MultipleSclerosis:Current&Emerging
Treatments Personalized Strategies
Dr. Suhail Al-Shammri
Associate Professor& Head Division of
Neurology, Mubark Al Kabir Hospital
Overview
• The diagnostic criteria of multiple sclerosis(
MS)
• Classification of idiopathic inflammatory
demyelinating disorders
• Clinical course of MS
• Current and emerging MS therapies
Idiopathic CNS Demyelinating
Diseases
• Typical CNS demyelinating Diseases:
– Radiologically isolated syndrome (RIS)
– Clinically isolated syndrome (CIS)
– Relapsing –remitting multiple sclerosis (RRMS)
– Secondary progressive MS (SPMS)
– Primary progressive MS (PPMS)
Atypical CNS Demyelinating Diseases
• Acute disseminated encephalomyelitis
(ADEM)
• Acute hemorrhagic leukoencephalitis (AHLE)
• Tumefactive MS
• Balo’s concentric sclerosis
• Marburg
Radiologically Isolated Syndrome
(RIS)
– No typical symptoms of CNS demyelination
– No formally accepted diagnostic criteria
– MRI : Typical MS lesions
– CSF abnormalities
– Clinical MS Attack:
– 35% over 5 years
– MRI progression:
• 59-83% in 2 years
– DMT is initiated only in case
of clinical/MRI progression
Okuda DT et al, Neurology2011:76()8, 686-692
Diagnostic Criteria for MS
• An effort to make the diagnostic process more
objective
• Formal criteria were devised to codify the typical MS
features into indisputable diagnostic criteria
• The primary driving force is identification of patients
for research trials. ”a consensus on which patient has
MS”
• Criteria are designed to be specific
• There are patients with MS who do not meet those
criteria
• “A patient has MS when an an experienced neurologist
says he or she has MS”
Schumacher Criteria- 1965
• Onset of symptoms between 10 and 50 years
• Objective abnormalities on neurologic
examination
• The signs and symptoms indicate CNS white
matter damage
• The lesions are disseminated in space ( 2 or more
separate lesions)
• The lesions are disseminated in time (2 attacks at
least 1 month apart)
• No better explanation
The Mc Donald Criteria
• ‘the world consists of three types of person: those who
have multiple sclerosis; those who do not; and those
who might’. Polman CH et al,Ann Neurology, 2001
Episodes
from history
Objective clinical signs Additional data needed
from MRI or clinical
follow up
2 attacks
2 attacks
1 attack
1 attack
Progressive
course over 1
year
2 lesions
1 lesion
2 lesions
1 lesion
None
DIS
DIT
Both DIS&DIT
DIS demonstrated by 2 :
1- MRI brain
2. MRI cord
3. CSF oligoclonal bands
Dissemination in Space
Polman CH et al, Ann Neurol 2011; 69:292–302
Dissemination in Time
Polman CH et al, Ann Neurol 2011; 69:292–302
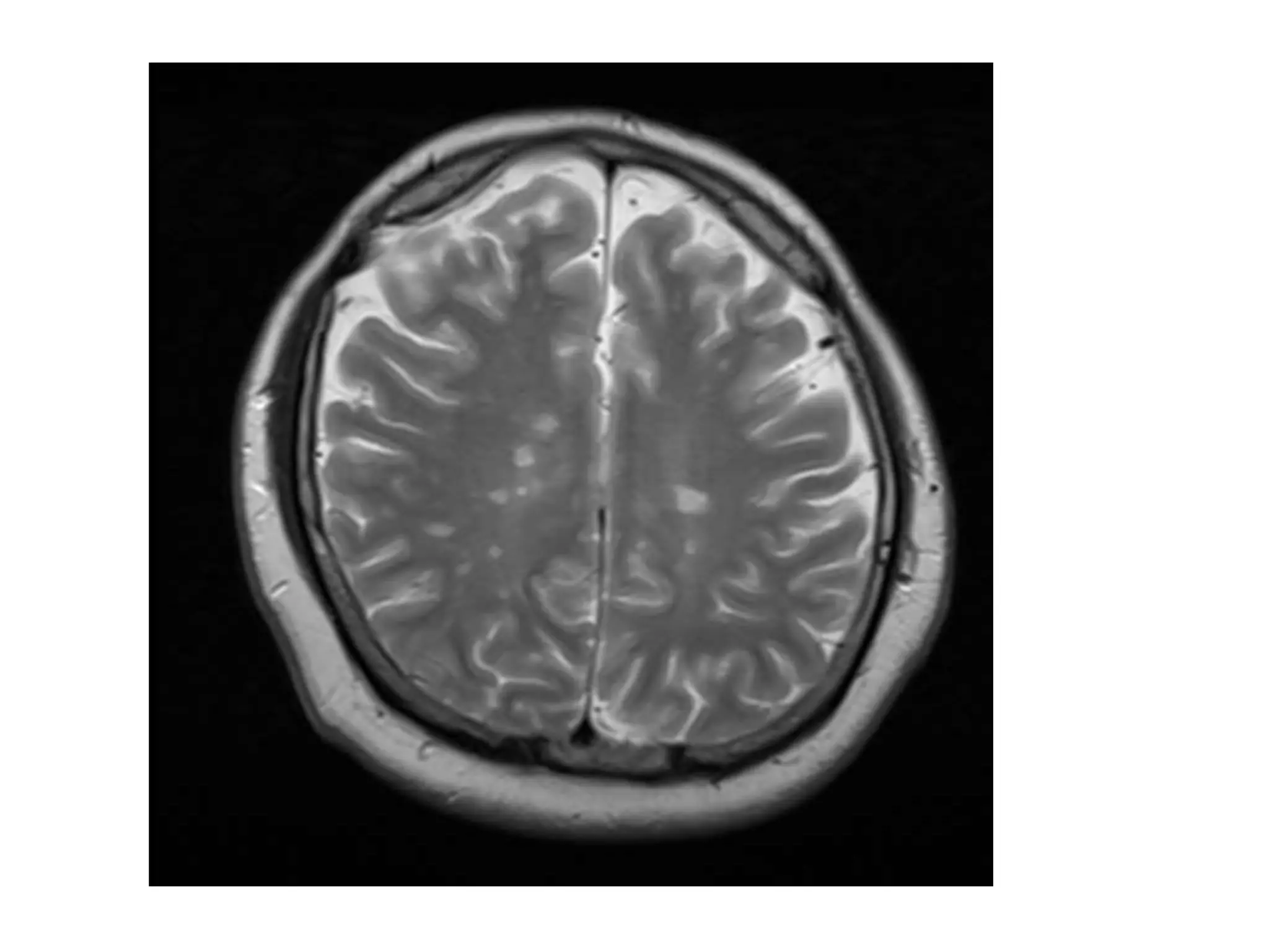
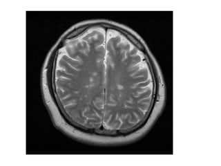
MRI Brain DIS
MRI Cervical spine: DIS
MRI Brain T2WI
MRI Brain Enhanced T1WI:DIT
CASE
• On 18/3/08 patient complained of ocular pain on
moving the left eye with blurred vision.
