BY
FLEMIN THOMAS, Pharm-D
ALD, the term that encompasses the liver manifestations of alcohol
overconsumption, including fatty liver, alcoholic hepatitis, and
chronic hepatitis with liver fibrosis or cirrhosis.
 It may well represent the oldest form of liver injury known to
humankind.
 Many people with alcoholic liver disease experience no symptoms
in the early stage of the disease.
 Consumption of 60–80g per day (about 75–100 ml/day) for 20
years or more in men.
 Consumption of 20g/day (about 25 ml/day) for women
significantly increases the risk of liver damage.
 Women have double the risk of getting ALD when compared
to men
 80% of alcohol passes through the liver to be detoxified.
Chronic consumption of alcohol results in the secretion of pro-
inflammatory cytokines (TNF-alpha, Interleukin 6 [IL6] and
Interleukin 8 [IL8]), oxidative stress, lipid peroxidation, and
acetaldehyde toxicity.
 Quantity of alcohol taken:Consumption of 60–80g per day
(about 75–100 mL/day) for 20 years or more in men, or
20g/day (about 25 mL/day) for women significantly increases
the risk of hepatitis and fibrosis by 7 to 47%.
 Pattern of drinking: Drinking outside of meal times
increases up to 3 times the risk of alcoholic liver disease.
 Gender: Women are twice as susceptible to alcohol-related
liver disease, and may develop alcoholic liver disease with
shorter durations and doses of chronic consumption.
 Hepatitis C infection: A concomitant hepatitis C infection
significantly accelerates the process of liver injury.
 Genetic factors: Genetic factors predispose both to
alcoholism and to alcoholic liver disease. Polymorphisms in
the enzymes.
 Iron overload (Hemochromatosis)
 Diet: Malnutrition, particularly vitamin A and E deficiencies,
can worsen alcohol-induced liver damage by preventing
regeneration of hepatocytes.
Symptoms vary, based on how bad the disease is. You may not
have symptoms in the early stages. Symptoms tend to be
worse after a period of heavy drinking.
Digestive symptoms include:
Pain and swelling in the abdomen
Decreased appetite and weight loss
Nausea and vomiting
Fatigue
Dry mouth and increased thirst
Bleeding from enlarged veins in the walls of the lower part of
the esophagus.
Skin problems such as:
Yellow colour in the skin, mucus membranes, or eyes
(jaundice)
Small, red spider-like veins on the skin
Very dark or pale skin
Redness on the feet or hands
Itching
Brain and nervous system symptoms include:
Problems with thinking, memory, and mood
Fainting and light headedness
Numbness in legs and feet
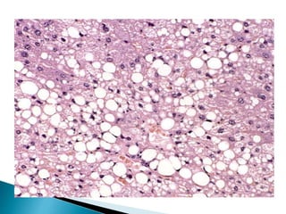
 Fatty change, or steatosis is the accumulation of fatty acids in
liver cells.
 Alcoholism causes development of large fatty globules (macro
vesicular steatosis) throughout the liver and can begin to occur
after a few days of heavy drinking.
 Alcohol is metabolized by alcohol dehydrogenase (ADH) into
acetaldehyde
 Aldehyde dehydrogenase (ALDH) into acetic acid, which is
finally oxidized into carbon dioxide (CO2) and water ( H2O).
 A higher NADH concentration induces fatty acid synthesis
while a decreased NAD level results in decreased fatty acid
oxidation.
 triglycerides accumulate, resulting in fatty liver
 Weakness
 Nausea
 Abdominal pain
 Loss of appetite
 Malaise(generally feeling unwell)
 Alcoholic hepatitis is characterized by the inflammation of
hepatocytes. Between 10% and 35% of heavy drinkers develop
alcoholic hepatitis (NIAAA, 1993).
 Development of hepatitis is not directly related to the dose of
alcohol, some people seem more prone to this reaction than
others. This is called alcoholic steato necrosis and the
inflammation appears to predispose to liver fibrosis.
