Polyglutamine (PolyQ) Diseases
Dr Naresh kancha
DM 1st yr residant
• Polyglutamine (polyQ) diseases are a group of
neurodegenerative disorders caused by
expanded cytosine–adenine–guanine (CAG)
repeats encoding a long polyQ tract in the
respective proteins.
• In 1991, Fischbeck and coworkers first
reported the disease-associated expansion of
CAG repeat in exon1 of the androgen receptor
gene in patients of spinal and bulbar muscular
atrophy (SBMA)
• Incidence 1–10 cases per 100,000 people , Of
these polyQ disorders, HD and SCA3 have the
highest prevalence worldwide
• anticipation is a prominent feature of all polyQ
diseases
• onset at middle age and progressive
worsening until death for 15–20yrs
• the longer the CAG repeat- earlier age of
onset and severe disease
• To date, a total of 9 polyQ disorders :
--Spinocerebellar ataxias (SCA) types 1, 2, 6, 7,
17; Machado–Joseph disease (MJD/SCA3)
--Huntington’s disease (HD)
--Dentatorubral pallidoluysian atrophy (DRPLA)
--Spinal and bulbar muscular atrophy, X-linked 1
(SMAX1/SBMA)
Pathogeneic mechanisms
• A Gain of Toxicity in PolyQ Diseases
• Expansion Mutation of the PolyQ Tract
• Inclusion Bodies and Aggregates of Proteins
with Expanded PolyQ Tracts
• Abnormal Conformational Changes of
Expanded PolyQ Proteins
Management
• two approaches targeting to the polyQ
aggregation:
1. small chemical compounds and short peptides
that are bind specifically to the expanded polyQ
tract, and suppress the aggregation process of
the polyQ proteins.
2. Activate cellular protective systems that prevent
aggregate formation and accumulation of the
misfolded proteins.
Gene Silencing:
An Emerging Approach
• antisense oligonucleotides (ASO), short
interfering RNAs (siRNA), and short hairpin
RNAs (shRNA) have been employed to
decrease the level of the disease-associated
proteins of the polyQ diseases
• Despite recent progress in gene silencing
strategies , there are still some challenges to
be overcome for practical use.
• 36 patients with SBMA treated with leuprorelin acetate for
up to 84 months (leuprorelin acetate-treated group; LT
group) and 29 patients with SBMA with no specific
treatment (non-treated group; NT group) were analysed by
using the revised Amyotrophic Lateral Sclerosis Functional
Rating Scale (ALSFRS-R), and the modified Norris score.
• CONCLUSION:
Long-term treatment with leuprorelin acetate appears to
delay the functional decline and suppress the incidence of
pneumonia and death in subjects with SBMA.
• dutasteride (0·5 mg per day) or placebo orally
for 24 months.
• The primary outcome measure was
quantitative muscle assessment (QMA).
• INTERPRETATION:
Our study did not show a significant effect of
dutasteride on the progression of muscle
weakness in SBMA
SCA
SCA-1
• Initially presented with one of a cerebellar
syndrome associated with upper motor neuron
signs, Later, ophthalmoparesis, slow saccades, a
sensory predominant polyneuropathy, and some
extrapyramidal features such as chorea and
dystonia can develop.
• Imaging reveal atrophy of the cerebellum and
brainstem(pons).
• It progresses faster than other polyglutamine
ataxias
SCA-2
• Most common SCA in india
• Presence of slow saccades early in the disease
as well as peripheral neuropathy with
generalized areflexia may point to SCA2.
• Other features : dystonia, L-dopa-responsive
parkinsonism, and cognitive decline
• MRI reveals cerebellar and significant
brainstem atrophy.
MJD or SCA-3
• most prevalent of the SCAs worldwide ,having wider phenotypical
spectrum.
• Apart from cerebellar signs, patients develop many brainstem signs
such as facial and tongue fasciculations poor cough, facial atrophy,
and dysphagia.
• Noncerebellar eye signs such as slow saccades, disconjugate
movements, ophthalmoparesis, ptosis, and blepharospasm
• In many patients, extrapyramidal features such as parkinsonism
responsive to L-dopa or dystonia can dominate the clinical picture
• subclassified into three types based upon the
pattern of clinical features
-- Type 1 (dystonic-rigid form),
-- Type 2 (ataxia with pyramidal signs)
-- Type 3 (peripheral amyotrophy).
