1
Dr Viswalekshmi R M
Final yr PG
Dept of Prosthodontics
Hybrid Prosthesis
Guided by: Dr Nandakumar
Approved by: Dr Radhi
08/07/2024
2
Hybrid
08/07/2024
3
Introduction
The most difficult aspect of oral rehabilitation is restoring lost
structures with proper function and esthetics.
Implants dentistry has increased the quality of prosthodontic
rehabilitation.
Treatment options include fixed and removable prosthesis in
many forms and using various types of implants and
attachments.
Compared to the conventional fixed prosthesis, implant-
supported overdentures, and hybrid prostheses support the
face
ohsen Al-Asad H et al .Hybrid Prosthesis versus Overdenture: Effect of BioHPP Prosthetic Design Rehabilitating Edentulous Mandible ;International Journal of
ntistry,Volume 2023, Article ID 4108679, 11 pages
08/07/2024
4
Hybrid Prosthesis
A non specific term applied to any prosthesis that does not follow conventional
design; frequently used to describe a dental prosthesis that is composed of different
materials, types of denture teeth, variable acrylic denture resins, differing metals or
design,etc; may refer to a fixed dental prosthesis, removable dental prosthesis, or
maxillofacial prosthesis.
GPT 10
08/07/2024
5
FP3 or Hybrid prosthesis consists of a bar (metallic or non-metallic) covered by a
veneering material which is then screwed on to the implants. It is a fixed dental
prosthesis and can only be removed with the help of a dental professional. Hybrid
prosthesis offer a lot of advantages, including reduced occlusal load impact force,
lower fabrication costs, and extremely aesthetic restorations. They can also be made
over implants that are tilted or axially placed.
08/07/2024
6
Historic Perspectives
Dental technology remained virtually undeveloped until the 18th century.
The original design of the fixed-removable prosthesis was developed by Swedish
investigators.
The prosthesis was fabricated on 2 endosseous implants and was made of a gold
framework covered with acrylic and consisted of acrylic teeth.
Jorge Gonzalez . The Evolution of Dental Materials for Hybrid Prosthesis; The Open Dentistry Journal, 2014, 8, (Suppl 1-M6) 85-94
08/07/2024
7
The high cost of noble alloys, hence alternative materials such as
cobalt-chromium, silver-palladium and titanium alloys were
explored.
However, due to the expansion and contraction that occurs
during the casting process, cast metal frameworks are prone to
porosity and distortion.
CAD-CAM dentistry allowed us to fabricate prosthesis with
greater accuracy, homogeneity at lower costs
Allowed us to explore other non-metallic bar options such as
zirconia and peek.
Vatika Agarwal et al : The Ideal Hybrid Framework Material ? - A Literature Review Journal of Pharmaceutical Negative Results ¦ Volume 13 ¦ Special Issue
7 ¦ 2022
08/07/2024
8
Concepts Of Designing Hybrid Denture Framework
Drago et al (10) described guidelines for hybrid prosthesis stating that ā€œframework must be
fabricated from materials and protocols that allow passive and accurate fit between frameworks
and implants and/or abutments.ā€
Zarb and Jansson described two methods of fabrication of the framework:
• Metallic frameworks - bulk of the prostheses, artificial teeth and minimal denture bases -
non-metallic components.
