Шүдний өсөлт хөгжил
Насс-308
Ж.Урандэлгэр
ШҮДНИЙ ӨСӨЛТ ХӨГЖИЛ
• ХНАС-ын эмнэл зүйд:
Үүний тулд сүүн шүд ба байнгын шүдний
хэвийн өсөлт хөгжлийг таньж мэдэх нь чухал
Шүдгүй байх
үе
Байнгын
шүдний эгнээ
бий болох
Эмчилгээ, оношлогоо
Дэд сэдвүүд-ШҮД БҮРЭЛДЭХ
1. Шүдний эх үүсгэвэр тавигдах
1. Шүдний эх үүсгэвэр үүсч хөгжих
2. Шүдний цөгц ба сурвалжийн өсөлт
2. Шүдний өсөлт хөгжлийн үе шат
1. ӨСӨЛТИЙН ҮЕ
2. ЭРДЭСЖИХ ҮЕ
3. ШҮД ШҮДЛЭХ ҮЕ
4. ЭЛЭГДЛИЙН ҮЕ
5. ШИМЭГДЭХ ҮЕ
3. Шүдний өсөлт хөгжлийг үнэлэх арга
1. Сүүн ба байнгын шүдний өсөлт хөгжил
2. Рентгэн шинжилгээгээр өсөлт хөгжлийг үнэлэх
1. Шүд хэлбэржих үеийн гажиг
1. Шүдний эх үүсгэвэрийн хэлбэржилт эхлэх үе, хуваагдлын үеийн өсөлт хөгжлийн гажиг
2. Эд ялгаран хөгжих үеийн өсөлт хөгжлийн гажиг
3. Хэлбжр ялгаран хөгжих үеийн өсөлт хөгжлийн гажиг
4. Коллаген хуримтлагдах үе, эрдэсжилтын үеийн хатуу эдийн хэлбэржилтийн өсөлт
хөгжлийн гажиг
Шүд бүрэлдэх
1. Шүдний эх үүсгэвэр тавигдах
1.1 Шүдний эх үүсгэвэр үүсч хөгжих
1.1.1 Сүүн шүдний эх үүсгэвэр тавигдах
Шүдний
хөхлөг,
тугалмай
н эд үүснэ
Шүдний
нум
Салстын
хучуур эдийн
суурийн
давхарга
зузаарна
Шүдний
ялтас
үүсгэнэ
Шүдний эх
үүсгэвэр
үүсч
хөгжинө
Паалангийн
эд
хэлбэржинэ
Эктодерм
эндодерм
Паалангийн
эрхтэн,
шүдний
хөхлөг үүсч
хөгжинө
Шүдний
уутанцар
Шүдний
сурвалж
ясжмаг эд,
холбоос эд
үүснэ
Ху.эдийн
дотогш
түрсэн
эндодерм
ээс Хучуур
эдээс
УХ 6д.х
/ургийн урт
10-13 мм/
УХ 8д.х
Эрүү хоншоорны нийт
20 ш сүүн шүд
Сүүн шүдний эх
үүсгэвэр гэнэ.
Бундуу хэлбэрийн үе
эхэлнэ.
УХ 10д.х
Малгай хэлбэрийн
үе эхэлнэ
Хонх хэлбэртэй
болно.
Паалангийн ху.эд- амелобласт- паалан
Хөхлөг- одонтобласт- тугалмай
Ийнхүү шүдний
цөгцөн хэсгийн
хэлбэржилт явагдана.
1.1.2 байнгын шүдний эх үүсгэвэр
тавигдах
• Сүүн шүд ХОНХ хэлбэртэй болох үед түүний хэлэн
талд шүдний ялтас сунаж дараагийн шүдний эх
үүсгэвэр үүсч эхэлнэ.
• Эндээс үүсч хөгжсөн байнгын шүд нь үүдэн шүд,
соёо, бага араа шүд болно.
• Их араа шүд нь сүүн шүдний эх үүсгэвэр дистал
талруу сунасан хэсгээс үүсч хөгжинө.
2.Шүдний цөгц ба сурвалжийн өсөлт хөгжил
2.1 сүүн шүдний эрдэсжилт
• Тугалмайн эд—цөгцний
хэсгээс эхлэн хүзүүвчийн
чиглэлд дотор талруу тархаж,
зөөлцийн хөндийрүү нарийсна.
• Паалан-шүдний
хүзүүвчийн чиглэлд гадна
талруу тархана.
