip • PET • Increased tracer uptake is seen in left acetabulum along the posterior margin and the left ischium showing sclerotic changes (SUV max - 6) • Planned SBRT • 33Gy/3# • PET POST SBRT 3M • No definite focal hypermetabolic or abnormally enhancing lesion • Increased sclerotic changes in the lesions noted in left acetabulum, ischium and inferior pubic ramus – s/o complete metabolic response • COURTESY • DR PSB Case details 78
  • 79.
  • 80.
  • 81.
  • 82.
    82 At 6 monthfollow up
  • 83.
  • 84.
    • NAME • UMR •PRESENTATION • 23 year female • ECOG-1 • Sudden onset headache • Weakness of left upper and lower limb • Evaluated outside • Images not available • MRI • Location-Right high posterior parietal vascular malformation • Malformation size 3.4cm x 2.9cm x3.4cm • Nidus size 1.6cm x 1.4cm • Arterial supply- Pericollasal and collasomarginal branches of right anterior cerebral artery • Venous drainage- cortical veins along the right posterior parietal region • Hemoglobin degradation products with gliosis and enchephalomalacia. • SBRT • 18Gy/1# 84
  • 85.
    MR ANGIO after3 months 85
  • 86.
    T1/T2- after 3months 86
  • 87.
    DSA THE GOLDSTANDARD 87
  • 88.
  • 89.
  • 90.
  • 91.
  • 92.
    • NAME • UMR •PRESENTATION • HEADACHE LEFT SIDED, LEFT EYE PAIN • MRI • 2.2×1.9×2.3CM, INTENSELY ENHANCING EXTRA AXIAL LESION T2W HYPOINTENSE & ISOINTENSE T1W ON LEFT SIDE POSTERIOR TO CAVERNOUS SINUS AND INDENTING PONS. LATERALLY ENCASING LEFT TRIGE • SURGERY • NEAR TOTAL EXCISON • HPE • S/O TRANSITIONAL MENINGIOMA (WHO GRADE I) • DOTA PET CT • 1.2×0.6 CM LESION NOTED IN THE LEFT PETROCLIVAL REGION ,POSTERIOR TO THE CAVERNOUS SINUS WITH SUV MAX - 7 • PLAN • SRS – 15Gy IN 1# Case details 92
  • 93.
  • 94.
  • 95.
  • 96.
  • 97.
  • 98.
    • NAME • UMR •PRESENTATION • Vomiting, Head reeling sensation, Involuntary movements of all limbs • MRI 1. 2.3 × 1.6 × 1.6 cm, Dumbbell shaped lesion in sellar region 2. Extending into Suprasellar location 3. Pituitary gland not separated from lesion 4. Optic chiasm – compressed & superiorly displaced 5. Doubtful B/L Parasellar extension (R>L) with encasement of cavernous segment B/L ICA (R>L) • SURGERY • Endoscopic Trans sphenoid Excision and Near total excision • BIOPSY • F/S/O Pituitary Macro adenoma • SRS • FSRT – 25Gy / 5# • IHC • Synaptophysin +VE , • Chromogranin +VE Case details 98
  • 99.
  • 100.
  • 101.
    6 month follwup- awaited 101
  • 102.
  • 103.
    • NAME • UMR •PRESENTATION • Headache, difficulty in swallowing, Hoarseness of voice, Tinnitus , reduced hearing, Nasal regurgitation × 6 months • MRI • 2.5 x2 cm, Brilliantly enhancing, extracranial lesion in Left jugular foramen • Hypo on T1 and Iso on T2 • Erosion of carotid canal and jugular foramen • SURGERY • Excision of Glomus jugulare done by FISCH type approach • BIOPSY • well defined nests separated by highly vascularized fibrous septae[zelle ballen pattern] • SRS • 14Gy/1# • IHC • Synaptophysin positive • S100 positive • COURTESY • DR PSB Case details 103
  • 104.
    GTV WITH PTV1MM 104
  • 105.
  • 106.
    6 month followup- awaited 106
  • 107.
  • 108.
  • 109.
  • 110.
  • 111.
  • 112.
  • 113.
  • 114.
    if you arethinking about me as legend 114
  • 115.
    ACKNOWLEDGMENTS-CONSULTANTS 115 DR C RKUNDU DR P S BHATTACHARYYA DR V K REDDY DR M MRUTYUNJAYA
  • 116.
    ACKNOWLEDGMENTS- PHYSICISTS 116 A CPRABU A ANIL KUMAR A SRINU P PRASAD
  • 117.
  • 118.
  • 119.