• MRI reveals cerebellar and brainstem atrophy.
SCA-6
• SCA6 is the second most common subtype of SCAs
following SCA3
• It has relatively pure cerebellar signs and
occasional minor pyramidal signs
• It has a slow progression with a normal lifespan.
• Because of the late onset, SCA6 often may present
with no positive family history and No anticipation
• Imaging reveals isolated cerebellar atrophy with no
brainstem involvement
SCA-7
• only SCA in which prominent visual loss related to
a maculopathy occurs
• Slow saccades are frequent, extrapyramidal signs
and peripheral neuropathy are uncommon
• Early onset cases often have visual loss preceding
the ataxia, a situation different from adult-onset
cases
• Funduscopy shows a prominent macular
degeneration
SCA-17
• also known as Huntington disease-like
disorder 4.
• an extremely variable phenotype that includes
ataxia, upper motor neuron signs, early and
severe cognitive decline with signiicant
behavioral changes, dyskinesias, dystonia, and
Parkinsonian signs.
• Imaging shows variable atrophy of the
cerebrum, brainstem, and cerebellum.
Spinal and Bulbar Muscular
Atrophy (SBMA)
• Also known as Kennedy’s disease, was the first
polyQ disease
• Prevalence is 1–2 per 100,000
• patients may be misdiagnosed as having
other neuromuscular diseases such as ALS ,
but profound facial fasciculations(perioral),
bulbar signs, gynecomastia, and sensory
disturbances are the distinguished features
from other motor neuron diseases.
• degeneration of lower motor neurons in
brainstem nuclei and spinal cord.
• EMG shows neurogenic abnormalities, and
NCV shows prolonged distal motor latencies
• molecular gene study to identify the abnormal
CAG repeats in the androgen receptor gene
Dentatorubral pallidoluysian atrophy
• also known as Haw River syndrome and
Naito–Oyanagi disease
• The mean age of onset in Japan is 47 years ,
while the typical age of onset in Western
literature is between 20 and 30 years
• Myoclonic epilepsy is common in juvenile (age
<20 years) onset and prevalence of seizures
decreases with increasing age beyond 20 years
• With adult onset, cerebellar ataxia,
choreoathetosis, and dementia are the
predominant manifestations, making it
difficult to differentiate from HD and other
SCA.
• Imaging reveals atrophy of the cerebellum and
brainstem, calcification of the basal ganglia,
and leukodystrophic changes
Huntington’s disease
• an inherited progressive neurodegenerative
disorder characterized by choreiform
movements, psychiatric problems, and dementia
(executive dysfunction)
• With disease progression, motor function slowly
deteriorates and Chorea may eventually be
replaced in advanced stages of HD by a
parkinsonian akinetic-rigid state.
• The slow but relentless deterioration in cognitive
and motor function causes significant morbidity
and early mortality.
• Diagnosed by the typical clinical features, a
family history of the disease, and confirmatory
genetic testing for the disease-causing
trinucleotide (cytosine-adenine-guanine
[CAG]) repeat expansion in the huntingtin
(HTT) gene
• Treatment is limited to symptom management
and optimizing quality of life.
Conclusion
• Polyglutamine (polyQ) diseases are a group of
neurodegenerative disorders caused by CAG
repeats.
• there is neither a cure nor prevention for these
diseases, and only symptomatic treatments for
polyQ diseases currently exist.
• Long-term pharmacological treatment is so far
disappointing, probably due to unwanted
complications and decreasing drug efficacy.
• Gene silencing and stem cell transplants are
under research.
References
• Polyglutamine (PolyQ) Diseases: Genetics to
Treatments
Hueng-Chuen Fan,* Li-Ing Ho,† Ching-Shiang
Chi,‡ Shyi-Jou Chen,*
• Bradley’s neurology
• Protein Misfolding and Aggregation as a
Therapeutic Target for Polyglutamine
Diseases Toshihide Takeuchi * and Yoshitaka
Nagai *
Thank you

Polyglutaminedisorders

  • 1.
    Polyglutamine (PolyQ) Diseases DrNaresh kancha DM 1st yr residant
  • 2.
    • Polyglutamine (polyQ)diseases are a group of neurodegenerative disorders caused by expanded cytosine–adenine–guanine (CAG) repeats encoding a long polyQ tract in the respective proteins.
  • 3.