• 2 days later she developed left frontal headache.
• Seen by the ophthalmologist who diagnosed her as
optic neuritis and advised to be on neurobion.
• She had several attacks of Rt. Upper limb heaviness
in the last 2 years, each was lasting for a week.
• Her cousin has MS .
CASE : Examination
• Her vision was 20/200 in the left eye and 20/40 in the
right eye. There was a central scotoma, and red and
blue colors were less intense in the left eye.
• RAPD on the left
• Left fundus: disc is congested and swollen.
• Central Scotoma
• Treated with pulse IV methylprednisolone for 3 days
and improved followed by short prednisolone taper
Case 1: Fundoscopy
Case : MRI Brain
Case 2: MRI Spine
Case : CSF Oligoclonal bands
Clinically Isolated Syndrome (CIS)
• Single characteristic clinical attack of CNS
demyelination:
– Optic neuritis
– Acute partial myelitis
– Brain stem syndrome
– Cortical
•
Clinically Isolated Syndrome (CIS)
• MRI:
– Low risk: 1 or no other asymptomatic brain lesion
– High risk: 2 or > asymptomatic lesions
• Treatment approved for high risk patients
– IFN-B, GA reduces second attack: ARR 15%
Baseline MRI and Risk of CDMS for
Monofocal onset CIS (BENEFIT
Placebo N=93)
CHAMPS CHAMPS2 ETOMS BENEFIT25
Unifocal/multifocal/
No pt
Unifocal/
383
Unifocal Unifocal+
multifocal
/309
Unifocal/
487
IFN-B Avonex+Pulse
MP
Avonex Rebif Betasron
Dose/ 30µg/im/weekly 30µg/IM/
weekly
22µg/SC/
Weekly
250µg/SC/EOD
Duration/years 3 5 2 2
Pre-MRI T2 load 2or> 4 or > 2 OR>
%CDMS,P value 35 VS50,
p=0.002
36 VS 49,
P=0.03
34 VS 45
P=0.047
28 VS 45 (69%/85%
+MRI effect Yes Yes,
P=0.001
Yes,
P=0.001
TOPIC
Primary end point:
Conversion to CDMS (as defined by the occurrence of a relapse)
Key inclusion criteria:
• Patients 18 to 55 years of age with a first acute/subacute neurologic event
consistent with demyelination.
• MS symptom onset within 90 days of randomization.
• Screening MRI scan with 2 T2 lesions 3 mM diameter that are characteristic
of MS.
Screened
(N=846)
Placebo
(n=197)
Teriflunomide 7 mg
(n=205)
R Long-Term Extension
Teriflunomide 14 mg
(n=216)
108-Week Treatment Phase
Randomized
n=618
Miller A. Plattform presentation ECTRIMS 2013
Primary / Key Secondary Endpoint
Primary Endpoint:
Time to Clinically Definite MS
(CDMS)
43%
Safety / Tolerability:
Adverse events observed in the trial were consistent with previous clinical trials
with Aubagio.
Miller A. Plattform presentation ECTRIMS 2013
21%
p=0.43
66
59%
p=0.00
08
Gd-enhancing T1 Lesions)
CIS: When To Initiate Therapy?
• Patients with normal MRI or with fewer than 2
– Low risk of developing early clinical attacks
– Clinical and MRI monitoring
– Without immediately commencing immunotherapy
(DMT)
• Those with abnormal MRI with2or> lesions
consistent with MS or with evidence of
intrathecal synthesis of antibodies should be
considered for DMT,
• Patients with atypical clinical or MRI presentation
require further diagnostic evaluation.
Relapsing-Remitting MS
• Subacute repeated onset of CNS dysfunction with
resolution ( sometimes incomplete , over days to
weeks)
• Revised McDonald criteria
• MRI: Periventricular, brainstem, juxtacortical
prominent T2, often Gad enhancing lesions, T1
hypointense (black holes)
• Treatment: Interferon-B, Glatiramer acetate,
natalizumab, mitoxantrone
Features Consistent With MS
• Relapses and remissions
• Age Onset between ages 15 and 50
• Optic neuritis
• Lhermitte's sign
• Internuclear ophthalmoplegia
• Fatigue
• Uhthoff's phenomenon
Features Inconsistent With MS
• Steady progression
• Onset before age 10 or after age 50
• Cortical deficits such as aphasia, apraxia, alexia,
neglect
• Rigidity, sustained dystonia
• Convulsions
• Early dementia
• Deficit developing within minutes
Secondary Progressive MS
• Majority of RRMS many years following onset
• Progressive impairment (spastic gait
disturbance) between or in absence of attacks
• No clear effect of DMT without ongoing
attacks or inflammation
• Role of DMTs in SPMS patients:
– with ongoing relapses
– Substantial ongoing accrual on new MRI
inflammatory lesions
Primary Progressive MS
• Presents with progressive myelopathic gait,
cerebellar ataxia or cognitive impairment without
clear history of any clinical attacks
• Clinical progression must be for at least 1 year
and accompanied by a combinstion of
brain&spinal abnormalities and/or CSF
anormalities consistent with MS
• Lack of clinical attacks/ relative paucity of MRI
lesions
• No approved DMTs
Multiple Sclerosis (MS)
• Multiple Sclerosis is the commonest disabling
neurological condition to afflict young adults
• MS is an autoimmune disease triggered by
environmental agents acting in a genetically
susceptible people
• Auto-aggresive autoimmune attack on the
myelin sheath and other components of CNS
• Current&emerging DMTs are based in the above
paradigm
• Is MS a primary neurodegenerative disease
MS: Pathology
MS: Pathology
Demographic
Characteristics of Multiple
Sclerosis in Kuwait
0
5
10
15
20
25
30
35
Mean Current
age
Mean age at
presentation
Mean duration
of Disease
Years
SD±5.4
SD±9.3
Total recruited patients in study: 195
Gender Distribution N(M/F): 195(76/119)
Cross sectional or retrospectively included
patients:134
Newly diagnosed drug naïve patient:65
SD±10.3
Clinical Characteristics of Multiple Sclerosis in Kuwaiti Population
20.50%
11.70%
9.40% 8.60%
7.30%
2.10% 1.50% 1.20% 0.60%
0.00%
5.00%
10.00%
15.00%
20.00%
25.00%
Sensory Brain stem
and
cerebeller
Visual Motor Multiple
Symptoms
Sphicter
disturbance
L' Hermitte
sign
Seizures Others
Presenting symptoms
PRESENTING SYMPTOMS IN MS Total %
SENSORY LOSS IN LIMBS 30.7
VISUAL LOSS 15.9
MOTOR WEAKNESS 14.2
DIPLOPIA 6.8
GAIT DISTURBANCE 4.8
NCOORDINATION 2.9
SENSORY LOSS-FACE 2.8
LHERMITTE’S 1.8
VERTIGO 1.7
BLADDER SYMPTOMS 1
AUTE TRANSVERSE MYELOPATHY 0.7
PAIN 0.5
OTHERS 2.5
POLYSYMPTOMATIC 13.7
Medication details in studied Kuwaiti MS patients
48.90%
15.40%
3.10%
8.70% 9.70%
0.50% 0.50% 1% 0.50% 2.60%
0.00%
10.00%
20.00%
30.00%
40.00%
50.00%
60.00%
MS Therapy: Deciding on which
Medication
• Determine Therapeutic Goals
– To reduce clinical relapse
– To reduce accumulation of new MRI lesions
–  new T2 lesions
– Gadolinium-enhancing lesions
– black holes
– Brain and spinal cord atrophy
• Reduce short-term relapse related disability
How To Determine of The Goals are
Met?