 Inflammatory cytokines (TNF-alpha, IL6 and IL8) are thought
to be essential in the initiation and perpetuation liver injury
by inducing apoptosis and necrosis.
 Symptoms may include pain or tenderness in the abdomen,
jaundice , spider like veins appear on the skin, malaise, fever,
nausea and loss of appetite.
 End stage there will be hair loss, dark urine, black or pale
stools, dizziness, fatigue, loss of libido, bleeding gums or
nose, edema, vomiting, muscle cramps, weight loss
 Cirrhosis is a late stage of serious liver disease marked by
inflammation (swelling), fibrosis (cellular hardening) and
damaged membranes preventing detoxification of chemicals in the
body, ending in scarring and necrosis(cell death).
 Between 10% to 20% of heavy drinkers will develop cirrhosis of
the liver (NIAAA, 1993).
 Acetaldehyde may be responsible for alcohol-induced fibrosis by
stimulating collagen deposition by hepatic stellate cells.
 Symptoms include jaundice (yellowing), hepatomegaly, pain and
tenderness from the structural changes in damaged liver
architecture.
LIVER FUNCTION TESTS:
These are simple, inexpensive and easy to perform but
cannot be used in alone to make diagnosis which include ;
• Serum albumin levels and prothrombin time indicates hepatic
protein synthesis,
• bilirubin is a marker of whole liver function, transaminase
levels indicate hepatocellular injury and death.
• alkaline phosphatase levels estimate the impedance of bile
flow.
Imaging tests:
An ultrasound scan , CT scan or a MRI scan also be
carried. These scans produce detailed images of liver.
 Imaging studies do not confirm the presence of alcoholic liver
disease .
 Can be used to assess for hepatic parenchymal changes.
 Ultrasound, CT scan, and MRI can be used to diagnose fatty
change, cirrhosis, or neoplastic diseases of the liver.
Liver biopsy:
A fine needle is inserted into body and a small sample of liver
cell is taken under local anaesthesia and is examined under
microscope.
Biopsy may be indicated in:
Any patient with serum aminotransferases elevations that persist
for >6 months, even if the patient is asymptomatic.
Patients who have evidence of liver failure (eg, abnormal
prothrombin time, hypoalbuminemia) in addition to elevated
aminotransferases.
If a coagulopathy is present, transjugular biopsy is usually safer than
percutaneous biopsy.
Patients in whom the diagnosis of alcoholic hepatitis is uncertain
based upon clinical and laboratory findings.
Patients who may have more than one type of liver disease (such
as alcohol and hepatitis C) in whom a liver biopsy may help
determine the relative contribution of these factors .
Patients in whom a more detailed understanding of prognosis is
desired.
Endoscopy:
An endoscope is a thin long flexible tube with a light and video
camera at one end this tube is passed into oesophagus and
stomach and examine for varices
 Portal hypertension is a common complication of cirrhosis.
 When the liver becomes severely scarred it is harder for blood to
move through it. This leads to an increase in blood pressure.
 The blood must also find a new way to return to your heart. It does
this by opening up new blood vessels, usually along the lining of
your stomach or oesophagus (the long tube that carries food from the
throat to the stomach).
 These new blood vessels are known as varices.
 If the blood pressure rises to a certain level, it can become too high
for the varices to cope with, causing the walls of the varices to split
and bleed.
 This can cause long-term bleeding, which can lead to anaemia .
Symptoms of portal hypertension ;
Ascites
Hepatic encephalopathy
Pancytopenia
Spleenomegaly
Bloody vomiting
melena
Symptoms of varices ;
Black ,tarry stools
Bloody stools
Light headedness
Paleness
vomiting
VARICES
 Primary prevention of bleeding episode
1-Beta-Blockers
 Propranolol ; 40mg initially increasing every 3-7days,maintenance
80-240mg/8-12hrly,not exceed60mg/day
 Nadolol ;10-30mg/12hrly p/o
 Timolol ;10-30 mg/12hrly p/o, maintenance 20-40 mg /day
2-Isosorbide mononitrate
 30-60 mg once a day in the morning.
