STEATOHEPATITIS
Memoona Arshad
Group 11
6th Semester
ISM-IUK
Presented to: Mam Aijan
STEATOHEPATITIS
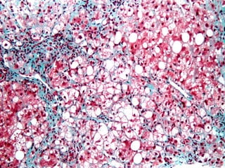
 Steatohepatitis is a type of fatty liver disease,
characterized by inflammation of the liver
with concurrent fat accumulation in liver.
 Mere deposition of fat in the liver is termed
steatosis, and together these constitute fatty
liver changes.
 The word is from steato-, meaning "fat“ and
hepatitis, meaning "inflammation of the liver".
STEATOHEPATITIS (CONTD..)
 Steatosis (fatty liver) is an accumulation of
fat in the liver. When this progresses to
become associated with inflammation, it is
known as steatohepatitis.
 There are two main types of fatty liver
disease:
 alcohol-related fatty liver disease
 non-alcoholic fatty liver disease (NAFLD).
STEATOHEPATITIS (CONTD..)
 Risk factors for NAFLD include diabetes,
obesity and metabolic syndrome.
 When inflammation is present it is referred to as
alcoholic steatohepatitis and nonalcoholic
steatohepatitis (NASH). Steatohepatitis of either
cause may progress to cirrhosis, and NASH is
now believed to be a frequent cause of
unexplained cirrhosis.
 NASH is also associated with lysosomal acid
lipase deficiency.
NONALCOHOLIC STEATOHEPATITIS (NASH)?
 Nonalcoholic steatohepatitis (NASH) is liver
inflammation and damage caused by a
buildup of fat in the liver.
 It is part of a group of conditions called
nonalcoholic fatty liver disease.
 You may be told you have a "fatty liver."
Many people have a buildup of fat in the liver,
and for most people it causes no symptoms
and no problems.
NONALCOHOLIC STEATOHEPATITIS (NASH)?
(CONTD..)
 In some people, the fat causes inflammation
and damages cells in the liver. Because of the
damage, the liver doesn't work as well as it
should.
 NASH can get worse and cause scarring of the
liver, which leads to cirrhosis. But the disease
doesn't always get worse.
 NASH is similar to the kind of liver disease that
is caused by long-term, heavy drinking. But
NASH occurs in people who don't abuse
alcohol.
BEFORE AFTER
WHAT ARE THE SYMPTOMS OF NONALCOHOLIC
STEATOHEPATITIS (NASH)?
 You may have no symptoms in the early stages
of NASH. Most people who have NASH feel fine
and don't know that they have it.
 As NASH progresses and liver damage gets
worse, you may start to have symptoms such
as:
 Fatigue (feeling tired all the time).
 Weight loss for no clear reason.
 General weakness.
 An ache in the upper right part of your belly.
 It may take many years for NASH to become
severe enough to cause symptoms.
WHAT CAUSES NONALCOHOLIC
STEATOHEPATITIS (NASH)?
 Experts don't know why some people with a buildup of fat
in the liver get NASH and some don't. It could be that
something in the environment triggers the inflammation in
those people. Or maybe it runs in their families.
 Things that put people at risk for NASH and for liver
damage include:
 Obesity.
 Insulin resistance and type 2 diabetes.
 High cholesterol and high triglycerides.
 Metabolic syndrome.
 Most people who have NASH are 40 to 50 years old and
have one or more of the problems listed above. But
NASH can happen in people who have none of these risk
factors.
HOW IS NONALCOHOLIC STEATOHEPATITIS
(NASH) DIAGNOSED?
 No single test can diagnose NASH. Your doctor will
ask you about other health problems you've had.
 To see if fat is building up in your liver and to rule out
other diseases, your doctor may do tests such as:
 Blood tests.
 An abdominal ultrasound.
 A CT scan.
 An MRI scan.
 Your doctor may do a liver biopsy to be sure that you
have NASH. In a liver biopsy, your doctor takes a
sample of tissue from your liver and checks it for
signs of NASH.
HOW IS NONALCOHOLIC STEATOHEPATITIS
(NASH) TREATED?
 Treatment for NASH includes managing conditions
that increase your risk for NASH or make it worse.
You can:
 Reduce your total cholesterol level.
 Reach a healthy weight. Losing 3% to 10% of your total
body weight can make a difference.
 Control diabetes.
 Stop or cut back on drinking alcohol.
 Exercise regularly.
 Also, ask your doctor or pharmacist about all the
medicines you are taking. Some may harm your liver.
 In some cases, your doctor may suggest medicine to
control or reverse liver damage caused by NASH.
RISK FACTORS
 Risk factors for developing fatty liver include:
 Features of metabolic syndrome: type 2 diabetes or
impaired glucose tolerance, central obesity,
dyslipidaemia, raised blood pressure.
 Polycystic ovary syndrome.
 Alcohol excess.
 Starvation or rapid weight loss, including following
gastric bypass surgery (presumed due to sudden
release of free fatty acids into the bloodstream).
 Total parenteral nutrition and refeeding syndrome.
 Hepatitis B and hepatitis C; HIV.
RISK FACTORS (CONTD..)
 Medication:
 Amiodarone
 Tamoxifen
 Glucocorticoids
 Tetracycline
 Oestrogens
 Methotrexate
 Thallium
RISK FACTORS (CONTD..)
 Metabolic disorders:
 Wilson's disease
 Glycogen storage disorders
 Abetalipoproteinaemia and
hypobetalipoproteinaemia
 Galactosaemia
 Hereditary fructose intolerance
 Homocystinuria
 Refsum's disease
 Systemic carnitine deficiency
 Tyrosinaemia
 Weber-Christian disease
REFERENCES
 NASH Causes | Stanford Health Care
 Steatohepatitis – Wikipedia
 Steatohepatitis and Steatosis (Fatty Liver) |
Doctor | Patient
 THANK YOU 

Steatohepatitis

  • 1.