• Compare with baseline relapse rate
– Recall bias
– Regression to the mean
• Assessment of improvement or stability in
neurological impairment
– Assess functional ambulatory limitation
• May indicate progression
• MRI ongoing/new inflammatory activity
– Serial MRI to assess radiologic stability, worsening or
improvement- q12-24 month except
How To Determine of The Goals are
Met?
• If goals of DMT or symptomatic treatment are
being met no change in DMT unless
problems with medication tolerability
• A detailed evaluation of common and
idiopathic side effects will be required
– Switching of medication based on adherence and
tolerability ma be needed
What if Goals are not being Met
• If pre-therapy relapse rate is not improved
– A therapeutic switch may be indicated
• Relapse rate is incomplete indicator of ongoing
inflammatory disease activity
– Cranial and spinal MRI
• May show therapy resistant inflammatory disease
• Guide switch to a more potent anti-inflammatory
medication
• Clinical attack or definitive worsening disability is may
lacking
Case 2
• Mr. A.M.J is a 33 years old Kuwaiti male, diagnosed to
have MS in 2008.
• In Jan 2008, he developed diplopia, followed by
paresthesia in feet, ascending to abdomen, chest and
forearms.
• These symptoms persisted
• By June 2008, he was ataxic and on a wheel chair,
when he sought medical advice
• MRI was consistent with MS
• Marked imrovement was noted in sensory symptoms
after pulse steroids.
Case 2
• His symptoms showed a rapid progression, by
Sept 2008, he had optic neuritis, sphincteric
disturbance, and positive Lhermitte’s sign.
• In Oct 2008, he started to take Rebif.
• His disease remained stable, with no new
relapses and no new lesions on MRI till 2011.
• In April 2011, he went for CCSVI treatment
and discontinued Rebif without our
knowledge or advice.
CASE 1
• Lhermitte’s sign was positive
• Cranial nerves were normal
• No motor weakness
• Mild sensory deficit for light touch and vibration
on left side
• Plantars were flexor bilaterally
• Romberg’s sign was mildly positive
• Moderate left sided dysmetria, with tandem
ataxia
• EDSS :2; AI :1.
Case 1: MRI Cervical spineTWI
Case 2
• In August 2011 he reported dizziness, ataxia and diplopia
• He was treated with pulse steroids with marked recovery.
• He was clinically stable, and was advised to restart Rebif.
• In Jan 2012, EDSS:1, AI:0.
• MRI in June 2012 showed new cerebellar lesions, with no
enhancement.
• In Oct 2012, he came in with a mild relapse and was
treated with pulse steroids.
• An MRI in Dec 2012 showed worsening lesion load, and he
was advised to start Tysabri after JCV serology.
• He started Tysabri in Dec 2012, and till 5 months post
Tysabri , there were no active lesions.
Case 2
• In Sept 2013, patient came with another
severe relapse , with homonymous
hemianopia, sphincteric problems, gait ataxia,
and sensory disturbance.
• Treated with pulse steroids with partial
improvement in urinary symptoms and ataxia,
but not in visual symptoms.
Case 2: MRI Brain 2
Case 2: MRI Cervical spine 2
Case 2
• MRI showed marked worsening, with
tumefactive enhancing lesions
• A CSF study was done, which was normal,
negative for JCV.
• Considering this as a failure of Tysabri, it is
planned to treat him with Rituximab
Is Clinical Worsening due to Attack
related Disease or Progression?
• If it is due to non-inflammatory MS
progressive disease
– Neurodegenerative MS
– ?subclinical ( and sub-radiologic) inflammation
unresponsive to current DMTs
– Switching to alternative MS therapy is futile
• Escalating therapy If clinical impairment is
strongly associated with ongoing relapses or
marked new inflammatory MRI activity
Existing & Emerging MS therapies
Modified from P. Vermersch
Phase I
Phase II
Phase III
Marketed
Interferons
Antiproliferative
agents
Cytolytic mAbs
Symptomatic TxVaccine,
tolerization
Lymphocyte
trafficking
Immune
regulation
Other
Idebenone
BIIB033
Fingolimod
Firategrast
Siponimod
ONO-4641
CS-0777
ELND-002
Tysabri
Daclizumab
Laquinimod
BG12
NI-0801
AZD5904
GRC4039
CCX-140
AIN457
Cladribine
NerispirdineOfatumumab
Belimumab
Ampyra
Ocrelizumab
Sativex
Alemtuzumab
Copaxone
IPX-056
RPI-78M
LY-2127399
Novantrone
Rebif Betaferon
Pixantrone
Peg IFNb
(BIIB017)
ATX-MS-1467
PI2301
RTL1000
Copaxone
generics x2
Azathioprine
Teriflunomide
LV Copaxone
Avonex
= Oral administration
= Injectable
Extavia
Ponesimod
IFNβ-1b
SC qod
GA
SC qd
IFNβ-1a
IM qwk
Mitox
IV q 90 d
wks
IFNβ-1a
SC tiw
Natalizumab
IV q 4 wks
Fingolimod
0.5 mg gd
Teriflun
PO qd
Laquin
PO
Daclizumab
SC
BG-12
PO bid
Alemtuz
IV
The Changing Landscape of MS Disease Modifying Treatment
Of Approved and Emerging Therapies
How are MS medication is selected?
• Injectable interferon-β and glatiramer acetate
remain the first line DMT for many clinicians
– Their side effects are manageable with minimum
of serious side effects
• First line DMTs are effective in reducing clinical
attacks and new MRI lesions
Injectable therapies
Oral therapies
Consider side effects
BG 12
Fingolimod
Terflunomide
Natalizumab
GlatiramerInterferon
β
Relapsing inflammatory MS clinical course
First line
First line?
