神经危重症患者的血压处理 Blood pressure management in the neurocritical care patients 高亮 复旦大学附属华山医院神经外科 上海市神经外科急救中心
INTRODUCTION The causes of acute hypertension in a variety of brain injury paradigms The effects of hypertension on the cerebral vasculature The management of acutely elevated blood pressure in neurologic disease
Cerebrovascular  physiology CBF=CPP/CVR CPP=MAP-ICP
Cerebral Haemodynamics
AUTOREGULATION ZONE Systemic Blood Pressure / MAP Cerebral Autoregulation … 40 140 Cerebral hyperperfusion  Cerebral Blood  Flow Adapted from: Rogers  (1996)  Textbook of Pediatric Intensive Care   pp. 648 - 651
AUTOREGULATION ZONE AUTOREGULATION ZONE Systemic Blood Pressure / MAP Cerebral DYS-Autoregulation… 40 140 Cerebral hyperperfusion  Cerebral Blood  Flow Adapted from: Rogers  (1996)  Textbook of Pediatric Intensive Care   pp. 648 - 651 DYS - AUTOREGULATION
 
Hypertension in acute brain insult Presence of chronic hypertension Suspected IICP Age Etiology of hemorrhage Multiple injury Time since onset Pain ,anxiety, withdrawal medications and certain illicit drugs
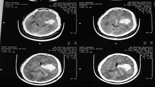
伤后 5h , GCS 13 伤后 6 天 ,GCS 12 分 伤后第 7 天, GCS 4-5 分 Case
伤后 14 天, GCS 12 分 伤后 21 天出院 随访 MRI
SPECIFIC  CLINICAL ENTITIES Intracerebral  hemorrhage Hypertensive encephalopathy sSAH (pre/postclipping) Ischemic stroke TBI Carotid  endarterectomy
Blood Pressure--- Recommendations Until ongoing clinical trials of BP intervention for ICH are completed, physicians must manage BP on the basis of the present incomplete efficacy evidence. Current suggested recommendations for target BP  listed in Table 6 and may be considered (IIb-C). (Unchanged! )  In patients presenting with a systolic BP of 150 to 220 mm Hg, acute lowering of systolic BP to 140 mm Hg is probably safe (IIa-B). (New!)  Guideline for management of spontaneous intracerebral hemorrhage  STROKE 2010
Suggested Guidelines for Treating Elevated BP in s-ICH   If SBP is >200 mmHg or MAP is >150 mmHg, consider aggressive reduction of BP with continuous i.v. infusion, with frequent BP monitoring every 5 min.  If SBP is >180 mmHg or MAP is >130 mmHg and there is the possibility of elevated ICP, consider monitoring ICP and reducing BP using intermittent or continuous i.v. medications while maintaining a CPP>60 mm Hg.  If SBP is >180 mmHg or MAP is >130 mmHg and there is not evidence of elevated ICP, then consider a modest reduction of BP (eg: MAP of 110 mmHg or target BP of 160/90 mmHg) using intermittent or continuous i.v. medications to control BP and clinically reexamine the patient every 15 min.
Aneurysmal SAH The relationship between hypertension and aneurysmal  SAH is uncertain. However, treatment of high blood pressure with antihypertensive medication is recommended to prevent ischemic stroke, intracerebral  hemorrhage, and  cardiac, renal, and other end-organ injury. (I-A) Blood pressure should be monitored and controlled to balance the risk of stroke , hypertension-related  rebleeding and maintenance  of CPP (I-B) Minimizing the degree and duration of intraoperative hypotension during aneurysm surgery is probably indicated (IIa-B) One reasonable approach to symptomatic cerebral vasospasm is triple-H therapy. Guideline for management of a-SAH  STROKE 2009