Ургийн үед эхийн эрүүл мэнд, хооллолтын байдал хямрахад
эрдэсжилтийн эмгэг гажиг үүсч болно
Ургийн 4 сар-сүүн төвийн үүдэн шүд
Ургийн 6 сар-сүүн 2-р араа
2.2 шүдний цөгц, шүдний сурвалж бүрэн
хэлбэржих
Сүүн үүдэн шүдний цөгц-1.5-2.5сартайд
Сүүн 2-р араа шүдний цөгц- 10-11
сартайд
• Гэх мэт төрсний дараа 1 жилийн
дотор сүүн шүднүүдийн хэлбэржилт
бүрэн дуусдаг.
• Цөгцний хэлбэржилт дуусах үеээс
паалангийн хучуур эдийн гадна ба
дотно хөдөлгөөнт хэсэг нь
сурвалжийн оройн чиглэлд хөгжиж
сурвалж хэлбэржинэ.
• Hertwig-хучуур эдийн бүрхүүл
шүдний цөгцний хэсэгт
үргэлжлэн шүдний ялтаснаас үүссэн
тугалмай, шүдний уутанцараас үүсэх
ясжмаг эд нь шүдний сурвалжийн
хэлбэржилтийг хангана.
2.3 Сүүн шүдний сурвалжийн шимэгдэлт
• Сүүн шүд нь физиологийн шимэгдэлтийн үед
унаж, дараагийн байнгын шүдээр солигддог.
2.4 байнгын шүдний эрдэсжилт
Төрсний дараа 3 жилийн
дотор төвийн үүдэн шүднээс
эхлэн 2-р их араа хүртэл ээлж
дарааллан эрдэсжилт явагддаг.
Харин 1-р их араа шүд нь
хамгийн эрт буюу төрөх үед
эхэлдэг
Шүдний цөгц хэлбэржих
хугацаа нь сүүн шүдэнд
3-6 жил болдог.
1-р их араа шүдний цөгц
бүрэн хэлбэржих нь 3 нас
бөгөөд энэ үеээс эхлэн
2-р их араа шүд эрдэсжилт
эхэлнэ.
Шүдний өсөлт хөгжлийн үе шат
• Шүдний өсөлт хөгжлийн процесс гэдэг
нь: шүдний эх үүсгэвэр тавигдахаас
эхлэн шүд шүдлэх элэгдэх хүртэлх
удаан хугацааны өөрчлөлтийг хэлнэ.
1. Өсөлтийн үе
1. эхлэх үе-шүдний ялтас бий болох, шүдний эх үүсгэвэрийн ху.эдийн
зузаарлаас үүснэ. /УХ 6д.х/
2. Хуваагдлын үе: шүдний эх үүсгэвэрийн эсүүд хуваагдан олширч BUD
хэлбэртэй болох үе. Паалангийн эрхтэн үүсч хөгжинө. /УХ 8д.х/
3. Эд ялгаран хөгжих үе: эсүүд ялгаран хөгжиж шүдний хөхлөг, шүдний
уутанцар хэлбэржих үе амелобласт, одонтобласт ялгаран хөгжинө.
Хонх хэлбэртэй болно.
4. Хэлбэр ялгаран хөгжин үе: амелобласт, одонтобласт эсүүд хил
хязгаар тодорхой болно. Шүдний уутанцараас цементобласт үүснэ.
Ирээдүйн шүдний цөгц, сурвалжийн хэмжээ, хэлбэр тодорхой болно.
5. Коллаген хуримтлагдах үе
2. Эрдэсжих үе
• Нэмэгдэж олширсон үндсэн эдэд эрдэс
давсууд хуримтлагдан, эдүүд хөгжиж бат
бэх болох үе
3.Шүд шүдлэх үе
• Эрүүний ясан дотор шүд шилжиж, бул амны
салстыг нэвтлэн цухуйж шүдлэн эсрэг
шүдтэйгээ хорших хүртэл үе
4. Элэгдлийн үе
• Шүд шүдлэж дууссаны дараа үйл
ажиллагааны дүнд хоршиж байгаа шүднүүд
хоорондоо элэгдэл үүсгэх үе
5. Шимэгдэх үе
• Сүүн шүдний
сурвалжинд
одонтокласт эсийн
улмаас шимэгдэлт
явагдах үе.
физиологийн- шимэгдэх
ёстой цагтаа шимэгдэнэ
Эмгэг- шимэгдэх ёстой
цагаасаа эрт, хожуу, огт
шимэгдэхгүй
байх...