Severe relapsing
inflammatory MS/JCV
negative
Inadequate
response/inj
intolerance
Inadequate
response/oral
intolerance
Parallel switch
Inadequate
response/JCV
negative
Drawback of injectable Medication
• Interferon-β
– “Flue-like illness” often transient
– Liver enzyme monitoring
– Rarely depression
• Glatiramer acetate
– Flushing, eosinophilia, rare allergic reaction,
injection-site reactions (skin liopatrophy)
– Conbination therapy+interferon-β1a IM/weekly
and glatiramer acetate does not appear to be
significantly more efficacious than monotherapy
Lublin FD et al, Ann Neurology 2013
BG-12
Phase III trials
BG-12
 Integrated analysis
• Compared with PBO, BG-12 240 mg BID and TID
significantly reduced ARR, risk of relapse, adjusted ARR
requiring steroids, disability progression, and MRI
outcomes.
• Demonstrated consistent benefits on clinical efficacy
across prespecified subgroups of RRMS pts with varied
baseline demographics and disease characteristics
• Overall incidence of AEs, SAEs, and discontinuations
due to AES similar across tx groups; flushing and GI
events most common AEs
Nrf2
- Detox Enzymes
- Antioxidant Enzymes
- NADPH Generating Enzymes
- GSH Biosynthesis Enzymes
- Chaperones
- Ubiquitination/Proteasome
Cell and Tissue Protection
NFkB
- Proinflammatory cytokines
- Leukocyte adhesion molecules
- Lymphocyte activation
Inflammation,
Tissue Damage
Nrf2 Pathway May Induce a Cytoprotective Response and
Inhibit NFkB Mediated Inflammation
BG-12
DEFINE Trial BG12 240mg bid vs tid:
Primary endpoint - Relapses
p<0.0001
p<0.0001
41.3%
52.7%
DEFINE: MRI
p<0.0001
85%
p<0.0001
90%
Placebo
BG12 bid
BG12 tid
BG-12 (dimethyl fumarate, DMF):
CONFIRM — Annualized Relapse
Rate
Daclizumab
• Anti-CD25 mAb
Daclizumab
• Effects similar in patients with highly active MS
compared with pts with less aggressive disease
prior to tx initiation
• Treatment resulted in significant increase in
number of pts who were disease- activity free
following 1 year of tx in SELECT trial
• Patients had reductions in % change in volume of
T1-hypointense and T2-hyperintense lesions over
52 wks of treatment vs increases in PBO group
S1P receptor modulators/ agonists
• In phase 2b study, ponesimod significantly reduced inflammatory
MRI activity at all doses tested, with a significant dose response;
lower ARR also observed with ponesimod compared with PBO, and
was generally well tolerated
• Primary endpoint met in phase 2 DreaMS trial: ONO-4641
demonstrated significant efficacy on all key MRI measures of
disease activity at all 3 doses compared with PBO, and was
generally
• well tolerated Compared with PBO, reduction in mean CUAL
observed as early as
• month 1 for siponimod 0.25 mg/day and 2.0 mg/day, and in all
doses at month 2 in phase 2 BOLD trial; effect maintained at each
month up to month 6; similar pattern for new/enlarging T2 lesions
for all siponimod doses at month 2 and maintained at each month
up to month 613
Glatiramer acetate
• Compared with PBO, GA 40 mg SC TIW
significantly reduced:
• ARR by 34.4.% (P < .0001) Cumulative # GdE
lesions by 44.8% (P < .0001) Cumulative #
new/enlarging T2 lesions by 34.7%
• (P < .0001) Safety profile consistent with GA 20
mg/day SC
Teriflunomide
Pyrimidine Synthesis
Inhibitor (anti-
metabolite)
Teriflunomide
• Compared with PBO, 7 mg/day and 14 mg/day
teriflunomide significantly reduced ARR by 22.3% and
36.3%, respectively (P = .0183 and P = .0001, respectively)
• Compared with PBO, 14 mg/day teriflunomide significantly
reduced 12-wk CDP (HR = .685; P = .0442)
• Both teriflunomide doses generally well tolerated; safety
profile consistent with prior studies
• Update from TEMSO trial Mean reductions in lymphocyte
and neutrophil observed in TEMSO were small in
magnitude and were reversible after treatment
discontinuation or on treatment in some cases; no other
clinically significant complications to blood cytopenias
reported
a)Adjusted for Expanded Disability Status Scale (EDSS) score strata at baseline and takes duration of treatment into
account .ARR, annualised relapse rate; RRR, relative risk reduction
0.369
0.370
0.539
0 0.1 0.2 0.3 0.4 0.5 0.6
14 mg
7 mg
Placebo
Teriflunomide
Adjusteda annualized relapse rate
RRR: 31.2%
p=0.0002
RRR: 31.5%
p=0.0005
TEMSO: Relapse Rate
279
290
285
363
365
358
306
309
302
Number at risk
Placebo
7 mg teriflunomide
14 mg teriflunomide
242
252
251
211
234
227
200
224
217
160
178
175
336
343
329
258
266
262
40
0
0 36 72 84 96 10848 60
Disabilityprogression(%)
30
24
Week
10
20
12
224
238
234
Placebo vs 7 mg: HRR
23.7%
p=0.0835
Placebo vs 14 mg:
HRR 29.8% p=0.0279
27.3%
21.7%
20.2%
Placebo
7 mg teriflunomide
14 mg teriflunomide
TEMSO: EDSS progression
(3 month confirmed)
TENERE: Annualized relapse rate
• The ARR in the 14 mg teriflunomide group was
not statistically different from the ARR in the
Rebif® group
• The estimated ARR was higher in the 7mg
treatment group
0 0.1 0.2 0.3 0.4 0.5
Annualized Relapse Rate
Teriflunomide14 mg
N=109
Teriflunomide 7 mg
N=111
0.216Rebif®
N=104
0.259
0.410
Genzyme, Press release, Cambridge, MA – December 20, 2011
FINGOLIMOD
Sphingosine-1-
Phosphate (S1P)
Receptor Agonist
Fingolimod
• Treatment with fingolimod 0.5 mg:
– Significant benefits on relapse-related outcomes within first 3 months
and on volume loss over 6 months compared with PBO in FREEDOMS
and FREEDOMS II studies; concordant results from 2 large phase 3
trials, along with phase 2 data, allow better definition of expectations
regarding time lag between initiation and effects of fingolimod
treatment
• Fingolimod treatment initiation effects in pooled population from
FREEDOMS, FREEDOMS II (vs PBO), and TRANSFORMS (vs IM IFN à-
1a) a transient, mostly asymptomatic decrease in heart rate;
symptomatic bradycardia and Mobitz I and 2:1 AVBs were dose-
dependent; AVB first occurrences most common <6 h post-dose5
• Analysis of TRANSFORMS trial demonstrated advantage of
switching to fingolimod over remaining on IFN à-1a IM with regard
to time to relapse in RRMS6
LN
T-cell FTY720-P
Prevents T-cell invasion
of central nervous
system
S1P receptor
Sphingosine-1-phosphate (S1P) receptor modulator
Internalises S1P1, blocks lymphocyte
egress from lymph node (LN) while