高血压对重要脏器功能的影响 (一) 高血压对心血管功能的影响 1 、外周阻力增加     左室后负荷  -- 心肌代偿性增厚,心脏肥大 --- 心脏扩大—心功能不全 2 、 冠状动脉细小分支管壁增厚 - 血流储备能力  -- 心肌缺血,心绞痛 --- 心肌缺血 心梗 心肌耗氧量增加,氧供减少 --
高血压对重要脏器功能的影响 高血压对脑功能的影响 1 、脑血流自身调节功能:调节曲线右移,是一个自身保护反应 上限偏移调节   可防止血压急剧上升造成  的脑血流突然异常增加 下限右移调节  不利于脑血流供应,一旦 血压下降更易发生脑缺血 2 、腔隙性脑梗塞发生率  3 、急性脑水肿
血压水平的定义和分类 类  别 收缩压 ( mmHg ) 舒张压 ( mmHg )  理想血压 <120 <80 正常血压 <130 <85 正常高值 130 ~ 139 85 ~ 89 1 级高血压(轻度) 140 ~ 159 90 ~ 99 亚组:临界高血压 140 ~ 149 90 ~ 94 2 级高血压(中度) 160 ~ 179 100 ~ 109 3 级高血压(重度) ≥ 180 ≥ 110 单纯收缩期高血压 ≥ 140 <90 亚组:临界收缩期高血压  140 ~ 149  <90
高血压的危险分层 危险因素 和病史 血压 1 级 2 级 3 级 Ⅰ . 无其他危险因素 低危 中危 高危 Ⅱ .1 ~ 2 个危险因素  中危 中危 极高危 Ⅲ . ≥3 个危险因素或靶器 官损害或糖尿病  高危 高危 极高危 Ⅳ . 并存临床情况  极高危 极高危 极高危
影响预后的因素 心血管疾病的危险因素 靶器官损害 合并的临床状况 用于危险分层的危险因素: 收缩压和舒张压的水平( 1 ~ 3 级) 男性 >55 岁 , 女性 >65 岁 吸烟 总胆固 >5.72mmol/L 糖尿病 早发心血管疾病家族史(发病年龄男 <55 岁,女 <65 岁) 加重预后的其他危险因素 高密度脂蛋白胆固醇降低 低密度脂蛋白胆固醇升高 糖尿病伴微量白蛋白尿 葡萄糖耐量减低 肥胖 以静息为主的生活方式 血浆纤维蛋白原增高 左心室肥厚 ( 心电图、超声心动图或 X 线 ) 蛋白尿和(或)血浆肌酐水平轻度升高 106 ~ 177 µ mmol/ L ( 1.2 ~ 2.0mg/dL ) 超声或 X 线证实有动脉粥样硬化斑块(颈、髂、股或主动脉) 视网膜普遍或灶性动脉狭窄 脑血管疾病 缺血性脑卒中 脑出血 短暂性脑缺血发( TIA ) 心脏疾病 心肌梗死 心绞痛 冠状动脉血运重建 充血性心力衰竭 肾脏疾病 糖尿病肾病 肾功能衰竭(血肌酐水平 >177 µ mmol/ L 或 2.0mg/dL ) 血管疾病 夹层动脉瘤症 症状性动脉疾病 重度高血压性视网膜病变 出血或渗出 视乳头水肿
高血压分期 Ⅰ 期   有高血压, 无 靶器官损害 Ⅱ 期   有高血压, 有 一项靶器官损害,但为功 能代偿期 左室肥大( X- 线、心电图、超声心动图) 眼底动脉狭窄 蛋白尿和 / 或轻度血肌酐升高 (  12  ~  20 mg/L  ) 动脉粥样硬化斑块(主动脉、股动脉或颈动脉) Ⅲ 期   有高血压,有一项靶器官 失代偿 心  心绞痛、心肌梗塞、心力衰竭 脑  短暂性脑缺血发作,脑血管意外,高血压脑病 眼  眼底出血或渗出,伴或不伴视乳头水肿 肾  血肌酐 > 20 mg/L 动脉瘤  下肢的阻塞性动脉疾病
NICU 高血压处理的基本原则 有效性 安全性 不减少重要器官 的血流供应 适度 防治低血压 起效迅速 可控 平稳降压不反跳
亚宁定概述 【药品名称】 通用名称: 盐酸乌拉地尔注射液 【规格】 5ml:25mg 每支( 5ml )注射液含 27.35mg 盐酸乌拉地尔(相当于 25mg 乌拉地尔)。 【适应症】 用于治疗高血压危象(如血压急剧升高),重度和极重度高血压以及难治性高血压。 用于控制围手术期高血压。
作用机制   中枢和外周 中枢作用 外周作用 乌拉地尔 降低动脉收缩压和舒张压 交感神经节 NA: 去甲肾上腺素 脑干 5HT 1A 受体 乌拉地尔 刺激中枢  5 羟色胺( HT ) 1A   受体 阻断外周 α 1 - 受体 肾脏 维持或增加 肾脏血流 NA 非反射性 心动过速 心脏 NA 交感张力 NA 5- 羟色胺能神经元 放电频率 减少外周阻力 血管 α 1 α 1 α 1 α 1 α 1
药物代谢动力学特征 广泛的肝脏代谢 一种主要的无活性代谢产物和两种次要的活性代谢产物 50 - 70%  的乌拉地尔通过肾脏清除, 10 - 15% 为原形 平均 T 1/2   为 2 - 4.8  小时  肝功能不全 : T 1/2  延长 肾功能不全 : T 1/2  轻微延长  老年患者 : T 1/2  延长约 2 倍   未发现乌拉地尔与其他抗高血压药物有临床重要的药代动力学相互作用 西米替 西 可使乌拉地尔  AUC  增加  61% ,并可能使乌拉地尔血清水平升高 15% ,但 T 1/2   无改变。应考虑减少乌拉地尔剂量 亚宁定 3 - 5 分钟内既可起效 静脉注射 25mg 后 ,15 分钟外周血管阻力下降 18 %, 30 分钟下降 30 %。
血液动力学作用  中枢 对于心率无显著影响 1 降低原发性高血压和冠状动脉疾病患者的前 / 后负荷,从而改善心脏输出 1 有证据显示可降低左室质量指数,并可改善心脏功能 2 外周 降低总体外周血管阻力 1 降低肺动脉血管阻力优于系统血管阻力 3   在中度高血压且肾功能正常患者中,可增加肾血流和降低肾血管阻力 1 Ref. 1. Langtry HD et. Al., Drugs; 38 (6) : 900-40, 1989 (Dec) 2.Sheiban I. Eur.Heart J 13 Suppl.,A: 37-44. 1992 (Jun) 3. Adnot S et al. American Review of Respiratory Disease 135;288-293 1987