• Implant fixed prostheses - acrylic resin denture bases (wraparound design) and artificial
teeth, with minimally sized metal frameworks
Vatika Agarwal et al : The Ideal Hybrid Framework Material ? - A Literature Review Journal of Pharmaceutical Negative Results ¦ Volume 13 ¦
Special Issue 7 ¦ 2022
08/07/2024
9
https://dentallabs.org/hybrid-denture-protocol-and-procedures-for-successful-case-outcome/
08/07/2024
10
https://dentallabs.org/hybrid-denture-protocol-and-procedures-for-successful-case-outcome/
08/07/2024
11
https://dentallabs.org/hybrid-denture-protocol-and-procedures-for-successful-case-outcome/
08/07/2024
12
According to Glantz, the amount of deformation of the cantilever is directly
proportional to the cube of the length and inversely proportional of the width and the
cube of the height of the cantilever
D = F x L x constant / E x W x H
D is the amount of deformation,
F is the force of occlusion,
L, W, and H are the length, width, and height of the cantilever, respectively, and
E is the modulus of elasticity of the material
Jorge Gonzalez . The Evolution of Dental Materials for Hybrid Prosthesis; The Open Dentistry Journal, 2014, 8, (Suppl 1-M6) 85-94
08/07/2024
13
Primary impression to final prosthesis
https://dentallabs.org/hybrid-denture-protocol-and-procedures-for-successful-
case-outcome/
https://dentallabs.org/hybrid-denture-protocol-and-procedures-for-successful-case-outcome/
08/07/2024
14
Materials used for hybrid dentures
¤ Acrylic with titanium
¤ Composite
¤ PFM
¤ Milled zirconia
https://www.meetdandy.com/learning-center/glossary/hybrid-dentures/
Vatika Agarwal et al : The Ideal Hybrid Framework Material ? - A Literature Review Journal of Pharmaceutical Negative Results ¦ Volume 13 ¦ Special Issue
08/07/2024
15
Types of Hybrid Prostheses
 Hybrid Acrylic and Metal Prostheses
 Hybrid Metal and Ceramic Prosthesis
 Zirconium-Ceramic Hybrid Prosthesis
 Zirconia – metal hybrid prosthesis
 Peek zirconia hybrid prosthesis
08/07/2024
16
Hybrid Acrylic and Metal Prostheses
Egilmez, et al.: Implant-supported hybrid prosthesis in extreme cases
European Journal of Dentistry, Vol 9 / Issue 3 / Jul-Sep 2015
08/07/2024
17
Egilmez, et al.: Implant-supported hybrid prosthesis in extreme cases
European Journal of Dentistry, Vol 9 / Issue 3 / Jul-Sep 2015
08/07/2024
18
Egilmez, et al.: Implant-supported hybrid prosthesis in extreme cases European Journal of Dentistry, Vol 9 / Issue 3 / Jul-Sep 2015
08/07/2024
19
Egilmez, et al.: Implant-supported hybrid prosthesis in extreme cases European Journal of Dentistry, Vol 9 / Issue 3 / Jul-Sep 2015
08/07/2024
20
Hybrid Metal and Ceramic Prosthesis
A Novel Impression Technique for Transforming an Acrylic Hybrid Prosthesis into a Metal
Ceramic One Using Combined Analog and Digital Workflows
Fig. 1: Old fractured acrylic hybrid prosthesis Fig. 2: Intraoral scan of the patient’s maxillary arch with acrylic hybrid
prosthesis inserted
08/07/2024
21
Fig. 3: Old prosthesis used to make a repositioning
impression with putty consistency PVS. This gives the
clinicians control of the material and allows them to keep it
away from the screw access holes while adapting it
Fig. 4: Virtual reduction on Exocad software to create the design of the
metal framework
Tohme H, Lawand G, Akl M. A Novel Impression Technique for Transforming an Acrylic Hybrid Prosthesis into a Metal Ceramic One Using Combined
Analog and Digital Workflows. Int J Prosthodont Restor Dent 2021;11(3):138–141.
08/07/2024
22
Fig. 5: Intraoral try-in of the metal
framework to assess passive fit before
ceramic layering
Fig. 6: Patient’s smile with the new metal-
ceramic prosthesis in place
Tohme H, Lawand G, Akl M. A Novel Impression Technique for Transforming an Acrylic Hybrid Prosthesis into a Metal Ceramic One Using Combined
Analog and Digital Workflows. Int J Prosthodont Restor Dent 2021;11(3):138–141.
08/07/2024
23
Zirconia – metal hybrid prosthesis
The soft tissue and the analogs
are a duplication of the intraoral
situation.
A dedicated casting VPS is injected
to complete the working model.
Laboratory analogs are bonded to a
dimensionally stable pre-cured
baseplate with a flowable laboratory
composite.
08/07/2024
24
A soft duplicating vacuformed shell
signifies the volume of the hybrid
prosthesis in relation to the master
model.
A screw-retained duplicate of the hybrid
prosthesis is made of bisacrylic.
Vertical relation is established in
composite resin bite registration with
dedicated VPS material.
