Download free for 30 days
Sign in
Upload
Language (EN)
Support
Business
Mobile
Social Media
Marketing
Technology
Art & Photos
Career
Design
Education
Presentations & Public Speaking
Government & Nonprofit
Healthcare
Internet
Law
Leadership & Management
Automotive
Engineering
Software
Recruiting & HR
Retail
Sales
Services
Science
Small Business & Entrepreneurship
Food
Environment
Economy & Finance
Data & Analytics
Investor Relations
Sports
Spiritual
News & Politics
Travel
Self Improvement
Real Estate
Entertainment & Humor
Health & Medicine
Devices & Hardware
Lifestyle
Change Language
Language
English
Español
Português
Français
Deutsche
Cancel
Save
EN
Uploaded by
Наранчимэг Г.
PPTX, PDF
8,525 views
Төмсөг түүний үүсэл хөгжил, макро микро бүтэц
Төмсөг түүний үүсэл хөгжил, түүний гистологи бүтэц
Healthcare
◦
Read more
2
Save
Share
Embed
Embed presentation
Download
Downloaded 25 times
1
/ 31
2
/ 31
Most read
3
/ 31
4
/ 31
Most read
5
/ 31
6
/ 31
7
/ 31
8
/ 31
9
/ 31
Most read
10
/ 31
11
/ 31
12
/ 31
13
/ 31
14
/ 31
15
/ 31
16
/ 31
17
/ 31
18
/ 31
19
/ 31
20
/ 31
21
/ 31
22
/ 31
23
/ 31
24
/ 31
25
/ 31
26
/ 31
27
/ 31
28
/ 31
29
/ 31
30
/ 31
31
/ 31
More Related Content
PPTX
Эр бэлэг эрхтэн-Гистологи.pptx
by
BoldbaatarOyuntuya2
PPTX
Vrjiliin erhten 2 7
by
otgonburenubuns
PPT
8. нөхөн үржихүйн
by
otgonubuns
PPTX
Menstruation cycle by Haliunaa Battulga
by
Haliunaa Battulga
PPTX
4. Жирэмсэн үед гарах физиологийн өөрчлөлтүүд
by
saruul tungalag
PPTX
2. Овуляци, үр тогтолт ба үр хөврөл
by
saruul tungalag
PPT
A 1-2
by
Yansanjav Damdinjav
PPTX
Elegnii tuhai pp
by
margad1
Эр бэлэг эрхтэн-Гистологи.pptx
by
BoldbaatarOyuntuya2
Vrjiliin erhten 2 7
by
otgonburenubuns
8. нөхөн үржихүйн
by
otgonubuns
Menstruation cycle by Haliunaa Battulga
by
Haliunaa Battulga
4. Жирэмсэн үед гарах физиологийн өөрчлөлтүүд
by
saruul tungalag
2. Овуляци, үр тогтолт ба үр хөврөл
by
saruul tungalag
A 1-2
by
Yansanjav Damdinjav
Elegnii tuhai pp
by
margad1
What's hot
PPTX
Нарийн гэдэсний гистологи
by
GunJee Gj
PPTX
дотоод шүүрлийн физиологи
by
night owl
PPTX
Амьсгалын замын халдварт өвчин
by
Munkhbaatar S. Uuld
PPTX
ялгаруулах эрхтэн тогтолцоо
by
Oidov Tungaa
DOCX
9 r angi biologi
by
Shagaishuu Xoo
PPTX
Lecture 1
by
bulgaaubuns
PPTX
зүрх судасны физиологи
by
Yerbolat Mushyelkhan
PPTX
Лекц №4-2. Дотоод шүүрлийн эрхтний гистологи
by
Bat-Erdene Tudevvanchig
PPTX
Lecture 11
by
bulgaaubuns
PPTX
амьд биеийн үржлийн хэлбэр
by
Dolgormaa Doogii
PPTX
эсийн бүтэц бүрхүүл бөөм сийвэн
by
Oidov Tungaa
DOCX
фермент биологийн хурдасгуур
by
Oyuka Oyu
PPTX
шээс ялгаруулах 2 6
by
otgonburenubuns
PPTX
D. Ariunaa
by
chuluunerdene janchiv
DOCX
Чийрэгжүүлэлт
by
bataa daraa
PPTX
нарийн гэдсэнд хоол боловсрох
by
dulmaa munkhbat
PPTX
Lecture 5
by
bulgaaubuns
PPTX
Havdar
by
Otgonbayar Chinbaatar
ODP
дотоод шүүрлийн булчирхай
by
byamba-1
PPTX
цусны эргэлтийн тогтолцооны физиологи