静脉制剂的血流动力学作用 对颅内压( ICP )的作用 结论 在接受颅骨切除术的患者中,乌拉地尔降低血压的作用与颅内压增高无相关性。 0 20 40 60 80 100 120 0 5 10 20 mm Hg ( 均值 ) 分钟 平均动脉压( MAP ) 颅内压( ICP ) N = 8 ( 颅骨切除术  ) 剂量 : 10-75 mg  Ref. Anger C et al. , J. Human hypertension: Suppl. 2, 63-64,1988 15.2 14.8 14.4 14.8 108.0 93.5 90.2 87.0
静脉制剂的血流动力学影响 对 急性卒中治疗期间病灶平均脑血流( CBF , Cerebral Blood Flow) 的作用 结论 与其他抗高血压药物相比,急性卒中治疗期间乌拉地尔组平均 CBF 变化最小。 Ref. Hartmann A. et al., Poster publication from  24 Arbeitstagung für Neurologiche Intensiv- und Notfallmedizin, Chemnitz, 2007 -35 -30 -25 -15 -10 -5 0 乌拉地尔 硝苯地平 硝普钠 平均  CBF 的变化百分比 % -20 N: 45 ( 急性卒中 ) 剂量 : 乌拉地尔 : 0,2-0,3mg/kg ( 静推 ),  继以 0,0013-0,0026 mg/kg/ min  硝苯地平 : 0,01-0,02 mg/kg ( 静推 ) 继以  0,00013-0,00026 mg/kg/min 硝普钠 : 0,0002 mg/kg/min
各类常用静脉降压药物比较 ---1 理论上
常用静脉降压药物在高血压急症的应用范围比较 1.JNC VII  2 。 EUSI 2003  3. Paul E, ect. Hypertensive Crises challenges and management. CHEST 2007; 131:1949-1962 高血压急症 合并 硝普钠 ( 1 )( 3 ) 乌拉地尔 ( 2 ) 尼卡地平 ( 1 ) 硝酸甘油 ( 1 ) 脑中风 脑病 ±   (高颅压慎用) + ±   (处方资料示禁忌: 1 )颅内出血尚未停止, 2 )脑中风急性期颅内压增高) 不建议用于高血压急症一线治疗 急性心衰 / 肺水肿 + + - (处方资料示禁忌:急性心功能不全) 急性心梗 / 心绞痛 心梗患者有增加死亡率的可能 ± (冠脉缺血慎用) + ( JNC VII  仅推荐用于冠脉缺血患者) 急性肾衰 ±   (氮质血症慎用) + + 不建议用于高血压急症一线治疗
硝酸甘油 (nitroglycerin)   血管扩张剂 作用机制  主要扩张静脉,大剂量扩张动脉 优势  扩张冠脉作用明显 缺点  1.  头痛,心动过速和低血压是首要付作用 2.  颅内压高、青光眼禁用 3.  血容量过低时谨防体位性低血压 4.  个体对剂量敏感性差别大,易耐药 应用范围: JNC VII 仅推荐用于 --  高血压合并心梗 / 心绞痛 冠脉综合症  由于硝酸甘油对动脉扩张弱, JNC VII  未推荐用于其它高血压急症 JNC VII.  Paul E, et al. Hypertensive Crises challenges and management. CHEST 2007; 131:1949-1962  , Andrew R., et al. Current Diagnosis and Management of Hypertensive Emergency. Seminars in Dialysis- Vol 19, No 6 (Nov.-Dec) 2006 pp.502-512
硝普钠 (nitroprusside sodium) 血管扩张剂 作用机制:硝普钠中的亚硝基是它的扩血管基团,可分解为 NO 引起血 管扩张。由于 NO 极不稳定,停止滴注 1 ~ 2min 血压即回升 优势  1.  起效很快,作用时间短 2.  降压作用强 3.  降压反应率高 95-100% ( 3 ) 应用范围:大部分高血压患者 1 。  Paul E, et al. Hypertensive Crises challenges and management. CHEST 2007; 131:1949-1962  2 。  William J., et al. Management of Hypertensive Crises. Current Hypertention Reports 2003, 5:486-492  3 。 Michael M. Hirschl. Guidelines for the drug treatment of hypertensive crises. Drugs 50(6): 991-1000,1995
拉贝洛儿( Labetalol) Alpha 1 and nonselective beta-blocker
肼苯哒嗪 ( hydralazine) Intracerebral shunting----IICP
可乐定( CLONIDINE ) Alpha 2adrenergic agonist acts on inhibitory neurons in the medullary vasomotor center causing a decrease in sympathetic outflow to the periphery, and resultant vasorelaxalation in both resistance and capacitance
艾司洛尔( esmolol )   β1 受体阻滞剂 是心脏选择性的短效 β 阻滞剂。 静脉注射 60s 内起效,作用持续 10 ~ 20min 。 用法:首次负荷量 500μg/kg 于 1min 内注射,接着 25 ~ 50μg/ ( kg.min )持续静脉滴注,可以每 10 ~ 20min 增加 25μg/ ( kg.min ),直至血压满意控制,最大剂量可达 300μg/ ( kg.min )。 副作用有乏力、低血压、心动过缓、多汗等。
尼卡地平 (nicardipine)  双氢吡啶类钙通道阻滞剂( CCB ) 作用机制 通过抑制血管平滑肌收缩扩张外周血管、冠状动脉、肾小动脉及 脑动脉 。 优势: 1.  降压作用快速、明显 2.  对冠脉的扩张比外周血管更强  3.  与硫氮卓酮比心脏抑制作用较弱,对心肌及传导系统无抑制作用 4.  增加肾血流量 缺点: 引起反射性心率加快 ,对急性心肌炎、心梗、左室流出道狭窄、右 心功能不全并狭窄者禁用; 当出现颅内 高压或脑出血时禁用 禁忌: 1. 颅内出血尚未完全止血的患者 2. 脑中风急性期颅内压增高的患者 3. 急性心功能不全患者
Barbiturates Allosteric activation GABA receptor  Peripheral venodilation and pooling  of  blood due to decreased sympathetic nervous system outflow from CNS.