08/07/2024
25
Approved PMMA provisional is
cut back to allow space for
esthetic porcelain, as seen in this
graphic representation of
CAD/CAM file.
Image shows intraoral view of
passive-fitting metal bar
substructure for zirconia shell.
The zirconia shell is based on
PMMA provisional and analog-
produced metal bar.
08/07/2024
26
Metal bar is bonded into zirconia shell
with dual-polymerizing composite
resin.
08/07/2024
27
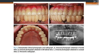
Peek zirconia hybrid prosthesis
08/07/2024
28
08/07/2024
29
08/07/2024
30
08/07/2024
31
08/07/2024
32
⁕ Improved stability and support
⁕ Reduces the impact force of dynamic occlusal loads
⁕ Enhanced chewing function
⁕ Esthetic appearance
⁕ Improved oral health
⁕ Reduced risk of tissue irritation
⁕ Easier for hygiene maintanance
Advantages & Disadvantages
ļ‚§ Higher cost
ļ‚§ Surgical procedure required
ļ‚§ Longer treatment time
ļ‚§ Maintenance requirements
ļ‚§ Cannot be removed by the patient.
https://www.meetdandy.com/learning-center/glossary/hybrid-dentures/
08/07/2024
33
Follow Up And Maintenance
 Etiology of Tooth Loss
 Patient Self-Care
 Prosthetic Design and Restorative Material
08/07/2024
34
Superfloss Type Dental
Floss
Interdental Brushes
08/07/2024
35
In-Office Maintenance Appointments
Prosthetic tooth debonded from maxillary
hybrid prosthesis.
Minal Tulsani*, Deepak Nallaswamy, Vaishnavi Rajaraman, Divya Rupawat, Sanjana Devi, Stumbling Blocks for Hybrid Denture J Res Med Dent Sci, 2021,
9(10): 140-150Stumbling Blocks for Hybrid Denture, J Res Med Dent Sci, 2021, 9(11): 140-145
08/07/2024
36
Managing Complications
Mechanical and Prosthetic Complications
• Screw loosening,
• Screw fractures,
• Implant fractures,
• Framework/​
resin/​
veneering material fractures
• Tooth wear
• Implant prosthesis fractures
• Opposing prosthesis fractures and
• Metal framework fractures.
08/07/2024
37
https://decisionsindentistry.com/article/maintaining-implant-supported-hybrid-prostheses
08/07/2024
38
https://decisionsindentistry.com/article/maintaining-implant-supported-hybrid-prostheses
08/07/2024
39
https://decisionsindentistry.com/article/maintaining-implant-supported-hybrid-prostheses
08/07/2024
40
Biologic Complications — Implants can be affected by peri-implant disease, such
as peri-implant mucositis and peri-implantitis.
https://decisionsindentistry.com/article/maintaining-implant-supported-hybrid-prostheses/
08/07/2024
41
Recent Advances
08/07/2024
42
https://digitaldentalfusion.com/polypeek/
08/07/2024
43
How long do hybrid dentures last?
The longevity of hybrid dentures is dependent on two key factors: the material they are created
with and how well they are taken care of. Different materials are more durable than others, which
can shorten their lifespan. For example, acrylic hybrid dentures typically last from five-seven
years, while PFM or milled zirconia hybrid dentures can last 10-15 years or even longer.
08/07/2024
44
CONCLUSION
In many cases, the utilization of hybrid prostheses is a viable option to restore function and esthetics
in edentulous patients. When choosing this restorative modality, care should be exercised during
each step of treatment to ensure optimal outcomes and avoid complications
08/07/2024
Implant Treatment Planning for Hybrid Prostheses
A clinical approach to planning, placement and restoration of implant supported hybrid prostheses.
