A New Paradigm in NiTi Instrumentation Raviv Zary
Paradigm “ A framework of thoughts and concepts within which scientific experiments are performed”
The Introduction of  Nickel-Titanium  Rotary Instruments Represented   a  Paradigm Shift   in Endodontics
Profile 1993 A Disruptive Technology
Evolution of Rotary NiTi Files Profile 1993 Quantec 1996 GT 1998 Hero642 1999 FlexMaster 2000 1 st  Generation Symmetrical &  Uniform
Evolution of Rotary NiTi Files Race 1999 ProTaper 2001 K3 2001 Hero Shaper 2002 Revo-S 2009 2nd Generation Asymmetrical and/or  Not Uniform
Evolution of Rotary NiTi Files 3rd Generation GT - X  2009  M Wire TF 2009  R Phase   Innovative Metallurgy
Motorized instrumentation  Faster instrumentation Able to negotiate  curved canals Great Technology !
Nevertheless Rotaries  are Rotaries  are Rotaries …
Common to all : Many instruments Complicated sequences Tedious  repeated rinsing is  essential
Common to all : Instruments break  unexpectedly Separated apical part  is difficult to remove A Major Drawback !
Common to all : Ignoring  the  3D shape   of the root canals !
The Common Misconception  Dentists tend to relate  to all root canals  as if they had  a uniform round cross section
This is true in upper incisors but wrong in many other teeth
Oval or flat canals are common in lower incisors canines premolars distal roots of lower molars
 
Canals with  “ tear-shaped” cross section are common in premolars mesial roots of lower molars mesio-buccal roots of upper molars
All appear the same on a  2D  X-ray
Current High-End Technology Rotating Blade with Flutes
All root canals are  machined  to a  round cross section
Root Canals with a  Tear-Shaped Cross-Section
Treated with Rotary  Nickel Titanium Files Flat Canals * * Will look great on the radiograph
Treated with Rotary  Nickel Titanium Files Canals with a  “ Tear-Shaped” Cross Section * * Will look great on the radiograph
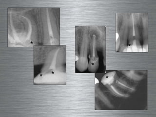
Do We Aim for  Nice Radiographs or High Quality  Endodontic Treatment ?
This may explain the  frequently encountered enigma : Endodontic  failures  in roots with apparently  good root canal fillings * * Misleading  2D  X-Ray images
Wu & Wesselink,  Int Endod J   34: 137-141, 2001
De Deus et al.  Int Endod J   41: 183-190, 2008
De Deus et al.  J Endod   34: 1401-1405, 2008
Micro CT Analysis B12  Rotary File
Bucco-Lingual B12  Rotary File Mesio-Distal
B12  Rotary File 2 mm 4 mm 6 mm
B53  Rotary File Micro CT Analysis Bucco-Lingual Mesio-Distal
2 mm B53  Rotary File 2 mm 4 mm 6 mm
J Endod  35: 1044-1047, 2009 Hard Tissue Debris  Accumulation  Analysis by High Resolution  Computed Tomography Scans Paqué  et al   2009 New Insight !
Packing of Debris into the Isthmus Area During Rotary Instrumentation
The Longitudinal  3D challenge  Curved Canals
Int Endod J   36: 86-92, 2003 ProTaper Rotary Root Canal Preparation: Effects of Canal Anatomy on Final Shape  Analyzed by Micro CT Peters  et al   2003 3 D  X-Ray
Peters  et al   2003 Superimposed  Images Red  : Surface untouched by file Green  : Affected surface Clear : Final preparation
Percent of Root  Canal Surface  Unchanged  by the File Int Endod J   36: 86-92, 2003 Peters  et al   2003 Disto-buccal (n=11) 33 (±19)% Mesio-buccal (n=11) 43 (±29)% Palatal (n=11) 49 (±29)%
Paqué  et al   2009 ProFile ProTaper Flexmaster Lightspeed GT NiTi K File Percent  Untreated  Root Canal Surface Adapted from: Paqué  et al   J Endod   35:1056-9,  2009 Can we do Better ?
Peters et al.  Int Endod J   2003,  36:86-92 Canal Transportation*  (µm) & Canal Straightening (%) in Upper Molars *  CM shift
(2) Peters et al.  Int Endod J   2003,  36:86-92 Canal Transportation*  (µm) P MB DB *  CM shift Can we do  better ?