    • In 1991,Fischbeck and coworkers first reported the disease-associated expansion of CAG repeat in exon1 of the androgen receptor gene in patients of spinal and bulbar muscular atrophy (SBMA) • Incidence 1–10 cases per 100,000 people , Of these polyQ disorders, HD and SCA3 have the highest prevalence worldwide
  • 4.
    • anticipation isa prominent feature of all polyQ diseases • onset at middle age and progressive worsening until death for 15–20yrs • the longer the CAG repeat- earlier age of onset and severe disease
  • 5.
    • To date,a total of 9 polyQ disorders : --Spinocerebellar ataxias (SCA) types 1, 2, 6, 7, 17; Machado–Joseph disease (MJD/SCA3) --Huntington’s disease (HD) --Dentatorubral pallidoluysian atrophy (DRPLA) --Spinal and bulbar muscular atrophy, X-linked 1 (SMAX1/SBMA)
  • 6.
    Pathogeneic mechanisms • AGain of Toxicity in PolyQ Diseases • Expansion Mutation of the PolyQ Tract • Inclusion Bodies and Aggregates of Proteins with Expanded PolyQ Tracts • Abnormal Conformational Changes of Expanded PolyQ Proteins
  • 11.
    Management • two approachestargeting to the polyQ aggregation: 1. small chemical compounds and short peptides that are bind specifically to the expanded polyQ tract, and suppress the aggregation process of the polyQ proteins. 2. Activate cellular protective systems that prevent aggregate formation and accumulation of the misfolded proteins.
  • 13.
    Gene Silencing: An EmergingApproach • antisense oligonucleotides (ASO), short interfering RNAs (siRNA), and short hairpin RNAs (shRNA) have been employed to decrease the level of the disease-associated proteins of the polyQ diseases • Despite recent progress in gene silencing strategies , there are still some challenges to be overcome for practical use.
  • 15.
    • 36 patientswith SBMA treated with leuprorelin acetate for up to 84 months (leuprorelin acetate-treated group; LT group) and 29 patients with SBMA with no specific treatment (non-treated group; NT group) were analysed by using the revised Amyotrophic Lateral Sclerosis Functional Rating Scale (ALSFRS-R), and the modified Norris score. • CONCLUSION: Long-term treatment with leuprorelin acetate appears to delay the functional decline and suppress the incidence of pneumonia and death in subjects with SBMA.
  • 16.
    • dutasteride (0·5mg per day) or placebo orally for 24 months. • The primary outcome measure was quantitative muscle assessment (QMA). • INTERPRETATION: Our study did not show a significant effect of dutasteride on the progression of muscle weakness in SBMA
  • 17.
  • 18.
    SCA-1 • Initially presentedwith one of a cerebellar syndrome associated with upper motor neuron signs, Later, ophthalmoparesis, slow saccades, a sensory predominant polyneuropathy, and some extrapyramidal features such as chorea and dystonia can develop. • Imaging reveal atrophy of the cerebellum and brainstem(pons). • It progresses faster than other polyglutamine ataxias
  • 19.
    SCA-2 • Most commonSCA in india • Presence of slow saccades early in the disease as well as peripheral neuropathy with generalized areflexia may point to SCA2. • Other features : dystonia, L-dopa-responsive parkinsonism, and cognitive decline • MRI reveals cerebellar and significant brainstem atrophy.
  • 20.
    MJD or SCA-3 •most prevalent of the SCAs worldwide ,having wider phenotypical spectrum. • Apart from cerebellar signs, patients develop many brainstem signs such as facial and tongue fasciculations poor cough, facial atrophy, and dysphagia. • Noncerebellar eye signs such as slow saccades, disconjugate movements, ophthalmoparesis, ptosis, and blepharospasm • In many patients, extrapyramidal features such as parkinsonism responsive to L-dopa or dystonia can dominate the clinical picture
  • 21.
    • subclassified intothree types based upon the pattern of clinical features -- Type 1 (dystonic-rigid form), -- Type 2 (ataxia with pyramidal signs) -- Type 3 (peripheral amyotrophy). • MRI reveals cerebellar and brainstem atrophy.
  • 23.
    SCA-6 • SCA6 isthe second most common subtype of SCAs following SCA3 • It has relatively pure cerebellar signs and occasional minor pyramidal signs • It has a slow progression with a normal lifespan. • Because of the late onset, SCA6 often may present with no positive family history and No anticipation • Imaging reveals isolated cerebellar atrophy with no brainstem involvement
  • 25.