By Francisco Curiel Aguilera, DDS, MS On Jun 17, 2020
45
References
1. Mohsen Al-Asad H et al .Hybrid Prosthesis versus Overdenture: Effect of BioHPP Prosthetic Design
Rehabilitating Edentulous Mandible ;International Journal of Dentistry,Volume 2023, Article ID
4108679, 11 pages
2. Vatika Agarwal et al : The Ideal Hybrid Framework Material ? - A Literature Review Journal of
Pharmaceutical Negative Results ¦ Volume 13 ¦ Special Issue 7 ¦ 2022
3. Jorge Gonzalez . The Evolution of Dental Materials for Hybrid Prosthesis; The Open Dentistry
Journal, 2014, 8, (Suppl 1-M6) 85-94
4. Egilmez, et al.: Implant-supported hybrid prosthesis in extreme cases European Journal of Dentistry,
Vol 9 / Issue 3 / Jul-Sep 2015
5. Tohme H, Lawand G, Akl M. A Novel Impression Technique for Transforming an Acrylic Hybrid
Prosthesis into a Metal Ceramic One Using Combined Analog and Digital Workflows. Int J
Prosthodont Restor Dent 2021;11(3):138–141.
6. Minal Tulsani*, Deepak Nallaswamy, Vaishnavi Rajaraman, Divya Rupawat, Sanjana Devi,
Stumbling Blocks for Hybrid Denture J Res Med Dent Sci, 2021, 9(10): 140-150Stumbling Blocks for
Hybrid Denture, J Res Med Dent Sci, 2021, 9(11): 140-145
08/07/2024
46
• https://www.aegisdentalnetwork.com/cced/2024/01/novel-all-in-4-4-4-hybrid-prosthesis-brid
ging-the-affordability-gap
• https://www.meetdandy.com/learning-center/glossary/hybrid-dentures/
• https://decisionsindentistry.com/article/implant-treatment-planning-hybrid-prostheses/
• https://decisionsindentistry.com/article/implant-treatment-planning-hybrid-prostheses/
• https://medicaturkhealthcare.com/hybrid-prosthesis/
• https://medicaturkhealthcare.com/hybrid-prosthesis/
• https://medicaturkhealthcare.com/hybrid-prosthesis/
• https://decisionsindentistry.com/article/maintaining-implant-supported-hybrid-prostheses/
08/07/2024
47
08/07/2024
Cross reference
1. Bidra AS. Three-dimensional esthetic analysis in treatment planning for implant-supported fixed
prosthesis in the edentulous maxilla: review of the esthetics literature. J Esthet Restor Dent.
2011;23:219–236.
2. Misch CE. St. Louis, MO: Mosby Elsevier; 2008. Contemporary Implant Dentistry
3. Sertgöz A, Güvener S. Finite element analysis of the effect of cantilever and implant length on
stress distribution in an implant-supported fixed prosthesis. J Prosthet Dent. 1996;76:165–9.
48
08/07/2024

Hybrid Prosthesis...................pptx

  • 1.
    1 Dr Viswalekshmi RM Final yr PG Dept of Prosthodontics Hybrid Prosthesis Guided by: Dr Nandakumar Approved by: Dr Radhi 08/07/2024
  • 2.
  • 3.
    3 Introduction The most difficultaspect of oral rehabilitation is restoring lost structures with proper function and esthetics. Implants dentistry has increased the quality of prosthodontic rehabilitation. Treatment options include fixed and removable prosthesis in many forms and using various types of implants and attachments. Compared to the conventional fixed prosthesis, implant- supported overdentures, and hybrid prostheses support the face ohsen Al-Asad H et al .Hybrid Prosthesis versus Overdenture: Effect of BioHPP Prosthetic Design Rehabilitating Edentulous Mandible ;International Journal of ntistry,Volume 2023, Article ID 4108679, 11 pages 08/07/2024
  • 4.
    4 Hybrid Prosthesis A nonspecific term applied to any prosthesis that does not follow conventional design; frequently used to describe a dental prosthesis that is composed of different materials, types of denture teeth, variable acrylic denture resins, differing metals or design,etc; may refer to a fixed dental prosthesis, removable dental prosthesis, or maxillofacial prosthesis. GPT 10 08/07/2024
  • 5.
    5 FP3 or Hybridprosthesis consists of a bar (metallic or non-metallic) covered by a veneering material which is then screwed on to the implants. It is a fixed dental prosthesis and can only be removed with the help of a dental professional. Hybrid prosthesis offer a lot of advantages, including reduced occlusal load impact force, lower fabrication costs, and extremely aesthetic restorations. They can also be made over implants that are tilted or axially placed. 08/07/2024
  • 6.