sparing immune surveillance by
peripheral memory T-cells
FTY720 traps circulating
lymphocytes in
peripheral lymph nodes
Multiple sclerosis
FTY720
Fingolimod: Mechanism of Action
FREEDOMS (Fingolimod)
Annualized Relapse Rate
0.160.18
0.40
0.0
0.1
0.2
0.3
0.4
Annualisedrelapserate
Placebo
(n = 418)
Fingolimod 0.5 mg
(n = 425)
Fingolimod 1.25 mg
(n = 429)
-54% vs placebo
p < 0.001
-60% vs placebo
p < 0.001
ITT population; negative binomial regression model adjusted for treatment group, country, number of relapses in previous 2 years
and baseline Expanded Disability Status Scale (EDSS) as covariates
*Analysis performed using a negative binomial regression model adjusted for treatment group and country
**Analysis performed using rank ANCOVA adjusted for treatment group, country and number of lesions at baseline
Gd+, gadolinium-enhancing; MRI, magnetic resonance imaging
Fingolimod
0.5 mg
(n = 370)
Fingolimod
1.25 mg
(n = 337 )
0
2
4
6
8
10
12
9.8
(13.2)
2.5
(7.2)
2.5
(5.5)
Placebo
(n = 339)
# new/enlarging T2 lesions at month 24
from baseline*
Fingolimod
1.25 mg
(n = 343 )
0
0.2
0.4
0.6
0.8
1
1.2
Mean(SD)lesionnumber
Placebo
(n = 332)
Fingolimod
0.5 mg
(n = 369)
0.2
(1.1)
1.1
(2.4)
0.2
(0.8)
# T1 Gd+ lesions at month 24**
p < 0.001
p < 0.001
p < 0.001
p < 0.001
FREEDOMS (Fingolimod)
MRI Lesion Activity
FREEDOMS (Fingolimod)
Disability (Disability) Progression
Placebo
Fingolimod 0.5 mg
Fingolimod 1.25 mg
Patientswith3-monthconfirmedEDSS
progression(%)
Days on study
Fingolimod 1.25 mg vs placebo, HR = 0.68, p = 0.012
Fingolimod 0.5 mg vs placebo, HR = 0.70, p = 0.026
0
5
10
15
20
25
30
0 90 180 270 360 450 540 630 720
HR, hazard ratio

Progress in Multiple Sclerosis Research

  • 1.
    MultipleSclerosis:Current&Emerging Treatments Personalized Strategies Dr.Suhail Al-Shammri Associate Professor& Head Division of Neurology, Mubark Al Kabir Hospital
  • 2.
    Overview • The diagnosticcriteria of multiple sclerosis( MS) • Classification of idiopathic inflammatory demyelinating disorders • Clinical course of MS • Current and emerging MS therapies
  • 3.
    Idiopathic CNS Demyelinating Diseases •Typical CNS demyelinating Diseases: – Radiologically isolated syndrome (RIS) – Clinically isolated syndrome (CIS) – Relapsing –remitting multiple sclerosis (RRMS) – Secondary progressive MS (SPMS) – Primary progressive MS (PPMS)
  • 4.
    Atypical CNS DemyelinatingDiseases • Acute disseminated encephalomyelitis (ADEM) • Acute hemorrhagic leukoencephalitis (AHLE) • Tumefactive MS • Balo’s concentric sclerosis • Marburg
  • 5.
    Radiologically Isolated Syndrome (RIS) –No typical symptoms of CNS demyelination – No formally accepted diagnostic criteria – MRI : Typical MS lesions – CSF abnormalities – Clinical MS Attack: – 35% over 5 years – MRI progression: • 59-83% in 2 years – DMT is initiated only in case of clinical/MRI progression Okuda DT et al, Neurology2011:76()8, 686-692
  • 6.
    Diagnostic Criteria forMS • An effort to make the diagnostic process more objective • Formal criteria were devised to codify the typical MS features into indisputable diagnostic criteria • The primary driving force is identification of patients for research trials. ”a consensus on which patient has MS” • Criteria are designed to be specific • There are patients with MS who do not meet those criteria • “A patient has MS when an an experienced neurologist says he or she has MS”
  • 7.
    Schumacher Criteria- 1965 •Onset of symptoms between 10 and 50 years • Objective abnormalities on neurologic examination • The signs and symptoms indicate CNS white matter damage • The lesions are disseminated in space ( 2 or more separate lesions) • The lesions are disseminated in time (2 attacks at least 1 month apart) • No better explanation
  • 9.
    The Mc DonaldCriteria • ‘the world consists of three types of person: those who have multiple sclerosis; those who do not; and those who might’. Polman CH et al,Ann Neurology, 2001 Episodes from history Objective clinical signs Additional data needed from MRI or clinical follow up 2 attacks 2 attacks 1 attack 1 attack Progressive course over 1 year 2 lesions 1 lesion 2 lesions 1 lesion None DIS DIT Both DIS&DIT DIS demonstrated by 2 : 1- MRI brain 2. MRI cord 3. CSF oligoclonal bands
  • 10.
    Dissemination in Space PolmanCH et al, Ann Neurol 2011; 69:292–302
  • 11.
    Dissemination in Time PolmanCH et al, Ann Neurol 2011; 69:292–302
  • 12.
  • 13.
  • 14.
  • 15.
  • 16.
    CASE • On 18/3/08patient complained of ocular pain on moving the left eye with blurred vision. • 2 days later she developed left frontal headache. • Seen by the ophthalmologist who diagnosed her as optic neuritis and advised to be on neurobion. • She had several attacks of Rt. Upper limb heaviness in the last 2 years, each was lasting for a week. • Her cousin has MS .
  • 17.
    CASE : Examination •Her vision was 20/200 in the left eye and 20/40 in the right eye. There was a central scotoma, and red and blue colors were less intense in the left eye. • RAPD on the left • Left fundus: disc is congested and swollen. • Central Scotoma • Treated with pulse IV methylprednisolone for 3 days and improved followed by short prednisolone taper
  • 18.
  • 19.
  • 20.
  • 21.
    Case : CSFOligoclonal bands
  • 22.
    Clinically Isolated Syndrome(CIS) • Single characteristic clinical attack of CNS demyelination: – Optic neuritis – Acute partial myelitis – Brain stem syndrome – Cortical •
  • 23.
    Clinically Isolated Syndrome(CIS) • MRI: – Low risk: 1 or no other asymptomatic brain lesion – High risk: 2 or > asymptomatic lesions • Treatment approved for high risk patients – IFN-B, GA reduces second attack: ARR 15%
  • 24.
    Baseline MRI andRisk of CDMS for Monofocal onset CIS (BENEFIT Placebo N=93)
  • 25.
    CHAMPS CHAMPS2 ETOMSBENEFIT25 Unifocal/multifocal/ No pt Unifocal/ 383 Unifocal Unifocal+ multifocal /309 Unifocal/ 487 IFN-B Avonex+Pulse MP Avonex Rebif Betasron Dose/ 30µg/im/weekly 30µg/IM/ weekly 22µg/SC/ Weekly 250µg/SC/EOD Duration/years 3 5 2 2 Pre-MRI T2 load 2or> 4 or > 2 OR> %CDMS,P value 35 VS50, p=0.002 36 VS 49, P=0.03 34 VS 45 P=0.047 28 VS 45 (69%/85% +MRI effect Yes Yes, P=0.001 Yes, P=0.001
  • 26.