推广描述 应对 亚宁定 缓和安全 第一时间,第一选择 硝普钠 经典 放在最后的选择 硝酸甘油 只推荐用于扩冠 佩尔 目标血压最佳选择方案,迅捷稳定的安全通道 2.  心脑肾保护的最佳解决方案 3.  有效缓解脑外科术后血管痉挛 禁忌: 1 )颅内出血尚未停止, 2 )脑中风急性期颅内压增高  3 )某些急性心功不全 2.  心率快,增加心肌耗氧 放在亚宁定之后 合贝爽 高血压急症安全有效 主要用于快速心律失常(室上速) 指南中未推荐用于高血压急症 解痉与降压剂量不同,用于降压时需考虑心肌抑制
高血压危象  / 急症  各国对于亚宁定的指南推荐— 2  指南推荐 指南推荐 推荐的级别 中国高血压防治指南( 2005 )  推荐高血压急症的静脉用药 中国脑血管病防治指南( 2005 )  脑梗死高血压处理的首选 ,  建议静脉给药最好使用微量输液泵 中国急性心衰诊断和治疗指南( 2009 )  推荐乌拉地尔作为常用的血管扩张剂  (IIa C) 欧洲卒中促进会( EUSI )卒中治疗建议( 2003 )  乌拉地尔是唯一被推荐用于初始治疗的 α- 受体阻断剂 欧洲卒中组织( ESO )缺血卒中及 TIA 的管理指南( 2008 )  乌拉地尔静脉制剂作为血压控制策略里的重要选择
亚宁定治疗高血压 4. Ref. Anger C et al. , J. Human hypertension: Suppl. 2, 63-64,1988
静推亚宁定针剂 12.5mg 静推亚宁定针剂 12.5mg 效果不明显 血压下降 15 分钟后 亚宁定剂量及使用方法  ( 静脉点滴用法 ) 1. 需 快速 降压时 :12.5mg+10ml 缓慢静推,观察 15 分钟后,再次静推,累计 75mg 2. 需 平稳 降压时 :100 - 400ug/min 的速度静脉点滴 100-400ug/min 速度静脉点滴
先以 1000ug/min 速度泵入 亚宁定剂量及使用方法  ( 输液泵用法 ) 1. 需 快速 降压时 :   1000ug/min 速度泵入 2. 需 平稳 降压时 :  亚宁定以 100 - 400ug/min 的速度泵入 100-400ug/min 速度泵入 血压下降
亚宁定剂量及使用方法 静脉给予  25 mg  乌拉地尔 静脉给予  25 mg  乌拉地尔 静脉慢速给 50 mg  乌拉地尔 通过输注药物 使血压平稳 初始 1-2 分钟内达  6 mg  ,然后减速 Ref.1. CCDS,Urapidil, parenteral 2007 2 分钟后起效 2 分钟后起效 . 2 分钟后起效 . 无效 2 分钟后 . 无效 2  分钟后 .
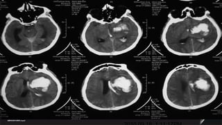
Case  Male ,47ys 2010.09.17  9:17PM Sudden onset of headache and hemiparalysis Muscle strength 0 degree, GCS11 .  BP180/120mmHg
 
2010.09.18  1:11:17PM
2010.09.18  6:07PM
 
2010.09.20  2pm
2010.09.25  9AM
2010.09.29  11AM
2010.10.07  12AM
2010.11.02  11AM
 
Thank you for your attention!

高亮:神经重症患者的血压处理

  • 1.
    神经危重症患者的血压处理 Blood pressuremanagement in the neurocritical care patients 高亮 复旦大学附属华山医院神经外科 上海市神经外科急救中心
  • 3.
    INTRODUCTION The causesof acute hypertension in a variety of brain injury paradigms The effects of hypertension on the cerebral vasculature The management of acutely elevated blood pressure in neurologic disease
  • 4.
    Cerebrovascular physiologyCBF=CPP/CVR CPP=MAP-ICP
  • 5.
  • 6.
    AUTOREGULATION ZONE SystemicBlood Pressure / MAP Cerebral Autoregulation … 40 140 Cerebral hyperperfusion Cerebral Blood Flow Adapted from: Rogers (1996) Textbook of Pediatric Intensive Care pp. 648 - 651
  • 7.
    AUTOREGULATION ZONE AUTOREGULATIONZONE Systemic Blood Pressure / MAP Cerebral DYS-Autoregulation… 40 140 Cerebral hyperperfusion Cerebral Blood Flow Adapted from: Rogers (1996) Textbook of Pediatric Intensive Care pp. 648 - 651 DYS - AUTOREGULATION
  • 8.
  • 9.
    Hypertension in acutebrain insult Presence of chronic hypertension Suspected IICP Age Etiology of hemorrhage Multiple injury Time since onset Pain ,anxiety, withdrawal medications and certain illicit drugs
  • 10.
    伤后 5h ,GCS 13 伤后 6 天 ,GCS 12 分 伤后第 7 天, GCS 4-5 分 Case
  • 11.
    伤后 14 天,GCS 12 分 伤后 21 天出院 随访 MRI
  • 12.
    SPECIFIC CLINICALENTITIES Intracerebral hemorrhage Hypertensive encephalopathy sSAH (pre/postclipping) Ischemic stroke TBI Carotid endarterectomy
  • 13.
    Blood Pressure--- RecommendationsUntil ongoing clinical trials of BP intervention for ICH are completed, physicians must manage BP on the basis of the present incomplete efficacy evidence. Current suggested recommendations for target BP listed in Table 6 and may be considered (IIb-C). (Unchanged! ) In patients presenting with a systolic BP of 150 to 220 mm Hg, acute lowering of systolic BP to 140 mm Hg is probably safe (IIa-B). (New!) Guideline for management of spontaneous intracerebral hemorrhage STROKE 2010
  • 14.
    Suggested Guidelines forTreating Elevated BP in s-ICH If SBP is >200 mmHg or MAP is >150 mmHg, consider aggressive reduction of BP with continuous i.v. infusion, with frequent BP monitoring every 5 min. If SBP is >180 mmHg or MAP is >130 mmHg and there is the possibility of elevated ICP, consider monitoring ICP and reducing BP using intermittent or continuous i.v. medications while maintaining a CPP>60 mm Hg. If SBP is >180 mmHg or MAP is >130 mmHg and there is not evidence of elevated ICP, then consider a modest reduction of BP (eg: MAP of 110 mmHg or target BP of 160/90 mmHg) using intermittent or continuous i.v. medications to control BP and clinically reexamine the patient every 15 min.
  • 15.
    Aneurysmal SAH Therelationship between hypertension and aneurysmal SAH is uncertain. However, treatment of high blood pressure with antihypertensive medication is recommended to prevent ischemic stroke, intracerebral hemorrhage, and cardiac, renal, and other end-organ injury. (I-A) Blood pressure should be monitored and controlled to balance the risk of stroke , hypertension-related rebleeding and maintenance of CPP (I-B) Minimizing the degree and duration of intraoperative hypotension during aneurysm surgery is probably indicated (IIa-B) One reasonable approach to symptomatic cerebral vasospasm is triple-H therapy. Guideline for management of a-SAH STROKE 2009
  • 16.