3. Шүдний өсөлт хөгжлийг үнэлэх арга
• Сүүн шүдний өсөлт хөгжил
Шүд Эх
үүсгэвэр
тавигдах
Эрдэсжил
т эхлэх
Цөгц
хэлбэржи
х
Сурвалж
хэлбэржи
х
Сурвалж
шимэгдэх
Төвийн
үүдэн
УХ 7д.х УХ 4-4.5
сар
1.5-2.5 сар 1.5 нас 4нас
Хажуу
үүдэн
УХ 7д.х УХ 4.5 сар 2.5-3 сар 1.5-2 нас 5нас
Соёо УХ 7.5 д.х УХ 5 сар 9сар 3.25нас 7нас
1араа УХ 8 д.х УХ 5 сар 5.5-6 сар 2.5 нас 8нас
2 араа УХ 10 д.х УХ 6 сар 10-11 сар 3нас 8нас
• Байнгын шүдний өсөлт хөгжил
Шүд Эх үүсгэвэр
тавигдах
Эрдэсжилт
эхлэх
Цөгц
хэлбэржих
Сурвалж
хэлбэржих
Сурвалж
шимэгдэх
1-р их араа УХ 3.5-4 сар Төрөх үе 2.5-3нас 9-10нас -
Төвийн
үүдэн
УХ 5-
5.25сар
3-4сар 4-5нас 9-10нас -
Хажуу үүдэн УХ 5-5.5 сар 10-12сар 4-5нас 10-11нас -
Соёо УХ 5.5-6сар 4-5сар 6-7нас 12-15нас -
1 бага араа Төрөх үе 1.5-2нас 5-6нас 12-13нас -
2-р бага
араа
7.5-8сар 2-2.5нас 6-7нас 12-14нас -
2р их араа 8.5-9сар 2.5-3нас 7-8нас 14-16нас -
3-р их араа 3.5-4нас 7-10нас 12-16 нас 18-25нас -
Рентген шинжилгээгээр өсөлт
хөгжлийг үнэлэх
Nolla рентген зургаар эрдэсжилт, хэлбэржилтийн хөгжлийг 10 үе шат болган ангилсан
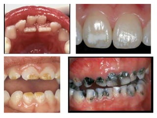
Шүд хэлбэржих үеийн гажиг
шүдний өсөлт хөгжил ба хэлбэржих үеийн гажиг
Өсөлтийн үе
Эрдэсжих
үе
Шүд шүдлэх
үе
Элэгд
лийн
үе
Эхлэх үе-
хуваагдлын үе
Эд ялгаран
хөгжих үе
Хэлбэр
ялгаран
хөгжих үе
Зохицлын үе
Гажигийн
онцлог
Шүдний тооны
гажиг
Бүтцин гажиг Хэлбэрийн
гажиг
Хэмжээний
гажиг
Эрдэсжилтийн
гажиг
Шүдлэлтийн
гажиг
Элэгдл
ийн
гажиг
Пааланги
йн дутуу
хөгжил
• Нянгийн бус
эмгэг: хэсгийн
болон
ерөнхий
• Төрөлхийн
гажигууд:үүдэ
н шүд агт араа
бага араа г.м
• Паалангий
н дутуу
хөгжил
/амелобла
ст эс/
• Динтиноге
нез
/одонтобла
ст/
• А вит
дутагдлын
эмгэг
/шүдний
ху.эдийн/
• Гетчинсоны
шүд
• Mulberry
molar
• Microdont
/жижиг
шид/
• Паалангийн
дутуу
хөгжил::
системийн
ба хэсгийн
• Chronologic
al
hypoplasia
• Localized
enamel pit
• Тугалмайн
дутуу
хөгжил
• Hepocalcific
ation
• Motted
teeth
• Паалангийн
зөөлрөлт
• Интерглобу
ляр
тугалмай
• Хожуу
шүдлэх:1 ба
олон шүд
• Infraversion
dentition
• Infravertion
tooth
• Давхар шүд
• Байрлалын
гажигтай шүд
Маш
бага
элэгдэл
Пааланги
йн хэт
хөгжил
Үлдэгдэл ху.эд—
уйланхай
Шүдний ху.эд—
паалангийн
ху.эдийн
хавдар
Илүү төвгөр
Илүү шүд,
сурвалж dend
in dente шүд
Шүдний
эдийн хавдар
Одонтома—
/паалангийн
дусал энгийн
нийлмэл
одонтома/--
илүү шүд
Тугалмайн эд
хатуурах: нас,
гэмтэл, шүд
цоорох
өвчний
нөлөөгөөр
Эмгэг зуулт Хэт
элэгдэл
шүдний өсөлт хөгжил

шүдний өсөлт хөгжил

  • 1.