by
Gankhulug Gansukh
Нарийн гэдэсний гистологи
by
GunJee Gj
дотоод шүүрлийн физиологи
by
night owl
Амьсгалын замын халдварт өвчин
by
Munkhbaatar S. Uuld
ялгаруулах эрхтэн тогтолцоо
by
Oidov Tungaa
9 r angi biologi
by
Shagaishuu Xoo
Lecture 1
by
bulgaaubuns
зүрх судасны физиологи
by
Yerbolat Mushyelkhan
Лекц №4-2. Дотоод шүүрлийн эрхтний гистологи
by
Bat-Erdene Tudevvanchig
Lecture 11
by
bulgaaubuns
амьд биеийн үржлийн хэлбэр
by
Dolgormaa Doogii
эсийн бүтэц бүрхүүл бөөм сийвэн
by
Oidov Tungaa
фермент биологийн хурдасгуур
by
Oyuka Oyu
шээс ялгаруулах 2 6
by
otgonburenubuns
D. Ariunaa
by
chuluunerdene janchiv
Чийрэгжүүлэлт
by
bataa daraa
нарийн гэдсэнд хоол боловсрох
by
dulmaa munkhbat
Lecture 5
by
bulgaaubuns
Havdar
by
Otgonbayar Chinbaatar
дотоод шүүрлийн булчирхай
by
byamba-1
цусны эргэлтийн тогтолцооны физиологи
by
Gankhulug Gansukh
Viewers also liked
PPT
эрэгтэйн нөхөн үржихүйн анатоми, физиологи
by
Altanzul Bayarsaikhan
PPTX
гидроцеле, варикоцеле
by
Nmhn Namuun
PPT
Варикоцеле
by
kudaibergent
PPTX
Мухар олгойн цочмог үрэвсэл
by
kudaibergent
PDF
Бэлэг эрхтэн томруулах дасгалууд
by
Gantulga Dashdondov
PPTX
хавсаргын тогтолцоо салстн хамгаалах тогтолцоо
by
dulmaa munkhbat
PPTX
Нөхөн үржихүйн эрүүл мэнд
by
Tuul Tula
DOCX
түрүү булчирхайн үрэвслээс сэргийлэх цогц дасгал
by
Ankhuu Ankhaa
DOCX
нүүрс устөрөгчдийн нэршил
by
davaa627
PPT
Testicular torsion, төмсөг мушгирах
by
Naraa Bayarsaikhan
PPT
Urgamliin ed +
by
atuya68
PPTX
Presentation1
by
Otgoo Lxam
PPT
Bacterial meningitis 2012
by
Sosoo Byambaa
PPTX
лекц 6 энто
by
batsaikhan khongorzul
PPTX
Sain energiin tuv
by
Munkhuu Emchbagsh
PPTX
лекц-3
by
Otgoo Lxam
ODP
Doood (1)
by
Ayur Yura
PPT
ерөнхий эд судлал
by
Shagaiubuns
PPTX
Ed, ediin butets
by
Batbold Uugantsetseg
ODP
хичээл 21
by
B_Noname83
эрэгтэйн нөхөн үржихүйн анатоми, физиологи
by
Altanzul Bayarsaikhan
гидроцеле, варикоцеле
by
Nmhn Namuun
Варикоцеле
by
kudaibergent
Мухар олгойн цочмог үрэвсэл
by
kudaibergent
Бэлэг эрхтэн томруулах дасгалууд
by
Gantulga Dashdondov
хавсаргын тогтолцоо салстн хамгаалах тогтолцоо
by
dulmaa munkhbat
Нөхөн үржихүйн эрүүл мэнд
by
Tuul Tula
түрүү булчирхайн үрэвслээс сэргийлэх цогц дасгал
by
Ankhuu Ankhaa
нүүрс устөрөгчдийн нэршил
by
davaa627
Testicular torsion, төмсөг мушгирах
by
Naraa Bayarsaikhan
Urgamliin ed +
by
atuya68
Presentation1
by
Otgoo Lxam
Bacterial meningitis 2012
by
Sosoo Byambaa
лекц 6 энто
by
batsaikhan khongorzul
Sain energiin tuv
by
Munkhuu Emchbagsh
лекц-3
by
Otgoo Lxam
Doood (1)
by
Ayur Yura
ерөнхий эд судлал
by
Shagaiubuns
Ed, ediin butets
by
Batbold Uugantsetseg
хичээл 21
by
B_Noname83
Similar to Төмсөг түүний үүсэл хөгжил, макро микро бүтэц
PPT
бэлгийн үржил
by
Sugar Gonchigdanzan
DOCX
4 lekts
by
amaraa_tazo
PPTX
бэлгийн булчирхайн эмгэгүүд
by
М. Лхагва-Өлзий
PDF
бие даалт №1 салст
by
Бат-Эрдэнэ Мягмар
PPTX
онтогенез-нэгэн биеийн хөгжил
by
Мандухай Г.
