DISTAL HUMERUS
FRACTURE AND
ELBOW
DISLOCATION
DR. AJAY G K
ASSISTANT PROFESSOR
Orthopaedics Dept.
OBJECTIVES
 ANATOMY
 CLASSIFICATION
 CLINICAL FEATURES
 RADIOLOGY
 TREATMENT
 COMPLICATIONS
ELBOW JOINT
DISTAL HUMERUS
 Coronoid Fossa
 Trochlea
 Medial Epicondyle  Lateral Epicondyle
 Capitellum
PROXIMAL ULNA
 Greater Sigmoid Notch
 Lesser Sigmoid

 Notch
 Olecranon

 Process
 Coronoid Process
PROXIMAL RADIUS
 Head
 Neck
 Radial/Bicepital Tuberosity
JOINTS
Humeroulnar joint and Humeroradial
 - Flexion/extension


Radioulnar joint
 - Supination/pronation
Muscles Around Elbow-
Simple
Bicep
Triceps
Wrist flexors
Wrist extensors
LIGAMENTS
NERVES
DISTAL HUMERUS FRACTURE
They have a bimodal age distribution peak
incidences occurring between the ages of 12 to
19 years, usually in males,
Those aged 80 years and older, characteristically
in females
The most common fracture pattern was an extra-
articular fracture accounting for just under 40% of
all fractures.
Bicolumn or complete intra-articular fractures
were the second most common, accounting for
37%.
MECHANISM OF INJURY
 Low-energy falls
 High-energy trauma
CLINICAL EXAMINATION
 Abrasions, bruising, swelling, fracture blisters,
skin tenting, and open wounds

 Neurological exam must be performed

 Vascular injuries, although rare in distal
humerus fractures, should be assessed by
examining the distal pulses, skin turgor, capillary
refill, and color

 Compartment syndrome of the forearm
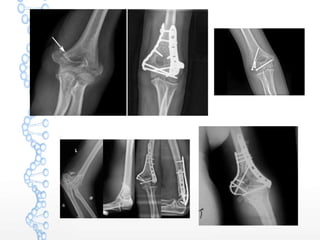
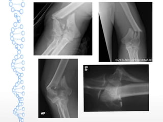
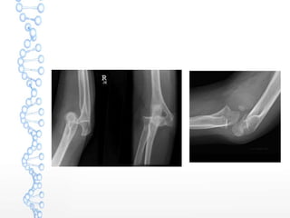
RADIOLOGY
 Standard Anteroposterior and Lateral
radiographs of the elbow

 Computed tomography (CT) with three-
dimensional reconstructions
Fat Pad sign
Classification
 Descriptive

 Supracondylar fractures
 Transcondylar fractures
 Intercondylar fractures
 Condylar fractures
 Capitellum fractures
 Trochlea fractures- Laugier’s fracture
 Lateral epicondyle fractures
 Medial epicondyle fractures
 Fractures of the supracondylar process
CLASSIFICATION
Mehne and Matta
classification of distal
humeral fractures.
High
T
Low
T
Y H
Medial
Lambda
Lateral
Lambda
Riseborough and Radin
classification
AO CLASSIFICATION
Treatment
General principles
 Anatomic articular reduction
 Stable fixation
 Early range of elbow motion
Non operative treatment
 Indications
 Nondisplaced fractures
 Fracture with sever comminution in elderly
patient

 Options available
 Cast immobilisation
 Bag and bones technique
Operative treatment
 Indications
 Displaced fractures
 Comminuted fractures in young patient

 Methods available
 Interfragmentary screws
 Dual plate fixation
 Total elbow arthroplasty
Complications
 Posttraumatic arthritis
 Failure of fixation
 Loss of motion - Extension
 Heterotopic ossification
 Neurologic injury - Ulnar nerve
 Nonunion of osteotomy
 Infection
 Deformity
ELBOW DISLOCATION
 Accounts for 11% to 28% of injuries to elbow
 Posterior dislocation common
 Simple dislocations are associated with ligamentous
failure
 Complex dislocations are associated with fractures
 Highest incidence in 10-20 years age
 Recurrent dislocations are rare
Mechanism of injury
 Fall on
outstretched
hand or elbow
 Capsuloligame
ntous injury
progresses
from lateral to
medial – Hori
cycle
Associated injuries
 Coronoid fractures
 Radial head fratures
 Nerve injury
 Vascular injury
TERRIBLE TRIAD
Classification
According to direction of displaccement
 Posterior
 Posteriolateral
 Posteriomedial
 Lateral
 Medial
 Anterior
Treatment
 Principles
 Restoration of bony stability is the goal
 Restoration of trochlear notch of ulna
 Radiocapitellar contact
 Lateral collateral ligament is more
 important than medial collateral ligament for
the stability
Nonoperative
 Closed reduction under sedation
 followed by above elbow splint for 2 weeks
 Elbow rehabilitation after 2weeks
 Methods of closed redution
1.Parvins method
2.Meyn and Quigleys method
 Parvins method  Meyn and Quigleys
method
Surgical treatment
 Indications
 Non reducable dislocations
 Unstable dislocations which require ligament
reconstruction
 Dislocation associated with fractures
Complications
 Stiffness
 Neurological complications
 Vascular complications
 Compartment syndrome
 Persistant instability/ redislocation
 Posttraumatic arthritis
 Heterotropic ossification
Distal humerus fracture and elbow dislocation

Distal humerus fracture and elbow dislocation