  • 2.
    ШҮДНИЙ ӨСӨЛТ ХӨГЖИЛ •ХНАС-ын эмнэл зүйд: Үүний тулд сүүн шүд ба байнгын шүдний хэвийн өсөлт хөгжлийг таньж мэдэх нь чухал Шүдгүй байх үе Байнгын шүдний эгнээ бий болох Эмчилгээ, оношлогоо
  • 3.
    Дэд сэдвүүд-ШҮД БҮРЭЛДЭХ 1.Шүдний эх үүсгэвэр тавигдах 1. Шүдний эх үүсгэвэр үүсч хөгжих 2. Шүдний цөгц ба сурвалжийн өсөлт 2. Шүдний өсөлт хөгжлийн үе шат 1. ӨСӨЛТИЙН ҮЕ 2. ЭРДЭСЖИХ ҮЕ 3. ШҮД ШҮДЛЭХ ҮЕ 4. ЭЛЭГДЛИЙН ҮЕ 5. ШИМЭГДЭХ ҮЕ 3. Шүдний өсөлт хөгжлийг үнэлэх арга 1. Сүүн ба байнгын шүдний өсөлт хөгжил 2. Рентгэн шинжилгээгээр өсөлт хөгжлийг үнэлэх 1. Шүд хэлбэржих үеийн гажиг 1. Шүдний эх үүсгэвэрийн хэлбэржилт эхлэх үе, хуваагдлын үеийн өсөлт хөгжлийн гажиг 2. Эд ялгаран хөгжих үеийн өсөлт хөгжлийн гажиг 3. Хэлбжр ялгаран хөгжих үеийн өсөлт хөгжлийн гажиг 4. Коллаген хуримтлагдах үе, эрдэсжилтын үеийн хатуу эдийн хэлбэржилтийн өсөлт хөгжлийн гажиг
  • 4.
    Шүд бүрэлдэх 1. Шүднийэх үүсгэвэр тавигдах 1.1 Шүдний эх үүсгэвэр үүсч хөгжих 1.1.1 Сүүн шүдний эх үүсгэвэр тавигдах Шүдний хөхлөг, тугалмай н эд үүснэ Шүдний нум Салстын хучуур эдийн суурийн давхарга зузаарна Шүдний ялтас үүсгэнэ Шүдний эх үүсгэвэр үүсч хөгжинө Паалангийн эд хэлбэржинэ Эктодерм эндодерм Паалангийн эрхтэн, шүдний хөхлөг үүсч хөгжинө Шүдний уутанцар Шүдний сурвалж ясжмаг эд, холбоос эд үүснэ Ху.эдийн дотогш түрсэн эндодерм ээс Хучуур эдээс УХ 6д.х /ургийн урт 10-13 мм/ УХ 8д.х Эрүү хоншоорны нийт 20 ш сүүн шүд Сүүн шүдний эх үүсгэвэр гэнэ. Бундуу хэлбэрийн үе эхэлнэ. УХ 10д.х Малгай хэлбэрийн үе эхэлнэ Хонх хэлбэртэй болно.
  • 6.
    Паалангийн ху.эд- амелобласт-паалан Хөхлөг- одонтобласт- тугалмай Ийнхүү шүдний цөгцөн хэсгийн хэлбэржилт явагдана.
  • 7.
    1.1.2 байнгын шүднийэх үүсгэвэр тавигдах • Сүүн шүд ХОНХ хэлбэртэй болох үед түүний хэлэн талд шүдний ялтас сунаж дараагийн шүдний эх үүсгэвэр үүсч эхэлнэ. • Эндээс үүсч хөгжсөн байнгын шүд нь үүдэн шүд, соёо, бага араа шүд болно. • Их араа шүд нь сүүн шүдний эх үүсгэвэр дистал талруу сунасан хэсгээс үүсч хөгжинө.
  • 8.