    高血压对重要脏器功能的影响 (一) 高血压对心血管功能的影响1 、外周阻力增加  左室后负荷  -- 心肌代偿性增厚,心脏肥大 --- 心脏扩大—心功能不全 2 、 冠状动脉细小分支管壁增厚 - 血流储备能力  -- 心肌缺血,心绞痛 --- 心肌缺血 心梗 心肌耗氧量增加,氧供减少 --
  • 17.
    高血压对重要脏器功能的影响 高血压对脑功能的影响 1、脑血流自身调节功能:调节曲线右移,是一个自身保护反应 上限偏移调节 可防止血压急剧上升造成 的脑血流突然异常增加 下限右移调节 不利于脑血流供应,一旦 血压下降更易发生脑缺血 2 、腔隙性脑梗塞发生率  3 、急性脑水肿
  • 18.
    血压水平的定义和分类 类 别 收缩压 ( mmHg ) 舒张压 ( mmHg ) 理想血压 <120 <80 正常血压 <130 <85 正常高值 130 ~ 139 85 ~ 89 1 级高血压(轻度) 140 ~ 159 90 ~ 99 亚组:临界高血压 140 ~ 149 90 ~ 94 2 级高血压(中度) 160 ~ 179 100 ~ 109 3 级高血压(重度) ≥ 180 ≥ 110 单纯收缩期高血压 ≥ 140 <90 亚组:临界收缩期高血压 140 ~ 149 <90
  • 19.
    高血压的危险分层 危险因素 和病史血压 1 级 2 级 3 级 Ⅰ . 无其他危险因素 低危 中危 高危 Ⅱ .1 ~ 2 个危险因素 中危 中危 极高危 Ⅲ . ≥3 个危险因素或靶器 官损害或糖尿病 高危 高危 极高危 Ⅳ . 并存临床情况 极高危 极高危 极高危
  • 20.
    影响预后的因素 心血管疾病的危险因素 靶器官损害合并的临床状况 用于危险分层的危险因素: 收缩压和舒张压的水平( 1 ~ 3 级) 男性 >55 岁 , 女性 >65 岁 吸烟 总胆固 >5.72mmol/L 糖尿病 早发心血管疾病家族史(发病年龄男 <55 岁,女 <65 岁) 加重预后的其他危险因素 高密度脂蛋白胆固醇降低 低密度脂蛋白胆固醇升高 糖尿病伴微量白蛋白尿 葡萄糖耐量减低 肥胖 以静息为主的生活方式 血浆纤维蛋白原增高 左心室肥厚 ( 心电图、超声心动图或 X 线 ) 蛋白尿和(或)血浆肌酐水平轻度升高 106 ~ 177 µ mmol/ L ( 1.2 ~ 2.0mg/dL ) 超声或 X 线证实有动脉粥样硬化斑块(颈、髂、股或主动脉) 视网膜普遍或灶性动脉狭窄 脑血管疾病 缺血性脑卒中 脑出血 短暂性脑缺血发( TIA ) 心脏疾病 心肌梗死 心绞痛 冠状动脉血运重建 充血性心力衰竭 肾脏疾病 糖尿病肾病 肾功能衰竭(血肌酐水平 >177 µ mmol/ L 或 2.0mg/dL ) 血管疾病 夹层动脉瘤症 症状性动脉疾病 重度高血压性视网膜病变 出血或渗出 视乳头水肿
  • 21.
    高血压分期 Ⅰ 期 有高血压, 无 靶器官损害 Ⅱ 期 有高血压, 有 一项靶器官损害,但为功 能代偿期 左室肥大( X- 线、心电图、超声心动图) 眼底动脉狭窄 蛋白尿和 / 或轻度血肌酐升高 ( 12 ~ 20 mg/L ) 动脉粥样硬化斑块(主动脉、股动脉或颈动脉) Ⅲ 期 有高血压,有一项靶器官 失代偿 心 心绞痛、心肌梗塞、心力衰竭 脑 短暂性脑缺血发作,脑血管意外,高血压脑病 眼 眼底出血或渗出,伴或不伴视乳头水肿 肾 血肌酐 > 20 mg/L 动脉瘤 下肢的阻塞性动脉疾病
  • 22.
    NICU 高血压处理的基本原则 有效性安全性 不减少重要器官 的血流供应 适度 防治低血压 起效迅速 可控 平稳降压不反跳
  • 23.
    亚宁定概述 【药品名称】 通用名称:盐酸乌拉地尔注射液 【规格】 5ml:25mg 每支( 5ml )注射液含 27.35mg 盐酸乌拉地尔(相当于 25mg 乌拉地尔)。 【适应症】 用于治疗高血压危象(如血压急剧升高),重度和极重度高血压以及难治性高血压。 用于控制围手术期高血压。
  • 24.
    作用机制 中枢和外周 中枢作用 外周作用 乌拉地尔 降低动脉收缩压和舒张压 交感神经节 NA: 去甲肾上腺素 脑干 5HT 1A 受体 乌拉地尔 刺激中枢 5 羟色胺( HT ) 1A 受体 阻断外周 α 1 - 受体 肾脏 维持或增加 肾脏血流 NA 非反射性 心动过速 心脏 NA 交感张力 NA 5- 羟色胺能神经元 放电频率 减少外周阻力 血管 α 1 α 1 α 1 α 1 α 1
  • 25.
    药物代谢动力学特征 广泛的肝脏代谢 一种主要的无活性代谢产物和两种次要的活性代谢产物50 - 70% 的乌拉地尔通过肾脏清除, 10 - 15% 为原形 平均 T 1/2 为 2 - 4.8 小时 肝功能不全 : T 1/2 延长 肾功能不全 : T 1/2 轻微延长 老年患者 : T 1/2 延长约 2 倍 未发现乌拉地尔与其他抗高血压药物有临床重要的药代动力学相互作用 西米替 西 可使乌拉地尔 AUC 增加 61% ,并可能使乌拉地尔血清水平升高 15% ,但 T 1/2 无改变。应考虑减少乌拉地尔剂量 亚宁定 3 - 5 分钟内既可起效 静脉注射 25mg 后 ,15 分钟外周血管阻力下降 18 %, 30 分钟下降 30 %。
  • 26.