• Accumultion of fluid in the peritoneal cavity . The medical
condition is also known as peritoneal cavity fluid,peritoneal
fluid excess, hydroperitoneum
• A low salt diet may be enough to facilitate the elimination of
ascites and delay reaccumulation of fluid.(60-90mEq/day).
• Mild ascites is hard to notice, but severe ascites generally
lead to abdominal distension
• Amounts of upto 35 liters are possible.
• Symptoms of ascites;
 Abdominal distension with fullness in the flanks
 Abdominal and back pain
 Gateroesophageal reflux
Management of cirrhotic ascites
Bed rest and sodium restriction[60-90meq/day to
1500-2000mg of salt/day]
Spironolactone : 100-400 mg/day
Furosemide : 40-160mg/day
Hydrochlorothiazide : 50mg/day
 A high level of toxins in the blood due to liver damage is
known as hepatic encephalopathy.
 Symptoms of hepatic encephalopathy include:
agitation
confusion
disorientation
muscle stiffness
muscle tremors
difficulty speaking
in very serious cases, coma
 Lactulose:
15-30ml orally 2-4 times per day.
 Antibiotics:
Metronidazole:
250mg orally 3 times daily .
Neomycin:
0.5-1g orally every 6-12 hrs for 7 days.
Rifaximin:
400mg orally 3 times daily.
 LOLA:
L-ornithine L-aspartate 9g orally 3 times daily
MANAGEMENT
32
TREATMENT
◦ Abstinence .
◦ Nutrition .
◦ Drug therapy .
◦ Liver transplantation .
 Abstinence is the most important therapeutic intervention for
patients with ALD .
 Abstinence has been shown to improve the outcome and
histological features of hepatic injury, to reduce portal
pressure and decrease progression to cirrhosis, and to improve
survival at all stages in patients with ALD
◦ Less than 20 % of patients will demonstrate progression of
liver disease after abstinence .
◦ 5 year survival improves from 34 % to 60 % for those with
decompensated liver disease
◦ Alcoholism is associated with nutritional deficiencies .
◦ The presence of significant protein calorie malnutrition is a
common finding in alcoholics, as are deficiencies in a
number of vitamins and trace minerals, including vitamins
A, D, thiamine, folate, pyridoxine, and zinc .
 ALCOHOLIC HEPATITIS
Prednisolone :
40mg orally daily for 4 weeks; then taper the dose.
 FOLIC ACID DEFICIENCY :
Folic acid :
1mg orally daily in conjugation with improved dietary intake
until repletion occurs.
 THIAMINE DEFICIENCY :
THIAMINE:
100mg orally or subcutaneously daily for 2 weeks or until
repleted.
 VITAMIN D DEFICIENCY:
Ergocalciferol:
12,000 to 50,000 international units orally daily; reassess
vitamin D serum levels in 2 to 3 months.
 VITAMIN E DEFICIENCY :
Vitamin E
400 IU orally daily
 VITAMIN A DEFICIENCY :
25,000 TO 50,000 IU orally 3 times weekly.
Silymarin
 Antioxidative and antifibrotic properties.
 Believed to enhance liver regeneration and protect
hapetocytes from toxicity
• Recommended dose is 140mg 2-3 times /day
 Liver transplantation remains the only definitive
therapy.
 Alcoholic hepatitis has been considered an absolute
contraindication to liver transplantation.
Alcoholic Liver Disease

Alcoholic Liver Disease

  • 1.
  • 2.