(2) Peters et al,  Int Endod J   2003,  36:86-92 Canal Straightening  (%) P MB DB Can we do  better ?
NiTi Rotary Files Resulted in a Great Progress   in  Endodontics
Which Frontiers  Still Remain  to be Engaged ?
Many instruments Complicated  Sequences
Unexpected  instrument  separation
Flat oval root canals Canal transportation Curved root canals
Need for  effective irrigation
These Call for  Out-of-the-Box Thinking
Paradigm Shift in Canal  Instrumentation
A New Concept SAF System
A  Self Adjusting File SAF System Operated by  a  Vibrating  Handpiece Made of NiTi
The hollow file is used with  continuous irrigation
Cleaning & Shaping and  Irrigation are Achieved  Simultaneously
SAF System A New Concept A Compressible File 1
A hollow, compressible file
SAF Adapted into a # 20 K File Path
SAF System A New Concept A File Which Adapts Itself to the  Canal’s 3D Anatomy 2
Adaptation to  Longitudinal  Curvature
Mandibular Incisor Adaptation to  Oval  Cross Section
SAF System Circumferential  Removal of Dentin 3 A New Concept
Sand Paper Rough Surface Pressure Repeated Motion
Roughness : 2.8 µm ± 10%
The vibrating hand-piece  provides  5000 vibrations per min + Pecking  Motion
Goal attained with  a minimal and uniform  wall thickness reduction !
SAF Current  Nickel Titanium  Rotary Files Flat Canals
Current Nickel Titanium Rotary Files SAF Canals with a  “ Tear-Shaped ”  Cross Section
Micro CT Analysis Red  : before treatment Blue  over  red  : after 4 min treatment G93
Micro CT Analysis Red  : before treatment Blue  over  red  : after 4 min treatment A 32
Cross section at 6 mm from the apex A 32
An Extreme Case C-Shaped Canal
2 nd   Lower Molar TLS 16
0° - 45° -   180° 90° 45° TLS 16 1 mm
SAF preparation 0° - 40° - 120° - 80° 120° 80° 40° Green: before preparation Red: after preparation 1 mm
Cross Sections 4mm 2mm Distance from the apex
Distal Roots of Lower Molars Paqué et al  J Endod   36:703-707, 2010 ProTaper – Manufacturer’s Instructions 79.9 (±10.3)%  Untreated
Distal Roots of Lower Molars ProTaper Circumferential Filing 69.1 (±9.2)%  Untreated Paqué et al  J Endod   36:703-707, 2010
Distal Roots of Lower Molars SAF System 23.5 ( ± 8.9)%  Untreated
SAF System Prevention of Canal Transportation 4 A New Concept
Micro CT Analysis A 22
Paqué  et al   2009 SAF Current Study ProFile ProTaper Flexmaster Lightspeed GT NiTi K File Percent Untreated Root Canal Surface Adapted from: Paqué  et al   J Endod  35:1056-9,  2009
(1) (2) (1)  Peters et al,  Int Endod J   2003,  36:86-92 (2)  Metzger et al,  on-going study Canal Transportation*  (µm) P MB DB *  CM shift
(1) (2) (1)  Peters et al,  Int Endod J   2003,  36:86-92 (2)  Metzger et al ,  on-going study Canal Straightening  (%) P MB DB
SAF System Continuous Irrigation with Sodium Hypochlorite 5 A New Concept
Irrigator  Attachment Hollow File
LCD Display Flow Control Buttons Foot Switch SAF System Irrigator VATEA  ©
Irrigation Solution  Reservoir 400 ml SAF Sytem Irrigator VATEA
Flow Rate 1-10 mL / min = 4 - 40 mL in 4 min
Positive  Pressure  Irrigation Negative  Pressure  Irrigation vs No-Pressure Irrigation
Will the solution flow beyond the apex ?