    2.Шүдний цөгц басурвалжийн өсөлт хөгжил 2.1 сүүн шүдний эрдэсжилт • Тугалмайн эд—цөгцний хэсгээс эхлэн хүзүүвчийн чиглэлд дотор талруу тархаж, зөөлцийн хөндийрүү нарийсна. • Паалан-шүдний хүзүүвчийн чиглэлд гадна талруу тархана. Ургийн үед эхийн эрүүл мэнд, хооллолтын байдал хямрахад эрдэсжилтийн эмгэг гажиг үүсч болно Ургийн 4 сар-сүүн төвийн үүдэн шүд Ургийн 6 сар-сүүн 2-р араа
  • 10.
    2.2 шүдний цөгц,шүдний сурвалж бүрэн хэлбэржих Сүүн үүдэн шүдний цөгц-1.5-2.5сартайд Сүүн 2-р араа шүдний цөгц- 10-11 сартайд • Гэх мэт төрсний дараа 1 жилийн дотор сүүн шүднүүдийн хэлбэржилт бүрэн дуусдаг. • Цөгцний хэлбэржилт дуусах үеээс паалангийн хучуур эдийн гадна ба дотно хөдөлгөөнт хэсэг нь сурвалжийн оройн чиглэлд хөгжиж сурвалж хэлбэржинэ. • Hertwig-хучуур эдийн бүрхүүл шүдний цөгцний хэсэгт үргэлжлэн шүдний ялтаснаас үүссэн тугалмай, шүдний уутанцараас үүсэх ясжмаг эд нь шүдний сурвалжийн хэлбэржилтийг хангана.
  • 11.
    2.3 Сүүн шүднийсурвалжийн шимэгдэлт • Сүүн шүд нь физиологийн шимэгдэлтийн үед унаж, дараагийн байнгын шүдээр солигддог.
  • 12.
    2.4 байнгын шүднийэрдэсжилт Төрсний дараа 3 жилийн дотор төвийн үүдэн шүднээс эхлэн 2-р их араа хүртэл ээлж дарааллан эрдэсжилт явагддаг. Харин 1-р их араа шүд нь хамгийн эрт буюу төрөх үед эхэлдэг Шүдний цөгц хэлбэржих хугацаа нь сүүн шүдэнд 3-6 жил болдог. 1-р их араа шүдний цөгц бүрэн хэлбэржих нь 3 нас бөгөөд энэ үеээс эхлэн 2-р их араа шүд эрдэсжилт эхэлнэ.
  • 13.
    Шүдний өсөлт хөгжлийнүе шат • Шүдний өсөлт хөгжлийн процесс гэдэг нь: шүдний эх үүсгэвэр тавигдахаас эхлэн шүд шүдлэх элэгдэх хүртэлх удаан хугацааны өөрчлөлтийг хэлнэ.
  • 14.
    1. Өсөлтийн үе 1.эхлэх үе-шүдний ялтас бий болох, шүдний эх үүсгэвэрийн ху.эдийн зузаарлаас үүснэ. /УХ 6д.х/ 2. Хуваагдлын үе: шүдний эх үүсгэвэрийн эсүүд хуваагдан олширч BUD хэлбэртэй болох үе. Паалангийн эрхтэн үүсч хөгжинө. /УХ 8д.х/ 3. Эд ялгаран хөгжих үе: эсүүд ялгаран хөгжиж шүдний хөхлөг, шүдний уутанцар хэлбэржих үе амелобласт, одонтобласт ялгаран хөгжинө. Хонх хэлбэртэй болно. 4. Хэлбэр ялгаран хөгжин үе: амелобласт, одонтобласт эсүүд хил хязгаар тодорхой болно. Шүдний уутанцараас цементобласт үүснэ. Ирээдүйн шүдний цөгц, сурвалжийн хэмжээ, хэлбэр тодорхой болно. 5. Коллаген хуримтлагдах үе
  • 15.
    2. Эрдэсжих үе •Нэмэгдэж олширсон үндсэн эдэд эрдэс давсууд хуримтлагдан, эдүүд хөгжиж бат бэх болох үе
  • 16.
    3.Шүд шүдлэх үе •Эрүүний ясан дотор шүд шилжиж, бул амны салстыг нэвтлэн цухуйж шүдлэн эсрэг шүдтэйгээ хорших хүртэл үе
  • 18.
    4. Элэгдлийн үе •Шүд шүдлэж дууссаны дараа үйл ажиллагааны дүнд хоршиж байгаа шүднүүд хоорондоо элэгдэл үүсгэх үе
  • 19.