    血液动力学作用 中枢对于心率无显著影响 1 降低原发性高血压和冠状动脉疾病患者的前 / 后负荷,从而改善心脏输出 1 有证据显示可降低左室质量指数,并可改善心脏功能 2 外周 降低总体外周血管阻力 1 降低肺动脉血管阻力优于系统血管阻力 3 在中度高血压且肾功能正常患者中,可增加肾血流和降低肾血管阻力 1 Ref. 1. Langtry HD et. Al., Drugs; 38 (6) : 900-40, 1989 (Dec) 2.Sheiban I. Eur.Heart J 13 Suppl.,A: 37-44. 1992 (Jun) 3. Adnot S et al. American Review of Respiratory Disease 135;288-293 1987
  • 27.
    静脉制剂的血流动力学作用 对颅内压( ICP)的作用 结论 在接受颅骨切除术的患者中,乌拉地尔降低血压的作用与颅内压增高无相关性。 0 20 40 60 80 100 120 0 5 10 20 mm Hg ( 均值 ) 分钟 平均动脉压( MAP ) 颅内压( ICP ) N = 8 ( 颅骨切除术 ) 剂量 : 10-75 mg Ref. Anger C et al. , J. Human hypertension: Suppl. 2, 63-64,1988 15.2 14.8 14.4 14.8 108.0 93.5 90.2 87.0
  • 28.
    静脉制剂的血流动力学影响 对 急性卒中治疗期间病灶平均脑血流(CBF , Cerebral Blood Flow) 的作用 结论 与其他抗高血压药物相比,急性卒中治疗期间乌拉地尔组平均 CBF 变化最小。 Ref. Hartmann A. et al., Poster publication from 24 Arbeitstagung für Neurologiche Intensiv- und Notfallmedizin, Chemnitz, 2007 -35 -30 -25 -15 -10 -5 0 乌拉地尔 硝苯地平 硝普钠 平均 CBF 的变化百分比 % -20 N: 45 ( 急性卒中 ) 剂量 : 乌拉地尔 : 0,2-0,3mg/kg ( 静推 ), 继以 0,0013-0,0026 mg/kg/ min 硝苯地平 : 0,01-0,02 mg/kg ( 静推 ) 继以 0,00013-0,00026 mg/kg/min 硝普钠 : 0,0002 mg/kg/min
  • 29.
  • 30.
    常用静脉降压药物在高血压急症的应用范围比较 1.JNC VII 2 。 EUSI 2003 3. Paul E, ect. Hypertensive Crises challenges and management. CHEST 2007; 131:1949-1962 高血压急症 合并 硝普钠 ( 1 )( 3 ) 乌拉地尔 ( 2 ) 尼卡地平 ( 1 ) 硝酸甘油 ( 1 ) 脑中风 脑病 ± (高颅压慎用) + ± (处方资料示禁忌: 1 )颅内出血尚未停止, 2 )脑中风急性期颅内压增高) 不建议用于高血压急症一线治疗 急性心衰 / 肺水肿 + + - (处方资料示禁忌:急性心功能不全) 急性心梗 / 心绞痛 心梗患者有增加死亡率的可能 ± (冠脉缺血慎用) + ( JNC VII 仅推荐用于冠脉缺血患者) 急性肾衰 ± (氮质血症慎用) + + 不建议用于高血压急症一线治疗
  • 31.
    硝酸甘油 (nitroglycerin) 血管扩张剂 作用机制 主要扩张静脉,大剂量扩张动脉 优势 扩张冠脉作用明显 缺点 1. 头痛,心动过速和低血压是首要付作用 2. 颅内压高、青光眼禁用 3. 血容量过低时谨防体位性低血压 4. 个体对剂量敏感性差别大,易耐药 应用范围: JNC VII 仅推荐用于 -- 高血压合并心梗 / 心绞痛 冠脉综合症 由于硝酸甘油对动脉扩张弱, JNC VII 未推荐用于其它高血压急症 JNC VII. Paul E, et al. Hypertensive Crises challenges and management. CHEST 2007; 131:1949-1962 , Andrew R., et al. Current Diagnosis and Management of Hypertensive Emergency. Seminars in Dialysis- Vol 19, No 6 (Nov.-Dec) 2006 pp.502-512
  • 32.
    硝普钠 (nitroprusside sodium)血管扩张剂 作用机制:硝普钠中的亚硝基是它的扩血管基团,可分解为 NO 引起血 管扩张。由于 NO 极不稳定,停止滴注 1 ~ 2min 血压即回升 优势 1. 起效很快,作用时间短 2. 降压作用强 3. 降压反应率高 95-100% ( 3 ) 应用范围:大部分高血压患者 1 。 Paul E, et al. Hypertensive Crises challenges and management. CHEST 2007; 131:1949-1962 2 。 William J., et al. Management of Hypertensive Crises. Current Hypertention Reports 2003, 5:486-492 3 。 Michael M. Hirschl. Guidelines for the drug treatment of hypertensive crises. Drugs 50(6): 991-1000,1995
  • 33.
    拉贝洛儿( Labetalol) Alpha1 and nonselective beta-blocker
  • 34.
    肼苯哒嗪 ( hydralazine)Intracerebral shunting----IICP
  • 35.
    可乐定( CLONIDINE )Alpha 2adrenergic agonist acts on inhibitory neurons in the medullary vasomotor center causing a decrease in sympathetic outflow to the periphery, and resultant vasorelaxalation in both resistance and capacitance
  • 36.
    艾司洛尔( esmolol ) β1 受体阻滞剂 是心脏选择性的短效 β 阻滞剂。 静脉注射 60s 内起效,作用持续 10 ~ 20min 。 用法:首次负荷量 500μg/kg 于 1min 内注射,接着 25 ~ 50μg/ ( kg.min )持续静脉滴注,可以每 10 ~ 20min 增加 25μg/ ( kg.min ),直至血压满意控制,最大剂量可达 300μg/ ( kg.min )。 副作用有乏力、低血压、心动过缓、多汗等。
  • 37.