Rinsing efficacy :  Transparent Blocks
 
Exchange of Irrigant
Rinsing Scrubbing
SAF System Continuous No-Pressure Irrigation with  Activation & Scrubbing
Cleaning the root canal SEM Study
SAF Cleaning and shaping with NaOCl 3% alternating with  EDTA 17% SEM
Smear Layer Scoring (Hülsmann 1997) Score 1 No smear layer, dentinal tubules open. Score 2 Small amount of smear layer, some dentinal tubules open. Score 3 Homogenous smear layer, only few dentinal tubules open.  Score 4 Complete root canal covered, no open dentinal tubules. Score 5 Heavy, non homogenous smear layer covering the complete root canal wall. X 1000
Debris Scoring (Hülsmann 1997) Score 1 Clean root canal wall, few small debris particles. Score 2 Few small agglomerations of debris. Score 3 Many agglomerations of debris covering less than 50% of root canal wall. Score 4 More than 50% of root canal covered by debris. Score 5 Complete or nearly complete root canal wall covered by debris.  X 200
Apical Mid-Root Coronal D75 X 500 Apical
Apical Mid-Root Coronal D75 X 200 Apical
Apical Mid-Root Coronal F48 X 1000 Apical
Canal Wall Free of Debris  Coronal Third Middle  Third Apical Third 20/20 100% 20/20 100% 20/20 100% Metzger et al,  J Endod  36:697-702, 2010
Canal Wall Free of Smear Layer  Coronal Third Middle  Third Apical Third 20/20 100% 16/20 80% 13/20 65% Metzger et al,  J Endod  36:697-702, 2010
SAF System High Durability : No File Separation 6 A New Concept
Torque Durability Separation after  ~   1.3 turns   Rotary file
Torque Durability Separation after ~ 3.5 turns   SAF
Mechanical Failure Patterns
Mechanical Failure Patterns
The SAF Procedure
The SAF Procedure Orifice funneled Irrigating while working One instrument ! Path established up to # 20
SAF – Benefits = H igher quality of treatment Improved cleaning Improved irrigation Improved sealing Improved preservation of canal walls
SAF – Benefits A simple armamentarium
S 16/21 mm M 18/25 mm L 21/31 mm Ø  1.5 mm One File Per Procedure
SAF – Benefits A simple,  easy  procedure = Short learning curve A simple armamentarium
SAF – Benefits A simple, easy procedure A simple armamentarium Improved  Safety   !
Obturation Methods
A New Method for Evaluation of  Root Canal Filling– Dentin Contact by   3D Micro CT Analysis Resolution:17 µm
RCF- Dentin Contact –  98% Scan after Treatment + Scan after Obturation Yellow : touched by the RCF Red : un-touched by the RCF Resolution:17 µm
Tooth A22 -  Lateral Compaction Bucco-lingual Mesio-distal
RCF / Dentin contact – 89.6%  Tooth A22 -  Lateral Compaction
Tooth A04 –  Heated Gutta-Percha Injection Bucco-lingual Mesio-distal
RCF / Dentin contact –  98.6%  Tooth A04 –  Heated Gutta-Percha Injection
Bucco-lingual Mesio-distal Tooth A60 -  Thermafil
RCF- Dentin Contact – 90% Tooth A60 -  Thermafil
Obturation Study
Obturation Study % canal wall affected by the file Red: Area unaffected by the file
Obturation Study % canal wall touched by the root canal filling Yellow: Area untouched by the RCF
Figure 3 Correlation between  % Unaffected Canal Wall and % untouched by RCF )
2009: Clinical Trials
March 2010 >250  Clinical Cases
* * * * * * *
Conclusion
The SAF System Represents A  Paradigm Shift In  NiTi Instrumentation
Journal of Endodontics April 2010 The Self Adjusting File (SAF). Part 1: Respecting the Root Canal Anatomy A New Concept of Endodontic Files  and Its Implementation Metzger Z, Teperovich E, Zary R, Cohen R, Hof R J Endod 36:679-690, 2010
Journal of Endodontics April 2010 The Self-Adjusting File.  Part 2: Mechanical Analysis Hof R, Perevalov V,  Eltanany M, Zary R, Metzger Z J Endod 36:691-696, 2010
Journal of Endodontics April 2010 The Self-Adjusting File (SAF).  Part 3: Removal of Debris and Smear Layer A Scanning Electron Microscope Study Metzger Z, Teperovich E, Cohen R, Zary R,  Paqué F, Hülsmann M J Endod 36:697-702, 2010
Thank  You Raviv Zary [email_address]

Self-Adjusting File: SAF