    5. Шимэгдэх үе •Сүүн шүдний сурвалжинд одонтокласт эсийн улмаас шимэгдэлт явагдах үе. физиологийн- шимэгдэх ёстой цагтаа шимэгдэнэ Эмгэг- шимэгдэх ёстой цагаасаа эрт, хожуу, огт шимэгдэхгүй байх...
  • 20.
    3. Шүдний өсөлтхөгжлийг үнэлэх арга • Сүүн шүдний өсөлт хөгжил Шүд Эх үүсгэвэр тавигдах Эрдэсжил т эхлэх Цөгц хэлбэржи х Сурвалж хэлбэржи х Сурвалж шимэгдэх Төвийн үүдэн УХ 7д.х УХ 4-4.5 сар 1.5-2.5 сар 1.5 нас 4нас Хажуу үүдэн УХ 7д.х УХ 4.5 сар 2.5-3 сар 1.5-2 нас 5нас Соёо УХ 7.5 д.х УХ 5 сар 9сар 3.25нас 7нас 1араа УХ 8 д.х УХ 5 сар 5.5-6 сар 2.5 нас 8нас 2 араа УХ 10 д.х УХ 6 сар 10-11 сар 3нас 8нас
  • 21.
    • Байнгын шүднийөсөлт хөгжил Шүд Эх үүсгэвэр тавигдах Эрдэсжилт эхлэх Цөгц хэлбэржих Сурвалж хэлбэржих Сурвалж шимэгдэх 1-р их араа УХ 3.5-4 сар Төрөх үе 2.5-3нас 9-10нас - Төвийн үүдэн УХ 5- 5.25сар 3-4сар 4-5нас 9-10нас - Хажуу үүдэн УХ 5-5.5 сар 10-12сар 4-5нас 10-11нас - Соёо УХ 5.5-6сар 4-5сар 6-7нас 12-15нас - 1 бага араа Төрөх үе 1.5-2нас 5-6нас 12-13нас - 2-р бага араа 7.5-8сар 2-2.5нас 6-7нас 12-14нас - 2р их араа 8.5-9сар 2.5-3нас 7-8нас 14-16нас - 3-р их араа 3.5-4нас 7-10нас 12-16 нас 18-25нас -
  • 22.
    Рентген шинжилгээгээр өсөлт хөгжлийгүнэлэх Nolla рентген зургаар эрдэсжилт, хэлбэржилтийн хөгжлийг 10 үе шат болган ангилсан
  • 23.
    Шүд хэлбэржих үеийнгажиг шүдний өсөлт хөгжил ба хэлбэржих үеийн гажиг Өсөлтийн үе Эрдэсжих үе Шүд шүдлэх үе Элэгд лийн үе Эхлэх үе- хуваагдлын үе Эд ялгаран хөгжих үе Хэлбэр ялгаран хөгжих үе Зохицлын үе Гажигийн онцлог Шүдний тооны гажиг Бүтцин гажиг Хэлбэрийн гажиг Хэмжээний гажиг Эрдэсжилтийн гажиг Шүдлэлтийн гажиг Элэгдл ийн гажиг Пааланги йн дутуу хөгжил • Нянгийн бус эмгэг: хэсгийн болон ерөнхий • Төрөлхийн гажигууд:үүдэ н шүд агт араа бага араа г.м • Паалангий н дутуу хөгжил /амелобла ст эс/ • Динтиноге нез /одонтобла ст/ • А вит дутагдлын эмгэг /шүдний ху.эдийн/ • Гетчинсоны шүд • Mulberry molar • Microdont /жижиг шид/ • Паалангийн дутуу хөгжил:: системийн ба хэсгийн • Chronologic al hypoplasia • Localized enamel pit • Тугалмайн дутуу хөгжил • Hepocalcific ation • Motted teeth • Паалангийн зөөлрөлт • Интерглобу ляр тугалмай • Хожуу шүдлэх:1 ба олон шүд • Infraversion dentition • Infravertion tooth • Давхар шүд • Байрлалын гажигтай шүд Маш бага элэгдэл Пааланги йн хэт хөгжил Үлдэгдэл ху.эд— уйланхай Шүдний ху.эд— паалангийн ху.эдийн хавдар Илүү төвгөр Илүү шүд, сурвалж dend in dente шүд Шүдний эдийн хавдар Одонтома— /паалангийн дусал энгийн нийлмэл одонтома/-- илүү шүд Тугалмайн эд хатуурах: нас, гэмтэл, шүд цоорох өвчний нөлөөгөөр Эмгэг зуулт Хэт элэгдэл