    TOPIC Primary end point: Conversionto CDMS (as defined by the occurrence of a relapse) Key inclusion criteria: • Patients 18 to 55 years of age with a first acute/subacute neurologic event consistent with demyelination. • MS symptom onset within 90 days of randomization. • Screening MRI scan with 2 T2 lesions 3 mM diameter that are characteristic of MS. Screened (N=846) Placebo (n=197) Teriflunomide 7 mg (n=205) R Long-Term Extension Teriflunomide 14 mg (n=216) 108-Week Treatment Phase Randomized n=618 Miller A. Plattform presentation ECTRIMS 2013
  • 27.
    Primary / KeySecondary Endpoint Primary Endpoint: Time to Clinically Definite MS (CDMS) 43% Safety / Tolerability: Adverse events observed in the trial were consistent with previous clinical trials with Aubagio. Miller A. Plattform presentation ECTRIMS 2013 21% p=0.43 66 59% p=0.00 08 Gd-enhancing T1 Lesions)
  • 28.
    CIS: When ToInitiate Therapy? • Patients with normal MRI or with fewer than 2 – Low risk of developing early clinical attacks – Clinical and MRI monitoring – Without immediately commencing immunotherapy (DMT) • Those with abnormal MRI with2or> lesions consistent with MS or with evidence of intrathecal synthesis of antibodies should be considered for DMT, • Patients with atypical clinical or MRI presentation require further diagnostic evaluation.
  • 29.
    Relapsing-Remitting MS • Subacuterepeated onset of CNS dysfunction with resolution ( sometimes incomplete , over days to weeks) • Revised McDonald criteria • MRI: Periventricular, brainstem, juxtacortical prominent T2, often Gad enhancing lesions, T1 hypointense (black holes) • Treatment: Interferon-B, Glatiramer acetate, natalizumab, mitoxantrone
  • 30.
    Features Consistent WithMS • Relapses and remissions • Age Onset between ages 15 and 50 • Optic neuritis • Lhermitte's sign • Internuclear ophthalmoplegia • Fatigue • Uhthoff's phenomenon
  • 31.
    Features Inconsistent WithMS • Steady progression • Onset before age 10 or after age 50 • Cortical deficits such as aphasia, apraxia, alexia, neglect • Rigidity, sustained dystonia • Convulsions • Early dementia • Deficit developing within minutes
  • 32.
    Secondary Progressive MS •Majority of RRMS many years following onset • Progressive impairment (spastic gait disturbance) between or in absence of attacks • No clear effect of DMT without ongoing attacks or inflammation • Role of DMTs in SPMS patients: – with ongoing relapses – Substantial ongoing accrual on new MRI inflammatory lesions
  • 33.
    Primary Progressive MS •Presents with progressive myelopathic gait, cerebellar ataxia or cognitive impairment without clear history of any clinical attacks • Clinical progression must be for at least 1 year and accompanied by a combinstion of brain&spinal abnormalities and/or CSF anormalities consistent with MS • Lack of clinical attacks/ relative paucity of MRI lesions • No approved DMTs
  • 34.
    Multiple Sclerosis (MS) •Multiple Sclerosis is the commonest disabling neurological condition to afflict young adults • MS is an autoimmune disease triggered by environmental agents acting in a genetically susceptible people • Auto-aggresive autoimmune attack on the myelin sheath and other components of CNS • Current&emerging DMTs are based in the above paradigm • Is MS a primary neurodegenerative disease
  • 35.
  • 36.
  • 37.
    Demographic Characteristics of Multiple Sclerosisin Kuwait 0 5 10 15 20 25 30 35 Mean Current age Mean age at presentation Mean duration of Disease Years SD±5.4 SD±9.3 Total recruited patients in study: 195 Gender Distribution N(M/F): 195(76/119) Cross sectional or retrospectively included patients:134 Newly diagnosed drug naïve patient:65 SD±10.3
  • 38.
    Clinical Characteristics ofMultiple Sclerosis in Kuwaiti Population 20.50% 11.70% 9.40% 8.60% 7.30% 2.10% 1.50% 1.20% 0.60% 0.00% 5.00% 10.00% 15.00% 20.00% 25.00% Sensory Brain stem and cerebeller Visual Motor Multiple Symptoms Sphicter disturbance L' Hermitte sign Seizures Others Presenting symptoms
  • 39.
    PRESENTING SYMPTOMS INMS Total % SENSORY LOSS IN LIMBS 30.7 VISUAL LOSS 15.9 MOTOR WEAKNESS 14.2 DIPLOPIA 6.8 GAIT DISTURBANCE 4.8 NCOORDINATION 2.9 SENSORY LOSS-FACE 2.8 LHERMITTE’S 1.8 VERTIGO 1.7 BLADDER SYMPTOMS 1 AUTE TRANSVERSE MYELOPATHY 0.7 PAIN 0.5 OTHERS 2.5 POLYSYMPTOMATIC 13.7
  • 41.
    Medication details instudied Kuwaiti MS patients 48.90% 15.40% 3.10% 8.70% 9.70% 0.50% 0.50% 1% 0.50% 2.60% 0.00% 10.00% 20.00% 30.00% 40.00% 50.00% 60.00%
  • 42.
    MS Therapy: Decidingon which Medication • Determine Therapeutic Goals – To reduce clinical relapse – To reduce accumulation of new MRI lesions –  new T2 lesions – Gadolinium-enhancing lesions – black holes – Brain and spinal cord atrophy • Reduce short-term relapse related disability
  • 43.
    How To Determineof The Goals are Met? • Compare with baseline relapse rate – Recall bias – Regression to the mean • Assessment of improvement or stability in neurological impairment – Assess functional ambulatory limitation • May indicate progression • MRI ongoing/new inflammatory activity – Serial MRI to assess radiologic stability, worsening or improvement- q12-24 month except
  • 44.
    How To Determineof The Goals are Met? • If goals of DMT or symptomatic treatment are being met no change in DMT unless problems with medication tolerability • A detailed evaluation of common and idiopathic side effects will be required – Switching of medication based on adherence and tolerability ma be needed
  • 45.
    What if Goalsare not being Met • If pre-therapy relapse rate is not improved – A therapeutic switch may be indicated • Relapse rate is incomplete indicator of ongoing inflammatory disease activity – Cranial and spinal MRI • May show therapy resistant inflammatory disease • Guide switch to a more potent anti-inflammatory medication • Clinical attack or definitive worsening disability is may lacking
  • 46.