    6 Historic Perspectives Dental technologyremained virtually undeveloped until the 18th century. The original design of the fixed-removable prosthesis was developed by Swedish investigators. The prosthesis was fabricated on 2 endosseous implants and was made of a gold framework covered with acrylic and consisted of acrylic teeth. Jorge Gonzalez . The Evolution of Dental Materials for Hybrid Prosthesis; The Open Dentistry Journal, 2014, 8, (Suppl 1-M6) 85-94 08/07/2024
  • 7.
    7 The high costof noble alloys, hence alternative materials such as cobalt-chromium, silver-palladium and titanium alloys were explored. However, due to the expansion and contraction that occurs during the casting process, cast metal frameworks are prone to porosity and distortion. CAD-CAM dentistry allowed us to fabricate prosthesis with greater accuracy, homogeneity at lower costs Allowed us to explore other non-metallic bar options such as zirconia and peek. Vatika Agarwal et al : The Ideal Hybrid Framework Material ? - A Literature Review Journal of Pharmaceutical Negative Results ¦ Volume 13 ¦ Special Issue 7 ¦ 2022 08/07/2024
  • 8.
    8 Concepts Of DesigningHybrid Denture Framework Drago et al (10) described guidelines for hybrid prosthesis stating that ā€œframework must be fabricated from materials and protocols that allow passive and accurate fit between frameworks and implants and/or abutments.ā€ Zarb and Jansson described two methods of fabrication of the framework: • Metallic frameworks - bulk of the prostheses, artificial teeth and minimal denture bases - non-metallic components. • Implant fixed prostheses - acrylic resin denture bases (wraparound design) and artificial teeth, with minimally sized metal frameworks Vatika Agarwal et al : The Ideal Hybrid Framework Material ? - A Literature Review Journal of Pharmaceutical Negative Results ¦ Volume 13 ¦ Special Issue 7 ¦ 2022 08/07/2024
  • 9.
  • 10.
  • 11.
  • 12.
    12 According to Glantz,the amount of deformation of the cantilever is directly proportional to the cube of the length and inversely proportional of the width and the cube of the height of the cantilever D = F x L x constant / E x W x H D is the amount of deformation, F is the force of occlusion, L, W, and H are the length, width, and height of the cantilever, respectively, and E is the modulus of elasticity of the material Jorge Gonzalez . The Evolution of Dental Materials for Hybrid Prosthesis; The Open Dentistry Journal, 2014, 8, (Suppl 1-M6) 85-94 08/07/2024
  • 13.
    13 Primary impression tofinal prosthesis https://dentallabs.org/hybrid-denture-protocol-and-procedures-for-successful- case-outcome/ https://dentallabs.org/hybrid-denture-protocol-and-procedures-for-successful-case-outcome/ 08/07/2024
  • 14.
    14 Materials used forhybrid dentures ¤ Acrylic with titanium ¤ Composite ¤ PFM ¤ Milled zirconia https://www.meetdandy.com/learning-center/glossary/hybrid-dentures/ Vatika Agarwal et al : The Ideal Hybrid Framework Material ? - A Literature Review Journal of Pharmaceutical Negative Results ¦ Volume 13 ¦ Special Issue 08/07/2024
  • 15.
    15 Types of HybridProstheses  Hybrid Acrylic and Metal Prostheses  Hybrid Metal and Ceramic Prosthesis  Zirconium-Ceramic Hybrid Prosthesis  Zirconia – metal hybrid prosthesis  Peek zirconia hybrid prosthesis 08/07/2024
  • 16.
    16 Hybrid Acrylic andMetal Prostheses Egilmez, et al.: Implant-supported hybrid prosthesis in extreme cases European Journal of Dentistry, Vol 9 / Issue 3 / Jul-Sep 2015 08/07/2024
  • 17.
    17 Egilmez, et al.:Implant-supported hybrid prosthesis in extreme cases European Journal of Dentistry, Vol 9 / Issue 3 / Jul-Sep 2015 08/07/2024
  • 18.
    18 Egilmez, et al.:Implant-supported hybrid prosthesis in extreme cases European Journal of Dentistry, Vol 9 / Issue 3 / Jul-Sep 2015 08/07/2024
  • 19.