    尼卡地平 (nicardipine) 双氢吡啶类钙通道阻滞剂( CCB ) 作用机制 通过抑制血管平滑肌收缩扩张外周血管、冠状动脉、肾小动脉及 脑动脉 。 优势: 1. 降压作用快速、明显 2. 对冠脉的扩张比外周血管更强 3. 与硫氮卓酮比心脏抑制作用较弱,对心肌及传导系统无抑制作用 4. 增加肾血流量 缺点: 引起反射性心率加快 ,对急性心肌炎、心梗、左室流出道狭窄、右 心功能不全并狭窄者禁用; 当出现颅内 高压或脑出血时禁用 禁忌: 1. 颅内出血尚未完全止血的患者 2. 脑中风急性期颅内压增高的患者 3. 急性心功能不全患者
  • 38.
    Barbiturates Allosteric activationGABA receptor Peripheral venodilation and pooling of blood due to decreased sympathetic nervous system outflow from CNS.
  • 39.
    推广描述 应对 亚宁定缓和安全 第一时间,第一选择 硝普钠 经典 放在最后的选择 硝酸甘油 只推荐用于扩冠 佩尔 目标血压最佳选择方案,迅捷稳定的安全通道 2. 心脑肾保护的最佳解决方案 3. 有效缓解脑外科术后血管痉挛 禁忌: 1 )颅内出血尚未停止, 2 )脑中风急性期颅内压增高 3 )某些急性心功不全 2. 心率快,增加心肌耗氧 放在亚宁定之后 合贝爽 高血压急症安全有效 主要用于快速心律失常(室上速) 指南中未推荐用于高血压急症 解痉与降压剂量不同,用于降压时需考虑心肌抑制
  • 40.
    高血压危象 /急症 各国对于亚宁定的指南推荐— 2 指南推荐 指南推荐 推荐的级别 中国高血压防治指南( 2005 ) 推荐高血压急症的静脉用药 中国脑血管病防治指南( 2005 ) 脑梗死高血压处理的首选 , 建议静脉给药最好使用微量输液泵 中国急性心衰诊断和治疗指南( 2009 ) 推荐乌拉地尔作为常用的血管扩张剂 (IIa C) 欧洲卒中促进会( EUSI )卒中治疗建议( 2003 ) 乌拉地尔是唯一被推荐用于初始治疗的 α- 受体阻断剂 欧洲卒中组织( ESO )缺血卒中及 TIA 的管理指南( 2008 ) 乌拉地尔静脉制剂作为血压控制策略里的重要选择
  • 41.
    亚宁定治疗高血压 4. Ref.Anger C et al. , J. Human hypertension: Suppl. 2, 63-64,1988
  • 42.
    静推亚宁定针剂 12.5mg 静推亚宁定针剂12.5mg 效果不明显 血压下降 15 分钟后 亚宁定剂量及使用方法 ( 静脉点滴用法 ) 1. 需 快速 降压时 :12.5mg+10ml 缓慢静推,观察 15 分钟后,再次静推,累计 75mg 2. 需 平稳 降压时 :100 - 400ug/min 的速度静脉点滴 100-400ug/min 速度静脉点滴
  • 43.
    先以 1000ug/min 速度泵入亚宁定剂量及使用方法 ( 输液泵用法 ) 1. 需 快速 降压时 : 1000ug/min 速度泵入 2. 需 平稳 降压时 : 亚宁定以 100 - 400ug/min 的速度泵入 100-400ug/min 速度泵入 血压下降
  • 44.
    亚宁定剂量及使用方法 静脉给予 25 mg 乌拉地尔 静脉给予 25 mg 乌拉地尔 静脉慢速给 50 mg 乌拉地尔 通过输注药物 使血压平稳 初始 1-2 分钟内达 6 mg ,然后减速 Ref.1. CCDS,Urapidil, parenteral 2007 2 分钟后起效 2 分钟后起效 . 2 分钟后起效 . 无效 2 分钟后 . 无效 2 分钟后 .
  • 45.
    Case Male,47ys 2010.09.17 9:17PM Sudden onset of headache and hemiparalysis Muscle strength 0 degree, GCS11 . BP180/120mmHg
  • 46.
  • 47.
  • 48.
  • 49.
  • 50.
  • 51.
  • 52.
  • 53.
  • 54.
  • 55.
  • 56.
    Thank you foryour attention!

Editor's Notes

  • #6 This relationship between ICP, mean arterial pressure (MAP), and cerebral perfusion pressure (CPP) can be appreciated by the equation CPP=MAP-ICP (1). In normal children ICP is &lt;20 mm Hg, and MAP is 70-80 mm Hg, which provides a normal CPP ranging from 50-60 mm Hg (1). Thus, accordingly an increase in ICP, or decrease in MAP can decrease blood flow into the brain. When CPP is &lt;40 mm Hg, ischemia occurs as proper cerebral blood flow (CBF) cannot be maintained (1). This simplified equation attempts to explain a very complicated pathophysiologic process. Controlled by chemical mediators that produce vasoconstriction and vasodilatation of the blood vessels, CBF is constantly changing to meet the brain&apos;s metabolic demands. The most potent chemical mediator is the arterial partial pressure of carbon dioxide (pCO2), which is directly proportional to CBF. The arterial partial pressure of oxygen (pO2) is indirectly proportional to CBF, but it is not as potent a vasoactive mediator as pCO2. In the acute management of the patient with a severe head injury, these values are manipulated via intubation and mechanical ventilation to maximize CPP.