    ALD, the termthat encompasses the liver manifestations of alcohol overconsumption, including fatty liver, alcoholic hepatitis, and chronic hepatitis with liver fibrosis or cirrhosis.  It may well represent the oldest form of liver injury known to humankind.  Many people with alcoholic liver disease experience no symptoms in the early stage of the disease.
  • 3.
     Consumption of60–80g per day (about 75–100 ml/day) for 20 years or more in men.  Consumption of 20g/day (about 25 ml/day) for women significantly increases the risk of liver damage.  Women have double the risk of getting ALD when compared to men
  • 5.
     80% ofalcohol passes through the liver to be detoxified. Chronic consumption of alcohol results in the secretion of pro- inflammatory cytokines (TNF-alpha, Interleukin 6 [IL6] and Interleukin 8 [IL8]), oxidative stress, lipid peroxidation, and acetaldehyde toxicity.
  • 7.
     Quantity ofalcohol taken:Consumption of 60–80g per day (about 75–100 mL/day) for 20 years or more in men, or 20g/day (about 25 mL/day) for women significantly increases the risk of hepatitis and fibrosis by 7 to 47%.  Pattern of drinking: Drinking outside of meal times increases up to 3 times the risk of alcoholic liver disease.  Gender: Women are twice as susceptible to alcohol-related liver disease, and may develop alcoholic liver disease with shorter durations and doses of chronic consumption.  Hepatitis C infection: A concomitant hepatitis C infection significantly accelerates the process of liver injury.  Genetic factors: Genetic factors predispose both to alcoholism and to alcoholic liver disease. Polymorphisms in the enzymes.
  • 8.
     Iron overload(Hemochromatosis)  Diet: Malnutrition, particularly vitamin A and E deficiencies, can worsen alcohol-induced liver damage by preventing regeneration of hepatocytes.
  • 9.
    Symptoms vary, basedon how bad the disease is. You may not have symptoms in the early stages. Symptoms tend to be worse after a period of heavy drinking. Digestive symptoms include: Pain and swelling in the abdomen Decreased appetite and weight loss Nausea and vomiting Fatigue Dry mouth and increased thirst Bleeding from enlarged veins in the walls of the lower part of the esophagus.
  • 10.
    Skin problems suchas: Yellow colour in the skin, mucus membranes, or eyes (jaundice) Small, red spider-like veins on the skin Very dark or pale skin Redness on the feet or hands Itching Brain and nervous system symptoms include: Problems with thinking, memory, and mood Fainting and light headedness Numbness in legs and feet
  • 13.
     Fatty change,or steatosis is the accumulation of fatty acids in liver cells.  Alcoholism causes development of large fatty globules (macro vesicular steatosis) throughout the liver and can begin to occur after a few days of heavy drinking.  Alcohol is metabolized by alcohol dehydrogenase (ADH) into acetaldehyde  Aldehyde dehydrogenase (ALDH) into acetic acid, which is finally oxidized into carbon dioxide (CO2) and water ( H2O).  A higher NADH concentration induces fatty acid synthesis while a decreased NAD level results in decreased fatty acid oxidation.  triglycerides accumulate, resulting in fatty liver
  • 14.
     Weakness  Nausea Abdominal pain  Loss of appetite  Malaise(generally feeling unwell)
  • 16.
     Alcoholic hepatitisis characterized by the inflammation of hepatocytes. Between 10% and 35% of heavy drinkers develop alcoholic hepatitis (NIAAA, 1993).  Development of hepatitis is not directly related to the dose of alcohol, some people seem more prone to this reaction than others. This is called alcoholic steato necrosis and the inflammation appears to predispose to liver fibrosis.  Inflammatory cytokines (TNF-alpha, IL6 and IL8) are thought to be essential in the initiation and perpetuation liver injury by inducing apoptosis and necrosis.  Symptoms may include pain or tenderness in the abdomen, jaundice , spider like veins appear on the skin, malaise, fever, nausea and loss of appetite.  End stage there will be hair loss, dark urine, black or pale stools, dizziness, fatigue, loss of libido, bleeding gums or nose, edema, vomiting, muscle cramps, weight loss
  • 17.