PPTX
бэлгийн эсийн үүсэл
by
Oyuka Oyu
PPTX
2. conception and_implantation
by
Hishgeeubuns
PPTX
баясах
by
Shagaiubuns
PPTX
баясах
by
Shagaiubuns
PPTX
хээлтэгчийн үржлийн эрхтэн Mn
by
Erdenetogtokh Toogoo
PPT
Lecture2
by
munhtaivan
PPT
бэлгийн эсийн үүсэл
by
Sugar Gonchigdanzan
PPTX
төрөлтийн 3 р үеийн физиологи, эх барихын гэмтэлүүд
by
NPain NLife
PPTX
төрөлтийн 3- р үеийн физиологи, төрлөгийн гэмтэл
by
Анагаахын Шинжлэх Ухааны Үндэсний Их Сургууль
PPTX
бөөр шээс бэлгийн замын тогтолцооны гаж хөгжил.Pptx сосоо
by
Бердибек Мейрамхан
PPTX
бөөр шээс бэлгийн замын тогтолцооны гаж хөгжил.Pptx сосоо
by
Бердибек Мейрамхан
PDF
гэрийн даалгавар2
by
Changmi Rose
PPTX
анатом нэгтгэл.pptx
by
ulziisaikhangantulga
PPTX
хээлтэгч мал сэдэв2
by
otgooPhh
PPTX
амьтны бэлгийн үржил
by
E-Gazarchin Online University
бэлгийн үржил
by
Sugar Gonchigdanzan
4 lekts
by
amaraa_tazo
бэлгийн булчирхайн эмгэгүүд
by
М. Лхагва-Өлзий
бие даалт №1 салст
by
Бат-Эрдэнэ Мягмар
онтогенез-нэгэн биеийн хөгжил
by
Мандухай Г.
бэлгийн эсийн үүсэл
by
Oyuka Oyu
2. conception and_implantation
by
Hishgeeubuns
баясах
by
Shagaiubuns
баясах
by
Shagaiubuns
хээлтэгчийн үржлийн эрхтэн Mn
by
Erdenetogtokh Toogoo
Lecture2
by
munhtaivan
бэлгийн эсийн үүсэл
by
Sugar Gonchigdanzan
төрөлтийн 3 р үеийн физиологи, эх барихын гэмтэлүүд
by
NPain NLife
төрөлтийн 3- р үеийн физиологи, төрлөгийн гэмтэл
by
Анагаахын Шинжлэх Ухааны Үндэсний Их Сургууль
бөөр шээс бэлгийн замын тогтолцооны гаж хөгжил.Pptx сосоо
by
Бердибек Мейрамхан
бөөр шээс бэлгийн замын тогтолцооны гаж хөгжил.Pptx сосоо
by
Бердибек Мейрамхан
гэрийн даалгавар2
by
Changmi Rose
анатом нэгтгэл.pptx
by
ulziisaikhangantulga
хээлтэгч мал сэдэв2
by
otgooPhh
амьтны бэлгийн үржил
by
E-Gazarchin Online University
More from Наранчимэг Г.
PPTX
БЗДХ өвчний үед хийгдэх лаборатори шинжилгээний аргууд
by
Наранчимэг Г.
PPTX
Trichomonas vaginalis
by
Наранчимэг Г.
PPTX
Нурууны өвдөлтийн физик эмчилгээ
by
Наранчимэг Г.
PPTX
Нурууны өвдөлтийн үеийн сэргээн засах эмчилгээ
by
Наранчимэг Г.
PPTX
Төрсний дараах хожуу үеийн цус алдалт, авах арга хэмжээ
by
Наранчимэг Г.