    STEATOHEPATITIS Memoona Arshad Group 11 6thSemester ISM-IUK Presented to: Mam Aijan
  • 2.
    STEATOHEPATITIS  Steatohepatitis isa type of fatty liver disease, characterized by inflammation of the liver with concurrent fat accumulation in liver.  Mere deposition of fat in the liver is termed steatosis, and together these constitute fatty liver changes.  The word is from steato-, meaning "fat“ and hepatitis, meaning "inflammation of the liver".
  • 4.
    STEATOHEPATITIS (CONTD..)  Steatosis(fatty liver) is an accumulation of fat in the liver. When this progresses to become associated with inflammation, it is known as steatohepatitis.  There are two main types of fatty liver disease:  alcohol-related fatty liver disease  non-alcoholic fatty liver disease (NAFLD).
  • 5.
    STEATOHEPATITIS (CONTD..)  Riskfactors for NAFLD include diabetes, obesity and metabolic syndrome.  When inflammation is present it is referred to as alcoholic steatohepatitis and nonalcoholic steatohepatitis (NASH). Steatohepatitis of either cause may progress to cirrhosis, and NASH is now believed to be a frequent cause of unexplained cirrhosis.  NASH is also associated with lysosomal acid lipase deficiency.
  • 6.
    NONALCOHOLIC STEATOHEPATITIS (NASH)? Nonalcoholic steatohepatitis (NASH) is liver inflammation and damage caused by a buildup of fat in the liver.  It is part of a group of conditions called nonalcoholic fatty liver disease.  You may be told you have a "fatty liver." Many people have a buildup of fat in the liver, and for most people it causes no symptoms and no problems.
  • 7.
    NONALCOHOLIC STEATOHEPATITIS (NASH)? (CONTD..) In some people, the fat causes inflammation and damages cells in the liver. Because of the damage, the liver doesn't work as well as it should.  NASH can get worse and cause scarring of the liver, which leads to cirrhosis. But the disease doesn't always get worse.  NASH is similar to the kind of liver disease that is caused by long-term, heavy drinking. But NASH occurs in people who don't abuse alcohol.
  • 8.
  • 9.
    WHAT ARE THESYMPTOMS OF NONALCOHOLIC STEATOHEPATITIS (NASH)?  You may have no symptoms in the early stages of NASH. Most people who have NASH feel fine and don't know that they have it.  As NASH progresses and liver damage gets worse, you may start to have symptoms such as:  Fatigue (feeling tired all the time).  Weight loss for no clear reason.  General weakness.  An ache in the upper right part of your belly.  It may take many years for NASH to become severe enough to cause symptoms.
  • 10.
    WHAT CAUSES NONALCOHOLIC STEATOHEPATITIS(NASH)?  Experts don't know why some people with a buildup of fat in the liver get NASH and some don't. It could be that something in the environment triggers the inflammation in those people. Or maybe it runs in their families.  Things that put people at risk for NASH and for liver damage include:  Obesity.  Insulin resistance and type 2 diabetes.  High cholesterol and high triglycerides.  Metabolic syndrome.  Most people who have NASH are 40 to 50 years old and have one or more of the problems listed above. But NASH can happen in people who have none of these risk factors.
  • 11.
    HOW IS NONALCOHOLICSTEATOHEPATITIS (NASH) DIAGNOSED?  No single test can diagnose NASH. Your doctor will ask you about other health problems you've had.  To see if fat is building up in your liver and to rule out other diseases, your doctor may do tests such as:  Blood tests.  An abdominal ultrasound.  A CT scan.  An MRI scan.  Your doctor may do a liver biopsy to be sure that you have NASH. In a liver biopsy, your doctor takes a sample of tissue from your liver and checks it for signs of NASH.
  • 12.
    HOW IS NONALCOHOLICSTEATOHEPATITIS (NASH) TREATED?  Treatment for NASH includes managing conditions that increase your risk for NASH or make it worse. You can:  Reduce your total cholesterol level.  Reach a healthy weight. Losing 3% to 10% of your total body weight can make a difference.  Control diabetes.  Stop or cut back on drinking alcohol.  Exercise regularly.  Also, ask your doctor or pharmacist about all the medicines you are taking. Some may harm your liver.  In some cases, your doctor may suggest medicine to control or reverse liver damage caused by NASH.
  • 13.
    RISK FACTORS  Riskfactors for developing fatty liver include:  Features of metabolic syndrome: type 2 diabetes or impaired glucose tolerance, central obesity, dyslipidaemia, raised blood pressure.  Polycystic ovary syndrome.  Alcohol excess.  Starvation or rapid weight loss, including following gastric bypass surgery (presumed due to sudden release of free fatty acids into the bloodstream).  Total parenteral nutrition and refeeding syndrome.  Hepatitis B and hepatitis C; HIV.
  • 14.
    RISK FACTORS (CONTD..) Medication:  Amiodarone  Tamoxifen  Glucocorticoids  Tetracycline  Oestrogens  Methotrexate  Thallium
  • 15.
    RISK FACTORS (CONTD..) Metabolic disorders:  Wilson's disease  Glycogen storage disorders  Abetalipoproteinaemia and hypobetalipoproteinaemia  Galactosaemia  Hereditary fructose intolerance  Homocystinuria  Refsum's disease  Systemic carnitine deficiency  Tyrosinaemia  Weber-Christian disease
  • 16.
    REFERENCES  NASH Causes| Stanford Health Care  Steatohepatitis – Wikipedia  Steatohepatitis and Steatosis (Fatty Liver) | Doctor | Patient
  • 17.