Psoriasiform   Lesions
Some things   common
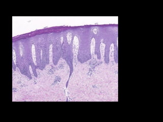
Epidermal hyperplasia
 
 
Elongation of rete ridges
 
Psoriasis
Psoriasis   Greek word for 'itch'
“ chronic   non-infectious   erythematous   plaques   &   papules   silvery scales   extensor distribution”
Psoriasis vulgaris   (common) Chronic  Relapsing Papulosquamous dermatitis
Incidence :  2 %   All  Races  More in  western  people  Mean age  -  25 yrs
Chr  - 6P21.3 Associated with   -  HLA-CW0602   (PCR)
How the patient presents ?
Erythematous plaques  with   Silver scaling
When the scales are removed …
Auspitz’s sign It bleeds
Capillaries Scratch
Which sites are involved ?
 
 
 
 
 
 
 
 
 
Scalp ,  Lips no involved Oral lesions are rare
5 %  cases --- Polyarthritis
Do we know the Cause ?  
Trigger factors   Trauma Infection Drugs : Lithium, iodine , B blockers, Carbamazepine, NSAIDS, ACE inhibitors Climate Hormone,  Stress  Alcohol Smoking
Lesions after Trauma  (Koebner phenomenon) 30 % cases.
What is the Pathogenesis ?
Y Y Y Its an   Immune   reaction
“Problem in signal transduction” Initiation
Cytokine  transcription regulation  problems
Stimulation of immunity by    super antigen
Problem in signal transduction in between the cells Cytokine transcription regulation problems Stimulation of immunity by super antigen   Initiation
Blood vessels in the papillary dermis  Disease process starts here
Blood vessels in the papillary dermis  Dilatation and tortuosity
Angiogenesis   (TGF alfa, IL 8 ) Size of microcirculation  Expands   New vessels bring  T   lymphocytes
Lymphocyte recruitment in papillary dermis  (PAF, LB4) Lymphocytes come and bind to endothelial  cells in venules of papillary dermis
Even the expression of  adhesion molecules is  increased  (E selectin)
E selectin correlates with the disease process UV rays decrease adhesion molecules! ( PUVA therapy  !!)
Now the Lymphocytes  come out   of the venules (C5a)
CD4 or CD8 ?  CD4 in the dermis  CD8 migrate to the epidermis
Mechanism  T cell activation by super antigen  Release of huge quantity of cytokines
  Transit time change 53  days
in Psoriasis   7  days
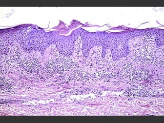
Histopathology
Early changes   Dilatation and congestion of vessels Mild perivascular lymphocytic infiltration
 
 
 
 

Psoriasis