PPTX
Жирэмслэлтээс хамгаалах аргууд
by
Наранчимэг Г.
БЗДХ өвчний үед хийгдэх лаборатори шинжилгээний аргууд
by
Наранчимэг Г.
Trichomonas vaginalis
by
Наранчимэг Г.
Нурууны өвдөлтийн физик эмчилгээ
by
Наранчимэг Г.
Нурууны өвдөлтийн үеийн сэргээн засах эмчилгээ
by
Наранчимэг Г.
Төрсний дараах хожуу үеийн цус алдалт, авах арга хэмжээ
by
Наранчимэг Г.
Жирэмслэлтээс хамгаалах аргууд
by
Наранчимэг Г.
Төмсөг түүний үүсэл хөгжил, макро микро бүтэц
1.
Төмсөг түүний үүсэл хөгжил,
макро, микро бүтэц А-401 Г. Наранчимэг
2.
Төмсөг (testes) • Эр
бэлгийн булчирхай бөгөөд энд эр бэлгийн эс боловсорч, эр бэлгийн даавар тестостерон ялгарч бий болдог. • Төмсөг нь зуувиндуу хэлбэртэй бөгөөд гадна бэлэг эрхтэн болох шодойны доор хушган дотор оршино. • Төмсөгний урт нь 4-4.5см, өргөн нь 2.5-3.5см, зузаан нь 2-3см, жин нь 20-30гр байна.
3.
Үүсэл хөгжил • Бэлгийн
булчирхай үр хөврөлийн 26 хоногтой байхад урд бөөрний үүсгэврийн дэргэд үүсч хучуур эдийн гаралтай зузаарсан гонзгой хос зурвас байдалтай тодорхойлогддог. Удалгүй энэ бүтэц зузаарч түүнийг хучиж байсан хучуур эд дороо байрлах мезенхим рүү олон хамар үүсгэн түрж ургадаг.
4.
• 50 хоногтой
үр хөврөлд төмсөгний үүсгэврийн гүн дэх хучуур эдийн хамарнууд уул үүсгэврийн гадуур хучсан үүсгэвэр хучуур эдтэй холбогдсон хэвээр байдаг. • 53 хоногтой үр хөврөлд дээр өгүүлсэн хоёр бүтцийн хооронд ширхэглэг холбогч эдэн бүтэцтэй нягт давхарга гарч ирдэг. Үүнийг уурган бүрхүүл гэнэ. • Урд бөөртэй төмсөгний үүсгэврийн нийлсэн хэсэгт төмсөгний доторх хамрууд (бэлгийн утсанцар) үзүүрээрээ хоорондоо сүлжилдэж төмсөгний тор үүсгэнэ.
5.
• Эхний үедээ
бэлгийн утсанцар нь гүйцэд ялгарч хөгжөөгүй хучуур эдийн бүрдэл байдаг. Хожим энэ утсанцарууд төмсөгний үрийн тахир сувганцар болж хувирдаг. Бэлгийн бойжил болоогүй үед үрийн тахир сувганцрууд дотроо хөндийгүй нэгэн жигд бүтэцтэй хучуур эдээс бүтсэн байдаг. Бэлгийн бойжил эхлэхээр нас бие гүйцсэн хүний төмсөгний үрийн тахир сувганцрын бүрхүүл болон эсийн бүрдэл үүсдэг. • Төмсөгний үүсгэврийн хамар хэмээх бүтэц гуурс болохоор түүний эргэн тойрон байсан мезенхимээс хөвсгөр холбогч эд үрийн гуурсыг тэжээх судас ялгарч үүсдэг.
6.
• 10см урттай
урагт дунд бөөрнөөс үлдсэн бүтцүүд төмсөгний гуурсуудаас үүсгэгдсэн тортой холбогдож үр дамжуулах цорго, төмсөгний дайвар, түүний цорго, үрийн цэврүү, үр цацах цорго болж хувирдаг. • 53 хоногтой үр хөврөлд төмсөг нь хэвлийн хөндийн ар хананд чацархайгаар бэхлээстэй байдаг. Энэ үед цавьны далан тодорч түүний гүнд байсан мезинхимийн эдээс хөтлөх холбоос гэгдэх ширхэглэг холбоос үүсч тэр нь төмсөгний доод туйлаас эхлээд доош ташиж, цоройны булчингийн давхаргын завсраар гарч бэлгийн далангийн арьсан доорхи эдэд төгсдөг.
7.