    19 Egilmez, et al.:Implant-supported hybrid prosthesis in extreme cases European Journal of Dentistry, Vol 9 / Issue 3 / Jul-Sep 2015 08/07/2024
  • 20.
    20 Hybrid Metal andCeramic Prosthesis A Novel Impression Technique for Transforming an Acrylic Hybrid Prosthesis into a Metal Ceramic One Using Combined Analog and Digital Workflows Fig. 1: Old fractured acrylic hybrid prosthesis Fig. 2: Intraoral scan of the patient’s maxillary arch with acrylic hybrid prosthesis inserted 08/07/2024
  • 21.
    21 Fig. 3: Oldprosthesis used to make a repositioning impression with putty consistency PVS. This gives the clinicians control of the material and allows them to keep it away from the screw access holes while adapting it Fig. 4: Virtual reduction on Exocad software to create the design of the metal framework Tohme H, Lawand G, Akl M. A Novel Impression Technique for Transforming an Acrylic Hybrid Prosthesis into a Metal Ceramic One Using Combined Analog and Digital Workflows. Int J Prosthodont Restor Dent 2021;11(3):138–141. 08/07/2024
  • 22.
    22 Fig. 5: Intraoraltry-in of the metal framework to assess passive fit before ceramic layering Fig. 6: Patient’s smile with the new metal- ceramic prosthesis in place Tohme H, Lawand G, Akl M. A Novel Impression Technique for Transforming an Acrylic Hybrid Prosthesis into a Metal Ceramic One Using Combined Analog and Digital Workflows. Int J Prosthodont Restor Dent 2021;11(3):138–141. 08/07/2024
  • 23.
    23 Zirconia – metalhybrid prosthesis The soft tissue and the analogs are a duplication of the intraoral situation. A dedicated casting VPS is injected to complete the working model. Laboratory analogs are bonded to a dimensionally stable pre-cured baseplate with a flowable laboratory composite. 08/07/2024
  • 24.
    24 A soft duplicatingvacuformed shell signifies the volume of the hybrid prosthesis in relation to the master model. A screw-retained duplicate of the hybrid prosthesis is made of bisacrylic. Vertical relation is established in composite resin bite registration with dedicated VPS material. 08/07/2024
  • 25.
    25 Approved PMMA provisionalis cut back to allow space for esthetic porcelain, as seen in this graphic representation of CAD/CAM file. Image shows intraoral view of passive-fitting metal bar substructure for zirconia shell. The zirconia shell is based on PMMA provisional and analog- produced metal bar. 08/07/2024
  • 26.
    26 Metal bar isbonded into zirconia shell with dual-polymerizing composite resin. 08/07/2024
  • 27.
    27 Peek zirconia hybridprosthesis 08/07/2024
  • 28.
  • 29.
  • 30.
  • 31.
  • 32.
    32 ⁕ Improved stabilityand support ⁕ Reduces the impact force of dynamic occlusal loads ⁕ Enhanced chewing function ⁕ Esthetic appearance ⁕ Improved oral health ⁕ Reduced risk of tissue irritation ⁕ Easier for hygiene maintanance Advantages & Disadvantages ļ‚§ Higher cost ļ‚§ Surgical procedure required ļ‚§ Longer treatment time ļ‚§ Maintenance requirements ļ‚§ Cannot be removed by the patient. https://www.meetdandy.com/learning-center/glossary/hybrid-dentures/ 08/07/2024
  • 33.
    33 Follow Up AndMaintenance  Etiology of Tooth Loss  Patient Self-Care  Prosthetic Design and Restorative Material 08/07/2024
  • 34.
  • 35.
    35 In-Office Maintenance Appointments Prosthetictooth debonded from maxillary hybrid prosthesis. Minal Tulsani*, Deepak Nallaswamy, Vaishnavi Rajaraman, Divya Rupawat, Sanjana Devi, Stumbling Blocks for Hybrid Denture J Res Med Dent Sci, 2021, 9(10): 140-150Stumbling Blocks for Hybrid Denture, J Res Med Dent Sci, 2021, 9(11): 140-145 08/07/2024
  • 36.
