LE REVISIONI PROTESICHE
D’ANCA
Dott. Massimo De Zerbi
Responsabile
U.O. Ortopedia e Traumatologia
Ospedale Privato Accreditato SSN
Domus Nova – Ravenna
Consulente
U.O. Ortopedia e Traumatologia
Ospedale Privato Accreditato SSN
Villa Erbosa - Bologna
( Responsabile: Prof. Roberto Binazzi )
FALLIMENTI di
PROTESI TOTALI D’ANCA
1960 - 1980
•
•
•
•

10 – 30 % entro 10 anni
0 – 3 anni post-op INFEZIONE
3 – 8 anni post-op FALLIMENTO STELO
> 8 anni post-op MOBILIZZAZIONE COPPA
( USURA PE )
CAUSE DI FALLIMENTO PROTESICO

-Infezione
-Usura del PE
-Malposizionamento
-Errato Planning Pre-op
-Trauma – Rottura di una componente protesica
-Protesi dolorosa
QUADRO CLINICO-STRUMENTALE
-Dolore
-Zoppia
-Limitazione ROM
-Dismetria
-Eventuali sintomi correlati di infezione
-Rx (segni precoci e tardivi)
-Scintigrafia (Tc – Leucociti marcati)
-Angiografia – Angio-TAC (2D – 3D)
-Esami laboratorio
TRATTAMENTO
MEDICO - FISIOTERAPICO

-Protesi dolorose (non chiaramente mobilizzate)
-Pz con ASA elevato
-(Infezioni)
TRATTAMENTO CHIRURGICO
PRECOCE
IN TUTTI GLI ALTRI CASI
COSA FARE?
MOBILIZZAZIONI SETTICHE
MOBILIZZAZIONI ASETTICHE
MOBILIZZAZIONI SETTICHE
-Rimozione protesi
-Spaziatore antibiotato o Girdlestone con biglie di
cemento antibiotato
-Terapia antibiotica mirata protratta
-Reimpianto protesico a distanza
MOBILIZZAZIONI ASETTICHE
-Totali
-Solo cotile
-Solo stelo

SOSTITUZIONE DELLA O DELLE COMPONENTI
MOBILIZZATE
ACCURATO PLANNING PRE-OP

-Bone stock – bone loss
-Tipologia della protesi da espiantare
(tipo, modello, cementazione, osteo-integrazione)
-Rapporti anatomici alterati
CLASSIFICAZIONE DI PAPROSKY
CLASSIFICAZIONE DI PAPROSKY
TIPO 1
CLASSIFICAZIONE DI PAPROSKY
Tipo 2A

Tipo 2B

Tipo 2C
CLASSIFICAZIONE DI PAPROSKY
Tipo 3A

Tipo 3B
Cosa fare?
-Componente acetabolare da 1^ impianto
press-fit
-Componente acetabolare da 1^ impianto
press-fit + viti
-Componenti acetabolari filettate
-Anelli di rinforzo e cotili cementati
-Componenti acetabolari con fissazione conica
iliaca
-Innesti ossei o sostituti
-Fattori di crescita
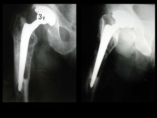
Paprosky 2A
Paprosky 1
Follow up a 3
anni
Paprosky 1
Post-op

F.U. 6 anni
Paprosky 2B

F.U 5 aa
CLASSIFICAZIONE DI PAPROSKY
CLASSIFICAZIONE DI PAPROSKY
CLASSIFICAZIONE DI PAPROSKY
CLASSIFICAZIONE DI PAPROSKY
REVISIONI
FINE ANNI 80’
STELO LORD
PROBLEMI
- DOLORE ANTERIORE
di COSCIA
- “STRESS SHIELDING”

IN COMPLESSO, TECNICA
INAFFIDABILE
BOLOGNA 1988
INTERNATIONAL MEETING
SULLE REVISIONI
- E. Habermann, L.Borden, D. Hungerford, T. Hedley (USA)
- Heinz Wagner (Germania), Gerald Lord (Francia)
- R. Kotz (Austria)
- Robin Ling, Graham Gie (UK)
- Tom Sloof (Olanda)
- Philip D. Wilson (USA)
BOLOGNA 1988
INTERNATIONAL MEETING
SULLE REVISIONI
2 GRANDI IDEE INNOVATIVE
- FISSAZIONE DISTALE NON CEMENTATA
- “IMPACTION GRAFTING” CEMENTATO
Prof. H.WAGNER
1992