• Хөврөл өсч
төмсөгний үүсгэврийн дэргэд байсан зарим бүтцүүд эргэх хөгжилд ороход төмсөгийг сойж бэхэлж байсан холбоос чацархай алга болж төмсөг гол судастай холбогдсон артериараа торж байх үе эхэлдэг. • Энэ үед хөдлөх холбоосондоо татагдаж төмсөг доош эрчимтэй урууддаг. Хөтлөх холбоосыг дагаад уруудаж яваа төмсгөнд хэвлийн гялтан гэр үүсгэж хэвлийн ар хананаас төмсөг хөндийрч цоройны булчингийн завсраар хэвлийн хөндийнөөс татагдаж гарахад хэвлийн гялтан хальс дагаж сунасаар хэвлийн хөндийнөөс төмсөгтэй түрэгдэн олгойрон гарч хушга руу ороод төмсөгний гялтан түүний хөндийг үүсгэдэг.
8.
• Хугацааны хувьд
авч үзвэл ургийн хөгжлийн 7-р сард төмсөг цавины сувган дотор орж ирдэг. • 8-р сард хушга руугаа бүрэн бууна. • Төмсөгний буултыг дагалдаад төмсөгний дайвар үр дамжуулах цоргоны байрлал өөрчлөгдөнө.
9.
Төмсөгний ханын бүтэц •
Төмсөг нь гадуураа гялтан хальс буюу серозон бүрхүүлээр хучигдсан байх ба түүний дор уурган бүрхүүл гэж нэрлэгддэг нягт холбогч эдэн бүрхүүл байна. • Уурган бүрхүүл нь төмсөгний арын захаар зузаарч голтыг үүсгэх ба түүнээс булчирхайн цуллаг руу холбогч эдэн таславчууд орж булчирхайг 250 орчим хэлтэнцэр болгон хуваадаг. • Хэлтэнцэр бүр нь 150-250мкм голчтой 30-70см урт, 1-4 үрийн тахир сувганцар агуулсан байдаг.
11.
• Төмсөг тус
бүрт 300-450 орчим тахир сувганцар байна. • Үрийн тахир сувганцар нь голт орчимд хоорондоо нийлж шулуун сувганцар болоод улмаар голтын гүн хэсэгт төмсөгний торны сувганцруудтай нийлнэ. Энэхүү сувганцрын торноос 10-12 аваачигч суваг гарч төмсөгний дайврын цоргонд цутгадаг. Төмсөгний ханын бүтэц
13.
Үрийн тахир сувганцар •
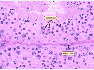
Үрийн тахир сувганцрын ханыг өөрийн бүрхүүл үүсгэнэ. • Өөрийн бүрхүүл нь • Суурин • Миоид • Ширхэглэг гэсэн 3 давхаргаас тогтоно. • Өөрийн бүрхүүлийн дотор талын суурин мембран дээр сперматоген хучуур эдийн үе оршино.
14.
• Сперматоген хучуур
эд болон миоид эсийн мембраны хооронд орших суурин давхарга нь коллаген ширхгийн тороос тогтдог. • Миоид давхарга нь сийвэндээ актины филаменттай 3-5 давхар миоид эсээс тогтоно. Энэ эс нь миофибробластын нэгэн хэлбэр бөгөөд тодорхой хэмнэлтэй агшин үрийн сувганцар доторх шингэн болон спермийн урсгалыг хангана. Үрийн тахир сувганцар
15.
• Миоид эс
нь паракрин факторууд ялгаруулан хөрш эсүүдийн үйл ажиллагааг дэмждэг. • Ширхэглэг давхар нь коллаген ба уян ширхэг миоид эсийн суурин мембранаас тогтох ба миоид давхрыг налж байрласан дотор талын эсгүй үе болон фибробласттай төстэй эсээс тогтсон гадна талын эс бүхий үе гэсэн 2 давхраас бүрдсэн байна. Үрийн тахир сувганцар
18.
Интерстици • Үрийн тахир
сувганцруудын хооронд хөвсгөр хэлбэржээгүй холбогч эд буюу интерстици оршино. • Интерстици нь эрхтний 35%-ийг эзэлдэг. • Энэ хөвсгөр холбогч эд нь цусны ба тунгалгийн хялгасан судсаар баялаг бөгөөд сувганцруудын гадуур судасны ба мэдрэлийн ширхгийн торыг үүсгэдэг. • Энд мөн интерстицийн эндокриноцит буюу Лейдигийн эс байдаг.