    36 Managing Complications Mechanical andProsthetic Complications • Screw loosening, • Screw fractures, • Implant fractures, • Framework/​ resin/​ veneering material fractures • Tooth wear • Implant prosthesis fractures • Opposing prosthesis fractures and • Metal framework fractures. 08/07/2024
  • 37.
  • 38.
  • 39.
  • 40.
    40 Biologic Complications —Implants can be affected by peri-implant disease, such as peri-implant mucositis and peri-implantitis. https://decisionsindentistry.com/article/maintaining-implant-supported-hybrid-prostheses/ 08/07/2024
  • 41.
  • 42.
  • 43.
    43 How long dohybrid dentures last? The longevity of hybrid dentures is dependent on two key factors: the material they are created with and how well they are taken care of. Different materials are more durable than others, which can shorten their lifespan. For example, acrylic hybrid dentures typically last from five-seven years, while PFM or milled zirconia hybrid dentures can last 10-15 years or even longer. 08/07/2024
  • 44.
    44 CONCLUSION In many cases,the utilization of hybrid prostheses is a viable option to restore function and esthetics in edentulous patients. When choosing this restorative modality, care should be exercised during each step of treatment to ensure optimal outcomes and avoid complications 08/07/2024 Implant Treatment Planning for Hybrid Prostheses A clinical approach to planning, placement and restoration of implant supported hybrid prostheses. By Francisco Curiel Aguilera, DDS, MS On Jun 17, 2020
  • 45.
    45 References 1. Mohsen Al-AsadH et al .Hybrid Prosthesis versus Overdenture: Effect of BioHPP Prosthetic Design Rehabilitating Edentulous Mandible ;International Journal of Dentistry,Volume 2023, Article ID 4108679, 11 pages 2. Vatika Agarwal et al : The Ideal Hybrid Framework Material ? - A Literature Review Journal of Pharmaceutical Negative Results ¦ Volume 13 ¦ Special Issue 7 ¦ 2022 3. Jorge Gonzalez . The Evolution of Dental Materials for Hybrid Prosthesis; The Open Dentistry Journal, 2014, 8, (Suppl 1-M6) 85-94 4. Egilmez, et al.: Implant-supported hybrid prosthesis in extreme cases European Journal of Dentistry, Vol 9 / Issue 3 / Jul-Sep 2015 5. Tohme H, Lawand G, Akl M. A Novel Impression Technique for Transforming an Acrylic Hybrid Prosthesis into a Metal Ceramic One Using Combined Analog and Digital Workflows. Int J Prosthodont Restor Dent 2021;11(3):138–141. 6. Minal Tulsani*, Deepak Nallaswamy, Vaishnavi Rajaraman, Divya Rupawat, Sanjana Devi, Stumbling Blocks for Hybrid Denture J Res Med Dent Sci, 2021, 9(10): 140-150Stumbling Blocks for Hybrid Denture, J Res Med Dent Sci, 2021, 9(11): 140-145 08/07/2024
  • 46.
    46 • https://www.aegisdentalnetwork.com/cced/2024/01/novel-all-in-4-4-4-hybrid-prosthesis-brid ging-the-affordability-gap • https://www.meetdandy.com/learning-center/glossary/hybrid-dentures/ •https://decisionsindentistry.com/article/implant-treatment-planning-hybrid-prostheses/ • https://decisionsindentistry.com/article/implant-treatment-planning-hybrid-prostheses/ • https://medicaturkhealthcare.com/hybrid-prosthesis/ • https://medicaturkhealthcare.com/hybrid-prosthesis/ • https://medicaturkhealthcare.com/hybrid-prosthesis/ • https://decisionsindentistry.com/article/maintaining-implant-supported-hybrid-prostheses/ 08/07/2024
  • 47.
    47 08/07/2024 Cross reference 1. BidraAS. Three-dimensional esthetic analysis in treatment planning for implant-supported fixed prosthesis in the edentulous maxilla: review of the esthetics literature. J Esthet Restor Dent. 2011;23:219–236. 2. Misch CE. St. Louis, MO: Mosby Elsevier; 2008. Contemporary Implant Dentistry 3. Sertgƶz A, Güvener S. Finite element analysis of the effect of cantilever and implant length on stress distribution in an implant-supported fixed prosthesis. J Prosthet Dent. 1996;76:165–9.
  • 48.