     Cirrhosis isa late stage of serious liver disease marked by inflammation (swelling), fibrosis (cellular hardening) and damaged membranes preventing detoxification of chemicals in the body, ending in scarring and necrosis(cell death).  Between 10% to 20% of heavy drinkers will develop cirrhosis of the liver (NIAAA, 1993).  Acetaldehyde may be responsible for alcohol-induced fibrosis by stimulating collagen deposition by hepatic stellate cells.  Symptoms include jaundice (yellowing), hepatomegaly, pain and tenderness from the structural changes in damaged liver architecture.
  • 19.
    LIVER FUNCTION TESTS: Theseare simple, inexpensive and easy to perform but cannot be used in alone to make diagnosis which include ; • Serum albumin levels and prothrombin time indicates hepatic protein synthesis, • bilirubin is a marker of whole liver function, transaminase levels indicate hepatocellular injury and death. • alkaline phosphatase levels estimate the impedance of bile flow.
  • 20.
    Imaging tests: An ultrasoundscan , CT scan or a MRI scan also be carried. These scans produce detailed images of liver.  Imaging studies do not confirm the presence of alcoholic liver disease .  Can be used to assess for hepatic parenchymal changes.  Ultrasound, CT scan, and MRI can be used to diagnose fatty change, cirrhosis, or neoplastic diseases of the liver.
  • 21.
    Liver biopsy: A fineneedle is inserted into body and a small sample of liver cell is taken under local anaesthesia and is examined under microscope. Biopsy may be indicated in: Any patient with serum aminotransferases elevations that persist for >6 months, even if the patient is asymptomatic. Patients who have evidence of liver failure (eg, abnormal prothrombin time, hypoalbuminemia) in addition to elevated aminotransferases. If a coagulopathy is present, transjugular biopsy is usually safer than percutaneous biopsy. Patients in whom the diagnosis of alcoholic hepatitis is uncertain based upon clinical and laboratory findings.
  • 22.
    Patients who mayhave more than one type of liver disease (such as alcohol and hepatitis C) in whom a liver biopsy may help determine the relative contribution of these factors . Patients in whom a more detailed understanding of prognosis is desired. Endoscopy: An endoscope is a thin long flexible tube with a light and video camera at one end this tube is passed into oesophagus and stomach and examine for varices
  • 23.
     Portal hypertensionis a common complication of cirrhosis.  When the liver becomes severely scarred it is harder for blood to move through it. This leads to an increase in blood pressure.  The blood must also find a new way to return to your heart. It does this by opening up new blood vessels, usually along the lining of your stomach or oesophagus (the long tube that carries food from the throat to the stomach).  These new blood vessels are known as varices.  If the blood pressure rises to a certain level, it can become too high for the varices to cope with, causing the walls of the varices to split and bleed.  This can cause long-term bleeding, which can lead to anaemia .
  • 24.
    Symptoms of portalhypertension ; Ascites Hepatic encephalopathy Pancytopenia Spleenomegaly Bloody vomiting melena Symptoms of varices ; Black ,tarry stools Bloody stools Light headedness Paleness vomiting
  • 25.
  • 26.
     Primary preventionof bleeding episode 1-Beta-Blockers  Propranolol ; 40mg initially increasing every 3-7days,maintenance 80-240mg/8-12hrly,not exceed60mg/day  Nadolol ;10-30mg/12hrly p/o  Timolol ;10-30 mg/12hrly p/o, maintenance 20-40 mg /day 2-Isosorbide mononitrate  30-60 mg once a day in the morning.
  • 27.