20.
Лейдигийн эс • Энэ
эс нь годуу хялгасан судсыг тойрон бүлгээр орших ба харьцангуй том дугуй эсвэл олон талт хэлбэртэй, сийвэн нь хүчилсэг чанартай ба гликопротейдын оршихуун гликогены мөхлөгүүд савханцар хэлбэртэй уургийн кристаллойд зэргийг агуулсан байдаг.
22.
Лейдигийн эсийн үүрэг •
Бэлгийн стероид дааврууд болох тестостерон, дигидротестостерон, андростендион мөн эстрогеныг нийлэгжүүлэн ялгаруулдаг. • Эдгээр бүх дааврын нийлэгжилтийг өнчин тархины лютропин зохицуулах бөгөөд түүний рецептор нь Лейдигийн эсийн гадаргууд оршино. • Лейдигийн эс нь стероид даавруудаас гадна проопиомеланокортины дайвар нейропептид ялгаруулах бөгөөд Сертолын ба сперматоген эсүүдэд паракрин нөлөө үзүүлнэ.
23.
• Тестостерон нь
сперматогенезын хэвийн явц, бэлгийн нэмэлт булчирхайнуудын хөгжил үйл ажиллагаанд нөлөөлнө. • Тестостерон нь сертолын эсийн андроген холбогч уургийн ялгаралтыг ихэсгэнэ. • Дигидротестостерон нь гадна бэлэг эрхтний хэлбэржилтийг хангах бөгөөд анаболик нөлөө үзүүлнэ. Лейдигийн эсийн үүрэг
24.
Цус-төмсөгний хориг • Цус
төмсөгний хориг гэдэг нь хялгасан судасны хөндий ба үрийн сувганцрын хөндийн хооронд орших бүх бүтцийн нийлбэрийг хэлнэ. Үүнд: 1. Хялгасан судасны эндотелиоцит түүний суурин мембран 2. Үрийн тахир сувганцрын ширхэглэг давхарга 3. Миоид давхарга 4. Суурин давхарга, сперматоген хучуур эд
26.
• Сперматоген хучуур
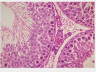
эдийн үе нь 2 төрлийн эсээс тогтоно. 1. Хөгжлийнхөө янз бүрийн шатанд буй сперматоген эсүүд (үүдэл эс, сперматогони, сперматоцит, сперматид, сперматозоид) 2. Тулгуур эс буюу сустентоцит
27.
Тулгуур эс (сертоли, сустентоцит) •
Энэ нь том, пирамид хэлбэртэй хучуур эс бөгөөд суурин хэсэг нь суурин мембран дээр орой хэсэг нь үрийн сувганцрын хөндийд хүрсэн байдаг. • Энэ эс нь нилээд өвөрмөц хэлбэрийн бөөмтэй, бөөмөнцөр нь 3 үе болж тасархайтсан, эсийн сийвэн дотор нь бүх төрлийн эрхтэнцэр байдаг. • Тулгуур эсийн хажуу талд хонхор байдаг бөгөөд үүн дотор хөгжиж байгаа эр бэлгийн эсүүд оршино
29.
Тулгуур эсийн үүрэг •
Хөгжиж буй бэлгийн эсүүдийн бичил орчныг нөхцөлдүүлэх • Үүсч буй бэлгийн эсүүдийг хорт бодис янз бүрийн эсрэгтөрөгчөөс тусгаарлах • Дархлааны урвалын хөгжлийг саатуулах • Мөхөж буй бэлгийн эсүүдийг залгих, лизосомын тусламжтайгаар задлан хайлуулах • Андроген холбогч уураг нийлэгжүүлэх • Эр бэлгийн дааврыг сперматидад зөөвөрлөн хүргэх үүрэгтэй.
30.
• Андроген холбогч
уургийн ялгаралт нь ЦӨТД-н нөлөөнд ихэснэ. Тулгуур эсүүд нь ЦӨТД, тестостероны рецепторуудыг гадаргуудаа агуулдаг. • Аденогипофизээс: 1. ЦӨТД-н ялгарах процессыг сааруулагч цайвар сустентоцит 2. Бэлгийн эсүүдийн үржлийг тэтгэгч фактор ялгаруулдаг бараан сустентоцит гэсэн 2 төрлийн сустентоцит байдаг.
31.
Анхаарал тавьсанд баярлалаа
Download