WAGNER CONICAL STEM
WAGNER STEM
1992 - 98
• RIPRESA MOLTO RAPIDA
• PROTOCOLLO POST-OP IDENTICO AI
CASI PRIMARI (CARICO TOTALE A
4 SETTIMANE)
• ECCELLENTE RICOSTRUZIONE OSSEA
(NON INNESTI)
• 62 % di RISULTATI SODDISFACENTI
(HARRIS Score TROPPO SEVERO !!)
STELO WAGNER
ECCELLENTI RISULTATI
CLINICO-RADIOGRAFICI
MA…
• COLLO TROPPO VALGO ( 145°)
• OFFSET INSUFFICIENTE (specialmente per
le misure più grandi)
• DIFFICILE AGGIUSTAMENTO della
LUNGHEZZA dell’ARTO
( NON MODULARE)
FISSAZIONE CONICA - PUNTI CHIAVE
1) VIA TRANS-FEMORALE

- chirurgia più facile
operazione più breve – meno perdite
ematiche
- rimozione anatomica di TUTTO il cemento e del tessuto fibroso
- l’ osteotomia funge da stimolo per la ricostruzione ossea
- corretta misura di stelo
minore o nessuna “subsidence”
FISSAZIONE CONICA - PUNTI CHIAVE
1) VIA TRANS-FEMORALE

- chirurgia più facile
operazione più breve – meno perdite
ematiche
- rimozione anatomica di TUTTO il cemento e del tessuto fibroso
- l’ osteotomia funge da stimolo per la ricostruzione ossea
- corretta misura di stelo
minore o nessuna “subsidence”

2) IMMEDIATA COMPLETA STABILITA’ MECC.
- carico totale precoce (3 - 21 giorni post-op)
FISSAZIONE CONICA - PUNTI CHIAVE
1) VIA TRANS-FEMORALE

- chirurgia più facile
operazione più breve – meno perdite
ematiche
- rimozione anatomica di TUTTO il cemento e del tessuto fibroso
- l’ osteotomia funge da stimolo per la ricostruzione ossea
- corretta misura di stelo
minore o nessuna “subsidence”

2) IMMEDIATA COMPLETA STABILITA’ MECC
- carico totale precoce (3 - 21 giorni post-op)

3) OFFSET e MODULARITA’
RESTORATION MODULAR
RISULTATI CLINICI (HARRIS SCORE)
-

follow-up medio 7,1 anni (5,6 – 9)

-

SODDISFACENTI

-

DISCRETI 4 (13 %), CATTIVI 1 (3 %)

25 (83 %)

- LA META’ CAMMINA SENZA APPOGGI
- NESSUN CASO DI RE-REVISIONE
RESTORATION MODULAR
RISULTATI RADIOGRAFICI
1) Buona ricostruzione ossea - 26 casi (87 %)
2) Non grande ricostruzione ossea, ma stelo
perfettamente stabile. Osteoporosi – 4 casi (13%)
3) Chiara mobilizzazione, da rioperare - 0
RESTORATION MODULAR
“SUBSIDENCE”
77 %
14 %
9 %

NESSUNA o < 5 mm
5 – 10 mm
> 10 mm
4) “SUBSIDENCE”
con STELI CONICI
1) non è lo stelo che va GIU’, … è il Femore che
RISALE !!
FEMUR
“UP-RISING”
4) “SUBSIDENCE”
con STELI CONICI
1) non è lo stelo che va GIU’, … è il Femore che
RISALE !!
2) siccome lo stelo è un cono all’interno di altro
cono (il femore), si blocca alcuni mm più in
basso.
4) “SUBSIDENCE”
con STELI CONICI
1) non è lo stelo che va GIU’, … è il Femore che
RISALE !!
2) siccome lo stelo è un cono all’interno di un
altro cono (il femore), si blocca alcuni mm più in
basso.
3) si presenta nei primi 6-8 mesi, poi si arresta.
4) negli Steli CONICI S. NON E’ SINONIMO di
MOBILIZZAZIONE, anzi raramente è di
rilevanza clinica.
Paprosky
3-B (4)
Vanc. B - 3

21 mm
21 mm
Subsidence

=

NO
LOOSENING
1999
1988

T 3 STEM
1999
1988

T 3 STEM
CONCLUSIONI
• CON LA FISSAZIONE CONICA DISTALE
CAMBIO RADICALE NELLA PROGNOSI DELLE
REVISIONI
• PROTOCOLLO POST-OP IDENTICO AGLI
INTERVENTI PRIMARI
• ECCELLENTE SOPRAVVIVENZA DEGLI
IMPIANTI A 10 ANNI (NESSUNA RIMOZIONE DI
T3, MT3 O CONE CONICAL )
• I RISULTATI CLINICI SONO BUONI, MA
ALCUNI CASI VALUTATI CON HARRIS
DISCRETI O PERFINO CATTIVI SONO
SODDISFACENTI CONSIDERANDO LE
CONDIZIONI PRE-OP
CONCLUSIONI

• PROBLEMA DI UN PUNTEGGIO SPECIFICO
PER LE REVISIONI
• LEARNING CURVE
• CONTROINDICAZIONE AGLI STELI CONIC
= SEVERA OSTEOPOROSI FEMORALE

• GRANDE VERSATILITA’ DELLA
TECNICA
Grazie

Revisioni protesiche d'anca