    • Accumultion offluid in the peritoneal cavity . The medical condition is also known as peritoneal cavity fluid,peritoneal fluid excess, hydroperitoneum • A low salt diet may be enough to facilitate the elimination of ascites and delay reaccumulation of fluid.(60-90mEq/day). • Mild ascites is hard to notice, but severe ascites generally lead to abdominal distension • Amounts of upto 35 liters are possible. • Symptoms of ascites;  Abdominal distension with fullness in the flanks  Abdominal and back pain  Gateroesophageal reflux
  • 29.
    Management of cirrhoticascites Bed rest and sodium restriction[60-90meq/day to 1500-2000mg of salt/day] Spironolactone : 100-400 mg/day Furosemide : 40-160mg/day Hydrochlorothiazide : 50mg/day
  • 30.
     A highlevel of toxins in the blood due to liver damage is known as hepatic encephalopathy.  Symptoms of hepatic encephalopathy include: agitation confusion disorientation muscle stiffness muscle tremors difficulty speaking in very serious cases, coma
  • 31.
     Lactulose: 15-30ml orally2-4 times per day.  Antibiotics: Metronidazole: 250mg orally 3 times daily . Neomycin: 0.5-1g orally every 6-12 hrs for 7 days. Rifaximin: 400mg orally 3 times daily.  LOLA: L-ornithine L-aspartate 9g orally 3 times daily MANAGEMENT
  • 32.
    32 TREATMENT ◦ Abstinence . ◦Nutrition . ◦ Drug therapy . ◦ Liver transplantation .
  • 33.
     Abstinence isthe most important therapeutic intervention for patients with ALD .  Abstinence has been shown to improve the outcome and histological features of hepatic injury, to reduce portal pressure and decrease progression to cirrhosis, and to improve survival at all stages in patients with ALD ◦ Less than 20 % of patients will demonstrate progression of liver disease after abstinence . ◦ 5 year survival improves from 34 % to 60 % for those with decompensated liver disease
  • 34.
    ◦ Alcoholism isassociated with nutritional deficiencies . ◦ The presence of significant protein calorie malnutrition is a common finding in alcoholics, as are deficiencies in a number of vitamins and trace minerals, including vitamins A, D, thiamine, folate, pyridoxine, and zinc .
  • 35.
     ALCOHOLIC HEPATITIS Prednisolone: 40mg orally daily for 4 weeks; then taper the dose.  FOLIC ACID DEFICIENCY : Folic acid : 1mg orally daily in conjugation with improved dietary intake until repletion occurs.  THIAMINE DEFICIENCY : THIAMINE: 100mg orally or subcutaneously daily for 2 weeks or until repleted.
  • 36.
     VITAMIN DDEFICIENCY: Ergocalciferol: 12,000 to 50,000 international units orally daily; reassess vitamin D serum levels in 2 to 3 months.  VITAMIN E DEFICIENCY : Vitamin E 400 IU orally daily  VITAMIN A DEFICIENCY : 25,000 TO 50,000 IU orally 3 times weekly.
  • 37.
    Silymarin  Antioxidative andantifibrotic properties.  Believed to enhance liver regeneration and protect hapetocytes from toxicity • Recommended dose is 140mg 2-3 times /day
  • 38.
     Liver transplantationremains the only definitive therapy.  Alcoholic hepatitis has been considered an absolute contraindication to liver transplantation.

Editor's Notes

  • #3 Alcohol Hepatitis- Liver inflammation caused by drinking too much alcohol Fatty liver- accumulation of fats or triglycerides in liver caused by alcoholic cirrhosis. Liver fibrosis(scarring liver) is the excessive accumulation of extracellular matrix proteins including collagen that occurs in most types of chronic liver diseases.
  • #7 An explanation of alcohol related liver disease
  • #18 NIAAA- National institute on alcohol abuse and alcoholism.
  • #28 Greek work askites baglike
  • #35 American college of gastroenterology and american association for the study of liver disease guidlines recommend 1.2-1.5g/kg of protein and 35-40kcal/kg of body weight per day in patient with ALD.