  • #17 00:47
  • #18 01:31
  • #19 2003 年 5 月中旬和 6 月初,美国和欧洲相继发布了各自新的高血压防治指南,即《美国高血压预防、检测、评估和治疗全国联合委员会第7次报告》( JNC7 )和《 2003 年欧洲高血压防治指南》 (ESH) ,这两个指南既有共同点,也存在不同之处。 JNC7 将血压简化为四类,正常:收缩压( SBP ) &lt;120mmHg 和舒张压( DBP ) &lt;80mmHg ;高血压前期: SBP120-139mmHg 或 DBP80-90mmHg ; 1 级高血压: DBP140-159mmHg 或 DBP90-99 mmHg ; 2 级高血压: DBP≥160mmHg 或 DBP≥100 mmHg 。而 ESH 基本保持了 1999 年 WHO (世界卫生组织)及 ISH (世界高血压联盟)血压的分类标准,
  • #20 值得注意的是: 1. 这个标准没有年龄、性别之分; 2. 患者继往有高血压史,目前正服用抗高血压药物,即使血压已低于 140/90 mmHg ,仍应诊断为高血压; 3. 是否给降压治疗,不仅要根据血压水平,还要根据其他危险因素的数量及程度 1. 很高危、高危患者:开始药物治疗 2. 中危:随访监测 3-6 个月,如果血压仍然升高,开始药物治疗 3. 低危:随访监测 6-12 个月,如果血压仍然升高,开始药物治疗
  • #23 04:14
  • #25 乌拉地尔是一种血管舒张剂。乌拉地尔属于复合性药物,呈现出至少 2 种不同的药理学作用。乌拉地尔主要是通过与外周突触后 α1- 受体相互作用,从而减少血管阻力,降低血压。然而,乌拉地尔也拮抗突触后 α2- 受体,但程度相对较轻。此外,乌拉地尔通过刺激后脑 5HT-1A 受体而发挥中枢降压作用。乌拉地尔的 5HT-1A 激动作用可降低 5 羟色胺能神经元放电频率,减少放电频率可抑制对交感神经元的刺激。 这种抑制作用通过降低受体水平的 NA 浓度而抑制交感神经系统活性。交感张力的降低也归因于降低外周阻力,并从而降低血压。尽管乌拉地尔具有血管扩张和降压作用, 但是其降低交感张力的作用不会导致反射性心动过速并且是支持其作用机制的核心所在。然而,乌拉地尔的中枢肾上腺阻断也可能导致反射性心动过速消除 。对于交感张力的影响使得乌拉地尔可能维持肾脏灌注。有一些证据显示,尽管治疗期间可能升高去甲肾上腺素水平,但乌拉地尔可能降低高血压患者的去甲肾上腺素的敏感性而降低血压。
  • #26 亚宁定起效迅速 , 如果静脉首剂给药 25mg 后 ,3-5 分钟即可通过中枢和外周两个途径起作用 , 并且在 15 分钟内使得外周血管阻力下降 18%, 静脉给药的半衰期大概在 2-4.8 小时左右
  • #27 本张片子总结了乌拉地尔的中枢和外周的血液动力学作用。如前所述乌拉地尔的中枢作用可以解释其不会诱导心动过速的原因。这一作用在多项临床研究中已得以证实,包括口服制剂和静脉制剂 在原发性高血压患者和冠状动脉疾病患者中,乌拉地尔降低前负荷(肺毛细血管楔压和肺动脉终末舒张压)和后负荷(系统血管阻力)的作用已得以证实。 在围手术期和术后高血压患者中,乌拉地尔可改善每搏输出量、心输出量和心脏指数(心脏指数是心脏输出 / 体表面积的血管动力学参数,因此,代表心脏功能与个体大小的比值)。 三项小规模非对照试验 (n = 15-20 ) 纳入轻中度高血压患者,口服乌拉地尔 60-180 mg/ 日,治疗 6 个月,显著改善左室超声心动检测结构和功能特征参数。然而,在另一项小规模研究中,乌拉地尔 (30 mg ,日 2 次治疗 7 周 ) 并未显示出相同的作用。 总体外周血管阻力的降低主要是由于外周突触后 α1- 受体阻断和抑制交感神经活性所致。通常将血管扩张剂分为:主要作用于动脉阻力血管(例如,肼屈嗪、氯甲苯噻嗪、米诺地尔);主要作手于静脉容量支(例如,亚硝酸盐);和作用于两种血管(例如硝酸盐、乌拉地尔、哌唑嗪和其他 α- 受体阻断剂)。这些差异可以解释为什么乌拉地尔可以降低肺血管阻力强于系统血管阻力。后面会介绍一项对比乌拉地尔和肼屈嗪的研究,发现在轻度高血压且肾功能正常患者中,乌拉地尔可降低肾血管阻力,增加肾血流,这些作用可以用乌拉地尔的双重作用机制(参见作用机制的 slide )进行解释。
  • #28 行颅骨切除术期间,高血压急症和术后高血压对于颅内压的维持有着重要影响 。降低颅内压可导致低灌注和脑细胞缺氧风险增高。颅内压增高可增加出血和压力风险。本项研究纳入 8 例行颅内手术的患者,结果显示乌拉地尔降低平均动脉压而不增加颅内压。然而,在 2 例头部外伤所致颅内压增高的高血压患者,乌拉地尔可增高颅内压。可能是由于乌拉地尔不能影响脑的压力反射机制,但这一原因尚不明确。
  • #29 本张片子显示了乌拉地尔、硝苯地平和硝普钠对急性卒中患者 CBF 的影响, CBF 的变化通常与 IBP 变化相关。相同剂量情况下,乌拉地尔对于病灶 CBF 的作用有限。硝苯地平和硝普钠分别增高 2-3 倍。
  • #41 以上来自中国和欧洲的各类指南都推荐亚宁定作为高血压危象的一线治疗药物 , 尤其是在卒中领域被唯一推荐的静脉降压治疗方案
  • #42 09:23
  • #43 11:07
  • #44 11:44
  • #45 12:06 为了控制围手术期和术后高血压,初始给予 25 mg 静推,如无效 2 分钟后可重复给药,随后如无效 2 分钟后可增加至 50 mg 。维持输注速度为初始 1-2 分钟内达 6 mg ,然后根据疗效减速