    Case 2 • Mr.A.M.J is a 33 years old Kuwaiti male, diagnosed to have MS in 2008. • In Jan 2008, he developed diplopia, followed by paresthesia in feet, ascending to abdomen, chest and forearms. • These symptoms persisted • By June 2008, he was ataxic and on a wheel chair, when he sought medical advice • MRI was consistent with MS • Marked imrovement was noted in sensory symptoms after pulse steroids.
  • 47.
    Case 2 • Hissymptoms showed a rapid progression, by Sept 2008, he had optic neuritis, sphincteric disturbance, and positive Lhermitte’s sign. • In Oct 2008, he started to take Rebif. • His disease remained stable, with no new relapses and no new lesions on MRI till 2011. • In April 2011, he went for CCSVI treatment and discontinued Rebif without our knowledge or advice.
  • 48.
    CASE 1 • Lhermitte’ssign was positive • Cranial nerves were normal • No motor weakness • Mild sensory deficit for light touch and vibration on left side • Plantars were flexor bilaterally • Romberg’s sign was mildly positive • Moderate left sided dysmetria, with tandem ataxia • EDSS :2; AI :1.
  • 51.
    Case 1: MRICervical spineTWI
  • 52.
    Case 2 • InAugust 2011 he reported dizziness, ataxia and diplopia • He was treated with pulse steroids with marked recovery. • He was clinically stable, and was advised to restart Rebif. • In Jan 2012, EDSS:1, AI:0. • MRI in June 2012 showed new cerebellar lesions, with no enhancement. • In Oct 2012, he came in with a mild relapse and was treated with pulse steroids. • An MRI in Dec 2012 showed worsening lesion load, and he was advised to start Tysabri after JCV serology. • He started Tysabri in Dec 2012, and till 5 months post Tysabri , there were no active lesions.
  • 53.
    Case 2 • InSept 2013, patient came with another severe relapse , with homonymous hemianopia, sphincteric problems, gait ataxia, and sensory disturbance. • Treated with pulse steroids with partial improvement in urinary symptoms and ataxia, but not in visual symptoms.
  • 54.
    Case 2: MRIBrain 2
  • 55.
    Case 2: MRICervical spine 2
  • 56.
    Case 2 • MRIshowed marked worsening, with tumefactive enhancing lesions • A CSF study was done, which was normal, negative for JCV. • Considering this as a failure of Tysabri, it is planned to treat him with Rituximab
  • 57.
    Is Clinical Worseningdue to Attack related Disease or Progression? • If it is due to non-inflammatory MS progressive disease – Neurodegenerative MS – ?subclinical ( and sub-radiologic) inflammation unresponsive to current DMTs – Switching to alternative MS therapy is futile • Escalating therapy If clinical impairment is strongly associated with ongoing relapses or marked new inflammatory MRI activity
  • 58.
    Existing & EmergingMS therapies Modified from P. Vermersch Phase I Phase II Phase III Marketed Interferons Antiproliferative agents Cytolytic mAbs Symptomatic TxVaccine, tolerization Lymphocyte trafficking Immune regulation Other Idebenone BIIB033 Fingolimod Firategrast Siponimod ONO-4641 CS-0777 ELND-002 Tysabri Daclizumab Laquinimod BG12 NI-0801 AZD5904 GRC4039 CCX-140 AIN457 Cladribine NerispirdineOfatumumab Belimumab Ampyra Ocrelizumab Sativex Alemtuzumab Copaxone IPX-056 RPI-78M LY-2127399 Novantrone Rebif Betaferon Pixantrone Peg IFNb (BIIB017) ATX-MS-1467 PI2301 RTL1000 Copaxone generics x2 Azathioprine Teriflunomide LV Copaxone Avonex = Oral administration = Injectable Extavia Ponesimod
  • 59.
    IFNβ-1b SC qod GA SC qd IFNβ-1a IMqwk Mitox IV q 90 d wks IFNβ-1a SC tiw Natalizumab IV q 4 wks Fingolimod 0.5 mg gd Teriflun PO qd Laquin PO Daclizumab SC BG-12 PO bid Alemtuz IV The Changing Landscape of MS Disease Modifying Treatment Of Approved and Emerging Therapies
  • 60.
    How are MSmedication is selected? • Injectable interferon-β and glatiramer acetate remain the first line DMT for many clinicians – Their side effects are manageable with minimum of serious side effects • First line DMTs are effective in reducing clinical attacks and new MRI lesions
  • 61.
    Injectable therapies Oral therapies Considerside effects BG 12 Fingolimod Terflunomide Natalizumab GlatiramerInterferon β Relapsing inflammatory MS clinical course First line First line? Severe relapsing inflammatory MS/JCV negative Inadequate response/inj intolerance Inadequate response/oral intolerance Parallel switch Inadequate response/JCV negative
  • 62.
    Drawback of injectableMedication • Interferon-β – “Flue-like illness” often transient – Liver enzyme monitoring – Rarely depression • Glatiramer acetate – Flushing, eosinophilia, rare allergic reaction, injection-site reactions (skin liopatrophy) – Conbination therapy+interferon-β1a IM/weekly and glatiramer acetate does not appear to be significantly more efficacious than monotherapy Lublin FD et al, Ann Neurology 2013
  • 68.
  • 69.
    BG-12  Integrated analysis •Compared with PBO, BG-12 240 mg BID and TID significantly reduced ARR, risk of relapse, adjusted ARR requiring steroids, disability progression, and MRI outcomes. • Demonstrated consistent benefits on clinical efficacy across prespecified subgroups of RRMS pts with varied baseline demographics and disease characteristics • Overall incidence of AEs, SAEs, and discontinuations due to AES similar across tx groups; flushing and GI events most common AEs
  • 70.
    Nrf2 - Detox Enzymes -Antioxidant Enzymes - NADPH Generating Enzymes - GSH Biosynthesis Enzymes - Chaperones - Ubiquitination/Proteasome Cell and Tissue Protection NFkB - Proinflammatory cytokines - Leukocyte adhesion molecules - Lymphocyte activation Inflammation, Tissue Damage Nrf2 Pathway May Induce a Cytoprotective Response and Inhibit NFkB Mediated Inflammation BG-12
  • 71.
    DEFINE Trial BG12240mg bid vs tid: Primary endpoint - Relapses p<0.0001 p<0.0001 41.3% 52.7%
  • 72.
  • 73.
    BG-12 (dimethyl fumarate,DMF): CONFIRM — Annualized Relapse Rate
  • 74.
  • 75.
    Daclizumab • Effects similarin patients with highly active MS compared with pts with less aggressive disease prior to tx initiation • Treatment resulted in significant increase in number of pts who were disease- activity free following 1 year of tx in SELECT trial • Patients had reductions in % change in volume of T1-hypointense and T2-hyperintense lesions over 52 wks of treatment vs increases in PBO group
  • 77.