    SCA-7 • only SCAin which prominent visual loss related to a maculopathy occurs • Slow saccades are frequent, extrapyramidal signs and peripheral neuropathy are uncommon • Early onset cases often have visual loss preceding the ataxia, a situation different from adult-onset cases • Funduscopy shows a prominent macular degeneration
  • 28.
    SCA-17 • also knownas Huntington disease-like disorder 4. • an extremely variable phenotype that includes ataxia, upper motor neuron signs, early and severe cognitive decline with signiicant behavioral changes, dyskinesias, dystonia, and Parkinsonian signs. • Imaging shows variable atrophy of the cerebrum, brainstem, and cerebellum.
  • 29.
    Spinal and BulbarMuscular Atrophy (SBMA) • Also known as Kennedy’s disease, was the first polyQ disease • Prevalence is 1–2 per 100,000 • patients may be misdiagnosed as having other neuromuscular diseases such as ALS , but profound facial fasciculations(perioral), bulbar signs, gynecomastia, and sensory disturbances are the distinguished features from other motor neuron diseases.
  • 30.
    • degeneration oflower motor neurons in brainstem nuclei and spinal cord. • EMG shows neurogenic abnormalities, and NCV shows prolonged distal motor latencies • molecular gene study to identify the abnormal CAG repeats in the androgen receptor gene
  • 32.
    Dentatorubral pallidoluysian atrophy •also known as Haw River syndrome and Naito–Oyanagi disease • The mean age of onset in Japan is 47 years , while the typical age of onset in Western literature is between 20 and 30 years • Myoclonic epilepsy is common in juvenile (age <20 years) onset and prevalence of seizures decreases with increasing age beyond 20 years
  • 33.
    • With adultonset, cerebellar ataxia, choreoathetosis, and dementia are the predominant manifestations, making it difficult to differentiate from HD and other SCA. • Imaging reveals atrophy of the cerebellum and brainstem, calcification of the basal ganglia, and leukodystrophic changes
  • 34.
    Huntington’s disease • aninherited progressive neurodegenerative disorder characterized by choreiform movements, psychiatric problems, and dementia (executive dysfunction) • With disease progression, motor function slowly deteriorates and Chorea may eventually be replaced in advanced stages of HD by a parkinsonian akinetic-rigid state. • The slow but relentless deterioration in cognitive and motor function causes significant morbidity and early mortality.
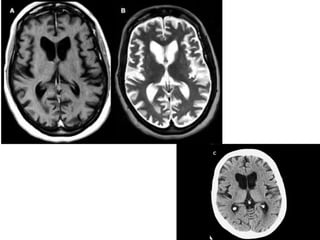
  • 36.
    • Diagnosed bythe typical clinical features, a family history of the disease, and confirmatory genetic testing for the disease-causing trinucleotide (cytosine-adenine-guanine [CAG]) repeat expansion in the huntingtin (HTT) gene • Treatment is limited to symptom management and optimizing quality of life.
  • 37.
    Conclusion • Polyglutamine (polyQ)diseases are a group of neurodegenerative disorders caused by CAG repeats. • there is neither a cure nor prevention for these diseases, and only symptomatic treatments for polyQ diseases currently exist. • Long-term pharmacological treatment is so far disappointing, probably due to unwanted complications and decreasing drug efficacy. • Gene silencing and stem cell transplants are under research.
  • 38.
    References • Polyglutamine (PolyQ)Diseases: Genetics to Treatments Hueng-Chuen Fan,* Li-Ing Ho,† Ching-Shiang Chi,‡ Shyi-Jou Chen,* • Bradley’s neurology • Protein Misfolding and Aggregation as a Therapeutic Target for Polyglutamine Diseases Toshihide Takeuchi * and Yoshitaka Nagai *
  • 39.

Editor's Notes

  • #14 One of these challenges, especially in comparison with the strategy targeting misfolded proteins, includes the technical difficulty in targeting only the mutant alleles without affecting the normal allele. Therefore, most gene silencing strategies have utilized a ‘partial reduction’ approach, in which mutant and normal alleles are both targeted in a non-specific manner, and gene transcription in both alleles are not completely, but partially suppressed.
  • #36 On brain MRI, T1-weighted (A) and T2-weighted (B) axial images show caudate atrophy and enlargement of the frontal horns. On CT, an axial image (C) from another patient shows similar findings.