    S1P receptor modulators/agonists • In phase 2b study, ponesimod significantly reduced inflammatory MRI activity at all doses tested, with a significant dose response; lower ARR also observed with ponesimod compared with PBO, and was generally well tolerated • Primary endpoint met in phase 2 DreaMS trial: ONO-4641 demonstrated significant efficacy on all key MRI measures of disease activity at all 3 doses compared with PBO, and was generally • well tolerated Compared with PBO, reduction in mean CUAL observed as early as • month 1 for siponimod 0.25 mg/day and 2.0 mg/day, and in all doses at month 2 in phase 2 BOLD trial; effect maintained at each month up to month 6; similar pattern for new/enlarging T2 lesions for all siponimod doses at month 2 and maintained at each month up to month 613
  • 78.
    Glatiramer acetate • Comparedwith PBO, GA 40 mg SC TIW significantly reduced: • ARR by 34.4.% (P < .0001) Cumulative # GdE lesions by 44.8% (P < .0001) Cumulative # new/enlarging T2 lesions by 34.7% • (P < .0001) Safety profile consistent with GA 20 mg/day SC
  • 79.
  • 80.
    Teriflunomide • Compared withPBO, 7 mg/day and 14 mg/day teriflunomide significantly reduced ARR by 22.3% and 36.3%, respectively (P = .0183 and P = .0001, respectively) • Compared with PBO, 14 mg/day teriflunomide significantly reduced 12-wk CDP (HR = .685; P = .0442) • Both teriflunomide doses generally well tolerated; safety profile consistent with prior studies • Update from TEMSO trial Mean reductions in lymphocyte and neutrophil observed in TEMSO were small in magnitude and were reversible after treatment discontinuation or on treatment in some cases; no other clinically significant complications to blood cytopenias reported
  • 81.
    a)Adjusted for ExpandedDisability Status Scale (EDSS) score strata at baseline and takes duration of treatment into account .ARR, annualised relapse rate; RRR, relative risk reduction 0.369 0.370 0.539 0 0.1 0.2 0.3 0.4 0.5 0.6 14 mg 7 mg Placebo Teriflunomide Adjusteda annualized relapse rate RRR: 31.2% p=0.0002 RRR: 31.5% p=0.0005 TEMSO: Relapse Rate
  • 82.
    279 290 285 363 365 358 306 309 302 Number at risk Placebo 7mg teriflunomide 14 mg teriflunomide 242 252 251 211 234 227 200 224 217 160 178 175 336 343 329 258 266 262 40 0 0 36 72 84 96 10848 60 Disabilityprogression(%) 30 24 Week 10 20 12 224 238 234 Placebo vs 7 mg: HRR 23.7% p=0.0835 Placebo vs 14 mg: HRR 29.8% p=0.0279 27.3% 21.7% 20.2% Placebo 7 mg teriflunomide 14 mg teriflunomide TEMSO: EDSS progression (3 month confirmed)
  • 83.
    TENERE: Annualized relapserate • The ARR in the 14 mg teriflunomide group was not statistically different from the ARR in the Rebif® group • The estimated ARR was higher in the 7mg treatment group 0 0.1 0.2 0.3 0.4 0.5 Annualized Relapse Rate Teriflunomide14 mg N=109 Teriflunomide 7 mg N=111 0.216Rebif® N=104 0.259 0.410 Genzyme, Press release, Cambridge, MA – December 20, 2011
  • 84.
  • 85.
    Fingolimod • Treatment withfingolimod 0.5 mg: – Significant benefits on relapse-related outcomes within first 3 months and on volume loss over 6 months compared with PBO in FREEDOMS and FREEDOMS II studies; concordant results from 2 large phase 3 trials, along with phase 2 data, allow better definition of expectations regarding time lag between initiation and effects of fingolimod treatment • Fingolimod treatment initiation effects in pooled population from FREEDOMS, FREEDOMS II (vs PBO), and TRANSFORMS (vs IM IFN à- 1a) a transient, mostly asymptomatic decrease in heart rate; symptomatic bradycardia and Mobitz I and 2:1 AVBs were dose- dependent; AVB first occurrences most common <6 h post-dose5 • Analysis of TRANSFORMS trial demonstrated advantage of switching to fingolimod over remaining on IFN à-1a IM with regard to time to relapse in RRMS6
  • 86.
    LN T-cell FTY720-P Prevents T-cellinvasion of central nervous system S1P receptor Sphingosine-1-phosphate (S1P) receptor modulator Internalises S1P1, blocks lymphocyte egress from lymph node (LN) while sparing immune surveillance by peripheral memory T-cells FTY720 traps circulating lymphocytes in peripheral lymph nodes Multiple sclerosis FTY720 Fingolimod: Mechanism of Action
  • 87.
    FREEDOMS (Fingolimod) Annualized RelapseRate 0.160.18 0.40 0.0 0.1 0.2 0.3 0.4 Annualisedrelapserate Placebo (n = 418) Fingolimod 0.5 mg (n = 425) Fingolimod 1.25 mg (n = 429) -54% vs placebo p < 0.001 -60% vs placebo p < 0.001 ITT population; negative binomial regression model adjusted for treatment group, country, number of relapses in previous 2 years and baseline Expanded Disability Status Scale (EDSS) as covariates
  • 88.
    *Analysis performed usinga negative binomial regression model adjusted for treatment group and country **Analysis performed using rank ANCOVA adjusted for treatment group, country and number of lesions at baseline Gd+, gadolinium-enhancing; MRI, magnetic resonance imaging Fingolimod 0.5 mg (n = 370) Fingolimod 1.25 mg (n = 337 ) 0 2 4 6 8 10 12 9.8 (13.2) 2.5 (7.2) 2.5 (5.5) Placebo (n = 339) # new/enlarging T2 lesions at month 24 from baseline* Fingolimod 1.25 mg (n = 343 ) 0 0.2 0.4 0.6 0.8 1 1.2 Mean(SD)lesionnumber Placebo (n = 332) Fingolimod 0.5 mg (n = 369) 0.2 (1.1) 1.1 (2.4) 0.2 (0.8) # T1 Gd+ lesions at month 24** p < 0.001 p < 0.001 p < 0.001 p < 0.001 FREEDOMS (Fingolimod) MRI Lesion Activity
  • 89.
    FREEDOMS (Fingolimod) Disability (Disability)Progression Placebo Fingolimod 0.5 mg Fingolimod 1.25 mg Patientswith3-monthconfirmedEDSS progression(%) Days on study Fingolimod 1.25 mg vs placebo, HR = 0.68, p = 0.012 Fingolimod 0.5 mg vs placebo, HR = 0.70, p = 0.026 0 5 10 15 20 25 30 0 90 180 270 360 450 540 630 720 HR, hazard ratio

Editor's Notes

  • #71 70
  • #91 90
  • #92 T2- lesions: % relative reduction vs Placebo is 74% for both fingolimod dose groups T1-Gd- lesions % relative reduction vs Placebo is 82% for both fingolimod dose groups
  • #93 Both oral fingolimod dose groups achieved significant improvements in disability progression over 2 years Risk reduction for 3-month confirmed EDSS progression was -32% for the oral fingolimod 0.5 mg dose group and -30% for the 1.25 mg dose group